Чистка зубов air flow фото до и после – Air Flow – Особенности чистка и отбеливания зубов Air Flow — стоматологический портал MyDentist.ru
Чистка зубов методом Air Flow
Чистка зубов Аir flow – это процедура, при которой, с помощью специального пескоструйного аппарата, проводится очищение эмали от налета и удаление различных отложений на зубах, с помощью воды, воздуха и соды. Такой метод очищения приведет ваши зубы до состояния их природного оттенка. Стоит понимать, что это лечение не является отбеливанием зубов.

Плюсы и минусы
Данная процедура имеет следующие положительные моменты:
- Все этапы лечения происходят в таком режиме, что эмаль не будет повреждаться.
- При таком способе зубы будут не только очищаться, но также и обрабатываться от различных бактерий.
- Во время проведения такого лечения пациент не почувствует дискомфорта или болевых ощущений.
- Выравнивание зубной эмали проходит за счет процедуры шлифовки.
- Оттенок эмали станет светлее, чем был до обработки.
- Материал, который используется для чистки, не вызовет аллергии у клиента.
- Такую процедуру можно проводить в сложных ситуациях, когда у клиента имеются в ротовой полости специальные приспособления, например: брекеты, имплантаты, виниры.
- Увеличится количество фторидов в составе эмали. Благодаря этому, зубы после такой процедуры станут крепче, чем были раньше.
- Этот процесс занимает в среднем около часа.
Минусами такого метода являются то, что:
- Отбеливание в ротовой полости произойдет только до того оттенка, который будет являться природным для конкретного клиента.
- Если медицинский сотрудник не имеет большого опыта в проведении такого лечения, то он может нечаянно повредить десны.
- Загрязнения, находящиеся под слизистой десны, не удастся удалить таким стоматологическим аппаратом.
- От осложнений на эмали, которые имеются у пациента уже долгое время, будет очень сложно удалить, использую только аппарат «Air flow». В данной ситуации стоматологу придется использовать также другие способы.
Показания и противопоказания
Любая процедура имеет как показания, так и противопоказания. И данный метод не является исключением.

Такой способ лечения будет назначен пациенту в следующих ситуациях:
- У клиента имеются в анамнезе различные заболевания ротовой полости.
- В местах, которые находятся между зубами, образовался налет.
- На эмали у больного появились пятна.
- Изменился цвет эмали.
- Пациенту назначили профессиональное отбеливание. То есть, перед проведением данной процедуры клиенту нужно будет произвести чистку ротовой полости при помощи аппарата «Air flow».
- Заинтересованному лицу сложно самому тщательно произвести гигиенические процедуры ротовой полости из-за того, что у него имеются брекет-системы или протезы.
- Пациенту нужно будет в дальнейшем сделать протезирование.
Метод ««Air flow» нельзя будет использовать пациенту в таких случаях, когда у него имеется хотя бы одна из следующих ситуаций:
- Возраст клиента меньше 15 лет;
- Повышенная чувствительность эмали.
- В анамнезе у клиента имеются такие заболевания: хронические стадии болезни легких и бронхов, болезнь почек, которая на данный момент находится в острой форме, аллергия, в том числе и на препараты, которыми будет проходить чистка зубной поверхности.
- Пациент находится в положении или кормит грудью ребенка.
- Клиент соблюдает диету, которая не предусматривает употребление соли.
Процедура и этапы
Аппарат Air FlowИспользование аппарата «Аir flow» для проведения очищения будет заключаться:
- полном очищении ротовой полости от различных отложений.
- В осветлении эмали.
- В использовании безопасного раствора для чистки ротовой полости.
- В увеличении фторидов в составе зубной эмали.
Метод «Air flow» состоит из следующих этапов:
- Стоматолог помажет пациенту губы вазелином. Этот подготовительный процесс предотвратит пересыхания губ во время процедуры.
- На глаза клиенту оденут специальные очки, чтобы в глаза не попали капли раствора во время очистки.
- В ротовой полости клиента будет располагаться специальный прибор. Такой прибор сможет убрать лишнюю жидкость, которая может появиться во время использования такой технологии.
- После всех необходимых подготовительных мер стоматолог приступает непосредственно к процедуре очистки. Она будет проходить в следующей последовательности: очищаются зубы, расположенные на верхней челюсти, раствором обрабатываются промежутки между зубами, после того, как первый этап будет проведен, врач приступает к обработке эмали на нижней челюсти. В данном случае очищение будет происходить аналогично первому случаю.
- Когда процедура чистки ротовой полости будет завершена, стоматолог будет шлифовать специальным чистящим средством поверхность эмали.
- После проведения всех необходимых действий, стоматолог обработает поверхность зубов гелем, в состав которого входят фториды. Такие элементы помогут укрепить зубную эмаль и сделают поверхность зубов менее чувствительной к перепадам температур.
Стоимость
Средняя стоимость использования технологии очистки «Air flow» составляет около 5000 тысяч за все количество зубов. По акции, цена за такую процедуру будет варьироваться от 2000 до 4000 тысяч за все зубы.
Пациенту стоит иметь в виду, что стоимость данного метода включает в себя следующие факторы:
- Общий объем стоматологических работ, который предстоит сделать медицинскому специалисту.
