Внутридермальный папилломатозный меланоцитарный невус: Всё о невусах и способах их лечения на сайте клиники АО «Медицина»
Невус: виды, причины, симптомы, диагностика
Мало кто знает, но самый крупный орган у человека это кожа. На ее поверхности в течение жизни появляются и исчезают различные образования. Самыми распространенными считаются невусы. Среди обычных людей такие доброкачественные образования называются обычными родинками.
Что такое невусы
Собой они представляют образование, состоящее из меланоцитов. Поверхность родинки гладкая и окрашенная в темный цвет. На теле среднестатистического человека можно насчитать до 40 таких образований. Некоторые родинки есть на теле малыша сразу после рождения. Другие образовываются в течение взросления. Невусы могут менять свой внешний вид и окраску. Большинство изменений происходит в подростковом возрасте во время полового созревания. Также перерождения в невусе могут начаться при длительном нахождении человека под прямыми солнечными лучами. Ультрафиолетовое излучение в большом количестве негативно воздействует на кожу. По статистике, чем больше человек времени проводит на солнце, тем больше родинок на его теле.
Изменения касаются не только цвета, но и внешнего вида. Обычная родинка может стать дряблой и мягкой, или напротив перерасти в плотное и бесцветное образование. Выделяют большое количество различных видов невусов. Главная опасность таких образований при воздействии определенных факторов они могут переродиться в злокачественные. Особую опасность представляют сложные родинки, а также образования большого размера. Они должны постоянно контролироваться лечащим врачом, так получится предотвратить опасную трансформацию.
Разновидности невусов
Родинки имеются на теле каждого человека. Чаще всего они не несут никакой опасности. Если количество превышает 50 штук, желательно посетить врача. Такие пациенты находятся в зоне риска по развитию меланомы. Особо настораживать должны асимметричные образования с неровной поверхностью, которые имеют нестандартную окраску, больше 6 мм в диаметре, начали образовываться на теле уже во взрослом возрасте.
Врождённые
К категории относят образования, с которыми человек сразу появляется на свет.
Врожденные невусы различаются по форме, цвету и размеру. В некоторых случаях родинка может занимать большую часть тела ребенка. Такие новообразования вызывают опасения, так как часто перерождаются в раковые опухоли.
Обычные
Категория обычных родинок состоит из образований, которые имеют симметричную форму, однородный цвет и гладкую поверхность. Чаще всего окраска коричневая или розоватая. На поверхности отсутствуют посторонние вкрапления. Также такие родинки могут иметь форму купола.
Атипичные
Родинки с нестандартным размером и внешним видом. Их на теле немного, в разы меньше, чем обычных родинок. Главная опасность таких новообразований при определенных факторах они могут переродиться в меланому.
Еще одна особенность таких образований у них неравномерный цвет, края неровные, а сам невус асимметричный. Людям с атипичными родинками важно контролировать их количество на теле чем образований больше, тем выше риск меланомы. Требуется постоянное наблюдение со стороны лечащего врача и прохождение необходимых исследований.
Голубые
Новообразования подразделяются на две категории могут появляться на теле уже в утробе матери или развиваться при жизни человека. Свое название получили за счет голубоватой окраски. Но к данной категории также относят невусы, цвет которых варьируется от светло-серого до черного. Чаще всего образования характерных для кожи монголоидов, у других рас они развиваются в крайних случаях.
Невусы Мишера
Образования коричневого цвета или телесного оттенка.
Самое частое место появления родинок в области шеи и на лице. Поверхность твердая, куполообразная, но ровная, без посторонних включений. Часто на невусе растут волосы.
Невусы Унны
По внешнему виду похожи на родинки из предыдущего описания. К особенностям можно отнести внешний вид они напоминают малину. Цвет новообразования коричневый.
Невус Мейерсона
Определить проблему несложно вокруг такой родинки начинает развиваться и распространяться сыпь с красными папулами. У некоторых пациентов экзема в области не регистрируется. Еще одна особенность невусы Мейерсона преимущественно развиваются в мужчин в возрасте старше 30 лет. Женщины этой проблеме подвержены гораздо реже.
Невусы хало
Получили свое название за счет одноименного атмосферного явления.
Вокруг родинки начинает появляться и развиваться бледное белесое кольцо. До конца жизни такое образование не задерживается, даже если с ним ничего не делать. Сначала кольцо меняет свой цвет на розовый, а потом пропадает. В некоторых случаях вокруг новообразования на протяжении жизни пациента могут появляться новые хало.
Шпиц невусы
Родинки чуть приподняты над кожей и имеют куполообразную форму. Само образование розоватого оттенка, оно относится к приобретенным и появляется на коже у пациентов в молодом возрасте. Окраска может быть другой. Поверхность невуса часто повреждается и начинает кровоточить. В итоге такие родинки врачи часто путают со злокачественными, направляя пациента на гистологическое обследование.
Невусы Рида
Цвет у образований варьируется, они могут быть черные или темно-коричневые (ближе к черному оттенку).
Агминированные
Представляют собой сразу несколько родинок, которые сконцентрированы на небольшом участке кожи. Особенность образования все невусы не одинаковые между собой. Некоторые могут быть больше, некоторые меньше. Также среди плоских образований могут появляться куполообразные и пр.
Выше перечислены только основные виды родинок. На самом деле таких новообразований на коже огромное количество. Чтобы определить, к какому именно виду принадлежит та или иная родинка на теле у пациента, обратившегося за медицинской помощью, врачи проводят дерматоскопию.
Папилломатозный невус
На теле человека встречается большое количество новообразований. Не все они относятся к родинкам. Так, появляться могут бородавки, кондиломы, папилломы и прочие образования. При постановке окончательного диагноза вся сложность заключается в том, что перечисленные виды новообразований часто по внешнему виду ничем не отличаются от обычных невусов. Самым проблематичным принято считать папилломатозный невус. По внешнему виду он ничем не отличается от обычной папилломы, вызванной ВПЧ. Но при проведении исследований выявляется, что это бугристая родинка выпуклого типа. Родинка доброкачественная, риска перерождения в рак нет. Поверхность имеет телесный, буроватый или светло-коричневый оттенок. Темные родинки этого типа встречаются крайне редко.
Характерное чертой для таких родинок является наличие волос на поверхности. В основном они появляются на голове или шее, на других участках тела развиваться могут, но в очень крайних случаях.
Появление не привязано к определенному возрастному периоду.
Они развиваться и у подростков, и у стариков. Родинка растет со временем, иногда она увеличивается в размере настолько, что начинает доставлять дискомфорт носителю. Если невус расположен на голове, его легко повредить во время расчесывания волос. Это приводит к началу воспалительных процессов, которые затрагивают и близлежащие ткани.
Невус неопасен, его удаление в основном осуществляется только с косметической целью. Наибольшего дискомфорта людям доставляют родинки на лице, которые заметны всем окружающим. Перед тем, как решиться на процедуру иссечения новообразования, важно обратиться к дерматологу. Только после всех проведенных исследований будет установлен конкретный тип невуса, а также оценена вероятность перерождения проблемы. Самостоятельно определить, что именно у вас появилось на теле практически невозможно.
Показаниями к удалению также могут стать постоянные повреждения поверхности невуса. Чаще всего для борьбы с образованием применяется сразу несколько методик:
- Обработка участка лазером;
- Заморозка и последующее разрушение;
- Радиоволновое воздействие;
- С помощью электрического тока;
- Хирургическое вмешательство.

Если образование проявилось на лице, чаще всего выбирают именно лазерную терапию.
Внутридермальный невус
Разновидность обычных невусов, которые имеют куполообразную форму. Такие родинки редко появляются в детском возрасте, зато они крайне распространены у взрослого населения. На теле может одновременно появляться до десяти таких образований на теле. Свое название подобные новообразования получили за счет того, что находятся под верхним слоем эпидермиса. Часто такие родинки сложно заметить, они почти не выделяются над поверхностью тела, а их оттенок близок к окружающим тканям.
Невус может появиться практически на любом участке. Излюбленные места новообразования верхняя часть рук, веки, шея, лицо и пр. Максимальный размер родинок до 1 сантиметра. При появлении в детском возрасте невусы практически незаметны, но с возрастом они начинают темнеть, часто приобретают выпуклую форму.
Если родинка сохраняется и дальше, то после 70 лет она начнет постепенно обесцвечиваться.
Существует несколько причин, по которым могут образовываться внутридермальные невусы на теле человека:
- Наследственные факторы. Если на теле у родителей малыша насчитывается более 50 обычных родинок, то и у ребенка невусы будут носить множественных характер.
- Воздействие солнечных лучей. Ультрафиолетовое излучение негативно воздействует на кожу, вызывая ее повреждение. На месте часто появляются родинки. В зоне риска находятся люди со слишком светлой кожей.
- Снижение иммунитета. Чаще всего невусы начинают формироваться на фоне сниженного иммунитета, в том числе и после приема препаратов, подавляющих иммунитет.
Даже обычные родинки, которые имеют симметричный вид и не увеличиваются в размерах, важно постоянно контролировать. Устраивать проверки у дерматолога лучше не реже одного раза в год, так удастся выявить проблему на ранней стадии ее появления.
Дерматолог может назначить процедуру по иссечению родинки в случае, если она доставляет косметический дискомфорт носителю, если существует риск перерождения новообразования в меланому, если поверхность невуса постоянно повреждается в течение дня.
Эпидермальный невус
Как понятно из названия, к данной категории относят родинки, который образовываются из верхних клеток эпидермиса. В основном новообразования есть на теле ребенка уже после рождения, подавляющая часть таких невусов также появляется в первый год жизни малыша. Отличительная особенность новообразования оно остается неизменным по форме и размеру в течение всей жизни человека.
Эпидермальные невусы подразделяют на несколько видов в зависимости от клеток, которые входят в их состав.
Самыми непредсказуемыми принято считать образования, в состав которых входят не только кератиноциты, но и клетки потовых желез. Образования имеют желто-оранжевый оттенок, в 25% случаях они перерождаются в злокачественные опухоли.
Беспигментные родинки
Для большинства видов характерна окраска от светло-розового до черного оттенка. Существует несколько исключений из правил. Так, иногда невус может не иметь пигмента. Выявить такие родинки просто они представляют собой белесое или светловатое пятно с нечеткими границами и неправильной формой. Родинки без пигмента могут появляться только на теле европейцев.
Для родинок без пигмента характерен небольшой размер до 2 сантиметров. В основном показанием к удалению становится только косметическая сторона вопроса. Если человек часто загорает, невус так и остается светлого цвета, в итоге очень выделяется на коже и привлекает к себе внимание.
Пограничный невус
Свое название образования получили за счет того, что часто перерастают в злокачественные образования. Важно постоянно контролировать такие родинки и обращаться к дерматологу при обнаружении любых изменений.
Такие родинки скрыты под роговым слоем кожи, они имеют однородную коричневую окраску, четкие границы. Вызвать опасения у пациента и спровоцировать обращение к дерматологу должны следующие факторы:
- родинка начинает увеличиваться в размере;
- меняет свой цвет темнеет или светлеет;
- вокруг прилегающей зоны начали появляться пигментные пятна разного вида;
- родинка стала плотной, выделяющейся над поверхностью кожи;
- появилась болезненность в родинке, поверхность сильно чешется.
Как поступить с огромными невусами
Подавляющее количество невусов небольшие образования на коже диаметров несколько миллиметров, которые практически незаметны невооруженным взглядом.
