ΠΠ±Π»ΠΈΡΠ΅ΡΠΈΡΡΡΡΠΈΠΉ Π±Π°Π»Π°Π½ΠΈΡ: ΠΡΠ΅ΡΠΎΠ·Π½ΡΠΉ ΠΎΠ±Π»ΠΈΡΠ΅ΡΠΈΡΡΡΡΠΈΠΉ Π±Π°Π»Π°Π½ΠΈΡ
ΠΠ°Π»Π°Π½ΠΈΡ
- ΠΡΠΈΠ·Π½Π°ΠΊΠΈ ΠΈ ΡΠΈΠΌΠΏΡΠΎΠΌΡ Π±Π°Π»Π°Π½ΠΈΡΠ°
- ΠΡΠΈΡΠΈΠ½Ρ Π±Π°Π»Π°Π½ΠΈΡΠ°
- ΠΠ΅ΡΠ΅Π½ΠΈΠ΅ Π±Π°Π»Π°Π½ΠΎΠΏΠΎΡΡΠΈΡΠ°
- ΠΡΠΎΠ³Π½ΠΎΠ·
- ΠΡΡ ΠΌΡ Π»Π΅ΡΠΈΠΌ…
Π§ΡΠΎ ΡΠ°ΠΊΠΎΠ΅ ΠΎΠ±ΡΡΡΡΠΊΡΠΈΠ²Π½ΡΠΉ ΠΊΡΠ΅ΡΠΎΡΠΈΡΠ΅ΡΠΊΠΈΠΉ (ΡΠΊΠ»Π΅ΡΠΎΠ·ΠΈΡΡΡΡΠΈΠΉ) Π±Π°Π»Π°Π½ΠΈΡ
ΠΠ±ΡΡΡΡΠΊΡΠΈΠ²Π½ΡΠΉ ΠΊΡΠ΅ΡΠΎΡΠΈΡΠ΅ΡΠΊΠΈΠΉ Π±Π°Π»Π°Π½ΠΈΡ ΡΡΠΎ Ρ
ΡΠΎΠ½ΠΈΡΠ΅ΡΠΊΠΎΠ΅ ΠΏΡΠΎΠ³ΡΠ΅ΡΡΠΈΡΡΡΡΠ΅Π΅ Π²ΠΎΡΠΏΠ°Π»ΠΈΡΠ΅Π»ΡΠ½ΠΎΠ΅ Π·Π°Π±ΠΎΠ»Π΅Π²Π°Π½ΠΈΠ΅ Π³ΠΎΠ»ΠΎΠ²ΠΊΠΈ ΠΏΠΎΠ»ΠΎΠ²ΠΎΠ³ΠΎ ΡΠ»Π΅Π½Π° ΠΈ ΠΊΡΠ°ΠΉΠ½Π΅ΠΉ ΠΏΠ»ΠΎΡΠΈ, ΠΊΠΎΡΠΎΡΠΎΠ΅ ΠΏΡΠΎΡΠ²Π»ΡΠ΅ΡΡΡ ΠΏΠΎΡΠ²Π»Π΅Π½ΠΈΠ΅ΠΌ Π±Π»Π΅Π΄Π½ΠΎ-Π±Π΅Π»ΡΡ
ΡΡΠ°ΡΡΠΊΠΎΠ² Π²Π±Π»ΠΈΠ·ΠΈ ΡΡΡΡΡ ΠΌΠΎΡΠ΅ΠΈΡΠΏΡΡΠΊΠ°ΡΠ΅Π»ΡΠ½ΠΎΠ³ΠΎ ΠΊΠ°Π½Π°Π»Π°, ΠΏΠΎΡΡΠ΅ΠΏΠ΅Π½Π½ΡΠΌ ΡΠ°Π·Π²ΠΈΡΠΈΠ΅ΠΌ Π·Π°ΡΠ²Π΅ΡΠ΄Π΅Π½ΠΈΡ ΠΊΠΎΠΆΠΈ, ΡΠ°ΡΡΡΠ΅ΡΠΊΠΈΠ²Π°Π½ΠΈΠ΅ΠΌ ΠΊΠΎΠΆΠΈ, Π½Π° ΠΌΠ΅ΡΡΠ΅ ΠΊΠΎΡΠΎΡΠΎΠ³ΠΎ ΡΠΎΡΠΈΠΌΡΡΡΡΡΡ Π±Π΅Π»Π΅ΡΡΠ΅ ΡΡΠ±ΡΡ,ΠΊΠΎΡΠΎΡΠΎΠ΅ ΠΏΡΠΈΠ²ΠΎΠ΄ΠΈΡ ΠΊ ΡΡΠΆΠ΅Π½ΠΈΡ Π½Π°ΡΡΠΆΠ½ΠΎΠ³ΠΎ ΠΎΡΠ²Π΅ΡΡΡΠΈΡ ΠΌΠΎΡΠ΅ΡΠΏΡΡΠΊΠ°ΡΠ΅Π»ΡΠ½ΠΎΠ³ΠΎ ΠΊΠ°Π½Π°Π»Π° ΠΈ ΠΊΡΠ°ΠΉΠ½Π΅ΠΉ ΠΏΠ»ΠΎΡΠΈ (Π΅ΡΠ»ΠΈ ΠΏΡΠΎΡΠ΅ΡΡ Π·Π°ΡΡΠ°Π³ΠΈΠ²Π°Π΅Ρ ΠΊΡΠ°ΠΉΠ½ΡΡ ΠΏΠ»ΠΎΡΡ. ΠΠ°Π±ΠΎΠ»Π΅Π²Π°Π½ΠΈΠ΅ Π½Π΅ ΡΠ²Π»ΡΠ΅ΡΡΡ ΠΈΠ½ΡΠ΅ΠΊΡΠΈΠΎΠ½Π½ΡΠΌ ΠΈ Π½Π΅ ΠΏΠ΅ΡΠ΅Π΄Π°Π΅ΡΡΡ ΠΏΠΎΠ»ΠΎΠ²ΡΠΌ ΠΏΡΡΠ΅ΠΌ. Π’ΠΎΡΠ½Π°Ρ ΠΏΡΠΈΡΠΈΠ½Π° ΠΎΠ±Π»ΠΈΡΠ΅ΡΠΈΡΡΡΡΠ΅Π³ΠΎ ΠΊΡΠ΅ΡΠΎΡΠΈΡΠ΅ΡΠΊΠΎΠ³ΠΎ Π±Π°Π»Π°Π½ΠΈΡΠ° Π² Π½Π°ΡΡΠΎΡΡΠ΅Π΅ Π²ΡΠ΅ΠΌΡ Π½Π΅ΠΈΠ·Π²Π΅ΡΡΠ½Π°. Π‘Π»Π΅Π΄ΡΠ΅Ρ ΡΠΊΠ°Π·Π°ΡΡ, ΡΡΠΎ ΠΏΡΠΎΡΠ²Π»Π΅Π½ΠΈΡ, ΠΏΠΎΠ΄ΠΎΠ±Π½ΡΠ΅ ΡΠ΅ΠΌ, ΠΊΠΎΡΠΎΡΡΠ΅ ΡΠ°Π·Π²ΠΈΠ²Π°ΡΡΡΡ Π½Π° Π³ΠΎΠ»ΠΎΠ²ΠΊΠ΅ ΡΠ»Π΅Π½Π° ΠΈ Π½Π° ΠΊΡΠ°ΠΉΠ½Π΅ΠΉ ΠΏΠ»ΠΎΡΠΈ, ΡΠ°ΠΊΠΆΠ΅ ΠΌΠΎΠ³ΡΡ Π½Π°Π±Π»ΡΠ΄Π°ΡΡΡΡ ΠΈ Π² Π΄ΡΡΠ³ΠΈΡ
ΠΌΠ΅ΡΡΠ°Ρ
.
ΠΠΎΡΡΠΎΠΌΡ Π±ΠΎΠ»Π΅Π΅ ΠΏΡΠ°Π²ΠΈΠ»ΡΠ½ΠΎΠ΅ Π½Π°Π·Π²Π°Π½ΠΈΠ΅ Π΄Π°Π½Π½ΠΎΠ³ΠΎ ΠΏΠΎΡΠ°ΠΆΠ΅Π½ΠΈΡ ΡΠΊΠ»Π΅ΡΠΎΠ·ΠΈΡΡΡΡΠΈΠΉ Π»ΠΈΡΠ°ΠΉ. Π£ ΠΆΠ΅Π½ΡΠΈΠ½ ΡΡΠΎ Π·Π°Π±ΠΎΠ»Π΅Π²Π°Π½ΠΈΠ΅ ΠΎΠΏΠΈΡΡΠ²Π°Π΅ΡΡΡ Π³ΠΈΠ½Π΅ΠΊΠΎΠ»ΠΎΠ³Π°ΠΌΠΈ ΠΊΠ°ΠΊ ΠΊΡΠ°ΡΡΠΎΠ· Π²ΡΠ»ΡΠ²Ρ. Π’Π°ΠΊΠΈΠΌ ΠΎΠ±ΡΠ°Π·ΠΎΠΌ Π² Π½Π°ΡΡΠΎΡΡΠ΅Π΅ Π²ΡΠ΅ΠΌΡ ΡΡΠΈΡΠ°Π΅ΡΡΡ, ΡΡΠΎ ΡΠΊΠ»Π΅ΡΠΎΠ·ΠΈΡΡΡΡΠΈΠΉ Π»ΠΈΡΠ°ΠΉ ΡΡΡΠ΅ΡΡΠ²ΡΠ΅Ρ Π² Π²ΠΈΠ΄Π΅ ΠΏΠΎΡΠ°ΠΆΠ΅Π½ΠΈΡ Π³Π΅Π½ΠΈΡΠ°Π»ΠΈΠΉ ΠΈ ΡΠΊΡΡΡΠ°Π³Π΅Π½ΠΈΡΠ°Π»ΡΠ½ΡΡ
ΠΎΡΠ΄Π΅Π»ΠΎΠ². ΠΠ΅Π½ΠΈΡΠ°Π»ΡΠ½ΡΠ΅ ΠΏΡΠΎΡΠ²Π»Π΅Π½ΠΈΡ ΡΠΊΠ»Π΅ΡΠΎΠ·ΠΈΡΡΡΡΠ΅Π³ΠΎ Π»ΠΈΡΠ°Ρ Π²ΡΡΡΠ΅ΡΠ°ΡΡΡΡ Π² 5 ΡΠ°Π· ΡΠ°ΡΠ΅, ΡΠ΅ΠΌ Π½Π΅Π³Π΅Π½ΠΈΡΠ°Π»ΡΠ½ΡΠ΅. ΠΠ½ΡΠΌΠΈ ΡΠ»ΠΎΠ²Π°ΠΌΠΈ ΠΎΠ±Π»ΠΈΡΠ΅ΡΠΈΡΡΡΡΠΈΠΉ ΠΊΡΠ΅ΡΠΎΡΠΈΡΠ΅ΡΠΊΠΈΠΉ Π±Π°Π»Π°Π½ΠΈΡ ΠΈ ΠΊΡΠ°ΡΡΠΎΠ· Π²ΡΠ»ΡΠ²Ρ ΡΡΠΎ Π³Π΅Π½ΠΈΡΠ°Π»ΡΠ½ΡΠ΅ ΠΏΡΠΎΡΠ²Π»Π΅Π½ΠΈΡ ΡΠΊΠ»Π΅ΡΠΎΠ·ΠΈΡΡΡΡΠ΅Π³ΠΎ Π»ΠΈΡΠ°Ρ.
Π§ΡΠΎ Π»Π΅ΠΆΠΈΡ Π² ΠΎΡΠ½ΠΎΠ²Π΅ Π·Π°Π±ΠΎΠ»Π΅Π²Π°Π½ΠΈΡ
Π Π½Π°ΡΡΠΎΡΡΠ΅Π΅ Π²ΡΠ΅ΠΌΡ ΠΏΠΎΠ΄ΡΠ²Π΅ΡΠΆΠ΄Π΅Π½ΠΎ, ΡΡΠΎ ΠΏΡΠΈΡΠΈΠ½ΠΎΠΉ ΡΠ°Π·Π²ΠΈΡΠΈΡ ΡΠΊΠ»Π΅ΡΠΎΠ·ΠΈΡΡΡΡΠ΅Π³ΠΎ Π»ΠΈΡΠ°Ρ (ΠΎΠ±ΡΡΡΡΠΊΡΠΈΠ²Π½ΠΎΠ³ΠΎ ΠΊΡΠ΅ΡΠΎΡΠΈΡΠ΅ΡΠΊΠΎΠ³ΠΎ Π±Π°Π»Π°Π½ΠΈΡΠ°, ΠΊΠ°ΠΊ ΡΠ°ΡΡΠ½ΠΎΠ³ΠΎ ΠΏΡΠΎΡΠ²Π»Π΅Π½ΠΈΡ) ΡΠ»ΡΠΆΠΈΡ Π²ΠΎΡΠΏΠ°Π»ΠΈΡΠ΅Π»ΡΠ½ΡΠ΅ ΠΈΠ·ΠΌΠ΅Π½Π΅Π½ΠΈΡ Ρ ΡΠΎΡΠΎΡΠΊΠΎΠ²ΠΎΠΌ ΡΠ»ΠΎΠ΅ ΠΊΠΎΠΆΠΈ ΠΈ ΡΠ»ΠΈΠ·ΠΈΡΡΡΡ
, ΡΡΠΎ ΠΏΡΠΈΠ²ΠΎΠ΄ΠΈΡ ΠΊ ΡΠ΅Π°ΠΊΡΠΈΠΈ ΡΠΈΠ±ΡΠΎΠ±Π»Π°ΡΡΠΎΠ² ΠΈ Π²Π΅Π΄Π΅Ρ ΠΊ ΡΠ°Π·Π²ΠΈΡΠΈΡ ΡΠΈΠ±ΡΠΎΠ·Π° ΡΠΎΡΠΎΡΠΊΠΎΠ²ΠΎΠ³ΠΎ ΡΠ»ΠΎΡ ΠΊΠΎΠΆΠΈ. ΠΡΡΠΊΠΎΠ²ΡΠΌ ΠΌΠ΅Ρ
Π°Π½ΠΈΠ·ΠΌΠΎΠΌ Π΄Π»Ρ Π΄Π°Π½Π½ΠΎΠΉ ΡΠ΅Π°ΠΊΡΠΈΠΈ ΡΠ»ΡΠΆΠΈΡ ΠΏΠΎΡΠ²Π»Π΅Π½ΠΈΠ΅ Π°ΡΡΠΎΠ°Π½ΡΠΈΡΠ΅Π» ΠΊ Π²Π½Π΅ΠΊΠ»Π΅ΡΠΎΡΠ½ΠΎΠΌΡ ΠΌΠ°ΡΡΠΈΡΠ½ΠΎΠΌΡ ΠΏΡΠΎΡΠ΅ΠΈΠ½Ρ 1 (ECM1). ΠΠΎΡΠ²Π»Π΅Π½ΠΈΠ΅ Π°Π½ΡΠΈΡΠ΅Π» ΠΊ ΡΡΠΎΠΌΡ ΠΏΡΠΎΡΠ΅ΠΈΠ½Ρ Π²ΡΠ·ΡΠ²Π°Π΅Ρ Π²ΠΎΡΠΏΠ°Π»ΠΈΡΠ΅Π»ΡΠ½ΡΡ ΡΠ΅ΠΊΠ°ΡΠΈΡ ΡΠΎΡΡΠ΄ΠΎΠ² ΠΌΠΈΠΊΡΠΎΡΠΈΡΠΊΡΠ»ΡΡΠΎΡΠ½ΠΎΠ³ΠΎ ΡΡΡΠ»Π° ΠΊΠΎΠΆΠΈ ΠΈ ΡΠ»ΠΈΠ·ΠΈΡΡΡΡ
.
ΠΠΎΡΠΏΠ°Π»ΠΈΡΠ΅Π»ΡΠ½ΡΠ΅ ΠΈΠ·ΠΌΠ΅Π½Π΅Π½ΠΈΡ ΡΠΎΡΡΠ΄ΠΎΠ² ΠΏΡΠΈΠ²ΠΎΠ΄ΡΡ ΠΊ Π»ΠΎΠΊΠ°Π»ΡΠ½ΠΎΠΉ ΠΈΡΠ΅ΠΌΠΈΠΈ, ΠΊΠΎΡΠΎΡΠ°Ρ Π²Π΅Π΄Π΅Ρ ΠΊ ΠΏΠΎΠ²ΡΠ΅ΠΆΠ΄Π΅Π½ΠΈΡ ΠΊΠ»Π΅ΡΠΎΠΊ ΠΊΠΎΠΆΠΈ. Π’Π°ΠΊΠΆΠ΅ ΠΈΠΌΠ΅ΡΡΡΡ Π΄Π°Π½Π½ΡΠ΅ ΠΎΠ± Π°ΠΊΡΠΈΠ²ΠΈΠ·Π°ΡΠΈΠΈ ΡΠΈΡΠΎΡΠΎΠΊΡΠΈΡΠ΅ΡΠΊΠΈΡ
Π²Π»ΠΈΡΠ½ΠΈΠΉ ΠΊΠ»Π΅ΡΠΎΠΊ ΡΠΎΠ±ΡΡΠ²Π΅Π½Π½ΠΎΠΉ ΠΈΠΌΠΌΡΠ½Π½ΠΎΠΉ ΡΠΈΡΡΠ΅ΠΌΡ Π½Π° ΠΊΠ»Π΅ΡΠΊΠΈ ΠΊΠΎΠΆΠΈ.
ΠΡΠΈΠ·Π½Π°ΠΊΠΈ ΠΎΠ±ΡΡΡΡΠΊΡΠΈΠ²Π½ΠΎΠ³ΠΎ ΠΊΡΠ΅ΡΠΎΡΠΈΡΠ΅ΡΠΊΠΎΠ³ΠΎ Π±Π°Π»Π°Π½ΠΈΡΠ°
ΠΠ°Π±ΠΎΠ»Π΅Π²Π°Π½ΠΈΠ΅ Π½Π°ΡΠΈΠ½Π°Π΅ΡΡΡ ΠΊΠ°ΠΊ ΠΏΡΠ°Π²ΠΈΠ»ΠΎ Ρ Π½Π΅Π±ΠΎΠ»ΡΡΠΈΡ Π½Π΅ΠΏΡΠ°Π²ΠΈΠ»ΡΠ½ΠΎΠΉ ΡΠΎΡΠΌΡ Π²ΠΎΠ·Π²ΡΡΠ΅Π½ΠΈΠΉ Π½Π°Π΄ ΠΊΠΎΠΆΠ΅ΠΉ ΠΈΠ»ΠΈ ΡΠ»ΠΈΠ·ΠΈΡΡΠΎΠΉ, ΠΊΠΎΡΠΎΡΡΠ΅ ΠΈΠΌΠ΅ΡΡ Π±Π΅Π»Π΅ΡΡΠΉ ΡΠ²Π΅Ρ. ΠΠ°ΡΠ΅ΠΌ ΡΡΠΈ Π²ΠΎΠ·ΡΡΠ΅Π½ΠΈΡ ΠΎΠ±ΡΠ΅Π΄ΠΈΠ½ΡΡΡΡΡ Π² Π±ΠΎΠ»ΡΡΠ΅Π΅ ΠΎΠ±ΡΠ°Π·ΠΎΠ²Π°Π½ΠΈΠ΅. ΠΠ½ΠΎΠ³Π΄Π° Π²Π½Π°ΡΠ°Π»Π΅ ΠΏΠΎΡΠ²Π»ΡΡΡΡΡ ΡΡΠ΅ΡΠΈΠ½Ρ, ΠΊΠΎΡΠΎΡΡΠ΅ ΠΏΠΎΡΠ»Π΅ Π·Π°ΠΆΠΈΠ²Π»Π΅Π½Ρ ΠΎΡΡΠ°Π²Π»ΡΡΡ ΡΠ°ΠΊΠΆΠ΅ Π²ΠΎΠ·Π²ΡΡΠ°ΡΡΠΈΠ΅ΡΡ ΡΡΠ°ΡΡΠΊΠΈ Π±Π΅Π»ΠΎΠ³ΠΎ ΡΠ²Π΅ΡΠ°. Π‘ΠΎ Π²ΡΠ΅ΠΌΠ΅Π½Π΅ΠΌ ΡΡΠ΅ΡΠΈΠ½Ρ ΠΈ Π²ΠΎΠ·Π²ΡΡΠ΅Π½ΠΈΡ ΠΈΡΡΠ΅Π·Π°ΡΡ ΠΈ ΠΎΡΡΠ°Π΅ΡΡΡ Π±Π»Π΅ΡΡΡΡΠ°Ρ, ΠΌΡΠ°ΠΌΠΎΡΠ½ΠΎΠ³ΠΎ ΡΠ²Π΅ΡΠ° ΠΏΠΎΠ²Π΅ΡΡ Π½ΠΎΡΡΡ. ΠΠ° ΡΡΠΎΠΉ ΠΏΠΎΠ²Π΅ΡΡ Π½ΠΎΡΡΠΈ ΠΌΠΎΠ³ΡΡ Π±ΡΡΡ ΡΠ°ΡΡΠΈΡΠ΅Π½Π½ΡΠ΅ ΡΠΎΡΡΠ΄Ρ. Π Π°Π·ΠΌΠ΅ΡΡ ΠΏΠΎΠ²Π΅ΡΡ Π½ΠΎΡΡΠΈ Π½Π°ΡΠΈΠ½Π°ΡΡΡΡ ΠΎΡ Π½Π΅ΡΠΊΠΎΠ»ΡΠΊΠΈΡ ΠΌΠΈΠ»Π»ΠΈΠΌΠ΅ΡΡΠΎΠ² Π΄ΠΎ Π½Π΅ΡΠΊΠΎΠ»ΡΠΊΠΈΡ ΡΠ°Π½ΡΠΈΠΌΠ΅ΡΡΠΎΠ². ΠΠ»ΠΈΡΠ΅Π»ΡΠ½ΠΎΠ΅ Π²ΡΠ΅ΠΌΡ ΡΠ°ΠΊΠΈΠ΅ ΠΈΠ·ΠΌΠ΅Π½Π΅Π½ΠΈΡ Π½Π΅ ΠΏΡΠΈΡΠΈΠ½ΡΡΡ Π½ΠΈΠΊΠ°ΠΊΠΎΠ³ΠΎ Π±Π΅ΡΠΏΠΎΠΊΠΎΠΉΡΡΠ²Π°, ΠΎΠ΄Π½Π°ΠΊΠΎ Π² ΠΏΠ΅ΡΠΈΠΎΠ΄ ΡΠΎΡΡΠ° ΠΊΠΎΠΆΠ½ΡΡ ΠΏΠΎΡΠ°ΠΆΠ΅Π½ΠΈΠΉ Π²ΠΎΠ·ΠΌΠΎΠΆΠ½Ρ ΡΠ°ΠΊΠΈΠ΅ ΡΠΈΠΌΠΏΡΠΎΠΌΡ:
- ΠΡΠ΄
- ΠΠΆΠ΅Π½ΠΈΠ΅
- ΠΠΈΡΠΊΠΎΠΌΡΠΎΡΡ ΠΏΡΠΈ ΠΌΠΎΡΠ΅ΠΈΡΠΏΡΡΠΊΠ°Π½ΠΈΠΈ
- ΠΠ°ΡΡΡΠ΅Π½ΠΈΠ΅ ΡΡΠ²ΡΡΠ²ΠΈΡΠ΅Π»ΡΠ½ΠΎΡΡΠΈ Π³ΠΎΠ»ΠΎΠ²ΠΊΠΈ
ΠΠΎΠ»Π΅Π·Π½Π΅Π½Π½Π°Ρ ΡΡΠ΅ΠΊΡΠΈΡ- Π£ΠΌΠ΅Π½ΡΡΠ΅Π½ΠΈΠ΅ Π½Π°ΠΏΠΎΡΠ° ΡΡΡΡΠΈ ΠΌΠΎΡΠΈ
- ΠΡΠΈΠ·Π½Π°ΠΊΠΈ ΡΡΠ΅ΡΡΠΈΡΠ° ΠΈ Π²ΡΠ΄Π΅Π»Π΅Π½ΠΈΡ ΠΈΠ· ΠΌΠΎΡΠ΅ΠΈΡΠΏΡΡΠΊΠ°ΡΠ΅Π»ΡΠ½ΠΎΠ³ΠΎ ΠΊΠ°Π½Π°Π»Π°
- Π Π΄Π°Π»Π΅ΠΊΠΎ Π·Π°ΡΠ΅Π΄ΡΠΈΠΉ ΡΠ»ΡΡΠ°ΡΡ ΡΠ°Π·Π²ΠΈΠ²Π°Π΅ΡΡΡ ΡΠΈΠΌΠΎΠ· ΠΈ ΠΏΠ°ΡΠ°ΡΠΈΠΌΠΎΠ·
Π Π΄Π°Π»ΡΠ½Π΅ΠΉΡΠ΅ΠΌ ΠΏΠΎΡΠ°ΠΆΠ΅Π½ΠΈΠ΅ ΠΌΠΎΠΆΠ΅Ρ ΡΠ°ΡΠΏΡΠΎΡΡΡΠ°Π½ΡΡΡΡΡ Π½Π° ΠΌΠΎΡΠ΅ΠΈΡΠΏΡΡΠΊΠ°ΡΠ΅Π»ΡΠ½ΡΠΉ ΠΊΠ°Π½Π°Π», Π»Π°Π΄ΡΠ΅Π²ΠΈΠ΄Π½ΡΡ ΡΠΌΠΊΡ, ΡΠ·Π΄Π΅ΡΠΊΡ ΠΈ Π΄ΡΡΠ³ΠΈΠ΅ ΠΎΡΠ΄Π΅Π»Ρ ΠΏΠΎΠ»ΠΎΠ²ΠΎΠ³ΠΎ ΡΠ»Π΅Π½Π°, Π° ΡΠ°ΠΊΠΆΠ΅ Π½Π° ΠΊΡΠ°ΠΉΠ½ΡΡ ΠΏΠ»ΠΎΡΡ.
Π’Π°ΠΊΠΆΠ΅ ΠΌΠΎΠ³ΡΡ Π²ΠΎΠ·Π½ΠΈΠΊΠ°ΡΡ ΡΡΠΎΠ·ΠΈΠΈ, ΡΠΎΡΠ΅ΡΠ½ΡΠ΅ ΠΊΡΠΎΠ²ΠΎΠΈΠ·Π»ΠΈΡΠ½ΠΈΡ, ΡΡΠ΅ΡΠΈΠ½Ρ ΠΈ ΠΏΡΠ·ΡΡΡΠΊΠΈ, Π½Π°ΠΏΠΎΠ»Π½Π΅Π½Π½ΡΠ΅ ΡΠ΅ΡΠΎΠ·Π½ΠΎΠΉ ΠΆΠΈΠ΄ΠΊΠΎΡΡΡΡ. Π ΡΠ΅Π·ΡΠ»ΡΡΠ°ΡΠ΅ Π΄Π»ΠΈΡΠ΅Π»ΡΠ½ΠΎΠ³ΠΎ ΡΠ΅ΡΠ΅Π½ΠΈΡ ΠΌΠΎΠΆΠ΅Ρ Π½Π°ΡΡΡΠΏΠ°ΡΡ ΡΡΠΆΠ΅Π½ΠΈΠ΅ Π½Π°ΡΡΠΆΠ½ΠΎΠ³ΠΎ ΠΎΡΠ²Π΅ΡΡΡΠΈΡ ΠΌΠΎΡΠ΅ΠΈΡΠΏΡΡΠΊΠ°ΡΠ΅Π»ΡΠ½ΠΎΠ³ΠΎ ΠΊΠ°Π½Π°Π»Π°.