- Тот ценовой сегмент, который имеется у клиник в данной сфере.
Рекомендации после чистки
После процедуры по технологии «Air flow», стоматолог даст пациенту следующие советы:
- Для ухода за ротовой полостью лучше всего использовать: щетки с мягкой щетиной, пасту, способную уменьшить чувствительность зубов, специальные ополаскиватели.
- Нужно исключить из рациона: твердые продукты, продукты, употребление которых может изменить цвет зубов.
- Нужно свести к минимуму использование косметики, предназначенной для ухода за губами.
- Повторять такую процедуру нужно 1 раз в год.
- осле того, как обработка зубов будет закончена, пациенту нужно будет отказаться: от употребления сигарет, не пить кофейные или чайные напитки.
Отзывы
На основании отзывов об очистке зубов по технологии «Air flow» можно сделать вывод, что очень многим пациентам она помогла улучшить состояние зубной эмали. Такая процедура не доставила никаких неприятных ощущений клиентам и они были довольны тем результатом, которые был после процедуры.
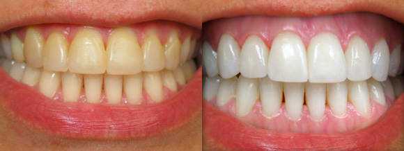
Зубы до и после чистки Air Flow
Вот такие отзывы пишут пациенты о технологии «Air flow»:
Евгения: «После консультации стоматолог назначил мне очистку зубов по методу «Air flow». Поскольку у меня были серьезные отложения, то мне сначала провели очистку узи-аппаратом, а потом приступили к очищению ротовой полости с помощью аппарата «Air flow».
Результаты превзошли все мои ожидания: зубы стали очень белыми и меня больше не беспокоил неприятный запах изо рта.
Ольга: «Сама процедура «Air flow» является в принципе безболезненной. Но мне было не очень приятно, когда проходила чистка между зубами. После того, как основные действия были завершены, врач произвел шлифовку и обработку стоматологическим средством, в котором содержится фтор. В целом процедурой я очень довольна. После нее у меня зубы стали очень чистыми, а улыбка стала красивой».
Марина: «Перед чисткой, ротовую полость мне смазали средством, на основе вазелина. А также одели на меня очки, шапочку, накидку и специальную салфетку на лицо. Во время процедуры все было терпимо и это несмотря на то, что я очень остро реагирую на боль.
После того, как обработка была завершена, десны помазали стоматологическим лекарственным средством. Зубную эмаль врач обработал фтором. Некоторое время после применения данного способа у меня болели десна и немного кровоточили, но через несколько дней эти неприятные ощущения прошли».
Из написанного выше можно сделать вывод, что процедура «Аir flow» поможет клиентам снова иметь здоровые зубы и красивую улыбку. При выборе данного метода лечения, пациенту стоит ознакомиться со всеми нюансами, которые имеет такая процедура.
Стоит иметь в виду, что этот способ может подойти не каждому больному, который имеет определенные проблемы со здоровьем.
stomatolab.com
Air Flow: отбеливание или чистка зубов?
Дата обновления: 30.11.2018
Дата публикации: 03.04.2014
8

Автор: Екатерина Гаспарова
Автор медицинских статейОбразование: Филологический факультет МПГУ по специальности «Журналист», факультет журналистики МГУ по специальности «Редактор»
Среди списка стоматологических услуг многих клиник значится Air Flow отбеливание. Но можно ли обработку зубной поверхности пескоструйным аппаратом отнести к отбеливающим процедурам? И в праве ли методика Air Flow называться отбеливанием?
Что такое Air Flow?
Итак, давайте разбираться. Air Flow, что в переводе с английского означает «воздушный поток», – название аппарата производства швейцарской компании EMS. В современной стоматологии эта весьма полезная штука применяется для удаления пигментации и мягкого налета с поверхности зубов, а также различных искусственных конструкций – таких, как виниры, коронки, зубные имплантаты и тому подобное. Air Flow воздействует на налет струей, состоящей из смеси порошка на основе бикарбоната натрия (сода), воды и сжатого воздуха. Раствор подается на зубную поверхность под давлением и в результате воздушно-абразивной обработки очищает налет и поверхностные пигментации в труднодоступных участках.
Процедура проходит следующим образом. На пациента обязательно надевают стоматологические защитные очки, губы смазываются вазелином для предупреждения их высыхания, а под язык помещают слюноотсос. Врач направляет наконечник аппарата Air Flow под углом 30-60 градусов относительно зубной эмали и круговыми движениями очищает каждый зуб, не задевая десны. Отработанная смесь собирается стоматологическим пылесосом, который держит ассистент врача. Так как при очистке теряется органическая пленка, покрывающая зуб, в первые 2 – 3 часа после процедуры гигиенической чистки Air Flow пациенту нельзя употреблять красящие напитки и продукты, а также курить.
Почему Air Flow называют отбеливанием?