Исключения составляют образования, которые в диаметре превышают 20 сантиметров. Их относят к категории огромных. Родинка может покрывать большую часть руки, ноги, спины и пр. Такие родинки могут появляться на теле представителей любой расы. Развиваются они практически у 2% населения нашей планеты. Главная опасность невусов большого размера: они часто перерождаются в злокачественные. Крайне нестабильными принято считать образования, которые появляются в районе позвоночного столба. Вызвать опасения должны родинки, которые продолжают быстро увеличиваться в размерах, а также менять свой цвет.
Самые неприятные огромные невусы на теле у новорожденных детей. Так как ребенок со временем растет, родителям кажется, что родинка уменьшается в размере, на деле она продолжает также расти, чуть не успевая за всем телом.
В 30% случаев такие невусы становятся меланомой.
Они должны быть под контролем у врача. Перерождение может наступить абсолютно в любом возрасте. Показано удаление гигантских невусов. Чаще всего используется метод хирургического иссечения. Если родинка расположена в труднодоступном месте, пациенту могут быть предложены альтернативные методики лечения. Удаление возможно в том числе и с помощью лазерной терапии.
Невусы на голове
Такие образования чаще всего удаляют именно из-за косметических причин. Если родинка находится на поверхности тела, какой бы размер она не имела, ее практически всегда можно скрыть под одеждой. Невусы на голове невозможно скрыть. Некоторые пациенты считают, что родинка подчеркивает их индивидуальность, другие уверены в том, что такое образование только портит их красоту. В итоге пациенты часто обращаются за удалением даже тех невусов, которые никогда не станут злокачественными.
Часто удаляют не только родинки на голове, но и новообразования на шее.
Главная опасность таких родинок они часто трутся о поверхность одежды, в итоге повреждаются, что увеличивает риск перерождения. На голове невусы также возникают в районе волос. Они практически незаметны невооруженным вглядом, часто прощупываются пациентом при мытье головы и других процедурах. Главная опасность новообразований их легко повредить во время банального расчесывания волос. На голове в области волосяного покрова также часто появляются невусы, включающие в себя клетки сальных желез. Для них характерна форма бородавки с отсутствие на поверхности волос, а также неправильная форма. Вызвать появление могут вирусы папилломы человека, а также наследственные факторы.
Большинство родинок на голове появляется при рождении ребенка. Образование осматривают, делают исследования, чтобы поставить окончательный диагноз. В детском возрасте новообразования удаляются редко, так как они не подвержены перерождению в этот период. Оно наступает чаще всего во время полового созревания. Метод удаления выбирается в зависимости от размеров образования.
Если невус небольшой, от него можно избавиться с помощью лазерной терапии, для борьбы с крупными образованиями потребуется хирургическое вмешательство.
Важно помнить о том, что на данный момент не существует волшебной таблетки, которая смогла бы убрать с кожи человека все опасные родинки, которые могут стать злокачественными. Важно следить за состоянием невусов и обращать внимания на любые изменения.
Родинки успешно удаляются. Все зависит от размера, квалификации медицинского специалиста, а также места расположения невуса.
Удаление невусов в «Лазер Плюс»
Родинки давно перестали считаться серьезной проблемой. Такие образования на коже легко убираются в косметологических салонах. Стоимость процедуры невысокая. Важно помнить о том, что гарантировать хороший результат при удалении вам смогут только в оборудованной клинике с квалифицированным персоналом.
Перед началом вмешательства важно провести комплексную диагностику родинки. Просто посмотреть образование на коже и поставить диагноз невозможно.
Существует большое количество невусов, которые схожи между собой по внешнему виду, но имеют абсолютно разное строение.
Сотрудничество с нашей клиникой имеет следующие преимущества:
- Высокая скорость удаления. В среднем борьба с одной родинкой занимает не более двух минут. За одну процедуру можно удалить сразу несколько родинок.
- Отсутствие боли. Лазер воздействует на поверхность кожи ограниченное время, после этого участок охлаждается. Пациент не успевает ничего почувствовать. Если требуется обработать большую зону, применяются обезболивающие препараты.
- Безопасность. На месте удаленного невуса практически сразу появляется корочка. Она закрывает участок и предотвращает вероятность инфицирования.
- Не остается следов на месте удаления. Кожа в зоне со временем полностью восстанавливается, не появляется шрамов и других дефектов.
Удаление пигментных невусов с гистологическим исследованием в поликлинике Литфонда
- Галерея
- Новости
- Блог
- Отзывы
- Вакансии
- Лицензии
- Страховые партнеры
- Контролирующие организации
- График приема граждан по личным обращениям
- Что надо знать о коронавирусной инфекции?
- Правила для пациентов
- Онлайн-консультация врача
- Корпоративным клиентам
- Документы
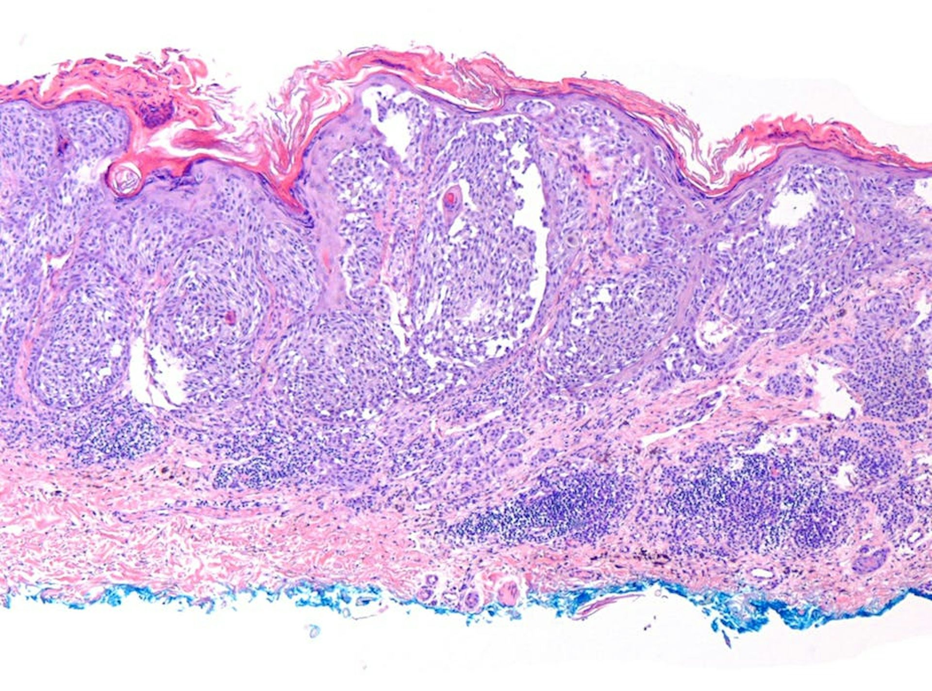
Диспластические невусы в настоящее время привлекают внимание исследователей в связи с их возможной трансформацией в меланому.
Диспластические невусы могут быть множественными и единичными, наследственными и спорадическими.
В 1978 году Кларк с соавторами впервые описали множественные наследственные невусы, являющиеся предшественниками меланомы и обозначили эту ситуацию как «В-К моль синдром». Гистологически эти образования, которые в дальнейшем стали называться диспластическими невусами, представляли собой атипическую меланоцитарную гиперплазию, лимфоидную инфильтрацию, нежную фиброплазию и новообразованные кровеносные сосуды.
В 1980 году Элдер с соавтрами описали подобные невусы у больных ненаследственной меланомой и показали, что диспластический невусный синдром, как и наследственный «В-К-моль синдром» является фактором риска развития меланомы кожи.
При гистологическом исследовании диспластических невусов авторы обнаружили 2 типа нарушения роста внутриэпидермальных меланоцитов, наиболее частый тип – лентигинозная меланоцитарная дисплазия (ЛМД) – наблюдался во всех диспластических образованиях и напоминал изменения, происходящие в lentigo simplex.
Второй тип нарушения роста – эпителиоидно-клеточная меланоцитарная дисплазия – был найден в 2х образованиях в дополнение к лентигинозной меланоцитарной дисплазии и напоминал классическую поверхностно-распространяющуюся меланому.
В 1982 году профессор МНИОИ им. П.А.Герцена З.В. Гольберт впервые выделила 3 степени развития лентигинозной меланоцитарной дисплазии (ЛМД). При 1 степени отмечалось увеличение числа меланоцитов в базальном слое эпидермиса и некоторая их атипия. При 2 степени имелись более выраженная пролиферация меланоцитов, местами полностью замещающих базальный ряд кератиноцитов, и нарастание признаков их анаплазии. 3-я степень ЛМД, при которой имеется тенденция к врастанию меланоцитов в выше расположенные слои эпидермиса и вглубь, в сосочковый слой дермы, приближается к картине меланомы in-situ.
Возможное развитие меланомы на фоне невуса отмечали многие авторы. Н.Н. Трапезников в своей монографии 1976 года приводит данные зарубежных авторов, которые в 1971 – 1973 годах отмечали в пограничных невусах скопления патологически измененных меланоцитов.
Н.Н. Трапезников с соавторами также полагали, что пограничные невусы могут озлокачествляться, в связи с чем требуют наблюдения. Однако авторы отнесли к признакам озлокачествления невуса такие симптомы, как мокнутье, кровоточивость. Эти признаки характерны не для невуса, а для уже развившейся меланомы в фазе горизонтального роста. Авторы явно недооценили открытия Кларком в 1969 году поверхностно-распространяющейся меланомы, которая проходит длительную фазу горизонтального роста под маской невуса. Экзофитный рост образования, который авторы считают признаком озлокачествления невуса и связывают его с травмой – свидетельствует о переходе уже развившейся меланомы из горизонтальной фазы роста в вертикальную.
Основным фактором прогноза меланомы в настоящее время считается толщина опухоли, определяемая в миллиметрах при гистологическом исследовании. Хороший прогноз относится к опухолям толщиной 1 мм и менее. Такая опухоль называется «тонкой меланомой» и клинически выглядят как гладкое пигментное пятно, или слегка возвышающееся пигментное образование.
Экзофитный рост свидетельствует о том, что толщина опухоли увеличивается и обозначает плохой прогноз.
Диспластические невусы могут быть малыми – до 0,3 см, средними 0,4 – 0,8 см и крупными 0,9 – 1,5 см, они представляют собой пигментные пятна или слегка возвышающиеся образования рыжеватого или коричневого цвета. В отличие от обычных (пограничных) невусов, которые обнаруживаются у детей, диспластические невусы появляются в подростковом возрасте и в дальнейшей жизни до глубокой старости. Наши наблюдения показали, что диспластические невусы могут быть как лентигинозными, так и смешанными, но во внутридермальные они не превращаются и не фиброзируются, как это происходит с пограничными невусами у детей.
Диспластические невусы являются доброкачественными образованиями, они длительно существуют без каких-либо изменений или регрессируют, однако в отдельных случаях могут прогрессировать с переходом в меланому. О прогрессировании диспластического невуса (дисплазия 2 – 3 степени) могут свидетельствовать:
- неправильная форма,
- волнистые или фестончатые края,
- неоднородная окраска коричневых или черных тонов.

Диспластические невусы с дисплазией 1 степени клинически имеют правильную форму, равномерную окраску, ровные края. Однако основным признаком прогрессирующего диспластического невуса, как показали наши наблюдения, является изменение размеров, окраски или конфигурации невуса за последние 6-12 месяцев или 1-10 лет. Быстрый (в течение 6 – 12 месяцев) рост невуса, появившегося на здоровой коже после наступления полового созревания, является важным признаком прогрессирования, поэтому подобные невусы необходимо подвергать эксцизионной биопсии даже при отсутствии других клинических признаков. Должно настораживать появление синюшных или розоватых тонов в окраске невуса, которое может свидетельствовать о переходе невуса в меланому.