ΠΡΠΈΡΠΈΠ½Ρ ΠΎΠ±ΡΡΡΡΠΊΡΠΈΠ²Π½ΠΎΠ³ΠΎ ΠΊΡΠ΅ΡΠΎΡΠΈΡΠ΅ΡΠΊΠΎΠ³ΠΎ Π±Π°Π»Π°Π½ΠΈΡΠ°
Π Π½Π°ΡΡΠΎΡΡΠ΅Π΅ Π²ΡΠ΅ΠΌΡ Π½Π΅Ρ ΠΎΠ΄Π½ΠΎΠ·Π½Π°ΡΠ½ΠΎ ΠΏΡΠΈΠ½ΡΡΠΎΠ³ΠΎ ΠΌΠ½Π΅Π½ΠΈΡ ΠΎ ΠΏΡΠΈΡΠΈΠ½Π΅ Π·Π°Π±ΠΎΠ»Π΅Π²Π°Π½ΠΈΡ. ΠΠ΅ΠΊΠΎΡΠΎΡΡΠ΅ ΠΈΡΡΠ»Π΅Π΄ΠΎΠ²Π°Π½ΠΈΡ ΡΠΎΠΎΠ±ΡΠ°Π»ΠΈ ΠΎ ΡΠΎΠ»ΠΈ Π±Π°ΠΊΡΠ΅ΡΠΈΠΉ ΡΠΎΠ΄Π° ΠΠΎΡΡΠ΅Π»ΠΈΡ Π² ΡΠΎΡΠΌΠΈΡΠΎΠ²Π°Π½ΠΈΠΈ ΠΎΠ±ΡΡΡΡΠΊΡΠΈΠ²Π½ΠΎΠ³ΠΎ ΠΊΡΠ΅ΡΠΎΡΠΈΡΠ΅ΡΠΊΠΎΠ³ΠΎ Π±Π°Π»Π°Π½ΠΈΡΠ° (ΡΠΊΠ»Π΅ΡΠΎΠ·ΠΈΡΡΡΡΠ΅Π³ΠΎ Π»ΠΈΡΠ°Ρ), ΠΎΠ΄Π½Π°ΠΊΠΎ ΡΡΠΈ Π΄Π°Π½Π½ΡΠ΅ Π½Π΅ Π±ΡΠ»ΠΈ ΠΏΠΎΠ΄ΡΠ²Π΅ΡΠΆΠ΄Π΅Π½Ρ. Π ΡΠΎ ΠΆΠ΅ Π²ΡΠ΅ΠΌΡ Π½Π΅ΡΠΊΠΎΠ»ΡΠΊΠΎ Π½Π΅Π·Π°Π²ΠΈΡΠΌΡΡ
ΠΈΡΡΠ»Π΅Π΄ΠΎΠ²Π°Π½ΠΈΠΉ ΠΏΠΎΠ΄ΡΠ²Π΅ΡΠ΄ΠΈΠ»ΠΎ ΡΡΡΠ΅ΡΡΠ²ΠΎΠ²Π°Π½ΠΈΠ΅ Π²ΡΡΠΎΠΊΠΎΠ³ΠΎ ΡΡΠΎΠ²Π½Ρ Π°ΡΡΠΎΠ°Π½ΡΠΈΡΠ΅Π» ΠΊ ΡΠΊΡΡΠ°ΡΠ΅Π»Π»ΡΠ»ΡΡΠ½ΠΎΠΌΡ ΠΌΠ°ΡΡΠΈΡΠ½ΠΎΠΌΡ ΠΏΡΠΎΡΠ΅ΠΈΠ½Ρ1 (ΠΠ‘Π1) Ρ Π±ΠΎΠ»ΡΠ½ΡΡ
. Π‘ΡΠΈΡΠ°Π΅ΡΡΡ, ΡΡΠΎ ΠΊ ΡΠΎΡΠΌΠΈΡΠΎΠ²Π°Π½ΠΈΡ ΡΠΊΠ»Π΅ΡΠΎΠ·ΠΈΡΡΡΡΠ΅Π³ΠΎ Π»ΠΈΡΠ°Ρ ΠΌΠΎΠ³ΡΡ ΠΏΡΠΈΠ²Π΅ΡΡΠΈ Π³Π΅Π½Π΅ΡΠΈΡΠ΅ΡΠΊΠΈΠ΅ ΡΠ°ΠΊΡΠΎΡΡ, Π²Π»ΠΈΡΠ½ΠΈΡ Π²Π½Π΅ΡΠ½Π΅ΠΉ ΡΡΠ΅Π΄Ρ, Π³ΠΎΡΠΌΠΎΠ½Π°Π»ΡΠ½ΡΠ΅ ΠΈ ΠΈΠ½ΡΠ΅ΠΊΡΠΈΠΎΠ½Π½ΡΠ΅ ΠΏΡΠΈΡΠΈΠ½Ρ. ΠΠ΅ΡΡΠ½ΠΎΠ΅ ΡΠ°Π·Π΄ΡΠ°ΠΆΠ΅Π½ΠΈΠ΅ ΠΈΠ»ΠΈ ΡΡΠ°Π²ΠΌΠ° ΠΌΠΎΠ³ΡΡ ΠΈΠ³ΡΠ°ΡΡ ΡΠΎΠ»Ρ ΡΠΏΡΡΠΊΠΎΠ²ΠΎΠ³ΠΎ ΠΊΡΡΡΠΊΠ° Ρ Π³Π΅Π½Π΅ΡΠΈΡΠ΅ΡΠΊΠΈ ΠΏΡΠ΅Π΄ΡΠ°ΡΠΏΠΎΠ»ΠΎΠΆΠ΅Π½Π½ΡΡ
Π»ΡΠ΄Π΅ΠΉ. Π ΠΎΠ»Ρ ΠΠΠ§ 6 ΠΈ 16 ΡΠΈΠΏΠ° Π² ΡΠ°Π·Π²ΠΈΡΠΈΠΈ ΠΎΠ±ΡΡΡΡΠΊΡΠΈΠ²Π½ΠΎΠ³ΠΎ ΠΊΡΠ΅ΡΠΎΡΠΈΡΠ΅ΡΠΊΠΎΠ³ΠΎ Π±Π°Π»Π°Π½ΠΈΡΠ° Π½Π΅ Π΄ΠΎΠΊΠ°Π·Π°Π½Π°.
ΠΠ΅ΡΠ΅Π½ΠΈΠ΅ Π±Π°Π»Π°Π½ΠΈΡΠ°
ΠΠΎ ΡΠΈΡ ΠΏΠΎΡ Π½Π΅Ρ ΠΏΠΎ-Π½Π°ΡΡΠΎΡΡΠ΅ΠΌΡ ΠΏΠΎΠ»Π½ΠΎΡΠ΅Π½Π½ΠΎΠ³ΠΎ Π»Π΅ΡΠ΅Π½ΠΈΡ ΠΏΡΠΈ ΠΎΠ±ΡΡΡΡΠΊΡΠΈΠ²Π½ΠΎΠΌ ΠΊΡΠ΅ΡΠΎΡΠΈΡΠ΅ΡΠΊΠΎΠΌ Π±Π°Π»Π°Π½ΠΈΡΠ΅. Π ΠΎΡΠ½ΠΎΠ²Π½ΠΎΠΌ ΠΏΡΠΈΠΌΠ΅Π½ΡΡΡ ΠΏΡΠ΅ΠΏΠ°ΡΠ°ΡΡ Π³Π»ΡΠΊΠΎΠΊΠΎΡΡΠΈΠΊΠΎΠΈΠ΄Π½ΡΡ Π³ΠΎΡΠΌΠΎΠ½ΠΎΠ² Π² Π²ΠΈΠ΄Π΅ ΠΌΠ΅ΡΡΠ½ΠΎΠ³ΠΎ Π»Π΅ΡΠ΅Π½ΠΈΡ β ΠΌΠ°Π·Π΅ΠΉ ΠΈ ΠΊΡΠ΅ΠΌΠΎΠ². Π₯ΠΎΡΠΎΡΠΎ Π·Π°ΡΠ΅ΠΊΠΎΠΌΠ΅Π½Π΄ΠΎΠ²Π°Π» ΡΠ΅Π±Ρ ΠΊΠ»ΠΎΠ±Π΅ΡΠ°Π·ΠΎΠ»Π° ΠΏΡΠΎΠΏΠΈΠΎΠ½Π°Ρ (ΠΠ΅ΡΠΌΠΎΠ²Π΅ΠΉΡ). ΠΠ΄Π½Π°ΠΊΠΎ Π½Π°Π·Π½Π°ΡΠ΅Π½ΠΈΠ΅ Π³Π»ΡΠΊΠΎΠΊΠΎΡΡΠΈΠΊΠΎΠΈΠ΄ΠΎΠ², ΠΊΠ°ΠΊ ΠΈ Π΄ΡΡΠ³ΠΈΡ ΡΡΠ΅Π΄ΡΡΠ², Π½Π΅ ΡΠΏΠΎΡΠΎΠ±Π½ΠΎ ΠΏΠΎΠ²Π»ΠΈΡΡΡ Π½Π° ΡΠΆΠ΅ ΡΡΠΎΡΠΌΠΈΡΠΎΠ²Π°Π½Π½ΡΠ΅ ΡΡΠ±ΡΡ, ΠΏΠΎΡΡΠΎΠΌΡ Π½Π°ΠΈΠ±ΠΎΠ»Π΅Π΅ ΡΡΡΠ΅ΠΊΡΠΈΠ²Π½ΠΎ Π² ΡΠ°Π½Π½ΠΈΡ ΡΡΠ°Π΄ΠΈΡΡ Π·Π°Π±ΠΎΠ»Π΅Π²Π°Π½ΠΈΡ. ΠΡΠ΅ ΠΆΠ΅, ΠΏΠΎ ΠΊΡΠ°ΠΉΠ½Π΅ΠΉ ΠΌΠ΅ΡΠ΅, ΡΠ΄Π°Π΅ΡΡΡ Π·Π°ΡΠΎΡΠΌΠΎΠ·ΠΈΡΡ ΠΏΡΠΎΡΠ΅ΡΡ ΡΡΠ±ΡΠ΅Π²Π°Π½ΠΈΡ. Π’Π°ΠΊΠΆΠ΅ ΠΏΡΠΈΠΌΠ΅Π½ΡΡΡ ΠΏΡΠ΅ΠΏΠ°ΡΠ°ΡΡ ΡΠ΅ΡΠΈΠ½ΠΎΠΈΠ΄ΠΎΠ² βΠ°ΡΠΈΡΡΠ΅ΡΠΈΠ½ (ΠΠ΅ΠΎΡΠΈΠ³Π°Π·ΠΎΠ½), ΠΈΠΌΠΌΡΠ½ΠΎΠ΄Π΅ΠΏΡΠ΅ΡΡΠ°Π½ΡΡ βΠΌΠ°Π·Ρ, ΡΠΎΠ΄Π΅ΡΠΆΠ°ΡΠ°Ρ ΡΠ°ΠΊΡΠΎΠ»ΠΈΠΌΡΡ.
Π ΡΠ΅Ρ ΡΠ»ΡΡΠ°ΡΡ , ΠΊΠΎΠ³Π΄Π° ΠΏΡΠΎΡΠ΅ΡΡ Π»ΠΎΠΊΠ°Π»ΠΈΠ·ΠΎΠ²Π°Π½ Π½Π° ΠΊΡΠ°ΠΉΠ½Π΅ΠΉ ΠΏΠ»ΠΎΡΠΈ ΠΏΡΠΎΠ²ΠΎΠ΄ΡΡ ΡΠΈΡΠΊΡΠΌΡΠΈΠ·ΠΈΡ β ΠΎΠ±ΡΠ΅Π·Π°Π½ΠΈΠ΅. Π ΡΠ»ΡΡΠ°Π΅ ΡΡΡΠΈΠΊΡΡΡΡ Π½Π°ΡΡΠΆΠ½ΠΎΠ³ΠΎ ΡΡΡΡΡ ΡΡΠ΅ΡΡΡ (ΡΡΠΆΠ΅Π½ΠΈΡ ΡΡΡΡΡ ΠΌΠΎΡΠ΅ΠΈΡΠΏΡΡΠΊΠ°ΡΠ΅Π»ΡΠ½ΠΎΠ³ΠΎ ΠΊΠ°Π½Π°Π»Π°) ΠΏΡΠΎΠ²ΠΎΠ΄ΡΡ ΠΌΠ΅Π°ΡΠΎΡΠΎΠΌΠΈΡ- Ρ ΠΈΡΡΡΠ³ΠΈΡΠ΅ΡΠΊΠΎΠ΅ ΡΠ°ΡΡΠΈΡΠ΅Π½ΠΈΠ΅.
ΠΡΠΎΠ³Π½ΠΎΠ·
Π£ Π»ΡΠ΄Π΅ΠΉ Ρ ΠΎΠ±ΡΡΡΡΠΊΡΠΈΠ²Π½ΡΠΌ ΠΊΡΠ΅ΡΠΎΡΠΈΡΠ΅ΡΠΊΠΈΠΌ Π±Π°Π»Π°Π½ΠΈΡΠΎΠΌ ΠΏΠΎΠ²ΡΡΠ΅Π½ ΡΠΈΡΠΊ ΡΠ°Π·Π²ΠΈΡΠΈΡ ΡΠ΅ΡΡΠΉΡΠ°ΡΠΎ-ΠΊΠ»Π΅ΡΠΎΡΠ½ΠΎΠ³ΠΎ ΡΠ°ΠΊΠ°, ΠΆΠ΅Π»Π΅Π·ΠΈΡΡΠΎ-ΡΠ΅ΡΡΠΉΡΠ°ΡΠΎΠ³ΠΎ ΡΠ°ΠΊΠ° ΠΈ Π²Π΅ΡΡΡΠΊΠΎΠ·Π½ΠΎΠΉ ΠΊΠ°ΡΡΠΈΠ½ΠΎΠΌΡ.
Π ΡΡΠΎΠ»ΠΎΠ³ΠΈΠΈ ΠΌΡ ΡΠ°Π±ΠΎΡΠ°Π΅ΠΌ ΠΏΠΎ ΡΠ°ΠΊΠΈΠΌ Π½Π°ΠΏΡΠ°Π²Π»Π΅Π½ΠΈΡΠΌ ΠΊΠ°ΠΊ:
- ΠΠ³Π³Π»ΡΡΠΈΠ½Π°ΡΠΈΡ
- ΠΠ΄Π΅Π½ΠΎΠΌΠ° ΠΏΡΠ΅Π΄ΡΡΠ°ΡΠ΅Π»ΡΠ½ΠΎΠΉ ΠΆΠ΅Π»Π΅Π·Ρ
- ΠΠ°Π»Π°Π½ΠΎΠΏΠΎΡΡΠΈΡ
- ΠΠ°Π»Π°Π½ΠΈΡ
- ΠΠ΅ΡΠΏΠ»ΠΎΠ΄ΠΈΠ΅
- ΠΠΈΡΡΡ ΠΏΠ°ΠΏΠΈΠ»Π»ΠΎΠΌΡ ΡΠ΅Π»ΠΎΠ²Π΅ΠΊΠ°
- ΠΠΎΠ΄ΡΠ½ΠΊΠ° ΡΠΈΡΠΊΠ°
- ΠΠ΅Π½ΠΈΡΠ°Π»ΡΠ½ΡΠΉ Π³Π΅ΡΠΏΠ΅Ρ
- ΠΠ°Π΄Π΅ΡΠΆΠΊΠ° ΠΌΠΎΡΠΈ
- ΠΠΠΠ
- Π ΡΡ Π΅ΠΌΠ°Ρ Π»Π΅ΡΠ΅Π½ΠΈΡ ΠΠΠΠ
- ΠΡΠΎΡΠΈΠ»Π°ΠΊΡΠΈΠΊΠ° ΠΠΠΠ
- ΠΠΌΠΏΠΎΡΠ΅Π½ΡΠΈΡ
- ΠΠΎΠ½Π΄ΠΈΠ»ΠΎΠΌΡ
- ΠΠΈΡΡΠ° ΠΏΠΎΡΠΊΠΈ
- ΠΠΈΠΊΠΎΠΏΠ»Π°Π·ΠΌΠΎΠ·
- ΠΠ°ΠΏΠΈΠ»Π»ΠΎΠΌΠ°Π²ΠΈΡΡΡ
- ΠΠΈΠ΅Π»ΠΎΠ½Π΅ΡΡΠΈΡ
- ΠΡΠΈΠ°ΠΏΠΈΠ·ΠΌ
- ΠΡΠΎΡΡΠ°ΡΠΈΡ
- ΠΡΠ΅ΠΆΠ΄Π΅Π²ΡΠ΅ΠΌΠ΅Π½Π½ΠΎΠ΅ ΡΠ΅ΠΌΡΠΈΠ·Π²Π΅ΡΠΆΠ΅Π½ΠΈΠ΅
- Π Π°ΠΊ ΠΏΡΠ΅Π΄ΡΡΠ°ΡΠ΅Π»ΡΠ½ΠΎΠΉ ΠΆΠ΅Π»Π΅Π·
- Π’ΡΠΈΡ ΠΎΠΌΠΎΠ½ΠΈΠ°Π·
- ΠΠΏΠΈΠ΄ΠΈΠ΄ΠΈΠΌΠΈΡ
- ΠΡΠ΅ΠΊΡΠΈΠ»ΡΠ½Π°Ρ Π΄ΠΈΡΡΡΠ½ΠΊΡΠΈΡ
- Π₯Π»Π°ΠΌΠΈΠ΄ΠΈΠΎΠ·
- Π£ΡΠ΅Π°ΠΏΠ»Π°Π·ΠΌΠΎΠ·
- Π£ΡΠ΅ΡΡΠΈΡ
ΠΠ±Π»ΠΈΡΠ΅ΡΠΈΡΡΡΡΠΈΠΉ ΠΊΡΠ΅ΡΠΎΡΠΈΡΠ΅ΡΠΊΠΈΠΉ Π±Π°Π»Π°Π½ΠΈΡ — ΠΏΡΠΈΡΠΈΠ½Ρ, ΡΠΈΠΌΠΏΡΠΎΠΌΡ, Π΄ΠΈΠ°Π³Π½ΠΎΡΡΠΈΠΊΠ° ΠΈ Π»Π΅ΡΠ΅Π½ΠΈΠ΅
ΠΠ±Π»ΠΈΡΠ΅ΡΠΈΡΡΡΡΠΈΠΉ ΠΊΡΠ΅ΡΠΎΡΠΈΡΠ΅ΡΠΊΠΈΠΉ Π±Π°Π»Π°Π½ΠΈΡ β ΡΡΠΎ ΡΠΊΠ»Π΅ΡΠΎΡΠΈΡΠ΅ΡΠΊΠΈ-ΡΠΈΠ±ΡΠΎΠ·Π½ΡΠΉ ΠΈ Π°ΡΡΠΎΡΠΈΡΠ΅ΡΠΊΠΈΠΉ ΠΏΡΠΎΡΠ΅ΡΡ ΡΠΎ ΡΠ»Π°Π±ΠΎ Π²ΡΡΠ°ΠΆΠ΅Π½Π½ΡΠΌ Π²ΠΎΡΠΏΠ°Π»ΠΈΡΠ΅Π»ΡΠ½ΡΠΌ ΠΊΠΎΠΌΠΏΠΎΠ½Π΅Π½ΡΠΎΠΌ, ΠΏΠΎΡΠ°ΠΆΠ°ΡΡΠΈΠΉ Π³ΠΎΠ»ΠΎΠ²ΠΊΡ ΠΏΠΎΠ»ΠΎΠ²ΠΎΠ³ΠΎ ΡΠ»Π΅Π½Π°.
Π₯Π°ΡΠ°ΠΊΡΠ΅ΡΠΈΠ·ΡΠ΅ΡΡΡ ΠΏΠΎΡΠ²Π»Π΅Π½ΠΈΠ΅ΠΌ Π±Π΅Π»Π΅ΡΠΎΠ²Π°ΡΡΡ
ΠΏΡΡΠ΅Π½ ΠΈ Π³ΠΈΠΏΠ΅ΡΠΊΠ΅ΡΠ°ΡΠΎΡΠΈΡΠ΅ΡΠΊΠΈΡ
ΠΎΡΠ°Π³ΠΎΠ² Π² ΠΎΠ±Π»Π°ΡΡΠΈ Π³ΠΎΠ»ΠΎΠ²ΠΊΠΈ ΠΈ Π²Π½ΡΡΡΠ΅Π½Π½Π΅Π³ΠΎ Π»ΠΈΡΡΠΊΠ° ΠΊΡΠ°ΠΉΠ½Π΅ΠΉ ΠΏΠ»ΠΎΡΠΈ, ΡΠΌΠΎΡΡΠΈΠ²Π°Π½ΠΈΠ΅ΠΌ ΠΊΠΎΠΆΠΈ, Π²ΡΠ»Π΅Π΄ΡΡΠ²ΠΈΠ΅ ΡΠ΅Π³ΠΎ Π²ΠΎΠ·ΠΌΠΎΠΆΠ½ΠΎ ΡΠ°Π·Π²ΠΈΡΠΈΠ΅ ΡΡΠ΅Π½ΠΎΠ·Π° ΠΊΡΠ°ΠΉΠ½Π΅ΠΉ ΠΏΠ»ΠΎΡΠΈ, ΡΠΈΠΌΠΎΠ·Π°, ΡΡΠΆΠ΅Π½ΠΈΡ ΡΡΡΡΡ ΡΡΠ΅ΡΡΡ. Π Π°ΡΠΏΠΎΠ·Π½Π°Π²Π°Π½ΠΈΠ΅Β ΠΏΡΠΎΠΈΠ·Π²ΠΎΠ΄ΠΈΡΡΡ Π½Π° ΠΎΡΠ½ΠΎΠ²Π°Π½ΠΈΠΈ ΠΎΡΠΌΠΎΡΡΠ°, Π±ΠΈΠΎΠΏΡΠΈΠΈ ΠΈ ΡΡΡΠ°Π½ΠΎΠ²Π»Π΅Π½ΠΈΡ Π³ΠΈΡΡΠΎΠ»ΠΎΠ³ΠΈΡΠ΅ΡΠΊΠΎΠ³ΠΎ Π΄ΠΈΠ°Π³Π½ΠΎΠ·Π°. ΠΡΠΏΠΎΠ»Π½ΡΠ΅ΡΡΡ ΡΠΈΡΠΊΡΠΌΡΠΈΠ·ΠΈΠΎ, ΠΌΠ΅Π°ΡΠΎΡΠΎΠΌΠΈΡ, ΠΏΡΠΈ Π½Π΅ΠΎΠ±Ρ
ΠΎΠ΄ΠΈΠΌΠΎΡΡΠΈ — ΠΏΠ»Π°ΡΡΠΈΠΊΠ° ΡΡΠ΅ΡΡΡ, Π½Π°Π·Π½Π°ΡΠ°Π΅ΡΡΡ ΠΌΠ΅ΡΡΠ½Π°Ρ ΡΠ΅ΡΠ°ΠΏΠΈΡ Π³Π»ΡΠΊΠΎΠΊΠΎΡΡΠΈΠΊΠΎΠΈΠ΄Π°ΠΌΠΈ.
ΠΠ±ΡΠΈΠ΅ ΡΠ²Π΅Π΄Π΅Π½ΠΈΡ
ΠΠ±Π»ΠΈΡΠ΅ΡΠΈΡΡΡΡΠΈΠΉ ΠΊΡΠ΅ΡΠΎΡΠΈΡΠ΅ΡΠΊΠΈΠΉ Π±Π°Π»Π°Π½ΠΈΡ (ΡΠΊΠ»Π΅ΡΠΎΠ·ΠΈΡΡΡΡΠΈΠΉ Π»ΠΈΡ Π΅Π½) ΠΌΠΎΠΆΠ΅Ρ ΡΠ°Π·Π²ΠΈΠ²Π°ΡΡΡΡ Π² Π»ΡΠ±ΠΎΠΌ Π²ΠΎΠ·ΡΠ°ΡΡΠ΅: Ρ Π΄Π΅ΡΠ΅ΠΉ, ΠΌΡΠΆΡΠΈΠ½ ΡΡΠ΅Π΄Π½Π΅Π³ΠΎ ΠΈ ΠΏΠΎΠΆΠΈΠ»ΠΎΠ³ΠΎ Π²ΠΎΠ·ΡΠ°ΡΡΠ°, Π½ΠΎ ΡΠ°ΡΠ΅ Π²ΡΡΡΠ΅ΡΠ°Π΅ΡΡΡ Ρ ΠΏΠ°ΡΠΈΠ΅Π½ΡΠΎΠ² ΡΡΠ°ΡΡΠ΅ 50 Π»Π΅Ρ. Π‘ΠΏΠ΅ΡΠΈΠ°Π»ΠΈΡΡΡ ΡΠ°ΡΡΠ΅Π½ΠΈΠ²Π°ΡΡ ΠΎΠ±Π»ΠΈΡΠ΅ΡΠΈΡΡΡΡΠΈΠΉ ΠΊΡΠ΅ΡΠΎΡΠΈΡΠ΅ΡΠΊΠΈΠΉ Π±Π°Π»Π°Π½ΠΈΡ ΠΊΠ°ΠΊ ΡΠΎΡΡΠΎΡΠ½ΠΈΠ΅, ΠΏΡΠ΅Π΄ΡΠ°ΡΠΏΠΎΠ»Π°Π³Π°ΡΡΠ΅Π΅ ΠΊ ΡΠ°Π·Π²ΠΈΡΠΈΡ ΡΠ°ΠΊΠ° ΠΏΠΎΠ»ΠΎΠ²ΠΎΠ³ΠΎ ΡΠ»Π΅Π½Π°.
ΠΠΎ Π³ΠΈΡΡΠΎΠ»ΠΎΠ³ΠΈΡΠ΅ΡΠΊΠΈΠΌ ΠΏΡΠΈΠ·Π½Π°ΠΊΠ°ΠΌ ΠΎΠ±Π»ΠΈΡΠ΅ΡΠΈΡΡΡΡΠΈΠΉ ΠΊΡΠ΅ΡΠΎΡΠΈΡΠ΅ΡΠΊΠΈΠΉ Π±Π°Π»Π°Π½ΠΈΡ ΡΡ
ΠΎΠ΄Π΅Π½ ΡΠΎ ΡΠΊΠ»Π΅ΡΠΎΠ°ΡΡΠΎΡΠΈΡΠ΅ΡΠΊΠΈΠΌ Π»ΠΈΡΠ°Π΅ΠΌ ΠΈ Π½Π΅ΠΊΠΎΡΠΎΡΡΠΌΠΈ Π»ΠΎΠΊΠ°Π»ΡΠ½ΡΠΌΠΈ ΡΠΎΡΠΌΠ°ΠΌΠΈ ΡΠΊΠ»Π΅ΡΠΎΠ΄Π΅ΡΠΌΠΈΠΈ. Π Π³ΠΈΠ½Π΅ΠΊΠΎΠ»ΠΎΠ³ΠΈΠΈ ΠΎΠ³ΡΠ°Π½ΠΈΡΠ΅Π½Π½Π°Ρ ΡΠΊΠ»Π΅ΡΠΎΠ΄Π΅ΡΠΌΠΈΡ ΠΌΠΎΠΆΠ΅Ρ Π²ΡΡΠ²Π»ΡΡΡΡΡ Π² ΠΎΠ±Π»Π°ΡΡΠΈ Π½Π°ΡΡΠΆΠ½ΡΡ
Π³Π΅Π½ΠΈΡΠ°Π»ΠΈΠΉ Ρ ΠΆΠ΅Π½ΡΠΈΠ½ ΠΏΡΠΈ ΠΎΡΡΡΡΡΡΠ²ΠΈΠΈ Π΄Π°Π½Π½ΡΡ
Π·Π° ΠΊΡΠ°ΡΡΠΎΠ· Π²ΡΠ»ΡΠ²Ρ.