Для того чтобы ответить на это вопрос, надо понять, какой собственно эффект мы можем получить в результате данной процедуры. Аппарат Air Flow позволяет удалять мягкий зубной налет, поверхностную пигментацию от употребления кофе, чая, сигарет и других красящих веществ, возвращая тем самым зубам их природный цвет. Методика также очень эффективна для очищения различных реставраций типа голливудских виниров и люминиров. Так почему же данную процедуру называют отбеливанием? Дело в том, что зубы в процессе применения Air Flow очищаются в труднодоступных для обычной щетки местах, за счет чего площадь очищенной зубной поверхности становится больше, а, следовательно, увеличивается количество отражаемого от нее света, в результате чего кажется, что эмаль стала светлее.
«Неоспоримый косметический и психологический эффект», который обещает производитель чудо-аппарата, мы, несомненно, получим. Иногда для того, чтобы сделать зубы белыми, действительно требуется всего лишь очистить их и отполировать, но если они желтые от природы, белее их не сделает никакая чистка. К сожалению, об этом факте пациентов предупреждают немногие врачи, предпочитая предлагать вместо эффективного отбеливания, его суррогатную замену, так называемое, естественное отбеливание зубов Air Flow.
Чистка или отбеливание зубов Air Flow?
Что же выбрать: чистку с помощью пескоструйного аппарата или настоящее отбеливание зубов? Если вас устраивает натуральный цвет зубов, то раз в полгода процедура Air Flow будет неплохим способом преобразиться и соблюсти рекомендации гигиенистов по уходу за полостью рта. При этом, если вы желаете обрести белоснежную улыбку, но боитесь прибегать к радикальным мерам, не стоит утешать себя что воздушно-абразивная обработка – это, своего рода, безопасное отбеливание зубов. Процедура также имеет ряд противопоказаний, в числе которых повышенная чувствительность зубов, тонкая эмаль, воспаления десен, аллергия на цитрусовый вкус, астма и бронхит.
Тем же, кто недоволен натуральным цветом своих зубов, следует знать, что только профессиональные отбеливающие технологии способны существенно изменить оттенок зубной эмали. Это может быть фотоотбеливание зубов, отбеливание лазером или химическое осветление зубов. Но гигиеническая чистка зубов с помощью Air Flow обязательно потребуется перед настоящим отбеливанием, а также в последствии поможет сохранить белоснежную улыбку надолго.
Итак, мы добрались до сути. Отбеливание методом Air Flow не существует, а есть обычная гигиеническая чистка. Согласитесь, отбелить зубы и почистить их – совсем разные вещи по принципу воздействия и по конечному результату. Но что бы вы ни выбрали для красоты и здоровья зубов, обязательно проконсультируйтесь со стоматологом, которому вы доверяете. Он обязательно подскажет вам, какое решение в вашем случае будет самым правильным.
Издатель: Экспертный журнал о стоматологии Startsmile.ru
www.startsmile.ru
Чистка зубов Air Flow | плюсы и минусы, цена
Снятие зубного налета Air Flow
Дословно название Air Flow переводится как «поток воздуха». Используя давление воздушного потока, подается абразивный порошок, который механически очищает зубы от камня и стойкого окрашенного налета. Принцип действия напоминает пескоструйную технологию, только вместо песка используется стоматологическая абразивная смесь, состоящая из соды и поваренной соли. В нее также могут добавляться вещества с бактерицидным и освежающим эффектом.
Если эмаль истончена, и воздействие причиняет болевые ощущения, в смесь добавляют анестетики (чаще всего лидокаин).
Иногда этот процесс называют отбеливание зубов Air Flow, хотя отбеливанием на самом деле он не является. Эмаль становится светлее только потому, что с нее удаляется темный налет, а затем проводится полировка специальными резинками, щеточками и пастами. Поэтому зубы приобретают свой первозданный свет. Если же поверхность зубов имеет природный сероватый или желтоватый оттенок, изменить цвет эмали можно только при помощи химического отбеливания.
Когда нужна чистка зубов «Аир Флоу»
Методика имеет очень широкий спектр целевого применения и рекомендуется в следующих случаях:
- Для более высокого уровня личной гигиены – чистка Air Flow позволит убрать зубной налет в недоступных для домашней гигиены местах. Это межзубные промежутки, поддесневые карманы, места плотного прилегания зубных единиц друг к другу или их наложения.
- При интенсивном курении и употреблении кофе. В этом случае чистку Аир Флоу рекомендуется выполнять не реже, чем раз в 2 года.
- Для осуществления гигиены ротовой полости при ношении брекет-систем. Домашних процедур в этом случае недостаточно, так как обычной зубной щеткой невозможно очистить зубную поверхность в местах крепления брекетов.
- При неправильном прикусе и деформации зубного ряда только чистка Аир Флоу может удалить твердый налет в местах нестандартного наложения зубов друг на друга.
- Для полного обследования состояния челюстей перед установкой имплантов или установкой брекет-систем – зачастую под темными зубными отложениями могут скрываться небольшие очаги кариеса или нарушения структуры эмали, которые невозможно выявить до того, как зубы очистятся.
- При пародонтозе и пародонтите процедура рекомендуется для более качественной диагностики состояния ткани пародонта.