Клинически отличить прогрессирующий диспластический невус от меланомы in-situ не представляется возможным, так как озлокачествление происходит на клеточном уровне. Диагноз устанавливается только при гистологическом исследовании, при этом требуется высокая квалификация патоморфолога.
В Центральной поликлинике Литфонда мы в амбулаторных условиях с 2009 года производим иссечение (эксцизионную биопсию) диспластических невусов в целях профилактики меланомы. Эксцизионной биопсии подлежат малые и средние диспластические невусы с признаками прогрессирования. Пациентов с крупными прогрессирующими диспластическими невусами мы направляем в онкологический стационар, так как в этих случаях нельзя исключить поверхностно-распространяющуюся меланому в фазе горизонтального роста. При гистологическом исследовании этих образований, удаленных в онкологических стационарах обнаруживалась меланома, однако в двух случаях был установлен диагноз – пигментный невус. Приводим эти наблюдения.
Пациентка К. 63 лет обратилась в Центральную поликлинику Литфонда 06.11.15 по поводу пигментного пятна в области спины, которое заметила 5 лет назад, в последние 6 месяцев отмечает зуд в области пятна. При осмотре: в левой лопаточной области имеется пигментное пятно 2,0 х 1,8 см, неправильной формы, неоднородной окраски коричневых и темно-коричневых тонов, с участками синюшно-розового цвета у верхнего-наружного края.
Пятно имеет неровные, « фестончатые» края (фото 1 и 2). Подмышечные лимфатичекие узлы не увеличены. Пациентка направлена к онкологу по месту жительств с подозрением на меланому. В Онкологическом диспансере №4 произведен соскоб образования для цитологического исследования, получены клетки меланомы. Больная направлена в Городскую клиническую больницу №5 для хирургического лечения. Осмотр в стационаре: на коже левой лопаточной области имеется образование 2,0 х 2,0 см, черно-коричневого цвета, с неровной поверхностью и неровными фестончатыми краями, без экзофитного компонента, с небольшой корочкой.
25.11.15 произведено иссечение образования, отступя от видимых границ 2,0 см. Гистологическое исследование №82986: в зоне пятна, в центре кожного лоскута картина эпителиоидной меланоцитарной дисплазии атипического характера, в одном из участков крайне подозрительная по переходу в меланому. Пациентка выписана из стационара с диагнозом «Пигментный невус кожи левой лопаточной области».
Гистологический препарат был консультирован в МНИОИ им. П.А.Герцена к.м.н. Ягубовой Э.А., заключение: эпителиоидно-клеточная пигментная неизъязвленная лентиго-меланома in-situ на фоне смешанного диспластического невуса, с умеренной лимфоидно-плазмоклеточной инфильтрацией в основе. Удалено в пределах здоровых тканей.
В приведенном наблюдении у больной имелась яркая клиническая картина прогрессирующего диспластического невуса: неправильная форма, неровные «фестончатые» края, неоднородная окраска, возникновение пятна на здоровой коже 5 лет назад и дальнейший его рост. В связи с наличием участков розовато-синюшной окраски была заподозрена меланома кожи. При соскобе образования в Онкологическом диспансере №4, вероятно, именно на участке розовато-синюшной окраски были выявлены клетки меланомы. Однако, следует отметить, что мы встречали меланому in-situ при наличии пигментного пятна с относительно равномерной окраской. Несмотря на выявленную при гистологисеком исследовании внутриэпидермальную дисплазию меланоцитов, патоморфологом стационара не было дано заключение о наличии диспластического невуса, хотя для клинициста важно получить такую информацию.
Меланоцитарная дисплазия 2 – 3 степени свидетельствует о высоком риске развития меланомы у данного больного. Следует отметить, что в последнее время некоторые зарубежные авторы также стали выделять 3 степени дисплазии меланоцитов: легкую, умеренную и тяжелую.
Данное наблюдение показало, что диагноз «меланома in-situ» вызывает затруднения у отечественных патоморфологов. Этим можно объяснить тот факт, что меланома in-situ в РФ диагностируется крайне редко, в то время как в США и Австралии – очень часто. По данным John W. Kelly, в Австралии за период с 1996 по 2000 год было выявлено 5117 меланом, при этом меланома in-situ установлена в 1711 случаях (33,4%). В 2007 году в США было зарегистрировано 59940 случаев инвазивной меланомы и 48290 случаев меланомы in-situ.
Приводим еще одно наблюдение, где при наличии типичной картины прогрессирующего диспластического невуса диагноз морфологически подтвержден не был. Больной П. 50-ти лет обратился к онкологу в Центральную поликлинику Литфонда 03.
04.15 по поводу пигментного образования кожи спины, которое заметил 3 года назад. При осмотре: в левой лопаточной области имеется пятно черного цвета, 1,2 х 0,9 см, неправильной формы, с неровными краями, в центре – небольшое возвышение 0,2 см светло-коричневого цвета (фото 3). Пациент был направлен в Онкологическую больницу № 40 с подозрением на меланому. 13.04.15 произведено широкое иссечение образования. Гистологическое исследование – пограничный пигментный невус.
Учитывая клиническую картину, характерную для прогрессирующего диспластического невуса, мы, несмотря на отсутствие морфологического подтверждения, сообщили больному, что у него высокий риск развития меланомы. Через 1,5 года, 30.12.16. пациент сам обратился к онкологу в Центральную поликлинику Литфонда с жалобами на появление 1,5 месяца назад пигментного пятна на туловище. При осмотре – на спине слева, по задне-подмышечной линии имеется пятно 0,4 х 0,3 см, темно-коричневого, почти черного цвета. В Центральной поликлинике Литфонда 17.
01.17. произведена эксцизионная биопсия образования, отступая от границ 0,5 см. Гистологическое исследование, проведенное в МНИОИ им. ПА.Герцена (Ягубова Э.А.) выявило смешанный пигментный невус с тяжелой (3 степени) меланоцитарной ленигинозной дисплазией, удаленный в пределах здоровых тканей. В основе – выраженная лимфоидно-плазмоклеточная инфильтрация.
Приведенные наблюдения показывают, что для своевременного выявления прогрессирующих диспластичеких невусов и меланомы in-situ необходимо повышать квалификацию отечественных патоморфологов. Считаем целесообразным организовать курсы повышения квалификации патоморфологов на базе МНИОИ им П.А.Герцена, это будет способствовать своевременному выявлению меланомы in-situ и снижению смертности от этой опасной опухоли кожи.
Сведения об авторах
- О.А.Романова – к.м.н., врач-онколог ЗАО «Центральная поликлиника Литфонда»
- Н.Г. Артемьева – к.м.н., зав. хирургическим отделением ЗАО «Центральная поликлиника Литфонда»
- Солохина М.
Г. – врач-онколог ЗАО «Центральная поликлиника Литфонда»
Романова Ольга Александровна
Врач онколог-маммолог Опыт работы: 63 лет
Безлепко Марина Геннадьевна
Врач-онколог Опыт работы: 13 лет
Фамилия имя и отчество полностью: *
Номер пропуска или медкарты:
Контактный телефон: *
Выберите день приема:
Дополнительная информация:
Я не робот
Нажимая кнопку «Отправить заявку» вы соглашаетесь с условиями Политики конфиденциальности и Пользовательского соглашения
Папилломатозный невус — причины, симптомы, диагностика и лечение
Папилломатозный невус — выступающая над поверхностью кожи бугристая родинка, своим внешним видом напоминающая папиллому.
Часто располагается на волосистой части головы, но может иметь и другое местоположение. Диагностика невуса осуществляется при помощи дерматоскопии, сиаскопии, в некоторых случаях может потребоваться биопсия. Показанием к удалению папилломатозного невуса является его частая травматизация, воспаление или желание пациента избавиться от невуса как от косметического дефекта. Удаление проводится путем криодеструкции, оперативного иссечения, электрокоагуляции, с применением радионожа или лазерного аппарата.
Общие сведения
Папилломатозный невус относится к доброкачественным новообразованиям кожи. Он может быть врожденным и возникать в течение жизни. Папилломатозный невус, как и фиброэпителиальный невус, невус Сеттона, монгольское пятно, внутридермальный пигментный невус, является меланомонеопасным образованием и вероятность его трансформации в меланому практически равна нулю.
Папилломатозный невус
Проявления папилломатозного невуса
Папилломатозный невус имеет неправильные очертания и бугристую, выступающую над общим уровнем кожи, поверхность.
Он может быть цвета неизмененной кожи или пигментированным с коричневым или бурым оттенком. Изредка встречаются папилломатозные невусы черного цвета. Часто папилломатозный невус пронизан пигментированным волосом, что делает его схожим с фиброэпителиальным невусом. Папилломатозные невусы могут быть множественными и единичными. Наиболее часто они локализуются на волосистой части головы, на лице и шеи, но могут располагаться на любом участке кожного покрова.
Характерным для папилломатозного невуса является медленное постепенное увеличение в размерах. Появляясь с рождения или в любой период жизни человека, такой невус в начале незаметен. Но по мере роста он начинает доставлять неудобства своему хозяину. Располагаясь на голове, в зоне роста волос, невус подвергается частому травмированию при расчесывании. В результате может возникнуть его воспаление, проявляющееся болезненностью и покраснением в области невуса.
Типичная локализация на голове и шеи, достаточно большие размеры, рост из невуса пигментированного волоса делают папилломатозный невус серьезным косметическим дефектом, который доставляет пациенту значительный психологический дискомфорт.
У подростков и лиц с лабильной нервной системой такая ситуация может стать причиной развития депрессии, нарушения сна, неврастении.
Диагностика папилломатозного невуса
Даже если родинка не вызывает у пациента никаких неприятных ощущений, ее следует показать дерматологу. Точная диагностика вида новообразования необходима для исключения меланомы и меланомоопасных невусов, определения адекватной лечебной тактики.
В большинстве случаев опытный дерматолог на основании осмотра образования и дерматоскопии сможет установить диагноз папилломатозного невуса и дифференцировать его от папилломы, веррукозного невуса, меланомы, пигментного пограничного невуса, фиброэпителиального невуса, нитевидной бородавки. В диагностике пигментированного невуса дополнительно может применять сиаскопическое исследование. В затруднительных случаях проводится биопсия образования. Малейшие сомнения в диагнозе являются поводом для консультации дерматоонколога с целью исключения меланомы.
Лечение папилломатозного невуса
Постоянная травматизация невуса, психологический дискомфорт и появление воспалительных изменений являются показанием для его удаления. В тех случаях, когда в ходе диагностики не удалось на 100% исключить меланому, дерматология рекомендует удаление невуса с обязательным гистологическим изучением удаленного образования. Удаление папилломатозного невуса может проводится лазером, криодеструкцией, радиоволновым методом, электрокоагуляцией или при помощи хирургического иссечения. Применение любого из этих методов обычно проводится под местным обезболиванием.
В отношении папилломатозных невусов, расположенных на лице и шеи, часто применяется удаление родинки лазером. Этот метод, при правильном уходе за ранкой после удаления, имеет наилучший косметический эффект. Однако он не подходит для сомнительных в диагностическом плане случаев, так как обычно не оставляет возможности для гистологического исследования удаленных тканей.
Применение криодеструкции папилломатозного невуса оправдано при его расположении на волосистой части головы или скрытых одеждой частях тела. Данный метод удаления может применяться только опытным врачом, поскольку слишком глубокое воздействие жидким азотом приводит к холодовому ожогу тканей и образованию рубца. Гистологическое исследование удаленного образования невозможно.