ΠΡΠΈ Π½Π°Π±Π»ΡΠ΄Π΅Π½ΠΈΡ ΠΏΠΎΠ·Π²ΠΎΠ»ΡΡΡ ΠΎΠ±ΡΠ΅Π΄ΠΈΠ½ΠΈΡΡ ΠΊΠΎΠΆΠ½ΡΠ΅ ΠΈ ΡΡΠΎΠ³Π΅Π½ΠΈΡΠ°Π»ΡΠ½ΡΠ΅ ΡΠΊΠ»Π΅ΡΠΎΠ·ΠΈΡΡΡΡΠΈΠ΅ ΠΏΡΠΎΡΠ΅ΡΡΡ Π² ΠΎΠ΄Π½Ρ Π³ΡΡΠΏΠΏΡ, ΠΈΠΌΠ΅ΡΡΡΡ Π΄ΠΈΡΡΡΠΎΡΠΈΡΠ΅ΡΠΊΡΡ ΠΏΡΠΈΡΠΎΠ΄Ρ.
ΠΠ±Π»ΠΈΡΠ΅ΡΠΈΡΡΡΡΠΈΠΉ ΠΊΡΠ΅ΡΠΎΡΠΈΡΠ΅ΡΠΊΠΈΠΉ Π±Π°Π»Π°Π½ΠΈΡ
ΠΡΠΈΡΠΈΠ½Ρ
ΠΡΠΈΠΎΠ»ΠΎΠ³ΠΈΡ ΡΠΊΠ»Π΅ΡΠΎΠ·ΠΈΡΡΡΡΠ΅Π³ΠΎ Π»ΠΈΡ Π΅Π½Π° Π½Π΅ΡΡΠ½Π°. Π‘ΡΠΈΡΠ°Π΅ΡΡΡ, ΡΡΠΎ ΠΊ ΡΠ°Π·Π²ΠΈΡΠΈΡ Π·Π°Π±ΠΎΠ»Π΅Π²Π°Π½ΠΈΡ ΠΌΠΎΠΆΠ΅Ρ ΠΏΡΠΈΠ²ΠΎΠ΄ΠΈΡΡ ΡΠΈΡΠΎΠΊΠΈΠΉ ΠΊΡΡΠ³ ΡΠ°ΠΊΡΠΎΡΠΎΠ² β Π³Π΅Π½Π΅ΡΠΈΡΠ΅ΡΠΊΠΈΠ΅, Π°ΡΡΠΎΠΈΠΌΠΌΡΠ½Π½ΡΠ΅, ΠΈΠ½ΡΠ΅ΠΊΡΠΈΠΎΠ½Π½ΡΠ΅, ΠΌΠ΅Ρ Π°Π½ΠΈΡΠ΅ΡΠΊΠΈΠ΅, Π³ΠΎΡΠΌΠΎΠ½Π°Π»ΡΠ½ΡΠ΅. Π ΡΠΎΠ²ΡΠ΅ΠΌΠ΅Π½Π½ΠΎΠΉ Π°Π½Π΄ΡΠΎΠ»ΠΎΠ³ΠΈΠΈ, Π΄Π΅ΡΠΌΠ°ΡΠΎΠ»ΠΎΠ³ΠΈΠΈ ΠΈ Π³ΠΈΠ½Π΅ΠΊΠΎΠ»ΠΎΠ³ΠΈΠΈ ΠΈΠΌΠ΅ΡΡΡΡ Π½Π°Π±Π»ΡΠ΄Π΅Π½ΠΈΡ ΡΠ΅ΠΌΠ΅ΠΉΠ½ΡΡ ΡΠ»ΡΡΠ°Π΅Π² ΡΠΊΠ»Π΅ΡΠΎΡΠΈΡΠ΅ΡΠΊΠΎΠ³ΠΎ Π»ΠΈΡΠ°Ρ ΠΈ ΡΠΊΠ»Π΅ΡΠΎΠ·ΠΈΡΡΡΡΠ΅Π³ΠΎ Π»ΠΈΡ Π΅Π½Π° Π³Π΅Π½ΠΈΡΠ°Π»ΠΈΠΉ. ΠΡΠΎΠ²ΠΎΠ΄ΠΈΠΌΡΠ΅ Π² Π΄Π°Π½Π½ΠΎΠΌ Π½Π°ΠΏΡΠ°Π²Π»Π΅Π½ΠΈΠΈ ΠΈΡΡΠ»Π΅Π΄ΠΎΠ²Π°Π½ΠΈΡ ΠΏΠΎΠ·Π²ΠΎΠ»ΠΈΠ»ΠΈ Π²ΡΡΠ²ΠΈΡΡ ΡΡΠ΄ Π³Π΅Π½ΠΎΠ², ΠΎΡΠ²Π΅ΡΡΡΠ²Π΅Π½Π½ΡΡ Π·Π° ΡΠ°Π·Π²ΠΈΡΠΈΠ΅ Π½Π°ΡΠ»Π΅Π΄ΡΠ΅ΠΌΠΎΠ³ΠΎ ΠΎΠ±Π»ΠΈΡΠ΅ΡΠΈΡΡΡΡΠ΅Π³ΠΎ ΠΊΡΠ΅ΡΠΎΡΠΈΡΠ΅ΡΠΊΠΎΠ³ΠΎ Π±Π°Π»Π°Π½ΠΈΡΠ° ΠΈ ΡΡΠ΅ΠΏΠ΅Π½ΠΈ Π΅Π³ΠΎ Π²ΡΡΠ°ΠΆΠ΅Π½Π½ΠΎΡΡΠΈ.
ΠΠ°Π½Π½ΡΠ΅ Π½Π΅ΠΊΠΎΡΠΎΡΡΡ
Π½Π°ΡΡΠ½ΡΡ
ΠΈΠ·ΡΡΠΊΠ°Π½ΠΈΠΉ ΡΠΊΠ°Π·ΡΠ²Π°ΡΡ Π½Π° ΡΠ²ΡΠ·Ρ ΠΌΠ΅ΠΆΠ΄Ρ Π΄Π°Π½Π½ΠΎΠΉ ΡΠΎΡΠΌΠΎΠΉ Π±Π°Π»Π°Π½ΠΈΡΠ° ΠΈ Π°ΡΡΠΎΠΈΠΌΠΌΡΠ½Π½ΡΠΌΠΈ ΠΏΠΎΡΠ°ΠΆΠ΅Π½ΠΈΡΠΌΠΈ β Π²ΠΈΡΠΈΠ»ΠΈΠ³ΠΎ, ΠΏΡΠΎΡΠΈΠ°Π·ΠΎΠΌ, ΡΠ΅Π²ΠΌΠ°ΡΠΈΡΠ΅ΡΠΊΠΎΠΉ ΠΏΠΎΠ»ΠΈΠΌΠΈΠ°Π»Π³ΠΈΠ΅ΠΉ, ΡΠΈΡΡΠ΅ΠΌΠ½ΠΎΠΉ ΠΊΡΠ°ΡΠ½ΠΎΠΉ Π²ΠΎΠ»ΡΠ°Π½ΠΊΠΎΠΉ, ΡΠ°Ρ
Π°ΡΠ½ΡΠΌ Π΄ΠΈΠ°Π±Π΅ΡΠΎΠΌ,Β ΠΌΠΈΠΊΡΠ΅Π΄Π΅ΠΌΠΎΠΉ, ΠΏΠ΅ΡΠ²ΠΈΡΠ½ΡΠΌ Π±ΠΈΠ»ΠΈΠ°ΡΠ½ΡΠΌ ΡΠΈΡΡΠΎΠ·ΠΎΠΌ ΠΏΠ΅ΡΠ΅Π½ΠΈ, Π°Π»ΠΎΠΏΠ΅ΡΠΈΠ΅ΠΉ ΠΈ Π΄Ρ.
ΠΡΠΎΠΌΠ΅ ΡΠΎΠ³ΠΎ, ΠΌΠ΅ΡΡΠ½ΡΠ΅ ΠΏΡΠΎΡΠ²Π»Π΅Π½ΠΈΡ ΠΏΠ°ΡΠΎΠ»ΠΎΠ³ΠΈΠΈ ΡΡ
ΠΎΠ΄Π½Ρ Ρ Ρ
Π°ΡΠ°ΠΊΡΠ΅ΡΠ½ΡΠΌΠΈ ΠΈΠ·ΠΌΠ΅Π½Π΅Π½ΠΈΡΠΌΠΈ ΡΠΊΠ°Π½Π΅ΠΉ ΠΏΡΠΈ Π°ΡΡΠΎΠΈΠΌΠΌΡΠ½Π½ΡΡ
Π·Π°Π±ΠΎΠ»Π΅Π²Π°Π½ΠΈΡΡ
. ΠΠ΅ ΠΈΡΠΊΠ»ΡΡΠ°Π΅ΡΡΡ ΡΠΎΠ»Ρ Π²ΠΈΡΡΡΠ½ΡΡ
Π°Π³Π΅Π½ΡΠΎΠ², Π² ΡΠ°ΡΡΠ½ΠΎΡΡΠΈ, Π² ΡΠΊΠ°Π½ΡΡ
ΠΊΡΠ°ΠΉΠ½Π΅ΠΉ ΠΏΠ»ΠΎΡΠΈ ΠΏΠΎΡΠ»Π΅ Π²ΡΠΏΠΎΠ»Π½Π΅Π½ΠΈΡΒ ΡΠΈΡΠΊΡΠΌΡΠΈΠ·ΠΈΠΎ, Π½Π΅ΡΠ΅Π΄ΠΊΠΎ ΠΎΠ±Π½Π°ΡΡΠΆΠΈΠ²Π°ΡΡΡΡ Π²ΠΎΠ·Π±ΡΠ΄ΠΈΡΠ΅Π»ΠΈ Π³Π΅Π½ΠΈΡΠ°Π»ΡΠ½ΠΎΠ³ΠΎ Π³Π΅ΡΠΏΠ΅ΡΠ° ΠΈ ΠΏΠ°ΠΏΠΈΠ»Π»ΠΎΠΌΠ°Π²ΠΈΡΡΡΠ½ΠΎΠΉ ΠΈΠ½ΡΠ΅ΠΊΡΠΈΠΈ.
Π ΡΡΠ΄Π΅ ΡΠ»ΡΡΠ°Π΅Π² ΠΏΡΠΎΡΠ»Π΅ΠΆΠΈΠ²Π°Π΅ΡΡΡ Π·Π°Π²ΠΈΡΠΈΠΌΠΎΡΡΡ Π²ΠΎΠ·Π½ΠΈΠΊΠ½ΠΎΠ²Π΅Π½ΠΈΡ Π±ΠΎΠ»Π΅Π·Π½ΠΈ ΠΎΡ ΠΌΠ΅ΡΡΠ½ΡΡ ΠΏΠΎΠ²ΡΠ΅ΠΆΠ΄Π΅Π½ΠΈΠΉ ΠΊΠΎΠΆΠΈ β ΠΌΠ΅Ρ Π°Π½ΠΈΡΠ΅ΡΠΊΠΎΠΉ, Ρ ΠΈΠΌΠΈΡΠ΅ΡΠΊΠΎΠΉ ΠΈΠ»ΠΈ ΡΠ΅ΡΠΌΠΈΡΠ΅ΡΠΊΠΎΠΉ ΡΡΠ°Π²ΠΌΡ, ΠΏΠΎΡΠ΅ΡΡΠΎΡΡΠ΅ΠΉ, Ρ ΡΠΎΠ½ΠΈΡΠ΅ΡΠΊΠΎΠ³ΠΎ ΡΠ°Π·Π΄ΡΠ°ΠΆΠ΅Π½ΠΈΡ ΠΌΠΎΡΠΎΠΉ, ΡΠ°Π΄ΠΈΠ°ΡΠΈΠΎΠ½Π½ΠΎΠ³ΠΎ ΠΎΠ±Π»ΡΡΠ΅Π½ΠΈΡ ΠΏΡΠΈ Π»ΡΡΠ΅Π²ΠΎΠΉ ΡΠ΅ΡΠ°ΠΏΠΈΠΈ. Π ΡΠ΄ ΠΈΡΡΠ»Π΅Π΄ΠΎΠ²Π°ΡΠ΅Π»Π΅ΠΉ ΠΎΡΠΌΠ΅ΡΠ°ΡΡ ΡΠ²ΡΠ·Ρ ΡΠΊΠ»Π΅ΡΠΎΡΠΈΡΠ΅ΡΠΊΠΈ-ΡΠΈΠ±ΡΠΎΠ·Π½ΡΡ ΠΈΠ·ΠΌΠ΅Π½Π΅Π½ΠΈΠΉ Π² ΠΎΠ±Π»Π°ΡΡΠΈ Π³ΠΎΠ»ΠΎΠ²ΠΊΠΈ ΠΏΠΎΠ»ΠΎΠ²ΠΎΠ³ΠΎ ΡΠ»Π΅Π½Π° Ρ ΠΏΡΠ΅Π΄ΡΠ΅ΡΡΠ²ΡΡΡΠΈΠΌ Ρ ΠΈΡΡΡΠ³ΠΈΡΠ΅ΡΠΊΠΈΠΌ ΠΎΠ±ΡΠ΅Π·Π°Π½ΠΈΠ΅ΠΌ ΠΊΡΠ°ΠΉΠ½Π΅ΠΉ ΠΏΠ»ΠΎΡΠΈ ΠΏΠΎ ΠΏΠΎΠ²ΠΎΠ΄Ρ ΡΠΈΠΌΠΎΠ·Π°. ΠΡΠ΅Π΄ΠΏΠΎΠ»Π°Π³Π°Π΅ΡΡΡ, ΡΡΠΎ ΡΠ°Π·Π²ΠΈΡΠΈΠ΅ ΠΏΠ°ΡΠΎΠ»ΠΎΠ³ΠΈΠΈ ΠΌΠΎΠΆΠ΅Ρ Π±ΡΡΡ ΡΠ²ΡΠ·Π°Π½ΠΎ Ρ Π²ΠΎΠ·ΡΠ°ΡΡΠ½ΡΠΌ ΠΏΠ°Π΄Π΅Π½ΠΈΠ΅ΠΌ ΡΡΠΎΠ²Π½Ρ ΡΠ΅ΡΡΠΎΡΡΠ΅ΡΠΎΠ½Π° ΠΈΠ»ΠΈ Π½Π°ΡΡΡΠ΅Π½ΠΈΠ΅ΠΌ ΡΡΠ²ΡΡΠ²ΠΈΡΠ΅Π»ΡΠ½ΠΎΡΡΠΈ ΡΠΊΠ°Π½Π΅ΠΉ ΠΊ ΠΌΡΠΆΡΠΊΠΈΠΌ ΠΏΠΎΠ»ΠΎΠ²ΡΠΌ Π³ΠΎΡΠΌΠΎΠ½Π°ΠΌ.
Π‘ΠΈΠΌΠΏΡΠΎΠΌΡ ΠΊΡΠ΅ΡΠΎΡΠΈΡΠ΅ΡΠΊΠΎΠ³ΠΎ Π±Π°Π»Π°Π½ΠΈΡΠ°
ΠΠΎΡΠ°ΠΆΠ°Π΅ΡΡΡ Π³ΠΎΠ»ΠΎΠ²ΠΊΠ° ΠΏΠΎΠ»ΠΎΠ²ΠΎΠ³ΠΎ ΡΠ»Π΅Π½Π° ΠΈ Π²Π½ΡΡΡΠ΅Π½Π½ΠΈΠΉ Π»ΠΈΡΡΠΎΠΊ ΠΊΠΎΠΆΠΈ ΠΊΡΠ°ΠΉΠ½Π΅ΠΉ ΠΏΠ»ΠΎΡΠΈ β Π²Π½Π°ΡΠ°Π»Π΅ ΠΏΠΎΡΠ²Π»ΡΡΡΡΡ Π±Π΅Π»Π΅ΡΠΎΠ²Π°ΡΡΠ΅ ΠΏΡΡΠ½Π°, ΠΏΡΠ·ΡΡΠΈ Ρ Π³Π΅ΠΌΠΎΡΡΠ°Π³ΠΈΡΠ΅ΡΠΊΠΈΠΌ ΡΠΎΠ΄Π΅ΡΠΆΠΈΠΌΡΠΌ ΠΈ Π°ΡΡΠΎΡΠΈΡΠ΅ΡΠΊΠΈΠ΅ ΡΡΠ°ΡΡΠΊΠΈ, ΠΊΠΎΡΠΎΡΡΠ΅ Π·Π°ΡΠ΅ΠΌ ΡΡΠ°Π½ΡΡΠΎΡΠΌΠΈΡΡΡΡΡΡ Π² ΡΠΊΠ»Π΅ΡΠΎΡΠΈΡΠ΅ΡΠΊΠΈΠ΅ Π±Π»ΡΡΠΊΠΈ.
Π Π΄Π°Π»ΡΠ½Π΅ΠΉΡΠ΅ΠΌ ΠΎΠ±ΡΠ°Π·ΡΠ΅ΡΡΡ ΡΠΈΡΠΊΡΠ»ΡΡΠ½ΠΎΠ΅ ΡΠΊΠ»Π΅ΡΠΎΡΠΈΡΠ΅ΡΠΊΠΎΠ΅ ΠΊΠΎΠ»ΡΡΠΎ, ΠΏΠΎ ΠΌΠ΅ΡΠ΅ ΡΠΏΠ»ΠΎΡΠ½Π΅Π½ΠΈΡ ΠΊΠΎΡΠΎΡΠΎΠ³ΠΎ Π²ΡΠ²Π΅Π΄Π΅Π½ΠΈΠ΅ Π³ΠΎΠ»ΠΎΠ²ΠΊΠΈ Π·Π°ΡΡΡΠ΄Π½ΡΠ΅ΡΡΡ. ΠΠ° ΡΡΠΎΠΌ ΡΠΎΠ½Π΅ Π΄ΠΎΠΏΠΎΠ»Π½ΠΈΡΠ΅Π»ΡΠ½ΠΎΠ΅ ΠΈΠ½ΡΠΈΡΠΈΡΠΎΠ²Π°Π½ΠΈΠ΅ ΠΌΠΎΠΆΠ΅Ρ ΠΏΡΠΈΠ²ΠΎΠ΄ΠΈΡΡ ΠΊ Π±Π°ΠΊΡΠ΅ΡΠΈΠ°Π»ΡΠ½ΠΎΠΌΡ Π²ΠΎΡΠΏΠ°Π»Π΅Π½ΠΈΡ Π³ΠΎΠ»ΠΎΠ²ΠΊΠΈ ΠΏΠΎΠ»ΠΎΠ²ΠΎΠ³ΠΎ ΡΠ»Π΅Π½Π° — Π±Π°Π»Π°Π½ΠΈΡΡ. Π ΠΊΠΎΠ½Π΅ΡΠ½ΠΎΠΉ ΡΡΠ°Π΄ΠΈΠΈ Π±Π°Π»Π°Π½ΠΈΡΠ° Ρ ΡΠ°Π·Π²ΠΈΡΠΈΠ΅ΠΌ ΡΡΠ±ΡΠΎΠ²ΠΎΠ³ΠΎ ΡΠΈΠΌΠΎΠ·Π° Π³ΠΎΠ»ΠΎΠ²ΠΊΠ° ΡΠΎΠ²ΡΠ΅ΠΌ ΠΏΠ΅ΡΠ΅ΡΡΠ°Π΅Ρ ΠΎΡΠΊΡΡΠ²Π°ΡΡΡΡ.
Π£ ΠΌΡΠΆΡΠΈΠ½, ΡΠ°Π½Π΅Π΅ ΠΏΠ΅ΡΠ΅Π½Π΅ΡΡΠΈΡ ΠΎΠ±ΡΠ΅Π·Π°Π½ΠΈΠ΅, ΠΎΠ±Π»ΠΈΡΠ΅ΡΠΈΡΡΡΡΠΈΠΉ ΠΊΡΠ΅ΡΠΎΡΠΈΡΠ΅ΡΠΊΠΈΠΉ Π±Π°Π»Π°Π½ΠΈΡ ΠΎΠ±ΡΡΠ½ΠΎ Π½Π°ΡΠΈΠ½Π°Π΅ΡΡΡ Π² Π·ΠΎΠ½Π΅ ΠΏΠΎΡΡΠΎΠΏΠ΅ΡΠ°ΡΠΈΠΎΠ½Π½ΠΎΠ³ΠΎ ΠΊΠΎΠΆΠ½ΠΎΠ³ΠΎ ΡΡΠ±ΡΠ°. Π‘Π½ΠΈΠΆΠ΅Π½ΠΈΠ΅ ΡΠ»Π°ΡΡΠΈΡΠ½ΠΎΡΡΠΈ ΠΊΠΎΠΆΠΈ ΠΊΡΠ°ΠΉΠ½Π΅ΠΉ ΠΏΠ»ΠΎΡΠΈ ΠΌΠΎΠΆΠ΅Ρ ΡΠΎΠΏΡΠΎΠ²ΠΎΠΆΠ΄Π°ΡΡΡΡ Π΅Π΅ Π½Π°Π΄ΡΡΠ²Π°ΠΌΠΈ, ΠΎΡΠΎΠ±Π΅Π½Π½ΠΎ Π²ΠΎ Π²ΡΠ΅ΠΌΡ ΠΏΠΎΠ»ΠΎΠ²ΠΎΠ³ΠΎ Π°ΠΊΡΠ°. ΠΡΠΈ ΡΡΠ±ΡΠ΅Π²Π°Π½ΠΈΠΈ Π½Π°ΡΡΠΆΠ½ΠΎΠ³ΠΎ ΠΎΡΠ²Π΅ΡΡΡΠΈΡ ΡΡΠ΅ΡΡΡ ΠΈ ΡΠ°ΡΡΠΈ ΠΌΠΎΡΠ΅ΠΈΡΠΏΡΡΠΊΠ°ΡΠ΅Π»ΡΠ½ΠΎΠ³ΠΎ ΠΊΠ°Π½Π°Π»Π° Π² ΠΎΠ±Π»Π°ΡΡΠΈ Π»Π°Π΄ΡΠ΅Π²ΠΈΠ΄Π½ΠΎΠΉ ΡΠΌΠΊΠΈ ΡΠ°Π·Π²ΠΈΠ²Π°Π΅ΡΡΡ Π·Π°ΡΡΡΠ΄Π½Π΅Π½Π½ΠΎΠ΅ ΠΌΠΎΡΠ΅ΠΈΡΠΏΡΡΠΊΠ°Π½ΠΈΠ΅, ΡΡΠ΅Π±ΡΡΡΠ΅Π΅ Π½Π°ΡΡΠΆΠΈΠ²Π°Π½ΠΈΡ; ΡΡΡΡΡ ΠΌΠΎΡΠΈ ΡΡΠ°Π½ΠΎΠ²ΠΈΡΡΡ ΡΠΎΠ½ΠΊΠΎΠΉ ΠΈ ΠΏΡΠ΅ΡΡΠ²ΠΈΡΡΠΎΠΉ. Π’Π΅ΡΠ΅Π½ΠΈΠ΅ ΠΏΠ°ΡΠΎΠ»ΠΎΠ³ΠΈΠΈ ΡΠ΅ΡΠΈΠ΄ΠΈΠ²ΠΈΡΡΡΡΠ΅Π΅, Π΄Π»ΠΈΡΠ΅Π»ΡΠ½ΠΎΠ΅.
ΠΡΠ»ΠΎΠΆΠ½Π΅Π½ΠΈΡ
Π‘ΠΊΠ»Π΅ΡΠΎ-Π°ΡΡΠΎΡΠΈΡΠ΅ΡΠΊΠΈΠ΅ ΠΈ Π³ΠΈΠΏΠ΅ΡΠΊΠ΅ΡΠ°ΡΠΎΡΠΈΡΠ΅ΡΠΊΠΈΠ΅ ΠΏΡΠΎΡΠ΅ΡΡΡ ΠΏΡΠΈ ΠΎΠ±Π»ΠΈΡΠ΅ΡΠΈΡΡΡΡΠ΅ΠΌ ΠΊΡΠ΅ΡΠΎΡΠΈΡΠ΅ΡΠΊΠΎΠΌ Π±Π°Π»Π°Π½ΠΈΡΠ΅ Π½Π΅ ΡΠΎΠ»ΡΠΊΠΎ ΡΡ
ΡΠ΄ΡΠ°ΡΡ ΠΊΠ°ΡΠ΅ΡΡΠ²ΠΎ ΠΆΠΈΠ·Π½ΠΈ, Π½ΠΎ ΠΈ ΠΌΠΎΠ³ΡΡ ΡΡΠ°ΡΡ ΠΏΡΠΈΡΠΈΠ½ΠΎΠΉ ΡΠ΅ΡΠΈΠ΄ΠΈΠ²ΠΈΡΡΡΡΠΈΡ
ΠΈΠ½ΡΠ΅ΠΊΡΠΈΠΉ ΠΌΠΎΡΠ΅Π²ΡΡ
ΠΏΡΡΠ΅ΠΉ (ΡΡΠ΅ΡΡΠΈΡΠ°, ΡΠΈΡΡΠΈΡΠ°, ΠΏΠΈΠ΅Π»ΠΎΠ½Π΅ΡΡΠΈΡΠ°), ΠΌΠΎΡΠ΅ΠΊΠ°ΠΌΠ΅Π½Π½ΠΎΠΉ Π±ΠΎΠ»Π΅Π·Π½ΠΈ, Π³ΠΈΠ΄ΡΠΎΠ½Π΅ΡΡΠΎΠ·Π° ΠΈ Π΄Π°ΠΆΠ΅ ΠΏΠΎΡΠ΅ΡΠ½ΠΎΠΉ Π½Π΅Π΄ΠΎΡΡΠ°ΡΠΎΡΠ½ΠΎΡΡΠΈ.
