От чего может болеть зуб – Почему болят зубы: как понять, главные причины
как узнать о заболевании по характеру боли
ТОП-10 причин боли в зубах: как узнать о заболевании по характеру болезненности
«Болят зубы! Почему?» – с подобной проблемой хотя бы раз в жизни сталкивался любой человек. Боль никогда не бывает без причины – это сигнал о том, что в органе произошли какие-то сбои. Если бы ее не было, то невозможно было бы узнать о начале болезни, и пациенты обращались бы за помощью только в очень тяжелом состоянии. Так почему же болит зуб? Какие причины этому виной? Что делать, если появились болевые ощущения, и как их снять? Когда нужно срочно идти на прием, а когда можно немного подождать? Ответы на эти и другие вопросы читайте в сегодняшнем материале.
Характер и место расположения зубной боли
Какие бывают причины боли в зубе?
Когда во рту что-то болит, человек всегда может описать характер (как болит) и место (где болит). Болезненные ощущения могут быть сильными и слабыми, постоянными или внезапными, ночными и дневными. Может болеть один зуб, несколько рядом, все в ряду и даже на обеих челюстях. Некоторые пациенты жалуются, что боль охватывает висок, глаз, ухо, щеку, голову. Иногда резкие ощущения возникают из-за горячей или холодной еды, а иногда начинается непонятно от чего.
Давайте рассмотрим виды болезненных ощущений по характеру проявления:
- ноющая или тупая, проявляется не сильно,
- острая или «стреляющая», «режущая», доставляет сильное неудобство пациенту,
- внезапная: может появиться в любое время дня и ночи,
- длительная и монотонная: обычно носит слабый характер, поэтому больной не спешит показаться врачу.
Все эти признаки говорят о наличии какой-либо патологии. И если пациент вовремя обратится к стоматологу, то сохранит красивую и здоровую улыбку. А если затянуть с лечением, то можно заработать множество неприятных осложнений (далее остановимся на них подробнее).
Диагностика и осложнения зубной боли
Для того, чтобы установить верный диагноз и назначить правильное лечение, стоматолог проводит осмотр полости рта, уточняет жалобы, недавно перенесенные заболевания и травмы, характер болевых ощущений.
Врач может проводить следующие манипуляции при визуальном осмотре:
- постукивания по зубной коронке: чтобы определить – как болит и где именно,
- воздействие теплом: для выявления реакции на горячее,
- освещение специальной лампой или лазером: проводится для определения очагов повреждений на эмали,
- проверка зубных протезов (если они имеются),
- рентгенограмма: с помощью этого вида диагностики можно «увидеть» скрытые воспаления, переломы корня и другие аналогичные проблемы.

Рентгеновский снимок поможет диагностировать проблему
При любом виде болезненности в зубах – сильной, слабой, ноющей, острой, долго болит или нет, нужно записаться на прием к стоматологу. И прийти на него, даже если боли перестали беспокоить. Ощутимые проявления некоторых опасных болезней способны стихать на некоторое время (например, пульпита). Но это не значит, что разрушительный процесс остановился.
Важно! Перед посещением стоматологии ни в коем случае нельзя принимать обезболивающие препараты (ни таблетки, ни уколы). Врач не сможет поставить правильный диагноз и назначить полноценное лечение, если симптомы будут притуплены их действием.
Несвоевременное обращение за помощью чревато рядом неприятных осложнений:
- гнойный пульпит,
- образование гнойного мешочка под десной: кисты, гранулемы, абсцессы. Последние крайне опасны, т.к. могут привести к заражению крови и даже летальному исходу,
- потеря зуба или даже нескольких.
ТОП-10 причин, почему может болеть зуб
Иногда человек, столкнувшийся с зубной болью, недоумевает – почему так происходит, ведь зубы внешне совершенно здоровые? В этом случае не стоит откладывать поход к стоматологу. Именно врач сможет установить, от чего появилась болезненность – это может быть и из-за повышенной чувствительности, и из-за кариеса под старой пломбой, и еще из-за множества факторов. Условно их можно разделить на несколько типов: вызванные бактериями (кариес, пульпит, болезни десен и т.д.), механическими повреждениями или спровоцированные общими заболеваниями организма.
Остановимся на 10 самых часто встречающихся причинах зубной боли:
Причина 1. Кариес и его последствия
Эти заболевания вызваны бактериальной микрофлорой, которая разрушает зубы как изнутри (пульпит) так и снаружи (кариес). Но обо всем по порядку.
Кариес встречается почти у каждого человека. Проявляется в виде темных пятен на эмали. Интересно, что первоначальная стадия кариеса проявляется не темными, а белыми пятнами. В этих местах только начался патогенный процесс, и продукты жизнедеятельности бактерий понемногу разрушают минералы, которые делают зубную эмаль твердой. Постепенно микробы проникают все глубже, очаг становится крупнее в размерах. Болезнь может перекинуться на соседние элементы. Если кариес добрался до дентина, то процесс ускоряется, т.к. этот слой более мягкий и пористый. Если вовремя не вылечить кариес, то инфекция проникнет в пульпу – т.е. начнется процесс воспаления нервной и сосудистой ткани. Пульпит можно вылечить не «убивая» нерв, но не всегда. Обычно воспаленное содержимое пульпы и корневых каналов вычищается, обеззараживается и пломбируется.

Кариес зуба может вызывать боль
Болевые ощущения при кариесе и пульпите носят различный характер. Если при кариесе чувствуется не очень сильная боль, сопровождающаяся реакцией на горячие и холодные напитки, пищу и воздух. То боль при пульпите она зачастую очень сильная и внезапная (может заболеть ночью, что «хоть на стенку лезь»). Поврежденный элемент болезнен при надавливании и постукивании. Неприятные ощущения могут отдаваться в нос, щеки, виски (если поражен верхний зуб) и в шею, ухо (если воспаление находится в нижнем ряду).
При кариесе боль утихает, если убрать раздражитель. Например, поели сладкого, оно попало на зуб, тот разболелся. При пульпите же боль будет держаться очень долго.
Болевой синдром также возникает при последствиях запущенного или плохо вылеченного кариеса, точнее, даже пульпита – например, при флюсе (периостите), при периодонтите или даже кистах. При флюсе дополнительно возникает гнойный пузырек на десне, при периодонтите болезненность часто отсутствует, но зато возникает отечность слизистых и даже части лица. Коварство кист и гранулем в том, что болевых ощущений опять же может не быть, но они появляются по мере роста опухолей.
Причина 2. Растет новый зуб и возникает перикоронарит
При прорезывании зуба мудрости часто возникает боль
Болезненность при прорезывании может возникнуть и у ребенка, и у взрослого. Нередки случаи, когда у людей и в 70 и в 80 лет лезут «восьмерки» – зубы мудрости. Именно они вызывают множество проблем и часто вызывают болезненность.
В основном ощущения носят тянущий и ноющий характер. Может болеть голова и соседние элементы. Их рост часто осложняется недостаточностью места на челюсти, поэтому прорезывание сопровождается болезненным воспалением десны (называется перикоронарит). Также «мудрецы» могут расти неправильно и повреждать корни «семерок». В этих случаях «восьмеркой» необходимо «пожертвовать» и удалить ее.
Причина 3. Воспаление десен
Такие заболевания как пародонтит и пародонтоз поражают десны. Появляется боль и кровоточивость десен, болезненность при сжимании челюстей и пережевывании пищи. Многие пациенты часто путают и не понимают, что именно болит – десна или зуб. Одновременно данные патологии приводят к тому, что оголяются корни зубов, из-за чего появляется их повышенная чувствительность. При запущенном или стремительном течении инфекция может пробраться в зубную пульпу через верхушки корней – так можно потерять как один зуб, так и несколько или даже все в ряду.