Хороший результат дает удаление папилломатозного невуса радиоволновым методом. После операции ткани заживают путем безрубцовой эпителизации, что гарантирует отличный косметический результат. При этом удаленный материал без проблем может быть отправлен на гистологию.
Электрокоагуляция невуса, хотя и дает возможность его точной гистологической верификации, применяется редко из-за формирования на месте удаления заметного рубца. Папилломатозный невус большого размера является показанием для хирургического иссечения. Наложение косметических швов после операции гарантирует минимальный косметический дефект.
фото, симптомы, причины, диагностика и лечение
Невус – доброкачественное кожное новообразование, состоящее из пигментированных клеток. Может быть врожденным либо появляться в течение жизни. Выглядит как пятно или выпуклая горошина. Цвет варьируется от телесного до темно-коричневого. При воздействии ультрафиолета и других неблагоприятных условий может перерождаться в злокачественную опухоль.
Если говорить простым языком, невус – это родинка. Такие образования есть у каждого человека и зачастую никак себя не проявляют. Но иногда их нужно удалять – если они портят внешность, либо есть риск перерождения в рак.
В клинике Биляка легко и безболезненно удаляют любые кожные новообразования. Наши доктора подбирают метод удаления индивидуально для каждого пациента. Они убирают родинку, не оставляя на коже следов.
Причины появленияНевус кожи может быть врожденным и приобретенным. Первые закладываются в процессе внутриутробного развития. Нарушается процесс миграции пигментных клеток, в итоге они скапливаются в коже.
Ребенок может родиться уже с невусами, либо же они проявляются в первые месяцы жизни. Обычно врожденные родинки передаются по наследству – если у родителей их много, то и у ребенка тоже будут.
Приобретенный невус на коже появляется при:
- Гормональных сдвигах – во время полового созревания, беременности, возрастной перестройки организма. Эндокринные патологии могут вызывать активный рост родинок, изменение их формы.
- Воздействии ультрафиолета – у людей, которые любят загорать на солнце или в солярии, возникает инсоляция кожи, из-за чего активно вырабатывается меланин. Это провоцирует образование родинок.
- Рентгеновском и радиационном излучении – под влиянием активных частиц пигментированные клетки перемещаются к эпидермису, образуя дермальный невус.
- Частых кожных инфекциях – сыпь, раздражение, прыщи вызывают воспалительные изменения в тканях.
Новообразования данного типа классифицируют по нескольким параметрам.
По локализации:
- Интрадермальный невус – это скопление пигментных клеток, сформированное в глубоких слоях дермы. Такой тип встречается наиболее часто. Он возвышается над кожей и по форме напоминает купол, иногда имеет сверху волосяной покров. Может располагаться как на широком основании, так и на ножке. Этот вид новообразований также называется внутридермальный невус. Обычно он доброкачественный, но легко может травмироваться. Из-за этого возможно перерождение в раковую опухоль.
- Эпидермальный невус – скопление клеток в верхнем кожном слое (эпидермисе). Эти образования чаще всего плоские, но могут немного возвышаться над поверхностью кожи. Как правило, опасности они не представляют.
- Смешанный – пигментные клетки скапливаются на границе дермы и эпидермиса. Чаще всего это плоские коричневые пятна, не возвышающиеся над кожей.
По размерам:
- мелкие – до 1,5 мм в диаметре;
- средние – диаметром 1,5-10 мм;
- крупные – свыше 10 мм;
- гигантские – занимают обширный участок тела.

Распознать родинки можно по внешнему виду. Он отличается зависимо от ее типа. Например, интрадермальный невус обычно имеет форму горошины, возвышающейся над кожным покровом. Он может врастать в кожу, либо располагаться на ножке. Цвет варьируется от телесного до черного.
Линейный эпидермальный невус выглядит как точка или пятно, цвет колеблется от коричневого до черного. Обычно он находится на одном уровне с кожным покровом, но иногда может над ним возвышаться.
Обычно эти новообразования не доставляют дискомфорта и не проявляют никакой симптоматики, кроме визуальной. Но иногда их можно случайно травмировать, натереть одеждой, повредить острыми предметами. В этом случае они могут болеть и кровоточить, мешать человеку.
Чаще всего встречается невус на голове, шее и других открытых участках тела. Нередко они образуются на спине, груди и конечностях. Также могут локализоваться на слизистых оболочках.
Возможные осложненияВ большинстве случаев эти кожные образования безобидны.
Но под влиянием солнечных лучей они могут перерождаться в злокачественную опухоль – меланому. Наиболее всего этому риску подвержен внутридермальный меланоцитарный невус.
Чтобы понять, насколько опасно образование, нужно обратиться к дерматологу. Он проведет дерматоскопию – осмотр специальным прибором с многократным увеличением. При этом оценивается цвет, равномерность краев, форма, размер. На основании этих данных врач высчитывает дерматологический индекс опухоли.
Проходить такое обследование рекомендуется каждый год. Это позволяет изучить их в динамике. Доктор составляет карту родинок и отмечает, есть ли изменения формы, размера, цвета.
Если на поверхности родинки есть трещины и кровоточивость, берется мазок. Его отправляют на гистологическое исследование и тщательно осматривают с помощью микроскопа. Это позволяет понять, есть ли перерождение в злокачественный процесс.
ЛечениеЧаще всего эпидермальный и внутридермальный невус кожи не нуждается в лечении.
Если он не беспокоит человека, его лучше не трогать. Некоторое люди сами хотят их убрать по косметическим показаниям. Но с этим нужно быть аккуратнее. Перед удалением стоит проконсультироваться с врачом.
Сегодня используются щадящие косметические методы, позволяющие убрать невус без боли и следа. К ним относят криотерапию, лазерную деструкцию, электрокоагуляцию. Но самым надежным до сих пор остается хирургическое иссечение. Оно позволяет безопасно убрать внутридермальный пигментный невус без риска злокачественного процесса. Также к этому методу прибегают, если есть подозрение меланомы.
Особенности лечения в клиникеХирурги Клиники Биляка применяют щадящие методы иссечения кожных новообразований. Это позволяет провести операцию максимально аккуратно, не оставив следа. Прежде чем назначить вам лечение, наши доктора проведут тщательное обследование. Это поможет понять, можно ли вам удалять невус, или лучше его не трогать. Если обнаружится риск перерождения в рак, хирурги удалят внутридермальный невус кожи, а затем отправят удаленные ткани на гистологию.
Чтобы проконсультироваться по поводу подозрительной родинки, запишитесь на прием прямо сейчас!
Часто задаваемые вопросы
Сколько стоит лечение в Клинике Биляка?
Стоимость всех операций можно узнать на специальной странице сайта
Что входит в стоимость операции?
В стоимость операции в Клинике Биляка входит полное обеспечение пациента, а именно:
— хирургическое и медикаментозное обеспечение
— питание и проживание
— круглосуточное наблюдение медицинского персонала
— перевязки и все медсестринские манипуляции
Кто в Клинике Биляка проводит операции и лечит заболевания?
Операции в Клинике Биляка проводит кандидат медицинских наук, главный врач, врач высшей категории — Биляк Степан Степанович
Со всеми врачами и медицинским персоналом можно ознакомиться на странице врачей
Невусы Подробнее | Криодеструкция рака
ОПАСНЫЕ НЕВУСЫ
Какие родинки опасны ?
В науке доброкачественные новообразования кожи с пороком развития меланинообразующих элементов принято назвать меланоцитарными невусами.
Многие из них способны трансформироваться в злокачественную опухоль, а значит такие родинки опасны и требуют особой онкологической настороженности.
Давайте рассмотрим меланоцитарные невусы поподробней:
I. Меланоцитарные невусы эпидермального меланоцитарного происхождения
II. Меланоцитарные невусы дермального меланоцитарного происхождения
III. Меланоцитарные невусы дермального и эпидермального происхождения (смешанный тип)
IV. Меланоцитарные невусы (предшественники меланомы)
I. Меланоцитарные невусы эпидермального меланоцитарного происхождения могут быть как врожденными, так и приобретенными. Это доброкачественные пигментные образования,
как правило, равномерно окрашенные, с гладкой поверхностью и правильными очертаниями. Однако любые изменения таких невусов требуют онкологического наблюдения.
Существуют следующие типы эпидермальных меланоцитарных невусов:
1.
Пограничный невус / пигментный невус (юнкциональный)
Это плоский узелок коричневого или черного цвета (в зависимости от количества меланина в клетках), округлой или овальной формы, равномерно окрашенный; имеет гладкую, сухую поверхность, четкие очертания, с размерами от 1 до 10 мм.
Более крупные (до 40-50 мм) внутриэпидермальные родинки встречаются редко. Чаще всего они располагается одиночно, а не в группе. Это врожденные новообразования, также они могут проявляться в юном и подростковом возрасте.
Главной особенностью такой родинки является отсутствие волосяного покрова на ее поверхности, а также ее пигментация, которая со временем может изменяться и приобретать более темный оттенок.
Такие родинки могут располагаться на руках, лице, шее, спине, подошве ног или любой другой части тела, поэтому они чаще других могут подвергаться регулярным микротравмам.
Вариантами пограничного невуса считаются:
кокардный невус и пятнистый пигментный невус.
Пограничный невус является меланомоопасным, особенно после полового созревания, а значит любые изменения состояния такой родинки (от размера, формы до появления зуда, жжения или кровоточивости) могут быть связаны с рисками перерождения в злокачественную опухоль и поэтому требуют незамедлительной диагностики у онколога/дерматолога.
2. Внутридермальный пигментный невус
(интрадермальный невус)
Это один из наиболее часто встречаемых невусов.
Такой невус чаще всего появляется к 10-30 годам.
Имеет вид купола (бородавчатое, папилломатозное, полиповидное новообразование) от светлого коричневого и до темно-коричневого оттенка, с четкими границами и мягкой консистенцией.
На его поверхности может присутствовать волосяной покров.
Размер таких невусов колеблется от 0,3 мм до 50 мм в диаметре. Такой невус может соединяться с кожей ножкой.
Внутридермальный невус — доброкачественное новообразование, но может легко травмироваться, а значит кровоточить и вызывать дискомфорт.
В этом случае за родинкой следует следить особенно внимательно и по возможности обращаться к лечащему дерматологу/онкологу.
Такие родинки чаще всего растут на коже лица, шеи и горла, в паховой и подмышечной области, в области груди у женщин. Если такие невусы начинают вас беспокоить (менять цвет, зудеть, расти), то в обязательном порядке они подлежат удалению.
3. Папилломатозный невус (Внутридермальный)
Такой невус является подвидом приобретенного меланоцитарного, или пигментного, невуса.
Такой невус виузально очень похож на крупную бугристую папиллому, структурно напоминающую цветную капусту, так как состоит из отростков эпидермиса удлиненной формы.
Данное новообразование имеет произвольную форму и четкие границы. Оттенок родинки может вариьироваться от светлого до почти черного (в зависимости от количества меланина в клетках). Часто на нём растут волоски.
Может быть как одиночным, так и множественным новообразованием.
Чаще всего папилломатозный невус находится на коже задней части шеи, на волосистой части головы, на поверхности туловища и рук.
Такие родинки могут диагностироваться как у новорожденных детей, так и у людей более взрослого возраста. Растет вместе со своим обладателем. В диаметре может быть больше 10 мм.
Из-за сильного возвышения над поверхностью кожи и неровной поверхности такой невус очень подвержен частому травмированию. Если такой невус поврежден и кровоточит, то необходимо незамедлительно проконсультироваться у онколога и, возможно, удалить невус.
4. Cмешанный (сложный) невус (невус дермоэпидермальный)
Это переходный вид развития меланоцитарного невуса от пограничного невуса к внутридермальному невусу.
