ΠΠΈΡΡΠ° Π²Π½ΡΡΡΠΈ ΠΏΠΎΡΠΊΠΈ: ΠΠΈΡΡΠ° ΠΏΠΎΡΠΊΠΈ — ΡΡΠΎ ΡΡΠΎ ΡΠ°ΠΊΠΎΠ΅, ΡΠΈΠΌΠΏΡΠΎΠΌΡ, ΠΏΡΠΈΠ·Π½Π°ΠΊΠΈ ΠΈ Π»Π΅ΡΠ΅Π½ΠΈΠ΅ ΠΊΠΈΡΡΡ Π² ΠΏΠΎΡΠΊΠ΅ Π² ΠΠΎΡΠΊΠ²Π΅ Π² Β«Π‘Π-ΠΠ»ΠΈΠ½ΠΈΠΊΠ°Β»
ΠΠΈΡΡΠ° ΠΏΠΎΡΠΊΠΈ — ΠΏΡΠΈΡΠΈΠ½Ρ, ΡΠΈΠΌΠΏΡΠΎΠΌΡ, Π΄ΠΈΠ°Π³Π½ΠΎΡΡΠΈΠΊΠ°, Π»Π΅ΡΠ΅Π½ΠΈΠ΅ ΠΈ ΠΏΡΠΎΡΠΈΠ»Π°ΠΊΡΠΈΠΊΠ°
ΠΠΈΡΡΠ° ΠΏΠΎΡΠΊΠΈ ΠΏΡΠ΅Π΄ΡΡΠ°Π²Π»ΡΠ΅Ρ ΠΈΠ· ΡΠ΅Π±Ρ Π½ΠΎΠ²ΠΎΠΎΠ±ΡΠ°Π·ΠΎΠ²Π°Π½ΠΈΠ΅, Π·Π°ΠΏΠΎΠ»Π½Π΅Π½Π½ΠΎΠ΅ Π²Π½ΡΡΡΠΈ ΠΆΠΈΠ΄ΠΊΠΎΡΡΡΡ. ΠΠΏΡΡ ΠΎΠ»Ρ ΠΏΠΎΠΊΡΡΡΠ° ΡΠ²Π΅ΡΡ Ρ ΡΠΎΠ½ΠΊΠΎΠΉ ΠΎΠ±ΠΎΠ»ΠΎΡΠΊΠΎΠΉ, ΠΊΠΎΡΠΎΡΠ°Ρ ΠΌΠΎΠΆΠ΅Ρ ΠΏΠΎΠ²ΡΠ΅ΠΆΠ΄Π°ΡΡΡΡ Ρ ΠΈΠ·Π»ΠΈΡΠΈΠ΅ΠΌ ΡΠΎΠ΄Π΅ΡΠΆΠΈΠΌΠΎΠ³ΠΎ Π² Π·Π°Π±ΡΡΡΠΈΠ½Π½ΠΎΠ΅ ΠΏΡΠΎΡΡΡΠ°Π½ΡΡΠ²ΠΎ ΠΈΠ»ΠΈ ΡΠ°ΡΠ΅ΡΠ½ΠΎ-Π»ΠΎΡ Π°Π½ΠΎΡΠ½ΡΡ ΠΎΠ±Π»Π°ΡΡΡ. Π’Π°ΠΊΠΆΠ΅ ΠΊΠΈΡΡΠΎΠ·Π½ΡΠ΅ ΠΎΠ±ΡΠ°Π·ΠΎΠ²Π°Π½ΠΈΡ ΠΏΠΎΠ΄Π²Π΅ΡΠΆΠ΅Π½Ρ ΠΈΠ½ΡΠΈΡΠΈΡΠΎΠ²Π°Π½ΠΈΡ Ρ ΠΏΠΎΡΠ²Π»Π΅Π½ΠΈΠ΅ΠΌ ΡΠΈΠΌΠΏΡΠΎΠΌΠΎΠ² ΠΏΠΈΠ΅Π»ΠΎΠ½Π΅ΡΡΠΈΡΠ° ΠΈ Π΄ΡΡΠ³ΠΈΡ ΠΏΠΎΠ΄ΠΎΠ±Π½ΡΡ ΠΎΡΠ»ΠΎΠΆΠ½Π΅Π½ΠΈΠΉ. ΠΠΎΡΡΠΎΠΌΡ ΠΏΠΎΡΠ»Π΅ ΠΎΠ±Π½Π°ΡΡΠΆΠ΅Π½ΠΈΡ ΠΊΠΈΡΡΡ ΠΏΠΎΡΠΊΠΈ Π½Π΅ΠΎΠ±Ρ ΠΎΠ΄ΠΈΠΌΠΎ ΠΊΠ°ΠΊ ΠΌΠΎΠΆΠ½ΠΎ ΡΠΊΠΎΡΠ΅Π΅ Π½Π°ΡΠ°ΡΡ ΡΡΡΠ΅ΠΊΡΠΈΠ²Π½ΠΎΠ΅ Π»Π΅ΡΠ΅Π½ΠΈΠ΅. ΠΠ½ΠΎ ΠΏΠΎΠ·Π²ΠΎΠ»ΠΈΡ ΠΏΡΠ΅Π΄ΡΠΏΡΠ΅Π΄ΠΈΡΡ Π½Π΅Π±Π»Π°Π³ΠΎΠΏΡΠΈΡΡΠ½ΡΠ΅ ΠΏΠΎΡΠ»Π΅Π΄ΡΡΠ²ΠΈΡ Π΄Π»Ρ Π·Π΄ΠΎΡΠΎΠ²ΡΡ Π² Π±ΡΠ΄ΡΡΠ΅ΠΌ.
ΠΡΠΈΡΠΈΠ½Ρ ΠΏΠΎΡΠ²Π»Π΅Π½ΠΈΡ ΠΊΠΈΡΡΡ ΠΏΠΎΡΠ΅ΠΊ
Π ΠΎΡΠ½ΠΎΠ²Π΅ ΡΠΎΡΠΌΠΈΡΠΎΠ²Π°Π½ΠΈΡ ΠΊΠΈΡΡΡ ΠΏΠΎΡΠ΅ΠΊ Π»Π΅ΠΆΠ°Ρ Π²ΠΎΡΠΏΠ°Π»ΠΈΡΠ΅Π»ΡΠ½ΡΠ΅ ΠΏΡΠΎΡΠ΅ΡΡΡ, ΠΊΠΎΡΠΎΡΡΠ΅ ΠΏΡΠΎΠ²ΠΎΡΠΈΡΡΡΡ Π½Π°ΡΡΡΠ΅Π½ΠΈΡ Π² ΡΠΎΡΡΠ΅ ΡΠΏΠΈΡΠ΅Π»ΠΈΠ°Π»ΡΠ½ΠΎΠΉ ΡΠΊΠ°Π½ΠΈ ΠΈ ΡΠΏΠΎΡΠΎΠ±ΡΡΠ²ΡΡΡ ΠΏΠΎΡΠ²Π»Π΅Π½ΠΈΡ ΡΠΎΠ½ΠΊΠΎΡΡΠ΅Π½Π½ΡΡ ΠΎΠ±ΡΠ°Π·ΠΎΠ²Π°Π½ΠΈΠΉ. Π’Π°ΠΊΠΈΠ΅ Π·Π°Π±ΠΎΠ»Π΅Π²Π°Π½ΠΈΡ ΠΊΠ°ΠΊ ΠΏΠΈΠ΅Π»ΠΎΠ½Π΅ΡΡΠΈΡ, Π³Π»ΠΎΠΌΠ΅ΡΡΠ»ΠΎΠ½Π΅ΡΡΠΈΡ ΡΠ°ΡΠ΅ Π²ΡΠ΅Π³ΠΎ ΡΠΎΠΏΡΠΎΠ²ΠΎΠΆΠ΄Π°ΡΡΡΡ ΠΏΠΎΡΠ²Π»Π΅Π½ΠΈΠ΅ΠΌ ΠΊΠΈΡΡΠΎΠ·Π½ΡΡ ΠΎΠΏΡΡ ΠΎΠ»Π΅ΠΉ.
ΠΡΡΠΈΠ½Π½ΡΠ΅ ΠΊΠΈΡΡΡ ΠΏΠΎΡΠ²Π»ΡΡΡΡΡ ΠΈΠ·-Π·Π° ΠΏΠΎΠ²ΡΠ΅ΠΆΠ΄Π΅Π½ΠΈΡ ΠΊΠ°Π½Π°Π»ΡΡΠ΅Π² ΡΡΡΡΠΊΡΡΡΠ½ΠΎ-ΡΡΠ½ΠΊΡΠΈΠΎΠ½Π°Π»ΡΠ½ΡΡ
Π΅Π΄ΠΈΠ½ΠΈΡ ΠΏΠΎΡΠ΅ΠΊ β Π½Π΅ΡΡΠΎΠ½ΠΎΠ².
ΠΠ°ΠΌΠ΅ΡΠ΅Π½ ΡΠΎΡ ΡΠ°ΠΊΡ, ΡΡΠΎ ΠΊΠΈΡΡΡ ΠΏΠΎΡΠ΅ΠΊ ΡΠ°ΡΠ΅ Π²ΡΠ΅Π³ΠΎ Π²ΡΡΡΠ΅ΡΠ°ΡΡΡΡ Ρ Π»ΡΠ΄Π΅ΠΉ, ΠΊΠΎΡΠΎΡΡΠ΅ ΡΡΡΠ°Π΄Π°ΡΡ ΠΎΠΆΠΈΡΠ΅Π½ΠΈΠ΅ΠΌ ΠΈ ΡΠ°Ρ Π°ΡΠ½ΡΠΌ Π΄ΠΈΠ°Π±Π΅ΡΠΎΠΌ. ΠΡΠΈ Π·Π°Π±ΠΎΠ»Π΅Π²Π°Π½ΠΈΡ ΡΠΎΠΏΡΠΎΠ²ΠΎΠΆΠ΄Π°ΡΡΡΡ Π½Π°ΡΡΡΠ΅Π½ΠΈΠ΅ΠΌ ΠΊΡΠΎΠ²ΠΎΡΠΎΠΊΠ° ΠΈ ΠΏΠΈΡΠ°Π½ΠΈΡ ΠΎΡΠ³Π°Π½ΠΎΠ², Π² ΡΠΎΠΌ ΡΠΈΡΠ»Π΅ ΡΠ°ΡΠΏΠΎΠ»ΠΎΠΆΠ΅Π½Π½ΡΡ Π² ΠΌΠ°Π»ΠΎΠΌ ΡΠ°Π·Ρ. Π ΡΠ΅Π·ΡΠ»ΡΡΠ°ΡΠ΅ ΠΏΡΠΎΠΈΡΡ ΠΎΠ΄ΠΈΡ ΡΠ°Π·ΡΠ°ΡΡΠ°Π½ΠΈΠ΅ ΡΠΎΠ΅Π΄ΠΈΠ½ΠΈΡΠ΅Π»ΡΠ½ΠΎΠΉ ΡΠΊΠ°Π½ΠΈ, ΠΊΠΎΡΠΎΡΠ°Ρ ΡΡΠΈΡΠ°Π΅ΡΡΡ ΠΌΠ΅Π½Π΅Π΅ ΡΡΠ΅Π±ΠΎΠ²Π°ΡΠ΅Π»ΡΠ½ΠΎΠΉ ΠΊ ΠΏΠΎΡΡΠΎΡΠ½Π½ΠΎΠΌΡ ΠΏΠΎΡΡΡΠΏΠ»Π΅Π½ΠΈΡ ΠΊΠΈΡΠ»ΠΎΡΠΎΠ΄Π° ΠΈ Π°ΠΊΡΠΈΠ²Π½ΠΎ ΡΠ²Π΅Π»ΠΈΡΠΈΠ²Π°Π΅ΡΡΡ Π² ΡΠ°Π·ΠΌΠ΅ΡΠ΅.
ΠΡΠ»ΠΈ ΠΏΠ΅ΡΠ²ΠΈΡΠ½Π°Ρ ΠΊΠΈΡΡΠ° ΡΡΠ°Π½ΠΎΠ²ΠΈΡΡΡ Π±ΠΎΠ»ΡΡΠΎΠΉ, ΠΎΠ½Π° Π²ΡΠ·ΡΠ²Π°Π΅Ρ ΡΠ΄Π°Π²Π»Π΅Π½ΠΈΠ΅ ΠΎΠΊΡΡΠΆΠ°ΡΡΠΈΡ
ΡΠΊΠ°Π½Π΅ΠΉ. ΠΡΠΎ ΠΌΠΎΠΆΠ΅Ρ ΠΏΡΠΈΠ²ΠΎΠ΄ΠΈΡΡ ΠΊ ΠΏΠΎΡΠ²Π»Π΅Π½ΠΈΡ Π²ΡΠΎΡΠΈΡΠ½ΡΡ
Π½ΠΎΠ²ΠΎΠΎΠ±ΡΠ°Π·ΠΎΠ²Π°Π½ΠΈΠΉ. ΠΡΡΠΏΠ½ΡΠ΅ ΠΊΠΈΡΡΡ Π½Π°ΡΡΡΠ°ΡΡ ΠΎΡΡΠΎΠΊ ΠΌΠΎΡΠΈ ΠΈ ΡΠ΄Π°Π²Π»ΠΈΠ²Π°ΡΡ ΡΠΎΡΡΠ΄Ρ, ΠΊΠΎΡΠΎΡΡΠ΅ ΠΏΠΈΡΠ°ΡΡ ΠΏΠΎΡΠΊΠΈ, Π° ΡΠ°ΠΊΠΆΠ΅ ΡΠ°Π·Π΄ΡΠ°ΠΆΠ°ΡΡ Π½Π΅ΡΠ²Π½ΡΠ΅ ΠΎΠΊΠΎΠ½ΡΠ°Π½ΠΈΡ, Π²ΡΠ·ΡΠ²Π°Ρ Π±ΠΎΠ»Π΅Π²ΠΎΠΉ ΡΠΈΠ½Π΄ΡΠΎΠΌ.
Π‘ΠΈΠΌΠΏΡΠΎΠΌΡ Π·Π°Π±ΠΎΠ»Π΅Π²Π°Π½ΠΈΡ
ΠΠΈΡΡΡ ΠΏΠΎΡΠ΅ΠΊ ΡΠ°ΡΡΠΎ ΠΏΡΠΎΡΠ΅ΠΊΠ°ΡΡ Π±Π΅Π· Π²ΡΡΠ°ΠΆΠ΅Π½Π½ΡΡ ΡΠΈΠΌΠΏΡΠΎΠΌΠΎΠ². ΠΡΠΎ ΠΎΠ±ΡΡΡΠ½ΡΠ΅ΡΡΡ ΠΌΠ΅Π΄Π»Π΅Π½Π½ΡΠΌ ΡΠΎΡΡΠΎΠΌ ΠΎΠ±ΡΠ°Π·ΠΎΠ²Π°Π½ΠΈΡ. ΠΠΈΡΡΠ° Π΄Π°Π²ΠΈΡ Π½Π° ΠΊΡΠΎΠ²Π΅Π½ΠΎΡΠ½ΡΠ΅ ΡΠΎΡΡΠ΄Ρ, ΠΈ ΡΠ΅ΠΌ ΠΎΠ½Π° Π±ΠΎΠ»ΡΡΠ΅, ΡΠ΅ΠΌ Π·Π°ΠΌΠ΅ΡΠ½Π΅Π΅ ΠΏΡΠΈΠ·Π½Π°ΠΊΠΈ Π±ΠΎΠ»Π΅Π·Π½ΠΈ.
ΠΡΠ½ΠΎΠ²Π½ΡΠ΅ ΡΠΈΠΌΠΏΡΠΎΠΌΡ:
- ΠΠΎΠ»ΠΈ Π² ΠΎΠ±Π»Π°ΡΡΠΈ ΠΏΠΎΡΡΠ½ΠΈΡΡ.
- ΠΠΎΠ»Π΅Π±Π°Π½ΠΈΡ Π°ΡΡΠ΅ΡΠΈΠ°Π»ΡΠ½ΠΎΠ³ΠΎ Π΄Π°Π²Π»Π΅Π½ΠΈΡ.
- Π‘ΠΊΠ»ΠΎΠ½Π½ΠΎΡΡΡ ΠΊ ΠΎΡΠ΅ΠΊΠ°ΠΌ.
- Π‘Π½ΠΈΠΆΠ΅Π½ΠΈΠ΅ ΠΊΠΎΠ»ΠΈΡΠ΅ΡΡΠ²Π° ΡΡΡΠΎΡΠ½ΠΎΠΉ ΠΌΠΎΡΠΈ.
- Π‘Π»Π°Π±ΠΎΡΡΡ ΠΈ ΠΏΠΎΠ²ΡΡΠ΅Π½Π½Π°Ρ ΡΡΠΎΠΌΠ»ΡΠ΅ΠΌΠΎΡΡΡ.
- ΠΠΎΡΠ²Π»Π΅Π½ΠΈΠ΅ ΠΊΡΠΎΠ²ΠΈ Π² ΠΌΠΎΡΠ΅.
- Π§Π°ΡΡΡΠ΅ ΠΏΠΎΠ·ΡΠ²Ρ ΠΊ ΠΌΠΎΡΠ΅ΠΈΡΠΏΡΡΠΊΠ°Π½ΠΈΡ.
Π ΠΏΠΎΡΠΊΠ°Ρ
ΡΠ°ΡΠΏΠΎΠ»ΠΎΠΆΠ΅Π½ ΡΠΊΡΡΠ°Π³Π»ΠΎΠΌΠ΅ΡΡΠ»ΡΡΠ½ΡΠΉ ΠΊΠΎΠΌΠΏΠ»Π΅ΠΊΡ, ΠΊΠΎΡΠΎΡΡΠΉ ΠΎΡΠ²Π΅ΡΠ°Π΅Ρ Π·Π° ΡΡΠ½ΠΊΡΠΈΠΎΠ½Π°Π»ΡΠ½ΠΎΡΡΡ Π½Π΅ΡΡΠΎΠ½Π° ΠΈ ΡΠ²Π»ΡΠ΅ΡΡΡ Π΅Π³ΠΎ Π²Π°ΠΆΠ½ΠΎΠΉ ΡΠ°ΡΡΡΡ. ΠΠΈΡΡΠ° ΠΏΡΠΈ ΡΠ²Π΅Π»ΠΈΡΠ΅Π½ΠΈΠΈ ΡΠ°Π·ΠΌΠ΅ΡΠ° Π²ΠΎΠ·Π΄Π΅ΠΉΡΡΠ²ΡΠ΅Ρ Π½Π° ΡΡΠΈ ΡΡΡΡΠΊΡΡΡΡ, ΠΊΠΎΡΠΎΡΡΠ΅ Π½Π°ΡΠΈΠ½Π°ΡΡ ΠΈΠ·Π±ΡΡΠΎΡΠ½ΠΎ Π²ΡΠ΄Π΅Π»ΡΡΡ ΡΠ΅ΡΠΌΠ΅Π½Ρ ΡΠ΅Π½ΠΈΠ½. ΠΡΠ½ΠΎΠ²Π½Π°Ρ Π΅Π³ΠΎ ΡΠΎΠ»Ρ Π·Π°ΠΊΠ»ΡΡΠ°Π΅ΡΡΡ Π² ΡΠΎΡ
ΡΠ°Π½Π΅Π½ΠΈΠΈ Π±Π°Π»Π°Π½ΡΠ° ΠΎΠ±ΡΠ΅ΠΌΠ° ΠΆΠΈΠ΄ΠΊΠΎΡΡΠΈ. ΠΠΌΠ΅Π½Π½ΠΎ ΠΏΠΎΡΡΠΎΠΌΡ ΠΏΡΠΈ ΠΊΠΈΡΡΠ°Ρ
ΠΏΠΎΡΠ΅ΠΊ ΠΏΠΎΡΠ²Π»ΡΡΡΡΡ ΡΠ°ΠΊΠΈΠ΅ ΡΠΈΠΌΠΏΡΠΎΠΌΡ ΠΊΠ°ΠΊ ΠΊΠΎΠ»Π΅Π±Π°Π½ΠΈΡ Π°ΡΡΠ΅ΡΠΈΠ°Π»ΡΠ½ΠΎΠ³ΠΎ Π΄Π°Π²Π»Π΅Π½ΠΈΡ, ΠΎΡΠ΅ΠΊΠΈ, Π³ΠΎΠ»ΠΎΠ²Π½ΡΠ΅ Π±ΠΎΠ»ΠΈ.
ΠΠ±ΡΠ°Π·ΠΎΠ²Π°Π½ΠΈΡ Π±ΠΎΠ»ΡΡΠΎΠ³ΠΎ ΡΠ°Π·ΠΌΠ΅ΡΠ° Π½Π°ΡΡΡΠ°ΡΡ ΡΡΠΎΠ΄ΠΈΠ½Π°ΠΌΠΈΠΊΡ, ΡΠΎΠΊΡΠ°ΡΠ°ΡΡ ΡΠ°Π·ΠΌΠ΅Ρ Π»ΠΎΡ Π°Π½ΠΊΠΈ, ΠΏΡΠΈΠ²ΠΎΠ΄ΡΡ ΠΊ ΡΠ΄Π°Π²Π»Π΅Π½ΠΈΡ ΠΌΠΎΡΠ΅ΡΠΎΡΠ½ΠΈΠΊΠ°. ΠΠ·-Π·Π° ΡΡΠΎΠ³ΠΎ ΠΏΠΎΡΠ²Π»ΡΡΡΡΡ ΡΡΠ°ΡΠ΅Π½Π½ΠΎΠ΅ ΠΏΠΎΠ·ΡΠ²Ρ ΠΊ ΠΌΠΎΡΠ΅ΠΈΡΠΏΡΡΠΊΠ°Π½ΠΈΡ. ΠΠ°Π΄Π΅ΡΠΆΠΊΠ° ΠΌΠΎΡΠΈ Π²ΡΠ·ΡΠ²Π°Π΅Ρ ΠΈΠ½ΡΠΎΠΊΡΠΈΠΊΠ°ΡΠΈΡ ΠΎΡΠ³Π°Π½ΠΈΠ·ΠΌΠ°. ΠΡΠΈ Π±ΠΎΠ»ΡΡΠΈΡ ΠΊΠΈΡΡΠ°Ρ ΠΏΠΎΡΠ΅ΠΊ Π±ΠΎΠ»ΡΠ½ΡΠ΅ ΠΆΠ°Π»ΡΡΡΡΡ Π½Π° ΠΏΠΎΡΡΠΎΡΠ½Π½ΡΡ ΡΠΈΠ·ΠΈΡΠ΅ΡΠΊΡΡ ΡΠ»Π°Π±ΠΎΡΡΡ, ΠΏΠΎΠ²ΡΡΠ΅Π½Π½ΡΡ ΡΡΠΎΠΌΠ»ΡΠ΅ΠΌΠΎΡΡΡ ΠΈ Π³ΠΎΠ»ΠΎΠ²Π½ΡΠ΅ Π±ΠΎΠ»ΠΈ. ΠΡΠΈ ΠΏΡΠΈΠ·Π½Π°ΠΊΠΈ ΡΠ²Π»ΡΡΡΡΡ ΡΠ΅Π·ΡΠ»ΡΡΠ°ΡΠΎΠΌ Ρ ΡΠΎΠ½ΠΈΡΠ΅ΡΠΊΠΎΠΉ ΠΈΠ½ΡΠΎΠΊΡΠΈΠΊΠ°ΡΠΈΠΈ ΠΎΡΠ³Π°Π½ΠΈΠ·ΠΌΠ° ΠΈΠ·-Π·Π° Π·Π°ΡΡΠΎΡ ΠΌΠΎΡΠΈ.
ΠΡΠΈ ΠΏΡΠΈΡΠΎΠ΅Π΄ΠΈΠ½Π΅Π½ΠΈΠΈ Π²ΡΠΎΡΠΈΡΠ½ΠΎΠΉ ΠΈΠ½ΡΠ΅ΠΊΡΠΈΠΈ ΠΈ Π½Π°Π³Π½ΠΎΠ΅Π½ΠΈΠΈ ΠΊΠΈΡΡΡ ΡΠΈΠΌΠΏΡΠΎΠΌΡ Π±ΠΎΠ»Π΅Π·Π½ΠΈ ΡΡΠΈΠ»ΠΈΠ²Π°ΡΡΡΡ. ΠΠΎΠ»ΠΈ Π½Π°ΡΠΈΠ½Π°ΡΡ ΠΎΡΠ΄Π°Π²Π°ΡΡ Π² ΠΎΠ±Π»Π°ΡΡΡ ΠΏΠ°Ρ Π°, ΠΏΠΎΠ²ΡΡΠ°Π΅ΡΡΡ ΡΠ΅ΠΌΠΏΠ΅ΡΠ°ΡΡΡΠ° ΡΠ΅Π»Π°. Π’Π°ΠΊΠΈΠ΅ ΠΏΡΠΈΠ·Π½Π°ΠΊΠΈ ΠΌΠΎΠ³ΡΡ ΡΠΊΠ°Π·ΡΠ²Π°ΡΡ Π½Π° ΡΠΈΡΠΊ ΡΠ°Π·ΡΡΠ²Π° ΡΡΠ΅Π½ΠΊΠΈ ΠΎΠΏΡΡ ΠΎΠ»ΠΈ. ΠΡΠΎ ΠΎΡΠ»ΠΎΠΆΠ½Π΅Π½ΠΈΠ΅ ΡΠΎΠΏΡΠΎΠ²ΠΎΠΆΠ΄Π°Π΅ΡΡΡ ΠΊΡΠΎΠ²ΠΎΠΈΠ·Π»ΠΈΡΠ½ΠΈΠ΅ΠΌ Π² ΠΏΠΎΡΠΊΡ ΠΈ ΠΌΠΎΠΆΠ΅Ρ ΠΏΡΠΈΠ²ΠΎΠ΄ΠΈΡΡ ΠΊ ΠΎΠΏΠ°ΡΠ½ΡΠΌ Π΄Π»Ρ ΠΆΠΈΠ·Π½ΠΈ ΠΏΠΎΡΠ»Π΅Π΄ΡΡΠ²ΠΈΡΠΌ. ΠΡΠΈ ΡΡΠΈΠ»Π΅Π½ΠΈΠΈ Π±ΠΎΠ»ΠΈ Π² ΠΎΠ±Π»Π°ΡΡΠΈ ΠΏΠΎΡΡΠ½ΠΈΡΡ, ΠΎΡΠΎΠ±Π΅Π½Π½ΠΎ Π½Π° ΡΠΎΠ½Π΅ ΡΠΈΠ·ΠΈΡΠ΅ΡΠΊΠΎΠ³ΠΎ Π½Π°ΠΏΡΡΠΆΠ΅Π½ΠΈΡ, ΠΏΡΡΠΆΠΊΠΎΠ² ΠΈΠ»ΠΈ Π±Π΅Π³Π° Π½Π΅ΠΎΠ±Ρ ΠΎΠ΄ΠΈΠΌΠΎ Π½Π΅Π·Π°ΠΌΠ΅Π΄Π»ΠΈΡΠ΅Π»ΡΠ½ΠΎ ΠΎΠ±ΡΠ°ΡΠΈΡΡΡΡ Π·Π° ΠΌΠ΅Π΄ΠΈΡΠΈΠ½ΡΠΊΠΎΠΉ ΠΏΠΎΠΌΠΎΡΡΡ.
ΠΠΈΠ΄Ρ ΠΊΠΈΡΡ ΠΏΠΎΡΠ΅ΠΊ
Π ΡΠΎΠ²ΡΠ΅ΠΌΠ΅Π½Π½ΠΎΠΉ Π½Π΅ΡΡΠΎΠ»ΠΎΠ³ΠΈΠΈ ΠΈΡΠΏΠΎΠ»ΡΠ·ΡΠ΅ΡΡΡ ΠΊΠ»Π°ΡΡΠΈΡΠΈΠΊΠ°ΡΠΈΡ ΠΊΠΈΡΡ ΠΏΠΎΡΠ΅ΠΊ ΠΏΠΎ Bosniak M.
ΠΠ½ ΠΏΡΠ΅Π΄Π»ΠΎΠΆΠΈΠ» ΡΠ°Π·Π΄Π΅Π»ΠΈΡΡ Π½ΠΎΠ²ΠΎΠΎΠ±ΡΠ°Π·ΠΎΠ²Π°Π½ΠΈΡ Π½Π° Π½Π΅ΡΠΊΠΎΠ»ΡΠΊΠΎ ΠΊΠ°ΡΠ΅Π³ΠΎΡΠΈΠΉ:
- I. ΠΡΠΎΡΡΡΠ΅ ΠΏΠΎΡΠ΅ΡΠ½ΡΠ΅ ΠΊΠΈΡΡΡ Ρ ΠΎΠ΄Π½ΠΎΠΉ ΠΊΠ°ΠΌΠ΅ΡΠΎΠΉ ΠΈ ΠΌΠΈΠ½ΠΈΠΌΠ°Π»ΡΠ½ΡΠΌ ΡΠΈΡΠΊΠΎΠΌ ΠΎΠ·Π»ΠΎΠΊΠ°ΡΠ΅ΡΡΠ²Π»Π΅Π½ΠΈΡ. ΠΠ½ΠΈ Π½Π΅ ΡΡΠ΅Π±ΡΡΡ Ρ ΠΈΡΡΡΠ³ΠΈΡΠ΅ΡΠΊΠΎΠ³ΠΎ Π»Π΅ΡΠ΅Π½ΠΈΡ. ΠΠΎ Π·Π° ΡΠ°ΠΊΠΈΠΌΠΈ ΠΊΠΈΡΡΠ°ΠΌΠΈ Π½Π΅ΠΎΠ±Ρ ΠΎΠ΄ΠΈΠΌΠΎ ΡΠ΅Π³ΡΠ»ΡΡΠ½ΠΎ Π½Π°Π±Π»ΡΠ΄Π°ΡΡ, ΠΊΠΎΠ½ΡΡΠΎΠ»ΠΈΡΠΎΠ²Π°ΡΡ ΠΈΡ ΡΠΎΡΡ ΠΈ ΡΠΎΡΡΠΎΡΠ½ΠΈΠ΅ Ρ ΠΏΠΎΠΌΠΎΡΡΡ ΡΠ»ΡΡΡΠ°Π·Π²ΡΠΊΠΎΠ²ΠΎΠΉ Π΄ΠΈΠ°Π³Π½ΠΎΡΡΠΈΠΊΠΈ.
- II. ΠΠΎΠ±ΡΠΎΠΊΠ°ΡΠ΅ΡΡΠ²Π΅Π½Π½ΡΠ΅ ΠΊΠΈΡΡΡ ΠΏΠΎΡΠ΅ΠΊ Ρ Π²Π½ΡΡΡΠΈΠΊΠ°ΠΌΠ΅ΡΠ½ΡΠΌΠΈ ΠΏΠ΅ΡΠ΅Π³ΠΎΡΠΎΠ΄ΠΊΠ°ΠΌΠΈ. Π‘ΠΎΠ΄Π΅ΡΠΆΠ°Ρ ΡΡΠ°ΡΡΠΊΠΈ ΠΊΠ°Π»ΡΡΠΈΡΠΈΠΊΠ°ΡΠΈΠΈ, Π΄ΠΈΠ°ΠΌΠ΅ΡΡ ΠΊΠΎΡΠΎΡΡΡ Π½Π΅ ΠΏΡΠ΅Π²ΡΡΠ°Π΅Ρ 3 ΡΠΌ. Π’ΡΠ΅Π±ΡΡΡ ΠΏΡΠΎΠ²Π΅Π΄Π΅Π½ΠΈΡ ΡΠ΅Π³ΡΠ»ΡΡΠ½ΠΎΠ³ΠΎ ΠΊΠΎΠ½ΡΡΠΎΠ»Ρ Ρ ΠΏΠΎΠΌΠΎΡΡΡ ΡΠ»ΡΡΡΠ°Π·Π²ΡΠΊΠ° ΠΈ ΠΏΠΎΡΠ»Π΅Π΄ΡΡΡΠ΅Π³ΠΎ ΡΠ΄Π°Π»Π΅Π½ΠΈΡ Π² ΡΠ»ΡΡΠ°Π΅ ΡΠ΅Π·ΠΊΠΎΠ³ΠΎ ΡΠΎΡΡΠ° ΠΎΠΏΡΡ ΠΎΠ»ΠΈ, ΡΡΠΎΠ»ΡΠ΅Π½ΠΈΡ Π΅Π΅ ΡΡΠ΅Π½ΠΎΠΊ ΠΈΠ»ΠΈ Π΄ΡΡΠ³ΠΈΡ Π½Π΅Π±Π»Π°Π³ΠΎΠΏΡΠΈΡΡΠ½ΡΡ ΠΈΠ·ΠΌΠ΅Π½Π΅Π½ΠΈΠΉ.
- III. ΠΡΠ»ΠΎΠΆΠ½Π΅Π½Π½ΡΠ΅ ΠΊΠΈΡΡΡ Ρ ΡΠΎΠ»ΡΡΡΠΌΠΈ ΡΡΠ΅Π½ΠΊΠ°ΠΌΠΈ ΠΈ ΠΌΠ½ΠΎΠΆΠ΅ΡΡΠ²Π΅Π½Π½ΡΠΌΠΈ ΠΏΠ΅ΡΠ΅Π³ΠΎΡΠΎΠ΄ΠΊΠ°ΠΌΠΈ. ΠΠΌΠ΅ΡΡ ΡΠΈΡΠΊ ΠΎΠ·Π»ΠΎΠΊΠ°ΡΠ΅ΡΡΠ²Π»Π΅Π½ΠΈΡ ΠΈ Π±ΠΎΠ»ΡΡΠΈΠ΅ ΠΊΠ°Π»ΡΡΠΈΡΠΈΡΠΈΡΠΎΠ²Π°Π½Π½ΡΠ΅ ΡΡΠ°ΡΡΠΊΠΈ. ΠΠΎΠ΄Π»Π΅ΠΆΠ°Ρ Ρ ΠΈΡΡΡΠ³ΠΈΡΠ΅ΡΠΊΠΎΠΌΡ ΡΠ΄Π°Π»Π΅Π½ΠΈΡ.