Воспаление десен может привести к чувствительности зубов
Причина 4. ОРВИ, гайморит, синусит
Гайморит и синусит – это бактериальные или вирусные воспаления слизистых оболочек носовых пазух. Т.к. придаточные пазухи находятся в непосредственной близости к верхней челюсти, то их болезни могут отразиться болью тех зубов, которые находятся в непосредственной близости к носовым пазухам. Нередко реагирует и нижний зубной ряд, например, при ангине и фарингите, поскольку при данных патологиях часто возникает болезненность лимфоузлов.
Причина 5. Травмы, перелом корня, трещины и сколы
На фото показана травма зуба
Сколотые пломбы, трещины в эмали, перелом верхушки корня могут быть вызваны травмами из-за ушибов или пережевывания/надкусывания очень жестких продуктов. Здесь к боли от самой травмы может присоединиться болезненность из-за воспаления (когда инфекция попадает в пульпу через микротрещины). Ощущения могут быть самыми различными – сильными, слабыми, острыми и тупыми. Для правильной диагностики необходимо пройти рентген или ортопантомограмму (ОПТГ).
Причина 6. Отбеливающие процедуры и пасты с абразивными частицами

После процедуры отбеливания зубы могут быть более чувствительными
Причина 7. Жесткая зубная щетка и сильное давление во время чистки
Важно правильно выбрать зубную щетку
Все знают, что зубы нужно чистить дважды в день по две минуты. Но не все знают, как правильно подобрать зубную щетку необходимой жесткости и как сильно можно давить на зубную поверхность. А, между тем, это очень важно для здоровья полости рта. Слишком грубая чистка может повредить эмаль, «наградив» человека ноющей зубной болью и повышением чувствительности на горячее/холодное.
Причина 8. Переохлаждение и воспаление лицевых нервов
Веселые зимние игры и прогулки, несомненно, полезны для здоровья и поддержания иммунитета. Но длительное пребывание на 20-градусном морозе, ветре, нахождение на улице без шапки могут послужить поводом для весьма неприятной болезни – воспаления тройничного нерва. Эта патология почти всегда влечет за собой ноющие болевые ощущения в зубах.
Причина 9. Общие заболевания организма
Стресс и неправильная осанка может приводить к болям в зубах
Современный мир задает быстрый темп жизни, но не каждому человеку это подходит. Поэтому возникают различные неврологические состояния, стресс и хроническая усталость. При таких патология мозг может принимать и направлять нервным окончаниям неправильные сигналы. Они, в свою очередь, могут проявляться тупой зубной болью, которая беспокоит человека долгое время. Все эти состояния лечит не стоматолог, а невролог или психотерапевт.
Шейные хондрозы могут появиться из-за пребывания за компьютером, когда голова человека долгое время повернута в одну сторону. При этом наблюдается неправильное положение позвоночника, способствующее зажатию сосудов и нервов. Последнее состояние может отдаваться болью в нижней челюсти, нижних молярах и премолярах.
Также опасность представляют заболевания желудка, частая изжога – когда происходит заброс желудочной кислоты в полость рта. Эмаль под действием кислот разрушается, оголяется дентин – повышается чувствительность и болезненность.
Причина 10. Недостаток или неправильный прием витаминов, нарушения рациона питания
Правильное питание способствует здоровью зубов
Людям со слабой эмалью (а также детям и пожилым) стоит отказаться от продуктов с уксусом и лимонной кислотой, а витамин С нужно принимать только во время еды. Почему? Потому что кислоты разрушают эмаль и вызывают гиперестезию – из-за этого возникает болезненность. Лучшим источником витамина С может стать отвар шиповника – он не кислый, а вот полезного витамина в нем в несколько раз больше, чем в лимонах.
Скудное питание негативно отражается на минерализации эмали и состоянии слизистых оболочек полости рта. И, опять же, из эмали вымываются полезные вещества, она становится хрупкой и чувствительной к раздражителям. В рационе здорового человека должны присутствовать – зелень, свежие овощи, ягоды, орехи, яйца, бобовые и творог (не обезжиренный! – кальций из него почти не усваивается).
Интересный факт! Острая мнимая зубная боль – это не выдумка слишком чувствительных людей. Такое состояние может появиться на месте зуба после его удаления и продолжаться 1-2 недели. Эксперты объясняют фантомную болезненность особенностью восстановления нервных окончаний в десне.
Как быстро избавиться от зубной боли
Основная масса пациентов обнаруживает у себя не очень сильную зубную боль, которая не осложнена другими симптомами. Если такое произошло вечером или на выходных, то возникает вопрос – а что пить, чтобы не болело? Можно принять обезболивающее «Нурофен» или «Кеторол» (можно даже «Парацетамол» – он менее действенный, но слабее прочих воздействует на печень), а врача посетить в плановом порядке.
Отвар коры дуба часто используется в лечении
Для облегчения болевого синдрома можно прибегнуть и к народной медицине. Какие методы народного лечения получили широкое распространение? Обычно это полоскания растворами соды и соли, отварами шалфея, ромашки и дубовой коры. На проблемное место можно приложить холодный компресс, кусочек соленого сала или прополиса. А можно капнуть на кусочек ваты камфорное масло и приложить к зубу.
Читайте подробнее о том, какими способами можно избавиться от зубной боли.
Когда нужно срочно обратиться к стоматологу
- очень сильная боль: больному не помогают обезболивающие,
- опухание щеки: признак абсцесса – скопления гноя в мягких тканях, может сопровождаться температурой,
- долго и сильно болит нижняя челюсть: если неприятные ощущения отдают в левую руку, несколько дней сопровождаются изжогой – то речь может идти о проблемах с сердцем.
«Сейчас вспоминаю, как в детстве флюс резали, и до сих пор в ужасе от тех «непередаваемых ощущений». Отправили меня родители на лето к бабуле в деревню. А там у меня зуб заболел. Ну, бабушка, вооружившись арсеналом народных средств, и давай меня лечить. Чем только не полоскали, «лучше» всех помогло вареное яйцо, которое к щеке прикладывали – щеку раздуло, как будто пчелы покусали. Хорошо, что дед меня утром в город в больницу увез, резали десну, чистили, антибиотики кололи».
Victori, отзыв с сайта woman.ru
Подводим итог: как узнать заболевание по характеру боли
| Характер боли | Возможное заболевание/проблема |
|---|---|
| Монотонная, возникает при жевании, попадании пищи на зуб, реакция на кислое/сладкое, холодное/горячее | Кариес, кариес под пломбой. Или некачественное лечение при пломбировании каналов |
| Острая, которая усиливается ближе ко сну, не проходит совсем или утихает очень медленно после того, как давление на зуб не оказывается | Пульпит. Нужно срочно к врачу стоматологу-терапевту! |
| Монотонная, покраснение и кровоточивость десен | Гингивит, пародонтит. Нужно посетить пародонтолога и начать с профессиональной гигиенической чистки |
| Возникает после еды, например, если вы поели волокнистое мясо | Еда застряла между зубами – проведите гигиену. Но посетите врача – есть проблема с деснами! |
| Резкая или сильная боль при сжатии зубов, подвижность зуба | Перелом верхушки корня. Нужно обратиться к врачу – риск некроза тканей, отмирания нерва |
| Болезненность от кислого и сладкого, горячего и холодного | Повышенная чувствительность эмали. Нехватка витаминов и несбалансированное питание |
| Монотонная боль и отечность тканей, лица | Киста или гранулема, хронический или острый периодонтит. Срочно к врачу! |
Профилактика болезней полости рта
Чтобы счастливую улыбку не омрачали проблемы и болевые ощущения, нужно придерживаться простых профилактических правил. Главное, следить за своим здоровьем – соблюдать гигиену полости рта, правильно питаться. Желательно есть пищу, богатую витаминами и минералами – так они полностью усваиваются. Посещения стоматолога должны происходить не реже двух раз в год – и это только для профилактического осмотра. Если что-то заболело, то тянуть с визитом к врачу не стоит. Ведь проще вылечить начальную стадию заболевания, чем ее запущенную форму.
anzub.ru
Почему болит зуб | Причины боли зуба: кариес, пульпит и другие причины
Обновлено 27 февраля 2019 г.
Зубная боль — одна из самых страшных болей, которая может возникнуть у человека. Когда болит зуб, практически невозможно терпеть, и тогда даже самый ярый нелюбитель стоматологов идет «сдаваться» врачу.