Смешанный невус имеет плотную консистенцию, куполообразную или шарообразную форму (напоминающую бородавку), возвышающуюся над поверхностью кожи.
Цвет может варьироваться от светло-коричневого до черного.
Поверхность такого невуса гладкая, реже бородавчатая, может присутствовать щетинистый волосяной покров.
Размеры смешанного невуса обычно не превышают более 10 мм.
Часто преобразуется во внутридермальный невус.
Обычно такие невусы удалают с косметической целью, так как они являются доброкачественными.
5. Гало невус, или невус Сеттона (невус окаймленный)
Невусы Сеттона — это доброкачественные новообразования, пигментные невусы, в виде коричневых, возвышающихся над кожей коричневых узелков.
Главная особенность такого невуса — проявление гиперпигментации в виде обесцвеченного участка кожи вокруг родинки. В таком светлом участке находятся лейкоциты, которые атакуют пигметные клетки.
Основной особенностью такого светлого следа вокруг невуса Сеттона является его способность постепенно со временем исчезать. Чаще всего невусы Сеттона появляются в детстве и молодом возрасте.
Нередки случаи появления такой родинки у беременных женщин. Локализация невуса различна. При верной диагностике онколога и снятии подозрения на меланому невусы Сеттона не представляют опасности, однако необходимо наблюдение за динамикой любых визуальных изменений.
6. Невус Шпица (юношеская меланома) / Невус веретеноклеточный
Кругое или куполообразное новообразование, напоминающее розовую шишку на коже.
Цвет — обычно розовый, светло-желтый или коричневый. Диаметр до 10-20 мм. Характеризуется внезапным появлением и быстрым ростом (вырастает в течение одного месяца).
Обычно встречается у детей, но в редких случаях у взрослых до 40 лет. Обычно невус Шпица располагается на лице (в особенности, в области щёк) и на ногах. Гистологические исследования показывают очень большую схожесть с меланомой, однако это не меланома, хотя риск перерождения в злокачественную опухоль всё-таки существует.
Если Вы не уверены в правильности диагноза, то данный невус рекомендуется удалить у врача онколога, хирурга.
7. Невус из баллонообразующих клеток
Это очень редкий невус, который практически не имеет характерных клинических особенностей. Иногда его описывают, как бугорок или пятно коричневого цвета с тонким желтым ободком.
Обычно он встречается у людей молодого возраста. Данный вид родинок практически никогда не перерождается в злокачественную опухоль, но его динамика развития требует обязательного медицинского наблюдения.
II. Меланоцитарные невусы дермального меланоцитарного происхождения.
Существуют следующие типы эпидермальных меланоцитарных невусов:
1. Невус Ота
Это большой пигментный невус, обычно встречающийся у представителей азиатских народов. Может быть врожденным или появиться в детстве или подростковом возрасте. Пигментации больше подвержены женщины.
Цвет невуса Ота варьируется от темно-синего до черно-синего.Обычно пигментация располагается в области лица: на скулах, щеках, верхней части челюсти, в области виска, нижнего века. Может быть как одиночным пятном, так и состоять сразу из несколько пятен. Злокачественные перерождения невуса возможны, но происходят очень редко.
2. Монгольское пятно
Этот невус считается врожденным.
Его цвет может быть от серо-синего до темно-синего, бывает с коричневой окраской.
Обычно такие пятна бывают единичными, овальной, округлой или неправильной формы, с размерами до 50-100 мм в диаметре. Это врожденные пятна, которые присутствуют почти у 80 % детей монголоидной и негроидной расы, и почти не встречается у детей европейской расы.
Когда ребенок рождается, цвет пятна резко усиливается, но к 10-12 годам пятно, как правило, полностью исчезает. Обычно такой невус локализуется в пояснично-крестцовой области, но также может раполагаться на коже спины, ягодицах, задней части голени. Иногда происходит миграция пятна от его начального положения в другую локализацию.
Монгольское пятно относится к меланомонеопасным невусам. Трансформации в злокачесвтенную опухоль практически не наблюдается.
3. Голубой невус (синий невус Ядассона-Тиче)
Это пигментное новообразование кожи, напоминающее узелок голубого, синего или темно-синего цвета.
Размер узелка — до 50 мм в диаметре. Форма — округлая или полусферическая, выступает над уровнем кожи. Поверхность — гладкая, симметричная.
Не имеет на своей поверхности волосков. Чаще всего невус локализуется в области головы, шеи, крестца, на поверхности туловища и слизистых рта, носа и влагалища.
Встречается во всех возрастных группах. Это приобретенное пигментное новообразование, проявляется обычно впервые после полового созревания. Женщины подвержены такой пигментации чаще мужчин.
Данный невус является доброкачественным, однако при травмировании может стать меланомоопасным.
4. Невус Ито
Невус Ито клинически и патоморфологически очень напоминает невус Ота, но локализуется на коже области лопатки, дельтовидных мышц и на шее. Злокачественные перерождения невуса возможны.
III. Меланоцитарные невусы дермального и эпидермалъного происхождения (смешанный тип)
Комбинированный невус
Когда один невус накладывается на другой, возникает так называемый комбинированный невус.
Количество таких сочетаний очень разнообразно. Однако наиболее часто встречаемой комбинацией является наложение пограничного невуса на голубой невус.
Такие невусы должны быть исследованы в обязательном порядке на предмет меланомы, так как их клиническая и дерматоскопическая картина очень схожа с меланомной.
При возникновении затруднений в постановке точного диагноза следует такую родинку удалить.
IV. Меланоцитарные невусы
(предшественники меланомы)
1. Врожденный меланоцитарный невус
(конгенитальный невус)
Такой невус встречается у 1 % новорожденных. Выглядит невус, как пятнистое, бугристое образование с узловатыми и/или бородавчатыми элементами.
Цвет невуса варьируется от коричневого до синего, черного. На его поверхности могут расти жесткие волоски. Размеры могут быть самыми разными, от маленьких — до 150 мм — до 20 см в диаметре.
Чаще других встречаются маленькие невусы, и до двухлетнего возраста они обычно очень бледные и не сразу проявляются.
Локализуются врожденные невусы на поверхности кожи предплечий, груди, спине и нижней части туловища.
Стоит отметить, что данный невус является меланомоопасным и требует обязательной диагностики у онколога.
Разновидностью врожденного меланоцитарного невуса считается гигантский врожденный невус.
Его цвет может постепенно меняться от серого до темно-черного, иногда с синим оттенком.
Его поверхность может быть бородавчатой, бугристой, с трещинами. Локализуются такие невусы обычно на бедрах, на нижней части спины, на волосистой части головы. Клинические наблюдения показывают, что гигантский врожденный невус может сочетаться с другими пороками развития — такими, как эпилепсия, гидроцифалия, другими неврологическими расстройствами.
Врожденный гигантский невус имеет высокий риск озлокачествления и трансформации в меланому (около 10 % случаев). Поэтому требуется незамедлительное обращение к онкологу для клинического заключения и решения о методе удаления этой опасной родинки.
2. Диспластический невус (атипичный невус), или
Невус Кларка
Это приобретенное пигментное новообразование, чаще всего в дестве или побертатном возарсте.
Его цвет может быть разниться (все оттенки от розового, светло-коричневого до темного). Это неравномерная, «пестрая» окраска. Границы новообразования асимметричны, с неровными неправильными границами и неравномерной пигментацией.
Такие невусы обычно бывают множественными (их диаметр более 5 мм). Чаще всего они локализуются на нижних конечностях, в области груди, на ягодицах, на половых органах, на волосистой части головы, на спине.
Важно знать, что диспластический невус является предшественником меланомы (почти в 100 % случаев).
При постановке точного диагноза диспластические невусы настоятельно рекомендованы к удалению. Таким образом, диспластический невус с уверенностью можно отнести к опасным родинкам.
3. Меланоз Дюбрея (лентигинозная меланоцитарная дисплазия либо злокачественное лентиго)
Это новообразование, характеризующееся коричневым пигментным пятном с довольно ровными краями; поверхность может быть гладкой или папилломатозной.
Невусы чаще всего локализуется на поверхности кожи лица и шеи, имеют размеры от 2 до 20 мм.
Этот невус растет медленно, чаще всего диагностируются у пожилых людей со светлой кожей, особенно у женщин после 55 лет. Меланоз Дюбрея, как и болезнь Боуэна, является облигатным предраковым заболеванием, а значит требует незамедлительной диагностики у онколога.
О превращении невуса в меланому может свидетельствовать сразу несколько фактов:
В большинстве случаев пациенты обращаются к врачу с просьбой — удалить родинку исключительно с косметологической целью, т.к. эти родинки, с точки зрения пациентов, портят их внешний вид. Однако хочу подчеркнуть, что прежде всего пациенты с невусами (новообразованиями кожи) в обязательном порядке должны наблюдаться у дерматолога/онколога на предмет исключения риска выявления или разваития злокачественных опухолей кожи и слизистых.
Посмотреть прейскурант
НАШИ РЕЗУЛЬТАТЫ 18+
Меланоцитарный невус кожи: внутридермальный, папилломатозный, пигментный
Родинки или невусы есть на теле у каждого человека со светлым цветом кожи.
Они бывают как врожденными, так и приобретенными. Меланоцитарный невус – это небольшое пятнышко на коже, отличающееся более темной пигментацией.
Содержание
- 1 Виды кожных образований
- 2 Почему появляются родинки?
- 3 Какие невусы опасны?
- 4 Травмы родинок
- 5 Удаление и диагностика невусов
- 6 Меры профилактики
Виды кожных образований
Различают несколько видов родинок:
- внутридермальные;
- меланоцитарные;
- бородавчатые или папилломатозные;
- врожденные.
Меланоцитарными невусами называются любые пигментированные родинки на теле.
Внутридермальный пигментный невус – это пятно, образованное из-за нарушения выработки или распределения меланина. Такие пятнышки, как правило, появляются в раннем детстве и остаются с человеком на всю жизнь. Для внутридермального или интрадермального меланоцитарного невуса характерны следующие признаки:
- однородность цвета на протяжении всей жизни;
- отсутствие неприятных ощущений в области родинки;
- четко очерченный контур;
- отсутствие воспалительных процессов в клетках.

Как правило, такие невусы безопасны и не преобразуются в меланому.
Папилломатозный меланоцитарный невус – это одна из разновидностей внутридермальных невусов. Такие пятна характеризуются наличием ножки и более светлым оттенком. Внешне их легко спутать с папилломой из-за того, что родинка похожа на нарост. Как правило, папилломатозные внутридермальные меланоцитарные невусы имеют светло-розовый цвет и мягкую структуру. У таких наростов нет четко очерченного контура и они не представляют опасности, однако часто травмируются.
Врожденные меланоцитарные невусы встречаются редко. Развитие такого образования на коже закладывается еще во внутриутробный период, поэтому ребенок рождается уже с родинкой. Отличительной особенностью таких пятен является то, что они увеличиваются в размере по мере роста ребенка. Мелкие пятнышки не представляют опасности, в отличие от крупных. Если поверхность родинки неоднородна, необходимо тщательно отслеживать любые изменения и наблюдаться у дерматолога.
Также различают сложный невус кожи, который представляет собой темное пятно выпуклой формы. Такие доброкачественные новообразования могут переродиться в меланому, поэтому требуют тщательного наблюдения. Нередко врачи предлагают удалять такие пятна.
Почему появляются родинки?
Внутридермальный меланоцитарный невус представляет собой скопление особых пигментированных клеток. Факторы, приводящие к появлению родинок на коже:
- ультрафиолетовое излучение;
- фототерапия;
- сильные повреждения кожи;
- ожоги;
- некоторые дерматологические заболевания;
- гормональные нарушения;
- иммунодефицит.