- IV. ΠΠΈΡΡΡ Ρ Π±ΡΠ³ΡΠΈΡΡΡΠΌΠΈ ΠΊΠΎΠ½ΡΡΡΠ°ΠΌΠΈ, Π½Π΅ΠΎΠ΄Π½ΠΎΡΠΎΠ΄Π½ΡΠΌΠΈ ΡΡΠ΅Π½ΠΊΠ°ΠΌΠΈ ΠΈ ΡΡΠΎΠ»ΡΠ΅Π½Π½ΡΠΌΠΈ ΠΏΠ΅ΡΠ΅Π³ΠΎΡΠΎΠ΄ΠΊΠ°ΠΌΠΈ. ΠΠΌΠ΅ΡΡ ΠΏΡΠΈΠ·Π½Π°ΠΊΠΈ ΠΊΠΎΠ½ΡΡΠ°ΡΡΠ½ΠΎΠ³ΠΎ ΡΡΠΈΠ»Π΅Π½ΠΈΡ, ΠΏΠΎΠ΄Π»Π΅ΠΆΠ°Ρ ΡΡΠΎΡΠ½ΠΎΠΌΡ ΠΎΠΏΠ΅ΡΠ°ΡΠΈΠ²Π½ΠΎΠΌΡ Π»Π΅ΡΠ΅Π½ΠΈΡ ΠΈΠ·-Π·Π° Π²ΡΡΠΎΠΊΠΎΠ³ΠΎ ΡΠΈΡΠΊΠ° ΠΎΠ·Π»ΠΎΠΊΠ°ΡΠ΅ΡΡΠ²Π»Π΅Π½ΠΈΡ ΡΠΊΠ°Π½Π΅ΠΉ.

ΠΠΈΡΡΡ III-IV ΠΊΠ°ΡΠ΅Π³ΠΎΡΠΈΠΉ ΠΌΠΎΠ³ΡΡ ΠΏΠ΅ΡΠ΅ΡΠΎΠΆΠ΄Π°ΡΡΡΡ Π² ΠΊΠΈΡΡΠΎΠ·Π½ΡΠΉ ΡΠ°ΠΊ ΠΏΠΎΡΠΊΠΈ. ΠΠ° Π΅Π³ΠΎ Π΄ΠΎΡ ΠΏΡΠΈΡ ΠΎΠ΄ΠΈΡΡΡ 10-15% Π²ΡΠ΅Ρ Π½ΠΎΠ²ΠΎΠΎΠ±ΡΠ°Π·ΠΎΠ²Π°Π½ΠΈΠΉ ΡΠ°ΠΊΠΎΠ³ΠΎ ΡΠΈΠΏΠ°. ΠΠΈΡΡΡ ΠΌΠΎΠ³ΡΡ Π½Π°Ρ ΠΎΠ΄ΠΈΡΡΡΡ ΠΏΠΎΠ΄ ΠΊΠ°ΠΏΡΡΠ»ΠΎΠΉ, Π² ΠΎΠ±Π»Π°ΡΡΠΈ Π²ΠΎΡΠΎΡ ΠΎΡΠ³Π°Π½Π° ΠΈ Π΅Π³ΠΎ Π»ΠΎΡ Π°Π½ΠΎΠΊ, Π° ΡΠ°ΠΊΠΆΠ΅ Π½Π΅ΠΏΠΎΡΡΠ΅Π΄ΡΡΠ²Π΅Π½Π½ΠΎ Π²Π½ΡΡΡΠΈ ΡΠΊΠ°Π½Π΅ΠΉ. Π ΠΈΡΠΊ ΠΎΠ·Π»ΠΎΠΊΠ°ΡΠ΅ΡΡΠ²Π»Π΅Π½ΠΈΡ ΡΠ°ΠΊΠΈΡ ΠΎΠΏΡΡ ΠΎΠ»Π΅ΠΉ Π΄ΠΎΡΡΠ°ΡΠΎΡΠ½ΠΎ Π²ΡΡΠΎΠΊΠΈΠΉ, ΠΎΡΠΎΠ±Π΅Π½Π½ΠΎ Π΅ΡΠ»ΠΈ ΠΎΠ½ΠΈ ΡΠΊΠ»ΠΎΠ½Π½Ρ ΠΊ Π±ΡΡΡΡΠΎΠΌΡ ΡΠΎΡΡΡ, ΠΏΠΎΡΠ²Π»Π΅Π½ΠΈΡ Π½Π΅ΠΎΠ΄Π½ΠΎΡΠΎΠ΄Π½ΡΡ ΠΏΠΎ ΡΡΡΡΠΊΡΡΡΠ΅ ΡΡΠ΅Π½ΠΎΠΊ.
Π‘ΠΊΠΈΠ΄ΠΊΠ° Π½Π° ΠΏΠ΅ΡΠ²ΠΈΡΠ½ΡΠΉ ΠΏΡΠΈΠ΅ΠΌ Π²ΡΠ°ΡΠ° Π² ΡΠ΅Π²ΡΠ°Π»Π΅ΠΠΊΡΠΈΡ -15%
Π ΡΠ΅Π²ΡΠ°Π»Π΅ ΠΏΠ΅ΡΠ²ΠΈΡΠ½ΡΠΉ ΠΏΡΠΈΠ΅ΠΌ Π²ΡΠ°ΡΠ°, Ρ ΠΊΠΎΡΠΎΡΠΎΠ³ΠΎ Π²Ρ Π΅ΡΡ Π½ΠΈ ΡΠ°Π·Ρ Π½Π΅ Π±ΡΠ»ΠΈ, Π² ΡΠΎΠΌ ΡΠΈΡΠ»Π΅ ΠΠ ΠΠΠΠΠΠ ΠΠ΅ΠΉΠ±ΠΈ, ΡΠΎ ΡΠΊΠΈΠ΄ΠΊΠΎΠΉ β ΠΎΡ 2 125 β½ Π²ΠΌΠ΅ΡΡΠΎ 2 500 β½.
ΠΠΎΠ΄ΡΠΎΠ±Π½Π΅Π΅
ΠΠ°ΡΡΠ°Π½ΠΎΠ² Π.Π. Π Π»Π΅ΡΠ΅Π½ΠΈΠΈ Π² Π¦Π΅Π½ΡΡΠ΅ ΡΡΠΎΠ»ΠΎΠ³ΠΈΠΈ ΠΠ ΠΠΠΠΠΠ
ΠΠΈΠ°Π³Π½ΠΎΡΡΠΈΠΊΠ° ΠΊΠΈΡΡΡ ΠΏΠΎΡΠ΅ΠΊ
ΠΠ±ΡΠ»Π΅Π΄ΠΎΠ²Π°Π½ΠΈΠ΅ ΠΏΡΠΈ ΠΊΠΈΡΡΠ°Ρ
Π² ΠΏΠΎΡΠΊΠ°Ρ
Π½Π°Π·Π½Π°ΡΠ°Π΅Ρ Π²ΡΠ°Ρ-Π½Π΅ΡΡΠΎΠ»ΠΎΠ³. Π’Π°ΠΊΠΆΠ΅ ΠΏΠ°ΡΠΈΠ΅Π½ΡΡ ΠΌΠΎΠ³ΡΡ ΠΎΠ±ΡΠ°ΡΠΈΡΡΡΡ ΠΊ ΡΡΠΎΠ»ΠΎΠ³Ρ, ΠΎΡΠΎΠ±Π΅Π½Π½ΠΎ Π΅ΡΠ»ΠΈ ΠΈΠΌΠ΅ΡΡΡΡ ΠΏΡΠΎΠ±Π»Π΅ΠΌΡ Ρ ΠΌΠΎΡΠ΅ΠΈΡΠΏΡΡΠΊΠ°Π½ΠΈΠ΅ΠΌ.
Π§Π°ΡΠ΅ Π²ΡΠ΅Π³ΠΎ ΠΊΠΈΡΡΡ ΠΏΠΎΡΠ΅ΠΊ Π΄ΠΈΠ°Π³Π½ΠΎΡΡΠΈΡΡΡΡ ΡΠ»ΡΡΠ°ΠΉΠ½ΠΎ Π²ΠΎ Π²ΡΠ΅ΠΌΡ ΠΏΡΠΎΠ²Π΅Π΄Π΅Π½ΠΈΡ ΡΠ»ΡΡΡΠ°Π·Π²ΡΠΊΠΎΠ²ΠΎΠ³ΠΎ ΠΈΡΡΠ»Π΅Π΄ΠΎΠ²Π°Π½ΠΈΡ. ΠΠ°ΠΏΠΎΠ΄ΠΎΠ·ΡΠΈΡΡ Π½Π°Π»ΠΈΡΠΈΠ΅ Π½ΠΎΠ²ΠΎΠΎΠ±ΡΠ°Π·ΠΎΠ²Π°Π½ΠΈΡ ΠΌΠΎΠΆΠ½ΠΎ ΠΏΠΎ Ρ
Π°ΡΠ°ΠΊΡΠ΅ΡΠ½ΡΠΌ ΠΈΠ·ΠΌΠ΅Π½Π΅Π½ΠΈΡΠΌ Π² ΠΎΠ±ΡΠ΅ΠΌ Π°Π½Π°Π»ΠΈΠ·Π΅ ΠΌΠΎΡΠΈ ΠΈ ΡΠ΅Π·ΠΊΠΎΠΌ ΠΏΠΎΠ΄ΡΠ΅ΠΌΠ΅ Π°ΡΡΠ΅ΡΠΈΠ°Π»ΡΠ½ΠΎΠ³ΠΎ Π΄Π°Π²Π»Π΅Π½ΠΈΡ.
ΠΡΠ½ΠΎΠ²Π½ΡΠ΅ ΠΌΠ΅ΡΠΎΠ΄Ρ Π΄ΠΈΠ°Π³Π½ΠΎΡΡΠΈΠΊΠΈ ΠΊΠΈΡΡΡ Π² ΠΏΠΎΡΠΊΠ°Ρ :
- Π£ΠΠ ΠΏΠΎΡΠ΅ΠΊ. ΠΠ΅ΡΠΎΠ΄ Π½Π°ΠΈΠ±ΠΎΠ»Π΅Π΅ Π΄ΠΎΡΡΡΠΏΠ΅Π½ ΠΈ ΠΈΠ½ΡΠΎΡΠΌΠ°ΡΠΈΠ²Π΅Π½. ΠΠΈΡΡΡ ΠΎΠΏΡΠ΅Π΄Π΅Π»ΡΡΡΡΡ Π²ΠΎ Π²ΡΠ΅ΠΌΡ ΡΠ»ΡΡΡΠ°Π·Π²ΡΠΊΠΎΠ²ΠΎΠ³ΠΎ ΠΈΡΡΠ»Π΅Π΄ΠΎΠ²Π°Π½ΠΈΡ ΠΊΠ°ΠΊ ΡΠΎΠ½ΠΊΠΎΡΡΠ΅Π½Π½ΡΠ΅ Π°Π½ΡΡ ΠΎΠ³Π΅Π½Π½ΡΠ΅ ΠΎΠ±ΡΠ°Π·ΠΎΠ²Π°Π½ΠΈΡ.
- ΠΠΈΠ½Π°ΠΌΠΈΡΠ΅ΡΠΊΠ°Ρ Π½Π΅ΡΡΠΎΡΡΠΈΠ½ΡΠΈΠ³ΡΠ°ΡΠΈΡ. ΠΠ΅ΡΠΎΠ΄ ΡΠ°Π΄ΠΈΠΎΠ»ΠΎΠ³ΠΈΡΠ΅ΡΠΊΠΎΠ³ΠΎ ΠΈΠ·ΡΡΠ΅Π½ΠΈΡ ΠΏΠΎΡΠ΅ΠΊ ΠΏΠΎΠ·Π²ΠΎΠ»ΡΠ΅Ρ ΠΏΠΎΠ»ΡΡΠΈΡΡ ΠΈΠ½ΡΠΎΡΠΌΠ°ΡΠΈΡ ΠΎ ΡΠΎΡΡΠΎΡΠ½ΠΈΠΈ ΠΎΠΏΡΠ΅Π΄Π΅Π»Π΅Π½Π½ΡΡ ΡΡΠ°ΡΡΠΊΠΎΠ² ΠΏΠ°ΡΠ΅Π½Ρ ΠΈΠΌΡ ΠΈ Π²Π΅ΡΡ Π½ΠΈΡ ΠΎΡΠ΄Π΅Π»ΠΎΠ² ΠΌΠΎΡΠ΅Π²ΡΠ²ΠΎΠ΄ΡΡΠΈΡ ΠΏΡΡΠ΅ΠΉ. ΠΠΎ Π²ΡΠ΅ΠΌΡ ΠΈΡΡΠ»Π΅Π΄ΠΎΠ²Π°Π½ΠΈΡ ΡΠΏΠ΅ΡΠΈΠ°Π»ΠΈΡΡΡ ΡΠ΄Π°Π΅ΡΡΡ ΠΎΡΠ΅Π½ΠΈΡΡ ΡΠΊΠΎΡΠΎΡΡΡ ΠΊΠ»ΡΠ±ΠΎΡΠΊΠΎΠ²ΠΎΠΉ ΡΠΈΠ»ΡΡΡΠ°ΡΠΈΠΈ, Π²ΡΡΠ²ΠΈΡΡ Π΄ΡΡΠ³ΠΈΠ΅ ΠΈΠ·ΠΌΠ΅Π½Π΅Π½ΠΈΡ, ΠΊ ΠΊΠΎΡΠΎΡΡΠΌ ΠΌΠΎΠ³ΡΡ ΠΏΡΠΈΠ²ΠΎΠ΄ΠΈΡΡ ΠΊΠΈΡΡΠΎΠ·Π½ΡΠ΅ ΠΎΠ±ΡΠ°Π·ΠΎΠ²Π°Π½ΠΈΡ.
- ΠΠ’ ΠΏΠΎΡΠ΅ΠΊ. ΠΠΎΠΌΠΏΡΡΡΠ΅ΡΠ½ΡΡ ΡΠΎΠΌΠΎΠ³ΡΠ°ΡΠΈΡ ΡΠ°ΡΡΠΌΠ°ΡΡΠΈΠ²Π°ΡΡ ΠΊΠ°ΠΊ ΡΡΠΎΡΠ½ΡΡΡΠΈΠΉ ΠΌΠ΅ΡΠΎΠ΄ Π΄ΠΈΠ°Π³Π½ΠΎΡΡΠΈΠΊΠΈ ΠΏΡΠΈ ΠΊΠΈΡΡΠΎΠ·Π½ΡΡ
ΡΠ°Π·ΡΠ°ΡΡΠ°Π½ΠΈΡΡ
. ΠΡΡΠ»Π΅Π΄ΠΎΠ²Π°Π½ΠΈΠ΅ ΠΏΠΎΠ·Π²ΠΎΠ»ΡΠ΅Ρ Π·Π°ΠΏΠΎΠ΄ΠΎΠ·ΡΠΈΡΡ Π½Π°Π»ΠΈΡΠΈΠ΅ Π·Π»ΠΎΠΊΠ°ΡΠ΅ΡΡΠ²Π΅Π½Π½ΠΎΠ³ΠΎ Π½ΠΎΠ²ΠΎΠΎΠ±ΡΠ°Π·ΠΎΠ²Π°Π½ΠΈΡ.

- ΠΠ°Π±ΠΎΡΠ°ΡΠΎΡΠ½ΡΠ΅ ΠΈΡΡΠ»Π΅Π΄ΠΎΠ²Π°Π½ΠΈΡ ΠΊΡΠΎΠ²ΠΈ ΠΈ ΠΌΠΎΡΠΈ. ΠΠΎ ΡΠ΅Π·ΡΠ»ΡΡΠ°ΡΠ°ΠΌ Π°Π½Π°Π»ΠΈΠ·ΠΎΠ² ΠΌΠΎΠΆΠ½ΠΎ Π·Π°ΠΏΠΎΠ΄ΠΎΠ·ΡΠΈΡΡ Π½Π°Π»ΠΈΡΠΈΠ΅ ΠΊΠΈΡΡ, ΠΊΠΎΡΠΎΡΡΠ΅ ΠΌΠΎΠ³ΡΡ ΠΏΡΠΈΠ²ΠΎΠ΄ΠΈΡΡ ΠΊ ΡΠΎΠΊΡΠ°ΡΠ΅Π½ΠΈΡ ΡΡΡΠΎΡΠ½ΠΎΠ³ΠΎ ΠΎΠ±ΡΠ΅ΠΌΠ° ΠΌΠΎΡΠΈ, ΠΏΠΎΡΠ²Π»Π΅Π½ΠΈΡ Π² Π½Π΅ΠΉ ΡΠ»Π΅Π΄ΠΎΠ² ΠΊΡΠΎΠ²ΠΈ ΠΈ Π±Π΅Π»ΠΊΠΎΠ²ΡΡ Π½ΠΈΡΠ΅ΠΉ.
ΠΠ»Ρ ΠΏΠΎΡΡΠ°Π½ΠΎΠ²ΠΊΠΈ ΡΠΎΡΠ½ΠΎΠ³ΠΎ Π΄ΠΈΠ°Π³Π½ΠΎΠ·Π° ΠΌΠΎΠΆΠ΅Ρ ΠΏΠΎΡΡΠ΅Π±ΠΎΠ²Π°ΡΡΡΡ ΠΏΡΠΎΠ²Π΅Π΄Π΅Π½ΠΈΠ΅ Π½Π΅ΡΠΊΠΎΠ»ΡΠΊΠΈΡ Π²ΠΈΠ΄ΠΎΠ² ΠΈΡΡΠ»Π΅Π΄ΠΎΠ²Π°Π½ΠΈΠΉ. ΠΠΎΠ»ΡΡΠ΅Π½Π½Π°Ρ ΠΈΠ½ΡΠΎΡΠΌΠ°ΡΠΈΡ Π»ΠΎΠΆΠΈΡΡΡ Π² ΠΎΡΠ½ΠΎΠ²Ρ Π²ΡΠ±ΠΎΡΠ° ΠΏΠΎΠ΄Ρ ΠΎΠ΄ΡΡΠ΅ΠΉ ΡΠ°ΠΊΡΠΈΠΊΠΈ Π»Π΅ΡΠ΅Π½ΠΈΡ. ΠΠ°ΠΆΠ½ΠΎ ΠΈΡΠΊΠ»ΡΡΠΈΡΡ Π½Π°Π»ΠΈΡΠΈΠ΅ Π·Π»ΠΎΠΊΠ°ΡΠ΅ΡΡΠ²Π΅Π½Π½ΠΎΠΉ ΠΏΠ°ΡΠΎΠ»ΠΎΠ³ΠΈΠΈ, ΠΊΠΎΡΠΎΡΠ°Ρ ΠΌΠΎΠΆΠ΅Ρ Π΄ΠΎΠ»Π³ΠΎΠ΅ Π²ΡΠ΅ΠΌΡ Π½Π΅ Π²ΡΠ·ΡΠ²Π°ΡΡ ΡΠ²Π½ΡΡ ΠΊΠ»ΠΈΠ½ΠΈΡΠ΅ΡΠΊΠΈΡ ΠΏΡΠΎΡΠ²Π»Π΅Π½ΠΈΠΉ ΠΈ ΠΏΡΠΎΡΠ΅ΠΊΠ°ΡΡ ΠΏΡΠ°ΠΊΡΠΈΡΠ΅ΡΠΊΠΈ Π½Π΅Π·Π°ΠΌΠ΅ΡΠ½ΠΎ Π΄Π»Ρ ΠΏΠ°ΡΠΈΠ΅Π½ΡΠ°.
ΠΡΠΈΠ½ΡΠΈΠΏΡ Π»Π΅ΡΠ΅Π½ΠΈΡ
Β«ΠΠΎΠ»ΠΎΡΡΠΌ ΡΡΠ°Π½Π΄Π°ΡΡΠΎΠΌΒ» Π»Π΅ΡΠ΅Π½ΠΈΡ ΡΠ²Π»ΡΠ΅ΡΡΡ ΠΎΠΏΠ΅ΡΠ°ΡΠΈΠ²Π½ΠΎΠ΅ ΡΠ΄Π°Π»Π΅Π½ΠΈΠ΅ ΠΊΠΈΡΡ Ρ ΠΏΡΠΈΠΌΠ΅Π½Π΅Π½ΠΈΠ΅ΠΌ ΠΌΠ°Π»ΠΎΠΈΠ½Π²Π°Π·ΠΈΠ²Π½ΡΡ
ΡΠ΅Ρ
Π½ΠΈΠΊ. ΠΡΠΈ Π½Π΅Π±ΠΎΠ»ΡΡΠΎΠΌ ΡΠ°Π·ΠΌΠ΅ΡΠ΅ ΠΎΠ±ΡΠ°Π·ΠΎΠ²Π°Π½ΠΈΡ ΠΌΠΎΠΆΠ΅Ρ ΠΏΡΠΈΠΌΠ΅Π½ΡΡΡΡΡ Π²ΡΠΆΠΈΠ΄Π°ΡΠ΅Π»ΡΠ½Π°Ρ ΡΠ°ΠΊΡΠΈΠΊΠ°. ΠΠ°ΡΠΈΠ΅Π½ΡΡ ΡΠ΅ΠΊΠΎΠΌΠ΅Π½Π΄ΡΡΡ ΡΠ΅Π³ΡΠ»ΡΡΠ½ΠΎ ΠΏΡΠΎΠ²ΠΎΠ΄ΠΈΡΡ ΡΠ»ΡΡΡΠ°Π·Π²ΡΠΊΠΎΠ²ΡΡ Π΄ΠΈΠ°Π³Π½ΠΎΡΡΠΈΠΊΡ ΠΈ ΡΠΎΠ±Π»ΡΠ΄Π°ΡΡ Π²ΡΠ΅ Π²ΡΠ°ΡΠ΅Π±Π½ΡΠ΅ ΠΏΡΠ΅Π΄ΠΏΠΈΡΠ°Π½ΠΈΡ. ΠΡΠΈ ΡΡΠΈΠ»Π΅Π½ΠΈΠΈ Π±ΠΎΠ»ΠΈ, ΡΠ»Π°Π±ΠΎΡΡΠΈ, ΠΏΠΎΡΠ²Π»Π΅Π½ΠΈΠΈ ΠΊΡΠΎΠ²ΠΈ, Π³Π½ΠΎΡ Π² ΠΌΠΎΡΠ΅ Π½Π΅ΠΎΠ±Ρ
ΠΎΠ΄ΠΈΠΌΠ° ΡΡΠΎΡΠ½Π°Ρ Π³ΠΎΡΠΏΠΈΡΠ°Π»ΠΈΠ·Π°ΡΠΈΡ.
ΠΠΏΠ΅ΡΠ°ΡΠΈΠ²Π½ΠΎΠ΅ ΡΠ΄Π°Π»Π΅Π½ΠΈΠ΅ ΠΊΠΈΡΡΡ ΠΏΡΠΎΠ²ΠΎΠ΄ΡΡ ΠΏΡΠ΅ΠΈΠΌΡΡΠ΅ΡΡΠ²Π΅Π½Π½ΠΎ Ρ ΠΏΠΎΠΌΠΎΡΡΡ ΠΌΠ°Π»ΠΎΠΈΠ½Π²Π°Π·ΠΈΠ²Π½ΡΡ ΠΌΠ΅ΡΠΎΠ΄ΠΎΠ², ΠΈΡΠΏΠΎΠ»ΡΠ·ΡΡ ΡΠΎΠ²ΡΠ΅ΠΌΠ΅Π½Π½ΡΡ ΡΠ½Π΄ΠΎΡΠΊΠΎΠΏΠΈΡΠ΅ΡΠΊΡΡ ΡΠ΅Ρ Π½ΠΈΠΊΡ.
ΠΡΠ½ΠΎΠ²Π½ΡΠ΅ Ρ ΠΈΡΡΡΠ³ΠΈΡΠ΅ΡΠΊΠΈΠ΅ ΡΠΏΠΎΡΠΎΠ±Ρ ΡΠ΄Π°Π»Π΅Π½ΠΈΡ ΠΊΠΈΡΡΡ ΠΏΠΎΡΠ΅ΠΊ:
- ΠΡΠΏΠΈΡΠ°ΡΠΈΡ Π½ΠΎΠ²ΠΎΠΎΠ±ΡΠ°Π·ΠΎΠ²Π°Π½ΠΈΡ Ρ ΠΎΡΡΠ°ΡΡΠ²Π°Π½ΠΈΠ΅ΠΌ Π΅Π³ΠΎ ΡΠΎΠ΄Π΅ΡΠΆΠΈΠΌΠΎΠ³ΠΎ ΡΠ΅ΡΠ΅Π· ΠΏΡΠ½ΠΊΡΠΈΠΎΠ½Π½ΡΡ ΠΈΠ³Π»Ρ.
- Π‘ΠΊΠ»Π΅ΡΠΎΡΠ΅ΡΠ°ΠΏΠΈΡ ΠΊΠΈΡΡΡ ΠΏΠΎΡΠ΅ΠΊ.
- ΠΡΡΠ΅ΡΠ΅Π½ΠΈΠ΅ ΠΊΠΈΡΡΠΎΠ·Π½ΠΎΠ³ΠΎ ΠΎΠ±ΡΠ°Π·ΠΎΠ²Π°Π½ΠΈΡ Ρ ΠΈΡΡΡΠ³ΠΈΡΠ΅ΡΠΊΠΈΠΌ ΠΏΡΡΠ΅ΠΌ.
ΠΠΎΠ½ΠΊΡΠ΅ΡΠ½ΡΠΉ ΠΌΠ΅ΡΠΎΠ΄ ΡΠ΄Π°Π»Π΅Π½ΠΈΡ ΠΊΠΈΡΡΡ ΠΏΠΎΡΠ΅ΠΊ ΠΏΠΎΠ΄Π±ΠΈΡΠ°Π΅Ρ Π²ΡΠ°Ρ Π½Π° ΠΎΡΠ½ΠΎΠ²Π΅ ΡΠ΅Π·ΡΠ»ΡΡΠ°ΡΠΎΠ² Π΄ΠΈΠ°Π³Π½ΠΎΡΡΠΈΠΊΠΈ. ΠΡΠ»ΠΈ Π½ΠΎΠ²ΠΎΠΎΠ±ΡΠ°Π·ΠΎΠ²Π°Π½ΠΈΠ΅ Π½Π΅Π±ΠΎΠ»ΡΡΠΎΠ³ΠΎ ΡΠ°Π·ΠΌΠ΅ΡΠ°, Π²ΠΎΠ·ΠΌΠΎΠΆΠ½ΠΎ ΠΏΡΠΎΠ²Π΅Π΄Π΅Π½ΠΈΠ΅ ΠΏΡΠ½ΠΊΡΠΈΠΎΠ½Π½ΠΎΠΉ Π°ΡΠΏΠΈΡΠ°ΡΠΈΠΈ ΠΈ ΡΠΊΠ»Π΅ΡΠΎΡΠ΅ΡΠ°ΠΏΠΈΠΈ. Π ΠΊΠ°ΡΠ΅ΡΡΠ²Π΅ ΡΠΊΠ»Π΅ΡΠΎΠ·ΠΈΡΡΡΡΠ΅Π³ΠΎ ΡΠΎΡΡΠ°Π²Π° ΠΈΡΠΏΠΎΠ»ΡΠ·ΡΡΡ ΠΉΠΎΠ΄ΠΈΡΡΡΠ΅ ΡΠΎΠ΅Π΄ΠΈΠ½Π΅Π½ΠΈΡ ΠΈΠ»ΠΈ ΡΠΏΠΈΡΡΠΎΠ²ΠΎΠΉ ΡΠ°ΡΡΠ²ΠΎΡ.
ΠΡΠΈΠΌΠ΅Π½ΡΠ΅ΡΡΡ ΡΡΠΎΡ ΠΌΠ°Π»ΠΎΠΈΠ½Π²Π°Π·ΠΈΠ²Π½ΡΠΉ ΠΌΠ΅ΡΠΎΠ΄ Π΄Π»Ρ ΡΠ΄Π°Π»Π΅Π½ΠΈΡ ΠΏΡΠΎΡΡΠΎΠΉ ΠΊΠΈΡΡΡ, ΠΊΠΎΡΠΎΡΠ°Ρ ΠΈΠΌΠ΅Π΅Ρ ΡΠΎΠ²Π½ΡΠ΅ ΠΊΠΎΠ½ΡΡΡΡ, ΡΠΎΡΡΠΎΠΈΡ Π½Π΅ Π±ΠΎΠ»Π΅Π΅ ΡΠ΅ΠΌ ΠΈΠ· ΠΎΠ΄Π½ΠΎΠΉ ΠΊΠ°ΠΌΠ΅ΡΡ. Π₯ΠΈΡΡΡΠ³ ΠΏΡΠΎΠ²ΠΎΠ΄ΠΈΡ ΠΏΡΠ½ΠΊΡΠΈΡ Π² ΠΎΠ±Π»Π°ΡΡΠΈ ΠΏΠΎΡΡΠ½ΠΈΡΡ, ΠΏΡΠΎΠ΄Π²ΠΈΠ³Π°Π΅Ρ ΠΈΠ³Π»Ρ Π² ΠΊΠΈΡΡΡ ΠΏΠΎΠ΄ ΠΊΠΎΠ½ΡΡΠΎΠ»Π΅ΠΌ ΡΠ»ΡΡΡΠ°Π·Π²ΡΠΊΠ° ΠΈΠ»ΠΈ Π²ΠΎ Π²ΡΠ΅ΠΌΡ ΠΊΠΎΠΌΠΏΡΡΡΠ΅ΡΠ½ΠΎΠΉ ΡΠΎΠΌΠΎΠ³ΡΠ°ΡΠΈΠΈ, ΠΎΡΡΠ°ΡΡΠ²Π°Π΅Ρ ΡΠΎΠ΄Π΅ΡΠΆΠΈΠΌΠΎΠ΅ Π½ΠΎΠ²ΠΎΠΎΠ±ΡΠ°Π·ΠΎΠ²Π°Π½ΠΈΡ ΠΈ Π²Π²ΠΎΠ΄ΠΈΡ ΡΠΊΠ»Π΅ΡΠΎΠ·ΠΈΡΡΡΡΠ΅Π΅ Π²Π΅ΡΠ΅ΡΡΠ²ΠΎ.
Π₯ΠΈΡΡΡΠ³ΠΈΡΠ΅ΡΠΊΠΎΠ΅ ΠΈΡΡΠ΅ΡΠ΅Π½ΠΈΠ΅ ΠΊΠΈΡΡΡ ΠΏΠΎΡΠΊΠΈ
Π Π°Π΄ΠΈΠΊΠ°Π»ΡΠ½ΠΎΠ΅ ΡΠ΄Π°Π»Π΅Π½ΠΈΠ΅ ΠΎΠ΄ΠΈΠ½ΠΎΡΠ½ΠΎΠΉ ΠΊΠΈΡΡΡ ΠΏΡΠΎΠ²ΠΎΠ΄ΡΡ ΠΏΡΠΈ Π±ΠΎΠ»ΡΡΠΎΠΌ ΡΠ°Π·ΠΌΠ΅ΡΠ΅ Π½ΠΎΠ²ΠΎΠΎΠ±ΡΠ°Π·ΠΎΠ²Π°Π½ΠΈΡ, Π½Π°Π»ΠΈΡΠΈΠΈ ΠΏΡΠΈΠ·Π½Π°ΠΊΠΎΠ² Π½Π°Π³Π½ΠΎΠ΅Π½ΠΈΡ ΠΈ Π²ΠΎΡΠΏΠ°Π»Π΅Π½ΠΈΡ, ΡΠ³ΡΠΎΠ·Π΅ ΡΠ°Π·ΡΡΠ²Π°. Π’Π°ΠΊΠΆΠ΅ ΠΎΠΏΠ΅ΡΠ°ΡΠΈΡ ΠΏΠΎΠΊΠ°Π·Π°Π½Π° ΠΏΡΠΈ Π½Π°ΡΡΡΠ΅Π½ΠΈΡΡ ΠΌΠΎΡΠ΅ΠΈΡΠΏΡΡΠΊΠ°Π½ΠΈΡ, ΠΊΠΎΠ³Π΄Π° ΡΠ΄Π°Π²Π»ΠΈΠ²Π°ΡΡΡΡ ΡΠ°ΠΌΠΈ ΡΠΊΠ°Π½ΠΈ ΠΏΠΎΡΠΊΠΈ ΠΈΠ»ΠΈ ΠΌΠΎΡΠ΅ΡΠΎΡΠ½ΠΈΠΊ, Π° ΠΎΠΏΡΡ ΠΎΠ»Ρ Π²ΡΠ·ΡΠ²Π°Π΅Ρ ΡΠΈΠ»ΡΠ½ΡΠ΅ Π±ΠΎΠ»ΠΈ Π² ΠΎΠ±Π»Π°ΡΡΠΈ ΠΏΠΎΡΡΠ½ΠΈΡΡ ΠΈ ΠΌΠΎΡΠ΅ΠΏΠΎΠ»ΠΎΠ²ΡΡ ΠΎΡΠ³Π°Π½ΠΎΠ². Π§Π°ΡΠ΅ Π²ΡΠ΅Π³ΠΎ ΠΎΠΏΠ΅ΡΠ°ΡΠΈΡ ΠΏΡΠΎΠ²ΠΎΠ΄ΡΡ ΡΠ΅ΡΠ΅Π· Π½Π΅Π±ΠΎΠ»ΡΡΠΎΠΉ ΡΠ°Π·ΡΠ΅Π· Ρ ΠΏΠΎΠΌΠΎΡΡΡ ΡΠ½Π΄ΠΎΡΠΊΠΎΠΏΠ° ΠΈΠ»ΠΈ Π»Π°ΠΏΠ°ΡΠΎΡΠΊΠΎΠΏΠΈΡΠ΅ΡΠΊΠΈΠΌ ΠΏΡΡΠ΅ΠΌ. ΠΠΎΡΠ»Π΅ ΠΏΠΎΠ»ΡΡΠ΅Π½ΠΈΡ Π΄ΠΎΡΡΡΠΏΠ° ΠΊ Π½ΠΎΠ²ΠΎΠΎΠ±ΡΠ°Π·ΠΎΠ²Π°Π½ΠΈΡ Ρ ΠΈΡΡΡΠ³ Π΅Π³ΠΎ ΠΏΠΎΠ»Π½ΠΎΡΡΡΡ ΠΈΡΡΠ΅ΠΊΠ°Π΅Ρ Π²ΠΌΠ΅ΡΡΠ΅ Ρ ΠΊΠ°ΠΏΡΡΠ»ΡΠ½ΠΎΠΉ ΠΎΠ±ΠΎΠ»ΠΎΡΠΊΠΎΠΉ, Π·Π°ΡΠ΅ΠΌ ΠΏΡΠΎΠ²ΠΎΠ΄ΠΈΡ ΡΡΠΈΠ²Π°Π½ΠΈΠ΅ ΠΈ Π΄ΡΠ΅Π½ΠΈΡΠΎΠ²Π°Π½ΠΈΠ΅ ΡΠ°Π½Ρ.
Π£Ρ
ΠΎΠ΄ Π·Π° ΠΏΠΎΡΠ»Π΅ΠΎΠΏΠ΅ΡΠ°ΡΠΈΠΎΠ½Π½ΠΎΠΉ ΡΠ°Π½ΠΎΠΉ ΠΏΡΠΎΡ
ΠΎΠ΄ΠΈΡ ΠΏΠΎΠ΄ ΠΊΠΎΠ½ΡΡΠΎΠ»Π΅ΠΌ ΡΠΏΠ΅ΡΠΈΠ°Π»ΠΈΡΡΠ°. ΠΠ°Π»ΠΎΠΈΠ½Π²Π°Π·ΠΈΠ²Π½ΡΠ΅ ΠΎΠΏΠ΅ΡΠ°ΡΠΈΠΈ Π½Π΅ ΡΠΎΠΏΡΠΎΠ²ΠΎΠΆΠ΄Π°ΡΡΡΡ ΠΊΡΠΎΠ²ΠΎΠΏΠΎΡΠ΅ΡΠ΅ΠΉ ΠΈ Ρ
ΠΎΡΠΎΡΠΎ ΠΏΠ΅ΡΠ΅Π½ΠΎΡΡΡΡΡ ΠΏΠ°ΡΠΈΠ΅Π½ΡΠ°ΠΌΠΈ.