Осуществлять чистку зубов Аир Флоу рекомендуется каждому, кто следит за здоровьем своих зубов и десен. Она даёт не только ощутимый эстетический эффект, но и предотвращает появление новых очагов кариеса, так как под слоем зубных отложений активно развиваются бактерии, «съедающие» эмаль.
Противопоказания и минусы процедуры «Аир Флоу»
Несмотря на предельную мягкость метода, он имеет некоторые противопоказания. Они больше связаны с особенностями организма самого пациента, чем с методикой проведения очистки.
Чистка зубов Air Flow противопоказания:
- Слишком тонкая эмаль, что вызывает повышенную чувствительность. В этом случае применяют порошок, содержащий анестетики, это позволяет избежать болевых ощущений. Если же эмаль настолько тонка, что может быть повреждена при проведении манипуляции, стоматолог процедуру отменит. Это случается крайне редко, так как методика является очень щадящей, и обычно не приводит к нарушению естественных структур зубов.
- Аллергия на любой из компонентов абразивной смеси. Если пациент склонен к аллергиям, следует выбирать состав, который не содержит ароматизаторов и анестетиков. Стандартный микс из соды и поваренной соли гипоаллергенен, и противопоказаний не имеет.
- В случае астмы пыль абразивной смеси может спровоцировать приступ. Поэтому людям, страдающим этим заболеванием, следует проводить чистку с особой осторожностью, чтобы предотвратить попадание абразива в бронхи.
- Если назначена строгая бессолевая диета, обработку следует отложить до ее окончания, так как абразивная смесь содержит соль.
Как видите, чистка зубов Аir-Flow имеет немного противопоказаний и ограничений – большинство людей могут получить профессиональную гигиеническую процедуру.
Как проходит процедура Air Flow

Сама обработка безболезненна и проходит достаточно комфортно. Это одна из немногих манипуляций в стоматологии, которая не требует обезболивания.
Профессиональная чистка Air Flow длится от получаса до часа, в зависимости от фронта работ.
Чтобы смесь не попала в легкие, при проведении очистки пациент должен дышать только через нос, поэтому у него не должно быть насморка.
- Перед началом процесса смазывают губы вазелином, чтобы избежать их пересыхания.
- Затем под язык устанавливается слюноотсос, что позволит во время проведения чистки избавляться от излишнего слюноотделения.
- На пациента надеваются специальные очки, а на волосы шапочка, чтобы избежать случайного попадания абразивной пыли в глаза и на волосы.
- Во время гигиенической манипуляции включается специальный стоматологический пылесос, который отсасывает образующуюся во время работы взвесь.
- Стоматолог очищает зубы круговыми движениями один за другим, при этом струя не должна раздражать десны или попадать на явные очаги кариеса.
- Если у пациента есть зубной камень, его удаляют при помощи ультразвука. Обычно обе процедуры выполняются в комплексе.
- Пару часов после проведения очистки стоит избегать курения, чтобы эмаль не стала желтой.
После проведения очистки эмаль на время остается без своего природного защитного слоя. Чтобы избежать ее повреждения, рекомендуется минимум сутки, а лучше двое, после обработки не употреблять продукты, содержащие красители, особенно химические, а также кислую пищу (лимоны, уксус).
Защиту эмали можно обеспечить нанесением фторсодержащего лака – это дополнительная услуга, которая выполняется по желанию пациента.
После проведения чистки зубов Аир Флоу, они тщательно высушиваются ватным тампоном, а затем на их поверхность кисточкой наносится фторсодержащий лак. Пациенту необходимо несколько минут посидеть с открытым ртом до его полного высыхания. Фторлак создает тонкую, но эффективную защитную пленку, которая сохраняет свои свойства при жевании и чистке зубов. Она обеспечивает барьерную, антибактериальную защиту и насыщает ткани зуба фтором.
Преимущества чистки Air Flow
Технология очистки зубов Air Flow имеет целый ряд преимуществ:
- Относительно небольшая длительность гигиенической процедуры (до 1 часа) позволяет провести чистку всей ротовой полости за один сеанс.
- Чистка безболезненна, за редким исключением повышенной чувствительности, которая устраняется введением в смесь анестетика.
- Процедура является более щадящей для эмали и для десен по сравнению с химической или механической очисткой, позволяет избежать травм десен и сколов эмали.
- Технология полностью безопасна для десен и пародонта.
- Методика дает возможность провести очистку труднодоступных поверхностей, таких как зона крепления брекет-систем, также при слишком плотной или деформированной структуре зубного ряда.
- Регулируемая мощность подачи воздуха позволит уменьшать или увеличивать давление струи в зависимости от того, что счищают с поверхности – мягкий или твердый налет. Это позволит максимально сохранить структуру эмали.
- Щелочной состав смеси дополнительно дезинфицирует ротовую полость, предотвращая болезнетворные процессы.
- Процедура гипоаллергенна.
Если вам нужна чистка Air Flow в Москве, особенно в северной части столицы, хороший выбор — это Стоматология Левобережная. Выбирая нас, пациенты гарантированно получают профессионально выполненную процедуру по демократичной цене.