Многие люди наверняка замечали, как после сильных солнечных ожогов на коже появляются новые пятна. Воздействие солнечных лучей может приводить к нарушению выработки пигмента и образованию пятен любого размера.
В детском возрасте новые родинки часто появляются после курса фототерапии. Также отмечается увеличение количества пятен при атопическом дерматите у новорожденных.
Нарушение пигментации кожи и появление новых пигментных пятен и родинок часто наблюдается после ожогов. Бытовые, химические и солнечные ожоги, сопровождающиеся образованием крупных пузырей на коже, являются одной из распространенных причин появления приобретенных меланоцитарных невусов.
Некоторые воспалительные процессы и кожные инфекции также могут стать причиной развития меланоцитарных пятен. Нередко отмечается появление родинок после лечения лишая.
Образование новых родинок наблюдается у женщин в периоды гормональной перестройки организма. Так, пятна могут появляться на теле в период полового созревания, беременности и при наступлении менопаузы.
Появление врожденного меланоцитарного невуса обусловлено особенностями внутриутробного развития плода.
Какие невусы опасны?
В большинстве случаев меланоцитарные родинки не представляют опасности для здоровья. Их плоская форма позволяет избегать травм и повреждений, поэтому риск перерождения клеток в злокачественную опухоль минимален.
Наблюдения требует папилломатозный внутридермальный невус и сложные пятна выпуклой формы. Риск развития негативных последствий при повреждениях таких пятен довольно высок, поэтому пациенту рекомендуется ежегодно проверяться у дерматолога.
Поводом для визита к врачу являются следующие симптомы:
- зуд кожи вокруг пятна;
- воспаление родинок;
- увеличение размеров или изменение цвета пятна;
- внезапное кровотечение;
- шелушение кожи.
Если невус расположен в местах соприкосновения с одеждой или в кожных складках, необходимо проконсультироваться с врачом о возможности его удаления.
Травмы родинок
Нередко родинки повреждаются в быту. Такое часто происходит с пятнами, расположенными в депилируемых зонах, кожных складках или на лице у мужчин. Случайное срезание невуса во время бритья является одной из самых распространенных причин повреждения этих доброкачественных образований.
Выпуклые пятна могут быть случайно повреждены в быту, например, во время принятия душа.
Любые травмы могут стать причиной кровотечения.
Заметив, что после повреждения родинки идет кровь, важно своевременно провести антисептическую обработку и остановить кровотечение. Для этого ранку обрабатывают перекисью водорода, а затем плотно прижимают тампоном из стерильного бинта. Следует помнить, что допускать инфицирования поврежденных невусов ни в коем случае нельзя, во избежание развития негативных последствий.
Удаление и диагностика невусов
Диагностика невусов проводится дерматологом и онкологом. Дерматолог внимательно изучает особенности доброкачественного образования с помощью специальной техники. При подозрениях на начало процесса перерождения клеток, врач порекомендует проконсультироваться с онкологом.
Следует помнить, что соскоб тканей с родинок не проводится, так как это приводит к повреждениям родинок и опасно для здоровья.
Гистологический анализ проводится только после удаления родинки. Для удаления применяют следующие методы:
- хирургическое иссечение;
- радионож;
- удаление лазером;
- криодеструкция.

Все эти методы абсолютно безболезненны. Иссечение родинки скальпелем проводится под местной анестезией. Если родинка расположена на лице, рекомендуется предпочесть радиоволновой или лазерный метод удаления, которые не оставляют рубцов, в отличие от криодеструкции.
Обязательно нужно удалять меланоцитарные пятна, которые подвержены трению об одежду или часто повреждаются в быту.
Меры профилактики
Несмотря на то что трансформация клеток меланоцитарного невуса встречается довольно редко, важно избегать факторов, травмирующих это образование. К таким негативным воздействиям относят интенсивный загар, натирание одеждой и случайные повреждения.
Если невусы расположены на открытых участках кожи, важно использовать солнцезащитные средства в период сильной солнечной активности.
Избежать повреждений кожных новообразований поможет защита пятен пластырем. Важно помнить, что если такое доброкачественное образование на коже причиняет дискомфорт, обязательно следует проконсультироваться с врачом о возможности его удаления.
[Лечение папилломатозных интрадермальных невусов: лазеры — да или нет? Проспективное исследование]
Клинические испытания
. 2008 г., февраль; 59(2):101-7.
doi: 10.1007/s00105-007-1464-0.
[Статья в немецкий]
S Hammes 1 , С. Раулин, С. Карсай, Р. Бернт, Х. М. Окенфельс
принадлежность
- 1 Лазерная клиника Карлсруэ, Карлсруэ.
- PMID: 18219471
- DOI:
10.
1007/s00105-007-1464-0
Клинические испытания
[Статья в немецкий]
S Hammes et al. Hautarzt. 2008 9 февраля0003
. 2008 г., февраль; 59(2):101-7.
doi: 10.1007/s00105-007-1464-0.
Авторы
С Хаммес 1 , К. Раулин, С. Карсай, Р. Бернт, Х. М. Окенфельс
принадлежность
- 1 Лазерная клиника Карлсруэ, Карлсруэ.
- PMID: 18219471
- DOI:
10.
1007/s00105-007-1464-0
Абстрактный
Фон: Папилломатозные внутридермальные невусы являются распространенными приобретенными меланоцитарными невусами. Хотя они и безвредны, они могут вызывать косметический дискомфорт, особенно на лице. В отдельных местах на туловище они могут быть травмированы одеждой, поэтому пациенты часто желают их удалить с низкой вероятностью рецидива.
Материал и методы: В проспективном исследовании с участием 90 (женский символ = 77, мужской символ = 13) пациентов в возрасте от 13 до 67 лет 130 внутрикожных невусов (женский символ = 114, мужской символ = 16) были удалены с помощью комбинированной терапии с CO (2). , эрбиевый: YAG и рубиновый лазеры.
Полученные результаты: После терапии 2,3% внутрикожных невусов рецидивировали в виде пигментных пятен, в то время как 6,9% внутрикожных невусов рецидивировали в виде пигментных пятен.
% вновь появлялись в виде папулы или узелка (рецидив объема). 88% пациентов остались очень довольны результатом; 11% удовлетворены; и 1% не удовлетворены. 99% прошли бы терапию повторно.
Вывод: Комбинированный лазерный метод (CO(2), эрбиевый: YAG и рубиновый лазеры) для лечения внутрикожных невусов дает отличные косметические результаты, легко выполняется, приводит к высокой степени удовлетворенности пациентов и безопасен при правильном применении.
Похожие статьи
Клинические и гистологические реакции врожденных меланоцитарных невусов после однократного лечения лазерами с модуляцией добротности.
Grevelink JM, van Leeuwen RL, Anderson RR, Byers HR. Гревелинк Дж. М. и соавт. Арка Дерматол. 1997 март; 133(3):349-53. Арка Дерматол. 1997. PMID:
96 Клиническое испытание.

[Споры в дерматологии — лазерная терапия и меланоцитарные невусы].
Керл Х., Раулин С., Ландталер М. Керл Х. и др. J Dtsch Dermatol Ges. 2004 авг.; 2(8):681-3. doi: 10.1046/j.1439-0353.2004.04712.x. J Dtsch Dermatol Ges. 2004. PMID: 16279231 Обзор. Немецкий. Аннотация недоступна.
Клинический и гистологический эффект однократной обработки александритовым лазером нормального режима (755 нм) на меланоцитарных невусах малого размера.
Реда AM, Таха IR, Риад HA. Реда А.М. и соавт. Дж. Кутан Лазер Тер. 1999 декабрь; 1 (4): 209-15. дои: 10.1080/14628839950516698. Дж. Кутан Лазер Тер. 1999. PMID: 11360462
Комбинированное лечение врожденного меланоцитарного невуса интенсивным импульсным светом и лазером Er:YAG.

Ли Дж.М., Ким И.Х., Рью И.Дж., Рю Х.Дж. Ли Дж.М. и др. J Космет Лазер Ther. 2015 июнь; 17 (3): 162-4. дои: 10.3109/14764172.2014.1003244. Epub 2015 2 февраля. J Космет Лазер Ther. 2015. PMID: 25549812
Лазеротерапия гигантских врожденных меланоцитарных невусов.
Мишель Дж.Л. Мишель ЖЛ. Евр Дж Дерматол. 2003 янв-февраль;13(1):57-64. Евр Дж Дерматол. 2003. PMID: 12609784 Обзор.
Посмотреть все похожие статьи
Цитируется
Лазеры для невусов: обзор.
Арора Х., Фальто-Айзпуруа Л., Чакон А., Гриффит Р.Д., Нури К. Арора Х. и др. Лазеры Med Sci. 2015 Сентябрь; 30 (7): 1991-2001. doi: 10.1007/s10103-014-1697-y.
Epub 2014 16 декабря.
Лазеры Med Sci. 2015.
PMID: 25512060
Обзор.Оптимальное лечение распространенных приобретенных меланоцитарных невусов (родинок): современные перспективы.
Сардана К., Чакраварти П., Гоэль К. Сардана К. и др. Clin Cosmet Investig Dermatol. 2014 19 марта; 7:89-103. DOI: 10.2147/CCID.S57782. Электронная коллекция 2014. Clin Cosmet Investig Dermatol. 2014. PMID: 24672253 Бесплатная статья ЧВК. Обзор.
Побочные эффекты и осложнения терапии лазером и интенсивными источниками света.
Хаммес С., Киммиг В. Хаммес С. и соавт. Hautarzt. 2013 март; 64(3):145-54. doi: 10.1007/s00105-012-2483-z. Hautarzt. 2013. PMID: 23494093 Немецкий.
Кожные поражения носа.

Санд М, Санд Д, Трандорф С, Паеч В, Альтмейер П, Бехара ФГ. Сэнд М. и др. Голова Лицо Мед. 2010 4 июня; 6:7. дои: 10.1186/1746-160X-6-7. Голова Лицо Мед. 2010. PMID: 20525327 Бесплатная статья ЧВК. Обзор.
использованная литература
- Бр Дж Дерматол. 2007 июнь; 156 (6): 1251-7 — пабмед
- Дерматология. 1997;194(4):344-50 — пабмед
- J Dtsch Dermatol Ges.
2004 авг; 2 (8): 681-3
—
пабмед
- J Dtsch Dermatol Ges.
- J Eur Acad Dermatol Venereol. 2006 март; 20 (3): 342-4 — пабмед
- Дерматол Хирург. 2006 фев; 32 (2): 256-60 — пабмед
Типы публикаций
термины MeSH
Внутридермальный невус: симптомы, причины и лечение
Внутридермальный невус: симптомы, причины и лечение Медицинский обзор Синтии Кобб, DNP, APRN, WHNP-BC, FAANP — Мэрайя Адкокс — Обновлено 18 сентября 2018 г.
Что это внутрикожный невус?
Внутрикожный невус (также называемый внутрикожным меланоцитарным невусом) — это просто классическая родинка или родимое пятно. Обычно он выглядит как приподнятый куполообразный бугорок на поверхности кожи.
Подсчитано, что около одного процента новорожденных рождаются с внутрикожным невусом.
«Невус» относится к родинке. «Внутридермальный» означает, что клетки родинки расположены под самым наружным слоем кожи. Из-за этого родимое пятно имеет такую же степень пигментации, как и окружающая кожа.
В большинстве случаев внутрикожные невусы появляются после подросткового возраста и представляют собой доброкачественные (нераковые) новообразования кожи.