ΠΠΎΠ½ΡΠ΅ΡΠ²Π°ΡΠΈΠ²Π½Π°Ρ ΡΠ΅ΡΠ°ΠΏΠΈΡ
ΠΠ΅Π΄ΠΈΠΊΠ°ΠΌΠ΅Π½ΡΠΎΠ·Π½ΠΎΠ΅ Π»Π΅ΡΠ΅Π½ΠΈΠ΅ ΠΊΠΈΡΡΡ ΡΡΠΈΡΠ°Π΅ΡΡΡ Π²ΡΠΏΠΎΠΌΠΎΠ³Π°ΡΠ΅Π»ΡΠ½ΡΠΌ ΠΌΠ΅ΡΠΎΠ΄ΠΎΠΌ. ΠΠ½ ΠΏΡΠΈΠΌΠ΅Π½ΡΠ΅ΡΡΡ Π΄Π»Ρ ΡΡΡΡΠ°Π½Π΅Π½ΠΈΡ Π±ΠΎΠ»Π΅Π²ΠΎΠ³ΠΎ ΡΠΈΠ½Π΄ΡΠΎΠΌΠ° ΠΈ Π²ΠΎΠ·Π½ΠΈΠΊΠ°ΡΡΠΈΡ ΠΎΡΠ»ΠΎΠΆΠ½Π΅Π½ΠΈΠΉ Π² Π²ΠΈΠ΄Π΅ ΠΏΡΠΈΡΠΎΠ΅Π΄ΠΈΠ½Π΅Π½ΠΈΡ Π²ΡΠΎΡΠΈΡΠ½ΠΎΠΉ ΠΈΠ½ΡΠ΅ΠΊΡΠΈΠΈ ΠΈ ΠΏΠΎΠ²ΡΡΠ΅Π½ΠΈΡ Π°ΡΡΠ΅ΡΠΈΠ°Π»ΡΠ½ΠΎΠ³ΠΎ Π΄Π°Π²Π»Π΅Π½ΠΈΡ. ΠΡΠ΅ΠΏΠ°ΡΠ°ΡΡ Ρ Π½Π΅ΠΎΠ±Ρ ΠΎΠ΄ΠΈΠΌΠΎΠΉ Π΄ΠΎΠ·ΠΈΡΠΎΠ²ΠΊΠΎΠΉ ΠΏΠΎΠ΄Π±ΠΈΡΠ°Π΅Ρ Π²ΡΠ°Ρ. ΠΡΠΈ ΠΈΠ½ΡΠ΅ΠΊΡΠΈΠΎΠ½Π½ΡΡ ΠΎΡΠ»ΠΎΠΆΠ½Π΅Π½ΠΈΡΡ ΠΎΠ±ΡΠ·Π°ΡΠ΅Π»ΡΠ½ΠΎ Π½Π°Π·Π½Π°ΡΠ°ΡΡ Π°Π½ΡΠΈΠ±Π°ΠΊΡΠ΅ΡΠΈΠ°Π»ΡΠ½ΡΠ΅ ΠΏΡΠ΅ΠΏΠ°ΡΠ°ΡΡ, Π³ΠΈΠΏΠΎΡΠ΅Π½Π·ΠΈΠ²Π½ΡΠ΅ ΡΡΠ΅Π΄ΡΡΠ²Π°, ΠΊΠΎΡΠΎΡΡΠ΅ ΡΠ½ΠΈΠΆΠ°ΡΡ Π°ΡΡΠ΅ΡΠΈΠ°Π»ΡΠ½ΠΎΠ΅ Π΄Π°Π²Π»Π΅Π½ΠΈΠ΅ ΠΈ ΠΏΠΎΠ·Π²ΠΎΠ»ΡΡΡ ΠΊΠΎΠ½ΡΡΠΎΠ»ΠΈΡΠΎΠ²Π°ΡΡ Π΅Π³ΠΎ Π² Ρ ΠΎΠ΄Π΅ ΠΎΡΠ½ΠΎΠ²Π½ΠΎΠ³ΠΎ Π»Π΅ΡΠ΅Π½ΠΈΡ ΠΊΠΈΡΡΡ ΠΏΠΎΡΠΊΠΈ.
Π€ΠΈΠ·ΠΈΡΠ΅ΡΠΊΠΈΠ΅ Π½Π°Π³ΡΡΠ·ΠΊΠΈ ΠΏΡΠΈ ΠΊΠΈΡΡΠ°Ρ Π² ΠΏΠΎΡΠΊΠ°Ρ
Π§ΡΠ΅Π·ΠΌΠ΅ΡΠ½ΡΠ΅ Π½Π°Π³ΡΡΠ·ΠΊΠΈ ΠΏΡΠΈ Π½Π°Π»ΠΈΡΠΈΠΈ ΠΊΠΈΡΡΡ ΠΏΠΎΡΠ΅ΠΊ Π·Π°ΠΏΡΠ΅ΡΠ΅Π½Ρ. ΠΠ΅Π»ΡΠ·Ρ ΠΏΠ΅ΡΠ΅Π³ΡΡΠΆΠ°ΡΡ ΡΠ΅Π±Ρ ΡΠΏΠΎΡΡΠΎΠΌ, ΠΎΡΠΎΠ±Π΅Π½Π½ΠΎ Π΅ΡΠ»ΠΈ ΠΎΠ½ ΡΠ²ΡΠ·Π°Π½ Ρ ΠΈΠ½ΡΠ΅Π½ΡΠΈΠ²Π½ΠΎΠΉ Π΅Π·Π΄ΠΎΠΉ Π½Π° Π²Π΅Π»ΠΎΡΠΈΠΏΠ΅Π΄Π΅, ΠΏΡΡΠΆΠΊΠ°ΠΌΠΈ ΠΈ Π±Π΅Π³ΠΎΠΌ. Π§ΡΠ΅Π·ΠΌΠ΅ΡΠ½ΡΠ΅ ΡΠΈΠ·ΠΈΡΠ΅ΡΠΊΠΈΠ΅ Π½Π°Π³ΡΡΠ·ΠΊΠΈ ΠΌΠΎΠ³ΡΡ ΠΏΡΠΈΠ²ΠΎΠ΄ΠΈΡΡ ΠΊ ΠΏΠΎΠ²ΡΠ΅ΠΆΠ΄Π΅Π½ΠΈΡ ΠΎΠ±ΠΎΠ»ΠΎΡΠΊΠΈ ΠΊΠΈΡΡΡ ΠΈ ΠΏΠΎΡΠ²Π»Π΅Π½ΠΈΡ ΠΎΡΠ»ΠΎΠΆΠ½Π΅Π½ΠΈΠΉ.
ΠΠ΅ΡΠ΅Π±Π½Π°Ρ Π΄ΠΈΠ΅ΡΠ° ΠΏΡΠΈ ΠΊΠΈΡΡΠ°Ρ Π² ΠΏΠΎΡΠΊΠ΅
Π’Π°ΠΊ ΠΊΠ°ΠΊ Π½Π°Π»ΠΈΡΠΈΠ΅ ΠΊΠΈΡΡΡ Π² ΠΏΠΎΡΠΊΠ΅, ΠΎΡΠΎΠ±Π΅Π½Π½ΠΎ Π±ΠΎΠ»ΡΡΠΎΠ³ΠΎ ΡΠ°Π·ΠΌΠ΅ΡΠ° ΠΈ Ρ Π½Π΅ΡΠΊΠΎΠ»ΡΠΊΠΈΠΌΠΈ ΠΊΠ°ΠΌΠ΅ΡΠ°ΠΌΠΈ, ΡΠΎΠΏΡΠΎΠ²ΠΎΠΆΠ΄Π°Π΅ΡΡΡ ΡΠΈΡΠΊΠΎΠΌ ΠΏΠΎΡΠ²Π»Π΅Π½ΠΈΠ΅ ΠΏΠΈΠ΅Π»ΠΎΠ½Π΅ΡΡΠΈΡΠ° ΠΈ Π΄ΡΡΠ³ΠΈΡ
ΠΈΠ½ΡΠ΅ΠΊΡΠΈΠΎΠ½Π½ΡΡ
ΠΎΡΠ»ΠΎΠΆΠ½Π΅Π½ΠΈΠΉ, Π½Π° ΠΏΠ΅ΡΠΈΠΎΠ΄ Π»Π΅ΡΠ΅Π½ΠΈΡ Π½Π΅ΠΎΠ±Ρ
ΠΎΠ΄ΠΈΠΌΠΎ ΡΠΎΠ±Π»ΡΠ΄Π°ΡΡ ΠΎΠΏΡΠ΅Π΄Π΅Π»Π΅Π½Π½ΡΠ΅ ΠΎΠ³ΡΠ°Π½ΠΈΡΠ΅Π½ΠΈΡ Π² ΠΏΠΈΡΠ°Π½ΠΈΠΈ.
Π Π΅ΠΊΠΎΠΌΠ΅Π½Π΄ΡΠ΅ΡΡΡ ΡΠΎΠΊΡΠ°ΡΠΈΡΡ ΡΠΏΠΎΡΡΠ΅Π±Π»Π΅Π½ΠΈΠ΅ ΡΠ»Π΅Π΄ΡΡΡΠΈΡ ΠΏΡΠΎΠ΄ΡΠΊΡΠΎΠ² ΠΈ Π½Π°ΠΏΠΈΡΠΊΠΎΠ²:
- ΠΡΡΡΡΠ΅ ΠΈ ΡΠΎΠ»Π΅Π½ΡΠ΅ Π±Π»ΡΠ΄Π°.
- ΠΡΡΠ½ΠΎΡΡΠΈ ΠΈ ΠΌΠ°ΡΠΈΠ½Π°Π΄Ρ.
- Π§ΡΠ΅Π·ΠΌΠ΅ΡΠ½ΠΎ ΠΆΠΈΡΠ½ΡΠ΅, ΠΆΠ°ΡΠ΅Π½ΡΠ΅ Π±Π»ΡΠ΄Π°.
- ΠΠ»ΠΊΠΎΠ³ΠΎΠ»Ρ.
- Π₯ΡΠ΅Π½, ΡΠ΅ΡΠ½ΠΎΠΊ, ΡΠ΅Π΄ΡΠΊΠ°, Π»ΡΠΊ.
ΠΠ»ΠΊΠΎΠ³ΠΎΠ»Ρ ΠΈΡΠΊΠ»ΡΡΠ°ΡΡ ΠΏΠΎΠ»Π½ΠΎΡΡΡΡ, ΡΠ°ΠΊ ΠΊΠ°ΠΊ ΠΎΠ½ ΠΏΠΎΠ²ΡΡΠ°Π΅Ρ Π½Π°Π³ΡΡΠ·ΠΊΡ Π½Π° ΠΏΠΎΡΠΊΠΈ ΠΈ Π²ΡΡ ΠΌΠΎΡΠ΅Π²ΡΠ΄Π΅Π»ΠΈΡΠ΅Π»ΡΠ½ΡΡ ΡΠΈΡΡΠ΅ΠΌΡ.
ΠΠΎΡΠ»Π΅ ΠΎΠΏΠ΅ΡΠ°ΡΠΈΠ²Π½ΠΎΠ³ΠΎ Π»Π΅ΡΠ΅Π½ΠΈΡ ΠΏΠ΅ΡΠ²ΡΠΉ ΠΌΠ΅ΡΡΡ ΡΠ΅ΠΊΠΎΠΌΠ΅Π½Π΄ΡΠ΅ΡΡΡ ΠΏΡΠΎΠ΄ΠΎΠ»ΠΆΠΈΡΡ ΡΠΎΠ±Π»ΡΠ΄Π΅Π½ΠΈΠ΅ Π΄ΠΈΠ΅ΡΡ. ΠΠ· ΡΠ°ΡΠΈΠΎΠ½Π° ΠΈΡΠΊΠ»ΡΡΠ°ΡΡ ΠΏΡΠΎΠ΄ΡΠΊΡΡ Ρ Π²ΡΡΠΎΠΊΠΈΠΌ ΡΠΎΠ΄Π΅ΡΠΆΠ°Π½ΠΈΠ΅ΠΌ ΡΠΎΠ»ΠΈ, Π±Π΅Π»ΠΊΠ°. ΠΠ΅ΠΎΠ±Ρ ΠΎΠ΄ΠΈΠΌΠΎ ΠΌΠΈΠ½ΠΈΠΌΠΈΠ·ΠΈΡΠΎΠ²Π°ΡΡ Π½Π°Π³ΡΡΠ·ΠΊΡ Π½Π° ΠΏΠΎΡΠΊΠΈ. ΠΠ΅ ΡΠ΅ΠΊΠΎΠΌΠ΅Π½Π΄ΡΠ΅ΡΡΡ ΡΠΏΠΎΡΡΠ΅Π±Π»ΡΡΡ Π±ΠΎΠ±ΠΎΠ²ΡΠ΅, ΡΡΠ±ΠΏΡΠΎΠ΄ΡΠΊΡΡ, ΠΆΠΈΡΠ½ΡΠ΅ ΡΠΎΡΡΠ° ΠΌΡΡΠ°, Π½Π°Π²Π°ΡΠΈΡΡΡΠ΅ Π±ΡΠ»ΡΠΎΠ½Ρ.
ΠΡΠ΅ΠΈΠΌΡΡΠ΅ΡΡΠ²Π° Π»Π΅ΡΠ΅Π½ΠΈΡ Π² ΠΠ ΠΠΠΠΠΠ
- ΠΡΠΎΠ²Π΅Π΄Π΅Π½ΠΈΠ΅ ΠΈΠ½ΡΠΎΡΠΌΠ°ΡΠΈΠ²Π½ΠΎΠΉ ΠΈ Π±Π΅Π·ΠΎΠΏΠ°ΡΠ½ΠΎΠΉ Π΄ΠΈΠ°Π³Π½ΠΎΡΡΠΈΠΊΠΈ.
- ΠΠ°Π»ΠΈΡΠΈΠ΅ ΡΠΎΠ²ΡΠ΅ΠΌΠ΅Π½Π½ΠΎΠ³ΠΎ ΡΠ΅Ρ Π½ΠΈΡΠ΅ΡΠΊΠΎΠ³ΠΎ ΠΎΡΠ½Π°ΡΠ΅Π½ΠΈΡ ΠΎΠΏΠ΅ΡΠ°ΡΠΈΠΎΠ½Π½ΡΡ ΠΊΠ»ΠΈΠ½ΠΈΠΊΠΈ.
- ΠΡΡΠ΅ΠΊΡΠΈΠ²Π½ΠΎΠ΅ ΡΠ½ΡΡΠΈΠ΅ ΠΎΡΡΡΠΎΠ³ΠΎ Π±ΠΎΠ»Π΅Π²ΠΎΠ³ΠΎ ΡΠΈΠ½Π΄ΡΠΎΠΌΠ°.
- ΠΠΎΠ΄Π±ΠΎΡ Π½Π°ΠΈΠ±ΠΎΠ»Π΅Π΅ ΠΏΠΎΠ΄Ρ
ΠΎΠ΄ΡΡΠ΅Π³ΠΎ Π²Π°ΡΠΈΠ°Π½ΡΠ° Π»Π΅ΡΠ΅Π½ΠΈΡ ΠΊΠΈΡΡΡ ΠΏΠΎΡΠ΅ΠΊ.

ΠΡΠΎΠ³Π½ΠΎΠ· ΠΈ ΠΏΡΠΎΡΠΈΠ»Π°ΠΊΡΠΈΠΊΠ°
ΠΡΠΈ ΡΠ²ΠΎΠ΅Π²ΡΠ΅ΠΌΠ΅Π½Π½ΠΎΠΌ ΠΎΠ±ΡΠ°ΡΠ΅Π½ΠΈΠΈ Π·Π° ΠΌΠ΅Π΄ΠΈΡΠΈΠ½ΡΠΊΠΎΠΉ ΠΏΠΎΠΌΠΎΡΡΡ ΠΏΡΠΎΠ³Π½ΠΎΠ· ΠΊΠΈΡΡΡ ΠΏΠΎΡΠΊΠΈ Π±Π»Π°Π³ΠΎΠΏΡΠΈΡΡΠ½ΡΠΉ. ΠΠ½ Π·Π°Π²ΠΈΡΠΈΡ ΠΎΡ ΡΠ°Π·ΠΌΠ΅ΡΠΎΠ² Π½ΠΎΠ²ΠΎΠΎΠ±ΡΠ°Π·ΠΎΠ²Π°Π½ΠΈΡ ΠΈ ΠΌΠ΅ΡΡΠ° Π΅Π³ΠΎ Π»ΠΎΠΊΠ°Π»ΠΈΠ·Π°ΡΠΈΠΈ. ΠΠ΅Π±ΠΎΠ»ΡΡΠΈΠ΅ ΠΎΠ΄Π½ΠΎΠΊΠ°ΠΌΠ΅ΡΠ½ΡΠ΅ ΠΊΠΈΡΡΠΎΠ·Π½ΡΠ΅ ΠΎΠ±ΡΠ°Π·ΠΎΠ²Π°Π½ΠΈΡ Ρ Π°ΡΠ°ΠΊΡΠ΅ΡΠΈΠ·ΡΡΡΡΡ ΠΌΠ΅Π΄Π»Π΅Π½Π½ΡΠΌ ΡΠΎΡΡΠΎΠΌ ΠΈ Π½Π΅ΡΠ΅Π΄ΠΊΠΎ ΠΈΡΡΠ΅Π·Π°ΡΡ ΡΠ°ΠΌΠΎΡΡΠΎΡΡΠ΅Π»ΡΠ½ΠΎ Π±Π΅Π· ΠΊΠ°ΠΊΠΎΠ³ΠΎ-Π»ΠΈΠ±ΠΎ Π»Π΅ΡΠ΅Π½ΠΈΡ. ΠΡΠΈ ΠΌΠ½ΠΎΠ³ΠΎΠΊΠ°ΠΌΠ΅ΡΠ½ΡΡ ΠΊΠΈΡΡΠ°Ρ ΡΡ ΡΠ΄ΡΠ°Π΅ΡΡΡ ΠΎΠ±ΡΠΈΠΉ ΠΏΡΠΎΠ³Π½ΠΎΠ·. Π’Π°ΠΊΠΈΠ΅ ΠΎΠΏΡΡ ΠΎΠ»ΠΈ ΡΠΊΠ»ΠΎΠ½Π½Ρ ΠΊ ΠΈΠ½ΡΠ΅ΠΊΡΠΈΠΎΠ½Π½ΡΠΌ ΠΎΡΠ»ΠΎΠΆΠ½Π΅Π½ΠΈΡΠΌ, ΠΌΠΎΠ³ΡΡ Π²ΡΠ·ΡΠ²Π°ΡΡ ΠΏΠ΅ΡΠ΅ΡΠΎΠΆΠ΄Π΅Π½ΠΈΠ΅ ΡΠΊΠ°Π½Π΅ΠΉ Π² Π·Π»ΠΎΠΊΠ°ΡΠ΅ΡΡΠ²Π΅Π½Π½ΡΡ ΠΏΠ°ΡΠΎΠ»ΠΎΠ³ΠΈΡ. ΠΠΈΡΡΡ Π½Π΅ΡΠ΅Π΄ΠΊΠΎ ΠΏΡΠΎΠ²ΠΎΡΠΈΡΡΡΡ Ρ ΡΠΎΠ½ΠΈΡΠ΅ΡΠΊΡΡ ΠΏΠΎΡΠ΅ΡΠ½ΡΡ Π½Π΅Π΄ΠΎΡΡΠ°ΡΠΎΡΠ½ΠΎΡΡΡ. ΠΠΎΡΡΠΎΠΌΡ ΡΠ°ΠΊΠΈΠ΅ ΠΎΠ±ΡΠ°Π·ΠΎΠ²Π°Π½ΠΈΡ ΡΠ΅ΠΊΠΎΠΌΠ΅Π½Π΄ΡΠ΅ΡΡΡ ΡΠ΄Π°Π»ΡΡΡ Π²ΠΎΠ²ΡΠ΅ΠΌΡ Ρ ΠΈΡΡΡΠ³ΠΈΡΠ΅ΡΠΊΠΈΠΌ ΠΏΡΡΠ΅ΠΌ.
ΠΡΠΎΡΠΈΠ»Π°ΠΊΡΠΈΠΊΠ° Π²ΠΊΠ»ΡΡΠ°Π΅Ρ Π² ΡΠ΅Π±Ρ ΠΏΡΠΎΠ²Π΅Π΄Π΅Π½ΠΈΠ΅ ΡΠ΅Π³ΡΠ»ΡΡΠ½ΠΎΠ³ΠΎ ΠΎΠ±ΡΠ»Π΅Π΄ΠΎΠ²Π°Π½ΠΈΡ. ΠΡΠΈ ΠΎΠ±Π½Π°ΡΡΠΆΠ΅Π½ΠΈΠΈ Π΄Π°ΠΆΠ΅ Π½Π΅Π±ΠΎΠ»ΡΡΠΎΠΉ ΠΊΠΈΡΡΡ ΠΏΠΎΡΠ΅ΠΊ Π½Π΅ΠΎΠ±Ρ
ΠΎΠ΄ΠΈΠΌΠΎ ΠΏΡΠΎΠ²ΠΎΠ΄ΠΈΡΡ ΡΠ»ΡΡΡΠ°Π·Π²ΡΠΊΠΎΠ²ΡΡ Π΄ΠΈΠ°Π³Π½ΠΎΡΡΠΈΠΊΡ Π½Π΅ΡΠΊΠΎΠ»ΡΠΊΠΎ ΡΠ°Π· Π² Π³ΠΎΠ΄. ΠΡΠ»ΠΈ Π²ΡΠ°Ρ ΡΠ΅ΠΊΠΎΠΌΠ΅Π½Π΄ΡΠ΅Ρ ΡΠ΄Π°Π»ΠΈΡΡ ΠΎΠ±ΡΠ°Π·ΠΎΠ²Π°Π½ΠΈΠ΅ Ρ
ΠΈΡΡΡΠ³ΠΈΡΠ΅ΡΠΊΠΈΠΌ ΠΏΡΡΠ΅ΠΌ, Π½Π΅ ΡΡΠΎΠΈΡ ΠΎΡΠΊΠ»Π°Π΄ΡΠ²Π°ΡΡ ΠΎΠΏΠ΅ΡΠ°ΡΠΈΡ. Π Π»ΡΠ±ΠΎΠΉ ΠΌΠΎΠΌΠ΅Π½Ρ ΠΊΠΈΡΡΠ° ΠΏΠΎΡΠΊΠΈ ΠΌΠΎΠΆΠ΅Ρ Π²ΠΎΡΠΏΠ°Π»ΠΈΡΡΡΡ, ΡΡΠΎ ΠΏΡΠΈΠ²Π΅Π΄Π΅Ρ ΠΊ ΠΎΠΏΠ°ΡΠ½ΠΎΠΌΡ Π½Π°Π³Π½ΠΎΠΈΡΠ΅Π»ΡΠ½ΠΎΠΌΡ ΠΏΡΠΎΡΠ΅ΡΡΡ.
ΠΡΠΎΡΠΈΠ»Π°ΠΊΡΠΈΠΊΠ° ΠΏΠΎΡΠ²Π»Π΅Π½ΠΈΡ ΠΊΠΈΡΡ ΠΎΠ±ΡΠ·Π°ΡΠ΅Π»ΡΠ½ΠΎ Π²ΠΊΠ»ΡΡΠ°Π΅Ρ ΠΏΡΠ΅Π΄ΡΠΏΡΠ΅ΠΆΠ΄Π΅Π½ΠΈΠ΅ ΠΈΠ½ΡΠ΅ΠΊΡΠΈΠΎΠ½Π½ΡΡ Π·Π°Π±ΠΎΠ»Π΅Π²Π°Π½ΠΈΠΉ ΠΎΡΠ³Π°Π½ΠΎΠ² ΠΌΠΎΡΠ΅Π²ΡΠ΄Π΅Π»ΠΈΡΠ΅Π»ΡΠ½ΠΎΠΉ ΡΠΈΡΡΠ΅ΠΌΡ. ΠΠΎΠ΄ΠΎΠ±Π½ΡΠ΅ Π±ΠΎΠ»Π΅Π·Π½ΠΈ, ΠΊΠΎΡΠΎΡΡΠ΅ ΡΠΎΠΏΡΠΎΠ²ΠΎΠΆΠ΄Π°ΡΡΡΡ Π²ΠΎΡΠΏΠ°Π»ΠΈΡΠ΅Π»ΡΠ½ΡΠΌ ΠΏΡΠΎΡΠ΅ΡΡΠΎΠΌ, ΡΠ°ΡΡΠΎ ΡΠ°ΠΌΠΈ ΠΏΠΎ ΡΠ΅Π±Π΅ ΡΠΏΠΎΡΠΎΠ±ΡΡΠ²ΡΡΡ ΠΎΠ±ΡΠ°Π·ΠΎΠ²Π°Π½ΠΈΡ ΠΊΠΈΡΡΠΎΠ·Π½ΡΡ ΠΏΠΎΠ»ΠΎΡΡΠ΅ΠΉ. Π’Π°ΠΊΠΆΠ΅ ΠΏΡΠΎΡΠΈΠ»Π°ΠΊΡΠΈΠΊΠ° Π²ΠΊΠ»ΡΡΠ°Π΅Ρ ΠΏΡΠ΅Π΄ΡΠΏΡΠ΅ΠΆΠ΄Π΅Π½ΠΈΠ΅ ΡΡΠ°Π²ΠΌ ΠΈ ΡΡΠΈΠ±ΠΎΠ² ΠΏΠΎΡΡΠ½ΠΈΡΡ.
ΠΠΈΡΡΠ° ΠΏΠΎΡΠΊΠΈ. Π§ΡΠΎ ΡΠ°ΠΊΠΎΠ΅ ΠΠΈΡΡΠ° ΠΏΠΎΡΠΊΠΈ?
ΠΠΠΠΠ
ΠΠ½ΡΠΎΡΠΌΠ°ΡΠΈΡ ΠΈΠ· Π΄Π°Π½Π½ΠΎΠ³ΠΎ ΡΠ°Π·Π΄Π΅Π»Π° Π½Π΅Π»ΡΠ·Ρ ΠΈΡΠΏΠΎΠ»ΡΠ·ΠΎΠ²Π°ΡΡ Π΄Π»Ρ ΡΠ°ΠΌΠΎΠ΄ΠΈΠ°Π³Π½ΠΎΡΡΠΈΠΊΠΈ ΠΈ ΡΠ°ΠΌΠΎΠ»Π΅ΡΠ΅Π½ΠΈΡ. Π ΡΠ»ΡΡΠ°Π΅ Π±ΠΎΠ»ΠΈ ΠΈΠ»ΠΈ ΠΈΠ½ΠΎΠ³ΠΎ ΠΎΠ±ΠΎΡΡΡΠ΅Π½ΠΈΡ Π·Π°Π±ΠΎΠ»Π΅Π²Π°Π½ΠΈΡ Π΄ΠΈΠ°Π³Π½ΠΎΡΡΠΈΡΠ΅ΡΠΊΠΈΠ΅ ΠΈΡΡΠ»Π΅Π΄ΠΎΠ²Π°Π½ΠΈΡ Π΄ΠΎΠ»ΠΆΠ΅Π½ Π½Π°Π·Π½Π°ΡΠ°ΡΡ ΡΠΎΠ»ΡΠΊΠΎ Π»Π΅ΡΠ°ΡΠΈΠΉ Π²ΡΠ°Ρ. ΠΠ»Ρ ΠΏΠΎΡΡΠ°Π½ΠΎΠ²ΠΊΠΈ Π΄ΠΈΠ°Π³Π½ΠΎΠ·Π° ΠΈ ΠΏΡΠ°Π²ΠΈΠ»ΡΠ½ΠΎΠ³ΠΎ Π½Π°Π·Π½Π°ΡΠ΅Π½ΠΈΡ Π»Π΅ΡΠ΅Π½ΠΈΡ ΡΠ»Π΅Π΄ΡΠ΅Ρ ΠΎΠ±ΡΠ°ΡΠ°ΡΡΡΡ ΠΊ ΠΠ°ΡΠ΅ΠΌΡ Π»Π΅ΡΠ°ΡΠ΅ΠΌΡ Π²ΡΠ°ΡΡ.
ΠΠΈΡΡΠ° ΠΏΠΎΡΠΊΠΈ β ΡΡΠΎ Π΄ΠΎΠ±ΡΠΎΠΊΠ°ΡΠ΅ΡΡΠ²Π΅Π½Π½ΠΎΠ΅ Π½ΠΎΠ²ΠΎΠΎΠ±ΡΠ°Π·ΠΎΠ²Π°Π½ΠΈΠ΅, ΠΏΡΠ΅Π΄ΡΡΠ°Π²Π»ΡΡΡΠ΅Π΅ ΡΠΎΠ±ΠΎΠΉ Π½Π°ΠΏΠΎΠ»Π½Π΅Π½Π½ΡΡ ΠΆΠΈΠ΄ΠΊΠΎΡΡΡΡ ΠΏΠΎΠ»ΠΎΡΡΡ Ρ ΡΠΎΠ½ΠΊΠΎΠΉ ΡΠΎΠ΅Π΄ΠΈΠ½ΠΈΡΠ΅Π»ΡΠ½ΠΎΡΠΊΠ°Π½Π½ΠΎΠΉ ΠΎΠ±ΠΎΠ»ΠΎΡΠΊΠΎΠΉ. Π‘ΡΠ±ΡΠ΅ΠΊΡΠΈΠ²Π½ΡΠ΅ ΡΠΈΠΌΠΏΡΠΎΠΌΡ ΠΏΠ°ΡΠΎΠ»ΠΎΠ³ΠΈΠΈ ΡΠ°ΡΡΠΎ ΠΎΡΡΡΡΡΡΠ²ΡΡΡ, ΠΏΡΠΈ ΡΠ°Π·Π²ΠΈΡΠΈΠΈ ΠΎΡΠ»ΠΎΠΆΠ½Π΅Π½ΠΈΠΉ ΠΈΠ»ΠΈ ΡΠ²Π΅Π»ΠΈΡΠ΅Π½ΠΈΠΈ ΡΠ°Π·ΠΌΠ΅ΡΠΎΠ² ΠΎΠ±ΡΠ°Π·ΠΎΠ²Π°Π½ΠΈΡ Π²ΠΎΠ·Π½ΠΈΠΊΠ°ΡΡ ΠΆΠ°Π»ΠΎΠ±Ρ Π½Π° Π±ΠΎΠ»ΠΈ Π² ΠΏΠΎΡΡΠ½ΠΈΡΠ΅, Π½Π°Π»ΠΈΡΠΈΠ΅ ΠΊΡΠΎΠ²ΠΈ Π² ΠΌΠΎΡΠ΅, ΡΡΠΎΠΌΠ»ΡΠ΅ΠΌΠΎΡΡΡ, ΠΏΠΎΠ²ΡΡΠ΅Π½ΠΈΠ΅ ΡΠ΅ΠΌΠΏΠ΅ΡΠ°ΡΡΡΡ ΡΠ΅Π»Π° ΠΈ ΠΠ, ΠΊΠΎΡΠΎΡΠΎΠ΅ Π½Π΅ ΠΏΠΎΠ΄Π°Π΅ΡΡΡ ΠΊΠΎΡΡΠ΅ΠΊΡΠΈΠΈ Π³ΠΈΠΏΠΎΡΠ΅Π½Π·ΠΈΠ²Π½ΡΠΌΠΈ ΠΏΡΠ΅ΠΏΠ°ΡΠ°ΡΠ°ΠΌΠΈ.
ΠΠΈΠ°Π³Π½ΠΎΡΡΠΈΠΊΠ° ΠΏΡΠΎΠΈΠ·Π²ΠΎΠ΄ΠΈΡΡΡ Ρ ΠΏΠΎΠΌΠΎΡΡΡ Π£ΠΠ ΠΏΠΎΡΠ΅ΠΊ, ΠΊΠΎΠΌΠΏΡΡΡΠ΅ΡΠ½ΠΎΠΉ ΡΠΎΠΌΠΎΠ³ΡΠ°ΡΠΈΠΈ, ΡΠ°Π΄ΠΈΠΎΠΈΠ·ΠΎΡΠΎΠΏΠ½ΡΡ
ΠΈΡΡΠ»Π΅Π΄ΠΎΠ²Π°Π½ΠΈΠΉ ΡΡΠ½ΠΊΡΠΈΠΉ Π²ΡΠ΄Π΅Π»ΠΈΡΠ΅Π»ΡΠ½ΠΎΠΉ ΡΠΈΡΡΠ΅ΠΌΡ. ΠΠ΅ΡΠ΅Π½ΠΈΠ΅ Π²ΠΊΠ»ΡΡΠ°Π΅Ρ ΠΏΡΠ½ΠΊΡΠΈΠΎΠ½Π½ΡΡ Π°ΡΠΏΠΈΡΠ°ΡΠΈΡ ΡΠΎΠ΄Π΅ΡΠΆΠΈΠΌΠΎΠ³ΠΎ, ΡΠΊΠ»Π΅ΡΠΎΡΠ΅ΡΠ°ΠΏΠΈΡ ΠΊΠΈΡΡΡ, Π»Π°ΠΏΠ°ΡΠΎΡΠΊΠΎΠΏΠΈΡΠ΅ΡΠΊΠΎΠ΅ ΠΈΡΡΠ΅ΡΠ΅Π½ΠΈΠ΅.