Боль в зубе
Кариес
Кариес – это самое распространенное в мире заболевание зубов и, соответственно, самая популярная причина зубной боли. При кариесе твердые ткани зуба размягчаются, из-за чего в нем образуется разрастающаяся полость. Как только полость достигает внушительных размеров, она обнажает пульпу, что и приводит к болевым ощущениям.
Для кариеса характера боль при чистке зубов, приеме горячей или холодной пищи или напитков, попадании сладкого на больной зуб. Обычно после устранения раздражения боль затихает. Также со временем полость в зубе становится заметной – ее можно увидеть в зеркало или почувствовать, как туда попадают частички пищи, что вызывает дополнительную боль.
Если кариес вовремя не вылечить, может развиться пульпит.
Пульпит
Для пульпита характерны сильные интенсивные боли, возникающие как из-за внешних раздражителей, так и без видимой причины, особенно по ночам. На начальной стадии пульпита боль кратковременная, достаточно быстро проходит после устранения раздражающего фактора или приема обезболивающих. Постепенно пульпит перетекает в острую форму, с сильными болями по ночам. Зубная боль при пульпите бывает абсолютно разной – она может быть и пульсирующей и постоянно, и острой и тупой, и локализованной и распределенной. Если пульпит также вовремя не вылечить, он может стать причиной периодонтита – воспаление околозубных тканей.
Периодонтит
При периодонтите воспаляется верхушка корня, дентин и иногда альвеолярная кость вокруг зуба с пораженной или отсутствующей пульпой. Для периодонтита характерна весьма интенсивная ноющая боль, усиливающаяся при любом давлении на зуб, в том числе при жевании.
При отсутствии лечения боль становится постоянной, появляется ощущение, что больной зуб увеличился в размерах, иногда боль переходит на область лица, повышается температура. Десна сильно болит, становится отечной, из корневого канала может выделяться гной, иногда увеличиваются находящиеся рядом лимфоузлы.
Корневая киста
Корневая киста – это образование рядом с корнем зуба с жидким содержимым. Киста обычно растет незаметно для больного, и ее обнаруживают уже на поздних стадиях. Киста может стать причиной сдвига зубов, иногда она прорастает в верхнечелюстную пазуху или полость носа, а иногда даже становится причиной перелома челюсти.
Киста провоцирует болевые ощущения при стрессе, простуде, нагноении содержимого кисты или травмировании зуба, возле корня которого развивается киста.
Периапикальный абсцесс
Периапикальный абсцесс – это осложнение хронического периодонтита, при котором в верхушке корня скапливаются гнойные выделения. Из-за гноя больной зуб выталкивается наверх, и любое прикосновение к нему вызывает острую боль.
Перикоронит
Перикоронит – это проблемы с прорезыванием зуба мудрости. Они возникают из-за того, что над еще не прорезавшимся зубом формируется капюшон из десны, под которым скапливаются остатки пищи и со временем возникает воспаление. Обычно при перикороните возникают боли при жевании, хотя бывают и самопроизвольные боли. Их легко отличить от других болей в зубах, так как они локализуются в самых дальних частях зубного ряда.
Другие причины боли в зубах
Иногда боль в зубах не связана напрямую с заболеваниями зубов. Зубы могут болеть из-за:
- Невралгии тройничного нерва;
- Воспаления среднего уха;
- Травм и воспалений мышечных тканей;
- Психологических и неврологических проблем;
- Неправильного расположения зубов, из-за которого они давят друг на друга и мешают друг другу нормально расти.
Полезная статья?
Сохрани, чтобы не потерять!
Все материалы сайта проверены врачами. Статьи носят рекомендательный характер и не могут заменить консультацию специалиста.
Читайте также
Нужна стоматология? Стоматологии МосквыВыберите метроАвиамоторнаяАвтозаводскаяАкадемическаяАлександровский садАлексеевскаяАлтуфьевоАнниноАрбатскаяАэропортБабушкинскаяБагратионовскаяБаррикаднаяБауманскаяБеговаяБелорусскаяБеляевоБибиревоБиблиотека имени ЛенинаНовоясеневскаяБоровицкаяБотанический СадБратеевоБратиславскаяБульвар Дмитрия ДонскогоВаршавскаяВДНХВладыкиноВодный СтадионВойковскаяВолгоградский ПроспектВолжскаяВолоколамскаяВоробьевы ГорыВыхиноДеловой ЦентрДинамоДмитровскаяДобрынинскаяДомодедовскаяДубровкаИзмайловскаяПартизанскаяКалужскаяКантемировскаяКаховскаяКаширскаяКиевскаяКитай-ГородКожуховскаяКоломенскаяКомсомольскаяКоньковоКрасногвардейскаяКраснопресненскаяКрасносельскаяКрасные ВоротаКрестьянская ЗаставаКропоткинскаяКрылатскоеКузнецкий МостКузьминкиКунцевскаяКурскаяКутузовскаяЛенинский ПроспектЛубянкаЛюблиноМарксистскаяМарьина РощаМарьиноМаяковскаяМедведковоМенделеевскаяМитиноМолодежнаяНагатинскаяНагорнаяНахимовский ПроспектНовогиреевоНовокузнецкаяНовопеределкиноНовослободскаяНовые ЧеремушкиОктябрьскаяОктябрьское ПолеОреховоОтрадноеОхотный РядПавелецкаяПарк КультурыПарк ПобедыПервомайскаяПеровоПетровско-РазумовскаяПечатникиПионерскаяПланернаяПлощадь ИльичаПлощадь РеволюцииПолежаевскаяПолянкаПражскаяПреображенская ПлощадьПролетарскаяПроспект ВернадскогоПроспект МираПрофсоюзнаяПушкинскаяРечной ВокзалРижскаяРимскаяРязанский ПроспектСавеловскаяСвибловоСевастопольскаяСеменовскаяСерпуховскаяСмоленскаяСоколСокольникиСпортивнаяСретенский БульварСтрогиноСтуденческаяСухаревскаяСходненскаяТаганскаяТверскаяТеатральнаяТекстильщикиТеплый СтанТимирязевскаяТретьяковскаяТрубнаяТульскаяТургеневскаяТушинскаяУлица 1905 ГодаУлица Академика ЯнгеляБульвар РокоссовскогоУниверситетФилевский ПаркФилиФрунзенскаяЦарицыноЦветной БульварЧеркизовскаяЧертановскаяЧеховскаяЧистые ПрудыЧкаловскаяШаболовскаяШоссе ЭнтузиастовЩелковскаяЩукинскаяЭлектрозаводскаяЮбилейнаяЮго-ЗападнаяЮжнаяЯсеневоБунинская АллеяУлица ГорчаковаБульвар Адмирала УшаковаУлица СкобелевскаяУлица СтарокачаловскаяМякининоУлица Сергея ЭйзенштейнаДостоевскаяМеждународнаяВыставочнаяСлавянский бульварБорисовоШипиловскаяЗябликовоРадиальнаяПятницкое шоссеАлма-АтинскаяНовокосиноЖулебиноЛермонтовский ПроспектТропаревоБитцевский паркРумянцевоСаларьевоТехнопаркСмоленская-2СпартакКотельникиБутырскаяОкружнаяВерхние ЛихоборыФонвизинскаяЛомоносовский проспектРаменкиВыставочный центрУлица Академика КоролёваУлица МилашенковаСелигерскаяМичуринский проспектОзёрнаяГоворовоСолнцевоБоровское шоссеРассказовкаПанфиловскаяЗоргеХовриноМинскаяШелепихаХорошёвскаяЦСКАПетровский паркЛесопарковаяТелецентрАндроновкаНижегородскаяНовохохловскаяУгрешскаяЗИЛВерхние КотлыПлощадь ГагаринаЛужникиХорошёвоСтрешневоКоптевоБалтийскаяРостокиноБелокаменнаяЛокомотивИзмайловоСоколиная гораКрымскаяБеломорскаяКосиноНекрасовкаЛухмановскаяУлица ДмитриевскогоЛихоборы
Посмотрите стоматологии Москвы
Возле метроАвиамоторнаяАвтозаводскаяАкадемическаяАлександровский садАлексеевскаяАлтуфьевоАнниноАрбатскаяАэропортБабушкинскаяБагратионовскаяБаррикаднаяБауманскаяБеговаяБелорусскаяБеляевоБибиревоБиблиотека имени ЛенинаНовоясеневскаяБоровицкаяБотанический СадБратеевоБратиславскаяБульвар Дмитрия ДонскогоВаршавскаяВДНХВладыкиноВодный СтадионВойковскаяВолгоградский ПроспектВолжскаяВолоколамскаяВоробьевы ГорыВыхиноДеловой ЦентрДинамоДмитровскаяДобрынинскаяДомодедовскаяДубровкаИзмайловскаяПартизанскаяКалужскаяКантемировскаяКаховскаяКаширскаяКиевскаяКитай-ГородКожуховскаяКоломенскаяКомсомольскаяКоньковоКрасногвардейскаяКраснопресненскаяКрасносельскаяКрасные ВоротаКрестьянская ЗаставаКропоткинскаяКрылатскоеКузнецкий МостКузьминкиКунцевскаяКурскаяКутузовскаяЛенинский ПроспектЛубянкаЛюблиноМарксистскаяМарьина РощаМарьиноМаяковскаяМедведковоМенделеевскаяМитиноМолодежнаяНагатинскаяНагорнаяНахимовский ПроспектНовогиреевоНовокузнецкаяНовопеределкиноНовослободскаяНовые ЧеремушкиОктябрьскаяОктябрьское ПолеОреховоОтрадноеОхотный РядПавелецкаяПарк КультурыПарк ПобедыПервомайскаяПеровоПетровско-РазумовскаяПечатникиПионерскаяПланернаяПлощадь ИльичаПлощадь РеволюцииПолежаевскаяПолянкаПражскаяПреображенская ПлощадьПролетарскаяПроспект ВернадскогоПроспект МираПрофсоюзнаяПушкинскаяРечной ВокзалРижскаяРимскаяРязанский ПроспектСавеловскаяСвибловоСевастопольскаяСеменовскаяСерпуховскаяСмоленскаяСоколСокольникиСпортивнаяСретенский БульварСтрогиноСтуденческаяСухаревскаяСходненскаяТаганскаяТверскаяТеатральнаяТекстильщикиТеплый СтанТимирязевскаяТретьяковскаяТрубнаяТульскаяТургеневскаяТушинскаяУлица 1905 ГодаУлица Академика ЯнгеляБульвар РокоссовскогоУниверситетФилевский ПаркФилиФрунзенскаяЦарицыноЦветной БульварЧеркизовскаяЧертановскаяЧеховскаяЧистые ПрудыЧкаловскаяШаболовскаяШоссе ЭнтузиастовЩелковскаяЩукинскаяЭлектрозаводскаяЮбилейнаяЮго-ЗападнаяЮжнаяЯсеневоБунинская АллеяУлица ГорчаковаБульвар Адмирала УшаковаУлица СкобелевскаяУлица СтарокачаловскаяМякининоУлица Сергея ЭйзенштейнаДостоевскаяМеждународнаяВыставочнаяСлавянский бульварБорисовоШипиловскаяЗябликовоРадиальнаяПятницкое шоссеАлма-АтинскаяНовокосиноЖулебиноЛермонтовский ПроспектТропаревоБитцевский паркРумянцевоСаларьевоТехнопаркСмоленская-2СпартакКотельникиБутырскаяОкружнаяВерхние ЛихоборыФонвизинскаяЛомоносовский проспектРаменкиВыставочный центрУлица Академика КоролёваУлица МилашенковаСелигерскаяМичуринский проспектОзёрнаяГоворовоСолнцевоБоровское шоссеРассказовкаПанфиловскаяЗоргеХовриноМинскаяШелепихаХорошёвскаяЦСКАПетровский паркЛесопарковаяТелецентрАндроновкаНижегородскаяНовохохловскаяУгрешскаяЗИЛВерхние КотлыПлощадь ГагаринаЛужникиХорошёвоСтрешневоКоптевоБалтийскаяРостокиноБелокаменнаяЛокомотивИзмайловоСоколиная гораКрымскаяБеломорскаяКосиноНекрасовкаЛухмановскаяУлица ДмитриевскогоЛихоборы