Чистка зубов Air-flow: фото до и после

Чистка зубов в Москве
Чистку зубов Fir-Flow выполняют в стоматологии Левобережная по адресу: м. Речной вокзал, Беломорская ул., д.1. Для того, чтобы записаться на прием воспользуйтесь формой записи.
lstom.ru
Профессиональная чистка зубов Air Flow
Сегодня понятие «голливудская улыбка» стало нарицательным. Всем хочется белоснежного сияния зубов, но не все готовы ради него чем-то пожертвовать. А жертвовать приходится.
Белоснежные зубы мало кому даются от рождения. Более того, они сильно подвержены влиянию внешних факторов, которые сложно полностью исключить из жизни. Вот и получается, что «голливудская улыбка» — это результат тщательного самостоятельного ухода за зубной эмалью и постоянной качественной стоматологической помощи.
Стоматология предлагает несколько вариантов чистки и отбеливания. Один из них – профессиональная чистка зубной поверхности Air Flow. Это новая, но уже достаточно популярная технология, преимущества и недостатки которой рассмотрим подробнее.
Что такое профессиональная чистка зубов AirFlow?
Перевод названия технологии Air Flow точно отображает ее суть – «воздушный поток», очистка воздушным потоком. Механизм очистки напоминает всем знакомый пескоструйный аппарат, которым в промышленности чистят разные поверхности. Компрессором на поверхность, требующую очистки, подается под высоким давлением поток воздуха с подмешиванием в него абразивного вещества. Удары абразива не должны влиять на поверхность, которую чистят, но должны разрушать загрязнения.
Работа аппарата Air Flow аналогична. Разница в том, что все происходит в меньшем масштабе. На зубную поверхность под давлением подается смесь воздуха, воды и абразива – обычной питьевой соды.
Эта процедура предназначена для качественной очистки эмали в тех местах, куда добраться щеткой невозможно. Лучшие результаты такая методика дает при неправильном расположении зубов у пациента, их скручивании.
Отбеливание при очистке «воздушным потоком» — это «побочный эффект». Достигается он за счет удаления с эмали налета от курения, кофе, красящих продуктов. Эмали возвращается естественный цвет, который светлее текущего.
Как проводится процедура Air Flow?
Очистка зубной эмали Air Flow – продолжительная, сложная процедура. Длится она около часа, включая несколько этапов:
- чистка обычной щеткой;
- консультативная оценка состояния ротовой полости пациента врачом;
- при необходимости очистка эмали от твердого налета и камня ультразвуковым аппаратом скалером;
- чистка «воздушным потоком»;
- чистка пространства между зубами нитью;
- полировка эмали;
- нанесение на зубную поверхность средств, которые укрепят эмаль, а также снизят чувствительность.
Такой порядок действий – единственно правильный. Вариации возможны только с третьим пунктом – ультразвуковой чисткой.
Если не придерживаться такого алгоритма, результат может быть хуже ожиданий. Без полировки и нанесения защитных составов возможны ситуации, когда уже спустя несколько недель зубы опять станут темными, на их поверхности появится налет.
Происходит это из-за того, что после чистки «воздушным потоком» абразив оставляет на эмали микротрещины. Без полировки и защитного покрытия они легко впитывают загрязнения, вычистить которые повторно очень сложно.
Неправильно проведенная очистка – основная причина негативных отзывов о Air Flow. Если все сделано правильно, результат совпадает с ожиданиями.
| Но нужно помнить, что такая методика очистки – это не отбеливание. Первостепенная задача – очистить зубы от налета. Чтобы получить «голливудскую улыбку» нужны другие процедуры. |
Какого результата ждать после чистки Air Flow?
Единственный гарантированный результат от Air Flow – это очистка поверхности зубов. Загрязнения убираются даже с труднодоступных мест:
- в участках стыка зуба и десен;
- между зубами, особенно при их плотном расположении;
- в местах, где к зубам касаются ортодонтические конструкции: брекеты, протезы, корректирующие пластины.
Ждать же от очистки «воздушным потоком» отбеливания не стоит. Эмаль может посветлеть на несколько тонов, но претензии из-за того, что оттенок не поменялся, у вас никто не примет.
Еще один важный эффект от такой очистки – профилактика кариеса. Налет – одна из его причин. Своевременно и регулярно удаляя его, риск перерастания налета в кариес существенно уменьшится.
Как часто нужно проводить очистку?
Чистку поверхности зубов аппаратом Air Flow можно сравнить с некоторыми косметологическими процедурами: чисткой кожи, пилингом, термолифтингом. Для сохранения эффекта проводить их нужно регулярно.
То же касается и чистки «воздушным потоком». Зубная эмаль постоянно подвергается воздействию внешних факторов: еды, напитков, курения, алкоголя. Все они способствуют образованию налета. У кого-то этот процесс более быстрый, у кого-то более медленный, но чистить его нужно регулярно.
Единой рекомендации по частоте проведения профессиональной чистки по этому методу не существует. Ориентировочный срок между процедурами составляет шесть месяцев.
Но только врач после осмотра ротовой полости может указать на необходимость снятия налета.
Нужно помнить, что чистить эмаль от налета можно несколькими методами. Выбор конкретного – это прерогатива врача, а также желание пациента.