ΠΠΠ-10
N28.1Β ΠΠΈΡΡΠ° ΠΏΠΎΡΠΊΠΈ, ΠΏΡΠΈΠΎΠ±ΡΠ΅ΡΠ΅Π½Π½Π°Ρ
- ΠΡΠΈΡΠΈΠ½Ρ
- ΠΠ°ΡΠΎΠ³Π΅Π½Π΅Π·
- ΠΠ»Π°ΡΡΠΈΡΠΈΠΊΠ°ΡΠΈΡ
- Π‘ΠΈΠΌΠΏΡΠΎΠΌΡ ΠΊΠΈΡΡΡ ΠΏΠΎΡΠΊΠΈ
- ΠΡΠ»ΠΎΠΆΠ½Π΅Π½ΠΈΡ
- ΠΠΈΠ°Π³Π½ΠΎΡΡΠΈΠΊΠ°
- ΠΠ΅ΡΠ΅Π½ΠΈΠ΅ ΠΊΠΈΡΡΡ ΠΏΠΎΡΠΊΠΈ
- ΠΡΠΎΠ³Π½ΠΎΠ· ΠΈ ΠΏΡΠΎΡΠΈΠ»Π°ΠΊΡΠΈΠΊΠ°
- Π¦Π΅Π½Ρ Π½Π° Π»Π΅ΡΠ΅Π½ΠΈΠ΅
ΠΠ±ΡΠΈΠ΅ ΡΠ²Π΅Π΄Π΅Π½ΠΈΡ
ΠΠΈΡΡΠ° ΠΏΠΎΡΠΊΠΈ ΡΠ²Π»ΡΠ΅ΡΡΡ ΠΎΠ΄Π½ΠΈΠΌ ΠΈΠ· ΡΠ°ΠΌΡΡ
ΡΠ°ΡΠΏΡΠΎΡΡΡΠ°Π½Π΅Π½Π½ΡΡ
ΡΠΎΡΡΠΎΡΠ½ΠΈΠΉ Π² ΡΡΠΎΠ»ΠΎΠ³ΠΈΠΈ. ΠΡΠ΅Π΄ΠΏΠΎΠ»Π°Π³Π°Π΅ΡΡΡ, ΡΡΠΎ ΠΊΠΈΡΡΠΎΠ·Π½ΡΠ΅ ΠΈΠ·ΠΌΠ΅Π½Π΅Π½ΠΈΡ ΡΠ°Π·Π»ΠΈΡΠ½ΠΎΠΉ ΡΡΠ΅ΠΏΠ΅Π½ΠΈ Π²ΡΡΠ°ΠΆΠ΅Π½Π½ΠΎΡΡΠΈ Π²ΠΎΠ·Π½ΠΈΠΊΠ°ΡΡ ΠΏΠΎΡΡΠΈ Ρ ΡΠ΅ΡΠ²Π΅ΡΡΠΈ Π»ΡΠ΄Π΅ΠΉ Π² Π²ΠΎΠ·ΡΠ°ΡΡΠ΅ ΡΡΠ°ΡΡΠ΅ 45 Π»Π΅Ρ. ΠΡΠΎΠ±Π΅Π½Π½ΠΎ ΠΏΡΠ΅Π΄ΡΠ°ΡΠΏΠΎΠ»ΠΎΠΆΠ΅Π½Ρ ΠΊ ΡΠ°Π·Π²ΠΈΡΠΈΡ ΠΏΠ°ΡΠΎΠ»ΠΎΠ³ΠΈΠΈ ΠΌΡΠΆΡΠΈΠ½Ρ, ΡΡΡΠ°Π΄Π°ΡΡΠΈΠ΅ ΠΎΠΆΠΈΡΠ΅Π½ΠΈΠ΅ΠΌ, Π°ΡΡΠ΅ΡΠΈΠ°Π»ΡΠ½ΠΎΠΉ Π³ΠΈΠΏΠ΅ΡΡΠ΅Π½Π·ΠΈΠ΅ΠΉ, ΠΈΠ½ΡΠ΅ΠΊΡΠΈΠΎΠ½Π½ΡΠΌΠΈ Π·Π°Π±ΠΎΠ»Π΅Π²Π°Π½ΠΈΡΠΌΠΈ ΠΌΠΎΡΠ΅Π²ΡΠ΄Π΅Π»ΠΈΡΠ΅Π»ΡΠ½ΠΎΠΉ ΡΠΈΡΡΠ΅ΠΌΡ, ΡΡΠΎΠ»ΠΈΡΠΈΠ°Π·ΠΎΠΌ. ΠΠ°ΡΡΡΠ΅Π½ΠΈΡ ΡΠ°Π±ΠΎΡΡ ΠΏΠΎΡΠ΅ΠΊ Π²ΡΡΠ²Π»ΡΡΡΡΡ Π»ΠΈΡΡ Ρ ΡΡΠ΅ΡΠΈ Π±ΠΎΠ»ΡΠ½ΡΡ
, Π² ΠΎΡΡΠ°Π»ΡΠ½ΡΡ
ΡΠ»ΡΡΠ°ΡΡ
Π½Π°Π±Π»ΡΠ΄Π°Π΅ΡΡΡ Π±Π΅ΡΡΠΈΠΌΠΏΡΠΎΠΌΠ½ΠΎΠ΅ ΡΠ΅ΡΠ΅Π½ΠΈΠ΅.
Π ΠΎΡΠ΄Π΅Π»ΡΠ½ΠΎΠΌΡ ΡΠΈΠΏΡ ΠΎΡΠ½ΠΎΡΡΡΡΡ Π²ΡΠΎΠΆΠ΄Π΅Π½Π½ΡΠ΅ ΡΠ°Π·Π½ΠΎΠ²ΠΈΠ΄Π½ΠΎΡΡΠΈ ΠΊΠΈΡΡ, ΠΊΠΎΡΠΎΡΡΠ΅ ΠΎΠ±Π½Π°ΡΡΠΆΠΈΠ²Π°ΡΡΡΡ Ρ Π΄Π΅ΡΠ΅ΠΉ.
ΠΠΈΡΡΠ° ΠΏΠΎΡΠΊΠΈ
ΠΡΠΈΡΠΈΠ½Ρ
ΠΠΈΡΡΡ ΠΏΠΎΡΠ΅ΠΊ ΠΏΡΠ΅Π΄ΡΡΠ°Π²Π»ΡΡΡ ΡΠΎΠ±ΠΎΠΉ Π΄ΠΎΡΡΠ°ΡΠΎΡΠ½ΠΎ ΡΠ°Π·Π½ΠΎΡΠΎΠ΄Π½ΡΡ Π³ΡΡΠΏΠΏΡ ΠΏΠ°ΡΠΎΠ»ΠΎΠ³ΠΈΡΠ΅ΡΠΊΠΈΡ ΡΠΎΡΡΠΎΡΠ½ΠΈΠΉ. ΠΠ΅ΠΏΠΎΡΡΠ΅Π΄ΡΡΠ²Π΅Π½Π½ΠΎΠΉ ΠΏΡΠΈΡΠΈΠ½ΠΎΠΉ Π·Π°Π±ΠΎΠ»Π΅Π²Π°Π½ΠΈΡ ΡΡΠΈΡΠ°ΡΡΡΡ Π½Π°ΡΡΡΠ΅Π½ΠΈΡ ΡΠΎΡΡΠ° ΡΠΏΠΈΡΠ΅Π»ΠΈΠ°Π»ΡΠ½ΠΎΠΉ ΠΈ ΡΠΎΠ΅Π΄ΠΈΠ½ΠΈΡΠ΅Π»ΡΠ½ΠΎΠΉ (ΠΌΠ΅ΠΆΡΡΠΎΡΠ½ΠΎΠΉ) ΡΠΊΠ°Π½Π΅ΠΉ, ΠΎΠ±ΡΡΠ»ΠΎΠ²Π»Π΅Π½Π½ΡΠ΅ ΠΏΠΎΠ²ΡΠ΅ΠΆΠ΄Π΅Π½ΠΈΠ΅ΠΌ ΠΈΠ»ΠΈ Π²ΠΎΡΠΏΠ°Π»ΠΈΡΠ΅Π»ΡΠ½ΡΠΌΠΈ ΠΏΡΠΎΡΠ΅ΡΡΠ°ΠΌΠΈ. Π Π°Π·Π²ΠΈΡΠΈΠ΅ Π½Π΅ΠΊΠΎΡΠΎΡΡΡ ΠΊΠΈΡΡΠΎΠ·Π½ΡΡ ΡΠ°Π·ΡΠ°ΡΡΠ°Π½ΠΈΠΉ ΠΎΠ±ΡΡΡΠ½ΡΠ΅ΡΡΡ Π²ΡΠΎΠΆΠ΄Π΅Π½Π½ΡΠΌΠΈ Π°Π½ΠΎΠΌΠ°Π»ΠΈΡΠΌΠΈ ΠΌΠΎΡΠ΅Π²ΡΠ΄Π΅Π»ΠΈΡΠ΅Π»ΡΠ½ΠΎΠΉ ΡΠΈΡΡΠ΅ΠΌΡ ΠΈΠ»ΠΈ Π³Π΅Π½Π΅ΡΠΈΡΠ΅ΡΠΊΠΈΠΌΠΈ ΠΎΡΠΎΠ±Π΅Π½Π½ΠΎΡΡΡΠΌΠΈ ΠΎΡΠ³Π°Π½ΠΈΠ·ΠΌΠ°. ΠΡΠ½ΠΎΠ²Π½ΡΠΌΠΈ ΠΏΡΠ΅Π΄ΡΠ°ΡΠΏΠΎΠ»Π°Π³Π°ΡΡΠΈΠΌΠΈ ΡΠ°ΠΊΡΠΎΡΠ°ΠΌΠΈ ΡΠ²Π»ΡΡΡΡΡ:
- ΠΠΎΡΠ°ΠΆΠ΅Π½ΠΈΠ΅ ΡΠΊΠ°Π½Π΅ΠΉ ΠΏΠΎΡΠ΅ΠΊ. ΠΠΎΡΠΏΠ°Π»ΠΈΡΠ΅Π»ΡΠ½ΡΠ΅ ΠΏΡΠΎΡΠ΅ΡΡΡ (Π³Π»ΠΎΠΌΠ΅ΡΡΠ»ΠΎ- ΠΈΠ»ΠΈ ΠΏΠΈΠ΅Π»ΠΎΠ½Π΅ΡΡΠΈΡΡ), ΡΡΠ±Π΅ΡΠΊΡΠ»Π΅Π·, ΠΈΡΠ΅ΠΌΠΈΡΠ΅ΡΠΊΠΈΠ΅ ΠΏΠΎΡΠ°ΠΆΠ΅Π½ΠΈΡ (ΠΈΠ½ΡΠ°ΡΠΊΡ), ΠΎΠΏΡΡ ΠΎΠ»ΠΈ ΡΠΏΠΎΡΠΎΠ±Π½Ρ ΠΏΡΠΎΠ²ΠΎΡΠΈΡΠΎΠ²Π°ΡΡ Π½Π°ΡΡΡΠ΅Π½ΠΈΡ ΡΠ°Π·Π²ΠΈΡΠΈΡ ΡΠΏΠΈΡΠ΅Π»ΠΈΠ°Π»ΡΠ½ΠΎΠΉ ΡΠΊΠ°Π½ΠΈ ΠΊΠ°Π½Π°Π»ΡΡΠ΅Π² Π½Π΅ΡΡΠΎΠ½Π°. Π ΡΠ΅Π·ΡΠ»ΡΡΠ°ΡΠ΅ ΠΎΠ±ΡΠ°Π·ΡΠ΅ΡΡΡ ΡΠΎΠ½ΠΊΠΎΡΡΠ΅Π½Π½Π°Ρ ΠΏΠΎΠ»ΠΎΡΡΡ ΠΏΡΠ΅ΠΈΠΌΡΡΠ΅ΡΡΠ²Π΅Π½Π½ΠΎ Π² ΠΌΠΎΠ·Π³ΠΎΠ²ΠΎΠΌ Π²Π΅ΡΠ΅ΡΡΠ²Π΅ ΠΏΠΎΡΠ΅ΠΊ.
- ΠΠΎΠ·ΡΠ°ΡΡΠ½ΡΠ΅ ΠΈΠ·ΠΌΠ΅Π½Π΅Π½ΠΈΡ. ΠΠΎΡΠ²Π»Π΅Π½ΠΈΠ΅ ΠΊΠΈΡΡ Ρ Π»ΠΈΡ ΡΡΠ°ΡΡΠ΅ 45 Π»Π΅Ρ ΠΎΠ±ΡΡΡΠ½ΡΠ΅ΡΡΡ ΡΠ²Π΅Π»ΠΈΡΠ΅Π½ΠΈΠ΅ΠΌ Π½Π°Π³ΡΡΠ·ΠΊΠΈ Π½Π° Π²ΡΠ΄Π΅Π»ΠΈΡΠ΅Π»ΡΠ½ΡΡ ΡΠΈΡΡΠ΅ΠΌΡ ΠΈ ΠΌΠ΅Ρ
Π°Π½ΠΈΠ·ΠΌΠΎΠΌ Β«Π½Π°ΠΊΠΎΠΏΠ»Π΅Π½ΠΈΡ Π½Π°ΡΡΡΠ΅Π½ΠΈΠΉΒ».
ΠΠΎΡΠ»Π΅Π΄Π½ΠΈΠΉ Π²ΠΎΠ·Π½ΠΈΠΊΠ°Π΅Ρ Π²ΡΠ»Π΅Π΄ΡΡΠ²ΠΈΠ΅ Π½Π΅Π·Π½Π°ΡΠΈΡΠ΅Π»ΡΠ½ΡΡ
ΠΏΠΎ Π²ΡΡΠ°ΠΆΠ΅Π½Π½ΠΎΡΡΠΈ, Π½ΠΎ ΠΌΠ½ΠΎΠΆΠ΅ΡΡΠ²Π΅Π½Π½ΡΡ
ΠΏΠ°ΡΠΎΠ»ΠΎΠ³ΠΈΡΠ΅ΡΠΊΠΈΡ
ΠΏΡΠΎΡΠ΅ΡΡΠΎΠ², ΡΡΠΈΠ»ΠΈΠ²Π°ΡΡΠΈΡ
Π²Π»ΠΈΡΠ½ΠΈΠ΅ Π΄ΡΡΠ³ Π΄ΡΡΠ³Π°. - ΠΡΠΎΠΆΠ΄Π΅Π½Π½ΡΠ΅ ΡΠ°ΠΊΡΠΎΡΡ. ΠΠ½ΠΎΠ³Π΄Π° ΠΊΠΈΡΡΡ ΡΠ²Π»ΡΡΡΡΡ ΡΠ»Π΅Π΄ΡΡΠ²ΠΈΠ΅ΠΌ Π½Π°ΡΡΡΠ΅Π½ΠΈΠΉ Π²Π½ΡΡΡΠΈΡΡΡΠΎΠ±Π½ΠΎΠ³ΠΎ ΡΠ°Π·Π²ΠΈΡΠΈΡ Π·Π°ΡΠ°ΡΠΊΠΎΠ² ΠΏΠΎΡΠ΅ΠΊ. Π’Π°ΠΊΠΈΠ΅ Π½ΠΎΠ²ΠΎΠΎΠ±ΡΠ°Π·ΠΎΠ²Π°Π½ΠΈΡ ΠΎΠ±ΡΡΠ½ΠΎ ΠΎΠ±Π½Π°ΡΡΠΆΠΈΠ²Π°ΡΡΡΡ Π΅ΡΠ΅ Π² Π΄Π΅ΡΡΠΊΠΎΠΌ Π²ΠΎΠ·ΡΠ°ΡΡΠ΅, Π½Π΅ΡΠ΅Π΄ΠΊΠΎ ΠΈΠΌΠ΅ΡΡ ΠΌΠ½ΠΎΠΆΠ΅ΡΡΠ²Π΅Π½Π½ΡΠΉ Ρ Π°ΡΠ°ΠΊΡΠ΅Ρ. ΠΡΡΠ°ΡΠΈΠΈ Π½Π΅ΠΊΠΎΡΠΎΡΡΡ Π³Π΅Π½ΠΎΠ² ΠΏΠΎΠ²ΡΡΠ°ΡΡ ΠΏΡΠ΅Π΄ΡΠ°ΡΠΏΠΎΠ»ΠΎΠΆΠ΅Π½Π½ΠΎΡΡΡ ΠΊ ΠΎΠ±ΡΠ°Π·ΠΎΠ²Π°Π½ΠΈΡ ΠΊΠΈΡΡΠΎΠ·Π½ΡΡ ΠΏΠΎΠ»ΠΎΡΡΠ΅ΠΉ Π² ΠΏΠΎΡΠΊΠ°Ρ .
Π‘ΠΈΡΡΠ΅ΠΌΠ½ΡΠ΅ ΡΠΎΡΡΠΎΡΠ½ΠΈΡ (Π°ΡΡΠ΅ΡΠΈΠ°Π»ΡΠ½Π°Ρ Π³ΠΈΠΏΠ΅ΡΡΠ΅Π½Π·ΠΈΡ, ΠΎΠΆΠΈΡΠ΅Π½ΠΈΠ΅, ΡΠ°Ρ Π°ΡΠ½ΡΠΉ Π΄ΠΈΠ°Π±Π΅Ρ) ΡΠΏΠΎΡΠΎΠ±ΡΡΠ²ΡΡΡ ΠΏΡΠΎΠ³ΡΠ΅ΡΡΠΈΡΠΎΠ²Π°Π½ΠΈΡ Π·Π°Π±ΠΎΠ»Π΅Π²Π°Π½ΠΈΡ. ΠΠ½ΠΈ ΠΏΡΠΈΠ²ΠΎΠ΄ΡΡ ΠΊ Π½Π°ΡΡΡΠ΅Π½ΠΈΡ ΠΊΡΠΎΠ²ΠΎΡΠ½Π°Π±ΠΆΠ΅Π½ΠΈΡ ΠΈ ΠΏΠΈΡΠ°Π½ΠΈΡ ΠΎΡΠ³Π°Π½ΠΎΠ² ΠΌΠΎΡΠ΅Π²ΡΠ΄Π΅Π»ΠΈΡΠ΅Π»ΡΠ½ΠΎΠΉ ΡΠΈΡΡΠ΅ΠΌΡ ΠΈ, ΠΊΠ°ΠΊ ΡΠ»Π΅Π΄ΡΡΠ²ΠΈΠ΅, β ΠΊ ΡΠ°Π·ΡΠ°ΡΡΠ°Π½ΠΈΡ ΠΌΠ΅Π½Π΅Π΅ ΡΡΠ΅Π±ΠΎΠ²Π°ΡΠ΅Π»ΡΠ½ΠΎΠΉ ΠΊ Π΄ΠΎΡΡΡΠΏΡ ΠΊΠΈΡΠ»ΠΎΡΠΎΠ΄Π° ΡΠΎΠ΅Π΄ΠΈΠ½ΠΈΡΠ΅Π»ΡΠ½ΠΎΠΉ ΡΠΊΠ°Π½ΠΈ. ΠΠ΅ΠΊΠΎΡΠΎΡΡΠ΅ ΡΠ°Π·Π½ΠΎΠ²ΠΈΠ΄Π½ΠΎΡΡΠΈ ΠΏΠ°ΡΠΎΠ»ΠΎΠ³ΠΈΠΈ ΠΎΠ±ΡΡΠ»ΠΎΠ²Π»Π΅Π½Ρ Π½Π΅ Π²ΠΎΠ·Π½ΠΈΠΊΠ½ΠΎΠ²Π΅Π½ΠΈΠ΅ΠΌ ΠΈ ΡΠΎΡΡΠΎΠΌ ΠΊΠΈΡΡΠΎΠ·Π½ΠΎΠ³ΠΎ ΠΎΠ±ΡΠ°Π·ΠΎΠ²Π°Π½ΠΈΡ, Π° Π»ΠΎΠΊΠ°Π»ΠΈΠ·ΠΎΠ²Π°Π½Π½ΡΠΌ ΠΏΡΠΎΡΠ΅ΡΡΠΎΠΌ ΡΠ°Π·ΡΡΡΠ΅Π½ΠΈΡ ΠΏΠΎΡΠ΅ΡΠ½ΠΎΠΉ ΡΠΊΠ°Π½ΠΈ (ΠΏΡΠΈ Π°Π±ΡΡΠ΅ΡΡΠ΅, ΠΊΠ°ΡΠ±ΡΠ½ΠΊΡΠ»Π΅).
ΠΠ°ΡΠΎΠ³Π΅Π½Π΅Π·
Π Π°Π·Π²ΠΈΡΠΈΠ΅ Β«ΠΈΡΡΠΈΠ½Π½ΠΎΠΉΒ», Π½Π°ΠΈΠ±ΠΎΠ»Π΅Π΅ ΡΠ°ΡΠΏΡΠΎΡΡΡΠ°Π½Π΅Π½Π½ΠΎΠΉ ΠΊΠΈΡΡΡ ΠΏΠΎΡΠΊΠΈ ΠΏΡΠΎΠΈΡΡ
ΠΎΠ΄ΠΈΡ Π² ΡΠ΅Π·ΡΠ»ΡΡΠ°ΡΠ΅ ΠΏΠΎΠ²ΡΠ΅ΠΆΠ΄Π΅Π½ΠΈΡ ΠΊΠ°Π½Π°Π»ΡΡΠ΅Π² Π½Π΅ΡΡΠΎΠ½Π°.
ΠΠΎΡΠΏΠ°Π»ΠΈΡΠ΅Π»ΡΠ½ΡΠΉ ΠΈΠ»ΠΈ ΡΠΊΠ»Π΅ΡΠΎΡΠΈΡΠ΅ΡΠΊΠΈΠΉ ΠΏΡΠΎΡΠ΅ΡΡ, ΡΡΠ°Π²ΠΌΡ ΠΎΡΠ³Π°Π½Π° Π²Π΅Π΄ΡΡ ΠΊ ΠΈΠ·ΠΎΠ»ΡΡΠΈΠΈ ΡΡΠ°Π³ΠΌΠ΅Π½ΡΠ° ΠΊΠ°Π½Π°Π»ΡΡΠ° ΠΎΡ ΠΎΡΡΠ°Π»ΡΠ½ΠΎΠΉ ΡΠ°ΡΡΠΈ Π½Π°ΡΠ°Π»ΡΠ½ΡΡ
ΠΎΡΠ΄Π΅Π»ΠΎΠ² ΠΌΠΎΡΠ΅Π²ΡΠ΄Π΅Π»ΠΈΡΠ΅Π»ΡΠ½ΡΡ
ΠΏΡΡΠ΅ΠΉ. ΠΡΠΈ ΠΎΠΏΡΠ΅Π΄Π΅Π»Π΅Π½Π½ΡΡ
ΡΡΠ»ΠΎΠ²ΠΈΡΡ
Π½Π°Π±Π»ΡΠ΄Π°Π΅ΡΡΡ Π½Π΅ ΡΠΊΠ»Π΅ΡΠΎΠ·ΠΈΡΠΎΠ²Π°Π½ΠΈΠ΅ ΠΈΠ·ΠΎΠ»ΠΈΡΠΎΠ²Π°Π½Π½ΠΎΠ³ΠΎ ΡΡΠ°ΡΡΠΊΠ°, Π° Π±ΡΡΠ½ΠΎΠ΅ ΡΠ°Π·ΡΠ°ΡΡΠ°Π½ΠΈΠ΅ ΠΊΠ°Π½Π°Π»ΡΡΠ΅Π²ΠΎΠ³ΠΎ ΡΠΏΠΈΡΠ΅Π»ΠΈΡ, Π² ΡΠ΅Π·ΡΠ»ΡΡΠ°ΡΠ΅ ΡΠ΅Π³ΠΎ ΡΠΎΡΠΌΠΈΡΡΠ΅ΡΡΡ Π½Π΅Π±ΠΎΠ»ΡΡΠΎΠΉ (ΠΏΠΎΡΡΠ΄ΠΊΠ° 1-3 ΠΌΠΈΠ»Π»ΠΈΠΌΠ΅ΡΡΠΎΠ²) ΠΏΡΠ·ΡΡΠ΅ΠΊ. ΠΠ½ Π½Π°ΠΏΠΎΠ»Π½Π΅Π½ ΠΆΠΈΠ΄ΠΊΠΎΡΡΡΡ, ΠΏΠΎ ΡΠ²ΠΎΠ΅ΠΌΡ ΡΠΎΡΡΠ°Π²Ρ ΡΡ
ΠΎΠ΄Π½ΠΎΠΉ Ρ ΠΏΠ΅ΡΠ²ΠΈΡΠ½ΠΎΠΉ ΠΌΠΎΡΠΎΠΉ ΠΈΠ»ΠΈ ΡΠΈΠ»ΡΡΡΠΎΠ²Π°Π½Π½ΠΎΠΉ ΠΏΠ»Π°Π·ΠΌΠΎΠΉ ΠΊΡΠΎΠ²ΠΈ.
ΠΡΠΈ Π΄Π°Π»ΡΠ½Π΅ΠΉΡΠ΅ΠΌ Π΄Π΅Π»Π΅Π½ΠΈΠΈ ΠΊΠ»Π΅ΡΠΎΠΊ ΡΠΎΠ΅Π΄ΠΈΠ½ΠΈΡΠ΅Π»ΡΠ½ΠΎΠΉ ΠΈ ΡΠΏΠΈΡΠ΅Π»ΠΈΠ°Π»ΡΠ½ΠΎΠΉ ΡΠΊΠ°Π½Π΅ΠΉ ΠΏΡΠΎΠΈΡΡ
ΠΎΠ΄ΠΈΡ ΡΠΎΡΡ ΠΊΠΈΡΡΡ, ΠΈΠ½ΠΎΠ³Π΄Π° Π΄ΠΎΡΡΠΈΠ³Π°ΡΡΠ΅ΠΉ Π² ΡΠ°Π·ΠΌΠ΅ΡΠ΅ 10-15 ΡΠ°Π½ΡΠΈΠΌΠ΅ΡΡΠΎΠ². ΠΠ΅ ΡΠΎΡΡ ΡΠΎΠΏΡΠΎΠ²ΠΎΠΆΠ΄Π°Π΅ΡΡΡ ΠΊΠΎΠΌΠΏΡΠ΅ΡΡΠΈΠ΅ΠΉ ΠΎΠΊΡΡΠΆΠ°ΡΡΠΈΡ
ΡΡΡΡΠΊΡΡΡ, ΠΈΠ½ΠΎΠ³Π΄Π° ΡΡΠΎ ΡΡΠΈΠΌΡΠ»ΠΈΡΡΠ΅Ρ ΡΠ°Π·Π²ΠΈΡΠΈΠ΅ Π²ΡΠΎΡΠΈΡΠ½ΡΡ
ΠΊΠΈΡΡΠΎΠ·Π½ΡΡ
ΡΠ°Π·ΡΠ°ΡΡΠ°Π½ΠΈΠΉ. ΠΡΠΈ Π·Π½Π°ΡΠΈΡΠ΅Π»ΡΠ½ΠΎΠΌ ΡΠ°Π·ΠΌΠ΅ΡΠ΅ ΠΊΠΈΡΡΡ Π·Π°ΡΡΡΠ΄Π½ΡΠ΅ΡΡΡ ΠΎΡΡΠΎΠΊ ΠΌΠΎΡΠΈ, ΡΠ΄Π°Π²Π»ΠΈΠ²Π°ΡΡΡΡ ΠΊΡΠΎΠ²Π΅Π½ΠΎΡΠ½ΡΠ΅ ΡΠΎΡΡΠ΄Ρ, ΠΏΠΈΡΠ°ΡΡΠΈΠ΅ ΠΏΠΎΡΠΊΡ, ΡΠ°Π·Π΄ΡΠ°ΠΆΠ°ΡΡΡΡ Π½Π΅ΡΠ²Π½ΡΠ΅ ΠΏΡΡΠΊΠΈ. ΠΡΠΎ ΡΡΠ°Π½ΠΎΠ²ΠΈΡΡΡ ΠΏΡΠΈΡΠΈΠ½ΠΎΠΉ ΡΡΠ΄Π° ΠΌΠ΅ΡΡΠ½ΡΡ
ΠΈ ΠΎΠ±ΡΠΈΡ
ΡΠΈΠΌΠΏΡΠΎΠΌΠΎΠ² β Π±ΠΎΠ»Π΅ΠΉ, ΠΊΠΎΠ»Π΅Π±Π°Π½ΠΈΠΉ Π°ΡΡΠ΅ΡΠΈΠ°Π»ΡΠ½ΠΎΠ³ΠΎ Π΄Π°Π²Π»Π΅Π½ΠΈΡ, ΠΈΠ½ΡΠΎΠΊΡΠΈΠΊΠ°ΡΠΈΠΈ ΠΎΡΠ³Π°Π½ΠΈΠ·ΠΌΠ°. ΠΠ½ΠΎΠ³Π΄Π° Π½Π°Π±Π»ΡΠ΄Π°Π΅ΡΡΡ ΠΌΠ°Π»ΠΈΠ³Π½ΠΈΠ·Π°ΡΠΈΡ ΠΊΠ»Π΅ΡΠΎΠΊ ΡΠΏΠΈΡΠ΅Π»ΠΈΡ ΡΡΠ΅Π½ΠΎΠΊ Π½ΠΎΠ²ΠΎΠΎΠ±ΡΠ°Π·ΠΎΠ²Π°Π½ΠΈΡ.
ΠΠ»Π°ΡΡΠΈΡΠΈΠΊΠ°ΡΠΈΡ
Π ΡΠΎΠ²ΡΠ΅ΠΌΠ΅Π½Π½ΠΎΠΉ ΡΡΠΎΠ»ΠΎΠ³ΠΈΠΈ ΡΡΡΠ΅ΡΡΠ²ΡΠ΅Ρ Π½Π΅ΡΠΊΠΎΠ»ΡΠΊΠΎ Π²Π°ΡΠΈΠ°Π½ΡΠΎΠ² ΠΊΠ»Π°ΡΡΠΈΡΠΈΠΊΠ°ΡΠΈΠΈ ΠΊΠΈΡΡΠΎΠ·Π½ΡΡ ΠΏΡΠ·ΡΡΠ΅ΠΉ Π² ΠΏΠΎΡΠΊΠ°Ρ , ΠΎΡΠ½ΠΎΠ²ΡΠ²Π°ΡΡΠΈΡ ΡΡ Π½Π° ΠΈΡ ΡΡΡΡΠΊΡΡΡΠ΅, Π»ΠΎΠΊΠ°Π»ΠΈΠ·Π°ΡΠΈΠΈ, ΠΏΡΠΎΠΈΡΡ ΠΎΠΆΠ΄Π΅Π½ΠΈΠΈ, Ρ Π°ΡΠ°ΠΊΡΠ΅ΡΠ΅ ΡΠΎΠ΄Π΅ΡΠΆΠΈΠΌΠΎΠ³ΠΎ. Π’ΡΠ°Π΄ΠΈΡΠΈΠΎΠ½Π½ΠΎ ΠΊ Π΄Π°Π½Π½ΠΎΠΉ ΠΏΠ°ΡΠΎΠ»ΠΎΠ³ΠΈΠΈ ΠΎΡΠ½ΠΎΡΡΡ ΡΠΎΡΡΠΎΡΠ½ΠΈΡ, ΡΠ°ΠΊΡΠΈΡΠ΅ΡΠΊΠΈ Π½Π΅ ΡΠ²Π»ΡΡΡΠΈΠ΅ΡΡ ΠΊΠΈΡΡΠΎΠΉ β Π½Π°ΠΏΡΠΈΠΌΠ΅Ρ, Π΄Π΅ΡΠΌΠΎΠΈΠ΄Π½ΡΠ΅ ΠΎΠΏΡΡ ΠΎΠ»ΠΈ, Π°Π±ΡΡΠ΅ΡΡΡ Π² ΠΏΠΎΡΠΊΠ°Ρ , ΠΊΠΎΡΠΎΡΡΠ΅ ΠΈΠΌΠ΅ΡΡ ΡΡ ΠΎΠΆΠΈΠ΅ ΡΠ΅ΡΡΡ ΡΡΡΠΎΠ΅Π½ΠΈΡ, Π½ΠΎ Π΄ΡΡΠ³ΡΡ ΡΡΠΈΠΎΠ»ΠΎΠ³ΠΈΡ. ΠΡΠΎΠ±Π΅Π½Π½ΠΎ Π²ΡΡΠΎΠΊΠΎΠΉ ΠΊΠ»ΠΈΠ½ΠΈΡΠ΅ΡΠΊΠΎΠΉ Π·Π½Π°ΡΠΈΠΌΠΎΡΡΡΡ ΠΎΠ±Π»Π°Π΄Π°Π΅Ρ ΠΊΠ»Π°ΡΡΠΈΡΠΈΠΊΠ°ΡΠΈΡ ΠΏΠΎ ΠΠΎΡΠ½ΠΈΠ°ΠΊ, ΡΠ°ΡΡΠΌΠ°ΡΡΠΈΠ²Π°ΡΡΠ°Ρ ΠΊΠΈΡΡΡ ΠΏΠΎ ΡΠΈΡΠΊΡ ΠΌΠ°Π»ΠΈΠ³Π½ΠΈΠ·Π°ΡΠΈΠΈ ΠΈ Π²ΠΊΠ»ΡΡΠ°ΡΡΠ°Ρ ΡΠ»Π΅Π΄ΡΡΡΠΈΠ΅ Π²Π°ΡΠΈΠ°Π½ΡΡ:
- I ΠΊΠ°ΡΠ΅Π³ΠΎΡΠΈΡ. ΠΡΠΎΡΡΡΠ΅ ΠΎΠ΄Π½ΠΎΠΊΠ°ΠΌΠ΅ΡΠ½ΡΠ΅ ΠΊΠΈΡΡΡ Ρ ΠΌΠΈΠ½ΠΈΠΌΠ°Π»ΡΠ½ΡΠΌ ΡΠΈΡΠΊΠΎΠΌ ΠΎΠ·Π»ΠΎΠΊΠ°ΡΠ΅ΡΡΠ²Π»Π΅Π½ΠΈΡ. ΠΠ΅ ΡΡΠ΅Π±ΡΡΡ Π»Π΅ΡΠ΅Π½ΠΈΡ.
- II ΠΊΠ°ΡΠ΅Π³ΠΎΡΠΈΡ. ΠΠΎΠ±ΡΠΎΠΊΠ°ΡΠ΅ΡΡΠ²Π΅Π½Π½ΡΠ΅ ΠΊΠΈΡΡΡ Ρ Π½Π°Π»ΠΈΡΠΈΠ΅ΠΌ Π²Π½ΡΡΡΠΈΠΊΠ°ΠΌΠ΅ΡΠ½ΡΡ ΠΏΠ΅ΡΠ΅Π³ΠΎΡΠΎΠ΄ΠΎΠΊ ΠΈ ΠΌΠΈΠΊΡΠΎΠΊΠ°Π»ΡΡΠΈΠ½Π°ΡΠΎΠ², ΠΌΠ΅Π½Π΅Π΅ 3 ΡΠΌ Π² Π΄ΠΈΠ°ΠΌΠ΅ΡΡΠ΅. ΠΠΎΠ΄Π»Π΅ΠΆΠ°Ρ Π΄ΠΈΠ½Π°ΠΌΠΈΡΠ΅ΡΠΊΠΎΠΌΡ Π£ΠΠ-ΠΊΠΎΠ½ΡΡΠΎΠ»Ρ.