www.32top.ru
Когда болят зубы?
Наверное, одна из самых страшных болей, бывающих у человека — это зубная. Когда болит зуб, практически невозможно терпеть, и тогда даже самый ярый нелюбитель стоматологов идет «сдаваться» врачу. Но далеко не все знают, отчего болят зубы, и как можно избежать этих неприятных ощущений. Вместе со стоматологом-терапевтом клиники «СтильДент» Еленой Геннадьевной ЗИБНИЦКОЙ разберемся с самыми частыми причинами зубной боли.
Самые распространенные причины зубной боли — это кариес, пульпит, периодонтит и перикоронит.
Кариес
Это заболевание твердых тканей зуба, ведущее к разрушению эмали и дентина. В первую очередь кариес поражает естественные углубления на зубах (фиссуры), а также участки, где в большом количестве накапливается налет, — это межзубные промежутки и придесневая область. При кариесе твердые ткани зуба деминерализуются и размягчаются, и впоследствии на зубе образуется дефект в виде полости.
Кариес имеет несколько стадий, процесс бывает начальный, поверхностный, средний и глубокий. Поначалу кариес протекает практически бессимптомно — основное неудобство, которое испытывает человек, связано с застреванием пищи в кариозных полостях. Еще одним симптомом кариеса, на который обычно не обращают особого внимания, является кратковременная боль от химических, механических, температурных раздражителей. Проще говоря, поврежденная эмаль уже не защищает зуб от воздействия горячего чая или ледяной воды или от механического воздействия, и мы в этот момент испытываем боль. Но поскольку она длится всего несколько секунд, обычно мы не воспринимаем ее всерьез.
Когда же процесс доходит до последней стадии — глубокого кариеса, то неприятные ощущения уже становится сложно игнорировать. При глубоком кариесе пациент испытывает боль при попадании пищи и жидкости в поврежденную область, боль при чистке зубов (раздражение от попадания пасты и щетки), боль от любых внешних раздражителей, температурных, химических, механических. После того, как раздражитель удален, боль утихает — до следующего эпизода. На этой стадии уже качество жизни существенно снижается. Но если человек продолжает упорно терпеть и не идет к врачу, постепенно в воспалительный процесс вовлекается нерв зуба (пульпа), и начинается пульпит.
Пульпит
Это воспаление пульпы (нерва) зуба, процесс обычно сопровождается острой болью. Пульпит возникает как реакция на постоянное воздействие раздражителей, попадающих на пульпу через кариозную полость, а также — вследствие влияния микроорганизмов и токсинов на нерв зуба. Раздражение пульпы приводит к изменению кровотока, что провоцирует повышенное давление на нервные волокна.
На начальной стадии пульпит проявляется слабой болью, которая проходит при устранении раздражителя. На этой стадии воспаление проходит само, если убрать раздражитель — то есть вылечить кариес и запломбировать зуб, изолировав пульпу от внешнего воздействия.
Если же ничего не делать, постепенно воспаление усиливается, а боль нарастает. Наступает стадия острого пульпита, в пульпе проходят необратимые изменения. Боль легко вызывается любым раздражителем. Вариант «не есть, не пить, держать рот закрытым» не спасает от боли. Очень часто зубная боль обостряется ночью.
Боль при остром пульпите может быть очень разной:
-
Острой или тупой
-
Пульсирующей или постоянной
-
Локализованной или разлитой
-
Кратковременной или длительной
Если же вы продолжите игнорировать ваше состояние и не обратитесь к стоматологу, то следующий этап — осложнения, которые, скорее всего, разовьются при остром пульпите, в том числе — гнойный пульпит.
Гнойный пульпит
Это наиболее тяжелая форма пульпита, чаще всего, она завершается некрозом пульпы. При гнойном пульпите боль становится особенно нестерпимой и резкой, ночью она зачастую усиливается. Боль отдает в височную область, в ухо, в глазницу, в другие зубы — нередко в таком состоянии человеку кажется, что у него болят уже все зубы.
Хронический пульпит
У самых терпеливых больных острый пульпит может перейти в хронический. Боль становится не такой острой и постоянной, иногда затихает надолго. Если кариозная полость труднодоступна для раздражителей, хронический пульпит может протекать практически безболезненно.
Симптомы хронического пульпита
-
Боль на холод
-
Боль при приеме горячей пищи
-
Боль при перепадах температур (например, когда выходишь из дома на холодную улицу)
-
Длительная ноющая боль, если кариозная полость забита остатками пищи
Хронический пульпит в любой момент может обостриться и подарить вам все незабываемые ощущения пульпита острого.
Если хронический пульпит не лечить, он может перейти в периодонтит.
Острый периодонтит
Периодонтит — это воспалительный процесс в периодонтальных (околозубных) тканях в области верхушки корня зуба. Зачастую воспаление захватывает цемент и дентин корня зуба, а также альвеолярную кость. Периодонтит в большинстве случаев возникает вследствие повреждения пульпы, то есть пульпита.
Симптомы
-
Боль постоянная, пульсирующая, с четкой локализацией
-
Боль усиливается от любого прикосновения к зубу, в том числе при жевании
-
Боль может распространяться на часть лица
-
Головная боль
-
Общая слабость
-
Повышение температуры
-
Отек щеки
-
Боль в десне, покраснение и отек в ней
-
Увеличиваются подчелюстные и подбородочные лимфоузлы
-
Возможно выделение гноя из корневого канала
Хронический периодонтит
Хронический периодонтит иногда развивается бессимптомно или в эту стадию может перейти острый периодонтит. Хронический периодонтит развивается, когда отмирает пульпа, а в зубе создаются благоприятные условия для развития микроорганизмов. Иногда хронический периодонтит может появиться после травмы зуба.
Симптомы
-
Изменение цвета зубной эмали
-
Наличие свища на десне
-
Болезненные ощущения при пережевывании твердой пищи
Хронический периодонтит может иметь множество очень серьезных осложнений: гранулема, корневая киста, патологический перелом нижней челюсти, периапикальный абсцесс, флегмона и другие.
Перикоронит
Это затрудненное прорезывание зубов мудрости (восьмерок). В случае, когда зуб не может нормально прорезаться, начинается воспаление окружающих его мягких тканей и надкостницы позади зубной ямки. Воспаленная десна постоянно травмируется при жевании, что еще более усугубляет процесс.
Воспалительный процесс постепенно может привести к развитию гнойного перикоронита.
Симптомы:
-
Постоянная боль, усиливающаяся при жевании
-
Боль отдает в ухо и височную область
-
Болезненность при открывании рта
-
Увеличение и болезненность в поднижнечелюстных лимфатических узлах
-
Резкая боль при надавливании на десну, возможны гнойные выделения
-
Повышение температуры тела
В дальнейшем боль продолжает усиливаться, температура тела повышаться. Самочувствие больного значительно ухудшается, и возможно развитие позадимолярного периостита.
Как избежать зубной боли?
На самом деле всё очень просто.
На общем состоянии зубов сказывается и общее состояние организма, и образ жизни человека. Если человек ведет здоровый образ жизни, сбалансировано питается, внимательно относится к гигиене полости рта, то шансов сохранить зубы в полном порядке у него значительно больше.
Регулярно посещайте стоматолога — профилактические осмотры желательно проводить один–два раза в год, в идеале стоит их совмещать с профессиональной гигиенической чисткой зубов с последующим фторированием и укреплением эмали.
Врач поможет вам подобрать подходящие зубную пасту и щетку, покажет, как правильно чистить зубы. Обязательно пользуйтесь зубной нитью и ополаскивателем для полости рта.
Обратите внимание: некоторые очень серьезные заболевания зубов могут протекать абсолютно бессимптомно! И обнаружить их возможно только на стадии, когда уже невозможно спасти зуб. Поэтому регулярные профилактические посещения стоматолога необходимы каждому!
styledent.ru
Ноет зуб. Причины зубной боли. Народные советы, рецепты, список лекарств
С зубной болью большинство людей знакомы не понаслышке. Что делать, когда сильно ноет зуб, по каким причинам это может происходить? Об этом мы расскажем в нашей статье, а заодно и опубликуем список лекарственных средств и народных рецептов, которые помогут убрать болевые ощущения.
Почему ноют зубы
Существует множество факторов, способных вызывать зубную боль. Вот перечень наиболее распространенных:
- наличие кариеса;
- пульпит;
- флюс;
- боль после пломбирования зуба;
- повышенная чувствительность эмали;
- удаление зуба;
- трещины в эмали;
- боль под коронкой;
- травмы зубов.