Противопоказания к очистке зубов Air Flow
Снятие налета абразивом, который подается на эмаль под давлением, непростая процедура, которая может быть опасной. Если вспомнить пескоструйный способ борьбы с загрязнениями, который был взят за основу при создании методики Air Flow, то он считается опасным для работников, которые занимаются этим из-за высокой скорости подачи смеси и риска повреждений из-за ее попадания на человека.
При обработке зубной поверхности воздушной смесью с абразивом скорость подачи ниже, но она также представляет опасность.
Первыми страдают десна. Один из распространенных побочных эффектов после чистки таким методом – кровоточивость десен, которая сохраняется несколько дней.
Кроме этого, процедура болезненная. Боль не сильная, но продолжительная, из-за чего, судя по отзывам, день после ее проведения пациент чувствует усталость.
К противопоказаниям относят:
| Группа противопоказан |
med.vesti.ru
Чистка зубов Air-flow – отзывы об отбеливании
Чистка зубов airflow – это медицинская процедура, которая проводится только в стоматологической клинике и позволяет эффективно решить проблемы разного рода: осветлить эмаль примерно на два тона, очистить труднодоступные участки зубов, произвести гигиеническую чистку установленных на зубах ортопедических и ортодонтических конструкций (протезов и брекетов). Также, когда проводится чистка airflow, повышается уровень фтора в зубной эмали, при этом не разрушая ее. Кроме того, аппарат airflow используется в тех случаях, когда необходимо удалить поддесневые и наддесневые отложения.
Некоторые люди считают, что любое осветление эмали – в том числе и отбеливание airflow – небезопасно для здоровья зубов. Конечно же, это не так, потому что это профессиональная чистка, осветление происходит за счет снятия мягкого зубного налета, недоступного для обычной зубной щетки. Поэтому, периодическая профессиональная чистка необходима каждому. Чистка airflow хороша именно тем, что препараты для ее проведения абсолютно нетоксичны, не вызывают разрушение зубной эмали и не вызывают осложнений. Эту процедуру нельзя проводить только тем пациентам, которые страдают заболеваниями органов дыхания. Остальным отбеливание зубов airflow можно проводить безбоязненно, о чем свидетельствуют оставленные о процедуре airflow отзывы наших пациентов.
В чем заключается метод airflow? С помощью особого пескоструйного аппарата на зубы пациента подается взвесь, состоящая из воды, воздуха и абразива, в качестве которого выступает обычная пищевая сода. Причем концентрация соды при чистке зубов методом airflow столь незначительна, что не оказывает на зубную эмаль отрицательного воздействия и имеет приятный лимонный вкус, что делает процедуру полностью безопасной и вполне комфортной.
Некоторые пациенты сомневаются в том, какой вид отбеливания предпочтительней: процедура airflow(в комплексе с ультразвуковой чисткой) или отбеливание ZOOM3. Необходимо отметить, что airflow, ультразвук по сути своей убирают зубные отложения, за счет чего и достигается осветление, а ZOOM3 проводится для существенного осветления (на 10-12 тонов) уже очищенных от зубных отложений зубов. Таким образом, это две процедуры дополняющих друг друга. Можно сказать, что ZOOM3 производится по желанию (для достижения эстетического эффекта), а комплексная чистка, включающая airflow – чаще и по медицинским показаниям.
Делать выбор межу ультразвук или airflow также немного неверно: ультразвуковая чистка позволяет снять сильно затвердевшие зубные отложения, т.е. два этих метода необходимо использовать вместе. Именно поэтому, мы рекомендуем проводить комплексную чистку.
Ультразвуковая чистка зубов airflow является абразивным методом воздействия на зубы, поэтому после ее окончания необходима небольшая шлифовка и нанесение специального состава, который предотвращает налипание остатков пищи на эмаль. Кроме того, после использования системы air flow нельзя курить и употреблять пищу в течение двух часов. Из напитков в течение дня рекомендуется употреблять только чистую воду.
Обсуждение метода и фото результатов airflow до и после есть на страницах нашего сайта. Почитайте про отбеливание зубов airflow отзывы, задайте вопросы, чтобы иметь полное представление о том, как проводится процедура и каков ее результат. Если же вы еще не выбрали для проведения процедуры airflow стоматологию в Москве, и хотите получить врачебную консультацию, звоните нам и наши специалисты дадут вам полную информацию по всем вопросам. Для того, чтобы наши пациенты могли сэкономить средства, мы часто проводим по чистке зубов airflow акции, делаем скидки.
Если профессиональная чистка зубов, отзывы о которой Вы можете прочитать на нашем сайте, заинтересовала Вас, запишитесь на осмотр к терапевту. Как и по другим процедурам, если в нашей клинике Вам была сделана Аirflow чистка зубов, отзывы просьба оставлять в соответствующем разделе сайта, чтобы другие пациенты также имели представление о данной процедуре.
www.ortodont.org
Чиста зубов методом Air Flow – Все преимущества процедуры

Несмотря на то, что чистке зубов люди регулярно уделяют много времени, подойдя к зеркалу, они вынуждены признать, что желаемой белизны они не могут достичь даже при помощи дорогих зубных паст и щеток с идеальными конструкциями. А после визита к стоматологу приходится еще констатировать появление новых пораженных участков зубов, прямо указывающих на тенденцию развития кариеса.