ΠΠΈΠ°Π³Π½ΠΎΡΡΠΈΠΊΠ°
Π Ρ ΠΎΠ΄Π΅ Π΄ΠΈΠ°Π³Π½ΠΎΡΡΠΈΠΊΠΈ Π½Π΅ΠΎΠ±Ρ ΠΎΠ΄ΠΈΠΌΠΎ ΠΈΡΠΊΠ»ΡΡΠΈΡΡ Π΄ΡΡΠ³ΠΈΠ΅ Π·Π°Π±ΠΎΠ»Π΅Π²Π°Π½ΠΈΡ ΡΠΎ ΡΡ ΠΎΠ΄Π½ΠΎΠΉ ΡΠΈΠΌΠΏΡΠΎΠΌΠ°ΡΠΈΠΊΠΎΠΉ β Π±Π°ΠΊΡΠ΅ΡΠΈΠ°Π»ΡΠ½ΡΠΉ ΠΈ Π³ΡΠΈΠ±ΠΊΠΎΠ²ΡΠΉ Π±Π°Π»Π°Π½ΠΎΠΏΠΎΡΡΠΈΡ, Π³Π΅ΡΠΏΠ΅ΡΠΈΡΠ΅ΡΠΊΡΡ, Ρ Π»Π°ΠΌΠΈΠ΄ΠΈΠΉΠ½ΡΡ ΠΈΠ½ΡΠ΅ΠΊΡΠΈΡ, ΠΏΡΠΈΠΎΠ±ΡΠ΅ΡΠ΅Π½Π½ΡΠΉ ΡΠΈΠΌΠΎΠ·, ΠΊΡΠ°ΡΡΠΎΠ· ΠΈ Π»Π΅ΠΉΠΊΠΎΠΏΠ»Π°ΠΊΠΈΡ ΠΏΠΎΠ»ΠΎΠ²ΠΎΠ³ΠΎ ΡΠ»Π΅Π½Π°. Π ΠΊΠΎΠΌΠΏΠ»Π΅ΠΊΡΠ΅ Π΄ΠΈΠ°Π³Π½ΠΎΡΡΠΈΠΊΠΈ Π²ΡΠΏΠΎΠ»Π½ΡΠ΅ΡΡΡ Π±Π°ΠΊΡΠ΅ΡΠΈΠΎΠ»ΠΎΠ³ΠΈΡΠ΅ΡΠΊΠΎΠ΅ ΠΈ ΠΠ¦Π ΠΈΡΡΠ»Π΅Π΄ΠΎΠ²Π°Π½ΠΈΠ΅ ΠΌΠ°Π·ΠΊΠΎΠ². ΠΠΊΠΎΠ½ΡΠ°ΡΠ΅Π»ΡΠ½ΠΎΠ΅ ΠΏΠΎΠ΄ΡΠ²Π΅ΡΠΆΠ΄Π΅Π½ΠΈΠ΅ ΠΏΠΎΠ»ΡΡΠ°ΡΡ Ρ ΠΏΠΎΠΌΠΎΡΡΡ Π±ΠΈΠΎΠΏΡΠΈΠΈ ΠΈΠ·ΠΌΠ΅Π½Π΅Π½Π½ΡΡ ΠΎΡΠ°Π³ΠΎΠ² ΠΊΠΎΠΆΠΈ ΠΏΠΎΠ»ΠΎΠ²ΠΎΠ³ΠΎ ΡΠ»Π΅Π½Π° ΠΈ ΡΡΠ΅ΡΡΡ ΠΈ ΠΈΡ ΠΌΠΎΡΡΠΎΠ»ΠΎΠ³ΠΈΡΠ΅ΡΠΊΠΎΠ³ΠΎ ΠΈΠ·ΡΡΠ΅Π½ΠΈΡ.
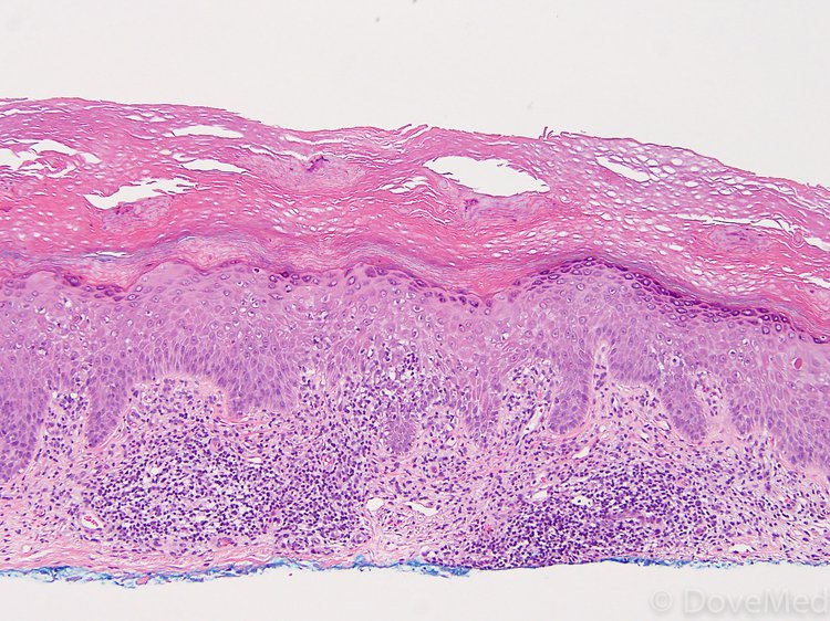
ΠΡΠΈ Π³ΠΈΡΡΠΎΠ»ΠΎΠ³ΠΈΡΠ΅ΡΠΊΠΎΠΌ ΠΈΡΡΠ»Π΅Π΄ΠΎΠ²Π°Π½ΠΈΠΈ Π²ΡΡΠ²Π»ΡΡΡΡΡ ΡΡΠ°ΡΡΠΊΠΈ ΡΠΎΠ»Π»ΠΈΠΊΡΠ»ΡΡΠ½ΠΎΠ³ΠΎ Π³ΠΈΠΏΠ΅ΡΠΊΠ΅ΡΠ°ΡΠΎΠ·Π°, ΠΈΡΡΠΎΠ½ΡΠ΅Π½ΠΈΠ΅ ΡΠ»ΠΎΡ ΡΠΎΡΡΠΊΠΎΠ²ΠΎΠ³ΠΎ ΡΠΏΠΈΠ΄Π΅ΡΠΌΠΈΡΠ°, Π³ΠΎΠΌΠΎΠ³Π΅Π½Π½ΡΠΉ ΡΠΊΠ»Π΅ΡΠΎΠ· ΠΊΠΎΠ»Π»Π°Π³Π΅Π½Π°, ΡΠΎΠΊΡΠ°ΡΠ΅Π½ΠΈΠ΅ ΠΈΠ»ΠΈ Π°ΡΡΠΎΡΠΈΡ ΡΠ»Π°ΡΡΠΈΡΠ΅ΡΠΊΠΈΡ Π²ΠΎΠ»ΠΎΠΊΠΎΠ½, Π³ΡΡΡΠ°Ρ Π»ΠΈΠΌΡΠΎΠΏΠ»Π°Π·ΠΌΠΎΡΠΈΡΠ°ΡΠ½Π°Ρ ΠΈΠ½ΡΠΈΠ»ΡΡΡΠ°ΡΠΈΡ. ΠΡΠΎΠΌΠ΅ Π²Π΅ΡΠΈΡΠΈΠΊΠ°ΡΠΈΠΈ Π΄Π°Π½Π½ΠΎΠΉ ΡΠ°Π·Π½ΠΎΠ²ΠΈΠ΄Π½ΠΎΡΡΠΈ Π±Π°Π»Π°Π½ΠΈΡΠ°, Π±ΠΈΠΎΠΏΡΠΈΡ ΠΏΠΎΠ·Π²ΠΎΠ»ΡΠ΅Ρ ΠΈΡΠΊΠ»ΡΡΠΈΡΡ ΡΠ°ΠΊ ΠΏΠΎΠ»ΠΎΠ²ΠΎΠ³ΠΎ ΡΠ»Π΅Π½Π° ΠΈ ΠΌΠΎΡΠ΅ΠΈΡΠΏΡΡΠΊΠ°ΡΠ΅Π»ΡΠ½ΠΎΠ³ΠΎ ΠΊΠ°Π½Π°Π»Π°. Π‘ ΡΠ΅Π»ΡΡ Π²ΡΡΠ²Π»Π΅Π½ΠΈΡ ΡΡΡΠΈΠΊΡΡΡ ΡΡΠ΅ΡΡΡ ΠΏΠΎΠΊΠ°Π·Π°Π½ΠΎ Π²ΡΠΏΠΎΠ»Π½Π΅Π½ΠΈΠ΅ ΡΡΠ΅ΡΡΠΎΠ³ΡΠ°ΡΠΈΠΈ ΠΈ ΡΡΠ΅ΡΡΠΎΡΠΊΠΎΠΏΠΈΠΈ.
ΠΠ΅ΡΠ΅Π½ΠΈΠ΅ ΠΎΠ±Π»ΠΈΡΠ΅ΡΠΈΡΡΡΡΠ΅Π³ΠΎ ΠΊΡΠ΅ΡΠΎΡΠΈΡΠ΅ΡΠΊΠΎΠ³ΠΎ Π±Π°Π»Π°Π½ΠΈΡΠ°
Π’Π°ΠΊΡΠΈΠΊΠ° Π»Π΅ΡΠ΅Π½ΠΈΡ ΠΎΠΏΡΠ΅Π΄Π΅Π»ΡΠ΅ΡΡΡ ΡΠ°ΡΠΏΡΠΎΡΡΡΠ°Π½Π΅Π½Π½ΠΎΡΡΡΡ ΡΠΊΠ»Π΅ΡΠΎΠ·ΠΈΡΡΡΡΠΈΡ
ΠΈΠ·ΠΌΠ΅Π½Π΅Π½ΠΈΠΉ.
Π Π½Π°ΡΠ°Π»ΡΠ½ΠΎΠΉ I ΡΡΠ°Π΄ΠΈΠΈ ΡΠΊΠ»Π΅ΡΠΎΠ·ΠΈΡΡΡΡΠ΅Π³ΠΎ Π»ΠΈΡ
Π΅Π½Π°, ΠΊΠΎΠ³Π΄Π° Π² ΠΏΠ°ΡΠΎΠ»ΠΎΠ³ΠΈΡΠ΅ΡΠΊΠΈΠ΅ ΠΈΠ·ΠΌΠ΅Π½Π΅Π½ΠΈΡ Π²ΠΎΠ²Π»Π΅ΠΊΠ°Π΅ΡΡΡ ΡΠΎΠ»ΡΠΊΠΎ ΠΊΡΠ°ΠΉΠ½ΡΡ ΠΏΠ»ΠΎΡΡ, ΠΏΡΠΎΠΈΠ·Π²ΠΎΠ΄ΠΈΡΡΡ ΠΎΠΏΠ΅ΡΠ°ΡΠΈΡ ΠΎΠ±ΡΠ΅Π·Π°Π½ΠΈΡ ΠΊΡΠ°ΠΉΠ½Π΅ΠΉ ΠΏΠ»ΠΎΡΠΈ (ΡΠΈΡΠΊΡΠΌΡΠΈΠ·ΠΈΠΎ) Ρ ΠΏΠΎΡΠ»Π΅Π΄ΡΡΡΠΈΠΌ Π½Π°Π±Π»ΡΠ΄Π΅Π½ΠΈΠ΅ΠΌ.
ΠΡΠΈ II ΡΡΠ°Π΄ΠΈΠΈ, Ρ Π°ΡΠ°ΠΊΡΠ΅ΡΠΈΠ·ΡΡΡΠ΅ΠΉΡΡ ΡΡΠΆΠ΅Π½ΠΈΠ΅ΠΌ ΠΎΡΠ²Π΅ΡΡΡΠΈΡ ΡΡΠ΅ΡΡΡ, ΡΡΠ΅Π±ΡΠ΅ΡΡΡ Π²ΡΠΏΠΎΠ»Π½Π΅Π½ΠΈΠ΅ ΠΌΠ΅Π°ΡΠΎΡΠΎΠΌΠΈΠΈ β Ρ ΠΈΡΡΡΠ³ΠΈΡΠ΅ΡΠΊΠΎΠ³ΠΎ ΡΠ°ΡΡΠ΅ΡΠ΅Π½ΠΈΡ ΠΌΠ΅Π°ΡΡΡΠ°. Π Π΄Π°Π»ΡΠ½Π΅ΠΉΡΠ΅ΠΌ Π½Π°Π·Π½Π°ΡΠ°ΡΡΡΡ Π΄Π»ΠΈΡΠ΅Π»ΡΠ½ΡΠ΅ ΠΊΡΡΡΡ ΠΌΠ΅ΡΡΠ½ΠΎΠΉ ΡΠ΅ΡΠ°ΠΏΠΈΠΈ Π³Π»ΡΠΊΠΎΠΊΠΎΡΡΠΈΠΊΠΎΠΈΠ΄Π½ΡΠΌΠΈ ΠΊΡΠ΅ΠΌΠ°ΠΌΠΈ. Π III ΠΈ IV ΡΡΠ°Π΄ΠΈΠΈ, ΠΏΡΠΎΡΠ΅ΠΊΠ°ΡΡΠ΅ΠΉ Ρ ΡΠΎΡΠ°Π»ΡΠ½Π°ΠΌ Π²ΠΎΠ²Π»Π΅ΡΠ΅Π½ΠΈΠ΅ΠΌ ΠΊΡΠ°ΠΉΠ½Π΅ΠΉ ΠΏΠ»ΠΎΡΠΈ, Π³ΠΎΠ»ΠΎΠ²ΠΊΠΈ ΡΠ»Π΅Π½Π°, ΠΌΠΎΡΠ΅ΠΈΡΠΏΡΡΠΊΠ°ΡΠ΅Π»ΡΠ½ΠΎΠ³ΠΎ ΠΊΠ°Π½Π°Π»Π°, Π½Π΅ΠΎΠ±Ρ ΠΎΠ΄ΠΈΠΌΠΎ ΡΠΈΡΠΎΠΊΠΎΠ΅ ΠΈΡΡΠ΅ΡΠ΅Π½ΠΈΠ΅ ΡΡΠ±ΡΠΎΠ²ΡΡ ΡΠΊΠ°Π½Π΅ΠΉ ΠΏΡΠΎΠ²Π΅Π΄Π΅Π½ΠΈΠ΅ ΡΠ΅ΠΊΠΎΠ½ΡΡΡΡΠΊΡΠΈΠ²Π½ΠΎΠΉ ΠΏΠ»Π°ΡΡΠΈΠΊΠΈ ΡΡΠ΅ΡΡΡ Π½Π° ΠΏΡΠΎΡΡΠΆΠ΅Π½ΠΈΠΈ, Π·Π°ΡΠ΅ΠΌ β Π»ΠΎΠΊΠ°Π»ΡΠ½ΠΎΠΉ Π³Π»ΡΠΊΠΎΠΊΠΎΡΡΠΈΠΊΠΎΠΈΠ΄Π½ΠΎΠΉ ΡΠ΅ΡΠ°ΠΏΠΈΠΈ.
ΠΡΠΎΠ³Π½ΠΎΠ· ΠΈ ΠΏΡΠΎΡΠΈΠ»Π°ΠΊΡΠΈΠΊΠ°
ΠΡΠΈ ΡΠ²ΠΎΠ΅Π²ΡΠ΅ΠΌΠ΅Π½Π½ΠΎΠΌ Π»Π΅ΡΠ΅Π½ΠΈΠΈ ΠΏΡΠΎΠ³Π½ΠΎΠ· Π±Π»Π°Π³ΠΎΠΏΡΠΈΡΡΠ½ΡΠΉ, Π½Π° ΠΏΠΎΠ·Π΄Π½ΠΈΡ
ΡΡΠ°Π΄ΠΈΡΡ
Π½Π°Π±Π»ΡΠ΄Π°ΡΡΡΡ Π½Π°ΡΡΡΠ΅Π½ΠΈΡ ΠΌΠΎΡΠ΅ΠΈΡΠΏΡΡΠΊΠ°Π½ΠΈΡ, ΡΠ²Π΅Π»ΠΈΡΠΈΠ²Π°Π΅ΡΡΡ Π²Π΅ΡΠΎΡΡΠ½ΠΎΡΡΡ ΡΠ°Π·Π²ΠΈΡΠΈΡ ΡΠ°ΠΊΠ° ΠΏΠΎΠ»ΠΎΠ²ΠΎΠ³ΠΎ ΡΠ»Π΅Π½Π°. Π‘ΠΏΠ΅ΡΠΈΠ°Π»ΡΠ½Π°Ρ ΠΏΡΠΎΡΠΈΠ»Π°ΠΊΡΠΈΠΊΠ° Π½Π΅ Π²ΡΡΠ°Π±ΠΎΡΠ°Π½Π°. Π Π΅ΠΊΠΎΠΌΠ΅Π½Π΄ΡΠ΅ΡΡΡ ΠΈΠ·Π±Π΅Π³Π°ΡΡ ΡΡΠ°Π²ΠΌΠ°ΡΠΈΠ·Π°ΡΠΈΠΈ ΠΏΠΎΠ»ΠΎΠ²ΡΡ
ΠΎΡΠ³Π°Π½ΠΎΠ² ΠΈ ΠΠΠΠ, ΡΠ΅Π³ΡΠ»ΡΡΠ½ΠΎ Π²ΡΠΏΠΎΠ»Π½ΡΡΡ Π³ΠΈΠ³ΠΈΠ΅Π½ΠΈΡΠ΅ΡΠΊΠΈΠ΅ ΠΏΡΠΎΡΠ΅Π΄ΡΡΡ, ΡΠ²ΠΎΠ΅Π²ΡΠ΅ΠΌΠ΅Π½Π½ΠΎ ΠΎΠ±ΡΠ°ΡΠ°ΡΡΡΡ ΠΊ ΡΠΏΠ΅ΡΠΈΠ°Π»ΠΈΡΡΠ°ΠΌ ΠΏΠΎ ΠΏΠΎΠ²ΠΎΠ΄Ρ ΡΠΊΡΡΡΠ°Π³Π΅Π½ΠΈΡΠ°Π»ΡΠ½ΠΎΠΉ ΠΏΠ°ΡΠΎΠ»ΠΎΠ³ΠΈΠΈ.
ΠΡΠΈ ΠΎΠ±Π½Π°ΡΡΠΆΠ΅Π½ΠΈΠΈ Π»ΡΠ±ΡΡ
ΠΈΠ·ΠΌΠ΅Π½Π΅Π½ΠΈΠΉ Π² ΠΎΠ±Π»Π°ΡΡΠΈ Π³ΠΎΠ»ΠΎΠ²ΠΊΠΈ ΠΏΠΎΠ»ΠΎΠ²ΠΎΠ³ΠΎ ΡΠ»Π΅Π½Π° Π½Π΅ΠΎΠ±Ρ
ΠΎΠ΄ΠΈΠΌΠ° ΠΊΠΎΠ½ΡΡΠ»ΡΡΠ°ΡΠΈΡ Π²ΡΠ°ΡΠ°-Π°Π½Π΄ΡΠΎΠ»ΠΎΠ³Π°. Π Π°Π½Π½Π΅Π΅ ΠΈΡΡΠ΅ΡΠ΅Π½ΠΈΠ΅ ΠΏΠΎΡΠ°ΠΆΠ΅Π½Π½ΡΡ
ΡΠΊΠ°Π½Π΅ΠΉ, ΠΊΠΎΠ½ΡΠ΅ΡΠ²Π°ΡΠΈΠ²Π½Π°Ρ ΡΠ΅ΡΠ°ΠΏΠΈΡ ΠΈ Π½Π°Π±Π»ΡΠ΄Π΅Π½ΠΈΠ΅ ΠΏΠΎΠ·Π²ΠΎΠ»ΡΡΡ ΠΈΠ·Π±Π΅ΠΆΠ°ΡΡ Π³ΡΠΎΠ·Π½ΡΡ
ΠΎΡΠ»ΠΎΠΆΠ½Π΅Π½ΠΈΠΉ.
Balanitis Xerotica Obliterans — StatPearls
ΠΠ΅Π²ΠΈΠ½ ΠΠ°ΡΠΎΡΡΠΈ; ΠΡΠ΅Π³ΠΎΡΠΈ Π. ΠΠ°ΠΊΠΈΠ½ΡΠΎΡ.
ΠΠ½ΡΠΎΡΠΌΠ°ΡΠΈΡ ΠΎΠ± Π°Π²ΡΠΎΡΠ΅
ΠΠΎΡΠ»Π΅Π΄Π½Π΅Π΅ ΠΎΠ±Π½ΠΎΠ²Π»Π΅Π½ΠΈΠ΅: 5 ΠΈΡΠ½Ρ 2022 Π³.
ΠΠ΅ΠΏΡΠ΅ΡΡΠ²Π½ΠΎΠ΅ ΠΎΠ±ΡΡΠ΅Π½ΠΈΠ΅
ΠΠ±Π»ΠΈΡΠ΅ΡΠΈΡΡΡΡΠΈΠΉ ΠΊΡΠ΅ΡΠΎΡΠΈΡΠ΅ΡΠΊΠΈΠΉ Π±Π°Π»Π°Π½ΠΈΡ, ΡΠ°ΠΊΠΆΠ΅ ΠΈΠ·Π²Π΅ΡΡΠ½ΡΠΉ ΠΊΠ°ΠΊ ΡΠΊΠ»Π΅ΡΠΎΠ·ΠΈΡΡΡΡΠΈΠΉ Π»ΠΈΡΠ°ΠΉ, ΠΏΡΠ΅Π΄ΡΡΠ°Π²Π»ΡΠ΅Ρ ΡΠΎΠ±ΠΎΠΉ Π±Π΅Π»ΡΠ΅ Π²ΠΎΡΠΏΠ°Π»ΠΈΡΠ΅Π»ΡΠ½ΡΠ΅ ΠΏΡΡΠ½Π°, ΠΊΠΎΡΠΎΡΡΠ΅ ΠΌΠΎΠ³ΡΡ ΠΏΠΎΡΠ°ΠΆΠ°ΡΡ ΠΊΠ°ΠΊ ΠΌΡΠΆΡΠΈΠ½, ΡΠ°ΠΊ ΠΈ ΠΆΠ΅Π½ΡΠΈΠ½. Π£ ΠΌΡΠΆΡΠΈΠ½ ΠΏΠΎΡΠ°ΠΆΠ΅Π½Π½ΡΠ΅ ΡΡΠ°ΡΡΠΊΠΈ ΠΎΠ±ΡΡΠ½ΠΎ Π²ΠΊΠ»ΡΡΠ°ΡΡ ΠΊΡΠ°ΠΉΠ½ΡΡ ΠΏΠ»ΠΎΡΡ ΠΈ Π³ΠΎΠ»ΠΎΠ²ΠΊΡ ΠΏΠΎΠ»ΠΎΠ²ΠΎΠ³ΠΎ ΡΠ»Π΅Π½Π°, ΡΡΠΎ Π½Π°Π·ΡΠ²Π°Π΅ΡΡΡ ΠΎΠ±Π»ΠΈΡΠ΅ΡΠΈΡΡΡΡΠΈΠΌ ΠΊΡΠ΅ΡΠΎΡΠΈΡΠ΅ΡΠΊΠΈΠΌ Π±Π°Π»Π°Π½ΠΈΡΠΎΠΌ. Π ΡΡΠΎΠΌ ΡΠΏΡΠ°ΠΆΠ½Π΅Π½ΠΈΠΈ ΠΎΠΏΠΈΡΡΠ²Π°Π΅ΡΡΡ ΠΎΡΠ΅Π½ΠΊΠ° ΠΎΠ±Π»ΠΈΡΠ΅ΡΠΈΡΡΡΡΠ΅Π³ΠΎ ΠΊΡΠ΅ΡΠΎΡΠΈΡΠ΅ΡΠΊΠΎΠ³ΠΎ Π±Π°Π»Π°Π½ΠΈΡΠ° ΠΈ Π²ΡΠ΄Π΅Π»ΡΡΡΡΡ ΠΎΡΠ½ΠΎΠ²Π½ΡΠ΅ ΠΎΡΠΎΠ±Π΅Π½Π½ΠΎΡΡΠΈ Π²Π΅Π΄Π΅Π½ΠΈΡ ΠΏΠ°ΡΠΈΠ΅Π½ΡΠΎΠ² Ρ ΡΡΠΈΠΌ Π·Π°Π±ΠΎΠ»Π΅Π²Π°Π½ΠΈΠ΅ΠΌ.
Π¦Π΅Π»ΠΈ:
ΠΠΏΡΠ΅Π΄Π΅Π»ΠΈΡΠ΅ ΡΡΠΈΠΎΠ»ΠΎΠ³ΠΈΡ ΠΎΠ±Π»ΠΈΡΠ΅ΡΠΈΡΡΡΡΠ΅Π³ΠΎ ΠΊΡΠ΅ΡΠΎΡΠΈΡΠ΅ΡΠΊΠΎΠ³ΠΎ Π±Π°Π»Π°Π½ΠΈΡΠ°.

ΠΠ΅ΡΠ΅ΡΠΌΠΎΡΡΠ΅ΡΡ ΡΠΎΠΎΡΠ²Π΅ΡΡΡΠ²ΡΡΡΡΡ ΠΎΡΠ΅Π½ΠΊΡ ΠΎΠ±Π»ΠΈΡΠ΅ΡΠΈΡΡΡΡΠ΅Π³ΠΎ ΠΊΡΠ΅ΡΠΎΡΠΈΡΠ΅ΡΠΊΠΎΠ³ΠΎ Π±Π°Π»Π°Π½ΠΈΡΠ°.
ΠΠΏΠΈΡΠΈΡΠ΅ Π²ΠΎΠ·ΠΌΠΎΠΆΠ½ΡΠ΅ Π²Π°ΡΠΈΠ°Π½ΡΡ Π»Π΅ΡΠ΅Π½ΠΈΡ ΠΎΠ±Π»ΠΈΡΠ΅ΡΠΈΡΡΡΡΠ΅Π³ΠΎ ΠΊΡΠ΅ΡΠΎΡΠΈΡΠ΅ΡΠΊΠΎΠ³ΠΎ Π±Π°Π»Π°Π½ΠΈΡΠ°.
ΠΠ±ΡΡΡΠ½ΠΈΡΠ΅ Π²Π°ΠΆΠ½ΠΎΡΡΡ ΡΠ»ΡΡΡΠ΅Π½ΠΈΡ ΠΊΠΎΠΎΡΠ΄ΠΈΠ½Π°ΡΠΈΠΈ ΠΏΠΎΠΌΠΎΡΠΈ ΠΌΠ΅ΠΆΠ΄Ρ ΠΌΠ΅ΠΆΠ΄ΠΈΡΡΠΈΠΏΠ»ΠΈΠ½Π°ΡΠ½ΡΠΌΠΈ Π±ΡΠΈΠ³Π°Π΄Π°ΠΌΠΈ Π΄Π»Ρ ΡΠ»ΡΡΡΠ΅Π½ΠΈΡ ΠΎΠΊΠ°Π·Π°Π½ΠΈΡ ΠΏΠΎΠΌΠΎΡΠΈ ΠΏΠ°ΡΠΈΠ΅Π½ΡΠ°ΠΌ, ΡΡΡΠ°Π΄Π°ΡΡΠΈΠΌ ΠΎΠ±Π»ΠΈΡΠ΅ΡΠΈΡΡΡΡΠΈΠΌ ΠΊΡΠ΅ΡΠΎΡΠΈΡΠ΅ΡΠΊΠΈΠΌ Π±Π°Π»Π°Π½ΠΈΡΠΎΠΌ, ΠΈ ΡΠ»ΡΡΡΠ΅Π½ΠΈΡ ΠΈΡΡ ΠΎΠ΄ΠΎΠ².
ΠΠΎΡΡΡΠΏ ΠΊ Π±Π΅ΡΠΏΠ»Π°ΡΠ½ΡΠΌ Π²ΠΎΠΏΡΠΎΡΠ°ΠΌ Ρ Π½Π΅ΡΠΊΠΎΠ»ΡΠΊΠΈΠΌΠΈ Π²Π°ΡΠΈΠ°Π½ΡΠ°ΠΌΠΈ ΠΎΡΠ²Π΅ΡΠΎΠ² ΠΏΠΎ ΡΡΠΎΠΉ ΡΠ΅ΠΌΠ΅.