Если у вас ноет передний зуб или коренной, первое, что можно предположить — это наличие кариеса. При этом заболевании повреждается защитная эмаль зуба и слой дентина, из-за чего в образовавшейся полости начинают с усиленной скоростью размножаться вредные микроорганизмы, вызывающие воспаление. Даже поверхностный неглубокий кариес способен провоцировать ноющую боль. Обычно это реакция на попадание в полость зуба сладкого, соленого, кислого; реагирует поврежденный зуб и на горячую пищу или, наоборот, на очень холодную. Начальную стадию распознать самостоятельно трудно, поэтому если ноет зуб, то самое первое, что нужно сделать — это пойти на прием к стоматологу.
Пульпит бывает, если кариес сильно запущен и воспалилось сердце зуба — его пульпа. Мало кто способен выдержать долго боль при пульпите; тут уж волей-неволей приходится прибегать к помощи зубного врача. Если этого не сделать, то проблема с зубами может перерасти в следующую стадию, при которой воспалительный процесс уже переходит на надкостницу и кость челюсти — образуется флюс. Боли при таком состоянии очень сильные, ноющего характера, зачастую отдающие в уши, шею и т. д. Часто это заканчивается удалением зуба.
Почему зуб ноет после пломбирования?
Казалось бы, после того как зуб запломбировали, боль должна полностью исчезнуть. Однако так бывает не всегда. Обычно после сложного лечения, которое сопровождалось удалением нерва, зуб продолжает ныть после того, как отойдет анестезия. Ничего страшного, придется немного потерпеть, через некоторое время все наладится. Если слишком ноет зуб, так, что нет сил это терпеть, то можно выпить какой-нибудь препарат из списка в нашей статье.