- IIF ΠΊΠ°ΡΠ΅Π³ΠΎΡΠΈΡ. ΠΠΈΡΡΡ Π΄ΠΎΠ±ΡΠΎΠΊΠ°ΡΠ΅ΡΡΠ²Π΅Π½Π½ΡΠ΅, Ρ Π±ΠΎΠ»ΡΡΠΈΠΌ ΠΊΠΎΠ»ΠΈΡΠ΅ΡΡΠ²ΠΎΠΌ ΡΠΎΠ½ΠΊΠΎΡΡΠ΅Π½Π½ΡΡ
ΠΏΠ΅ΡΠ΅Π³ΠΎΡΠΎΠ΄ΠΎΠΊ, ΠΊΠ°Π»ΡΡΠΈΡΠΈΠΊΠ°ΡΠΎΠ², ΡΠ°Π·ΠΌΠ΅ΡΠΎΠΌ ΠΎΡ 3 ΡΠΌ ΠΈ Π±ΠΎΠ»Π΅Π΅. Π’ΡΠ΅Π±ΡΡΡ Π½Π°Π±Π»ΡΠ΄Π΅Π½ΠΈΡ, ΡΠ΅Π΄ΠΊΠΎ ΠΌΠ°Π»ΠΈΠ³Π½ΠΈΠ·ΠΈΡΡΡΡΡΡ (ΠΎΠΊΠΎΠ»ΠΎ 5%).

- III ΠΊΠ°ΡΠ΅Π³ΠΎΡΠΈΡ.ΠΠΈΡΡΡ ΡΠ»ΠΎΠΆΠ½ΠΎΠΉ ΡΡΡΡΠΊΡΡΡΡ, ΠΈΠΌΠ΅ΡΡΠΈΠ΅ Π²ΡΡΠΎΠΊΠΈΠΉ ΡΠΈΡΠΊ Π·Π»ΠΎΠΊΠ°ΡΠ΅ΡΡΠ²Π΅Π½Π½ΠΎΠΉ ΡΡΠ°Π½ΡΡΠΎΡΠΌΠ°ΡΠΈΠΈ (ΠΏΡΠΈΠΌΠ΅ΡΠ½ΠΎ 50%). ΠΡΠ»ΠΈΡΠ°ΡΡΡΡ Π½Π΅ΡΠ΅ΡΠΊΠΈΠΌ ΠΊΠΎΠ½ΡΡΡΠΎΠΌ, ΡΡΠΎΠ»ΡΠ΅Π½Π½ΡΠΌΠΈ Π²Π½ΡΡΡΠΈΠΊΠ°ΠΌΠ΅ΡΠ½ΡΠΌΠΈ ΠΏΠ΅ΡΠ΅Π³ΠΎΡΠΎΠ΄ΠΊΠ°ΠΌΠΈ Ρ Π½Π΅ΠΎΠ΄Π½ΠΎΡΠΎΠ΄Π½ΡΠΌΠΈ ΠΎΡΠ»ΠΎΠΆΠ΅Π½ΠΈΡΠΌΠΈ ΠΊΠ°Π»ΡΡΠΈΡ. ΠΠΎΠ΄Π»Π΅ΠΆΠ°Ρ ΠΎΠΏΠ΅ΡΠ°ΡΠΈΠ²Π½ΠΎΠΌΡ ΡΠ΄Π°Π»Π΅Π½ΠΈΡ.
- IV ΠΊΠ°ΡΠ΅Π³ΠΎΡΠΈΡ. ΠΠΌΠ΅ΡΡ Π²ΡΠ΅ ΠΏΡΠΈΠ·Π½Π°ΠΊΠΈ Π·Π»ΠΎΠΊΠ°ΡΠ΅ΡΡΠ²Π΅Π½Π½ΠΎΡΡΠΈ: Π±ΡΠ³ΡΠΈΡΡΡΠΉ ΠΊΠΎΠ½ΡΡΡ, Π²ΡΡΠ°ΠΆΠ΅Π½Π½ΡΠΉ ΠΆΠΈΠ΄ΠΊΠΎΡΡΠ½ΡΠΉ ΠΈ ΡΠΊΠ°Π½Π΅Π²ΠΎΠΉ ΠΊΠΎΠΌΠΏΠΎΠ½Π΅Π½Ρ ΠΈ ΠΏΡ. Π’ΡΠ΅Π±ΡΡΡ Π½Π΅Π·Π°ΠΌΠ΅Π΄Π»ΠΈΡΠ΅Π»ΡΠ½ΠΎΠ³ΠΎ Ρ ΠΈΡΡΡΠ³ΠΈΡΠ΅ΡΠΊΠΎΠ³ΠΎ Π»Π΅ΡΠ΅Π½ΠΈΡ.
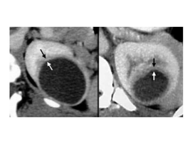
ΠΠ’ ΠΠΠ ΠΈ Π·Π°Π±ΡΡΡΠΈΠ½Π½ΠΎΠ³ΠΎ ΠΏΡΠΎΡΡΡΠ°Π½ΡΡΠ²Π°. Π‘ΠΏΡΠ°Π²Π° (ΡΠΈΠ½ΡΡ ΡΡΡΠ΅Π»ΠΊΠ°) ΠΏΡΠΎΡΡΠ°Ρ ΠΊΠΈΡΡΠ° (Bosniak 1), ΡΠ»Π΅Π²Π° (ΠΊΡΠ°ΡΠ½Π°Ρ ΡΡΡΠ΅Π»ΠΊΠ°) ΠΊΠΈΡΡΠ° Bosniak 4 (Π·Π»ΠΎΠΊΠ°ΡΠ΅ΡΡΠ²Π΅Π½Π½Π°Ρ ΠΎΠΏΡΡ ΠΎΠ»Ρ)
ΠΠΎΠΊΠ°Π»ΠΈΠ·Π°ΡΠΈΡ ΠΊΠΈΡΡΠΎΠ·Π½ΡΡ ΠΏΠΎΠ»ΠΎΡΡΠ΅ΠΉ ΠΌΠΎΠΆΠ΅Ρ ΡΠ°Π·Π»ΠΈΡΠ°ΡΡΡΡ β ΠΏΠΎΠ΄ ΠΊΠ°ΠΏΡΡΠ»ΠΎΠΉ ΠΎΡΠ³Π°Π½Π° (ΡΡΠ±ΠΊΠ°ΠΏΡΡΠ»ΡΡΠ½Π°Ρ), Π² ΡΠΎΠ»ΡΠ΅ Π΅Π³ΠΎ ΡΠΊΠ°Π½Π΅ΠΉ (ΠΈΠ½ΡΡΠ°ΠΏΠ°ΡΠ΅Π½Ρ ΠΈΠΌΠ°ΡΠΎΠ·Π½Π°Ρ), Π² ΠΎΠ±Π»Π°ΡΡΠΈ Π²ΠΎΡΠΎΡ ΠΈΠ»ΠΈ Π»ΠΎΡ Π°Π½ΠΎΠΊ ΠΏΠΎΡΠ΅ΠΊ. Π Π°ΡΠΏΠΎΠ»ΠΎΠΆΠ΅Π½ΠΈΠ΅, Ρ Π°ΡΠ°ΠΊΡΠ΅Ρ ΠΈ ΡΠ°Π·ΠΌΠ΅Ρ ΠΊΠΈΡΡΡ ΡΠ²Π»ΡΡΡΡΡ ΠΎΡΠ½ΠΎΠ²Π½ΡΠΌΠΈ Ρ Π°ΡΠ°ΠΊΡΠ΅ΡΠΈΡΡΠΈΠΊΠ°ΠΌΠΈ, Π²Π»ΠΈΡΡΡΠΈΠΌΠΈ Π½Π° Π²ΡΠ±ΠΎΡ ΠΌΠ΅ΡΠΎΠ΄ΠΈΠΊΠΈ Π»Π΅ΡΠ΅Π½ΠΈΡ ΠΈ ΠΏΡΠΎΠ³Π½ΠΎΠ· Π·Π°Π±ΠΎΠ»Π΅Π²Π°Π½ΠΈΡ.
Π‘ΠΈΠΌΠΏΡΠΎΠΌΡ ΠΊΠΈΡΡΡ ΠΏΠΎΡΠΊΠΈ
ΠΠ°ΡΠΎΠ»ΠΎΠ³ΠΈΡ ΡΠ°ΡΡΠΎ ΠΏΡΠΎΡΠ΅ΠΊΠ°Π΅Ρ Π±Π΅ΡΡΠΈΠΌΠΏΡΠΎΠΌΠ½ΠΎ, ΡΡΠΎ ΠΎΠ±ΡΡΠ»ΠΎΠ²Π»Π΅Π½ΠΎ ΠΌΠ΅Π΄Π»Π΅Π½Π½ΡΠΌ ΡΠΎΡΡΠΎΠΌ Π½ΠΎΠ²ΠΎΠΎΠ±ΡΠ°Π·ΠΎΠ²Π°Π½ΠΈΡ β ΡΠΊΠ°Π½ΠΈ ΠΏΠΎΡΠ΅ΠΊ ΡΡΠΏΠ΅Π²Π°ΡΡ Π°Π΄Π°ΠΏΡΠΈΡΠΎΠ²Π°ΡΡΡΡ ΠΊ Π΅Π³ΠΎ Π½Π°Π»ΠΈΡΠΈΡ Π±Π΅Π· Π·Π°ΠΌΠ΅ΡΠ½ΠΎΠΉ ΠΏΠΎΡΠ΅ΡΠΈ ΡΡΠ½ΠΊΡΠΈΠΎΠ½Π°Π»ΡΠ½ΠΎΡΡΠΈ.
ΠΡΠΈ ΡΠΎΡΡΠ΅ ΠΊΠΈΡΡΠ° Π½Π°ΡΠΈΠ½Π°Π΅Ρ ΠΎΠΊΠ°Π·ΡΠ²Π°ΡΡ Π΄Π°Π²Π»Π΅Π½ΠΈΠ΅ Π½Π° ΠΊΡΠΎΠ²Π΅Π½ΠΎΡΠ½ΡΠ΅ ΡΠΎΡΡΠ΄Ρ ΠΈ ΡΡΠΈΠΌΡΠ»ΠΈΡΠΎΠ²Π°ΡΡ ΡΠΊΡΡΠ°Π³Π»ΠΎΠΌΠ΅ΡΡΠ»ΡΡΠ½ΡΠΉ Π°ΠΏΠΏΠ°ΡΠ°Ρ. ΠΡΠΎ ΠΏΡΠΎΡΠ²Π»ΡΠ΅ΡΡΡ ΡΠ²Π΅Π»ΠΈΡΠ΅Π½ΠΈΠ΅ΠΌ ΠΈ Π½Π΅ΡΡΠ°Π±ΠΈΠ»ΡΠ½ΠΎΡΡΡΡ ΡΡΠΎΠ²Π½Ρ Π°ΡΡΠ΅ΡΠΈΠ°Π»ΡΠ½ΠΎΠ³ΠΎ Π΄Π°Π²Π»Π΅Π½ΠΈΡ, ΡΡΠΎ ΠΏΡΠΈΠ²ΠΎΠ΄ΠΈΡ ΠΊ Π³ΠΎΠ»ΠΎΠ²Π½ΡΠΌ Π±ΠΎΠ»ΡΠΌ, ΡΠ΅ΡΠ΄ΡΠ΅Π±ΠΈΠ΅Π½ΠΈΡΠΌ, ΠΊΠ°ΡΠ΄ΠΈΠ°Π»Π³ΠΈΠΈ. ΠΠ΅ΡΡΠ½ΡΠ΅ ΡΠΈΠΌΠΏΡΠΎΠΌΡ β Π±ΠΎΠ»ΠΈ Π² ΠΏΠΎΡΡΠ½ΠΈΡΠ½ΠΎΠΉ ΠΎΠ±Π»Π°ΡΡΠΈ β ΡΠ°Π·Π²ΠΈΠ²Π°ΡΡΡΡ ΠΏΡΠΈ Π΄Π΅ΠΊΠΎΠΌΠΏΠ΅Π½ΡΠ°ΡΠΈΠΈ ΡΡΠ½ΠΊΡΠΈΠΈ ΠΏΠΎΡΠΊΠΈ ΠΈΠ»ΠΈ ΠΏΡΠΈ ΠΊΠΎΠΌΠΏΡΠ΅ΡΡΠΈΠΈ Π±Π»ΠΈΠ·Π»Π΅ΠΆΠ°ΡΠΈΡ
Π½Π΅ΡΠ²Π½ΡΡ
ΡΡΠ²ΠΎΠ»ΠΎΠ².
ΠΠΎΠ»ΡΡΠΎΠΉ ΡΠ°Π·ΠΌΠ΅Ρ ΠΊΠΈΡΡΡ ΠΏΠΎΡΠΊΠΈ ΡΠΏΠΎΡΠΎΠ±ΡΡΠ²ΡΠ΅Ρ Π½Π°ΡΡΡΠ΅Π½ΠΈΡ ΡΡΠΎΠ΄ΠΈΠ½Π°ΠΌΠΈΠΊΠΈ ΠΈΠ·-Π·Π° ΡΠΌΠ΅Π½ΡΡΠ΅Π½ΠΈΡ ΠΎΠ±ΡΠ΅ΠΌΠ° Π»ΠΎΡ
Π°Π½ΠΊΠΈ ΠΈΠ»ΠΈ ΡΠ°ΡΡΠΈΡΠ½ΠΎΠ³ΠΎ ΡΠ΄Π°Π²Π»Π΅Π½ΠΈΡ ΠΌΠΎΡΠ΅ΡΠΎΡΠ½ΠΈΠΊΠ°. ΠΡΠΈ ΡΡΠΎΠΌ ΠΊ ΡΠΈΠΌΠΏΡΠΎΠΌΠ°ΠΌ ΠΏΡΠΈΡΠΎΠ΅Π΄ΠΈΠ½ΡΠ΅ΡΡΡ ΡΠ½ΠΈΠΆΠ΅Π½ΠΈΠ΅ ΠΊΠΎΠ»ΠΈΡΠ΅ΡΡΠ²Π° Π²ΡΠ΄Π΅Π»ΡΠ΅ΠΌΠΎΠΉ ΠΌΠΎΡΠΈ, ΡΠ°ΡΡΡΠ΅ ΠΏΠΎΠ·ΡΠ²Ρ ΠΊ ΠΌΠΎΡΠ΅ΠΈΡΠΏΡΡΠΊΠ°Π½ΠΈΡ, Π³Π΅ΠΌΠ°ΡΡΡΠΈΡ. ΠΠΎΠ»ΠΈ Π½Π°ΡΠΈΠ½Π°ΡΡ ΠΈΡΡΠ°Π΄ΠΈΠΈΡΠΎΠ²Π°ΡΡ Π² ΠΎΠ±Π»Π°ΡΡΡ ΠΏΠ°Ρ
Π° ΠΈ ΠΏΠΎΠ»ΠΎΠ²ΡΡ
ΠΎΡΠ³Π°Π½ΠΎΠ². ΠΠ°Π΄Π΅ΡΠΆΠΊΠ° ΠΈ Π½Π°ΡΡΡΠ΅Π½ΠΈΠ΅ ΠΎΠ±ΡΠ°Π·ΠΎΠ²Π°Π½ΠΈΡ ΠΌΠΎΡΠΈ ΡΡΠ°Π½ΠΎΠ²ΡΡΡΡ ΠΏΡΠΈΡΠΈΠ½ΠΎΠΉ ΠΈΠ½ΡΠΎΠΊΡΠΈΠΊΠ°ΡΠΈΠΈ ΠΎΡΠ³Π°Π½ΠΈΠ·ΠΌΠ°, ΡΡΠΎ ΠΏΡΠΎΡΠ²Π»ΡΠ΅ΡΡΡ ΡΠ»Π°Π±ΠΎΡΡΡΡ, ΠΏΠΎΠ²ΡΡΠ΅Π½Π½ΠΎΠΉ ΡΡΠΎΠΌΠ»ΡΠ΅ΠΌΠΎΡΡΡΡ, ΠΈΠ½ΠΎΠ³Π΄Π° β ΠΎΡΠ΅ΠΊΠ°ΠΌΠΈ. Π―Π²Π»Π΅Π½ΠΈΡ ΠΏΠΎΡΠ΅ΡΠ½ΠΎΠΉ Π½Π΅Π΄ΠΎΡΡΠ°ΡΠΎΡΠ½ΠΎΡΡΠΈ (Π·Π°Π΄Π΅ΡΠΆΠΊΠ° ΠΆΠΈΠ΄ΠΊΠΎΡΡΠΈ, Π·Π°ΠΏΠ°Ρ
Π°ΠΌΠΌΠΈΠ°ΠΊΠ° ΠΈΠ·ΠΎ ΡΡΠ°) Π²ΠΎΠ·Π½ΠΈΠΊΠ°ΡΡ Π² ΡΠ»ΡΡΠ°Π΅ Π΄Π²ΡΡ
ΡΡΠΎΡΠΎΠ½Π½Π΅Π³ΠΎ ΠΏΠΎΡΠ°ΠΆΠ΅Π½ΠΈΡ ΠΏΠΎΡΠ΅ΠΊ ΠΈΠ»ΠΈ Π½Π°Π»ΠΈΡΠΈΡ ΡΠΎΠ»ΡΠΊΠΎ ΠΎΠ΄Π½ΠΎΠ³ΠΎ ΠΎΡΠ³Π°Π½Π°.
Π Π΅Π·ΠΊΠΎΠ΅ ΠΏΠΎΠ²ΡΡΠ΅Π½ΠΈΠ΅ ΡΠ΅ΠΌΠΏΠ΅ΡΠ°ΡΡΡΡ, ΠΎΠ·Π½ΠΎΠ±, Π»ΠΈΡ ΠΎΡΠ°Π΄ΠΊΠ°, ΡΡΠΈΠ»Π΅Π½ΠΈΠ΅ Π±ΠΎΠ»Π΅ΠΉ ΠΏΡΠΈ ΠΊΠΈΡΡΠ΅ Π² ΠΏΠΎΡΠΊΠ΅ ΡΠ°ΡΡΠΎ ΡΠ²ΠΈΠ΄Π΅ΡΠ΅Π»ΡΡΡΠ²ΡΡΡ ΠΎ ΠΏΡΠΈΡΠΎΠ΅Π΄ΠΈΠ½Π΅Π½ΠΈΠΈ Π²ΡΠΎΡΠΈΡΠ½ΠΎΠΉ Π±Π°ΠΊΡΠ΅ΡΠΈΠ°Π»ΡΠ½ΠΎΠΉ ΠΈΠ½ΡΠ΅ΠΊΡΠΈΠΈ ΠΈ Π½Π°Π³Π½ΠΎΠ΅Π½ΠΈΠΈ Π½ΠΎΠ²ΠΎΠΎΠ±ΡΠ°Π·ΠΎΠ²Π°Π½ΠΈΡ. Π‘ΠΈΠ»ΡΠ½Π°Ρ Π±ΠΎΠ»Π΅Π·Π½Π΅Π½Π½ΠΎΡΡΡ Π² ΠΎΠ±Π»Π°ΡΡΠΈ ΠΏΠΎΡΡΠ½ΠΈΡΡ, ΠΎΡΠΎΠ±Π΅Π½Π½ΠΎ ΠΏΠΎΡΠ²ΠΈΠ²ΡΠ°ΡΡΡ Π²Π½Π΅Π·Π°ΠΏΠ½ΠΎ, Π½Π° ΡΠΎΠ½Π΅ ΡΠΈΠ·ΠΈΡΠ΅ΡΠΊΠΎΠΉ Π½Π°Π³ΡΡΠ·ΠΊΠΈ, ΡΠΊΠ°Π·ΡΠ²Π°Π΅Ρ Π½Π° Π²ΠΎΠ·ΠΌΠΎΠΆΠ½ΠΎΡΡΡ ΡΠ°Π·ΡΡΠ²Π° ΠΊΠΈΡΡΠΎΠ·Π½ΠΎΠΉ ΡΡΠ΅Π½ΠΊΠΈ. Π Π°Π·ΡΡΠ² ΠΌΠΎΠΆΠ΅Ρ ΡΠΎΠΏΡΠΎΠ²ΠΎΠΆΠ΄Π°ΡΡΡΡ ΠΏΠΎΠ²ΡΠ΅ΠΆΠ΄Π΅Π½ΠΈΠ΅ΠΌ ΠΊΡΠΎΠ²Π΅Π½ΠΎΡΠ½ΡΡ ΡΠΎΡΡΠ΄ΠΎΠ² Ρ ΡΠ°Π·Π²ΠΈΡΠΈΠ΅ΠΌ ΠΊΡΠΎΠ²ΠΎΠΈΠ·Π»ΠΈΡΠ½ΠΈΡ Π² ΠΏΠΎΡΠΊΡ ΠΈ ΠΈΡΠ΅ΠΌΠΈΠ΅ΠΉ Π΅Π΅ ΡΠΊΠ°Π½Π΅ΠΉ. ΠΡΠΈΠ·Π½Π°ΠΊΠΎΠΌ ΠΊΡΠΎΠ²ΠΎΡΠ΅ΡΠ΅Π½ΠΈΡ ΡΠ²Π»ΡΠ΅ΡΡΡ Π²Π½Π΅Π·Π°ΠΏΠ½ΠΎ Π²ΠΎΠ·Π½ΠΈΠΊΠ°ΡΡΠ°Ρ ΠΌΠ°ΠΊΡΠΎΠ³Π΅ΠΌΠ°ΡΡΡΠΈΡ, Π² ΡΠ΅Π΄ΠΊΠΈΡ ΡΠ»ΡΡΠ°ΡΡ ΠΊΡΠΎΠ²Ρ Π½Π°ΠΊΠ°ΠΏΠ»ΠΈΠ²Π°Π΅ΡΡΡ Π² Π·Π°Π±ΡΡΡΠΈΠ½Π½ΠΎΠΌ ΠΏΡΠΎΡΡΡΠ°Π½ΡΡΠ²Π΅.
ΠΡΠ»ΠΎΠΆΠ½Π΅Π½ΠΈΡ
ΠΠ΄Π½ΠΈΠΌ ΠΈΠ· Π½Π°ΠΈΠ±ΠΎΠ»Π΅Π΅ ΡΠ°ΡΡΡΡ
ΠΎΡΠ»ΠΎΠΆΠ½Π΅Π½ΠΈΠΉ ΠΊΠΈΡΡΡ ΠΏΠΎΡΠΊΠΈ ΡΡΠΈΡΠ°Π΅ΡΡΡ Π΅Π΅ ΠΈΠ½ΡΠΈΡΠΈΡΠΎΠ²Π°Π½ΠΈΠ΅ Ρ ΡΠ°Π·Π²ΠΈΡΠΈΠ΅ΠΌ Π½Π°Π³Π½ΠΎΠ΅Π½ΠΈΡ, ΠΏΡΠΎΡΠ΅ΠΊΠ°ΡΡΠ΅Π³ΠΎ ΠΏΠΎ ΡΠΈΠΏΡ Π°Π±ΡΡΠ΅ΡΡΠ° ΠΈΠ»ΠΈ ΡΡΠΆΠ΅Π»ΠΎΠ³ΠΎ ΠΏΠΈΠ΅Π»ΠΎΠ½Π΅ΡΡΠΈΡΠ°. ΠΠ½Π°ΡΠΈΡΠ΅Π»ΡΠ½ΡΡ ΡΠΎΠ»Ρ Π² ΠΏΡΠΎΠ½ΠΈΠΊΠ½ΠΎΠ²Π΅Π½ΠΈΠΈ ΠΏΠ°ΡΠΎΠ³Π΅Π½Π½ΡΡ
ΠΌΠΈΠΊΡΠΎΠΎΡΠ³Π°Π½ΠΈΠ·ΠΌΠΎΠ² ΠΈΠ³ΡΠ°ΡΡ Π½Π°ΡΡΡΠ΅Π½ΠΈΡ ΡΡΠΎΠ΄ΠΈΠ½Π°ΠΌΠΈΠΊΠΈ β ΡΠ΅ΡΠ»ΡΠΊΡ ΠΈ Π·Π°ΡΡΠΎΠΉ ΠΌΠΎΡΠΈ. Π’Π°ΠΊΠΆΠ΅ Π²ΠΎΠ·ΠΌΠΎΠΆΠ΅Π½ ΡΠ°Π·ΡΡΠ² ΠΊΠΈΡΡΡ Ρ ΠΈΠ·Π»ΠΈΡΠΈΠ΅ΠΌ Π΅Π΅ ΡΠΎΠ΄Π΅ΡΠΆΠΈΠΌΠΎΠ³ΠΎ Π² ΡΠ°ΡΠ΅ΡΠ½ΠΎ-Π»ΠΎΡ
Π°Π½ΠΎΡΠ½ΡΡ ΡΠΈΡΡΠ΅ΠΌΡ ΠΈΠ»ΠΈ Π² Π·Π°Π±ΡΡΡΠΈΠ½Π½ΠΎΠ΅ ΠΏΡΠΎΡΡΡΠ°Π½ΡΡΠ²ΠΎ.
ΠΠ½ ΠΌΠΎΠΆΠ΅Ρ ΡΠΎΠΏΡΠΎΠ²ΠΎΠΆΠ΄Π°ΡΡΡΡ ΠΏΠΎΡΠ΅ΡΠ½ΡΠΌ ΠΊΡΠΎΠ²ΠΎΡΠ΅ΡΠ΅Π½ΠΈΠ΅ΠΌ, ΠΈΠ½ΡΠΈΡΠΈΡΠΎΠ²Π°Π½ΠΈΠ΅ΠΌ ΠΌΠΎΡΠ΅Π²ΡΠ΄Π΅Π»ΠΈΡΠ΅Π»ΡΠ½ΡΡ
ΠΏΡΡΠ΅ΠΉ ΠΈΠ»ΠΈ Π²ΠΎΠ·Π½ΠΈΠΊΠ½ΠΎΠ²Π΅Π½ΠΈΠ΅ΠΌ ΡΠΎΠΊΠ°. Π ΠΎΡΠ΄Π°Π»Π΅Π½Π½ΠΎΠΉ ΠΏΠ΅ΡΡΠΏΠ΅ΠΊΡΠΈΠ²Π΅ ΡΡΡΠ΅ΡΡΠ²ΡΠ΅Ρ ΡΠΈΡΠΊ Π·Π»ΠΎΠΊΠ°ΡΠ΅ΡΡΠ²Π΅Π½Π½ΠΎΠ³ΠΎ ΠΏΠ΅ΡΠ΅ΡΠΎΠΆΠ΄Π΅Π½ΠΈΡ ΠΊΠΈΡΡΠΎΠ·Π½ΡΡ
ΠΎΠ±ΡΠ°Π·ΠΎΠ²Π°Π½ΠΈΠΉ.
ΠΠΈΠ°Π³Π½ΠΎΡΡΠΈΠΊΠ°
ΠΠ±Π½Π°ΡΡΠΆΠ΅Π½ΠΈΠ΅ ΠΊΠΈΡΡΡ ΠΏΠΎΡΠΊΠΈ ΡΡΠ»ΠΎΠΆΠ½ΡΠ΅ΡΡΡ ΠΈΠ·-Π·Π° Π΄Π»ΠΈΡΠ΅Π»ΡΠ½ΠΎΠ³ΠΎ ΠΏΠ΅ΡΠΈΠΎΠ΄Π° Π±Π΅ΡΡΠΈΠΌΠΏΡΠΎΠΌΠ½ΠΎΠ³ΠΎ ΡΠ΅ΡΠ΅Π½ΠΈΡ ΠΏΠ°ΡΠΎΠ»ΠΎΠ³ΠΈΠΈ. Π ΡΠ΅Π·ΡΠ»ΡΡΠ°ΡΠ΅ Π·Π°Π±ΠΎΠ»Π΅Π²Π°Π½ΠΈΠ΅ Π½Π΅ΡΠ΅Π΄ΠΊΠΎ Π²ΡΡΠ²Π»ΡΠ΅ΡΡΡ ΡΠ»ΡΡΠ°ΠΉΠ½ΠΎ. ΠΠ΅ΡΠ²ΡΠΌΠΈ ΠΏΡΠΈΠ·Π½Π°ΠΊΠ°ΠΌΠΈ ΡΠ²Π»ΡΡΡΡΡ Π½Π΅ΡΠΏΠ΅ΡΠΈΡΠΈΡΠ΅ΡΠΊΠΈΠ΅ ΠΈΠ·ΠΌΠ΅Π½Π΅Π½ΠΈΡ Π² ΠΎΠ±ΡΠ΅ΠΌ Π°Π½Π°Π»ΠΈΠ·Π΅ ΠΌΠΎΡΠΈ, Π½Π΅ΠΎΠ±ΡΡΡΠ½ΠΈΠΌΡΠΉ ΠΏΠΎΠ΄ΡΠ΅ΠΌ Π°ΡΡΠ΅ΡΠΈΠ°Π»ΡΠ½ΠΎΠ³ΠΎ Π΄Π°Π²Π»Π΅Π½ΠΈΡ. ΠΡΠΈ ΠΏΠΎΠΌΠΎΡΠΈ ΡΠ°Π·Π½ΠΎΠΎΠ±ΡΠ°Π·Π½ΡΡ Π΄ΠΈΠ°Π³Π½ΠΎΡΡΠΈΡΠ΅ΡΠΊΠΈΡ ΡΠ΅Ρ Π½ΠΈΠΊ Π²ΡΠ°Ρ-ΡΡΠΎΠ»ΠΎΠ³ ΠΌΠΎΠΆΠ΅Ρ Π½Π΅ ΡΠΎΠ»ΡΠΊΠΎ ΠΏΠΎΠ΄ΡΠ²Π΅ΡΠ΄ΠΈΡΡ Π½Π°Π»ΠΈΡΠΈΠ΅ Π½ΠΎΠ²ΠΎΠΎΠ±ΡΠ°Π·ΠΎΠ²Π°Π½ΠΈΡ, Π½ΠΎ ΠΈ ΠΎΠΏΡΠ΅Π΄Π΅Π»ΠΈΡΡ Π΅Π³ΠΎ ΡΠΈΠΏ, ΡΠ°Π·ΠΌΠ΅Ρ ΠΈ Π»ΠΎΠΊΠ°Π»ΠΈΠ·Π°ΡΠΈΡ, Π° ΡΠ°ΠΊΠΆΠ΅ ΠΎΡΠ΅Π½ΠΈΡΡ ΡΡΠ½ΠΊΡΠΈΠΎΠ½Π°Π»ΡΠ½ΡΡ Π°ΠΊΡΠΈΠ²Π½ΠΎΡΡΡ ΠΌΠΎΡΠ΅Π²ΡΠ΄Π΅Π»ΠΈΡΠ΅Π»ΡΠ½ΠΎΠΉ ΡΠΈΡΡΠ΅ΠΌΡ. Π‘ ΡΡΠΎΠΉ ΡΠ΅Π»ΡΡ Π½Π°Π·Π½Π°ΡΠ°ΡΡΡΡ ΡΠ»Π΅Π΄ΡΡΡΠΈΠ΅ ΠΈΡΡΠ»Π΅Π΄ΠΎΠ²Π°Π½ΠΈΡ:
- Π£ΠΠ ΠΏΠΎΡΠ΅ΠΊ. Π£Π»ΡΡΡΠ°Π·Π²ΡΠΊΠΎΠ²Π°Ρ Π΄ΠΈΠ°Π³Π½ΠΎΡΡΠΈΠΊΠ° ΡΠ²Π»ΡΠ΅ΡΡΡ ΡΠ°ΡΠΏΡΠΎΡΡΡΠ°Π½Π΅Π½Π½ΠΎΠΉ Π΄ΠΈΠ°Π³Π½ΠΎΡΡΠΈΡΠ΅ΡΠΊΠΎΠΉ ΠΌΠ΅ΡΠΎΠ΄ΠΈΠΊΠΎΠΉ, ΠΏΡΠΈΠΌΠ΅Π½ΡΡΡΠ΅ΠΉΡΡ Π΄Π»Ρ ΠΎΠ±Π½Π°ΡΡΠΆΠ΅Π½ΠΈΡ ΠΊΠΈΡΡ. ΠΠ½ΠΈ ΠΎΠΏΡΠ΅Π΄Π΅Π»ΡΡΡΡΡ ΠΊΠ°ΠΊ Π°ΡΡ
ΠΎΠ³Π΅Π½Π½ΡΠ΅ ΡΡΡΡΠΊΡΡΡΡ. ΠΠ½ΠΎΠ³Π΄Π° Π²Π½ΡΡΡΠΈ Π²ΡΡΠ²Π»ΡΡΡΡΡ ΠΏΠ΅ΡΠ΅Π³ΠΎΡΠΎΠ΄ΠΊΠΈ ΠΈ ΠΊΠ°Π»ΡΡΠΈΡΠΈΠΊΠ°ΡΡ.
Π£Π»ΡΡΡΠ°Π·Π²ΡΠΊΠΎΠ²Π°Ρ Π΄ΠΎΠΏΠΏΠ»Π΅ΡΠΎΠ³ΡΠ°ΡΠΈΡ (Π£ΠΠΠ ΠΏΠΎΡΠ΅ΡΠ½ΡΡ
ΡΠΎΡΡΠ΄ΠΎΠ²) Π΄Π°Π΅Ρ Π²ΠΎΠ·ΠΌΠΎΠΆΠ½ΠΎΡΡΡ ΠΎΡΠ΅Π½ΠΈΡΡ Π²Π»ΠΈΡΠ½ΠΈΠ΅ ΠΊΠΈΡΡΡ Π½Π° ΠΊΡΠΎΠ²ΠΎΡΠ½Π°Π±ΠΆΠ΅Π½ΠΈΠ΅ ΠΏΠΎΡΠ΅ΠΊ. - ΠΠ’ ΠΏΠΎΡΠ΅ΠΊ. ΠΠ΅ΡΠΎΠ΄ ΠΈΡΠΏΠΎΠ»ΡΠ·ΡΠ΅ΡΡΡ Π΄Π»Ρ ΡΡΠΎΡΠ½Π΅Π½ΠΈΡ Π΄ΠΈΠ°Π³Π½ΠΎΠ·Π° ΠΈ Π΄ΠΈΡΡΠ΅ΡΠ΅Π½ΡΠΈΠ°ΡΠΈΠΈ ΠΊΠΈΡΡ ΡΠΎ Π·Π»ΠΎΠΊΠ°ΡΠ΅ΡΡΠ²Π΅Π½Π½ΡΠΌΠΈ ΠΎΠΏΡΡ ΠΎΠ»ΡΠΌΠΈ. Π‘ΠΎΠ»ΠΈΡΠ°ΡΠ½ΡΠ΅ ΠΎΠ±ΡΠ°Π·ΠΎΠ²Π°Π½ΠΈΡ ΠΏΡΠΈ ΠΏΡΠΎΠ²Π΅Π΄Π΅Π½ΠΈΠΈ ΡΠΎΠΌΠΎΠ³ΡΠ°ΡΠΈΡΠ΅ΡΠΊΠΎΠ³ΠΎ ΠΈΡΡΠ»Π΅Π΄ΠΎΠ²Π°Π½ΠΈΡ Π²ΡΠ³Π»ΡΠ΄ΡΡ ΠΊΠ°ΠΊ ΠΎΠΊΡΡΠ³Π»ΡΠ΅ ΠΎΠ±ΡΠ΅ΠΊΡΡ Ρ ΡΠ΅ΡΠΊΠΈΠΌΠΈ ΠΊΠΎΠ½ΡΡΡΠ°ΠΌΠΈ, Π·Π°ΠΏΠΎΠ»Π½Π΅Π½Π½ΡΠ΅ ΠΆΠΈΠ΄ΠΊΠΎΡΡΡΡ, ΠΌΡΠ»ΡΡΠΈΠ»ΠΎΠΊΡΠ»ΡΡΠ½ΡΠ΅ ΡΠ°Π·Π½ΠΎΠ²ΠΈΠ΄Π½ΠΎΡΡΠΈ β ΠΊΠ°ΠΊ ΠΌΠ½ΠΎΠΆΠ΅ΡΡΠ²ΠΎ ΠΊΠ°ΠΌΠ΅Ρ ΡΠ°Π·Π»ΠΈΡΠ½ΠΎΠ³ΠΎ ΡΠ°Π·ΠΌΠ΅ΡΠ°. ΠΠ²Π΅Π΄Π΅Π½ΠΈΠ΅ Π²Π½ΡΡΡΠΈΠ²Π΅Π½Π½ΠΎΠ³ΠΎ ΠΊΠΎΠ½ΡΡΠ°ΡΡΠ° ΠΏΠΎΠ·Π²ΠΎΠ»ΡΠ΅Ρ ΠΎΡΠ»ΠΈΡΠΈΡΡ ΠΊΠΈΡΡΡ ΠΎΡ ΠΎΠΏΡΡ ΠΎΠ»Π΅ΠΉ, ΠΏΠΎΡΠΊΠΎΠ»ΡΠΊΡ ΠΏΠΎΡΠ»Π΅Π΄Π½ΠΈΠ΅ ΠΎΠ±Π»Π°Π΄Π°ΡΡ ΡΠΏΠΎΡΠΎΠ±Π½ΠΎΡΡΡΡ Π½Π°ΠΊΠ°ΠΏΠ»ΠΈΠ²Π°ΡΡ ΡΠ΅Π½ΡΠ³Π΅Π½ΠΎΠΊΠΎΠ½ΡΡΠ°ΡΡΠ½ΠΎΠ΅ Π²Π΅ΡΠ΅ΡΡΠ²ΠΎ.