ΠΠ²Π΅Π΄Π΅Π½ΠΈΠ΅
ΠΠ±Π»ΠΈΡΠ΅ΡΠΈΡΡΡΡΠΈΠΉ ΠΊΡΠ΅ΡΠΎΡΠΈΡΠ΅ΡΠΊΠΈΠΉ Π±Π°Π»Π°Π½ΠΈΡ, ΡΠ°ΠΊΠΆΠ΅ ΠΈΠ·Π²Π΅ΡΡΠ½ΡΠΉ ΠΊΠ°ΠΊ ΡΠΊΠ»Π΅ΡΠΎΠ·ΠΈΡΡΡΡΠΈΠΉ Π»ΠΈΡΠ°ΠΉ, ΠΏΡΠ΅Π΄ΡΡΠ°Π²Π»ΡΠ΅Ρ ΡΠΎΠ±ΠΎΠΉ Π±Π΅Π»ΡΠ΅ Π²ΠΎΡΠΏΠ°Π»ΠΈΡΠ΅Π»ΡΠ½ΡΠ΅ ΠΏΡΡΠ½Π°, ΠΊΠΎΡΠΎΡΡΠ΅ ΠΌΠΎΠ³ΡΡ ΠΏΠΎΡΠ°ΠΆΠ°ΡΡ ΠΊΠ°ΠΊ ΠΌΡΠΆΡΠΈΠ½, ΡΠ°ΠΊ ΠΈ ΠΆΠ΅Π½ΡΠΈΠ½. Π£ ΠΌΡΠΆΡΠΈΠ½ ΠΏΠΎΡΠ°ΠΆΠ΅Π½Π½ΡΠ΅ ΡΡΠ°ΡΡΠΊΠΈ ΠΎΠ±ΡΡΠ½ΠΎ Π²ΠΊΠ»ΡΡΠ°ΡΡ ΠΊΡΠ°ΠΉΠ½ΡΡ ΠΏΠ»ΠΎΡΡ ΠΈ Π³ΠΎΠ»ΠΎΠ²ΠΊΡ ΠΏΠΎΠ»ΠΎΠ²ΠΎΠ³ΠΎ ΡΠ»Π΅Π½Π°, ΡΡΠΎ Π½Π°Π·ΡΠ²Π°Π΅ΡΡΡ ΠΎΠ±Π»ΠΈΡΠ΅ΡΠΈΡΡΡΡΠΈΠΌ ΠΊΡΠ΅ΡΠΎΡΠΈΡΠ΅ΡΠΊΠΈΠΌ Π±Π°Π»Π°Π½ΠΈΡΠΎΠΌ. Π‘ΡΡΠΈΠΊΡΡΡΡ ΡΡΠ΅ΡΡΡ ΠΈ ΠΌΠ΅Π°ΡΠ°Π»ΡΠ½ΡΠΉ ΡΡΠ΅Π½ΠΎΠ· ΡΠ²Π»ΡΡΡΡΡ ΡΠ°ΡΡΡΠΌΠΈ ΠΏΠΎΡΠ»Π΅Π΄ΡΡΠ²ΠΈΡΠΌΠΈ ΡΡΠΎΠ³ΠΎ ΡΠΎΡΡΠΎΡΠ½ΠΈΡ.[1][2]
ΠΡΠΈΠΎΠ»ΠΎΠ³ΠΈΡ
ΠΡΠΈΠΎΠ»ΠΎΠ³ΠΈΡ ΠΎΠ±Π»ΠΈΡΠ΅ΡΠΈΡΡΡΡΠ΅Π³ΠΎ ΠΊΡΠ΅ΡΠΎΡΠΈΡΠ΅ΡΠΊΠΎΠ³ΠΎ Π±Π°Π»Π°Π½ΠΈΡΠ° Π½Π΅ΠΈΠ·Π²Π΅ΡΡΠ½Π°.
ΠΡΠ»ΠΎ Π²ΡΡΠΊΠ°Π·Π°Π½ΠΎ ΠΏΡΠ΅Π΄ΠΏΠΎΠ»ΠΎΠΆΠ΅Π½ΠΈΠ΅, ΡΡΠΎ ΠΊ ΡΡΠΎΠΌΡ ΡΠΎΡΡΠΎΡΠ½ΠΈΡ ΠΌΠΎΠ³ΡΡ ΠΏΡΠΈΠ²Π΅ΡΡΠΈ ΡΠ°Π·Π»ΠΈΡΠ½ΡΠ΅ ΠΈΠ½ΡΠ΅ΠΊΡΠΈΠΈ, ΡΡΠ°Π²ΠΌΡ ΠΏΠΎΠ»ΠΎΠ²ΠΎΠ³ΠΎ ΡΠ»Π΅Π½Π° ΠΈΠ»ΠΈ Ρ
ΡΠΎΠ½ΠΈΡΠ΅ΡΠΊΠΈΠ΅ Π²ΠΎΡΠΏΠ°Π»ΠΈΡΠ΅Π»ΡΠ½ΡΠ΅ ΡΠΎΡΡΠΎΡΠ½ΠΈΡ.
ΠΠΏΠΈΠ΄Π΅ΠΌΠΈΠΎΠ»ΠΎΠ³ΠΈΡ
Π‘ΠΎΠΎΠ±ΡΠΈΡΡ ΠΎ ΡΠ°ΡΠΏΡΠΎΡΡΡΠ°Π½Π΅Π½Π½ΠΎΡΡΠΈ ΡΡΠΎΠ³ΠΎ ΡΠΎΡΡΠΎΡΠ½ΠΈΡ ΡΠ»ΠΎΠΆΠ½ΠΎ, ΠΏΠΎΡΠΊΠΎΠ»ΡΠΊΡ ΠΏΠ΅ΡΠ²ΠΎΠ½Π°ΡΠ°Π»ΡΠ½Π°Ρ ΠΏΡΠ΅Π·Π΅Π½ΡΠ°ΡΠΈΡ ΠΏΡΠΎΠ²ΠΎΠ΄ΠΈΡΡΡ Π΄Π»Ρ ΡΠΈΡΠΎΠΊΠΎΠ³ΠΎ ΠΊΡΡΠ³Π° Π²ΡΠ°ΡΠ΅ΠΉ-ΡΠΏΠ΅ΡΠΈΠ°Π»ΠΈΡΡΠΎΠ². Π ΠΈΡΡΠ»Π΅Π΄ΠΎΠ²Π°Π½ΠΈΡΡ ΡΠΎΠΎΠ±ΡΠ°Π»ΠΎΡΡ ΠΎ ΡΠ°ΡΠΏΡΠΎΡΡΡΠ°Π½Π΅Π½Π½ΠΎΡΡΠΈ ΡΠΊΠ»Π΅ΡΠΎΠ°ΡΡΠΎΡΠΈΡΠ΅ΡΠΊΠΎΠ³ΠΎ Π»ΠΈΡ Π΅Π½Π°, ΠΏΡΠΈΠΌΠ΅ΡΠ½ΠΎ ΠΎΡ 0,1 Π΄ΠΎ 0,3 ΠΏΡΠΎΡΠ΅Π½ΡΠ° [3].
ΠΠΎΠ±Π΅Π»ΠΈ ΠΎΡ 6,8 Π΄ΠΎ 9 Π»Π΅ΡΡΠ°ΡΠ΅ Π²ΡΠ΅Π³ΠΎ ΡΡΡΠ°Π΄Π°ΡΡ Π΄Π΅ΡΠΈ Π² Π²ΠΎΠ·ΡΠ°ΡΡΠ΅ 7 Π»Π΅Ρ, ΡΡΠ΅Π΄Π½ΡΡ Π·Π°Π±ΠΎΠ»Π΅Π²Π°Π΅ΠΌΠΎΡΡΡ ΠΏΡΠΈΡ ΠΎΠ΄ΠΈΡΡΡ Π½Π° 7 Π»Π΅Ρ. Π‘ΠΎΠΎΠ±ΡΠ°Π»ΠΎΡΡ, ΡΡΠΎ ΠΎΡΡΡΡΡΡΠ²ΠΈΠ΅ ΠΎΠ±ΡΠ΅Π·Π°Π½ΠΈΡ ΡΠ²Π»ΡΠ΅ΡΡΡ ΡΠ°ΠΊΡΠΎΡΠΎΠΌ ΡΠΈΡΠΊΠ° ΡΠ°Π·Π²ΠΈΡΠΈΡ ΠΎΠ±Π»ΠΈΡΠ΅ΡΠΈΡΡΡΡΠ΅Π³ΠΎ ΠΊΡΠ΅ΡΠΎΡΠΈΡΠ΅ΡΠΊΠΎΠ³ΠΎ Π±Π°Π»Π°Π½ΠΈΡΠ°. ΠΠ΅ΡΠΊΠΎΠ»ΡΠΊΠΎ ΠΈΡΡΠ»Π΅Π΄ΠΎΠ²Π°Π½ΠΈΠΉ Π½Π΅ ΠΏΠΎΠΊΠ°Π·Π°Π»ΠΈ ΡΠ°ΡΠΎΠ²ΠΎΠΉ ΠΏΡΠ΅Π΄ΡΠ°ΡΠΏΠΎΠ»ΠΎΠΆΠ΅Π½Π½ΠΎΡΡΠΈ; ΠΎΠ΄Π½Π°ΠΊΠΎ ΠΠ³ΡΠ΅Π½ ΠΈ ΡΠΎΠ°Π²Ρ. ΡΠΎΠΎΠ±ΡΠ°ΡΡ ΠΎ Π±ΠΎΠ»Π΅Π΅ Π²ΡΡΠΎΠΊΠΈΡ ΠΏΠΎΠΊΠ°Π·Π°ΡΠ΅Π»ΡΡ ΡΡΠ΅Π΄ΠΈ Π°ΡΡΠΎΠ°ΠΌΠ΅ΡΠΈΠΊΠ°Π½ΡΠ΅Π² ΠΈ Π»Π°ΡΠΈΠ½ΠΎΠ°ΠΌΠ΅ΡΠΈΠΊΠ°Π½ΡΠ΅Π², Π²Π΅ΡΠΎΡΡΠ½ΠΎ, Π²ΡΠΎΡΠΈΡΠ½ΡΡ ΠΏΠΎ ΠΎΡΠ½ΠΎΡΠ΅Π½ΠΈΡ ΠΊ Π±ΠΎΠ»Π΅Π΅ Π½ΠΈΠ·ΠΊΠΈΠΌ ΠΏΠΎΠΊΠ°Π·Π°ΡΠ΅Π»ΡΠΌ ΠΎΠ±ΡΠ΅Π·Π°Π½ΠΈΡ.
ΠΠ°ΡΠΎΡΠΈΠ·ΠΈΠΎΠ»ΠΎΠ³ΠΈΡ
Π’ΠΎΡΠ½Π°Ρ ΡΡΠΈΠΎΠ»ΠΎΠ³ΠΈΡ Π½Π΅ΠΈΠ·Π²Π΅ΡΡΠ½Π°. ΠΠ΄Π½Π°ΠΊΠΎ Π²ΡΠ΅ Π±ΠΎΠ»ΡΡΠ΅ Π΄Π°Π½Π½ΡΡ
ΡΠ²ΠΈΠ΄Π΅ΡΠ΅Π»ΡΡΡΠ²ΡΠ΅Ρ ΠΎΠ± Π°ΡΡΠΎΠΈΠΌΠΌΡΠ½Π½ΡΡ
Π²Π»ΠΈΡΠ½ΠΈΡΡ
, Π²ΠΎΠ·ΠΌΠΎΠΆΠ½ΠΎΠΉ Π³Π΅Π½Π΅ΡΠΈΡΠ΅ΡΠΊΠΎΠΉ ΠΏΡΠ΅Π΄ΡΠ°ΡΠΏΠΎΠ»ΠΎΠΆΠ΅Π½Π½ΠΎΡΡΠΈ ΠΈ Π²ΠΎΡΠΏΠ°Π»ΠΈΡΠ΅Π»ΡΠ½ΡΡ
ΠΏΡΠΎΡΠ΅ΡΡΠ°Ρ
, Π²Π΅Π΄ΡΡΠΈΡ
ΠΊ ΠΏΡΠΎΠ³ΡΠ΅ΡΡΠΈΡΠΎΠ²Π°Π½ΠΈΡ Π·Π°Π±ΠΎΠ»Π΅Π²Π°Π½ΠΈΡ.
[4]
ΠΠ½Π°ΠΌΠ½Π΅Π· ΠΈ ΡΠΈΠ·ΠΈΠΊΠ°Π»ΡΠ½ΠΎΠ΅ ΠΎΠ±ΡΠ»Π΅Π΄ΠΎΠ²Π°Π½ΠΈΠ΅
Π§Π°ΡΠ΅ Π²ΡΠ΅Π³ΠΎ Π±Π°Π»Π°Π½ΠΈΡ ΠΎΠ±Π½Π°ΡΡΠΆΠΈΠ²Π°ΡΡ Ρ Π½Π΅ΠΎΠ±ΡΠ΅Π·Π°Π½Π½ΡΡ ΠΌΡΠΆΡΠΈΠ½ ΠΈΠ»ΠΈ Ρ ΠΏΠΎΠΆΠΈΠ»ΡΡ ΠΌΡΠΆΡΠΈΠ½, ΠΏΠ΅ΡΠ΅Π½Π΅ΡΡΠΈΡ ΠΎΠ±ΡΠ΅Π·Π°Π½ΠΈΠ΅ Π² Π±ΠΎΠ»Π΅Π΅ ΠΏΠΎΠ·Π΄Π½Π΅ΠΌ Π²ΠΎΠ·ΡΠ°ΡΡΠ΅. ΠΠΏΡΡΡ ΠΆΠ΅, ΡΡΠΈΠΎΠ»ΠΎΠ³ΠΈΡ Π½Π΅ΠΈΠ·Π²Π΅ΡΡΠ½Π°, Π½ΠΎ Ρ ΡΠΎΠ½ΠΈΡΠ΅ΡΠΊΠΎΠ΅ Π²ΠΎΡΠΏΠ°Π»Π΅Π½ΠΈΠ΅ ΠΈ ΡΠ°Π·Π΄ΡΠ°ΠΆΠ΅Π½ΠΈΠ΅, ΠΏΠΎ-Π²ΠΈΠ΄ΠΈΠΌΠΎΠΌΡ, ΡΠ²Π»ΡΡΡΡΡ Π½Π°ΠΈΠ±ΠΎΠ»Π΅Π΅ Π·Π°ΠΌΠ΅ΡΠ½ΡΠΌ ΠΏΡΠΎΠ²ΠΎΡΠΈΡΡΡΡΠΈΠΌ ΡΠ°ΠΊΡΠΎΡΠΎΠΌ ΠΏΡΠΎΠ³ΡΠ΅ΡΡΠΈΡΠΎΠ²Π°Π½ΠΈΡ Π·Π°Π±ΠΎΠ»Π΅Π²Π°Π½ΠΈΡ. ΠΠ°Π»Π°Π½ΠΈΡ ΡΠ°ΡΡΠΎ Π²Π½Π°ΡΠ°Π»Π΅ ΠΏΡΠΎΡΠ΅ΠΊΠ°Π΅Ρ Π±Π΅ΡΡΠΈΠΌΠΏΡΠΎΠΌΠ½ΠΎ. Π’Π΅ΠΌ Π½Π΅ ΠΌΠ΅Π½Π΅Π΅, ΠΎΠ΄Π½ΠΈΠΌ ΠΈΠ· Π½Π°ΠΈΠ±ΠΎΠ»Π΅Π΅ ΡΠ°ΡΠΏΡΠΎΡΡΡΠ°Π½Π΅Π½Π½ΡΡ ΡΠ΅Π·ΡΠ»ΡΡΠ°ΡΠΎΠ² ΡΠΈΠ·ΠΈΡΠ΅ΡΠΊΠΎΠ³ΠΎ ΠΎΡΠΌΠΎΡΡΠ° ΡΠ²Π»ΡΡΡΡΡ ΡΡΠΈΡΠ΅ΠΌΠ°ΡΠΎΠ·Π½ΡΠ΅ ΠΈΠ·ΠΌΠ΅Π½Π΅Π½ΠΈΡ ΠΈΠ»ΠΈ Π±Π΅Π»ΡΠ΅ Π³ΠΈΠΏΠΎΠΏΠΈΠ³ΠΌΠ΅Π½ΡΠΈΡΠΎΠ²Π°Π½Π½ΡΠ΅ ΠΏΠΎΡΠ°ΠΆΠ΅Π½ΠΈΡ, Π½Π°Π±Π»ΡΠ΄Π°Π΅ΠΌΡΠ΅ Π½Π° Π³ΠΎΠ»ΠΎΠ²ΠΊΠ΅ ΠΏΠΎΠ»ΠΎΠ²ΠΎΠ³ΠΎ ΡΠ»Π΅Π½Π° ΠΈΠ»ΠΈ ΠΊΡΠ°ΠΉΠ½Π΅ΠΉ ΠΏΠ»ΠΎΡΠΈ.
ΠΡΠΎ Π³Π΅Π½Π΅ΡΠ°Π»ΠΈΠ·ΠΎΠ²Π°Π½Π½ΠΎΠ΅ Π²ΠΎΡΠΏΠ°Π»Π΅Π½ΠΈΠ΅ ΠΌΠΎΠΆΠ΅Ρ ΠΏΡΠΈΠ²Π΅ΡΡΠΈ ΠΊ ΡΠΎΡΡΠΎΡΠ½ΠΈΡ, ΠΈΠ·Π²Π΅ΡΡΠ½ΠΎΠΌΡ ΠΊΠ°ΠΊ ΡΠΈΠΌΠΎΠ·. Π€ΠΈΠΌΠΎΠ· ΠΎΡΠ½ΠΎΡΠΈΡΡΡ ΠΊ ΡΡΡΠ΄Π½ΠΎΡΡΡΠΌ Π²ΡΡΠ³ΠΈΠ²Π°Π½ΠΈΡ ΠΊΡΠ°ΠΉΠ½Π΅ΠΉ ΠΏΠ»ΠΎΡΠΈ ΠΈ ΠΌΠΎΠΆΠ΅Ρ ΠΏΡΠΈΠ²Π΅ΡΡΠΈ ΠΊ ΠΏΡΠΎΠ±Π»Π΅ΠΌΠ°ΠΌ Ρ ΠΌΠΎΡΠ΅ΠΈΡΠΏΡΡΠΊΠ°Π½ΠΈΠ΅ΠΌ ΠΈ ΠΎΠ±ΡΠ΅ΠΉ ΡΠ΅ΠΊΡΡΠ°Π»ΡΠ½ΠΎΠΉ ΡΡΠ½ΠΊΡΠΈΠ΅ΠΉ. ΠΡΠ»ΠΈ ΠΎΡΡΠ°Π²ΠΈΡΡ Π΅Π³ΠΎ Π±Π΅Π· Π²Π½ΠΈΠΌΠ°Π½ΠΈΡ, ΠΌΠΎΠ³ΡΡ ΡΠ°Π·Π²ΠΈΡΡΡΡ Π΄ΠΎΠΏΠΎΠ»Π½ΠΈΡΠ΅Π»ΡΠ½ΡΠ΅ ΡΠΈΠΌΠΏΡΠΎΠΌΡ, Π²ΠΊΠ»ΡΡΠ°Ρ Π΄ΠΈΠ·ΡΡΠΈΡ, Π·Π°Π΄Π΅ΡΠΆΠΊΡ ΠΌΠΎΡΠΈ ΠΈ ΠΏΠΎΡΠ΅ΡΠ½ΡΡ Π½Π΅Π΄ΠΎΡΡΠ°ΡΠΎΡΠ½ΠΎΡΡΡ. ΠΡΠΈΡΠ΅ΠΌΠ°ΡΠΎΠ·Π½ΡΠ΅ ΠΈΠ·ΠΌΠ΅Π½Π΅Π½ΠΈΡ ΠΌΠΎΠ³ΡΡ Π² Π΄Π°Π»ΡΠ½Π΅ΠΉΡΠ΅ΠΌ ΠΏΠ΅ΡΠ΅ΡΠ°ΡΡΠΈ Π² Π±ΠΎΠ»Π΅Π΅ Π²ΡΡΠ°ΠΆΠ΅Π½Π½ΡΠ΅ ΠΏΠΎΡΠ°ΠΆΠ΅Π½ΠΈΡ Π²ΠΎΠΊΡΡΠ³ Π²Π΅Π½Π΅ΡΠ½ΠΎΠΉ Π±ΠΎΡΠΎΠ·Π΄Ρ ΠΈ ΠΊΡΠ°ΠΉΠ½Π΅ΠΉ ΠΏΠ»ΠΎΡΠΈ.
Π ΠΊΠΎΠ½ΡΠ΅ ΠΊΠΎΠ½ΡΠΎΠ², ΡΡΠΎ ΠΌΠΎΠΆΠ΅Ρ ΠΏΠΎΡΡΠ΅ΠΏΠ΅Π½Π½ΠΎ ΠΏΡΠΎΠ½ΠΈΠΊΠ°ΡΡ Π² ΡΡΠ΅ΡΡΠ°Π»ΡΠ½ΡΠΉ ΠΏΡΠΎΡ
ΠΎΠ΄ ΠΈ Π»Π°Π΄ΡΠ΅Π²ΠΈΠ΄Π½ΡΡ ΡΠΌΠΊΡ, ΠΏΠΎΡΠ°ΠΆΠ°Ρ ΡΡΠ΅ΡΡΠ°Π»ΡΠ½ΡΠΉ ΡΡΠ°ΠΊΡ, ΡΡΠΎ ΠΌΠΎΠΆΠ΅Ρ ΠΏΡΠΈΠ²Π΅ΡΡΠΈ ΠΊ ΡΡΡΠΈΠΊΡΡΡΠ°ΠΌ ΠΈΠ»ΠΈ ΡΡΠΆΠ΅Π½ΠΈΡ.
ΠΡΠ΅Π½ΠΊΠ°
ΠΠ°Π»Π°Π½ΠΈΡ ΠΎΠ±ΡΡΠ½ΠΎ Π½Π°Π±Π»ΡΠ΄Π°Π΅ΡΡΡ Ρ Π½Π΅ΠΎΠ±ΡΠ΅Π·Π°Π½Π½ΡΡ ΠΌΡΠΆΡΠΈΠ½. ΠΠ° Π³ΠΎΠ»ΠΎΠ²ΠΊΠ΅ ΠΏΠΎΠ»ΠΎΠ²ΠΎΠ³ΠΎ ΡΠ»Π΅Π½Π° ΠΈΠ»ΠΈ ΠΊΡΠ°ΠΉΠ½Π΅ΠΉ ΠΏΠ»ΠΎΡΠΈ Π±ΡΠ΄ΡΡ Π±Π΅Π»ΡΠ΅ ΠΈΠ»ΠΈ ΡΡΠΈΡΠ΅ΠΌΠ°ΡΠΎΠ·Π½ΡΠ΅ ΡΡΠ°ΡΡΠΊΠΈ. Π€ΠΈΠΌΠΎΠ· ΠΌΠΎΠΆΠ΅Ρ Π½Π°Π±Π»ΡΠ΄Π°ΡΡΡΡ ΠΏΠΎ ΠΌΠ΅ΡΠ΅ ΠΏΡΠΎΠ³ΡΠ΅ΡΡΠΈΡΠΎΠ²Π°Π½ΠΈΡ ΡΠΎΡΡΠΎΡΠ½ΠΈΡ. ΠΠ°ΡΡΠΈΠΎΠ»ΠΈ ΠΈ Π΄Ρ. ΠΏΠΎΠΊΠ°Π·ΡΠ²Π°ΡΡ Π² ΡΠ²ΠΎΠ΅ΠΌ ΠΈΡΡΠ»Π΅Π΄ΠΎΠ²Π°Π½ΠΈΠΈ, ΡΡΠΎ 15% ΠΈΡΡΠ»Π΅Π΄ΠΎΠ²Π°Π½Π½ΡΡ ΠΊΡΠ°ΠΉΠ½Π΅ΠΉ ΠΏΠ»ΠΎΡΠΈ ΠΏΠΎΠΊΠ°Π·Π°Π»ΠΈ Π³ΠΈΠΏΠΎΡΠΏΠ°Π΄ΠΈΡ. ΠΠΈΡΡΠ΅ΡΠ΅Π½ΡΠΈΠ°Π»ΡΠ½ΡΠΉ Π΄ΠΈΠ°Π³Π½ΠΎΠ· Π²ΠΊΠ»ΡΡΠ°Π΅Ρ ΠΏΡΠΎΡΠΈΠ°Π·, Π½Π΅ΠΎΠΏΠ»Π°ΡΡΠΈΡΠ΅ΡΠΊΠΈΠΉ ΠΏΡΠΎΡΠ΅ΡΡ, ΠΊΠΎΠ½ΡΠ°ΠΊΡΠ½ΡΠΉ Π΄Π΅ΡΠΌΠ°ΡΠΈΡ, Π±Π°Π»Π°Π½ΠΈΡ ΠΠΎΠΎΠ½Π°, Π»Π΅ΠΉΠΊΠΎΠΏΠ»Π°ΠΊΠΈΡ ΠΈ ΡΠΈΠΊΡΠΈΡΠΎΠ²Π°Π½Π½ΡΡ Π»Π΅ΠΊΠ°ΡΡΡΠ²Π΅Π½Π½ΡΡ ΡΠ΅Π°ΠΊΡΠΈΡ.
ΠΠ»ΠΎΠΊΠ°ΡΠ΅ΡΡΠ²Π΅Π½Π½Π°Ρ ΡΡΠ°Π½ΡΡΠΎΡΠΌΠ°ΡΠΈΡ Π² ΠΏΠ»ΠΎΡΠΊΠΎΠΊΠ»Π΅ΡΠΎΡΠ½ΡΠΉ ΡΠ°ΠΊ Π²ΡΡΡΠ΅ΡΠ°Π΅ΡΡΡ Ρ 3-6% ΠΆΠ΅Π½ΡΠΈΠ½ ΠΈ 2-8% ΠΌΡΠΆΡΠΈΠ½.[6]
ΠΡΠΎΡΠΈΠ°Π· β ΡΡΠΎ Ρ
ΡΠΎΠ½ΠΈΡΠ΅ΡΠΊΠΎΠ΅ Π·Π°Π±ΠΎΠ»Π΅Π²Π°Π½ΠΈΠ΅ Ρ ΠΊΡΠ°ΡΠ½ΡΠΌΠΈ Π·ΡΠ΄ΡΡΠΈΠΌΠΈ ΠΏΡΡΠ½Π°ΠΌΠΈ, ΠΊΠΎΡΠΎΡΡΠ΅ ΠΌΠΎΠ³ΡΡ Π²ΠΎΠ·Π½ΠΈΠΊΠ°ΡΡ Π½Π° Π»ΡΠ±ΠΎΠΌ ΡΡΠ°ΡΡΠΊΠ΅ ΡΠ΅Π»Π°. ΠΡΠΎ ΡΠΎΡΡΠΎΡΠ½ΠΈΠ΅ Π½Π΅ Π·Π°ΡΠ°Π·Π½ΠΎ. ΠΡΠΎ ΠΈΠΌΠΌΡΠ½Π½ΠΎΠ΅ ΡΠΎΡΡΠΎΡΠ½ΠΈΠ΅, ΠΏΡΠΈ ΠΊΠΎΡΠΎΡΠΎΠΌ ΠΊΠ»Π΅ΡΠΊΠΈ ΠΊΠΎΠΆΠΈ ΠΎΠ±Π½ΠΎΠ²Π»ΡΡΡΡΡ Ρ ΠΏΠΎΠ²ΡΡΠ΅Π½Π½ΠΎΠΉ ΡΠΊΠΎΡΠΎΡΡΡΡ. ΠΠ»ΡΡΠΊΠΈ ΠΎΠ±ΡΡΠ½ΠΎ Π²ΠΈΠ΄Π½Ρ ΠΈ ΠΌΠΎΠ³ΡΡ ΠΏΡΠΈΡΡΡΡΡΠ²ΠΎΠ²Π°ΡΡ Π½Π° ΠΏΠΎΠ»ΠΎΠ²ΠΎΠΌ ΡΠ»Π΅Π½Π΅.