В том случае, если боль не унимается долгое время, придется снова наведаться к своему стоматологу для выяснения причин происходящего. Возможно, врач сделал что-то не так и в полости зуба продолжает развиваться воспалительный процесс.
Почему ноет зуб под коронкой?
Это очень неприятная ситуация, которая в большинстве случаев объясняется некачественной работой стоматолога. Скорее всего, он допустил оплошность при лечении зуба перед установкой на него коронки. Речь идет о:
- неполной пломбировке канала;
- повреждении корневого канала (его стенки) во время установки штифта;
- наличии в канале пустот (неплотное пломбирование).

Если зуб под коронкой ноет и болит, то нужно не ждать, что будет дальше, а срочно идти к тому врачу, который эту коронку ставил.
Боль из-за повышенной чувствительности зубной эмали
Бывает и так: кариеса нет, а все равно ноют зубы. Что делать в этом случае и почему такое происходит? Причина может крыться в истончении эмалевого слоя. Этому способствует следующий ряд причин:
- эндокринные и нервные болезни;
- беременность или климакс — при этих состояниях могут наблюдаться нарушения в минеральном обмене;
- неправильное питание, при котором организм не получает нужных ему элементов;
- несоблюдение гигиены ротовой полости.
Часто можно помочь себе приемом препаратов кальция и витаминных комплексов.
Невралгия
Быть может, вам доводилось слышать про воспаление тройничного нерва? При этом заболевании тоже иногда сильно болят и ноют зубы. Что делать в этом случае, какой врач может оказать помощь — стоматолог или невролог? Давайте для начала определимся, что происходит при невралгии.
Основной причиной невралгической боли является то, что внутри организма по какой-то причине сдавливается тройничный нерв. Провоцирующими внечерепными факторами могут послужить воспаления в носовых пазухах и полости рта, пародонтит, гингивит и т. д. К внутричерепным причинам относятся: смещение вен и артерий, а также образование спаек и опухолей.

При невралгии могут болеть все зубы разом (на верхней и нижней челюстях) — очень мучительное состояние, требующее консультации и помощи невролога. Основным признаком болезни является острая боль, которая на некоторое время прекращается и возобновляется вновь. При невралгии даже самые элементарные обыденные вещи (умывание, чистка зубов и т. д.) могут вызывать болевой приступ.
Часто течение болезни бывает затяжным. Врач-невролог может назначить прием противосудорожных препаратов, сосудистых и успокоительных средств. Очень хорошо действуют физиопроцедуры.
Список лекарств, помогающих при зубной боли
Если ноет зуб, то можно принять лекарство и не мучиться до похода к стоматологу. Наиболее эффективными являются следующие препараты:
- «Пенталгин»;
- «Нурофен»;
- «Нимесулид»;
- «Кеторол»;
- «Кетанов»;
- «Нимесил».
Недостатком перечисленных болеутоляющих является то, что их нельзя принимать при беременности, а также в лактационный период.

Рекомендации беременным женщинам
Если у будущей мамы зубы болят (ноют), ей по возможности нужно прибегнуть к помощи каких-либо народных средств. В экстренных случаях можно облегчить состояние, приняв следующие таблетки, разрешенные при беременности:
- «Парацетамол»;
- «Но-шпа»;
- «Анальгин»;
- «Ибупрофен».
Все указанные лекарства можно пить во втором триместре беременности. В первом же их прием крайне нежелателен, так же как и в третьем.
Народные рецепты
Ноющая боль в зубе может быть успокоена народными средствами, коих, к слову сказать, очень много. Вот хорошие рецепты, которыми можно воспользоваться, если болят зубы:
1. Такую боль хорошо успокаивает масло гвоздики. Просто капните его на больной зуб или положите на него ватку, смоченную в масле.
2. На руке между указательным и большим пальцами расположена зона, массаж которой помогает при зубной боли. Также хорошо протирать эту область кусочком льда.
3. Небольшой шарик прополиса положить на проблемный зуб. Если есть большая открытая кариозная полость, то прополис можно использовать как временную пломбу — он одновременно снимает и боль, и воспаление.
4. Хорошим средством является раствор соды. Содовый порошок (2 ч. л.) залить 1 ст. кипятка, дать остыть и использовать в качестве полоскания.
5. Рот можно полоскать и водкой, не проглатывая ее. При этом часть алкоголя будет непосредственно проникать в десну, а через нее и во внутреннюю ткань зуба, что даст анестезирующий эффект.
6. Свежим соком чеснока потереть на запястье место, где прощупывается пульс. Если болит зуб справа, то смазывать нужно левую руку, если слева — то наоборот. В другом варианте нужно дольку чеснока привязывать к запястью бинтом и так ходить некоторое время.
7. Если есть под рукой морская соль, то можно использовать ее. Две чайных ложки растворить в теплой воде и полоскать рот.