- Π€ΡΠ½ΠΊΡΠΈΠΎΠ½Π°Π»ΡΠ½ΡΠ΅ ΠΈΡΡΠ»Π΅Π΄ΠΎΠ²Π°Π½ΠΈΡ. ΠΠ·ΡΡΠ΅Π½ΠΈΠ΅ Π°ΠΊΡΠΈΠ²Π½ΠΎΡΡΠΈ Π²ΡΠ΄Π΅Π»ΠΈΡΠ΅Π»ΡΠ½ΠΎΠΉ ΡΠΈΡΡΠ΅ΠΌΡ ΠΏΡΠΎΠΈΠ·Π²ΠΎΠ΄ΡΡ ΠΌΠ΅ΡΠΎΠ΄ΠΎΠΌ Π΄ΠΈΠ½Π°ΠΌΠΈΡΠ΅ΡΠΊΠΎΠΉ ΡΡΠΈΠ½ΡΠΈΠ³ΡΠ°ΡΠΈΠΈ. ΠΠ°Π½Π½ΠΎΠ΅ ΠΈΡΡΠ»Π΅Π΄ΠΎΠ²Π°Π½ΠΈΠ΅ ΠΏΠΎΠ·Π²ΠΎΠ»ΡΠ΅Ρ ΠΎΡΠ΅Π½ΠΈΡΡ ΡΠΊΠΎΡΠΎΡΡΡ ΠΊΠ»ΡΠ±ΠΎΡΠΊΠΎΠ²ΠΎΠΉ ΡΠΈΠ»ΡΡΡΠ°ΡΠΈΠΈ, Π΄ΠΎΠΏΠΎΠ»Π½ΠΈΡΠ΅Π»ΡΠ½ΠΎ Π²ΡΡΠ²ΠΈΡΡ ΠΈΠ·ΠΌΠ΅Π½Π΅Π½ΠΈΡ Π² ΡΠ°ΡΠ΅ΡΠ½ΠΎ-Π»ΠΎΡ Π°Π½ΠΎΡΠ½ΠΎΠΉ ΡΠΈΡΡΠ΅ΠΌΠ΅ ΠΈ Π½Π°ΡΠ°Π»ΡΠ½ΡΡ ΠΎΡΠ΄Π΅Π»Π°Ρ ΠΌΠΎΡΠ΅Π²ΡΠ΄Π΅Π»ΠΈΡΠ΅Π»ΡΠ½ΡΡ ΠΏΡΡΠ΅ΠΉ.
- ΠΠ°Π±ΠΎΡΠ°ΡΠΎΡΠ½ΡΠ΅ Π°Π½Π°Π»ΠΈΠ·Ρ. ΠΡΠΈ Π½Π΅Π±ΠΎΠ»ΡΡΠΈΡ
ΠΊΠΈΡΡΠΎΠ·Π½ΡΡ
ΠΎΠ±ΡΠ°Π·ΠΎΠ²Π°Π½ΠΈΡΡ
ΠΎΠ±ΡΠΈΠΉ Π°Π½Π°Π»ΠΈΠ· ΠΌΠΎΡΠΈ Π±Π΅Π· ΠΈΠ·ΠΌΠ΅Π½Π΅Π½ΠΈΠΉ.
Π£Π²Π΅Π»ΠΈΡΠ΅Π½ΠΈΠ΅ ΡΠ°Π·ΠΌΠ΅ΡΠΎΠ² ΠΊΠΈΡΡΡ ΠΌΠΎΠΆΠ΅Ρ ΠΏΡΠΎΠ²ΠΎΡΠΈΡΠΎΠ²Π°ΡΡ ΡΠΌΠ΅Π½ΡΡΠ΅Π½ΠΈΠ΅ ΠΎΠ±ΡΠ΅ΠΌΠ° ΡΡΡΠΎΡΠ½ΠΎΠ³ΠΎ Π΄ΠΈΡΡΠ΅Π·Π°, Π²ΠΎΠ·Π½ΠΈΠΊΠ½ΠΎΠ²Π΅Π½ΠΈΠ΅ Π½ΠΈΠΊΡΡΡΠΈΠΈ, ΠΏΠΎΡΠ²Π»Π΅Π½ΠΈΠ΅ Π² ΠΌΠΎΡΠ΅ ΠΏΡΠΈΠΌΠ΅ΡΠΈ ΠΊΡΠΎΠ²ΠΈ (Π³Π΅ΠΌΠ°ΡΡΡΠΈΡ) ΠΈ Π±Π΅Π»ΠΊΠ° (ΠΏΡΠΎΡΠ΅ΠΈΠ½ΡΡΠΈΡ).
ΠΠ Π’ ΠΠΠ ΠΈ Π·Π°Π±ΡΡΡΠΈΠ½Π½ΠΎΠ³ΠΎ ΠΏΡΠΎΡΡΡΠ°Π½ΡΡΠ²Π°. ΠΡΠΎΡΡΠ°Ρ ΠΊΠΈΡΡΠ° ΠΏΡΠ°Π²ΠΎΠΉ ΠΏΠΎΡΠΊΠΈ (Bosniak 1)
ΠΠ΅ΡΠ΅Π½ΠΈΠ΅ ΠΊΠΈΡΡΡ ΠΏΠΎΡΠΊΠΈ
ΠΠ±ΡΠ·Π°ΡΠ΅Π»ΡΠ½ΠΎΠΌΡ Ρ ΠΈΡΡΡΠ³ΠΈΡΠ΅ΡΠΊΠΎΠΌΡ Π»Π΅ΡΠ΅Π½ΠΈΡ ΠΏΠΎΠ΄Π»Π΅ΠΆΠ°Ρ ΠΊΠΈΡΡΡ Π² ΡΠ»ΡΡΠ°Π΅ ΠΏΡΠΎΠ³ΡΠ΅ΡΡΠΈΡΡΡΡΠ΅Π³ΠΎ ΡΠ²Π΅Π»ΠΈΡΠ΅Π½ΠΈΡ ΠΈΡ ΡΠ°Π·ΠΌΠ΅ΡΠΎΠ² Π² ΡΠ΅ΡΠ΅Π½ΠΈΠ΅ Π³ΠΎΠ΄Π°, Π²ΡΠ·ΡΠ²Π°ΡΡΠΈΠ΅ Π±ΠΎΠ»Π΅Π²ΠΎΠΉ ΡΠΈΠ½Π΄ΡΠΎΠΌ, ΠΏΠΎΠ²ΡΡΠ΅Π½ΠΈΠ΅ Π°ΡΡΠ΅ΡΠΈΠ°Π»ΡΠ½ΠΎΠ³ΠΎ Π΄Π°Π²Π»Π΅Π½ΠΈΡ, ΡΠ΅ΡΡΠ°ΠΊΡΠ΅ΡΠ½ΠΎΠ΅ ΠΊ Π³ΠΈΠΏΠΎΡΠ΅Π½Π·ΠΈΠ²Π½ΠΎΠΉ ΡΠ΅ΡΠ°ΠΏΠΈΠΈ, Π° ΡΠ°ΠΊΠΆΠ΅ ΠΊΠΈΡΡΡ III ΠΈ IV ΠΊΠ°ΡΠ΅Π³ΠΎΡΠΈΠΉ ΠΏΠΎ ΠΠΎΡΠ½ΠΈΠ°ΠΊ. ΠΠ±ΡΡΠ½ΠΎ ΡΡΡΡΠ°Π½Π΅Π½ΠΈΠ΅ ΠΊΠΈΡΡΠΎΠ·Π½ΠΎΠ³ΠΎ ΠΎΠ±ΡΠ°Π·ΠΎΠ²Π°Π½ΠΈΡ ΠΏΡΠΎΠΈΠ·Π²ΠΎΠ΄ΠΈΡΡΡ ΠΏΡΠ½ΠΊΡΠΈΠΎΠ½Π½ΡΠΌΠΈ ΠΈ ΡΠ½Π΄ΠΎΡΠΊΠΎΠΏΠΈΡΠ΅ΡΠΊΠΈΠΌΠΈ ΡΠ΅Ρ Π½ΠΈΠΊΠ°ΠΌΠΈ, ΠΊ ΠΊΠΎΡΠΎΡΡΠΌ ΠΎΡΠ½ΠΎΡΡΡΡΡ:
- Π§ΡΠ΅ΡΠΊΠΎΠΆΠ½Π°Ρ ΠΏΡΠ½ΠΊΡΠΈΠΎΠ½Π½Π°Ρ Π°ΡΠΏΠΈΡΠ°ΡΠΈΡ. Π‘ΡΡΡ Π°ΡΠΏΠΈΡΠ°ΡΠΈΠΈ ΠΏΠΎΡΠ΅ΡΠ½ΠΎΠΉ ΠΊΠΈΡΡΡ Π·Π°ΠΊΠ»ΡΡΠ°Π΅ΡΡΡ Π²ΠΎ Π²Π²Π΅Π΄Π΅Π½ΠΈΠΈ ΠΈΠ³Π»Ρ Π² ΠΊΠΈΡΡΠΎΠ·Π½ΡΡ ΠΏΠΎΠ»ΠΎΡΡΡ Ρ Π΄Π°Π»ΡΠ½Π΅ΠΉΡΠΈΠΌ ΠΎΡΡΠ°ΡΡΠ²Π°Π½ΠΈΠ΅ΠΌ ΡΠΎΠ΄Π΅ΡΠΆΠΈΠΌΠΎΠ³ΠΎ. Π ΡΠ΅Π·ΡΠ»ΡΡΠ°ΡΠ΅ ΠΎΠ±ΡΠ΅ΠΌ ΠΊΠΈΡΡΡ ΡΠ΅Π·ΠΊΠΎ ΡΠΌΠ΅Π½ΡΡΠ°Π΅ΡΡΡ, Π½ΠΎΠ²ΠΎΠΎΠ±ΡΠ°Π·ΠΎΠ²Π°Π½ΠΈΠ΅ ΡΠΊΠ»Π΅ΡΠΎΠ·ΠΈΡΡΠ΅ΡΡΡ.
- Π‘ΠΊΠ»Π΅ΡΠΎΡΠ΅ΡΠ°ΠΏΠΈΡ ΠΊΠΈΡΡΡ ΠΏΠΎΡΠΊΠΈ.
ΠΠ΅ΡΠΎΠ΄ΠΈΠΊΠ° ΡΠΊΠ»Π΅ΡΠΎΡΠ΅ΡΠ°ΠΏΠΈΠΈ ΠΏΠΎΡΠ΅ΡΠ½ΠΎΠΉ ΠΊΠΈΡΡΡ ΡΠ²Π»ΡΠ΅ΡΡΡ ΠΌΠΎΠ΄ΠΈΡΠΈΠΊΠ°ΡΠΈΠ΅ΠΉ ΠΏΡΠ½ΠΊΡΠΈΠΎΠ½Π½ΠΎΠΉ Π°ΡΠΏΠΈΡΠ°ΡΠΈΠΈ. ΠΠΎΡΠ»Π΅ ΡΠ΄Π°Π»Π΅Π½ΠΈΡ ΠΆΠΈΠ΄ΠΊΠΎΠ³ΠΎ ΡΠΎΠ΄Π΅ΡΠΆΠΈΠΌΠΎΠ³ΠΎ Π² ΠΏΠΎΠ»ΠΎΡΡΡ ΠΏΡΠ·ΡΡΡ Π²Π²ΠΎΠ΄ΡΡ ΡΠ°ΡΡΠ²ΠΎΡ ΡΡΠΈΠ»ΠΎΠ²ΠΎΠ³ΠΎ ΡΠΏΠΈΡΡΠ° ΠΈΠ»ΠΈ ΠΉΠΎΠ΄ΠΈΡΡΡΡ
ΡΠΎΠ΅Π΄ΠΈΠ½Π΅Π½ΠΈΠΉ. ΠΠ΅Π΄ΠΈΠΊΠ°ΠΌΠ΅Π½ΡΡ ΡΠ°Π·Π΄ΡΠ°ΠΆΠ°ΡΡ Π²Π½ΡΡΡΠ΅Π½Π½ΡΡ ΠΏΠΎΠ²Π΅ΡΡ
Π½ΠΎΡΡΡ ΠΊΠΈΡΡΠΎΠ·Π½ΠΎΠΉ ΠΌΠ΅ΠΌΠ±ΡΠ°Π½Ρ ΠΈ Π°ΠΊΡΠΈΠ²ΠΈΡΡΡΡ ΠΏΡΠΎΡΠ΅ΡΡΡ ΡΠΊΠ»Π΅ΡΠΎΠ·ΠΈΡΠΎΠ²Π°Π½ΠΈΡ, ΡΡΠΎ ΠΏΠΎΠ·Π²ΠΎΠ»ΡΠ΅Ρ ΡΠΌΠ΅Π½ΡΡΠΈΡΡ ΡΠΈΡΠ»ΠΎ ΡΠ΅ΡΠΈΠ΄ΠΈΠ²ΠΎΠ². - Π₯ΠΈΡΡΡΠ³ΠΈΡΠ΅ΡΠΊΠΎΠ΅ ΡΠ΄Π°Π»Π΅Π½ΠΈΠ΅ ΠΊΠΈΡΡΡ. Π Π°Π΄ΠΈΠΊΠ°Π»ΡΠ½ΠΎΠ΅ ΠΈΡΡΠ΅ΡΠ΅Π½ΠΈΠ΅ ΠΊΠΈΡΡΡ ΠΏΠΎΡΠΊΠΈ Π·Π°ΠΊΠ»ΡΡΠ°Π΅ΡΡΡ Π² ΡΠ΄Π°Π»Π΅Π½ΠΈΠΈ Π½ΠΎΠ²ΠΎΠΎΠ±ΡΠ°Π·ΠΎΠ²Π°Π½ΠΈΡ ΠΈ ΡΡΠΈΠ²Π°Π½ΠΈΠΈ ΠΎΡΡΠ°Π²ΡΠ΅ΠΉΡΡ Π½ΠΎΡΠΌΠ°Π»ΡΠ½ΠΎΠΉ ΡΠΊΠ°Π½ΠΈ ΠΏΠΎΡΠ΅ΠΊ. ΠΡΠΏΠΎΠ»ΡΠ·ΡΠ΅ΡΡΡ ΠΏΡΠΈ Π±ΠΎΠ»ΡΡΠΈΡ ΠΈΠ»ΠΈ ΠΌΠ½ΠΎΠ³ΠΎΠΊΠ°ΠΌΠ΅ΡΠ½ΡΡ ΠΊΠΈΡΡΠ°Ρ , ΡΠ°Π·ΡΡΠ²Π°Ρ ΠΎΠ±ΠΎΠ»ΠΎΡΠΊΠΈ, ΠΊΡΠΎΠ²ΠΎΡΠ΅ΡΠ΅Π½ΠΈΡΡ , ΡΡΠΆΠ΅Π»ΡΡ Π½Π°Π³Π½ΠΎΠ΅Π½ΠΈΡΡ . ΠΠ±ΡΡΠ½ΠΎ Π²ΡΠΏΠΎΠ»Π½ΡΠ΅ΡΡΡ ΠΏΡΠΈ ΠΏΠΎΠΌΠΎΡΠΈ ΡΠ½Π΄ΠΎΡΠΊΠΎΠΏΠΈΡΠ΅ΡΠΊΠΎΠ³ΠΎ ΠΈΠ½ΡΡΡΡΠΌΠ΅Π½ΡΠ°ΡΠΈΡ, Π² ΡΡΠΆΠ΅Π»ΡΡ ΡΠ»ΡΡΠ°ΡΡ ΠΌΠΎΠΆΠ΅Ρ Π±ΡΡΡ Π½Π°Π·Π½Π°ΡΠ΅Π½Π° ΠΎΡΠΊΡΡΡΠ°Ρ ΠΎΠΏΠ΅ΡΠ°ΡΠΈΡ.
ΠΡΠΈ Π½Π°Π»ΠΈΡΠΈΠΈ ΠΊΡΡΠΏΠ½ΡΡ
ΠΊΠΈΡΡ ΠΈ Π·Π½Π°ΡΠΈΡΠ΅Π»ΡΠ½ΠΎΠΌ ΠΏΠΎΠ²ΡΠ΅ΠΆΠ΄Π΅Π½ΠΈΠΈ ΠΏΠΎΡΠΊΠΈ ΠΏΡΠΈΠ±Π΅Π³Π°ΡΡ ΠΊ ΡΠ΅Π·Π΅ΠΊΡΠΈΠΈ ΠΈΠ»ΠΈ Π½Π΅ΡΡΡΠΊΡΠΎΠΌΠΈΠΈ (ΠΏΡΠΈ ΡΡΠ»ΠΎΠ²ΠΈΠΈ Π½ΠΎΡΠΌΠ°Π»ΡΠ½ΠΎΠΉ ΡΡΠ½ΠΊΡΠΈΠΎΠ½Π°Π»ΡΠ½ΠΎΡΡΠΈ Π²ΡΠΎΡΠΎΠ³ΠΎ ΠΎΡΠ³Π°Π½Π°). ΠΡΠΏΠΎΠΌΠΎΠ³Π°ΡΠ΅Π»ΡΠ½ΠΎΠ΅ Π»Π΅ΡΠ΅Π½ΠΈΠ΅ Π²ΠΊΠ»ΡΡΠ°Π΅Ρ ΡΠΈΠΌΠΏΡΠΎΠΌΠ°ΡΠΈΡΠ΅ΡΠΊΠΈΠ΅ ΠΌΠ΅ΡΠΎΠΏΡΠΈΡΡΠΈΡ β ΠΏΡΠΈΠ΅ΠΌ Π±ΠΎΠ»Π΅ΡΡΠΎΠ»ΡΡΡΠΈΡ
ΡΡΠ΅Π΄ΡΡΠ², Π³ΠΈΠΏΠΎΡΠ΅Π½Π·ΠΈΠ²Π½ΡΡ
ΠΏΡΠ΅ΠΏΠ°ΡΠ°ΡΠΎΠ² (ΠΈΠ½Π³ΠΈΠ±ΠΈΡΠΎΡΠΎΠ² ΠΠΠ€), Π°Π½ΡΠΈΠ±ΠΈΠΎΡΠΈΠΊΠΎΠ² ΠΏΡΠΈ ΠΈΠ½ΡΠ΅ΠΊΡΠΈΠΎΠ½Π½ΡΡ
ΠΎΡΠ»ΠΎΠΆΠ½Π΅Π½ΠΈΡΡ
.
ΠΡΠΎΠ³Π½ΠΎΠ· ΠΈ ΠΏΡΠΎΡΠΈΠ»Π°ΠΊΡΠΈΠΊΠ°
ΠΡΠΎΠ³Π½ΠΎΠ· ΠΊΠΈΡΡΡ ΠΏΠΎΡΠΊΠΈ Π·Π°Π²ΠΈΡΠΈΡ ΠΎΡ Ρ Π°ΡΠ°ΠΊΡΠ΅ΡΠ° Π½ΠΎΠ²ΠΎΠΎΠ±ΡΠ°Π·ΠΎΠ²Π°Π½ΠΈΡ, Π΅Π³ΠΎ ΡΠ°Π·ΠΌΠ΅ΡΠΎΠ² ΠΈ Π»ΠΎΠΊΠ°Π»ΠΈΠ·Π°ΡΠΈΠΈ. Π Π±ΠΎΠ»ΡΡΠΈΠ½ΡΡΠ²Π΅ ΡΠ»ΡΡΠ°Π΅Π² Π²ΡΡΠ²Π»ΡΡΡΡΡ ΠΎΡΠ½ΠΎΡΠΈΡΠ΅Π»ΡΠ½ΠΎ Π½Π΅Π±ΠΎΠ»ΡΡΠΈΠ΅ ΠΎΠ΄Π½ΠΎΠΊΠ°ΠΌΠ΅ΡΠ½ΡΠ΅ ΠΊΠΈΡΡΠΎΠ·Π½ΡΠ΅ ΠΏΡΠ·ΡΡΡΠΊΠΈ Ρ ΠΌΠ΅Π΄Π»Π΅Π½Π½ΡΠΌ ΡΠΎΡΡΠΎΠΌ. ΠΡ Π½Π°Π»ΠΈΡΠΈΠ΅ ΠΏΡΠ°ΠΊΡΠΈΡΠ΅ΡΠΊΠΈ Π±Π΅ΡΡΠΈΠΌΠΏΡΠΎΠΌΠ½ΠΎ, Ρ Π°ΡΠ°ΠΊΡΠ΅ΡΠΈΠ·ΡΠ΅ΡΡΡ Π±Π»Π°Π³ΠΎΠΏΡΠΈΡΡΠ½ΡΠΌΠΈ ΠΏΠ΅ΡΡΠΏΠ΅ΠΊΡΠΈΠ²Π°ΠΌΠΈ. ΠΠ΅ΡΠ΅Π½ΠΈΠ΅ ΡΠ°ΠΊΠΈΡ ΡΠΎΡΠΌ ΠΏΠ°ΡΠΎΠ»ΠΎΠ³ΠΈΠΈ Π½Π΅ ΡΡΠ΅Π±ΡΠ΅ΡΡΡ, Π½Π΅ΠΎΠ±Ρ ΠΎΠ΄ΠΈΠΌΠΎ ΡΠΎΠ»ΡΠΊΠΎ ΠΏΠ΅ΡΠΈΠΎΠ΄ΠΈΡΠ΅ΡΠΊΠΎΠ΅ ΠΎΠ±ΡΠ»Π΅Π΄ΠΎΠ²Π°Π½ΠΈΠ΅ Ρ Π²ΡΠ°ΡΠ°-Π½Π΅ΡΡΠΎΠ»ΠΎΠ³Π° Π΄Π»Ρ ΡΠ²ΠΎΠ΅Π²ΡΠ΅ΠΌΠ΅Π½Π½ΠΎΠ³ΠΎ ΠΎΠ±Π½Π°ΡΡΠΆΠ΅Π½ΠΈΡ Π²ΠΎΠ·ΠΌΠΎΠΆΠ½ΡΡ ΠΎΡΠ»ΠΎΠΆΠ½Π΅Π½ΠΈΠΉ.
ΠΡΠΈ ΠΌΠ½ΠΎΠ³ΠΎΠΊΠ°ΠΌΠ΅ΡΠ½ΡΡ ΠΊΠΈΡΡΠ°Ρ ΠΏΡΠΎΠ³Π½ΠΎΠ· ΡΡ ΡΠ΄ΡΠ°Π΅ΡΡΡ, ΠΏΠΎΡΠΊΠΎΠ»ΡΠΊΡ ΡΠ²Π΅Π»ΠΈΡΠΈΠ²Π°Π΅ΡΡΡ ΡΠΈΡΠΊ ΠΌΠ°Π»ΠΈΠ³Π½ΠΈΠ·Π°ΡΠΈΠΈ ΠΈ Π₯ΠΠ. ΠΠ΄Π½Π°ΠΊΠΎ ΠΏΡΠΈ ΡΠ°Π΄ΠΈΠΊΠ°Π»ΡΠ½ΠΎΠΌ Π»Π΅ΡΠ΅Π½ΠΈΠΈ Π΄Π°Π½Π½ΡΡ ΡΠΈΠΏΠΎΠ² ΠΏΠ°ΡΠΎΠ»ΠΎΠ³ΠΈΠΈ ΡΠ΅ΡΠΈΠ΄ΠΈΠ²Ρ ΠΈ ΠΎΡΠ»ΠΎΠΆΠ½Π΅Π½ΠΈΡ ΡΠ΅Π³ΠΈΡΡΡΠΈΡΡΡΡΡΡ ΠΊΡΠ°ΠΉΠ½Π΅ ΡΠ΅Π΄ΠΊΠΎ. Π‘ΠΏΠ΅ΡΠΈΡΠΈΡΠ΅ΡΠΊΠΎΠΉ ΠΏΡΠΎΡΠΈΠ»Π°ΠΊΡΠΈΠΊΠΈ ΠΊΠΈΡΡΡ ΠΏΠΎΡΠΊΠΈ Π½Π΅ ΡΡΡΠ΅ΡΡΠ²ΡΠ΅Ρ, ΡΠ΅ΠΊΠΎΠΌΠ΅Π½Π΄Π°ΡΠΈΠΈ ΡΠ²ΠΎΠ΄ΡΡΡΡ ΠΊ ΡΠ²ΠΎΠ΅Π²ΡΠ΅ΠΌΠ΅Π½Π½ΠΎΠΌΡ Π»Π΅ΡΠ΅Π½ΠΈΡ Π²ΠΎΡΠΏΠ°Π»ΠΈΡΠ΅Π»ΡΠ½ΡΡ Π·Π°Π±ΠΎΠ»Π΅Π²Π°Π½ΠΈΠΉ ΠΌΠΎΡΠ΅Π²ΡΠ΄Π΅Π»ΠΈΡΠ΅Π»ΡΠ½ΠΎΠΉ ΡΠΈΡΡΠ΅ΠΌΡ, ΠΊΠΎΠ½ΡΡΠΎΠ»Ρ Π°ΡΡΠ΅ΡΠΈΠ°Π»ΡΠ½ΠΎΠ³ΠΎ Π΄Π°Π²Π»Π΅Π½ΠΈΡ ΠΈ ΠΏΠ΅ΡΠΈΠΎΠ΄ΠΈΡΠ΅ΡΠΊΠΎΠΌΡ ΠΌΠ΅Π΄ΠΈΡΠΈΠ½ΡΠΊΠΎΠΌΡ ΠΎΠ±ΡΠ»Π΅Π΄ΠΎΠ²Π°Π½ΠΈΡ Ρ ΡΡΠΎΠ»ΠΎΠ³Π° ΠΏΠΎΡΠ»Π΅ Π΄ΠΎΡΡΠΈΠΆΠ΅Π½ΠΈΡ 40 Π»Π΅Ρ.
ΠΡ ΠΌΠΎΠΆΠ΅ΡΠ΅ ΠΏΠΎΠ΄Π΅Π»ΠΈΡΡΡΡ ΡΠ²ΠΎΠ΅ΠΉ ΠΈΡΡΠΎΡΠΈΠ΅ΠΉ Π±ΠΎΠ»Π΅Π·Π½ΠΈ, ΡΡΠΎ ΠΠ°ΠΌ ΠΏΠΎΠΌΠΎΠ³Π»ΠΎ ΠΏΡΠΈ Π»Π΅ΡΠ΅Π½ΠΈΠΈ ΠΊΠΈΡΡΡ ΠΏΠΎΡΠΊΠΈ.
ΠΡΡΠΎΡΠ½ΠΈΠΊΠΈ
- ΠΠ°ΡΡΠΎΡΡΠ°Ρ ΡΡΠ°ΡΡΡ ΠΏΠΎΠ΄Π³ΠΎΡΠΎΠ²Π»Π΅Π½Π° ΠΏΠΎ ΠΌΠ°ΡΠ΅ΡΠΈΠ°Π»Π°ΠΌ ΡΠ°ΠΉΡΠ°: https://www.krasotaimedicina.ru/
ΠΠΠΠΠ
ΠΠ½ΡΠΎΡΠΌΠ°ΡΠΈΡ ΠΈΠ· Π΄Π°Π½Π½ΠΎΠ³ΠΎ ΡΠ°Π·Π΄Π΅Π»Π° Π½Π΅Π»ΡΠ·Ρ ΠΈΡΠΏΠΎΠ»ΡΠ·ΠΎΠ²Π°ΡΡ Π΄Π»Ρ ΡΠ°ΠΌΠΎΠ΄ΠΈΠ°Π³Π½ΠΎΡΡΠΈΠΊΠΈ ΠΈ ΡΠ°ΠΌΠΎΠ»Π΅ΡΠ΅Π½ΠΈΡ. Π ΡΠ»ΡΡΠ°Π΅ Π±ΠΎΠ»ΠΈ ΠΈΠ»ΠΈ ΠΈΠ½ΠΎΠ³ΠΎ ΠΎΠ±ΠΎΡΡΡΠ΅Π½ΠΈΡ Π·Π°Π±ΠΎΠ»Π΅Π²Π°Π½ΠΈΡ Π΄ΠΈΠ°Π³Π½ΠΎΡΡΠΈΡΠ΅ΡΠΊΠΈΠ΅ ΠΈΡΡΠ»Π΅Π΄ΠΎΠ²Π°Π½ΠΈΡ Π΄ΠΎΠ»ΠΆΠ΅Π½ Π½Π°Π·Π½Π°ΡΠ°ΡΡ ΡΠΎΠ»ΡΠΊΠΎ Π»Π΅ΡΠ°ΡΠΈΠΉ Π²ΡΠ°Ρ. ΠΠ»Ρ ΠΏΠΎΡΡΠ°Π½ΠΎΠ²ΠΊΠΈ Π΄ΠΈΠ°Π³Π½ΠΎΠ·Π° ΠΈ ΠΏΡΠ°Π²ΠΈΠ»ΡΠ½ΠΎΠ³ΠΎ Π½Π°Π·Π½Π°ΡΠ΅Π½ΠΈΡ Π»Π΅ΡΠ΅Π½ΠΈΡ ΡΠ»Π΅Π΄ΡΠ΅Ρ ΠΎΠ±ΡΠ°ΡΠ°ΡΡΡΡ ΠΊ ΠΠ°ΡΠ΅ΠΌΡ Π»Π΅ΡΠ°ΡΠ΅ΠΌΡ Π²ΡΠ°ΡΡ.
ΠΠΎΠΌΠΏΡΡΡΠ΅ΡΠ½Π°Ρ ΡΠΎΠΌΠΎΠ³ΡΠ°ΡΠΈΡ (ΠΠ’) ΡΡΠΎΠ³ΡΠ°ΠΌΠΌΠ° β ΠΠ»ΠΈΠ½ΠΈΠΊΠ° ΠΠ°ΠΉΠΎ
ΠΠ±Π·ΠΎΡ
ΠΠΎΠΌΠΏΡΡΡΠ΅ΡΠ½Π°Ρ ΡΠΎΠΌΠΎΠ³ΡΠ°ΡΠΈΡ (ΠΠ’) ΡΡΠΎΠ³ΡΠ°ΠΌΠΌΠ° β ΡΡΠΎ Π²ΠΈΠ·ΡΠ°Π»ΠΈΠ·ΠΈΡΡΡΡΠ΅Π΅ ΠΈΡΡΠ»Π΅Π΄ΠΎΠ²Π°Π½ΠΈΠ΅, ΠΈΡΠΏΠΎΠ»ΡΠ·ΡΠ΅ΠΌΠΎΠ΅ Π΄Π»Ρ ΠΎΡΠ΅Π½ΠΊΠΈ ΡΠΎΡΡΠΎΡΠ½ΠΈΡ ΠΌΠΎΡΠ΅Π²ΡΠ²ΠΎΠ΄ΡΡΠΈΡ ΠΏΡΡΠ΅ΠΉ. ΠΠΎΡΠ΅Π²ΡΠ²ΠΎΠ΄ΡΡΠΈΠ΅ ΠΏΡΡΠΈ Π²ΠΊΠ»ΡΡΠ°ΡΡ ΠΏΠΎΡΠΊΠΈ, ΠΌΠΎΡΠ΅Π²ΠΎΠΉ ΠΏΡΠ·ΡΡΡ ΠΈ ΡΡΡΠ±ΠΊΠΈ (ΠΌΠΎΡΠ΅ΡΠΎΡΠ½ΠΈΠΊΠΈ), ΠΏΠΎ ΠΊΠΎΡΠΎΡΡΠΌ ΠΌΠΎΡΠ° ΠΏΠΎΡΡΡΠΏΠ°Π΅Ρ ΠΈΠ· ΠΏΠΎΡΠ΅ΠΊ Π² ΠΌΠΎΡΠ΅Π²ΠΎΠΉ ΠΏΡΠ·ΡΡΡ.
Π£ΡΠΎΠ³ΡΠ°ΠΌΠΌΠ° CT ΠΈΡΠΏΠΎΠ»ΡΠ·ΡΠ΅Ρ ΡΠ΅Π½ΡΠ³Π΅Π½ΠΎΠ²ΡΠΊΠΈΠ΅ Π»ΡΡΠΈ Π΄Π»Ρ ΡΠΎΠ·Π΄Π°Π½ΠΈΡ Π½Π΅ΡΠΊΠΎΠ»ΡΠΊΠΈΡ
ΠΈΠ·ΠΎΠ±ΡΠ°ΠΆΠ΅Π½ΠΈΠΉ ΡΡΠ΅Π·Π° ΠΈΡΡΠ»Π΅Π΄ΡΠ΅ΠΌΠΎΠΉ ΠΎΠ±Π»Π°ΡΡΠΈ ΡΠ΅Π»Π°, Π²ΠΊΠ»ΡΡΠ°Ρ ΠΊΠΎΡΡΠΈ, ΠΌΡΠ³ΠΊΠΈΠ΅ ΡΠΊΠ°Π½ΠΈ ΠΈ ΠΊΡΠΎΠ²Π΅Π½ΠΎΡΠ½ΡΠ΅ ΡΠΎΡΡΠ΄Ρ.