Внутридермальные невусы выглядят как бугорки телесного цвета на поверхности кожи, хотя они также могут иметь слегка коричневый цвет. В некоторых случаях они будут содержать коричневые пятна мелких расширенных кровеносных сосудов.
Внутрикожные невусы могут появиться на любом участке кожи; однако чаще всего они появляются на коже головы, шее, плечах и ногах, а также шее.
Они также могут появиться на веке.
Бугорки обычно небольшие, размером от 5 миллиметров (мм) до 1 сантиметра (см). У детей они часто плоские и имеют цвет, похожий на тон кожи человека. Когда человек достигает подросткового возраста, невус обычно становится более заметным. К тому времени, когда человек достигает 70 лет, почти все невусы теряют большую часть своей пигментации.
Невусы кажутся приподнятыми над поверхностью кожи и на ощупь эластичными. Внутридермальный невус обычно имеет круглую форму и четко очерчен. Он может быть даже волосатым. Также возможно, что невусы могут выглядеть бородавчатыми и куполообразными.
Внутрикожный невус является результатом одной из трех причин:
- повреждения солнцем , особенно для людей со светлой кожей0022
- генетические факторы , например, наличие у ваших родителей большого количества родинок, что увеличивает вероятность того, что они будут и у вас
В большинстве случаев нет необходимости обращаться к врачу для лечения внутрикожного невуса .
Вы должны попросить своего врача осмотреть любые новообразования кожи, которые вы заметили. Всегда записывайтесь на прием, если заметите изменение размера, формы или цвета вашей родинки.
Если родинка беспокоит вас из-за внешнего вида или из-за того, что она цепляется за одежду, вы также можете обратиться к врачу по поводу лечения.
Если ваша родинка недавно не изменилась в размере, форме или цвете, лечение внутрикожного невуса не требуется. Однако при желании родинку можно удалить.
Ваш врач, скорее всего, будет использовать для удаления родинок метод, называемый кожным электрохирургическим бритьем, поскольку это быстрый и недорогой способ удаления родинок.
Всегда важно следить за размером, цветом и формой ваших родинок на предмет возможных изменений.
Ограничение пребывания на солнце помогает предотвратить появление новых родинок. Это также может помочь предотвратить любые изменения родинок, которые у вас уже есть.
Однако большинство родинок не вызывают беспокойства и легко удаляются.
Последняя медицинская проверка 8 февраля 2018 г.
5 sourcescollapsed
Healthline придерживается строгих правил выбора поставщиков и опирается на рецензируемые исследования, академические исследовательские институты и медицинские ассоциации. Мы избегаем использования третичных ссылок. Вы можете узнать больше о том, как мы обеспечиваем точность и актуальность нашего контента, прочитав нашу редакционную политику.
- Доброкачественные образования придатков. (н.д.).
aao.org/focalpointssnippetdetail.aspx?id=f5ffa3ee-c97b-4f80-99b3-40b2e0539228 - Нотт Л. (2016). Внутрикожные и сложные невусы.
patient.info/doctor/intradermal-and-compound-naevi - Pe’er J. (2016). Патология опухолей век.
ncbi.nlm.nih.gov/pmc/articles/PMC4869455/ - Woodhouse J, et al. (2017). Распространенные доброкачественные новообразования.
clevelandclinicmeded.com/medicalpubs/diseasemanagement/dermatology/common-beign-growths/ - Зубер Т.
Дж. (2002). Кожное электрохирургическое бритье.
aafp.org/afp/2002/0501/p1883.html.Читать далее
Клубничный невус на коже
Медицинский обзор Дебры Салливан, доктора философии, MSN, RN, CNE, COI
Клубничный невус — причудливое название красного родимого пятна. Этот красный оттенок кожи возникает из-за скопления кровеносных сосудов, расположенных близко к поверхности кожи…
ПОДРОБНЕЕ
Паутинный невус (паутинные ангиомы)
Медицинское заключение Элейн К. Луо, доктора медицины.
ПОДРОБНЕЕ
13 лучших служб доставки здоровой еды 2022 года
Рэйчел Линк, MS, RD
Выбирая службу доставки еды, важно найти ту, в которой есть множество полезных вариантов. Вот 13 лучших способов доставки здоровой еды…
ПОДРОБНЕЕ
Внутридермальный невус: симптомы, причины и лечение
Внутридермальный невус: симптомы, причины и лечение это внутрикожный невус?Внутрикожный невус (также называемый внутрикожным меланоцитарным невусом) — это просто классическая родинка или родимое пятно.
Обычно он выглядит как приподнятый куполообразный бугорок на поверхности кожи.Подсчитано, что около одного процента новорожденных рождаются с внутрикожным невусом.
«Невус» относится к родинке. «Внутридермальный» означает, что клетки родинки расположены под самым наружным слоем кожи. Из-за этого родимое пятно имеет такую же степень пигментации, как и окружающая кожа.
В большинстве случаев внутрикожные невусы появляются после подросткового возраста и представляют собой доброкачественные (нераковые) новообразования кожи.
Внутридермальные невусы выглядят как бугорки телесного цвета на поверхности кожи, хотя они также могут иметь слегка коричневый цвет. В некоторых случаях они будут содержать коричневые пятна мелких расширенных кровеносных сосудов.
Внутрикожные невусы могут появиться на любом участке кожи; однако чаще всего они появляются на коже головы, шее, плечах и ногах, а также шее. Они также могут появиться на веке.
Бугорки обычно небольшие, размером от 5 миллиметров (мм) до 1 сантиметра (см).
У детей они часто плоские и имеют цвет, похожий на тон кожи человека. Когда человек достигает подросткового возраста, невус обычно становится более заметным. К тому времени, когда человек достигает 70 лет, почти все невусы теряют большую часть своей пигментации.Невусы кажутся приподнятыми над поверхностью кожи и на ощупь эластичными. Внутридермальный невус обычно имеет круглую форму и четко очерчен. Он может быть даже волосатым. Также возможно, что невусы могут выглядеть бородавчатыми и куполообразными.
Внутрикожный невус является результатом одной из трех причин:
- повреждения солнцем , особенно для людей со светлой кожей0022
- генетические факторы , например, наличие у ваших родителей большого количества родинок, что увеличивает вероятность того, что они будут и у вас
В большинстве случаев нет необходимости обращаться к врачу для лечения внутрикожного невуса .
Вы должны попросить своего врача осмотреть любые новообразования кожи, которые вы заметили.
Всегда записывайтесь на прием, если заметите изменение размера, формы или цвета вашей родинки.Если родинка беспокоит вас из-за внешнего вида или из-за того, что она цепляется за одежду, вы также можете обратиться к врачу по поводу лечения.
Если ваша родинка недавно не изменилась в размере, форме или цвете, лечение внутрикожного невуса не требуется. Однако при желании родинку можно удалить.
Ваш врач, скорее всего, будет использовать для удаления родинок метод, называемый кожным электрохирургическим бритьем, поскольку это быстрый и недорогой способ удаления родинок.
Всегда важно следить за размером, цветом и формой ваших родинок на предмет возможных изменений.
Ограничение пребывания на солнце помогает предотвратить появление новых родинок. Это также может помочь предотвратить любые изменения родинок, которые у вас уже есть.
Однако большинство родинок не вызывают беспокойства и легко удаляются.
Последняя медицинская проверка 8 февраля 2018 г.

5 sourcescollapsed
Healthline придерживается строгих правил выбора поставщиков и опирается на рецензируемые исследования, академические исследовательские институты и медицинские ассоциации. Мы избегаем использования третичных ссылок. Вы можете узнать больше о том, как мы обеспечиваем точность и актуальность нашего контента, прочитав нашу редакционную политику.
- Доброкачественные образования придатков. (н.д.).
aao.org/focalpointssnippetdetail.aspx?id=f5ffa3ee-c97b-4f80-99b3-40b2e0539228 - Нотт Л. (2016). Внутрикожные и сложные невусы.
patient.info/doctor/intradermal-and-compound-naevi - Pe’er J. (2016). Патология опухолей век.
ncbi.nlm.nih.gov/pmc/articles/PMC4869455/ - Woodhouse J, et al. (2017). Распространенные доброкачественные новообразования.
clevelandclinicmeded.com/medicalpubs/diseasemanagement/dermatology/common-beign-growths/ - Зубер Т.
Дж. (2002). Кожное электрохирургическое бритье.
aafp.org/afp/2002/0501/p1883.html.Читать далее
Клубничный невус на коже
Медицинский обзор Дебры Салливан, доктора философии, MSN, RN, CNE, COI
Клубничный невус — причудливое название красного родимого пятна. Этот красный оттенок кожи возникает из-за скопления кровеносных сосудов, расположенных близко к поверхности кожи…
ПОДРОБНЕЕ
Паутинный невус (паутинные ангиомы)
Медицинское заключение Элейн К. Луо, доктора медицины.
ПОДРОБНЕЕ
13 лучших служб доставки здоровой еды 2022 года
Рэйчел Линк, MS, RD
Выбирая службу доставки еды, важно найти ту, в которой есть множество полезных вариантов. Вот 13 лучших способов доставки здоровой еды…
ПОДРОБНЕЕ
Внутридермальный невус: симптомы, причины и лечение
Внутридермальный невус: симптомы, причины и лечение это внутрикожный невус?Внутрикожный невус (также называемый внутрикожным меланоцитарным невусом) — это просто классическая родинка или родимое пятно.
Обычно он выглядит как приподнятый куполообразный бугорок на поверхности кожи.Подсчитано, что около одного процента новорожденных рождаются с внутрикожным невусом.
«Невус» относится к родинке. «Внутридермальный» означает, что клетки родинки расположены под самым наружным слоем кожи. Из-за этого родимое пятно имеет такую же степень пигментации, как и окружающая кожа.
В большинстве случаев внутрикожные невусы появляются после подросткового возраста и представляют собой доброкачественные (нераковые) новообразования кожи.
Внутридермальные невусы выглядят как бугорки телесного цвета на поверхности кожи, хотя они также могут иметь слегка коричневый цвет. В некоторых случаях они будут содержать коричневые пятна мелких расширенных кровеносных сосудов.
Внутрикожные невусы могут появиться на любом участке кожи; однако чаще всего они появляются на коже головы, шее, плечах и ногах, а также шее. Они также могут появиться на веке.
Бугорки обычно небольшие, размером от 5 миллиметров (мм) до 1 сантиметра (см).
У детей они часто плоские и имеют цвет, похожий на тон кожи человека. Когда человек достигает подросткового возраста, невус обычно становится более заметным. К тому времени, когда человек достигает 70 лет, почти все невусы теряют большую часть своей пигментации.Невусы кажутся приподнятыми над поверхностью кожи и на ощупь эластичными. Внутридермальный невус обычно имеет круглую форму и четко очерчен. Он может быть даже волосатым. Также возможно, что невусы могут выглядеть бородавчатыми и куполообразными.
Внутрикожный невус является результатом одной из трех причин:
- повреждения солнцем , особенно для людей со светлой кожей0022
- генетические факторы , например, наличие у ваших родителей большого количества родинок, что увеличивает вероятность того, что они будут и у вас
В большинстве случаев нет необходимости обращаться к врачу для лечения внутрикожного невуса .
Вы должны попросить своего врача осмотреть любые новообразования кожи, которые вы заметили.
Всегда записывайтесь на прием, если заметите изменение размера, формы или цвета вашей родинки.Если родинка беспокоит вас из-за внешнего вида или из-за того, что она цепляется за одежду, вы также можете обратиться к врачу по поводу лечения.
Если ваша родинка недавно не изменилась в размере, форме или цвете, лечение внутрикожного невуса не требуется. Однако при желании родинку можно удалить.