ΠΠΎΠ½ΡΠ°ΠΊΡΠ½ΡΠΉ Π΄Π΅ΡΠΌΠ°ΡΠΈΡ ΠΌΠΎΠΆΠ΅Ρ Π²ΠΎΠ·Π½ΠΈΠΊΠ½ΡΡΡ Ρ ΠΌΠ°Π»ΡΡΠΈΠΊΠΎΠ² Π² Π»ΡΠ±ΠΎΠΌ ΠΌΠ΅ΡΡΠ΅ ΠΈ ΠΏΡΠΎΡΠ²Π»ΡΠ΅ΡΡΡ Π² Π²ΠΈΠ΄Π΅ Π·ΡΠ΄ΡΡΠ΅ΠΉ ΡΡΠΈΡΠ΅ΠΌΠ°ΡΠΎΠ·Π½ΠΎΠΉ ΠΎΠ±Π»Π°ΡΡΠΈ, Π²ΡΠ·Π²Π°Π½Π½ΠΎΠΉ ΠΊΠΎΠ½ΡΠ°ΠΊΡΠΎΠΌ Ρ ΠΎΠΏΡΠ΅Π΄Π΅Π»Π΅Π½Π½ΡΠΌ Π²Π΅ΡΠ΅ΡΡΠ²ΠΎΠΌ. ΠΠΎΡΠ°ΠΆΠ΅Π½Π½ΡΠΉ ΡΡΠ°ΡΡΠΎΠΊ ΠΌΠΎΠΆΠ΅Ρ Π²ΡΠ³Π»ΡΠ΄Π΅ΡΡ ΠΊΠ°ΠΊ ΠΊΡΠ°ΡΠ½Π°Ρ ΡΡΠΏΡ Ρ ΠΏΠΎΡΡΠ΅ΡΠΊΠ°Π²ΡΠ΅ΠΉΡΡ ΠΊΠΎΠΆΠ΅ΠΉ.
ΠΠ»Π°Π·ΠΌΠΎΠΊΠ»Π΅ΡΠΎΡΠ½ΡΠΉ Π±Π°Π»Π°Π½ΠΈΡ, ΠΈΠ»ΠΈ Π±Π°Π»Π°Π½ΠΈΡ ΠΠΎΠΎΠ½Π°, ΡΠ²Π»ΡΠ΅ΡΡΡ Π΄ΠΎΠ±ΡΠΎΠΊΠ°ΡΠ΅ΡΡΠ²Π΅Π½Π½ΡΠΌ Π·Π°Π±ΠΎΠ»Π΅Π²Π°Π½ΠΈΠ΅ΠΌ, ΠΊΠΎΡΠΎΡΠΎΠ΅ ΠΎΠ±ΡΡΠ½ΠΎ ΠΏΡΠΎΡΠ²Π»ΡΠ΅ΡΡΡ Ρ ΠΏΠΎΠΆΠΈΠ»ΡΡ ΠΌΡΠΆΡΠΈΠ½. ΠΠ°ΡΠΈΠ΅Π½Ρ ΠΎΠ±ΡΡΠ½ΠΎ ΠΏΡΠ΅Π΄ΡΡΠ°Π²Π»ΡΠ΅Ρ ΡΠΎΠ±ΠΎΠΉ ΠΏΠ»ΠΎΡΠΊΡΡ ΠΊΡΠ°ΡΠ½ΡΡ Π±Π»ΡΡΠΊΡ, ΠΊΠΎΡΠΎΡΠ°Ρ ΠΈΠ½ΠΎΠ³Π΄Π° ΡΠ²ΡΠ·Π°Π½Π° Ρ Π±ΠΎΠ»Π΅Π΅ ΠΌΠ΅Π»ΠΊΠΈΠΌΠΈ ΠΊΡΠ°ΡΠ½ΡΠΌΠΈ ΠΏΡΡΠ½Π°ΠΌΠΈ. ΠΠ»Ρ Π΄ΠΈΠ°Π³Π½ΠΎΡΡΠΈΠΊΠΈ ΡΡΠ΅Π±ΡΠ΅ΡΡΡ Π±ΠΈΠΎΠΏΡΠΈΡ.[7]
ΠΠ΅ΠΉΠΊΠΎΠΏΠ»Π°ΠΊΠΈΡ ΠΌΠΎΠΆΠ΅Ρ ΠΏΡΠΎΡΠ²Π»ΡΡΡΡΡ ΠΎΡΠ΅Π½Ρ ΠΏΠΎΡ ΠΎΠΆΠ΅ Π½Π° ΡΠΊΠ»Π΅ΡΠΎΠ·ΠΈΡΡΡΡΠΈΠΉ Π»ΠΈΡ Π΅Π½, ΠΊΠΎΠ³Π΄Π° Π±Π»ΡΡΠΊΠ° Π±Π΅Π»Π°Ρ ΠΈ ΠΏΠ»ΠΎΡΠΊΠ°Ρ. Π ΡΡΠΎΠΌ ΡΠΎΡΡΠΎΡΠ½ΠΈΠΈ ΠΌΠΎΠΆΠ΅Ρ Π±ΡΡΡ Π·Π»ΠΎΠΊΠ°ΡΠ΅ΡΡΠ²Π΅Π½Π½Π°Ρ ΡΡΠ°Π½ΡΡΠΎΡΠΌΠ°ΡΠΈΡ. ΠΠ°ΠΊ ΠΏΡΠ°Π²ΠΈΠ»ΠΎ, ΡΡΠΎ ΡΠ΅Π·ΡΠ»ΡΡΠ°Ρ Ρ ΡΠΎΠ½ΠΈΡΠ΅ΡΠΊΠΎΠ³ΠΎ ΡΠ°Π·Π΄ΡΠ°ΠΆΠ΅Π½ΠΈΡ ΠΌΠ΅ΠΆΠ΄Ρ Π³ΠΎΠ»ΠΎΠ²ΠΊΠΎΠΉ ΠΈ ΠΊΡΠ°ΠΉΠ½Π΅ΠΉ ΠΏΠ»ΠΎΡΡΡ.
Π‘ΠΊΠ»Π΅ΡΠΎΠ°ΡΡΠΎΡΠΈΡΠ΅ΡΠΊΠΈΠΉ Π»ΠΈΡΠ°ΠΉ ΠΌΠΎΠΆΠ½ΠΎ Π΄ΠΈΠ°Π³Π½ΠΎΡΡΠΈΡΠΎΠ²Π°ΡΡ Π½Π° ΠΎΡΠ½ΠΎΠ²Π°Π½ΠΈΠΈ ΠΊΠ»ΠΈΠ½ΠΈΡΠ΅ΡΠΊΠΈΡ
Π΄Π°Π½Π½ΡΡ
. ΠΠΈΠΎΠΏΡΠΈΡ ΠΌΠΎΠΆΠ΅Ρ Π±ΡΡΡ Π²ΡΠΏΠΎΠ»Π½Π΅Π½Π°, ΡΡΠΎΠ±Ρ ΠΈΡΠΊΠ»ΡΡΠΈΡΡ Π΄ΠΈΡΡΠ΅ΡΠ΅Π½ΡΠΈΠ°Π»ΡΠ½ΡΠ΅ ΠΏΡΠΈΡΠΈΠ½Ρ ΡΠΈΠΌΠΏΡΠΎΠΌΠΎΠ². Π£ ΠΏΠ°ΡΠΈΠ΅Π½ΡΠΎΠ² Ρ ΠΏΠΎΡΠ°ΠΆΠ΅Π½ΠΈΠ΅ΠΌ ΡΡΠ΅ΡΡΡ ΠΎΠΏΡΠ°Π²Π΄Π°Π½Π° ΡΠΈΡΡΠΎΡΠΊΠΎΠΏΠΈΡ Π΄Π»Ρ Π½Π΅ΠΏΠΎΡΡΠ΅Π΄ΡΡΠ²Π΅Π½Π½ΠΎΠΉ Π²ΠΈΠ·ΡΠ°Π»ΠΈΠ·Π°ΡΠΈΠΈ ΡΡΠ΅ΠΏΠ΅Π½ΠΈ Π·Π°Π±ΠΎΠ»Π΅Π²Π°Π½ΠΈΡ.
ΠΠ΅ΡΠ΅Π½ΠΈΠ΅/ΡΠΏΡΠ°Π²Π»Π΅Π½ΠΈΠ΅
Π‘ΡΡΠ΅ΡΡΠ²ΡΡΡ ΠΊΠ°ΠΊ ΠΌΠ΅Π΄ΠΈΠΊΠ°ΠΌΠ΅Π½ΡΠΎΠ·Π½ΡΠ΅, ΡΠ°ΠΊ ΠΈ Ρ ΠΈΡΡΡΠ³ΠΈΡΠ΅ΡΠΊΠΈΠ΅ ΠΌΠ΅ΡΠΎΠ΄Ρ Π»Π΅ΡΠ΅Π½ΠΈΡ ΡΠΊΠ»Π΅ΡΠΎΠ°ΡΡΠΎΡΠΈΡΠ΅ΡΠΊΠΎΠ³ΠΎ Π»ΠΈΡ Π΅Π½Π° ΠΏΠΎΠ»ΠΎΠ²ΠΎΠ³ΠΎ ΡΠ»Π΅Π½Π°. ΠΠ΅ΡΡΠΈΠΌΠΏΡΠΎΠΌΠ½ΡΠΉ ΠΊΡΠ΅ΡΠΎΡΠΈΡΠ΅ΡΠΊΠΈΠΉ ΠΎΠ±Π»ΠΈΡΠ΅ΡΠΈΡΡΡΡΠΈΠΉ Π±Π°Π»Π°Π½ΠΈΡ Π½Π΅ ΡΡΠ΅Π±ΡΠ΅Ρ ΡΠ΅ΡΠ°ΠΏΠΈΠΈ. ΠΡΠ½ΠΎΠ²Π½ΡΠΌ ΠΌΠ΅ΡΠΎΠ΄ΠΎΠΌ Π»Π΅ΡΠ΅Π½ΠΈΡ ΡΠΈΠΌΠΏΡΠΎΠΌΠ°ΡΠΈΡΠ΅ΡΠΊΠΎΠ³ΠΎ ΡΠΊΠ»Π΅ΡΠΎΠ°ΡΡΠΎΡΠΈΡΠ΅ΡΠΊΠΎΠ³ΠΎ Π»ΠΈΡ Π΅Π½Π° ΡΠ²Π»ΡΡΡΡΡ ΠΌΠ΅ΡΡΠ½ΡΠ΅ ΡΡΠ΅ΡΠΎΠΈΠ΄Ρ. ΠΠ΅ΡΠ°ΠΌΠ΅ΡΠ°Π·ΠΎΠ½ ΠΈ ΡΡΠΈΠ°ΠΌΡΠΈΠ½ΠΎΠ»ΠΎΠ½ ΡΠ²Π»ΡΡΡΡΡ ΡΠ°ΡΠΏΡΠΎΡΡΡΠ°Π½Π΅Π½Π½ΡΠΌΠΈ Π²Π°ΡΠΈΠ°Π½ΡΠ°ΠΌΠΈ ΠΈ ΠΎΠ±ΡΡΠ½ΠΎ ΡΡΠ΅Π±ΡΡΡ Π΄ΠΎΠ·ΠΈΡΠΎΠ²Π°Π½ΠΈΡ Π΄Π²Π° ΡΠ°Π·Π° Π² Π΄Π΅Π½Ρ. ΠΠ°ΡΠΈΠ΅Π½Ρ Π½Π°Ρ ΠΎΠ΄ΠΈΡΡΡ ΠΏΠΎΠ΄ Π½Π°Π±Π»ΡΠ΄Π΅Π½ΠΈΠ΅ΠΌ Π½Π° ΠΏΡΠ΅Π΄ΠΌΠ΅Ρ ΠΎΡΠ²Π΅ΡΠ°, ΠΈ ΡΠ°ΡΡΠΎΡΠ° ΠΌΠ΅ΡΡΠ½ΡΡ ΡΡΠ΅ΡΠΎΠΈΠ΄ΠΎΠ² ΠΌΠΎΠΆΠ΅Ρ Π±ΡΡΡ ΡΠΌΠ΅Π½ΡΡΠ΅Π½Π° Π΄ΠΎ ΠΎΠ΄Π½ΠΎΠ³ΠΎ Π΄Π½Ρ ΠΈΠ»ΠΈ ΠΊΠ°ΠΆΠ΄ΠΎΠ³ΠΎ ΡΡΠ΅ΡΡΠ΅Π³ΠΎ Π΄Π½Ρ, Π΅ΡΠ»ΠΈ Ρ ΠΎΡΠΎΡΠΈΠΉ ΠΎΡΠ²Π΅Ρ ΡΠ΅ΡΠ΅Π· Π΄Π²Π° ΠΌΠ΅ΡΡΡΠ°.
ΠΠ»ΠΎΡ ΠΎΠΉ ΠΎΡΠ²Π΅Ρ ΠΎΠ±ΡΡΠ½ΠΎ Π½Π°Π±Π»ΡΠ΄Π°Π΅ΡΡΡ, ΠΊΠΎΠ³Π΄Π° ΠΏΠ°ΡΠΈΠ΅Π½Ρ Π½Π΅ ΡΠΎΠ±Π»ΡΠ΄Π°Π΅Ρ ΡΡΠ΅Π±ΠΎΠ²Π°Π½ΠΈΡ ΠΏΡΠΈΠ»ΠΎΠΆΠ΅Π½ΠΈΡ. Π’Π°ΠΊΠΆΠ΅ ΠΈΡΠΏΠΎΠ»ΡΠ·ΠΎΠ²Π°Π»ΠΈΡΡ ΡΠΎΠΏΠΈΡΠ΅ΡΠΊΠΈΠ΅ ΠΈΠ½Π³ΠΈΠ±ΠΈΡΠΎΡΡ ΠΊΠ°Π»ΡΡΠΈΠ½Π΅Π²ΡΠΈΠ½Π°, Π½ΠΎ ΠΎΠ½ΠΈ ΡΡΠΈΡΠ°ΡΡΡΡ ΡΠ΅ΡΠ°ΠΏΠΈΠ΅ΠΉ Π²ΡΠΎΡΠΎΠΉ Π»ΠΈΠ½ΠΈΠΈ. Π Π½ΠΈΠΌ ΠΎΡΠ½ΠΎΡΡΡΡΡ ΠΏΠΈΠΌΠ΅ΠΊΡΠΎΠ»ΠΈΠΌΡΡ ΠΈ ΡΠ°ΠΊΡΠΎΠ»ΠΈΠΌΡΡ. Π‘ΠΈΡΡΠ΅ΠΌΠ½ΡΠ΅ ΠΏΠ΅ΡΠΎΡΠ°Π»ΡΠ½ΡΠ΅ ΡΡΠ΅ΡΠΎΠΈΠ΄Ρ ΠΏΡΠΈ Π»Π΅ΡΠ΅Π½ΠΈΠΈ Π½Π΅ Π΄Π°ΡΡ Π½ΠΈΠΊΠ°ΠΊΠΎΠΉ ΠΏΠΎΠ»ΡΠ·Ρ.[5]
ΠΡΠΈ Π½Π°Π»ΠΈΡΠΈΠΈ ΡΠΈΠΌΠΏΡΠΎΠΌΠ°ΡΠΈΡΠ΅ΡΠΊΠΎΠ³ΠΎ ΡΠΈΠΌΠΎΠ·Π° ΡΡΠ΅Π±ΡΡΡΡΡ Ρ
ΠΈΡΡΡΠ³ΠΈΡΠ΅ΡΠΊΠΈΠ΅ Π²ΠΌΠ΅ΡΠ°ΡΠ΅Π»ΡΡΡΠ²Π°. ΠΠ΅ΡΠ΅Π½ΠΈΠ΅ — ΠΎΠ±ΡΠ΅Π·Π°Π½ΠΈΠ΅.
ΠΠ΅ΡΡΠ½ΠΎΠ΅ ΠΈΡΠΏΠΎΠ»ΡΠ·ΠΎΠ²Π°Π½ΠΈΠ΅ ΡΡΠ΅ΡΠΎΠΈΠ΄ΠΎΠ² Π² ΠΏΠ΅ΡΠ²ΡΡ ΠΎΡΠ΅ΡΠ΅Π΄Ρ ΠΌΠΎΠΆΠ΅Ρ ΠΏΠΎΠΌΠΎΡΡ ΡΠΌΠ΅Π½ΡΡΠΈΡΡ Π²ΠΎΡΠΏΠ°Π»ΠΈΡΠ΅Π»ΡΠ½ΡΡ Π½Π°Π³ΡΡΠ·ΠΊΡ ΠΏΠ΅ΡΠ΅Π΄ Ρ
ΠΈΡΡΡΠ³ΠΈΡΠ΅ΡΠΊΠΈΠΌ Π²ΠΌΠ΅ΡΠ°ΡΠ΅Π»ΡΡΡΠ²ΠΎΠΌ.
ΠΡΠΈ ΠΏΠΎΡΠ°ΠΆΠ΅Π½ΠΈΠΈ ΡΡΠ΅ΡΡΡ ΠΌΠΎΠΆΠ½ΠΎ Π²ΡΠΏΠΎΠ»Π½ΠΈΡΡ ΡΠΈΡΡΠΎΡΡΠ΅ΡΡΠΎΡΠΊΠΎΠΏΠΈΡ Π΄Π»Ρ ΠΎΠΏΡΠ΅Π΄Π΅Π»Π΅Π½ΠΈΡ Π»ΠΎΠΊΠ°Π»ΠΈΠ·Π°ΡΠΈΠΈ Π·Π°Π±ΠΎΠ»Π΅Π²Π°Π½ΠΈΡ. ΠΡΡΠΌΠ°Ρ Π²ΠΈΠ·ΡΠ°Π»ΠΈΠ·Π°ΡΠΈΡ Π²Π°ΠΆΠ½Π° Π΄Π»Ρ ΠΎΠΏΡΠ΅Π΄Π΅Π»Π΅Π½ΠΈΡ ΡΡΠΆΠ΅ΡΡΠΈ ΡΡΡΠΈΠΊΡΡΡΡ, ΡΠ²ΡΠ·Π°Π½Π½ΠΎΠΉ ΡΠΎ ΡΠΊΠ»Π΅ΡΠΎΠ°ΡΡΠΎΡΠΈΡΠ΅ΡΠΊΠΈΠΌ Π»ΠΈΡΠ°Π΅ΠΌ, ΠΈ ΠΈΡΠΊΠ»ΡΡΠ΅Π½ΠΈΡ Π΄ΡΡΠ³ΠΈΡ ΠΏΡΠΈΡΠΈΠ½ ΡΠΈΠΌΠΏΡΠΎΠΌΠΎΠ². ΠΠ΅ΡΠ΅Π½ΠΈΠ΅ ΡΡΡΠΈΠΊΡΡΡΡ ΠΌΠΎΠΆΠ΅Ρ Π²ΠΊΠ»ΡΡΠ°ΡΡ Π΄ΠΈΠ»Π°ΡΠ°ΡΠΈΡ ΠΈ ΠΏΡΡΠΌΡΡ Π²ΠΈΠ·ΡΠ°Π»ΡΠ½ΡΡ Π²Π½ΡΡΡΠ΅Π½Π½ΡΡ ΡΡΠ΅ΡΡΠΎΡΠΎΠΌΠΈΡ, Π° Π² Π±ΠΎΠ»Π΅Π΅ Π·Π°ΠΏΡΡΠ΅Π½Π½ΡΡ ΡΠ»ΡΡΠ°ΡΡ ΠΈΠ»ΠΈ ΠΏΡΠΈ Π½Π΅ΡΡΡΠ΅ΠΊΡΠΈΠ²Π½ΠΎΡΡΠΈ ΠΏΡΠ΅Π΄ΡΠ΅ΡΡΠ²ΡΡΡΠ΅Π³ΠΎ Π»Π΅ΡΠ΅Π½ΠΈΡ ΠΌΠΎΠΆΠ΅Ρ Π±ΡΡΡ ΠΎΠΏΡΠ°Π²Π΄Π°Π½Π° ΡΡΠ΅ΡΡΠΎΠΏΠ»Π°ΡΡΠΈΠΊΠ°.
ΠΠ°ΡΠΈΠ΅Π½ΡΡ Π΄ΠΎΠ»ΠΆΠ½Ρ Π½Π°Π±Π»ΡΠ΄Π°ΡΡΡΡ Π΅ΠΆΠ΅Π³ΠΎΠ΄Π½ΠΎ Π² ΡΠ»ΡΡΠ°Π΅ ΡΠ΅ΡΠΈΠ΄ΠΈΠ²Π° Π·Π°Π±ΠΎΠ»Π΅Π²Π°Π½ΠΈΡ ΠΈΠ»ΠΈ ΠΏΡΠΈΠ·Π½Π°ΠΊΠΎΠ² ΠΏΡΠΎΠ³ΡΠ΅ΡΡΠΈΡΠΎΠ²Π°Π½ΠΈΡ Π² ΠΏΠ»ΠΎΡΠΊΠΎΠΊΠ»Π΅ΡΠΎΡΠ½ΡΡ ΠΊΠ°ΡΡΠΈΠ½ΠΎΠΌΡ.
Differential Diagnosis
Carcinoma in situΒ
Psoriasis
Squamous cell carcinomaΒ
Cellulitis
Contact dermatitisΒ
Zoon balanitis
Leukoplakia
Scleroderma
Π€ΠΈΠΊΡΠΈΡΠΎΠ²Π°Π½Π½Π°Ρ ΡΠ΅Π°ΠΊΡΠΈΡ Π½Π° Π»Π΅ΠΊΠ°ΡΡΡΠ²ΠΎ
ΠΡΠΎΠ³Π½ΠΎΠ·
ΠΠ΅ΠΎΠ±Ρ
ΠΎΠ΄ΠΈΠΌΠΎ Π΄Π»ΠΈΡΠ΅Π»ΡΠ½ΠΎΠ΅ Π½Π°Π±Π»ΡΠ΄Π΅Π½ΠΈΠ΅, ΡΡΠΈΡΡΠ²Π°Ρ Π²ΠΎΠ·ΠΌΠΎΠΆΠ½ΠΎΡΡΡ ΠΏΡΠΎΠ³ΡΠ΅ΡΡΠΈΡΠΎΠ²Π°Π½ΠΈΡ Π² ΡΡΡΠΈΠΊΡΡΡΠ½ΡΡ Π±ΠΎΠ»Π΅Π·Π½Ρ ΠΈΠ»ΠΈ ΠΊΠ°ΡΡΠΈΠ½ΠΎΠΌΡ.
ΠΡΠ°Π΄Ρ
Π°Π½ ΠΈ Π΄Ρ. ΠΎΠΏΡΠ±Π»ΠΈΠΊΠΎΠ²Π°Π»ΠΈ Π΄Π΅ΡΡΡΠΈΠ»Π΅ΡΠ½Π΅Π΅ ΡΠ΅ΡΡΠΎΡΠΏΠ΅ΠΊΡΠΈΠ²Π½ΠΎΠ΅ ΠΈΡΡΠ»Π΅Π΄ΠΎΠ²Π°Π½ΠΈΠ΅ ΠΏΠ°ΡΠΈΠ΅Π½ΡΠΎΠ² Ρ ΠΎΠ±Π»ΠΈΡΠ΅ΡΠΈΡΡΡΡΠΈΠΌ ΠΊΡΠ΅ΡΠΎΡΠΈΡΠ΅ΡΠΊΠΈΠΌ Π±Π°Π»Π°Π½ΠΈΡΠΎΠΌ. ΠΠ½ΠΈ ΠΎΡΠΌΠ΅ΡΠΈΠ»ΠΈ, ΡΡΠΎ Ρ 62,6% Π±ΡΠ»ΠΈ ΡΡΠ±ΡΡ Π½Π° ΠΊΡΠ°ΠΉΠ½Π΅ΠΉ ΠΏΠ»ΠΎΡΠΈ, Ρ 47,2% ΠΏΠ°ΡΠΈΠ΅Π½ΡΠΎΠ² Π±ΡΠ»ΠΎ ΠΏΠΎΡΠ°ΠΆΠ΅Π½ΠΈΠ΅ ΠΊΡΠ°ΠΉΠ½Π΅ΠΉ ΠΏΠ»ΠΎΡΠΈ ΠΈ Π½ΠΎΡΠΎΠ²ΠΎΠ³ΠΎ Ρ
ΠΎΠ΄Π°, Π° Ρ 26,4% β ΠΊΡΠ°ΠΉΠ½ΡΡ ΠΏΠ»ΠΎΡΡ, Π³ΠΎΠ»ΠΎΠ²ΠΊΠ° ΠΈ Π½Π°ΡΡΠΆΠ½ΠΎΠ΅ ΠΎΡΠ²Π΅ΡΡΡΠΈΠ΅. ΠΠ· ΠΈΡ
ΠΏΠΎΠΏΡΠ»ΡΡΠΈΠΈ ΠΏΠ°ΡΠΈΠ΅Π½ΡΠΎΠ² Π±ΠΎΠ»ΡΡΠΈΠ½ΡΡΠ²Ρ ΡΡΠ΅Π±ΠΎΠ²Π°Π»ΠΎΡΡ ΠΎΠ±ΡΠ΅Π·Π°Π½ΠΈΠ΅ Π² Π²ΠΎΠ·ΡΠ°ΡΡΠ΅ Π΄ΠΎ ΡΠ΅ΡΡΠ½Π°Π΄ΡΠ°ΡΠΈ Π»Π΅Ρ, ΠΈ Π΅ΡΠ΅ 19 ΡΠ΅Π»ΠΎΠ²Π΅ΠΊ Π½ΡΠΆΠ΄Π°Π»ΠΈΡΡ Π² ΠΎΠ±ΡΠ΅Π·Π°Π½ΠΈΠΈ.0,8% ΠΏΠ°ΡΠΈΠ΅Π½ΡΠΎΠ² Π½ΡΠΆΠ΄Π°Π»ΠΈΡΡ Π² Π΄ΠΎΠΏΠΎΠ»Π½ΠΈΡΠ΅Π»ΡΠ½ΠΎΠΉ ΠΏΡΠΎΡΠ΅Π΄ΡΡΠ΅ ΠΏΠΎΡΠ»Π΅ ΠΎΠ±ΡΠ΅Π·Π°Π½ΠΈΡ ΠΈ/ΠΈΠ»ΠΈ ΡΠ°ΡΡΠΈΡΠ΅Π½ΠΈΡ ΠΌΠ΅Π°ΡΠ°Π»ΡΠ½ΠΎΠ³ΠΎ ΠΎΡΠ²Π΅ΡΡΡΠΈΡ.[9] Π Π°Π½Π½ΡΡ Π΄ΠΈΠ°Π³Π½ΠΎΡΡΠΈΠΊΠ° ΠΈ Π»Π΅ΡΠ΅Π½ΠΈΠ΅ ΠΌΠΎΠ³ΡΡ ΠΏΠΎΠΌΠΎΡΡ ΠΏΡΠ΅Π΄ΠΎΡΠ²ΡΠ°ΡΠΈΡΡ ΠΏΡΠΎΠ³ΡΠ΅ΡΡΠΈΡΠΎΠ²Π°Π½ΠΈΠ΅ Π·Π°Π±ΠΎΠ»Π΅Π²Π°Π½ΠΈΡ.