Общие рекомендации для снятия зубной боли
1. Больной зуб не нужно греть — это вызывает прилив крови к области воспаления, что может спровоцировать появление флюса и усиление болевых ощущений.
2. В лежачем положении боль усиливается, т. к. кровоток в околозубных тканях становится активнее, и давление на них увеличивается, поэтому лучше не принимать горизонтальное положение.
3. Нужно стараться переключить свое внимание с больного зуба на что-нибудь другое.
4. Всегда очищать полость рта от пищевых остатков (для этого есть зубочистки и зубные нити). Часто бывает, что крохотные частички еды становятся причиной возникновения сильных болевых ощущений.
Заключение
Теперь вы знаете, почему ноют зубы и как утихомирить боль при помощи лекарственных средств. Конечно, это не поможет вам вылечить кариес, пульпит, флюс, невралгию и т. д. С этим может справиться только врач. Пожалуйста, помните об этом и не откладывайте в долгий ящик посещение специалиста. Современные методы лечения зубов практически безболезненны, поэтому лишние волнения и страхи абсолютно беспочвенны.
fb.ru
Ноет зуб: почему и что делать
Зубную боль перетерпеть нельзя: немного затихнув, она возвращается вновь и вновь, с завидным упорством распространяясь по всей челюсти и иногда отдавая в ухо или висок. Особенно преуспела в этом ноющая зубная боль. В чем же причина ее возникновения? Как облегчить свое состояние?
Почему ноют зубы с одной стороны
Болящие зубы практически всегда выступают симптомом некой патологии, требующей срочного внимания – как самого пациента, так и хорошего стоматолога. К основным причинам подобного дискомфорта относят:
- Начало кариозного процесса. Неправильное питание и нехватка в организме необходимых ему веществ провоцирует появление на эмали крохотных трещинок и сколов. С этого момента до полноценного кариеса уже недалеко.
- Повторное развитие кариеса. Даже пролеченные зубы могут стать «оплотом» интенсивной боли, если под коронкой или пломбой есть инфекция. Вторую «попытку» кариес делает в случаях, когда врач неправильно провел лечение или пациент после процедуры не придерживался рекомендаций стоматолога.
- Пародонтит, пародонтоз или другое заболевание пародонта. Первые признаки этих болезней проявляются отчетливой ноющей болью, усиливающейся при надавливании. Если не отправиться к врачу как можно скорее, есть все шансы дотерпеть до потери зубов.
- Прорезывание зубов мудрости. Третьи моляры – это те зубы, которых никто не ждет, ведь их рост сопровождается не только сильной болью, но также повышением температуры, общим недомоганием, затрудненным глотанием и прочими «радостями». В этой ситуации боль локализуется в области десны за крайними зубами.
- Аллергия. Достаточно редко возникающий «повод» для боли, но тем не менее и он имеет место. Иногда в процессе лечения зуба стоматолог использует препарат, на который у пациента аллергия. Результат налицо или, вернее, на зубы.
Определить точную причину, почему ноют зубы, может только врач. Для начала необходимо отправиться к стоматологу.
Ноют все зубы: причины, которые не всегда очевидны
В ряде случаев стоматолог не может выяснить причину ноющей боли и отправляет пациента домой со словами: «У вас все зубы здоровы». Растерянность, которую испытывает человек, легко понять: что же ему делать, если лечить, получается, нечего?
Существует несколько факторов, оказывающих непосредственное влияние на возникновение зубной боли, но прямо не связанных со стоматологическими проблемами:
- Невралгия тройничного нерва. Можно подметить, что ноющая зубная боль часто возникает на фоне ослабленного иммунитета и переохлаждения. В таком случае есть смысл заподозрить раздражение верхне- или нижнечелюстной ветви тройничного нерва. Поэтому если с зубами все в порядке, а боль никак не проходит, следует обратиться к неврологу.
- Гайморит. Здоровые зубы на верхней челюсти могут ныть при воспалении слизистой оболочки верхнечелюстной пазухи. Иногда в этой области находятся зубные корни, которые и выступают проводниками болезненных ощущений. При одонтогенном гайморите у основания корня образуется киста, которая прорастает в верхнечелюстную пазуху. Такая ситуация сопровождается болью в области задних зубов, которая усиливается при жевании и употреблении горячих блюд. Нужно как можно скорее записаться на прием к отоларингологу.
- Приступ стенокардии. Проблемы с сердцем особенно обостряются при физических нагрузках. Может возникнуть нехватка кислорода, приводящая к раздражению рецепторов и «обману» организма: он начинает «думать», что у него ноют зубы. Если зубная боль сопровождается дискомфортом в грудной клетке, одышкой и потливостью, необходимо провериться у кардиолога.
Это основные «скрытые» факторы, провоцирующие возникновение ноющей зубной боли. Поэтому если стоматолог лишь развел руками, необходимо как минимум записаться на прием к терапевту, а от него получить направление к конкретному специалисту.
Что делать
Каждый человек, у которого заболел зуб, понимает, что следует идти к врачу. Но до визита еще нужно как-то дожить, и помочь в этом могут народные средства.
Какой компресс приложить к болезненному участку
- что-нибудь холодное. Отлично справляется с «миссией» кусочек льда;
- ватку, смоченную в настойке календулы;
- ватный тампон, смоченный в лимонном, миндальном, ванильном или мятном экстракте;
- кашицу из измельченного чеснока и соли;
- ватку, смоченную в смеси масла орегано и небольшого количества воды;
- заваренный чайный пакетик;
- влажную ватку, обвалянную в соде или в смеси из черного перца и соли;
- кружок свежего огурца или кашицу из измельченного огурца, смешанного с солью;
- мелко нарезанный репчатый лук;
- кусочек очищенного свежего картофеля или подсоленный мелко натертый корнеплод;
- ватку, смоченную в яблочном уксусе;
- кусочек свежего свиного сала.
Чем прополоскать рот
- содовым раствором. Нужно размешать 1 ст. л. соды в стакане теплой воды;
- настоем шалфея. Понадобится ошпарить 1 ст. л. измельченной травы стаканом кипятка и выдержать в течение 1-1,5 часов;
- спиртным. Следует набрать в рот немного крепкого алкоголя и подержать около проблемной зоны, не глотая. Особенно эффективны в этом смысле водка, ром и виски;
- солевым раствором. Нужно добавить 1 ст. л. морской соли в стакан теплой воды и хорошо размешать;
- перекисью водорода. Необходимо приготовить смесь из 0,5 стакана теплой воды и 50 мл перекиси. Важно – глотать такой раствор нельзя, поскольку перекись не лучшим образом сказывается на состоянии пищевода и желудка;
- маслом чайного дерева. Следует добавить несколько капель масла в 200 мл воды;
- отваром из репы. Необходимо измельчить корнеплод, взять 2 ст. л. из получившейся массы и высыпать в кипящую воду. Через 30 мин. отвар будет готов, перед использованием его нужно остудить.
Что пожевать
- гвоздичную палочку;
- кусочек свежего имбиря;
- вымытые листья подорожника. Разжеванную кашицу следует задержать около ноющих зубов;
- свежие мятные листья;
- дольку лайма, высвобождая при этом как можно больше сока.
Если человек знает о своей склонности к синуситам и прочим лор-заболеваниям, то он может провести паровые ингаляции. Нужно отварить картошку, слить воду и «уединиться» с картофелем, накрыв голову полотенцем или покрывалом. Дышать таким образом следует 5-10 мин. В случаях когда «нытье» зубов было спровоцировано воспалением гайморовой пазухи, через 2-3 процедуры самочувствие улучшится.Народные рецепты весьма эффективны при ноющей боли, но действуют они не так быстро и не так долго, как этого хотелось бы. Облегчить свое состояние можно с помощью обезболивающих препаратов, самые распространенные среди которых:
- Баралгин, Спазмалгон, Нурофен, Аскофен – при боли слабой и умеренной интенсивности;
- Кетанов, Кеторол, Нимесулид, Пенталгин – при сильновыраженном болевом синдроме;
- Анальгин, Но-шпа, Ибупрофен, Парацетамол – при зубной боли у беременной. Важно – принимать медикаменты можно только во втором триместре беременности и по согласованию с врачом.
Не стоит попадаться в «ловушку» обезболивающих лекарств: поначалу их прием будет оказывать должный эффект и убирать дискомфорт. Но очень скоро организму они попросту «приедятся», и тогда боль станет постоянным спутником. Следует понимать, что даже если заглушить боль таблеткой, причина недомогания никуда не денется и продолжит развиваться.
Посещение врача – лучший способ избавиться от зубной боли, хоть и не такой экзотичный, как жевание подорожника или держание за щекой куска сала. Но экстраординарность хороша везде, кроме лечения. Здоровье дороже.
Просим оценить работу нашего автора Загрузка… Автор: Исаев Сергей Михайловичhealthy-teeth.su
Что делать, если болит зуб, в домашних условиях?
В списке всех известных человеку неприятных ощущений зубная боль занимает, пожалуй, лидирующую позицию. Ведь, согласитесь, сохранить здоровье зубов на протяжении всей жизни не так уж и просто, в связи с чем большинство из нас сталкивается по жизни с данной проблемой. Этот недуг способен полностью нас парализовать, не давая таким образом вести полноценный образ жизни, а ситуация осложняется ещё и тем, что не всегда у нас есть возможность посетить стоматолога. В этой статье мы и расскажем вам о том, что же делать, если у вас заболел зуб.

Причины зубной боли
Кариес – это самая распространённая причина зубной боли. На начальной стадии данного заболевания происходит разрушение тканей зуба, которое протекает практически бессимптомно: только при температурных и механических воздействиях можно ощутить некий дискомфорт.
Периодонтит. При данном заболевании воспаляются ткани, которые находятся вокруг корня зуба. Периодонтит может возникнуть, как более сложная форма пародонтита или пульпита, а также вследствие неправильных медицинских действий либо плохого ухода за полостью рта. Боль при данном заболевании острая, порой до зуба невозможно даже дотронуться.
Пульпит. Данное заболевание развивается в случае вовремя незалеченного кариеса. Зубная боль при пульпите интенсивная и длительная.

Механические повреждения зуба. Сколы эмали, трещины и иные повреждения также могут стать причиной зубной боли. При каких-либо повреждениях поверхности зуба оголяется дентин, у которого очень высокая степень чувствительности, что и приводит к зубной боли.
Прорезание зуба мудрости. Как правило, данный процесс достаточно длителен: прорезание зуба мудрости может длиться больше года. В этот момент происходит воспаление десны, что в итоге и приводит к зубной боли. Стоит отметить, что в данном случае греть больное место категорически запрещено.
Лекарственные препараты от зубной боли
На сегодняшний день существует огромное количество различных обезболивающих лекарственных препаратов, которые способны временно избавить вас от зубной боли. Среди этого многообразия можно выделить несколько наиболее эффективных:
Парацетамол;
Анальгин;
Цитрамон;
Кеторол.


Однако не спешите сразу принимать имеющееся в аптечке лекарство. Изначально необходимо ознакомиться с побочными действиями выбранного препарата. Так, например, парацетамол не рекомендуется принимать при заболеваниях почек и печени, а также во время беременности. Цитрамон, как обезболивающее средство, достаточно эффективен, однако, к его приёму также есть противопоказания. Так, например, он противопоказан людям, страдающим язвой желудка или заболеваниями почек. Помимо этого, цитрамон запрещён беременным либо кормящим грудью женщинам, а также подросткам до 15 лет.
Самым сильным обезболивающим средством из вышеприведённого списка является такой препарат, как кеторол, однако, и здесь есть свои противопоказания: данный препарат нельзя принимать страдающим язвой желудка, одышкой, беременным или кормящим грудью женщинам. Данное лекарство действительно помогает в кратчайшие сроки устранить боль, однако в день можно принять не более трёх таблеток, которые необходимо запить большим количеством воды.