ΠΠ°ΡΠ΅ΠΌ ΡΡΠΈ ΠΈΠ·ΠΎΠ±ΡΠ°ΠΆΠ΅Π½ΠΈΡ ΠΎΡΠΏΡΠ°Π²Π»ΡΡΡΡΡ Π½Π° ΠΊΠΎΠΌΠΏΡΡΡΠ΅Ρ ΠΈ Π±ΡΡΡΡΠΎ ΡΠ΅ΠΊΠΎΠ½ΡΡΡΡΠΈΡΡΡΡΡΡ Π² ΠΏΠΎΠ΄ΡΠΎΠ±Π½ΡΠ΅ 2D-ΠΈΠ·ΠΎΠ±ΡΠ°ΠΆΠ΅Π½ΠΈΡ.
ΠΠΎ Π²ΡΠ΅ΠΌΡ ΡΡΠΎΠ³ΡΠ°ΠΌΠΌΡ CT Π² Π²Π΅Π½Ρ Π½Π° ΡΡΠΊΠ΅ ΠΈΠ»ΠΈ ΠΏΡΠ΅Π΄ΠΏΠ»Π΅ΡΡΠ΅ Π²Π²ΠΎΠ΄ΠΈΡΡΡ ΡΠ΅Π½ΡΠ³Π΅Π½ΠΎΠΊΠΎΠ½ΡΡΠ°ΡΡΠ½ΠΎΠ΅ Π²Π΅ΡΠ΅ΡΡΠ²ΠΎ (ΠΉΠΎΠ΄ΡΠΎΠ΄Π΅ΡΠΆΠ°ΡΠ΅Π΅ ΠΊΠΎΠ½ΡΡΠ°ΡΡΠ½ΠΎΠ΅ Π²Π΅ΡΠ΅ΡΡΠ²ΠΎ). ΠΡΠ°ΡΠΈΡΠ΅Π»Ρ ΠΏΠΎΡΡΡΠΏΠ°Π΅Ρ Π² ΠΏΠΎΡΠΊΠΈ, ΠΌΠΎΡΠ΅ΡΠΎΡΠ½ΠΈΠΊΠΈ ΠΈ ΠΌΠΎΡΠ΅Π²ΠΎΠΉ ΠΏΡΠ·ΡΡΡ, ΠΎΡΠ΅ΡΡΠΈΠ²Π°Ρ ΠΊΠ°ΠΆΠ΄ΡΡ ΠΈΠ· ΡΡΠΈΡ ΡΡΡΡΠΊΡΡΡ. Π Π΅Π½ΡΠ³Π΅Π½ΠΎΠ²ΡΠΊΠΈΠ΅ ΡΠ½ΠΈΠΌΠΊΠΈ Π΄Π΅Π»Π°ΡΡΡΡ Π² ΠΎΠΏΡΠ΅Π΄Π΅Π»Π΅Π½Π½ΠΎΠ΅ Π²ΡΠ΅ΠΌΡ Π²ΠΎ Π²ΡΠ΅ΠΌΡ ΠΎΠ±ΡΠ»Π΅Π΄ΠΎΠ²Π°Π½ΠΈΡ, ΠΏΠΎΡΡΠΎΠΌΡ Π²ΡΠ°Ρ ΠΌΠΎΠΆΠ΅Ρ ΡΠ΅ΡΠΊΠΎ ΡΠ²ΠΈΠ΄Π΅ΡΡ Π²Π°ΡΠΈ ΠΌΠΎΡΠ΅Π²ΡΠ²ΠΎΠ΄ΡΡΠΈΠ΅ ΠΏΡΡΠΈ ΠΈ ΠΎΡΠ΅Π½ΠΈΡΡ, Π½Π°ΡΠΊΠΎΠ»ΡΠΊΠΎ Ρ ΠΎΡΠΎΡΠΎ ΠΎΠ½ΠΈ ΡΠ°Π±ΠΎΡΠ°ΡΡ.
Π’ΠΎΠ²Π°ΡΡ ΠΈ ΡΡΠ»ΡΠ³ΠΈ
- ΠΠ½ΠΈΠ³Π°: ΠΠ½ΠΈΠ³Π° ΡΠ΅ΠΌΠ΅ΠΉΠ½ΠΎΠ³ΠΎ Π·Π΄ΠΎΡΠΎΠ²ΡΡ ΠΊΠ»ΠΈΠ½ΠΈΠΊΠΈ ΠΡΠΉΠΎ, 5-Π΅ ΠΈΠ·Π΄Π°Π½ΠΈΠ΅
- ΠΠ½ΡΠΎΡΠΌΠ°ΡΠΈΠΎΠ½Π½ΡΠΉ Π±ΡΠ»Π»Π΅ΡΠ΅Π½Ρ: ΠΠΈΡΡΠΌΠΎ ΠΎ Π·Π΄ΠΎΡΠΎΠ²ΡΠ΅ ΠΊΠ»ΠΈΠ½ΠΈΠΊΠΈ ΠΡΠΉΠΎ β ΡΠΈΡΡΠΎΠ²ΠΎΠ΅ ΠΈΠ·Π΄Π°Π½ΠΈΠ΅
ΠΠ»Ρ ΡΠ΅Π³ΠΎ ΡΡΠΎ Π΄Π΅Π»Π°Π΅ΡΡΡ
ΠΠ’ Π£ΡΠΎΠ³ΡΠ°ΠΌΠΌΠ° ΠΈΡΠΏΠΎΠ»ΡΠ·ΡΠ΅ΡΡΡ Π΄Π»Ρ ΠΈΡΡΠ»Π΅Π΄ΠΎΠ²Π°Π½ΠΈΡ ΠΏΠΎΡΠ΅ΠΊ, ΠΌΠΎΡΠ΅ΡΠΎΡΠ½ΠΈΠΊΠΎΠ² ΠΈ ΠΌΠΎΡΠ΅Π²ΠΎΠ³ΠΎ ΠΏΡΠ·ΡΡΡ. ΠΡΠΎ ΠΏΠΎΠ·Π²ΠΎΠ»ΡΠ΅Ρ Π²Π°ΡΠ΅ΠΌΡ Π²ΡΠ°ΡΡ ΡΠ²ΠΈΠ΄Π΅ΡΡ ΡΠ°Π·ΠΌΠ΅Ρ ΠΈ ΡΠΎΡΠΌΡ ΡΡΠΈΡ
ΡΡΡΡΠΊΡΡΡ, ΡΡΠΎΠ±Ρ ΠΎΠΏΡΠ΅Π΄Π΅Π»ΠΈΡΡ, ΠΏΡΠ°Π²ΠΈΠ»ΡΠ½ΠΎ Π»ΠΈ ΠΎΠ½ΠΈ ΡΠ°Π±ΠΎΡΠ°ΡΡ, ΠΈ Π½Π°ΠΉΡΠΈ Π»ΡΠ±ΡΠ΅ ΠΏΡΠΈΠ·Π½Π°ΠΊΠΈ Π·Π°Π±ΠΎΠ»Π΅Π²Π°Π½ΠΈΡ, ΠΊΠΎΡΠΎΡΡΠ΅ ΠΌΠΎΠ³ΡΡ ΠΏΠΎΠ²Π»ΠΈΡΡΡ Π½Π° Π²Π°ΡΡ ΠΌΠΎΡΠ΅Π²ΡΠ²ΠΎΠ΄ΡΡΡΡ ΡΠΈΡΡΠ΅ΠΌΡ.
ΠΠ°Ρ Π²ΡΠ°Ρ ΠΌΠΎΠΆΠ΅Ρ ΠΏΠΎΡΠ΅ΠΊΠΎΠΌΠ΅Π½Π΄ΠΎΠ²Π°ΡΡ ΡΡΠΎΠ³ΡΠ°ΠΌΠΌΡ CT , Π΅ΡΠ»ΠΈ Ρ Π²Π°Ρ Π΅ΡΡΡ ΠΏΡΠΈΠ·Π½Π°ΠΊΠΈ ΠΈ ΡΠΈΠΌΠΏΡΠΎΠΌΡ, ΡΠ°ΠΊΠΈΠ΅ ΠΊΠ°ΠΊ Π±ΠΎΠ»Ρ Π² Π±ΠΎΠΊΡ ΠΈΠ»ΠΈ ΡΠΏΠΈΠ½Π΅ ΠΈΠ»ΠΈ ΠΊΡΠΎΠ²Ρ Π² ΠΌΠΎΡΠ΅ (Π³Π΅ΠΌΠ°ΡΡΡΠΈΡ), ΠΊΠΎΡΠΎΡΡΠ΅ ΠΌΠΎΠ³ΡΡ Π±ΡΡΡ ΡΠ²ΡΠ·Π°Π½Ρ Ρ Π·Π°Π±ΠΎΠ»Π΅Π²Π°Π½ΠΈΠ΅ΠΌ ΠΌΠΎΡΠ΅Π²ΡΠ²ΠΎΠ΄ΡΡΠΈΡ ΠΏΡΡΠ΅ΠΉ.
Π£ΡΠΎΠ³ΡΠ°ΠΌΠΌΠ° ΠΠ’ ΠΌΠΎΠΆΠ΅Ρ Π±ΡΡΡ ΠΏΠΎΠ»Π΅Π·Π½Π° ΠΏΡΠΈ Π΄ΠΈΠ°Π³Π½ΠΎΡΡΠΈΠΊΠ΅ Π·Π°Π±ΠΎΠ»Π΅Π²Π°Π½ΠΈΠΉ ΠΌΠΎΡΠ΅Π²ΡΠ²ΠΎΠ΄ΡΡΠΈΡ ΠΏΡΡΠ΅ΠΉ, ΡΠ°ΠΊΠΈΡ ΠΊΠ°ΠΊ:
- ΠΠ°ΠΌΠ½ΠΈ Π² ΠΏΠΎΡΠΊΠ°Ρ
- ΠΠ°ΠΌΠ½ΠΈ ΠΌΠΎΡΠ΅Π²ΠΎΠ³ΠΎ ΠΏΡΠ·ΡΡΡ
- ΠΡΠ»ΠΎΠΆΠ½Π΅Π½Π½ΡΠ΅ ΠΈΠ½ΡΠ΅ΠΊΡΠΈΠΈ
- ΠΠΏΡΡ ΠΎΠ»ΠΈ ΠΈΠ»ΠΈ ΠΊΠΈΡΡΡ
- Π Π°ΠΊ
- Π‘ΡΡΡΠΊΡΡΡΠ½ΡΠ΅ ΠΏΡΠΎΠ±Π»Π΅ΠΌΡ
ΠΠΎΠΏΠΎΠ»Π½ΠΈΡΠ΅Π»ΡΠ½Π°Ρ ΠΈΠ½ΡΠΎΡΠΌΠ°ΡΠΈΡ
- Π Π°ΠΊ ΠΌΠΎΡΠ΅Π²ΠΎΠ³ΠΎ ΠΏΡΠ·ΡΡΡ
- ΠΠ°ΠΌΠ½ΠΈ ΠΌΠΎΡΠ΅Π²ΠΎΠ³ΠΎ ΠΏΡΠ·ΡΡΡ
- Π Π°ΠΊ ΠΏΠΎΡΠΊΠΈ
- ΠΠΈΡΡΡ ΠΏΠΎΡΠΊΠΈ
- ΠΠ½ΡΠ΅ΠΊΡΠΈΡ ΠΏΠΎΡΠΊΠΈ
- Π Π΅ΠΊΡΠΎΠ²Π°Π³ΠΈΠ½Π°Π»ΡΠ½ΡΠΉ ΡΠ²ΠΈΡ
- ΠΠ΅ΠΏΡΠΎΡ ΠΎΠ΄ΠΈΠΌΠΎΡΡΡ ΠΌΠΎΡΠ΅ΡΠΎΡΠ½ΠΈΠΊΠ°
- ΠΠ°Π³ΠΈΠ½Π°Π»ΡΠ½ΡΠΉ ΡΠ²ΠΈΡ
ΠΠ°ΠΏΠΈΡΠ°ΡΡΡΡ Π½Π° ΠΏΡΠΈΠ΅ΠΌ Π² ΠΊΠ»ΠΈΠ½ΠΈΠΊΡ ΠΠ°ΠΉΠΎ
Π ΠΈΡΠΊΠΈ
ΠΡΠΈ ΡΡΠΎΠ³ΡΠ°ΠΌΠΌΠ΅ ΠΠ’ ΡΡΡΠ΅ΡΡΠ²ΡΠ΅Ρ Π½Π΅Π±ΠΎΠ»ΡΡΠΎΠΉ ΡΠΈΡΠΊ Π°Π»Π»Π΅ΡΠ³ΠΈΡΠ΅ΡΠΊΠΎΠΉ ΡΠ΅Π°ΠΊΡΠΈΠΈ Π½Π° ΠΊΠΎΠ½ΡΡΠ°ΡΡΠ½ΠΎΠ΅ Π²Π΅ΡΠ΅ΡΡΠ²ΠΎ.
Π Π΅Π°ΠΊΡΠΈΠΈ, ΠΊΠ°ΠΊ ΠΏΡΠ°Π²ΠΈΠ»ΠΎ, Π»Π΅Π³ΠΊΠΈΠ΅ ΠΈ Π»Π΅Π³ΠΊΠΎ ΠΊΡΠΏΠΈΡΡΡΡΡΡ Π»Π΅ΠΊΠ°ΡΡΡΠ²Π°ΠΌΠΈ. Π Π½ΠΈΠΌ ΠΎΡΠ½ΠΎΡΡΡΡΡ:
- ΠΡΡΡΠ΅Π½ΠΈΠ΅ ΡΠ΅ΠΏΠ»Π° ΠΈΠ»ΠΈ ΠΏΠΎΠΊΡΠ°ΡΠ½Π΅Π½ΠΈΡ
- Π’ΠΎΡΠ½ΠΎΡΠ°
- ΠΡΠ΄
- Π£Π»ΡΠΈ
- ΠΠΎΠ»Ρ Π² ΠΌΠ΅ΡΡΠ΅ ΠΈΠ½ΡΠ΅ΠΊΡΠΈΠΈ
ΠΠ΄Π½Π° ΡΡΠΎΠ³ΡΠ°ΠΌΠΌΠ° CT Π½Π΅ Π½Π΅ΡΠ΅Ρ ΡΠΈΡΠΊΠ° ΡΠ°Π·Π²ΠΈΡΠΈΡ ΡΠ°ΠΊΠ° ΠΏΠΎΡΠ»Π΅ ΡΠ°Π΄ΠΈΠ°ΡΠΈΠΎΠ½Π½ΠΎΠ³ΠΎ ΠΎΠ±Π»ΡΡΠ΅Π½ΠΈΡ. ΠΠΎ ΠΌΠ½ΠΎΠ³ΠΎΠΊΡΠ°ΡΠ½ΡΠ΅ ΡΠ΅ΡΡΡ ΠΈΠ»ΠΈ ΡΠ°Π΄ΠΈΠ°ΡΠΈΠΎΠ½Π½ΠΎΠ΅ ΠΎΠ±Π»ΡΡΠ΅Π½ΠΈΠ΅ ΠΌΠΎΠ³ΡΡ ΠΏΡΠΈΠ²Π΅ΡΡΠΈ ΠΊ Π½Π΅Π±ΠΎΠ»ΡΡΠΎΠΌΡ ΡΠ²Π΅Π»ΠΈΡΠ΅Π½ΠΈΡ ΡΠΈΡΠΊΠ° ΡΠ°Π·Π²ΠΈΡΠΈΡ ΡΠ°ΠΊΠ°. ΠΠ°ΠΊ ΠΏΡΠ°Π²ΠΈΠ»ΠΎ, ΠΏΠΎΠ»ΡΠ·Π° ΠΎΡ ΡΠΎΡΠ½ΠΎΠ³ΠΎ Π΄ΠΈΠ°Π³Π½ΠΎΠ·Π° Π½Π°ΠΌΠ½ΠΎΠ³ΠΎ ΠΏΠ΅ΡΠ΅Π²Π΅ΡΠΈΠ²Π°Π΅Ρ ΡΡΠΎΡ ΡΠΈΡΠΊ. ΠΡΠΎΠ΄ΠΎΠ»ΠΆΠ°Π΅ΡΡΡ ΡΠ°Π±ΠΎΡΠ° Π½Π°Π΄ ΡΠΏΠΎΡΠΎΠ±Π°ΠΌΠΈ ΡΠ½ΠΈΠΆΠ΅Π½ΠΈΡ ΡΠ°Π΄ΠΈΠ°ΡΠΈΠΎΠ½Π½ΠΎΠ³ΠΎ ΠΎΠ±Π»ΡΡΠ΅Π½ΠΈΡ ΠΏΡΠΈ ΠΏΡΠΎΠ²Π΅Π΄Π΅Π½ΠΈΠΈ ΡΡΠΎΠ³ΡΠ°ΠΌΠΌΡ CT .
ΠΡΠ»ΠΈ Π²Ρ Π±Π΅ΡΠ΅ΠΌΠ΅Π½Π½Ρ ΠΈΠ»ΠΈ Π΄ΡΠΌΠ°Π΅ΡΠ΅, ΡΡΠΎ ΠΌΠΎΠΆΠ΅ΡΠ΅ Π±ΡΡΡ Π±Π΅ΡΠ΅ΠΌΠ΅Π½Π½Ρ, ΡΠΎΠΎΠ±ΡΠΈΡΠ΅ ΠΎΠ± ΡΡΠΎΠΌ ΡΠ²ΠΎΠ΅ΠΌΡ Π²ΡΠ°ΡΡ ΠΏΠ΅ΡΠ΅Π΄ ΠΏΡΠΎΠ²Π΅Π΄Π΅Π½ΠΈΠ΅ΠΌ ΡΡΠΎΠ³ΡΠ°ΠΌΠΌΡ CT . Π₯ΠΎΡΡ ΡΠΈΡΠΊ Π΄Π»Ρ Π±ΡΠ΄ΡΡΠ΅Π³ΠΎ ΡΠ΅Π±Π΅Π½ΠΊΠ° Π½Π΅Π²Π΅Π»ΠΈΠΊ, Π²Π°Ρ Π²ΡΠ°Ρ ΠΌΠΎΠΆΠ΅Ρ ΡΠ°ΡΡΠΌΠΎΡΡΠ΅ΡΡ Π²ΠΎΠΏΡΠΎΡ ΠΎ ΡΠΎΠΌ, Π»ΡΡΡΠ΅ Π»ΠΈ ΠΏΠΎΠ΄ΠΎΠΆΠ΄Π°ΡΡ ΠΈΠ»ΠΈ ΠΈΡΠΏΠΎΠ»ΡΠ·ΠΎΠ²Π°ΡΡ Π΄ΡΡΠ³ΠΎΠΉ Π²ΠΈΠ·ΡΠ°Π»ΠΈΠ·ΠΈΡΡΡΡΠΈΠΉ ΡΠ΅ΡΡ.
ΠΠ°ΠΊ Π²Ρ Π³ΠΎΡΠΎΠ²ΠΈΡΠ΅ΡΡ
ΠΠ΅ΡΠ΅Π΄ ΡΡΠΎΠ³ΡΠ°ΠΌΠΌΠΎΠΉ CT ΡΠΎΠΎΠ±ΡΠΈΡΠ΅ ΡΠ²ΠΎΠ΅ΠΌΡ ΠΌΠ΅Π΄ΠΈΡΠΈΠ½ΡΠΊΠΎΠΌΡ ΠΏΠ΅ΡΡΠΎΠ½Π°Π»Ρ, Π΅ΡΠ»ΠΈ Π²Ρ:
- Π£ Π²Π°Ρ Π΅ΡΡΡ Π°Π»Π»Π΅ΡΠ³ΠΈΡ, ΠΎΡΠΎΠ±Π΅Π½Π½ΠΎ Π½Π° ΠΉΠΎΠ΄
- ΠΡ Π±Π΅ΡΠ΅ΠΌΠ΅Π½Π½Ρ ΠΈΠ»ΠΈ Π΄ΡΠΌΠ°Π΅ΡΠ΅, ΡΡΠΎ ΠΌΠΎΠΆΠ΅ΡΠ΅ Π±ΡΡΡ Π±Π΅ΡΠ΅ΠΌΠ΅Π½Π½Ρ
- Π Π°Π½Π΅Π΅ Ρ Π²Π°Ρ Π±ΡΠ»Π° ΡΠΈΠ»ΡΠ½Π°Ρ ΡΠ΅Π°ΠΊΡΠΈΡ Π½Π° ΡΠ΅Π½ΡΠ³Π΅Π½ΠΎΠ²ΡΠΊΠΈΠ΅ ΠΊΡΠ°ΡΠΈΡΠ΅Π»ΠΈ
- ΠΡΠΈΠ½ΠΈΠΌΠ°Π΅ΡΠ΅ ΠΊΠ°ΠΊΠΈΠ΅-Π»ΠΈΠ±ΠΎ Π»Π΅ΠΊΠ°ΡΡΡΠ²Π°, ΡΠ°ΠΊΠΈΠ΅ ΠΊΠ°ΠΊ ΠΌΠ΅ΡΡΠΎΡΠΌΠΈΠ½ (Π€ΠΎΡΡΠ°ΠΌΠ΅Ρ, ΠΠ»ΡΠΊΠΎΡΠ°ΠΆ ΠΈ Π΄Ρ.), Π½Π΅ΡΡΠ΅ΡΠΎΠΈΠ΄Π½ΡΠ΅ ΠΏΡΠΎΡΠΈΠ²ΠΎΠ²ΠΎΡΠΏΠ°Π»ΠΈΡΠ΅Π»ΡΠ½ΡΠ΅ ΠΏΡΠ΅ΠΏΠ°ΡΠ°ΡΡ (ΠΠΠΠ), ΠΏΡΠ΅ΠΏΠ°ΡΠ°ΡΡ ΠΏΡΠΎΡΠΈΠ² ΠΎΡΡΠΎΡΠΆΠ΅Π½ΠΈΡ ΠΈΠ»ΠΈ Π°Π½ΡΠΈΠ±ΠΈΠΎΡΠΈΠΊΠΈ
- ΠΠ΅Π΄Π°Π²Π½Π΅Π΅ Π·Π°Π±ΠΎΠ»Π΅Π²Π°Π½ΠΈΠ΅
- ΠΠ°Π»ΠΈΡΠΈΠ΅ Π·Π°Π±ΠΎΠ»Π΅Π²Π°Π½ΠΈΠΉ, ΡΠ°ΠΊΠΈΡ ΠΊΠ°ΠΊ Π±ΠΎΠ»Π΅Π·Π½ΠΈ ΡΠ΅ΡΠ΄ΡΠ°, Π°ΡΡΠΌΠ°, Π΄ΠΈΠ°Π±Π΅Ρ, Π·Π°Π±ΠΎΠ»Π΅Π²Π°Π½ΠΈΡ ΠΏΠΎΡΠ΅ΠΊ ΠΈΠ»ΠΈ ΠΏΡΠ΅Π΄ΡΠ΅ΡΡΠ²ΡΡΡΠ°Ρ ΡΡΠ°Π½ΡΠΏΠ»Π°Π½ΡΠ°ΡΠΈΡ ΠΎΡΠ³Π°Π½ΠΎΠ²
ΠΠ°Ρ ΠΌΠΎΠ³ΡΡ ΠΏΠΎΠΏΡΠΎΡΠΈΡΡ ΠΏΠΈΡΡ Π²ΠΎΠ΄Ρ ΠΏΠ΅ΡΠ΅Π΄ ΡΡΠΎΠ³ΡΠ°ΠΌΠΌΠΎΠΉ CT ΠΈ Π½Π΅ ΠΌΠΎΡΠΈΡΡΡΡ Π΄ΠΎ Π·Π°Π²Π΅ΡΡΠ΅Π½ΠΈΡ ΠΏΡΠΎΡΠ΅Π΄ΡΡΡ. ΠΡΠΎ ΡΠ°ΡΡΠΈΡΠΈΡ Π²Π°Ρ ΠΌΠΎΡΠ΅Π²ΠΎΠΉ ΠΏΡΠ·ΡΡΡ. ΠΠΎ, Π² Π·Π°Π²ΠΈΡΠΈΠΌΠΎΡΡΠΈ ΠΎΡ Π²Π°ΡΠ΅Π³ΠΎ ΡΠΎΡΡΠΎΡΠ½ΠΈΡ, ΡΠ΅ΠΊΠΎΠΌΠ΅Π½Π΄Π°ΡΠΈΠΈ ΠΎ ΡΠΎΠΌ, ΡΡΠΎ Π΅ΡΡΡ ΠΈ ΠΏΠΈΡΡ ΠΏΠ΅ΡΠ΅Π΄ ΡΡΠΎΠ³ΡΠ°ΠΌΠΌΠΎΠΉ CT , ΠΌΠΎΠ³ΡΡ ΡΠ°Π·Π»ΠΈΡΠ°ΡΡΡΡ.
Π§ΡΠΎ Π²Ρ ΠΌΠΎΠΆΠ΅ΡΠ΅ ΠΎΠΆΠΈΠ΄Π°ΡΡ
ΠΠ΅ΡΠ΅Π΄ ΡΡΠΎΠ³ΡΠ°ΠΌΠΌΠΎΠΉ CT ΡΠ»Π΅Π½ Π²Π°ΡΠ΅ΠΉ ΠΌΠ΅Π΄ΠΈΡΠΈΠ½ΡΠΊΠΎΠΉ Π±ΡΠΈΠ³Π°Π΄Ρ ΠΌΠΎΠΆΠ΅Ρ:
- ΠΠ°Π΄Π°ΡΡ Π²ΠΎΠΏΡΠΎΡΡ ΠΎ Π²Π°ΡΠ΅ΠΉ ΠΈΡΡΠΎΡΠΈΠΈ Π±ΠΎΠ»Π΅Π·Π½ΠΈ
- ΠΡΠΎΠ²Π΅ΡΡΡΠ΅ Π°ΡΡΠ΅ΡΠΈΠ°Π»ΡΠ½ΠΎΠ΅ Π΄Π°Π²Π»Π΅Π½ΠΈΠ΅, ΠΏΡΠ»ΡΡ ΠΈ ΡΠ΅ΠΌΠΏΠ΅ΡΠ°ΡΡΡΡ ΡΠ΅Π»Π°
- ΠΠΎΠΏΡΠΎΡΠΈΡΠ΅ Π²Π°Ρ ΠΏΠ΅ΡΠ΅ΠΎΠ΄Π΅ΡΡΡΡ Π² Π±ΠΎΠ»ΡΠ½ΠΈΡΠ½ΡΡ ΠΎΠ΄Π΅ΠΆΠ΄Ρ ΠΈ ΡΠ½ΡΡΡ ΡΠΊΡΠ°ΡΠ΅Π½ΠΈΡ, ΠΎΡΠΊΠΈ ΠΈ Π»ΡΠ±ΡΠ΅ ΠΌΠ΅ΡΠ°Π»Π»ΠΈΡΠ΅ΡΠΊΠΈΠ΅ ΠΏΡΠ΅Π΄ΠΌΠ΅ΡΡ, ΠΊΠΎΡΠΎΡΡΠ΅ ΠΌΠΎΠ³ΡΡ Π·Π°Π³ΠΎΡΠ°ΠΆΠΈΠ²Π°ΡΡ ΡΠ΅Π½ΡΠ³Π΅Π½ΠΎΠ²ΡΠΊΠΈΠ΅ ΡΠ½ΠΈΠΌΠΊΠΈ
ΠΠΎ Π²ΡΠ΅ΠΌΡ ΠΠ’-ΡΡΠΎΠ³ΡΠ°ΡΠΈΠΈ
ΠΠ»Ρ ΡΠΈΠΏΠΈΡΠ½ΠΎΠΉ ΠΠ’-ΡΡΠΎΠ³ΡΠ°ΠΌΠΌΡ Π²Ρ Π»Π΅ΠΆΠΈΡΠ΅ Π½Π° ΡΠΏΠΈΠ½Π΅ Π½Π° ΡΡΠΎΠ»Π΅ Π΄Π»Ρ ΠΎΡΠΌΠΎΡΡΠ°, Ρ ΠΎΡΡ Π²Π°Ρ ΠΌΠΎΠ³ΡΡ ΠΏΠΎΠΏΡΠΎΡΠΈΡΡ Π»Π΅ΡΡ Π½Π° Π±ΠΎΠΊ ΠΈΠ»ΠΈ Π½Π° ΠΆΠΈΠ²ΠΎΡ. Π Π΅ΠΌΠ½ΠΈ ΠΈ ΠΏΠΎΠ΄ΡΡΠΊΠΈ ΠΌΠΎΠ³ΡΡ ΠΈΡΠΏΠΎΠ»ΡΠ·ΠΎΠ²Π°ΡΡΡΡ, ΡΡΠΎΠ±Ρ ΠΏΠΎΠΌΠΎΡΡ Π²Π°ΠΌ ΡΠΎΡ ΡΠ°Π½ΡΡΡ ΠΏΡΠ°Π²ΠΈΠ»ΡΠ½ΠΎΠ΅ ΠΏΠΎΠ»ΠΎΠΆΠ΅Π½ΠΈΠ΅ ΠΈ ΡΠΎΡ ΡΠ°Π½ΡΡΡ Π½Π΅ΠΏΠΎΠ΄Π²ΠΈΠΆΠ½ΠΎΡΡΡ Π²ΠΎ Π²ΡΠ΅ΠΌΡ ΠΈΡΡΠ»Π΅Π΄ΠΎΠ²Π°Π½ΠΈΡ. ΠΠ°Ρ ΠΌΠΎΠ³ΡΡ ΠΏΠΎΠΏΡΠΎΡΠΈΡΡ ΡΠΌΠ΅Π½ΠΈΡΡ ΠΏΠΎΠ·ΠΈΡΠΈΡ Π²ΠΎ Π²ΡΠ΅ΠΌΡ ΠΠ’ Π£ΡΠΎΠ³ΡΠ°ΠΌΠΌΠ°.
Π¨Π½ΡΡ IV Π²Π²ΠΎΠ΄ΠΈΡΡΡ Π² Π²Π΅Π½Ρ Π½Π° ΡΡΠΊΠ΅, ΡΠ΅ΡΠ΅Π· ΠΊΠΎΡΠΎΡΡΡ Π²Π²ΠΎΠ΄ΠΈΡΡΡ ΡΠ΅Π½ΡΠ³Π΅Π½ΠΎΠ²ΡΠΊΠΈΠΉ ΠΊΡΠ°ΡΠΈΡΠ΅Π»Ρ.
ΠΠΎ Π²ΡΠ΅ΠΌΡ ΠΈΠ½ΡΠ΅ΠΊΡΠΈΠΈ ΠΊΡΠ°ΡΠΈΡΠ΅Π»Ρ Π²Ρ ΠΌΠΎΠΆΠ΅ΡΠ΅ ΠΏΠΎΡΡΠ²ΡΡΠ²ΠΎΠ²Π°ΡΡ ΡΠ΅ΠΏΠ»ΠΎ, ΠΏΠΎΠΊΡΠ°ΡΠ½Π΅Π½ΠΈΠ΅ ΠΈ ΠΌΠ΅ΡΠ°Π»Π»ΠΈΡΠ΅ΡΠΊΠΈΠΉ ΠΏΡΠΈΠ²ΠΊΡΡ Π²ΠΎ ΡΡΡ Π² ΡΠ΅ΡΠ΅Π½ΠΈΠ΅ ΠΌΠΈΠ½ΡΡΡ ΠΈΠ»ΠΈ Π΄Π²ΡΡ
. ΠΠΎΠ½ΡΡΠ°ΡΡΠ½ΠΎΠ΅ Π²Π΅ΡΠ΅ΡΡΠ²ΠΎ ΠΌΠΎΠΆΠ΅Ρ Π½Π΅Π½Π°Π΄ΠΎΠ»Π³ΠΎ Π²ΡΠ·Π²Π°ΡΡ Ρ Π²Π°Ρ ΠΆΠ΅Π»Π°Π½ΠΈΠ΅ ΠΏΠΎΠΌΠΎΡΠΈΡΡΡΡ.
ΠΠ΅ΡΠ΅Π΄ Π½Π°ΡΠ°Π»ΠΎΠΌ ΠΈΡΡΠ»Π΅Π΄ΠΎΠ²Π°Π½ΠΈΡ ΡΡΠΎΠ» Π±ΡΡΡΡΠΎ ΠΏΠ΅ΡΠ΅ΠΌΠ΅ΡΠ°Π΅ΡΡΡ ΠΏΠΎ ΡΠΊΠ°Π½Π΅ΡΡ, ΡΡΠΎΠ±Ρ ΠΎΠΏΡΠ΅Π΄Π΅Π»ΠΈΡΡ ΠΏΡΠ°Π²ΠΈΠ»ΡΠ½ΠΎΠ΅ Π½Π°ΡΠ°Π»ΡΠ½ΠΎΠ΅ ΠΏΠΎΠ»ΠΎΠΆΠ΅Π½ΠΈΠ΅ Π΄Π»Ρ ΡΠΊΠ°Π½ΠΈΡΠΎΠ²Π°Π½ΠΈΡ. ΠΠ° ΡΠ°ΠΌΠΎΠΌ Π΄Π΅Π»Π΅ CT ΡΡΠΎΠ³ΡΠ°ΠΌΠΌΠ°, ΡΡΠΎΠ» ΠΌΠ΅Π΄Π»Π΅Π½Π½ΠΎ ΠΏΠ΅ΡΠ΅ΠΌΠ΅ΡΠ°Π΅ΡΡΡ ΡΠ΅ΡΠ΅Π· Π°ΠΏΠΏΠ°ΡΠ°Ρ, ΠΏΠΎΠΊΠ° Π΄Π΅Π»Π°ΡΡΡΡ ΡΠ½ΠΈΠΌΠΊΠΈ. ΠΡΠΈ Π½Π΅ΠΎΠ±Ρ ΠΎΠ΄ΠΈΠΌΠΎΡΡΠΈ ΠΌΠ°ΡΠΈΠ½Π° ΠΌΠΎΠΆΠ΅Ρ ΡΠ΄Π΅Π»Π°ΡΡ Π½Π΅ΡΠΊΠΎΠ»ΡΠΊΠΎ ΠΏΡΠΎΡ ΠΎΠ΄ΠΎΠ².