ΠΡΠ»ΠΎΠΆΠ½Π΅Π½ΠΈΡ
ΠΡΠ»ΠΎΠΆΠ½Π΅Π½ΠΈΡ ΠΎΠ±ΡΡΠ½ΠΎ Π²ΠΎΠ·Π½ΠΈΠΊΠ°ΡΡ ΠΏΡΠΈ ΠΏΠΎΠ·Π΄Π½Π΅ΠΉ Π΄ΠΈΠ°Π³Π½ΠΎΡΡΠΈΠΊΠ΅ ΠΈ ΠΌΠΎΠ³ΡΡ Π²ΠΊΠ»ΡΡΠ°ΡΡ ΡΠΈΠΌΠΎΠ· ΠΈ Π·Π°Π΄Π΅ΡΠΆΠΊΡ ΠΌΠΎΡΠΈ. ΠΡΠ»ΠΎ Π²ΡΡΠΊΠ°Π·Π°Π½ΠΎ ΠΏΡΠ΅Π΄ΠΏΠΎΠ»ΠΎΠΆΠ΅Π½ΠΈΠ΅, ΡΡΠΎ Ρ
ΡΠΎΠ½ΠΈΡΠ΅ΡΠΊΠΎΠ΅ Π²ΠΎΡΠΏΠ°Π»Π΅Π½ΠΈΠ΅ ΠΎΡ ΡΠΊΠ»Π΅ΡΠΎΠ°ΡΡΠΎΡΠΈΡΠ΅ΡΠΊΠΎΠ³ΠΎ Π»ΠΈΡ
Π΅Π½Π° ΠΌΠΎΠΆΠ΅Ρ ΠΏΡΠΈΠ²Π΅ΡΡΠΈ ΠΊ ΠΏΠ»ΠΎΡΠΊΠΎΠΊΠ»Π΅ΡΠΎΡΠ½ΠΎΠΌΡ ΡΠ°ΠΊΡ. ΠΡΡΠ»Π΅Π΄ΠΎΠ²Π°Π½ΠΈΠ΅ Nasca et al., ΠΏΡΠΎΠ²Π΅Π΄Π΅Π½Π½ΠΎΠ΅ Π² ΠΡΠ°Π»ΠΈΠΈ. ΠΏΠΎΠΊΠ°Π·ΡΠ²Π°Π΅Ρ, ΡΡΠΎ Ρ 9,3% ΠΏΠ°ΡΠΈΠ΅Π½ΡΠΎΠ² Π² ΠΈΡΡΠ»Π΅Π΄ΠΎΠ²Π°Π½ΠΈΠΈ ΡΠ°Π·Π²ΠΈΠ»ΡΡ ΡΠ°ΠΊ ΠΏΠΎΠ»ΠΎΠ²ΠΎΠ³ΠΎ ΡΠ»Π΅Π½Π°.[5] Π’Π°ΠΊΠΈΠΌ ΠΎΠ±ΡΠ°Π·ΠΎΠΌ, ΡΡΠΈ ΠΈΡΡΠ»Π΅Π΄ΠΎΠ²Π°Π½ΠΈΡ ΠΎΠ±ΡΡΡΠ½ΡΡΡ, ΡΡΠΎ ΡΠ²ΡΠ·Ρ ΠΌΠ΅ΠΆΠ΄Ρ ΠΎΠ±Π»ΠΈΡΠ΅ΡΠΈΡΡΡΡΠΈΠΌ ΠΊΡΠ΅ΡΠΎΡΠΈΡΠ΅ΡΠΊΠΈΠΌ Π±Π°Π»Π°Π½ΠΈΡΠΎΠΌ ΠΈ ΡΠ°ΠΊΠΎΠΌ ΠΏΠΎΠ»ΠΎΠ²ΠΎΠ³ΠΎ ΡΠ»Π΅Π½Π° Π½Π΅Π΄ΠΎΠΎΡΠ΅Π½ΠΈΠ²Π°Π΅ΡΡΡ.
[10]
Π‘Π΄Π΅ΡΠΆΠΈΠ²Π°Π½ΠΈΠ΅ ΠΈ ΠΏΡΠΎΡΠ²Π΅ΡΠ΅Π½ΠΈΠ΅ ΠΏΠ°ΡΠΈΠ΅Π½ΡΠΎΠ²
ΠΠ°ΡΠΈΠ΅Π½ΡΡ Π΄ΠΎΠ»ΠΆΠ½Ρ ΠΏΡΠΎΡ ΠΎΠ΄ΠΈΡΡ Π΅ΠΆΠ΅Π³ΠΎΠ΄Π½ΠΎΠ΅ ΠΎΠ±ΡΠ»Π΅Π΄ΠΎΠ²Π°Π½ΠΈΠ΅ Ρ ΠΏΠΎΡΡΠ°Π²ΡΠΈΠΊΠΎΠ² ΠΏΠ΅ΡΠ²ΠΈΡΠ½ΠΎΠΉ ΠΌΠ΅Π΄ΠΈΠΊΠΎ-ΡΠ°Π½ΠΈΡΠ°ΡΠ½ΠΎΠΉ ΠΏΠΎΠΌΠΎΡΠΈ. ΠΡΠ»ΠΈ Π΅ΡΡΡ ΠΎΠΏΠ°ΡΠ΅Π½ΠΈΡ ΠΏΠΎ ΠΏΠΎΠ²ΠΎΠ΄Ρ Π°Π½ΠΎΠ³Π΅Π½ΠΈΡΠ°Π»ΡΠ½ΡΡ Π½Π°ΡΡΡΠ΅Π½ΠΈΠΉ, ΡΠ»Π΅Π΄ΡΠ΅Ρ ΠΎΠ±ΡΠ°ΡΠΈΡΡΡΡ ΠΊ ΡΡΠΎΠ»ΠΎΠ³Ρ. ΠΠ°ΡΠΈΠ΅Π½ΡΠΎΠ² ΡΠ»Π΅Π΄ΡΠ΅Ρ ΠΊΠΎΠ½ΡΡΠ»ΡΡΠΈΡΠΎΠ²Π°ΡΡ ΠΏΠΎ Π²ΠΎΠΏΡΠΎΡΠ°ΠΌ Π½Π°Π΄Π»Π΅ΠΆΠ°ΡΠ΅Π³ΠΎ ΡΠ°ΠΌΠΎΠΎΠ±ΡΠ»Π΅Π΄ΠΎΠ²Π°Π½ΠΈΡ ΠΏΠΎΠ»ΠΎΠ²ΡΡ ΠΎΡΠ³Π°Π½ΠΎΠ². ΠΡΠ»ΠΈ ΠΏΠ°ΡΠΈΠ΅Π½ΡΠ°ΠΌ Π½Π°Π·Π½Π°ΡΠ°ΡΡ ΠΌΠ΅ΡΡΠ½ΡΠ΅ ΡΡΠ΅ΡΠΎΠΈΠ΄Ρ Π΄Π»Ρ Π»Π΅ΡΠ΅Π½ΠΈΡ ΡΠΊΠ»Π΅ΡΠΎΠ°ΡΡΠΎΡΠΈΡΠ΅ΡΠΊΠΎΠ³ΠΎ Π»ΠΈΡ Π΅Π½Π°, Π½Π΅ΠΎΠ±Ρ ΠΎΠ΄ΠΈΠΌΠΎ ΡΡΡΠΎΠ³ΠΎ ΡΠΎΠ±Π»ΡΠ΄Π°ΡΡ Π³ΡΠ°ΡΠΈΠΊ ΠΈΡ ΠΏΡΠΈΠΌΠ΅Π½Π΅Π½ΠΈΡ. ΠΡΠ΄Π΅Ρ ΠΏΠΎΠ΄ΠΌΠ½ΠΎΠΆΠ΅ΡΡΠ²ΠΎ ΠΏΠ°ΡΠΈΠ΅Π½ΡΠΎΠ², ΠΊΠΎΡΠΎΡΡΠΌ ΠΏΠΎΡΡΠ΅Π±ΡΠ΅ΡΡΡ Π±ΠΎΠ»Π΅Π΅ ΡΠ»ΠΎΠΆΠ½ΠΎΠ΅ Π²ΠΌΠ΅ΡΠ°ΡΠ΅Π»ΡΡΡΠ²ΠΎ, ΠΊΠΎΠ³Π΄Π° ΠΌΠ΅ΡΡΠ½ΡΠ΅ ΡΡΠ΅ΡΠΎΠΈΠ΄Ρ ΠΈ ΠΎΠ±ΡΠ΅Π·Π°Π½ΠΈΠ΅ Π½Π΅ ΡΠΌΠΎΠ³ΡΡ ΠΈΡΠΏΡΠ°Π²ΠΈΡΡ ΡΠΈΠΌΠΏΡΠΎΠΌΡ.
Π£Π»ΡΡΡΠ΅Π½ΠΈΠ΅ ΡΠ΅Π·ΡΠ»ΡΡΠ°ΡΠΎΠ² ΡΠ°Π±ΠΎΡΡ ΠΊΠΎΠΌΠ°Π½Π΄Ρ Π·Π΄ΡΠ°Π²ΠΎΠΎΡ ΡΠ°Π½Π΅Π½ΠΈΡ
ΠΠ±Π»ΠΈΡΠ΅ΡΠΈΡΡΡΡΠΈΠΉ ΠΊΡΠ΅ΡΠΎΡΠΈΡΠ΅ΡΠΊΠΈΠΉ Π±Π°Π»Π°Π½ΠΈΡ β ΡΡΠΎ ΡΠΎΡΡΠΎΡΠ½ΠΈΠ΅, ΡΡΠ΅Π±ΡΡΡΠ΅Π΅ ΠΌΠ΅ΠΆΠΏΡΠΎΡΠ΅ΡΡΠΈΠΎΠ½Π°Π»ΡΠ½ΡΡ
ΡΡΠΈΠ»ΠΈΠΉ Π²ΡΠ°ΡΠ΅ΠΉ ΠΏΠ΅ΡΠ²ΠΈΡΠ½ΠΎΠ³ΠΎ Π·Π²Π΅Π½Π°, ΠΌΠ΅Π΄ΡΠ΅ΡΡΠ΅Ρ, ΡΠ°ΡΠΌΠ°ΡΠ΅Π²ΡΠΎΠ² ΠΈ ΠΊΠΎΠ½ΡΡΠ»ΡΡΠ°ΡΠΈΠΎΠ½Π½ΡΡ
ΡΠ»ΡΠΆΠ±, Π²ΠΊΠ»ΡΡΠ°Ρ Π΄Π΅ΡΠΌΠ°ΡΠΎΠ»ΠΎΠ³ΠΎΠ² ΠΈ ΡΡΠΎΠ»ΠΎΠ³ΠΎΠ². ΠΠ»Ρ ΡΠΈΠΌΠΏΡΠΎΠΌΠ°ΡΠΈΡΠ΅ΡΠΊΠΈΡ
ΠΏΠ°ΡΠΈΠ΅Π½ΡΠΎΠ² Π±ΡΠ΄ΡΡ ΠΈΡΠΏΠΎΠ»ΡΠ·ΠΎΠ²Π°ΡΡΡΡ ΠΌΠ΅ΡΡΠ½ΡΠ΅ ΠΊΠΎΡΡΠΈΠΊΠΎΡΡΠ΅ΡΠΎΠΈΠ΄Ρ, ΠΎΡΠΏΡΡΠΊΠ°Π΅ΠΌΡΠ΅ ΠΏΠΎ ΡΠ΅ΡΠ΅ΠΏΡΡ. Π₯ΠΈΡΡΡΠ³ΠΈΡΠ΅ΡΠΊΠΎΠ΅ Π²ΠΌΠ΅ΡΠ°ΡΠ΅Π»ΡΡΡΠ²ΠΎ ΠΏΠΎΡΡΠ΅Π±ΡΠ΅ΡΡΡ Π±ΠΎΠ»ΡΡΠΎΠΌΡ ΠΏΡΠΎΡΠ΅Π½ΡΡ ΠΏΠ°ΡΠΈΠ΅Π½ΡΠΎΠ², Ρ ΠΊΠΎΡΠΎΡΡΡ
ΡΠΎΡ
ΡΠ°Π½ΡΡΡΡΡ ΡΠΈΠΌΠΏΡΠΎΠΌΡ, Π½Π΅ΡΠΌΠΎΡΡΡ Π½Π° ΠΌΠ΅ΡΡΠ½ΡΡ ΡΠ΅ΡΠ°ΠΏΠΈΡ.
ΠΠΎΠΆΠ΅Ρ ΠΏΠΎΡΡΠ΅Π±ΠΎΠ²Π°ΡΡΡΡ ΠΎΠ±ΡΠ΅Π·Π°Π½ΠΈΠ΅ ΠΈ Π½Π΅ΠΎΠ±Ρ
ΠΎΠ΄ΠΈΠΌΠΎΡΡΡ Π΄ΠΎΠΏΠΎΠ»Π½ΠΈΡΠ΅Π»ΡΠ½ΠΎΠ³ΠΎ Ρ
ΠΈΡΡΡΠ³ΠΈΡΠ΅ΡΠΊΠΎΠ³ΠΎ Π²ΠΌΠ΅ΡΠ°ΡΠ΅Π»ΡΡΡΠ²Π°.
ΠΠΎΡΠ»Π΅Π΄ΡΡΡΠ΅Π΅ Π½Π°Π±Π»ΡΠ΄Π΅Π½ΠΈΠ΅ ΠΊΠ°ΠΊ Ρ Π²ΡΠ°ΡΠ΅ΠΉ ΠΏΠ΅ΡΠ²ΠΈΡΠ½ΠΎΠ³ΠΎ Π·Π²Π΅Π½Π°, ΡΠ°ΠΊ ΠΈ Ρ ΠΊΠΎΠ½ΡΡΠ»ΡΡΠ°ΡΠΈΠΎΠ½Π½ΡΡ ΡΠ»ΡΠΆΠ± Π²Π°ΠΆΠ½ΠΎ Π΄Π»Ρ ΠΏΡΠ΅Π΄ΠΎΡΠ²ΡΠ°ΡΠ΅Π½ΠΈΡ Π΄Π°Π»ΡΠ½Π΅ΠΉΡΠ΅Π³ΠΎ ΠΏΡΠΎΠ³ΡΠ΅ΡΡΠΈΡΠΎΠ²Π°Π½ΠΈΡ Π²ΠΎΡΠΏΠ°Π»ΠΈΡΠ΅Π»ΡΠ½ΡΡ ΠΈΠ·ΠΌΠ΅Π½Π΅Π½ΠΈΠΉ Π² ΠΏΠ»ΠΎΡΠΊΠΎΠΊΠ»Π΅ΡΠΎΡΠ½ΡΠΉ ΡΠ°ΠΊ ΠΈΠ»ΠΈ ΠΏΡΠΈΠ·Π½Π°ΠΊΠΎΠ² Π·Π°ΡΡΡΠ΄Π½Π΅Π½Π½ΠΎΠ³ΠΎ ΠΌΠΎΡΠ΅ΠΈΡΠΏΡΡΠΊΠ°Π½ΠΈΡ ΠΈΠ·-Π·Π° ΡΡΡΠΈΠΊΡΡΡ. ΠΠ»ΠΈΠ½ΠΈΡΠΈΡΡΡ Π΄ΠΎΠ»ΠΆΠ½Ρ ΠΏΠΎΠ΄Π³ΠΎΡΠΎΠ²ΠΈΡΡ ΠΏΠ°ΡΠΈΠ΅Π½ΡΠΎΠ² ΠΊ Π½Π°Π±Π»ΡΠ΄Π΅Π½ΠΈΡ Π·Π° ΠΏΡΠΈΠ·Π½Π°ΠΊΠ°ΠΌΠΈ ΠΈ ΡΠΈΠΌΠΏΡΠΎΠΌΠ°ΠΌΠΈ, Π° ΠΏΡΠΈ ΠΏΡΠΎΠ³ΡΠ΅ΡΡΠΈΡΠΎΠ²Π°Π½ΠΈΠΈ Π·Π°Π±ΠΎΠ»Π΅Π²Π°Π½ΠΈΡ ΡΠ»Π΅Π΄ΡΠ΅Ρ Π½Π°Π·Π½Π°ΡΠΈΡΡ ΠΊΠΎΠ½ΡΡΠ»ΡΡΠ°ΡΠΈΡ ΡΡΠΎΠ»ΠΎΠ³Π° Π΄Π»Ρ Π΄Π°Π»ΡΠ½Π΅ΠΉΡΠ΅Π³ΠΎ Π»Π΅ΡΠ΅Π½ΠΈΡ.
ΠΠΎΠ½ΡΡΠΎΠ»ΡΠ½ΡΠ΅ Π²ΠΎΠΏΡΠΎΡΡ
ΠΠΎΡΡΡΠΏ ΠΊ Π±Π΅ΡΠΏΠ»Π°ΡΠ½ΡΠΌ Π²ΠΎΠΏΡΠΎΡΠ°ΠΌ Ρ Π½Π΅ΡΠΊΠΎΠ»ΡΠΊΠΈΠΌΠΈ Π²Π°ΡΠΈΠ°Π½ΡΠ°ΠΌΠΈ ΠΎΡΠ²Π΅ΡΠΎΠ² ΠΏΠΎ ΡΡΠΎΠΉ ΡΠ΅ΠΌΠ΅.
ΠΡΠΎΠΊΠΎΠΌΠΌΠ΅Π½ΡΠΈΡΡΠΉΡΠ΅ ΡΡΡ ΡΡΠ°ΡΡΡ.
Π‘ΡΡΠ»ΠΊΠΈ
- 1.
Nguyen ΠΠ°Π½ΠΊΠΎΠΌΠ°Ρ, ΠΠΎΠ»Π»Π°Π½Π΄ΠΈΡ AJA. ΠΠ±Π»ΠΈΡΠ΅ΡΠΈΡΡΡΡΠΈΠΉ ΠΊΡΠ΅ΡΠΎΡΠΈΡΠ΅ΡΠΊΠΈΠΉ Π±Π°Π»Π°Π½ΠΈΡ: Π½ΠΎΠ²ΠΎΡΡΠΈ Π΄Π»Ρ ΠΊΠ»ΠΈΠ½ΠΈΡΠΈΡΡΠΎΠ². Eur J ΠΠ΅Π΄ΠΈΠ°ΡΡ. 2020 ΡΠ½Π²; 179(1):9-16. [PubMed: 31760506]
- 2.
ΠΠ°Ρ Π‘., Π’ΡΠ½ΡΠ³ΡΠ½ΡΠ»Π° Π₯.Π‘. ΠΠ±Π»ΠΈΡΠ΅ΡΠΈΡΡΡΡΠΈΠΉ ΠΊΡΠ΅ΡΠΎΡΠΈΡΠ΅ΡΠΊΠΈΠΉ Π±Π°Π»Π°Π½ΠΈΡ β ΠΎΠ±Π·ΠΎΡ.
ΠΠΈΡ ΠΠΆ. Π£ΡΠΎΠ». 2000 Π΄Π΅ΠΊ.; 18(6):382-7. [PubMed: 11204255]- 3.
ΠΠΎΠΊΡ Π., ΠΠ°ΡΠ²Π°ΡΠ΄Ρ Π°Π½ Π. ΠΠ±Π»ΠΈΡΠ΅ΡΠΈΡΡΡΡΠΈΠΉ ΠΊΡΠ΅ΡΠΎΡΠΈΡΠ΅ΡΠΊΠΈΠΉ Π±Π°Π»Π°Π½ΠΈΡ: ΡΠ»ΡΡΡΠΈΠ»Π°ΡΡ Π»ΠΈ Π΄ΠΈΠ°Π³Π½ΠΎΡΡΠΈΡΠ΅ΡΠΊΠ°Ρ ΡΠΎΡΠ½ΠΎΡΡΡ ΡΠΎ Π²ΡΠ΅ΠΌΠ΅Π½Π΅ΠΌ? JRSM ΠΎΡΠΊΡΡΡ. 2017 ΠΡΠ½;8(6):2054270417692731. [ΠΠ΅ΡΠΏΠ»Π°ΡΠ½Π°Ρ ΡΡΠ°ΡΡΡ PMC: PMC5464383] [PubMed: 28620502]
- 4.
Π‘Π΅Π»ΠΈΡ Π‘., Π ΠΈΠ΄ Π€., ΠΠ΅ΡΡΠΈ Π€., ΠΠ΄Π°ΠΌΡ Π‘., ΠΠΈΠ»Π»ΠΈΠΊ ΠΠΆ., ΠΠ±Π΄Π΅Π»ΡΡ Π°ΡΠΈΠ· Π.Π₯., ΠΠΎΠΏΠ΅Ρ Π.ΠΠΆ. ΠΠ±Π»ΠΈΡΠ΅ΡΠΈΡΡΡΡΠΈΠΉ ΠΊΡΠ΅ΡΠΎΡΠΈΡΠ΅ΡΠΊΠΈΠΉ Π±Π°Π»Π°Π½ΠΈΡ Ρ Π΄Π΅ΡΠ΅ΠΉ ΠΈ ΠΏΠΎΠ΄ΡΠΎΡΡΠΊΠΎΠ²: ΠΎΠ±Π·ΠΎΡ Π»ΠΈΡΠ΅ΡΠ°ΡΡΡΡ ΠΈ ΠΊΠ»ΠΈΠ½ΠΈΡΠ΅ΡΠΊΠ°Ρ ΡΠ΅ΡΠΈΡ. J ΠΠ΅Π΄ΠΈΠ°ΡΡ Π£ΡΠΎΠ». 2014 Π€Π΅Π²ΡΠ°Π»Ρ;10(1):34-9. [PubMed: 24295833]
- 5.
Clouston D, Hall A, Lawrentschuk N. Π‘ΠΊΠ»Π΅ΡΠΎΠ·ΠΈΡΡΡΡΠΈΠΉ Π»ΠΈΡΠ°ΠΉ ΠΏΠΎΠ»ΠΎΠ²ΠΎΠ³ΠΎ ΡΠ»Π΅Π½Π° (ΠΎΠ±Π»ΠΈΡΠ΅ΡΠΈΡΡΡΡΠΈΠΉ ΠΊΡΠ΅ΡΠΎΡΠΈΡΠ΅ΡΠΊΠΈΠΉ Π±Π°Π»Π°Π½ΠΈΡ). ΠΠΠ£ ΠΠ½ΡΠ΅ΡΠ½. 2011 Π½ΠΎΡΠ±ΡΡ;108 ΠΡΠΈΠ»ΠΎΠΆΠ΅Π½ΠΈΠ΅ 2:14-9. [Π ΠΏΠ°Π±Π»ΠΈΠΊΠ΅: 22085120]
- 6.
Π€Π΅ΡΠ³ΡΡ Π.Π., ΠΠΈ Π.Π., ΠΠ°ΡΠ°Π΄Π°ΡΠ°Π½ Π., ΠΠΎΡΠ½ Π.ΠΠΆ., Π¨ΡΠΎΡ Π.Π., ΠΡΠΈΠΊΡΠΎΠ½ Π.Π., ΠΠΌΠΎΠ½Ρ Π.Π., ΠΡΠ΅ΠΉΠ΅Ρ Π.Π. ΠΠ°ΡΠΎΡΠΈΠ·ΠΈΠΎΠ»ΠΎΠ³ΠΈΡ, ΠΊΠ»ΠΈΠ½ΠΈΡΠ΅ΡΠΊΠΈΠ΅ ΠΏΡΠΎΡΠ²Π»Π΅Π½ΠΈΡ ΠΈ Π»Π΅ΡΠ΅Π½ΠΈΠ΅ ΡΠΊΠ»Π΅ΡΠΎΠ°ΡΡΠΎΡΠΈΡΠ΅ΡΠΊΠΎΠ³ΠΎ Π»ΠΈΡ Π΅Π½Π°: ΡΠΈΡΡΠ΅ΠΌΠ°ΡΠΈΡΠ΅ΡΠΊΠΈΠΉ ΠΎΠ±Π·ΠΎΡ.
Π£ΡΠΎΠ»ΠΎΠ³ΠΈΡ. 2020 ΡΠ½Π²; 135:11-19. [PubMed: 31605681]- 7.
Buechner SA. ΠΠ±ΡΠΈΠ΅ ΠΊΠΎΠΆΠ½ΡΠ΅ Π·Π°Π±ΠΎΠ»Π΅Π²Π°Π½ΠΈΡ ΠΏΠΎΠ»ΠΎΠ²ΠΎΠ³ΠΎ ΡΠ»Π΅Π½Π°. ΠΠΠ£ ΠΠ½ΡΠ΅ΡΠ½. 2002 Π³., ΡΠ΅Π½; 90 (5): 498β506. [PubMed: 12175386]
- 8.
Folaranmi SE, Corbett HJ, Losty PD. ΠΠ»ΠΈΡΠ΅Ρ Π»ΠΈ ΠΏΡΠΈΠΌΠ΅Π½Π΅Π½ΠΈΠ΅ ΠΌΠ΅ΡΡΠ½ΡΡ ΡΡΠ΅ΡΠΎΠΈΠ΄ΠΎΠ² ΠΏΡΠΈ ΡΠΊΠ»Π΅ΡΠΎΠ°ΡΡΠΎΡΠΈΡΠ΅ΡΠΊΠΎΠΌ Π»ΠΈΡ Π΅Π½Π΅ (ΠΎΠ±Π»ΠΈΡΠ΅ΡΠΈΡΡΡΡΠΈΠΉ ΠΊΡΠ΅ΡΠΎΡΠΈΡΠ΅ΡΠΊΠΈΠΉ Π±Π°Π»Π°Π½ΠΈΡ) Π½Π° ΡΠ°ΡΡΠΎΡΡ ΠΎΠ±ΡΠ΅Π·Π°Π½ΠΈΡ? Π‘ΠΈΡΡΠ΅ΠΌΠ°ΡΠΈΡΠ΅ΡΠΊΠΈΠΉ ΠΎΠ±Π·ΠΎΡ. J Pediatr Surg. 2018 Π½ΠΎΡΠ±ΡΡ;53(11):2225-2227. [Π ΠΏΠ°Π±Π»ΠΈΠΊΠ΅: 29395150]
- 9.
Pradhan A, Patel R, Said AJ, Upadhyaya M. 10-Π»Π΅ΡΠ½ΠΈΠΉ ΠΎΠΏΡΡ Π»Π΅ΡΠ΅Π½ΠΈΡ Balanitis Xerotica Obliterans: ΠΈΡΡΠ»Π΅Π΄ΠΎΠ²Π°Π½ΠΈΠ΅ Π² ΠΎΠ΄Π½ΠΎΠΌ ΡΡΡΠ΅ΠΆΠ΄Π΅Π½ΠΈΠΈ. Eur J Pediatr Surg. 2019 ΠΈΡΠ½Ρ; 29 (3): 302-306. [PubMed: 30130825]
- 10.
Philippou P, Shabbir M, Ralph DJ, Malone P, Nigam R, Freeman A, Muneer A, Minhas S. ΠΠ΅Π½ΠΈΡΠ°Π»ΡΠ½ΡΠΉ ΡΠΊΠ»Π΅ΡΠΎΡΠΈΡΠ΅ΡΠΊΠΈΠΉ Π»ΠΈΡΠ°ΠΉ/ΠΎΠ±Π»ΠΈΡΠ΅ΡΠΈΡΡΡΡΠΈΠΉ ΠΊΡΠ΅ΡΠΎΡΠΈΡΠ΅ΡΠΊΠΈΠΉ Π±Π°Π»Π°Π½ΠΈΡ Ρ ΠΌΡΠΆΡΠΈΠ½ Ρ ΠΊΠ°ΡΡΠΈΠ½ΠΎΠΌΠΎΠΉ ΠΏΠΎΠ»ΠΎΠ²ΠΎΠ³ΠΎ ΡΠ»Π΅Π½Π°: ΠΊΡΠΈΡΠΈΡΠ΅ΡΠΊΠΈΠΉ Π°Π½Π°Π»ΠΈΠ·. ΠΠΠ£ ΠΠ½ΡΠ΅ΡΠ½. 2013 ΠΌΠ°ΠΉ; 111(6):970-6.