Для того чтобы не допускать накопления налета на зубах, тех способов, которые используют люди для повседневного ухода в домашних условиях, не достаточно. Зубная паста и средства для полоскания обеспечивают чистку зубов от остатков пищи, но они не в состоянии полностью противостоять микробам, которые наслаиваются в микротрещинах зубов и между ними. Снять невидимый налет с зубов, можно с помощью процедуры air flow.
Необходимость в чистке зубов
Если этого не делать, постепенное наслоение налета приводит не только к потере блеска зубов, но и к развитию их заболеваний. В таких пораженных местах обеспечиваются условия для возникновения начальной стадии кариеса, с последующим развитием разрушающего действия на зубы. Кариесогенные микроорганизмы, в соединении с остатками пищи, образовывают среду повышенной кислотности, в которой происходит дальнейшее развитие кариеса.
Под ее воздействием эмаль зубов теряет свой цвет и поддается постепенному разрушению. И это происходит не потому, что профилактические средства для зубов не обладают достаточным потенциалом, а потому, что уход за ними требует не частого, но профессионального ухода с помощью метода air flow.
Несколько причин в обработки зубов air flow
- Самостоятельная чистка зубов не может давать 100% результата. Она дает лишь эффект, за которым маскируются причины возникновения кариеса и потемнения зубов.
- Air flow обеспечивает полную очистку зубов перед началом их лечения. Это гарантирует качественное наложение пломб или коронок.
- Щадящее отбеливание зубов натуральными средствами – водой и специальным абразивным порошком, в составе которого не присутствуют агрессивные компоненты.
Технология air flow состоит в том, что поверхность зубов поддается обработке под строго нормированным давлением смесью воды и натурального абразивного вещества. Разрушительное действие направлено только на зубной налет. Несмотря на то, что происходит полировка эмали, она не подвергается опасности разрушения.
Учитывая, что люди не любят посещать кабинет стоматолога без крайней необходимости, такой способ дает возможность всего за один сеанс добиться блистательного результата и обеспечить здоровое состояние зубов. Процедура абсолютно безболезненная и не доставляет клиенту неудобств. Продолжительность несложного сеанса занимает не более тридцати минут.
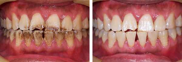
Фото до и после чистки Air Flow
За это время удаляются налет и микробы в недостигаемых для зубной щетки местах. Удаление источников воспалительных процессов дает возможность остановить развитие болезней не только зубов, но и тканей десен. Такое лечение зубов можно отнести к превентивному виду, когда устраняется причина заболевания без допущения его дальнейшего прогрессирования.
По инструкции, air flow может применяться также для обработки брекетов и головок имплантатов. Эта процедура рекомендуется для определения настоящего цвета зубов, перед укреплением эмали. После процедуры air flow зубы возвращают себе натуральный идеальный блеск и безупречную чистоту.
mydentist.lv
что это такое и лучше ли чем чистка ультразвуком
Содержание статьи
Профессиональная чистка зубов Air Flow – это хороший способ ликвидировать отложения камня и вернуть эмали натуральный оттенок. Эту безболезненную и безопасную процедуру выполняют в стоматологических клиниках.
Аппарат Air FlowСистема Air Flow — что это такое
При очищении зубов Air Flow используется швейцарский аппарат. Суть метода состоит в том, что происходит обработка особым лечебным раствором под сбалансированным давлением. В составе средства присутствует бикарбонат натрия и кислородный поток. Оно не вредит эмали, поскольку состоит из маленьких частичек. Аппарат оснащен двумя соплами. Через первое подается раствор абразивного порошка в воде, через второе – воздушная струя.
Удаление вредных веществ, которые отслаиваются от эмали, происходит стоматологическими инструментами, поглощающими пищевые кусочки и налет. Специалист мягко и скрупулезно прочищает каждый зуб, устраняя вредоносный налет. Чистка может избавить от пленок с болезнетворными микроорганизмами, а из околозубных карманов устраняются патологические грануляции.
Аппаратуре не под силу убрать камень, она может воздействовать только на те отложения, которые не успели затвердеть.
Абразивные порошки изготавливаются компанией EMS (Швейцария). Они могут иметь разнообразный аромат и вкус. Также выпускается продукция без отдушек, разных добавок и с нейтральным составом. Она подходит для пациентов с личной непереносимостью цитрусовых фруктов и аллергическими реакциями. Всего существует 3 разновидности смесей с разной основой:
- классика;
- PERIO;
- SOFT.
Чистка зубов аппаратом AirFlowПоказания к чистке
Пользоваться чисткой Air Flow рекомендуется в следующих случаях:
- При наличии искусственных конструкций – имплантов, виниров, коронок и протезов.
- В качестве предварительного этапа имплантации, установки коронок и пломбировании зубов.
- При проблемах с деснами, которые только начали зарождаться. Процедура дает возможность очистить межзубные труднодоступные пространства, минимизируя риск развития пародонтоза.
- В случае появления стойкого налета и образовавшегося зубного камня.
- При выраженной пигментации зубной эмали, а также курящим людям.