Ваш врач, скорее всего, будет использовать для удаления родинок метод, называемый кожным электрохирургическим бритьем, поскольку это быстрый и недорогой способ удаления родинок.
Всегда важно следить за размером, цветом и формой ваших родинок на предмет возможных изменений.
Ограничение пребывания на солнце помогает предотвратить появление новых родинок. Это также может помочь предотвратить любые изменения родинок, которые у вас уже есть.
Однако большинство родинок не вызывают беспокойства и легко удаляются.
Последняя медицинская проверка 8 февраля 2018 г.

5 sourcescollapsed
Healthline придерживается строгих правил выбора поставщиков и опирается на рецензируемые исследования, академические исследовательские институты и медицинские ассоциации. Мы избегаем использования третичных ссылок. Вы можете узнать больше о том, как мы обеспечиваем точность и актуальность нашего контента, прочитав нашу редакционную политику.
- Доброкачественные образования придатков. (н.д.).
aao.org/focalpointssnippetdetail.aspx?id=f5ffa3ee-c97b-4f80-99b3-40b2e0539228 - Нотт Л. (2016). Внутрикожные и сложные невусы.
patient.info/doctor/intradermal-and-compound-naevi - Pe’er J. (2016). Патология опухолей век.
ncbi.nlm.nih.gov/pmc/articles/PMC4869455/ - Woodhouse J, et al. (2017). Распространенные доброкачественные новообразования.
clevelandclinicmeded.com/medicalpubs/diseasemanagement/dermatology/common-beign-growths/ - Зубер Т.
Дж. (2002). Кожное электрохирургическое бритье.
aafp.org/afp/2002/0501/p1883.html.Читать далее
Клубничный невус на коже
Медицинский обзор Дебры Салливан, доктора философии, MSN, RN, CNE, COI
Клубничный невус — причудливое название красного родимого пятна. Этот красный оттенок кожи возникает из-за скопления кровеносных сосудов, расположенных близко к поверхности кожи…
ПОДРОБНЕЕ
Паутинный невус (паутинные ангиомы)
Медицинское заключение Элейн К. Луо, доктора медицины.
ПОДРОБНЕЕ
13 лучших служб доставки здоровой еды 2022 года
Рэйчел Линк, MS, RD
Выбирая службу доставки еды, важно найти ту, в которой есть множество полезных вариантов. Вот 13 лучших способов доставки здоровой еды…
ПОДРОБНЕЕ
Внутридермальный невус: симптомы, причины и лечение
Внутридермальный невус: симптомы, причины и лечение это внутрикожный невус?Внутрикожный невус (также называемый внутрикожным меланоцитарным невусом) — это просто классическая родинка или родимое пятно.
Обычно он выглядит как приподнятый куполообразный бугорок на поверхности кожи.Подсчитано, что около одного процента новорожденных рождаются с внутрикожным невусом.
«Невус» относится к родинке. «Внутридермальный» означает, что клетки родинки расположены под самым наружным слоем кожи. Из-за этого родимое пятно имеет такую же степень пигментации, как и окружающая кожа.
В большинстве случаев внутрикожные невусы появляются после подросткового возраста и представляют собой доброкачественные (нераковые) новообразования кожи.
Внутридермальные невусы выглядят как бугорки телесного цвета на поверхности кожи, хотя они также могут иметь слегка коричневый цвет. В некоторых случаях они будут содержать коричневые пятна мелких расширенных кровеносных сосудов.
Внутрикожные невусы могут появиться на любом участке кожи; однако чаще всего они появляются на коже головы, шее, плечах и ногах, а также шее. Они также могут появиться на веке.
Бугорки обычно небольшие, размером от 5 миллиметров (мм) до 1 сантиметра (см).
У детей они часто плоские и имеют цвет, похожий на тон кожи человека. Когда человек достигает подросткового возраста, невус обычно становится более заметным. К тому времени, когда человек достигает 70 лет, почти все невусы теряют большую часть своей пигментации.Невусы кажутся приподнятыми над поверхностью кожи и на ощупь эластичными. Внутридермальный невус обычно имеет круглую форму и четко очерчен. Он может быть даже волосатым. Также возможно, что невусы могут выглядеть бородавчатыми и куполообразными.
Внутрикожный невус является результатом одной из трех причин:
- повреждения солнцем , особенно для людей со светлой кожей0022
- генетические факторы , например, наличие у ваших родителей большого количества родинок, что увеличивает вероятность того, что они будут и у вас
В большинстве случаев нет необходимости обращаться к врачу для лечения внутрикожного невуса .
Вы должны попросить своего врача осмотреть любые новообразования кожи, которые вы заметили.
Всегда записывайтесь на прием, если заметите изменение размера, формы или цвета вашей родинки.Если родинка беспокоит вас из-за внешнего вида или из-за того, что она цепляется за одежду, вы также можете обратиться к врачу по поводу лечения.
Если ваша родинка недавно не изменилась в размере, форме или цвете, лечение внутрикожного невуса не требуется. Однако при желании родинку можно удалить.
Ваш врач, скорее всего, будет использовать для удаления родинок метод, называемый кожным электрохирургическим бритьем, поскольку это быстрый и недорогой способ удаления родинок.
Всегда важно следить за размером, цветом и формой ваших родинок на предмет возможных изменений.
Ограничение пребывания на солнце помогает предотвратить появление новых родинок. Это также может помочь предотвратить любые изменения родинок, которые у вас уже есть.
Однако большинство родинок не вызывают беспокойства и легко удаляются.
Последняя медицинская проверка 8 февраля 2018 г.

5 sourcescollapsed
Healthline придерживается строгих правил выбора поставщиков и опирается на рецензируемые исследования, академические исследовательские институты и медицинские ассоциации. Мы избегаем использования третичных ссылок. Вы можете узнать больше о том, как мы обеспечиваем точность и актуальность нашего контента, прочитав нашу редакционную политику.
- Доброкачественные образования придатков. (н.д.).
aao.org/focalpointssnippetdetail.aspx?id=f5ffa3ee-c97b-4f80-99b3-40b2e0539228 - Нотт Л. (2016). Внутрикожные и сложные невусы.
patient.info/doctor/intradermal-and-compound-naevi - Pe’er J. (2016). Патология опухолей век.
ncbi.nlm.nih.gov/pmc/articles/PMC4869455/ - Woodhouse J, et al. (2017). Распространенные доброкачественные новообразования.
clevelandclinicmeded.com/medicalpubs/diseasemanagement/dermatology/common-beign-growths/ - Зубер Т.
Дж. (2002). Кожное электрохирургическое бритье.
aafp.org/afp/2002/0501/p1883.html.Читать далее
Клубничный невус на коже
Медицинский обзор Дебры Салливан, доктора философии, MSN, RN, CNE, COI
Клубничный невус — причудливое название красного родимого пятна. Этот красный оттенок кожи возникает из-за скопления кровеносных сосудов, расположенных близко к поверхности кожи…
ПОДРОБНЕЕ
Паутинный невус (паутинные ангиомы)
Медицинское заключение Элейн К. Луо, доктора медицины.
ПОДРОБНЕЕ
13 лучших служб доставки здоровой еды 2022 года
Рэйчел Линк, MS, RD
Выбирая службу доставки еды, важно найти ту, в которой есть множество полезных вариантов. Вот 13 лучших способов доставки здоровой еды…
ПОДРОБНЕЕ
Внутридермальный невус: симптомы, причины и лечение
Внутридермальный невус: симптомы, причины и лечение это внутрикожный невус?Внутрикожный невус (также называемый внутрикожным меланоцитарным невусом) — это просто классическая родинка или родимое пятно.
Обычно он выглядит как приподнятый куполообразный бугорок на поверхности кожи.Подсчитано, что около одного процента новорожденных рождаются с внутрикожным невусом.
«Невус» относится к родинке. «Внутридермальный» означает, что клетки родинки расположены под самым наружным слоем кожи. Из-за этого родимое пятно имеет такую же степень пигментации, как и окружающая кожа.
В большинстве случаев внутрикожные невусы появляются после подросткового возраста и представляют собой доброкачественные (нераковые) новообразования кожи.
Внутридермальные невусы выглядят как бугорки телесного цвета на поверхности кожи, хотя они также могут иметь слегка коричневый цвет. В некоторых случаях они будут содержать коричневые пятна мелких расширенных кровеносных сосудов.
Внутрикожные невусы могут появиться на любом участке кожи; однако чаще всего они появляются на коже головы, шее, плечах и ногах, а также шее. Они также могут появиться на веке.
Бугорки обычно небольшие, размером от 5 миллиметров (мм) до 1 сантиметра (см).
У детей они часто плоские и имеют цвет, похожий на тон кожи человека. Когда человек достигает подросткового возраста, невус обычно становится более заметным. К тому времени, когда человек достигает 70 лет, почти все невусы теряют большую часть своей пигментации.Невусы кажутся приподнятыми над поверхностью кожи и на ощупь эластичными. Внутридермальный невус обычно имеет круглую форму и четко очерчен. Он может быть даже волосатым. Также возможно, что невусы могут выглядеть бородавчатыми и куполообразными.
Внутрикожный невус является результатом одной из трех причин:
- повреждения солнцем , особенно для людей со светлой кожей0022
- генетические факторы , например, наличие у ваших родителей большого количества родинок, что увеличивает вероятность того, что они будут и у вас
В большинстве случаев нет необходимости обращаться к врачу для лечения внутрикожного невуса .
Вы должны попросить своего врача осмотреть любые новообразования кожи, которые вы заметили.
Всегда записывайтесь на прием, если заметите изменение размера, формы или цвета вашей родинки.Если родинка беспокоит вас из-за внешнего вида или из-за того, что она цепляется за одежду, вы также можете обратиться к врачу по поводу лечения.
Если ваша родинка недавно не изменилась в размере, форме или цвете, лечение внутрикожного невуса не требуется. Однако при желании родинку можно удалить.
Ваш врач, скорее всего, будет использовать для удаления родинок метод, называемый кожным электрохирургическим бритьем, поскольку это быстрый и недорогой способ удаления родинок.
Всегда важно следить за размером, цветом и формой ваших родинок на предмет возможных изменений.
Ограничение пребывания на солнце помогает предотвратить появление новых родинок. Это также может помочь предотвратить любые изменения родинок, которые у вас уже есть.
Однако большинство родинок не вызывают беспокойства и легко удаляются.
Последняя медицинская проверка 8 февраля 2018 г.

5 sourcescollapsed
Healthline придерживается строгих правил выбора поставщиков и опирается на рецензируемые исследования, академические исследовательские институты и медицинские ассоциации. Мы избегаем использования третичных ссылок. Вы можете узнать больше о том, как мы обеспечиваем точность и актуальность нашего контента, прочитав нашу редакционную политику.
- Доброкачественные образования придатков. (н.д.).
aao.org/focalpointssnippetdetail.aspx?id=f5ffa3ee-c97b-4f80-99b3-40b2e0539228 - Нотт Л. (2016). Внутрикожные и сложные невусы.
patient.info/doctor/intradermal-and-compound-naevi - Pe’er J. (2016). Патология опухолей век.
ncbi.nlm.nih.gov/pmc/articles/PMC4869455/ - Woodhouse J, et al. (2017). Распространенные доброкачественные новообразования.
clevelandclinicmeded.com/medicalpubs/diseasemanagement/dermatology/common-beign-growths/ - Зубер Т.




Г. – врач-онколог ЗАО «Центральная поликлиника Литфонда»


1007/s00105-007-1464-0
1007/s00105-007-1464-0