[Π ΠΏΠ°Π±Π»ΠΈΠΊΠ΅: 23356463]
ΠΠ±Π»ΠΈΡΠ΅ΡΠΈΡΡΡΡΠΈΠΉ ΠΊΡΠ΅ΡΠΎΡΠΈΡΠ΅ΡΠΊΠΈΠΉ Π±Π°Π»Π°Π½ΠΈΡ: ΠΎΠ±Π·ΠΎΡ Π΄ΠΈΠ°Π³Π½ΠΎΡΡΠΈΠΊΠΈ ΠΈ Π»Π΅ΡΠ΅Π½ΠΈΡ
ΠΠ±Π·ΠΎΡ
. 2019 ΠΈΡΠ»Ρ; 58 (7): 777-781.
doi: 10.1111/ijd.14236. Epub 2018 12 ΠΎΠΊΡΡΠ±ΡΡ.
ΠΠ»ΠΈΠ²ΠΈΡ Π. Π§Π°ΡΠ»ΡΡΠΎΠ½ 1 , Π‘Π°ΠΊΡΠΎΠ½ Π. Π‘ΠΌΠΈΡ 1 2
ΠΡΠΈΠ½Π°Π΄Π»Π΅ΠΆΠ½ΠΎΡΡΠΈ
- 1 ΠΡΠ΄Π΅Π»Π΅Π½ΠΈΠ΅ Π΄Π΅ΡΠΌΠ°ΡΠΎΠ»ΠΎΠ³ΠΈΠΈ, ΠΠΎΡΠΎΠ»Π΅Π²ΡΠΊΠ°Ρ Π±ΠΎΠ»ΡΠ½ΠΈΡΠ° ΠΠΎΡΡ-Π¨ΠΎΡ, Π‘ΠΈΠ΄Π½Π΅ΠΉ, ΠΠ²ΡΡΡΠ°Π»ΠΈΡ.
- 2 Π¦Π΅Π½ΡΡ Π΄Π΅ΡΠΌΠ°ΡΠΎΠ»ΠΎΠ³ΠΈΠΈ ΠΈ ΡΠ°ΠΊΠ° ΠΊΠΎΠΆΠΈ, ΠΠΎΡΡΠΎΡΠ΄, ΠΠ²ΡΡΡΠ°Π»ΠΈΡ.
- PMID: 30315576
- DOI:
10.
1111/ijd.14236
ΠΠ±Π·ΠΎΡ
Olivia A CharltonΒ et al. Int J ΠΠ΅ΡΠΌΠ°ΡΠΎΠ». 2019 ΠΈΡΠ»Ρ
. 2019 ΠΈΡΠ»Ρ; 58 (7): 777-781.
doi: 10.1111/ijd.14236. Epub 2018 12 ΠΎΠΊΡΡΠ±ΡΡ.
ΠΠ²ΡΠΎΡΡ
ΠΠ»ΠΈΠ²ΠΈΡ Π. Π§Π°ΡΠ»ΡΡΠΎΠ½ 1 , Π‘Π°ΠΊΡΠΎΠ½ Π. Π‘ΠΌΠΈΡ 1 2
ΠΡΠΈΠ½Π°Π΄Π»Π΅ΠΆΠ½ΠΎΡΡΠΈ
- 1 ΠΡΠ΄Π΅Π»Π΅Π½ΠΈΠ΅ Π΄Π΅ΡΠΌΠ°ΡΠΎΠ»ΠΎΠ³ΠΈΠΈ, ΠΠΎΡΠΎΠ»Π΅Π²ΡΠΊΠ°Ρ Π±ΠΎΠ»ΡΠ½ΠΈΡΠ° ΠΠΎΡΡ-Π¨ΠΎΡ, Π‘ΠΈΠ΄Π½Π΅ΠΉ, ΠΠ²ΡΡΡΠ°Π»ΠΈΡ.
- 2 Π¦Π΅Π½ΡΡ Π΄Π΅ΡΠΌΠ°ΡΠΎΠ»ΠΎΠ³ΠΈΠΈ ΠΈ ΡΠ°ΠΊΠ° ΠΊΠΎΠΆΠΈ, ΠΠΎΡΡΠΎΡΠ΄, ΠΠ²ΡΡΡΠ°Π»ΠΈΡ.

- PMID: 30315576
- DOI: 10.1111/ijd.14236
ΠΠ±ΡΡΡΠ°ΠΊΡΠ½ΡΠΉ
ΠΠ±Π»ΠΈΡΠ΅ΡΠΈΡΡΡΡΠΈΠΉ ΠΊΡΠ΅ΡΠΎΡΠΈΡΠ΅ΡΠΊΠΈΠΉ Π±Π°Π»Π°Π½ΠΈΡ (BXO), ΠΈΠ»ΠΈ ΡΠΊΠ»Π΅ΡΠΎΠ·ΠΈΡΡΡΡΠΈΠΉ Π»ΠΈΡΠ°ΠΉ ΠΏΠΎΠ»ΠΎΠ²ΠΎΠ³ΠΎ ΡΠ»Π΅Π½Π°, ΠΏΡΠ΅Π΄ΡΡΠ°Π²Π»ΡΠ΅Ρ ΡΠΎΠ±ΠΎΠΉ ΠΏΡΠΎΠ³ΡΠ΅ΡΡΠΈΡΡΡΡΠΈΠΉ ΡΠΊΠ»Π΅ΡΠΎΠ·ΠΈΡΡΡΡΠΈΠΉ Π²ΠΎΡΠΏΠ°Π»ΠΈΡΠ΅Π»ΡΠ½ΡΠΉ Π΄Π΅ΡΠΌΠ°ΡΠΎΠ· Π³ΠΎΠ»ΠΎΠ²ΠΊΠΈ ΠΏΠΎΠ»ΠΎΠ²ΠΎΠ³ΠΎ ΡΠ»Π΅Π½Π° ΠΈ ΠΊΡΠ°ΠΉΠ½Π΅ΠΉ ΠΏΠ»ΠΎΡΠΈ. ΠΡΠΎ ΡΠ²ΡΠ·Π°Π½ΠΎ ΡΠΎ Π·Π½Π°ΡΠΈΡΠ΅Π»ΡΠ½ΠΎΠΉ Π·Π°Π±ΠΎΠ»Π΅Π²Π°Π΅ΠΌΠΎΡΡΡΡ ΠΈ ΠΌΠΎΠΆΠ΅Ρ ΠΏΡΠΈΠ²Π΅ΡΡΠΈ ΠΊ Π½Π°ΡΡΡΠ΅Π½ΠΈΡ ΠΌΠΎΡΠ΅ΠΈΡΠΏΡΡΠΊΠ°Π½ΠΈΡ ΠΈ ΠΏΠΎΠ»ΠΎΠ²ΠΎΠΉ ΡΡΠ½ΠΊΡΠΈΠΈ. ΠΠ΅ΡΠ²ΠΎΠ½Π°ΡΠ°Π»ΡΠ½ΠΎ ΠΎΠ½ Π±ΡΠ» ΠΎΠΏΠΈΡΠ°Π½ Π¨ΡΡΠΌΠ΅ΡΠΎΠΌ Π² 1928 Π³ΠΎΠ΄Ρ, Π½Π°Π·Π²Π°Π½ Π² ΡΠ΅ΡΡΡ Π΅Π³ΠΎ ΠΏΠ°ΡΠΎΠ»ΠΎΠ³ΠΈΡΠ΅ΡΠΊΠΈΡ
ΠΎΡΠΎΠ±Π΅Π½Π½ΠΎΡΡΠ΅ΠΉ ΠΈ ΡΡΠΈΡΠ°Π΅ΡΡΡ ΠΌΡΠΆΡΠΊΠΈΠΌ ΡΠΊΠ²ΠΈΠ²Π°Π»Π΅Π½ΡΠΎΠΌ ΡΠΊΠ»Π΅ΡΠΎΠ·Π° Π²ΡΠ»ΡΠ²Ρ (LS). 3,40 ΠΡΠΈΠΎΠ»ΠΎΠ³ΠΈΡ BXO Π½Π΅ΡΡΠ½Π°; ΠΎΠ΄Π½Π°ΠΊΠΎ Π±ΡΠ»ΠΈ ΠΏΡΠ΅Π΄Π»ΠΎΠΆΠ΅Π½Ρ Π°ΡΡΠΎΠΈΠΌΠΌΡΠ½Π½ΡΠ΅ Π·Π°Π±ΠΎΠ»Π΅Π²Π°Π½ΠΈΡ, ΠΌΠ΅ΡΡΠ½Π°Ρ ΡΡΠ°Π²ΠΌΠ°, Π° ΡΠ°ΠΊΠΆΠ΅ Π³Π΅Π½Π΅ΡΠΈΡΠ΅ΡΠΊΠΈΠ΅ ΠΈ ΠΈΠ½ΡΠ΅ΠΊΡΠΈΠΎΠ½Π½ΡΠ΅ ΠΏΡΠΈΡΠΈΠ½Ρ. BXO ΡΠ°ΡΠ΅ Π²ΡΠ΅Π³ΠΎ Π²ΠΎΠ·Π½ΠΈΠΊΠ°Π΅Ρ Π½Π° ΠΊΡΠ°ΠΉΠ½Π΅ΠΉ ΠΏΠ»ΠΎΡΠΈ ΠΈ Π³ΠΎΠ»ΠΎΠ²ΠΊΠ΅ ΠΏΠΎΠ»ΠΎΠ²ΠΎΠ³ΠΎ ΡΠ»Π΅Π½Π°.
Π‘ΡΠΈΡΠ°Π΅ΡΡΡ, ΡΡΠΎ ΠΎΠ½ ΠΈΠΌΠ΅Π΅Ρ ΠΏΡΠ΅Π΄ΡΠ°ΠΊΠΎΠ²ΡΠΉ ΠΏΠΎΡΠ΅Π½ΡΠΈΠ°Π» Π΄Π»Ρ ΡΡΠ°Π½ΡΡΠΎΡΠΌΠ°ΡΠΈΠΈ Π² ΠΏΠ»ΠΎΡΠΊΠΎΠΊΠ»Π΅ΡΠΎΡΠ½ΡΡ Π½Π΅ΠΎΠΏΠ»Π°Π·ΠΈΡ. ΠΡΠΎΡ ΠΏΠΎΡΡΡΠ»Π°Ρ ΠΎΡΠ½ΠΎΠ²Π°Π½ Π½Π° ΡΠ΅ΡΡΠΎΡΠΏΠ΅ΠΊΡΠΈΠ²Π½ΡΡ
ΠΈΡΡΠ»Π΅Π΄ΠΎΠ²Π°Π½ΠΈΡΡ
ΠΈ ΠΏΠ°ΡΠ°Π»Π»Π΅Π»ΡΡ
, ΠΏΡΠΎΠ²Π΅Π΄Π΅Π½Π½ΡΡ
Ρ ΡΠ°Π·Π²ΠΈΡΠΈΠ΅ΠΌ LS Π²ΡΠ»ΡΠ²Ρ ΠΈ ΠΏΠ»ΠΎΡΠΊΠΎΠΊΠ»Π΅ΡΠΎΡΠ½ΠΎΠ³ΠΎ ΡΠ°ΠΊΠ° (SCC). ΠΠΈΡΡΠΎΠ»ΠΎΠ³ΠΈΡΠ΅ΡΠΊΠΈ BXO ΠΈ LS Π²ΡΠ»ΡΠ²Ρ ΡΡΠΈΡΠ°ΡΡΡΡ ΠΎΠ΄Π½ΠΈΠΌ ΠΈ ΡΠ΅ΠΌ ΠΆΠ΅ Π·Π°Π±ΠΎΠ»Π΅Π²Π°Π½ΠΈΠ΅ΠΌ. 41 Π‘ΡΡΠ΅ΡΡΠ²ΡΠ΅Ρ Π½Π΅Ρ
Π²Π°ΡΠΊΠ° ΠΎΡΠ½ΠΎΠ²Π°Π½Π½ΡΡ
Π½Π° ΡΠ°ΠΊΡΠΈΡΠ΅ΡΠΊΠΈΡ
Π΄Π°Π½Π½ΡΡ
ΡΡΠΊΠΎΠ²ΠΎΠ΄ΡΡΠ², ΠΏΠΎΠΌΠΎΠ³Π°ΡΡΠΈΡ
Π² Π½Π°Π΄Π»Π΅ΠΆΠ°ΡΠ΅ΠΌ ΠΏΠΎΡΠ»Π΅Π΄ΡΡΡΠ΅ΠΌ Π½Π°Π±Π»ΡΠ΄Π΅Π½ΠΈΠΈ Π·Π° ΠΏΠ°ΡΠΈΠ΅Π½ΡΠ°ΠΌΠΈ Ρ BXO.
Β© 2018 ΠΠ΅ΠΆΠ΄ΡΠ½Π°ΡΠΎΠ΄Π½ΠΎΠ΅ ΠΎΠ±ΡΠ΅ΡΡΠ²ΠΎ Π΄Π΅ΡΠΌΠ°ΡΠΎΠ»ΠΎΠ³ΠΎΠ².
ΠΠΎΡ ΠΎΠΆΠΈΠ΅ ΡΡΠ°ΡΡΠΈ
ΠΠ±Π»ΠΈΡΠ΅ΡΠΈΡΡΡΡΠΈΠΉ ΠΊΡΠ΅ΡΠΎΡΠΈΡΠ΅ΡΠΊΠΈΠΉ Π±Π°Π»Π°Π½ΠΈΡ: Π½ΠΎΠ²ΠΎΡΡΠΈ Π΄Π»Ρ ΠΊΠ»ΠΈΠ½ΠΈΡΠΈΡΡΠΎΠ².
ΠΠ°Π½ΠΊΠΎΠΌΠ°Ρ Nguyen, ΠΠΎΠ»Π»Π°Π½Π΄ΠΈΡ AJA. Nguyen ATM ΠΈ Π΄Ρ. Eur J ΠΠ΅Π΄ΠΈΠ°ΡΡ. 2020 ΡΠ½Π²; 179(1):9-16. doi: 10.1007/s00431-019-03516-3. Epub 2019 23 Π½ΠΎΡΠ±ΡΡ. Eur J ΠΠ΅Π΄ΠΈΠ°ΡΡ. 2020. PMID: 31760506 ΠΠ±Π·ΠΎΡ.
ΠΠ΅Π½ΠΈΡΠ°Π»ΡΠ½ΡΠΉ ΡΠΊΠ»Π΅ΡΠΎΠ·ΠΈΡΡΡΡΠΈΠΉ Π»ΠΈΡ Π΅Π½/ΠΎΠ±Π»ΠΈΡΠ΅ΡΠΈΡΡΡΡΠΈΠΉ ΠΊΡΠ΅ΡΠΎΡΠΈΡΠ΅ΡΠΊΠΈΠΉ Π±Π°Π»Π°Π½ΠΈΡ Ρ ΠΌΡΠΆΡΠΈΠ½ Ρ ΠΊΠ°ΡΡΠΈΠ½ΠΎΠΌΠΎΠΉ ΠΏΠΎΠ»ΠΎΠ²ΠΎΠ³ΠΎ ΡΠ»Π΅Π½Π°: ΠΊΡΠΈΡΠΈΡΠ΅ΡΠΊΠΈΠΉ Π°Π½Π°Π»ΠΈΠ·.

Π€ΠΈΠ»ΠΈΠΏΠΏΡ Π., Π¨Π°Π±Π±ΠΈΡ Π., Π Π°Π»ΡΡ Π.ΠΠΆ., ΠΡΠ»ΠΎΡΠ½ Π., ΠΠΈΠ³Π°ΠΌ Π ., Π€ΡΠΈΠΌΠ°Π½ Π., ΠΡΠ½ΠΈΡ Π., ΠΠΈΠ½Ρ Π°Ρ Π‘. Π€ΠΈΠ»ΠΈΠΏΠΏΡ Π. ΠΈ Π΄Ρ. ΠΠΠ£ ΠΠ½ΡΠ΅ΡΠ½. 2013 ΠΌΠ°ΠΉ; 111(6):970-6. doi: 10.1111/j.1464-410X.2012.11773.x. Epub 2013 29 ΡΠ½Π²Π°ΡΡ. ΠΠΠ£ ΠΠ½ΡΠ΅ΡΠ½. 2013. PMID: 23356463 ββ
Π‘ΠΊΠ»Π΅ΡΠΎΠ·ΠΈΡΡΡΡΠΈΠΉ Π»ΠΈΡΠ°ΠΉ ΠΏΠΎΠ»ΠΎΠ²ΠΎΠ³ΠΎ ΡΠ»Π΅Π½Π° (ΠΎΠ±Π»ΠΈΡΠ΅ΡΠΈΡΡΡΡΠΈΠΉ ΠΊΡΠ΅ΡΠΎΡΠΈΡΠ΅ΡΠΊΠΈΠΉ Π±Π°Π»Π°Π½ΠΈΡ).
ΠΠ»ΡΡΡΠΎΠ½ Π., Π·Π°Π» Π, ΠΠΎΡΡΠ΅Π½ΡΡΠΊ Π. ΠΠ»ΠΎΡΡΡΠΎΠ½ Π. ΠΈ Π΄Ρ. ΠΠΠ£ ΠΠ½ΡΠ΅ΡΠ½. 2011 Π½ΠΎΡΠ±ΡΡ;108 ΠΡΠΈΠ»ΠΎΠΆΠ΅Π½ΠΈΠ΅ 2:14-9. doi: 10.1111/j.1464-410X.2011.10699.x. ΠΠΠ£ ΠΠ½ΡΠ΅ΡΠ½. 2011. PMID: 22085120 ΠΠ±Π·ΠΎΡ.
- ΠΠ΅ΡΠ΅Π½ΠΈΠ΅ ΠΎΠ±Π»ΠΈΡΠ΅ΡΠΈΡΡΡΡΠ΅Π³ΠΎ ΠΊΡΠ΅ΡΠΎΡΠΈΡΠ΅ΡΠΊΠΎΠ³ΠΎ Π±Π°Π»Π°Π½ΠΈΡΠ° Ρ Π΄Π΅ΡΠ΅ΠΉ.
ΠΠ΅Π³Π°Π½Π΅Ρ ΠΠΈΠ»ΡΡΠ½ΡΡΠ²Π° Π., ΠΠ°Π½Π΄Π΅Ρ Π ., Π ΠΎΠΉΠΎ ΠΠΎΠΌΠ΅Ρ Π., ΠΠ·Π·Π΅Π΄Π΄ΠΈΠ½ ΠΠ·Π·Π΅Π΄Π΄ΠΈΠ½ Π., ΠΠΎΠΏΠ΅Ρ ΠΠ°ΡΠ΅Π΄Π΅Ρ Π., ΠΡΠ΅Π½ΡΠΈΠΎ ΠΡΠΎΡΠ΅Π½ΡΠ΅ Π. ΠΠ΅Π³Π°Π½Π΅Ρ ΠΠΈΠ»ΡΡΠ½ΡΡΠ²Π° Π‘.
ΠΈ Π΄Ρ.
Π¦ΠΈΡΠΊ ΠΠ΅Π΄ΠΈΠ°ΡΡ. 2020 1 Π°ΠΏΡ; 33(2):79-83.
Π¦ΠΈΡΠΊ ΠΠ΅Π΄ΠΈΠ°ΡΡ. 2020.
PMID: 32250071
ΠΠ½Π³Π»ΠΈΠΉΡΠΊΠΈΠΉ ΠΈΡΠΏΠ°Π½ΡΠΊΠΈΠΉ. Balanitis Xerotica Obliterans: Π½Π΅Π΄ΠΎΠΎΡΠ΅Π½Π΅Π½Π½Π°Ρ ΠΏΡΠΈΡΠΈΠ½Π° Π²ΡΠΎΡΠΈΡΠ½ΠΎΠ³ΠΎ ΡΠΈΠΌΠΎΠ·Π°.
ΠΠΊΠ°Π»ΠΎΠ½Π°ΠΊΠΈ Π., ΠΠ½Π°ΡΡΠ°ΡΠ°ΠΊΠΈΡ Π., ΠΡΠ°ΡΡΠ°ΠΊΡ Π.Π‘., ΠΠ°ΡΡΠ»ΠΈΠ°Ρ Π. ΠΠΊΠ°Π»ΠΎΠ½Π°ΠΊΠΈ I ΠΈ Π΄Ρ. Π€ΠΎΠ»ΠΈΠ° ΠΠ΅Π΄ ΠΡΠ°ΠΊΠΎΠ². 2021 28 Π΄Π΅ΠΊΠ°Π±ΡΡ; 61 (4): 93-100. doi: 10.24425/fmc.2021.140007. Π€ΠΎΠ»ΠΈΠ° ΠΠ΅Π΄ ΠΡΠ°ΠΊΠΎΠ². 2021. PMID: 35180205
ΠΠΎΡΠΌΠΎΡΡΠ΅ΡΡ Π²ΡΠ΅ ΠΏΠΎΡ ΠΎΠΆΠΈΠ΅ ΡΡΠ°ΡΡΠΈ
Π¦ΠΈΡΠΈΡΡΠ΅ΡΡΡ
ΠΠΈΠΏΠΎΠΏΠΈΠ³ΠΌΠ΅Π½ΡΠ°ΡΠΈΡ ΠΏΠΎΠ»ΠΎΠ²ΠΎΠ³ΠΎ ΡΠ»Π΅Π½Π°, ΡΠΈΠΊΡΠΈΡΠΎΠ²Π°Π½Π½Π°Ρ Π»Π΅ΠΊΠ°ΡΡΡΠ²Π΅Π½Π½Π°Ρ ΡΡΠΏΡ.
ΠΠ±Π΅ΠΊΠ²Π΅ Π.Π£., ΠΠ΄ΠΆΠΈΠ±ΠΎΠ»Π° Π₯.Π., ΠΠ°Π±Π±Π° Π., ΠΡΠΎΠΊΠΏΠ° Π., Π‘ΠΎΠ»ΠΎΠΌΠΎΠ½ Π ., Π£ΠΊΠΎΠ½Ρ Π.Π. ΠΠ±Π΅ΠΊΠ²Π΅ Π.Π£. ΠΈ Π΄Ρ. Clin Case Rep. 24 ΡΠ΅Π½ΡΡΠ±ΡΡ 2022 Π³ .; 10 (9): e6364. doi: 10.
1002/ccr3.6364. ΡΠ»Π΅ΠΊΡΡΠΎΠ½Π½Π°Ρ ΠΊΠΎΠ»Π»Π΅ΠΊΡΠΈΡ 2022 ΡΠ΅Π½Ρ.
ΠΡΠ΅Π΄ΡΡΠ°Π²ΠΈΡΠ΅Π»Ρ ΠΠ»ΠΈΠ½ΡΠΊΠΎΠ³ΠΎ Π΄Π΅Π»Π°, 2022 Π³.
PMID: 36188052
ΠΠ΅ΡΠΏΠ»Π°ΡΠ½Π°Ρ ΡΡΠ°ΡΡΡ Π§ΠΠ.ΠΠΎΠΆΠ½ΠΎ Π»ΠΈ ΠΏΡΠΈ ΡΡΠ°ΡΠ΅Π»ΡΠ½ΠΎΠΌ ΠΊΠ»ΠΈΠ½ΠΈΡΠ΅ΡΠΊΠΎΠΌ ΠΎΠ±ΡΠ»Π΅Π΄ΠΎΠ²Π°Π½ΠΈΠΈ ΠΎΡΠ»ΠΈΡΠΈΡΡ ΡΠΈΠ·ΠΈΠΎΠ»ΠΎΠ³ΠΈΡΠ΅ΡΠΊΠΈΠΉ ΡΠΈΠΌΠΎΠ· ΠΎΡ ΠΎΠ±Π»ΠΈΡΠ΅ΡΠΈΡΡΡΡΠ΅Π³ΠΎ ΠΊΡΠ΅ΡΠΎΡΠΈΡΠ΅ΡΠΊΠΎΠ³ΠΎ Π±Π°Π»Π°Π½ΠΈΡΠ° Ρ Π΄Π΅ΡΠ΅ΠΉ?
ΠΠΈΠ΄ΠΈΠ½ΠΈ Π€., ΠΠΈΡΠ³ΠΎΠ½Π΅ Π‘., ΠΡΠ»ΡΠ²ΠΈΡΠ΅Π½ΡΠΈ Π ., Π’ΡΠΎΠ²Π°Π»ΡΡΠΊΠΈ Π., ΠΠ°ΠΌΠ±Π° Π. ΠΠΈΠ΄ΠΈΠ½ΠΈ Π€. ΠΈ Π΄Ρ. Eur J ΠΠ΅Π΄ΠΈΠ°ΡΡ. 2021 ΡΠ΅Π²; 180 (2): 591-595. doi: 10.1007/s00431-020-03881-4. Epub 2020 23 Π½ΠΎΡΠ±ΡΡ. Eur J ΠΠ΅Π΄ΠΈΠ°ΡΡ. 2021. PMID: 33230719 ΠΠ΅ΡΠΏΠ»Π°ΡΠ½Π°Ρ ΡΡΠ°ΡΡΡ Π§ΠΠ.
ΠΠΎΡΠ»Π΅Π΄Π½ΠΈΠ΅ Π΄ΠΎΡΡΠΈΠΆΠ΅Π½ΠΈΡ Π² ΠΏΠΎΠ½ΠΈΠΌΠ°Π½ΠΈΠΈ ΠΈ Π»Π΅ΡΠ΅Π½ΠΈΠΈ ΡΠΊΠ»Π΅ΡΠΎΠ°ΡΡΠΎΡΠΈΡΠ΅ΡΠΊΠΎΠ³ΠΎ Π»ΠΈΡ Π΅Π½Π°.
ΠΠ²ΠΎΠΊ Π ., Π¨Π°Ρ Π’.Π’., ΠΠΈΠ½Ρ Π°Ρ Π‘. ΠΠ²ΠΎΠΊ Π . ΠΈ Π΄Ρ. F1000ΡΠ΅Π·. 2020 15 ΠΌΠ°Ρ; 9: F1000 Π€Π°ΠΊΡΠ»ΡΡΠ΅Ρ Rev-369. doi: 10.12688/f1000research.21529.1.



ΠΠΈΡ ΠΠΆ. Π£ΡΠΎΠ». 2000 Π΄Π΅ΠΊ.; 18(6):382-7. [PubMed: 11204255]
Π£ΡΠΎΠ»ΠΎΠ³ΠΈΡ. 2020 ΡΠ½Π²; 135:11-19. [PubMed: 31605681]
[Π ΠΏΠ°Π±Π»ΠΈΠΊΠ΅: 23356463]
1111/ijd.14236

ΠΈ Π΄Ρ.
Π¦ΠΈΡΠΊ ΠΠ΅Π΄ΠΈΠ°ΡΡ. 2020 1 Π°ΠΏΡ; 33(2):79-83.
Π¦ΠΈΡΠΊ ΠΠ΅Π΄ΠΈΠ°ΡΡ. 2020.
PMID: 32250071
ΠΠ½Π³Π»ΠΈΠΉΡΠΊΠΈΠΉ ΠΈΡΠΏΠ°Π½ΡΠΊΠΈΠΉ.
1002/ccr3.6364. ΡΠ»Π΅ΠΊΡΡΠΎΠ½Π½Π°Ρ ΠΊΠΎΠ»Π»Π΅ΠΊΡΠΈΡ 2022 ΡΠ΅Π½Ρ.
ΠΡΠ΅Π΄ΡΡΠ°Π²ΠΈΡΠ΅Π»Ρ ΠΠ»ΠΈΠ½ΡΠΊΠΎΠ³ΠΎ Π΄Π΅Π»Π°, 2022 Π³.
PMID: 36188052
ΠΠ΅ΡΠΏΠ»Π°ΡΠ½Π°Ρ ΡΡΠ°ΡΡΡ Π§ΠΠ.