ΠΠΏΠΏΠ°ΡΠ°Ρ ΠΈΠ·Π΄Π°Π΅Ρ Π»Π΅Π³ΠΊΠΈΠ΅ ΠΆΡΠΆΠΆΠ°ΡΠΈΠ΅ ΠΈ ΡΠ΅Π»ΠΊΠ°ΡΡΠΈΠ΅ Π·Π²ΡΠΊΠΈ Π²ΠΎ Π²ΡΠ΅ΠΌΡ ΡΡΠ΅ΠΌΠΊΠΈ. Π§ΡΠΎΠ±Ρ ΠΈΠ·ΠΎΠ±ΡΠ°ΠΆΠ΅Π½ΠΈΡ Π½Π΅ ΡΠ°Π·ΠΌΡΠ²Π°Π»ΠΈΡΡ, ΡΠ΅Ρ Π½ΠΈΠΊ ΠΌΠΎΠΆΠ΅Ρ ΠΏΠΎΠΏΡΠΎΡΠΈΡΡ Π²Π°Ρ Π·Π°Π΄Π΅ΡΠΆΠ°ΡΡ Π΄ΡΡ Π°Π½ΠΈΠ΅ Π½Π° Π½Π΅ΡΠΊΠΎΠ»ΡΠΊΠΎ ΡΠ΅ΠΊΡΠ½Π΄ Π²ΠΎ Π²ΡΠ΅ΠΌΡ ΡΠΊΠ°Π½ΠΈΡΠΎΠ²Π°Π½ΠΈΡ.
ΠΠΎΡΠ»Π΅ Π·Π°Π²Π΅ΡΡΠ΅Π½ΠΈΡ ΡΡΠΎΠ³ΡΠ°ΠΌΠΌΡ CT ΡΠ΅Ρ Π½ΠΈΠΊ ΠΏΡΠΎΠ²Π΅ΡΡΠ΅Ρ ΠΊΠ°ΡΠ΅ΡΡΠ²ΠΎ ΠΈΠ·ΠΎΠ±ΡΠ°ΠΆΠ΅Π½ΠΈΠΉ, ΠΏΠΎΠΊΠ° Π²Ρ ΠΆΠ΄Π΅ΡΠ΅.
ΠΠΎΡΠ»Π΅ ΠΠ’-ΡΡΠΎΠ³ΡΠ°ΡΠΈΠΈ
ΠΠΎΡΠ»Π΅ Π·Π°Π²Π΅ΡΡΠ΅Π½ΠΈΡ ΡΠ΅ΡΡΠ° Ρ ΡΡΠΊΠΈ ΡΠ½ΠΈΠΌΠ°ΡΡ ΠΊΠ°ΡΠ΅ΡΠ΅Ρ IV , Π° ΠΌΠ΅ΡΡΠΎ Π²Ρ
ΠΎΠ΄Π° IV Π·Π°ΠΊΡΡΠ²Π°ΡΡ ΠΏΠΎΠ²ΡΠ·ΠΊΠΎΠΉ.
ΠΠΎΠ»ΡΡΠΈΠ½ΡΡΠ²ΠΎ Π»ΡΠ΄Π΅ΠΉ Π²ΠΎΠ·Π²ΡΠ°ΡΠ°ΡΡΡΡ ΠΊ ΡΠ²ΠΎΠ΅ΠΉ ΠΎΠ±ΡΡΠ½ΠΎΠΉ Π΄Π΅ΡΡΠ΅Π»ΡΠ½ΠΎΡΡΠΈ ΠΏΠΎΡΠ»Π΅ ΡΠ΅ΡΡΠ°.
Π Π΅Π·ΡΠ»ΡΡΠ°ΡΡ
ΠΡΠ°Ρ, ΠΊΠΎΡΠΎΡΡΠΉ ΡΠΏΠ΅ΡΠΈΠ°Π»ΠΈΠ·ΠΈΡΡΠ΅ΡΡΡ Π½Π° ΡΡΠ΅Π½ΠΈΠΈ ΡΠ΅Π½ΡΠ³Π΅Π½ΠΎΠ²ΡΠΊΠΈΡ ΡΠ½ΠΈΠΌΠΊΠΎΠ² (ΡΠ΅Π½ΡΠ³Π΅Π½ΠΎΠ»ΠΎΠ³), ΠΏΡΠΎΡΠΌΠ°ΡΡΠΈΠ²Π°Π΅Ρ ΠΈ ΠΈΠ½ΡΠ΅ΡΠΏΡΠ΅ΡΠΈΡΡΠ΅Ρ ΡΠ΅Π½ΡΠ³Π΅Π½ΠΎΠ²ΡΠΊΠΈΠ΅ ΡΠ½ΠΈΠΌΠΊΠΈ Π²Π°ΡΠ΅ΠΉ ΠΠ’ ΡΡΠΎΠ³ΡΠ°ΠΌΠΌΡ ΠΈ ΠΎΡΠΏΡΠ°Π²Π»ΡΠ΅Ρ ΠΎΡΡΠ΅Ρ Π²Π°ΡΠ΅ΠΌΡ Π²ΡΠ°ΡΡ. ΠΠ°ΠΏΠ»Π°Π½ΠΈΡΡΠΉΡΠ΅ ΠΎΠ±ΡΡΠ΄ΠΈΡΡ ΡΠ΅Π·ΡΠ»ΡΡΠ°ΡΡ Ρ Π²ΡΠ°ΡΠΎΠΌ Π½Π° ΠΏΠΎΡΠ»Π΅Π΄ΡΡΡΠ΅ΠΌ ΠΏΡΠΈΠ΅ΠΌΠ΅.
ΠΠ΅ΡΡΠΎΠ½Π°Π» ΠΊΠ»ΠΈΠ½ΠΈΠΊΠΈ ΠΡΠΉΠΎ
ΠΠΎΡ ΠΎΠΆΠΈΠ΅
Π’ΠΎΠ²Π°ΡΡ ΠΈ ΡΡΠ»ΡΠ³ΠΈ
ΠΠΈΡΡΠ° ΠΏΠΎΡΠΊΠΈ | ΠΠΎΠ»ΠΈΠΊΠΈΡΡΠΎΠ· ΠΏΠΎΡΠ΅ΠΊ
ΠΠ° ΡΡΠΎΠΉ ΡΡΡΠ°Π½ΠΈΡΠ΅
ΠΡΠ½ΠΎΠ²Ρ
- Π Π΅Π·ΡΠΌΠ΅
- ΠΠ°ΡΠ°Π»ΠΎ Π·Π΄Π΅ΡΡ
- ΠΠΈΠ°Π³Π½ΠΎΡΡΠΈΠΊΠ° ΠΈ ΡΠ΅ΡΡΡ
Π£Π·Π½Π°ΡΡ Π±ΠΎΠ»ΡΡΠ΅
- ΠΡΠΎΠ±Π΅Π½Π½ΠΎΡΡΠΈ
- ΠΠ΅Π½Π΅ΡΠΈΠΊΠ°
Π‘ΠΌΠΎΡΡΠΈΡΠ΅, ΠΈΠ³ΡΠ°ΠΉΡΠ΅ ΠΈ ΡΡΠΈΡΠ΅ΡΡ
- Π‘ΡΡΠ»ΠΊΠΈ Π½Π΅Π΄ΠΎΡΡΡΠΏΠ½Ρ
ΠΡΡΠ»Π΅Π΄ΠΎΠ²Π°Π½ΠΈΡ
- Π‘ΡΠ°ΡΠΈΡΡΠΈΠΊΠ° ΠΈ ΠΈΡΡΠ»Π΅Π΄ΠΎΠ²Π°Π½ΠΈΡ
- ΠΠ»ΠΈΠ½ΠΈΡΠ΅ΡΠΊΠΈΠ΅ ΠΈΡΠΏΡΡΠ°Π½ΠΈΡ
- ΠΡΡΠ½Π°Π»ΡΠ½Π°Ρ ΡΡΠ°ΡΡΡ
Π Π΅ΡΡΡΡΡ
- Π‘ΠΏΡΠ°Π²ΠΎΡΠ½Π°Ρ ΡΠ»ΡΠΆΠ±Π°
- ΠΠ°ΠΉΡΠΈ ΡΠΊΡΠΏΠ΅ΡΡΠ°
ΠΠ»Ρ Π²Π°Ρ
- ΠΠ΅ΡΠΈ
- Π Π°Π·Π΄Π°ΡΠΎΡΠ½ΡΠ΅ ΠΌΠ°ΡΠ΅ΡΠΈΠ°Π»Ρ Π΄Π»Ρ ΠΏΠ°ΡΠΈΠ΅Π½ΡΠΎΠ²
ΠΠΈΡΡΠ° ΠΏΡΠ΅Π΄ΡΡΠ°Π²Π»ΡΠ΅Ρ ΡΠΎΠ±ΠΎΠΉ ΠΌΠ΅ΡΠΎΠΊ, Π·Π°ΠΏΠΎΠ»Π½Π΅Π½Π½ΡΠΉ ΠΆΠΈΠ΄ΠΊΠΎΡΡΡΡ.
Π‘ Π²ΠΎΠ·ΡΠ°ΡΡΠΎΠΌ Ρ Π²Π°Ρ ΠΌΠΎΠ³ΡΡ ΠΏΠΎΡΠ²ΠΈΡΡΡΡ ΠΏΡΠΎΡΡΡΠ΅ ΠΊΠΈΡΡΡ ΠΏΠΎΡΠ΅ΠΊ; ΠΎΠ½ΠΈ ΠΎΠ±ΡΡΠ½ΠΎ Π±Π΅Π·Π²ΡΠ΅Π΄Π½Ρ. ΠΡΡΡ ΡΠ°ΠΊΠΆΠ΅ Π½Π΅ΠΊΠΎΡΠΎΡΡΠ΅ Π·Π°Π±ΠΎΠ»Π΅Π²Π°Π½ΠΈΡ, ΠΊΠΎΡΠΎΡΡΠ΅ Π²ΡΠ·ΡΠ²Π°ΡΡ ΠΊΠΈΡΡΡ ΠΏΠΎΡΠ΅ΠΊ. ΠΠ΄Π½ΠΈΠΌ ΠΈΠ· ΡΠΈΠΏΠΎΠ² ΡΠ²Π»ΡΠ΅ΡΡΡ ΠΏΠΎΠ»ΠΈΠΊΠΈΡΡΠΎΠ· ΠΏΠΎΡΠ΅ΠΊ (PKD). ΠΡΠΎ ΠΏΡΠΎΠΈΡΡ
ΠΎΠ΄ΠΈΡ Π² ΡΠ΅ΠΌΡΡΡ
. ΠΡΠΈ ΠΏΠΎΠ»ΠΈΠΊΠΈΡΡΠΎΠ·Π΅ ΠΏΠΎΡΠ΅ΠΊ Π² ΠΏΠΎΡΠΊΠ°Ρ
ΡΠ°ΡΡΠ΅Ρ ΠΌΠ½ΠΎΠ³ΠΎ ΠΊΠΈΡΡ. ΠΡΠΎ ΠΌΠΎΠΆΠ΅Ρ ΡΠ²Π΅Π»ΠΈΡΠΈΡΡ ΠΏΠΎΡΠΊΠΈ ΠΈ Π·Π°ΡΡΠ°Π²ΠΈΡΡ ΠΈΡ
ΡΠ°Π±ΠΎΡΠ°ΡΡ ΠΏΠ»ΠΎΡ
ΠΎ. ΠΠΊΠΎΠ»ΠΎ ΠΏΠΎΠ»ΠΎΠ²ΠΈΠ½Ρ Π»ΡΠ΄Π΅ΠΉ Ρ Π½Π°ΠΈΠ±ΠΎΠ»Π΅Π΅ ΡΠ°ΡΠΏΡΠΎΡΡΡΠ°Π½Π΅Π½Π½ΡΠΌ ΡΠΈΠΏΠΎΠΌ ΠΏΠΎΠ»ΠΈΠΊΠΈΡΡΠΎΠ·Π½ΡΡ
Π±ΠΎΠ»Π΅Π·Π½Π΅ΠΉ Π·Π°ΠΊΠ°Π½ΡΠΈΠ²Π°ΡΡΡΡ ΠΏΠΎΡΠ΅ΡΠ½ΠΎΠΉ Π½Π΅Π΄ΠΎΡΡΠ°ΡΠΎΡΠ½ΠΎΡΡΡΡ. PKD ΡΠ°ΠΊΠΆΠ΅ Π²ΡΠ·ΡΠ²Π°Π΅Ρ ΠΊΠΈΡΡΡ Π² Π΄ΡΡΠ³ΠΈΡ
ΡΠ°ΡΡΡΡ
ΡΠ΅Π»Π°, ΡΠ°ΠΊΠΈΡ
ΠΊΠ°ΠΊ ΠΏΠ΅ΡΠ΅Π½Ρ.
Π§Π°ΡΡΠΎ Π²Π½Π°ΡΠ°Π»Π΅ ΡΠΈΠΌΠΏΡΠΎΠΌΡ ΠΎΡΡΡΡΡΡΠ²ΡΡΡ. ΠΠΎΠ·ΠΆΠ΅ ΡΠΈΠΌΠΏΡΠΎΠΌΡ Π²ΠΊΠ»ΡΡΠ°ΡΡ:
- ΠΠΎΠ»Ρ Π² ΡΠΏΠΈΠ½Π΅ ΠΈ Π½ΠΈΠΆΠ½ΠΈΡ Π±ΠΎΠΊΠ°Ρ
- ΠΠΎΠ»ΠΎΠ²Π½ΡΠ΅ Π±ΠΎΠ»ΠΈ
- ΠΡΠΎΠ²Ρ Π² ΠΌΠΎΡΠ΅
ΠΡΠ°ΡΠΈ Π΄ΠΈΠ°Π³Π½ΠΎΡΡΠΈΡΡΡΡ ΠΏΠΎΠ»ΠΈΠΊΠΈΡΡΠΎΠ· ΠΏΠΎΡΠ΅ΠΊ Ρ ΠΏΠΎΠΌΠΎΡΡΡ ΠΌΠ΅ΡΠΎΠ΄ΠΎΠ² Π²ΠΈΠ·ΡΠ°Π»ΠΈΠ·Π°ΡΠΈΠΈ ΠΈ ΡΠ΅ΠΌΠ΅ΠΉΠ½ΠΎΠ³ΠΎ Π°Π½Π°ΠΌΠ½Π΅Π·Π°. ΠΠ΅ΠΊΠ°ΡΡΡΠ²Π° Π½Π΅Ρ. ΠΠ΅ΡΠ΅Π½ΠΈΠ΅ ΠΌΠΎΠΆΠ΅Ρ ΠΏΠΎΠΌΠΎΡΡ Ρ ΡΠΈΠΌΠΏΡΠΎΠΌΠ°ΠΌΠΈ ΠΈ ΠΎΡΠ»ΠΎΠΆΠ½Π΅Π½ΠΈΡΠΌΠΈ. ΠΠ½ΠΈ Π²ΠΊΠ»ΡΡΠ°ΡΡ Π»Π΅ΠΊΠ°ΡΡΡΠ²Π° ΠΈ ΠΈΠ·ΠΌΠ΅Π½Π΅Π½ΠΈΠ΅ ΠΎΠ±ΡΠ°Π·Π° ΠΆΠΈΠ·Π½ΠΈ, Π° ΠΏΡΠΈ ΠΏΠΎΡΠ΅ΡΠ½ΠΎΠΉ Π½Π΅Π΄ΠΎΡΡΠ°ΡΠΎΡΠ½ΠΎΡΡΠΈ β Π΄ΠΈΠ°Π»ΠΈΠ· ΠΈΠ»ΠΈ ΡΡΠ°Π½ΡΠΏΠ»Π°Π½ΡΠ°ΡΠΈΡ ΠΏΠΎΡΠΊΠΈ.
ΠΡΠΈΠΎΠ±ΡΠ΅ΡΠ΅Π½Π½Π°Ρ ΠΊΠΈΡΡΠΎΠ·Π½Π°Ρ Π±ΠΎΠ»Π΅Π·Π½Ρ ΠΏΠΎΡΠ΅ΠΊ (ACKD) Π²ΠΎΠ·Π½ΠΈΠΊΠ°Π΅Ρ Ρ Π»ΡΠ΄Π΅ΠΉ Ρ Ρ
ΡΠΎΠ½ΠΈΡΠ΅ΡΠΊΠΈΠΌ Π·Π°Π±ΠΎΠ»Π΅Π²Π°Π½ΠΈΠ΅ΠΌ ΠΏΠΎΡΠ΅ΠΊ, ΠΎΡΠΎΠ±Π΅Π½Π½ΠΎ Π΅ΡΠ»ΠΈ ΠΎΠ½ΠΈ Π½Π°Ρ
ΠΎΠ΄ΡΡΡΡ Π½Π° Π΄ΠΈΠ°Π»ΠΈΠ·Π΅.
Π ΠΎΡΠ»ΠΈΡΠΈΠ΅ ΠΎΡ ΠΏΠΎΠ»ΠΈΠΊΠΈΡΡΠΎΠ·Π½ΠΎΠΉ Π±ΠΎΠ»Π΅Π·Π½ΠΈ ΠΏΠΎΡΠΊΠΈ ΠΈΠΌΠ΅ΡΡ Π½ΠΎΡΠΌΠ°Π»ΡΠ½ΡΠΉ ΡΠ°Π·ΠΌΠ΅Ρ, Π° ΠΊΠΈΡΡΡ Π² Π΄ΡΡΠ³ΠΈΡ
ΡΠ°ΡΡΡΡ
ΡΠ΅Π»Π° Π½Π΅ ΠΎΠ±ΡΠ°Π·ΡΡΡΡΡ. ACKD ΡΠ°ΡΡΠΎ Π½Π΅ ΠΈΠΌΠ΅Π΅Ρ ΡΠΈΠΌΠΏΡΠΎΠΌΠΎΠ². ΠΠ±ΡΡΠ½ΠΎ ΠΊΠΈΡΡΡ Π±Π΅Π·Π²ΡΠ΅Π΄Π½Ρ ΠΈ Π½Π΅ ΡΡΠ΅Π±ΡΡΡ Π»Π΅ΡΠ΅Π½ΠΈΡ. ΠΡΠ»ΠΈ ΠΎΠ½ΠΈ Π²ΡΠ·ΡΠ²Π°ΡΡ ΠΎΡΠ»ΠΎΠΆΠ½Π΅Π½ΠΈΡ, Π»Π΅ΡΠ΅Π½ΠΈΠ΅ Π²ΠΊΠ»ΡΡΠ°Π΅Ρ Π»Π΅ΠΊΠ°ΡΡΡΠ²Π°, Π΄ΡΠ΅Π½ΠΈΡΠΎΠ²Π°Π½ΠΈΠ΅ ΠΊΠΈΡΡ ΠΈΠ»ΠΈ Ρ
ΠΈΡΡΡΠ³ΠΈΡΠ΅ΡΠΊΠΎΠ΅ Π²ΠΌΠ΅ΡΠ°ΡΠ΅Π»ΡΡΡΠ²ΠΎ.
NIH: ΠΠ°ΡΠΈΠΎΠ½Π°Π»ΡΠ½ΡΠΉ ΠΈΠ½ΡΡΠΈΡΡΡ Π΄ΠΈΠ°Π±Π΅ΡΠ°, Π±ΠΎΠ»Π΅Π·Π½Π΅ΠΉ ΠΎΡΠ³Π°Π½ΠΎΠ² ΠΏΠΈΡΠ΅Π²Π°ΡΠ΅Π½ΠΈΡ ΠΈ ΠΏΠΎΡΠ΅ΠΊ
- ΠΡΠΈΠΎΠ±ΡΠ΅ΡΠ΅Π½Π½Π°Ρ ΠΊΠΈΡΡΠΎΠ·Π½Π°Ρ Π±ΠΎΠ»Π΅Π·Π½Ρ ΠΏΠΎΡΠ΅ΠΊ (ΠΠ°ΡΠΈΠΎΠ½Π°Π»ΡΠ½ΡΠΉ ΠΈΠ½ΡΡΠΈΡΡΡ Π΄ΠΈΠ°Π±Π΅ΡΠ°, Π±ΠΎΠ»Π΅Π·Π½Π΅ΠΉ ΠΎΡΠ³Π°Π½ΠΎΠ² ΠΏΠΈΡΠ΅Π²Π°ΡΠ΅Π½ΠΈΡ ΠΈ ΠΏΠΎΡΠ΅ΠΊ)
- ΠΠΈΡΡΡ ΠΏΠΎΡΠ΅ΠΊ (ΠΠΌΠ΅ΡΠΈΠΊΠ°Π½ΡΠΊΠ°Ρ Π°ΠΊΠ°Π΄Π΅ΠΌΠΈΡ ΡΠ΅ΠΌΠ΅ΠΉΠ½ΡΡ Π²ΡΠ°ΡΠ΅ΠΉ) Π’Π°ΠΊΠΆΠ΅ Π½Π° ΠΡΠΏΠ°Π½ΡΠΊΠΈΠΉ
- ΠΠΎΠ»ΠΈΠΊΠΈΡΡΠΎΠ· ΠΏΠΎΡΠ΅ΠΊ (ΠΠ°ΡΠΈΠΎΠ½Π°Π»ΡΠ½ΡΠΉ ΠΈΠ½ΡΡΠΈΡΡΡ Π΄ΠΈΠ°Π±Π΅ΡΠ°, Π±ΠΎΠ»Π΅Π·Π½Π΅ΠΉ ΠΎΡΠ³Π°Π½ΠΎΠ² ΠΏΠΈΡΠ΅Π²Π°ΡΠ΅Π½ΠΈΡ ΠΈ ΠΏΠΎΡΠ΅ΠΊ)
- ΠΠΎΡΠ΅ΡΠ½ΡΠ΅ ΡΠ΅ΡΡΡ: ΡΠ΅ΠΌΠ° MedlinePlus Health (ΠΠ°ΡΠΈΠΎΠ½Π°Π»ΡΠ½Π°Ρ ΠΌΠ΅Π΄ΠΈΡΠΈΠ½ΡΠΊΠ°Ρ Π±ΠΈΠ±Π»ΠΈΠΎΡΠ΅ΠΊΠ°) Π’Π°ΠΊΠΆΠ΅ Π½Π° ΠΡΠΏΠ°Π½ΡΠΊΠΈΠΉ
- ΠΠΎΡΠ΅ΡΠ½ΡΠ΅ ΠΊΠΈΡΡΡ (ΠΠΌΠ΅ΡΠΈΠΊΠ°Π½ΡΠΊΠΈΠΉ ΠΊΠΎΠ»Π»Π΅Π΄ΠΆ ΡΠ°Π΄ΠΈΠΎΠ»ΠΎΠ³ΠΈΠΈ; Π Π°Π΄ΠΈΠΎΠ»ΠΎΠ³ΠΈΡΠ΅ΡΠΊΠΎΠ΅ ΠΎΠ±ΡΠ΅ΡΡΠ²ΠΎ Π‘Π΅Π²Π΅ΡΠ½ΠΎΠΉ ΠΠΌΠ΅ΡΠΈΠΊΠΈ) Π’Π°ΠΊΠΆΠ΅ Π½Π° ΠΡΠΏΠ°Π½ΡΠΊΠΈΠΉ
- ΠΠ΅Π΄ΡΠ»Π»ΡΡΠ½Π°Ρ Π³ΡΠ±ΡΠ°ΡΠ°Ρ ΠΏΠΎΡΠΊΠ° (ΠΠ°ΡΠΈΠΎΠ½Π°Π»ΡΠ½ΡΠΉ ΠΈΠ½ΡΠΎΡΠΌΠ°ΡΠΈΠΎΠ½Π½ΡΠΉ ΡΠ΅Π½ΡΡ ΠΏΠΎ ΠΏΠΎΡΠ΅ΡΠ½ΡΠΌ ΠΈ ΡΡΠΎΠ»ΠΎΠ³ΠΈΡΠ΅ΡΠΊΠΈΠΌ Π·Π°Π±ΠΎΠ»Π΅Π²Π°Π½ΠΈΡΠΌ)
- ΠΠΎΠ»ΠΈΠΊΠΈΡΡΠΎΠ· ΠΏΠΎΡΠ΅ΠΊ (PKD) (ΠΠΌΠ΅ΡΠΈΠΊΠ°Π½ΡΠΊΠ°Ρ Π°ΠΊΠ°Π΄Π΅ΠΌΠΈΡ ΡΠ΅ΠΌΠ΅ΠΉΠ½ΡΡ Π²ΡΠ°ΡΠ΅ΠΉ) Π’Π°ΠΊΠΆΠ΅ Π½Π° ΠΡΠΏΠ°Π½ΡΠΊΠΈΠΉ
- ΠΡΠΎΡΡΡΠ΅ ΠΊΠΈΡΡΡ ΠΏΠΎΡΠ΅ΠΊ (ΠΠ°ΡΠΈΠΎΠ½Π°Π»ΡΠ½ΡΠΉ ΠΈΠ½ΡΡΠΈΡΡΡ Π΄ΠΈΠ°Π±Π΅ΡΠ°, Π±ΠΎΠ»Π΅Π·Π½Π΅ΠΉ ΠΎΡΠ³Π°Π½ΠΎΠ² ΠΏΠΈΡΠ΅Π²Π°ΡΠ΅Π½ΠΈΡ ΠΈ ΠΏΠΎΡΠ΅ΠΊ) Π’Π°ΠΊΠΆΠ΅ Π½Π° ΠΡΠΏΠ°Π½ΡΠΊΠΈΠΉ
- Π‘ΡΠ°ΡΠΈΡΡΠΈΠΊΠ° Π·Π°Π±ΠΎΠ»Π΅Π²Π°Π½ΠΈΠΉ ΠΏΠΎΡΠ΅ΠΊ Π² Π‘Π¨Π (ΠΠ°ΡΠΈΠΎΠ½Π°Π»ΡΠ½ΡΠΉ ΠΈΠ½ΡΡΠΈΡΡΡ Π΄ΠΈΠ°Π±Π΅ΡΠ°, Π±ΠΎΠ»Π΅Π·Π½Π΅ΠΉ ΠΎΡΠ³Π°Π½ΠΎΠ² ΠΏΠΈΡΠ΅Π²Π°ΡΠ΅Π½ΠΈΡ ΠΈ ΠΏΠΎΡΠ΅ΠΊ)
- ClinicalTrials.
gov: ΠΠ°Π±ΠΎΠ»Π΅Π²Π°Π½ΠΈΡ ΠΏΠΎΡΠ΅ΠΊ, ΠΊΠΈΡΡΠΎΠ·Π½Π°Ρ
(ΠΠ°ΡΠΈΠΎΠ½Π°Π»ΡΠ½ΡΠ΅ ΠΈΠ½ΡΡΠΈΡΡΡΡ Π·Π΄ΠΎΡΠΎΠ²ΡΡ) - ClinicalTrials.gov: ΠΠΎΠ»ΠΈΠΊΠΈΡΡΠΎΠ· ΠΏΠΎΡΠ΅ΠΊ (ΠΠ°ΡΠΈΠΎΠ½Π°Π»ΡΠ½ΡΠ΅ ΠΈΠ½ΡΡΠΈΡΡΡΡ Π·Π΄ΠΎΡΠΎΠ²ΡΡ)
- Π‘ΡΠ°ΡΡΡ: ΠΠ°Π½Π΄ΡΠ°ΡΡ Π΄Π΅ΡΠΈΡΠΈΡΠ° HNF1B: ΡΠΈΠ½Π΄ΡΠΎΠΌ Π΅ΡΠ΅ Π½Π΅ ΠΏΠΎΠ»Π½ΠΎΡΡΡΡ ΠΈΠ·ΡΡΠ΅Π½.

- Π‘ΡΠ°ΡΡΡ: ΠΡΡΠ΅ΠΊΡΠΈΠ²Π½ΠΎΡΡΡ ΠΎΠ΄Π½ΠΎΠΊΡΠ°ΡΠ½ΠΎΠΉ ΡΠΊΠ»Π΅ΡΠΎΡΠ΅ΡΠ°ΠΏΠΈΠΈ 99,5% ΡΡΠ°Π½ΠΎΠ»ΠΎΠΌ ΠΏΡΠΈ ΡΠ»ΡΡΠ°ΠΉΠ½ΠΎ ΠΎΠ±Π½Π°ΡΡΠΆΠ΅Π½Π½ΠΎΠΉ ΠΏΡΠΎΡΡΠΎΠΉ ΠΏΠΎΡΠ΅ΡΠ½ΠΎΠΉ…
- Π‘ΡΠ°ΡΡΡ: ΠΠΎΠ»ΡΡΠ΅Π½ΠΈΠ΅ Π»ΠΈΠ½ΠΈΠΈ ΠΈΠΠ‘Π ΠΈΠ· ΡΠΈΠ±ΡΠΎΠ±Π»Π°ΡΡΠΎΠ² ΠΊΠΎΠΆΠΈ ΠΏΠ°ΡΠΈΠ΅Π½ΡΠ°.





ΠΠΎΡΠ»Π΅Π΄Π½ΠΈΠΉ Π²ΠΎΠ·Π½ΠΈΠΊΠ°Π΅Ρ Π²ΡΠ»Π΅Π΄ΡΡΠ²ΠΈΠ΅ Π½Π΅Π·Π½Π°ΡΠΈΡΠ΅Π»ΡΠ½ΡΡ
ΠΏΠΎ Π²ΡΡΠ°ΠΆΠ΅Π½Π½ΠΎΡΡΠΈ, Π½ΠΎ ΠΌΠ½ΠΎΠΆΠ΅ΡΡΠ²Π΅Π½Π½ΡΡ
ΠΏΠ°ΡΠΎΠ»ΠΎΠ³ΠΈΡΠ΅ΡΠΊΠΈΡ
ΠΏΡΠΎΡΠ΅ΡΡΠΎΠ², ΡΡΠΈΠ»ΠΈΠ²Π°ΡΡΠΈΡ
Π²Π»ΠΈΡΠ½ΠΈΠ΅ Π΄ΡΡΠ³ Π΄ΡΡΠ³Π°.
Π£Π»ΡΡΡΠ°Π·Π²ΡΠΊΠΎΠ²Π°Ρ Π΄ΠΎΠΏΠΏΠ»Π΅ΡΠΎΠ³ΡΠ°ΡΠΈΡ (Π£ΠΠΠ ΠΏΠΎΡΠ΅ΡΠ½ΡΡ
ΡΠΎΡΡΠ΄ΠΎΠ²) Π΄Π°Π΅Ρ Π²ΠΎΠ·ΠΌΠΎΠΆΠ½ΠΎΡΡΡ ΠΎΡΠ΅Π½ΠΈΡΡ Π²Π»ΠΈΡΠ½ΠΈΠ΅ ΠΊΠΈΡΡΡ Π½Π° ΠΊΡΠΎΠ²ΠΎΡΠ½Π°Π±ΠΆΠ΅Π½ΠΈΠ΅ ΠΏΠΎΡΠ΅ΠΊ.
Π£Π²Π΅Π»ΠΈΡΠ΅Π½ΠΈΠ΅ ΡΠ°Π·ΠΌΠ΅ΡΠΎΠ² ΠΊΠΈΡΡΡ ΠΌΠΎΠΆΠ΅Ρ ΠΏΡΠΎΠ²ΠΎΡΠΈΡΠΎΠ²Π°ΡΡ ΡΠΌΠ΅Π½ΡΡΠ΅Π½ΠΈΠ΅ ΠΎΠ±ΡΠ΅ΠΌΠ° ΡΡΡΠΎΡΠ½ΠΎΠ³ΠΎ Π΄ΠΈΡΡΠ΅Π·Π°, Π²ΠΎΠ·Π½ΠΈΠΊΠ½ΠΎΠ²Π΅Π½ΠΈΠ΅ Π½ΠΈΠΊΡΡΡΠΈΠΈ, ΠΏΠΎΡΠ²Π»Π΅Π½ΠΈΠ΅ Π² ΠΌΠΎΡΠ΅ ΠΏΡΠΈΠΌΠ΅ΡΠΈ ΠΊΡΠΎΠ²ΠΈ (Π³Π΅ΠΌΠ°ΡΡΡΠΈΡ) ΠΈ Π±Π΅Π»ΠΊΠ° (ΠΏΡΠΎΡΠ΅ΠΈΠ½ΡΡΠΈΡ).
ΠΠ΅ΡΠΎΠ΄ΠΈΠΊΠ° ΡΠΊΠ»Π΅ΡΠΎΡΠ΅ΡΠ°ΠΏΠΈΠΈ ΠΏΠΎΡΠ΅ΡΠ½ΠΎΠΉ ΠΊΠΈΡΡΡ ΡΠ²Π»ΡΠ΅ΡΡΡ ΠΌΠΎΠ΄ΠΈΡΠΈΠΊΠ°ΡΠΈΠ΅ΠΉ ΠΏΡΠ½ΠΊΡΠΈΠΎΠ½Π½ΠΎΠΉ Π°ΡΠΏΠΈΡΠ°ΡΠΈΠΈ. ΠΠΎΡΠ»Π΅ ΡΠ΄Π°Π»Π΅Π½ΠΈΡ ΠΆΠΈΠ΄ΠΊΠΎΠ³ΠΎ ΡΠΎΠ΄Π΅ΡΠΆΠΈΠΌΠΎΠ³ΠΎ Π² ΠΏΠΎΠ»ΠΎΡΡΡ ΠΏΡΠ·ΡΡΡ Π²Π²ΠΎΠ΄ΡΡ ΡΠ°ΡΡΠ²ΠΎΡ ΡΡΠΈΠ»ΠΎΠ²ΠΎΠ³ΠΎ ΡΠΏΠΈΡΡΠ° ΠΈΠ»ΠΈ ΠΉΠΎΠ΄ΠΈΡΡΡΡ
ΡΠΎΠ΅Π΄ΠΈΠ½Π΅Π½ΠΈΠΉ. ΠΠ΅Π΄ΠΈΠΊΠ°ΠΌΠ΅Π½ΡΡ ΡΠ°Π·Π΄ΡΠ°ΠΆΠ°ΡΡ Π²Π½ΡΡΡΠ΅Π½Π½ΡΡ ΠΏΠΎΠ²Π΅ΡΡ
Π½ΠΎΡΡΡ ΠΊΠΈΡΡΠΎΠ·Π½ΠΎΠΉ ΠΌΠ΅ΠΌΠ±ΡΠ°Π½Ρ ΠΈ Π°ΠΊΡΠΈΠ²ΠΈΡΡΡΡ ΠΏΡΠΎΡΠ΅ΡΡΡ ΡΠΊΠ»Π΅ΡΠΎΠ·ΠΈΡΠΎΠ²Π°Π½ΠΈΡ, ΡΡΠΎ ΠΏΠΎΠ·Π²ΠΎΠ»ΡΠ΅Ρ ΡΠΌΠ΅Π½ΡΡΠΈΡΡ ΡΠΈΡΠ»ΠΎ ΡΠ΅ΡΠΈΠ΄ΠΈΠ²ΠΎΠ².
gov: ΠΠ°Π±ΠΎΠ»Π΅Π²Π°Π½ΠΈΡ ΠΏΠΎΡΠ΅ΠΊ, ΠΊΠΈΡΡΠΎΠ·Π½Π°Ρ
(ΠΠ°ΡΠΈΠΎΠ½Π°Π»ΡΠ½ΡΠ΅ ΠΈΠ½ΡΡΠΈΡΡΡΡ Π·Π΄ΠΎΡΠΎΠ²ΡΡ)