- При неправильном смыкании зубов. Лишь чистка Air Flow способна щадяще удалить грязь с межзубного пространства, когда наблюдается плотное расположение или скручивание зубов.
- В качестве гигиенического ухода перед снятием брекет.
Противопоказания к процедуре
Методика Air Flow достаточно популярна, но она имеет противопоказания:
- индивидуальная непереносимость компонентов средства;
- заболевания дыхательной системы, например, астма и хронический бронхит;
- аллергия;
- истончение эмали;
- патологии почек;
- употребление лекарств, которые регулируют водно-солевой обмен;
- сильные воспалительные процессы языка, слизистой и пародонта;
- чрезмерная чувствительность верхнего слоя эмали;
- запущенный кариес.
Очищение зубов не проводится в период вынашивания и кормления ребенка. Несмотря на то, что процедура безболезненна, из-за временного скопления во рту налета и использования лечебного раствора способно негативно повлиять на здоровье будущего ребенка.
Очищение зубов не проводится в период вынашивания и кормления ребенка.Как проходит чистка зубов Air Flow в стоматологии
Процедура очищения Air Flow с помощью пескоструйного аппарата выполняется в несколько этапов:
- Смазывание вазелином губ для того чтобы не допустить их пересыхания.
- Помещение под язык слюноотсоса, благодаря которому сохраняется сухость во рту. Это необходимо и для того чтобы избежать сильного слюнотечения при проведении процедуры.
- Надевание специальной шапочки и очков для защиты глаз и волос от оседающей взвеси абразивного порошка.
- Очищение круговыми движениями каждого зуба. Стоматолог контролирует, чтобы струйка раствора не попадала на слизистые оболочки и открытые зоны дентина при присутствующем кариесе и эрозиях.
- Стоматолог регулирует напор струи, воздействуя на твердые и мягкие отложения с разной силой.
Достоинства и недостатки технологии отбеливания зубов Air Flow
К главным преимуществам осветления эмали и удаления микробного налета системой Air Flow относят:
- Пациент не испытывает дискомфорта.
- Ликвидация шершавости зубов и безукоризненная чистота ротовой полости.
- Возможность очистки в труднодоступных местах и между зубами.
- Результативное очищение от микробных отложений, пигментного зубного налета и эмали.
- Устранение множества болезнетворных микроорганизмов, которые провоцируют формирование кариеса и различных инфекционных воспалительных процессов во рту;
- Возможность отбеливания как минимум на 2 тона;
- Отсутствие травматизации верхнего дентина.
- Доступность очищения корневых частей зубов в пародонтальных карманах, что дает возможность осуществлять эффективное лечение пародонта и добиться ремиссии заболевания.
- Не токсичность используемого средства.
Как часто можно делать чистку зубов air flow
Профессиональное отбеливание зубов Air Flow не рекомендуется проводить чаще, чем раз в полгода.
Процедура чистки аппаратом Air FlowКак и у любой другой процедуры, у нее есть и недостатки:
- Нельзя добиться радикального осветления. Процедура позволяет восстановить только естественный оттенок эмали, который индивидуален у каждого человека.
- Невозможность удаления зубного камня. Air Flow может справиться только с мягкими отложениями.
Что лучше: чистка зубов Air Flow или ультразвуком
Чистка Air Flow – это безопасная процедура, поскольку используется пескоструйный аппарат, который ликвидирует отложения и остатки из щелей воздушным потоком и струей абразивного раствора. А ультразвуковая чистка предполагает применение УЗ волн, разрушающих отложения, налет и зубной камень с помощью определенной частоты колебаний.
Таким образом, Air Flow подразумевает тщательное очищение, а ультразвук полноценную серьезную очистку. Каждый из способов отличается не только способом воздействия, но и глубиной очищения. Какой именно метод выбрать, определяется индивидуально лечащим стоматологом.
Устранение зубного камня ультразвукомРекомендации после проведения процедуры
В процессе очищения зубов Аир Флоу убирается органическая пленка, которая покрывает зуб. Новая пленка из слюны формируется на протяжении 2-3 часов. По истечении данного времени можно вернуться к обычному образу жизни. В первые же часы запрещено курить, а в течение 2 суток после процедуры не употребляют красящие:
- напитки – соки, красное вино, кофе, чай и другие;
- продукты – ягоды, горчицу, соевый соус, свеклу и так далее.
Первые два дня может сохраняться высокая чувствительность зубов от горячих и холодных раздражителей у режущих краев и пришеечной части зубов, а также увеличение подвижности. В таком случае на помощь могут прийти гели, которые насыщают минералами зубы.
Надо внимательно прислушиваться к советам лечащего врача, касающихся манипуляций по уходу за полостью рта после Air Flow. Необходимо заменить старую щетку, на которой обязательно останутся бактерии, и пользоваться ополаскивателем для рта.
С лечащим стоматологом желательно обсудить периодичность проведения последующих сеансов, учитывая образ жизни, особенности организма, наличие вредных привычек. Регулярная профессиональная чистка Air Flow дает возможность не просто очистить зубы от налета, но и предотвратить последствия, которые он вызывает. Подобная профилактическая мера позволит решить эстетические проблемы и сохранить здоровье зубов и десен.
denta.guru