Также для устранения зубной боли можно прибегнуть к приёму и других лекарств: пенталгин-Н, найз, нурофен, баралгин, кетанов, цитрапар, солпадеин, дексалгин, алка-зельтцер. Данные препараты также помогают справиться с болевым синдромом.
На всякий случай в домашней аптечке рекомендуется держать и такие препараты, как новокаин, лидокаин и ультракаин, который, в свою очередь, является самым сильным обезболивающим из трёх вышеперечисленных. При сильной зубной боли, следует смочить кусочек ватки каким-либо раствором и положить её на больное место. Если нет ваты, то половиной раствора одной ампулы следует прополоскать больной зуб. Жидкость ни в коем случае не глотать, её следует выплёвывать!
Следует помнить, что любое обезболивающее лекарство призвано лишь снять болевые ощущения, саму причину боли они никак не устраняют, поэтому в ближайшее время обязательно следует обратиться к стоматологу. Также следует учитывать, что перед самим походом к врачу принимать какие-либо обезболивающие лекарства не следует, ибо это помешает стоматологу определиться с диагнозом и назначить правильное лечение.
Также стоит помнить, что даже при самой сильной зубной боли ни в коем случае нельзя самостоятельно назначать себе антибиотики, этим вы только усугубите своё положение.
Чем может помочь народная медицина при зубной боли
Свиное несолёное сало положите между щекой и больным зубом на 20 минут. Данный способ помогает надолго избавиться от неприятных ощущений.
Частое полоскание раствором поможет избавиться от зубной боли. Для этого необходимо смешать 1 чайную ложку соли или соды с одним стаканом тёплой воды.

Также можно прополоскать рот настоями таких трав, как ромашка и шалфей. Кстати, именно шалфей ещё с древних времён известен, как отличный помощник при зубной боли. Для того, чтобы приготовить настойку из шалфея, необходимо 2 столовые ложки этой травы залить одним стаканом крутого кипятка, далее полученную смесь следует выдержать 15 минут на водяной бане. Когда настойка слегка подостынет, ею в течение 20 минут следует непрерывно полоскать рот. Для профилактики данную процедуру можно повторить через 10-15 минут.
Сырая свекла также поможет избавиться от зубной боли: небольшой её кусочек следует приложить к больному зубу.
Избавиться от зубной боли можно при помощи алкоголя. Для этого необходимо коньяком или водкой несколько раз прополоскать больную сторону. Выпивать алкоголь не рекомендуется, ибо с ним не взаимодействуют обезболивающие медицинские препараты.
Помочь справиться с зубной болью может прополис, а именно его настойка. Необходимо смочить в этой настойке кусочек ватки, а затем приложить к больному зубу.
При опухоли либо нарыве десны ещё в древней Руси использовали следующий способ: на дно металлической кастрюли наливали примерно полсантиметра липового мёда. Затем брали старый проржавевший – это обязательное условие – гвоздь, далее раскаливали его до красна над огнём и ложили в мёд. После этого вокруг гвоздя образуется чёрное, достаточно густое вещество, внешне напоминающее дёготь. Именно этим чёрным веществом и следует обрабатывать припухшее место.

Ещё один способ избавления от зубной боли: следует мелко накрошить луковицу, далее получившуюся смесь необходимо завернуть в марлю и положить в ухо на противоположной больному зубу стороне.
Листья валерианы или конского щавеля также являются хорошими помощниками в борьбе с зубной болью. Для того, чтобы снизить болевой порок, данные ингредиенты можно приложить к больному зубу, а можно попросту пожевать.
Можно приготовить раствор и при помощи перекиси водорода. В принципе, для избавления от зубной боли можно полоскать рот и одной перекисью водорода, без добавления воды, однако, вкус у данного зелья будет не слишком приятным. Именно поэтому перекись рекомендуется разбавлять. И помните, что глотать этот раствор ни в коем случае нельзя.
Чеснок – ещё одно эффективное средство при зубной боли. Необходимо взять зубчик чеснока, раздавить его и поместить возле больного зуба. Также можно использовать и смесь из перемолотого чеснока с солью.
С древних времён известно, что листья перечной мяты обладают обезболивающими и сосудорасширяющими свойствами. Для того, чтобы уменьшить болевой синдром, необходимо жевать свежие листья перечной мяты.
Можно смочить кусочек ваты в яблочном уксусе – это также поможет справиться с зубной болью.
Также можно попробовать сделать компрессы, однако с данным способом следует быть предельно аккуратным. Компрессы могут быть сделаны как на основе льда, так и на основе горячей воды. В каждом отдельном случае подходит что-то одно, и, сделав себе неправильный компресс, можно только усугубить своё положение.

Помните, что своевременное обращение к врачу – это и есть тот самый оптимальный способ избавления от зубной боли. Не стоит откладывать поход к врачу надолго, ибо в любой момент ваше состояние может ухудшиться.
doctoroff.ru
Почему болят зубы | БЛОГ ХИРУРГА
Почему болят зубы…
Причин боли зубов множество и при этом боль может быть абсолютно разной (острая, ноющая, пульсирующая – какие только прилагательные не услышишь от пациентов). Строго говоря, внутри зуба имеется сосудисто-нервный пучок, который тем или иным образом пронизывает твердые ткани зуба (дентинные канальца), болевые ощущения зависят от степени и места поражения сосудисто-нервного пучка. Так же, могут болеть ткани вокруг зуба, в стоматологии эти ткани объединяются названием периодонт/пародонт, включают в себя кость вокруг зуба, связки удерживающие зуб в кости и десну.

Вскрытый сосудисто-нервный пучок (пульпа) зуба
Прежде чем расписать все возможные причины, коротко разберем самые частые вопросы пациентов:
а) Почему болит зуб после удаления?
После удаления болит лунка удаленного зуба, любое удаление – это травма и минимальные боли ноющего характера допустимы несколько дней после удаления. Если же боли острые, постоянные, есть отек, повышение температуры – лучше обратиться к своему врачу, возможны осложнения.
б) Почему болит зуб под пломбой? Почему болит зуб под коронкой?
Под пломбой может постепенно развиться вторичный кариес, так же может быть, что нерв давно удален и развилось воспаление тканей, окружающих зуб. Если зуб болит под коронкой – чаще всего причиной является переодонтит или радикулярная киста (см. пункты 4 и 5) Для точного диагноза нужен рентгеновский снимок.
в) Почему болит зуб после лечения?
Нескольких дней после лечения незначительные болевые ощущения при накусывании допустимы. Если боли сильные или беспокоят более чем несколько дней нужно обратиться к лечащему врачу, скорее всего зуб придется перелечивать либо «долечивать».
г) Почему болит зуб при надавливании?
Боли при накусывании/надавливании говорят о патологических процессах в тканях, окружающих корень зуба. Для точного диагноза нужен рентгеновский снимок. Более подробно причина описана чуть ниже в четвертом пункте.
д) Почему болят зубы мудрости?
Зубы мудрости подвержены всем тем же заболеваниям, что и остальные зубы, единственное, что их отличает трудности с прорезыванием и вытекающие из этого особенности, описаны они ниже в девятом пункте.
е) Почему болит зуб без нерва?
Сам зуб без нерва не болит. Болят ткани вокруг корня зуба – переодонтит/радикулярная киста (см. ниже пункты 4 и 5).
ж) Почему болят здоровые зубы?
Здоровые зубы не болят, если есть боль – есть и причина. Может быть повышенная чувствительность зубов (гиперестезия см. ниже пункт 1). Хотя бывает и то, что в понимании здоровый зуб у пациента в понимании стоматолога зуб на удаление. Редко пациенты могут спутать невралгию тройничного нерва с болями в зубах, в таком случае пациент показывает на здоровые зубы отмечая такие же боли как и при воспаленном сосудисто-нервном пучке. В таком случае необходима консультация невролога.
Перейдем непосредственно к причинам.
- Повышенная чувствительность зубов — гиперестезия. Боли кратковременные, реакция чаще всего на холодное и кислое, реже на прикосновение. Обычно болит группа зубов, например все передние – фронтальные, реже может так реагировать один два зуба. Гиперестезия появляется при нарушении структуры эмали, истончении, клиновидных дефектах и некрозах эмали, так же довольно часто проявляется при оголении шеек корней в следствии пародонтита. И совсем редко может быть симптом общих заболеваний – эндокринных, психо-соматических.

Гиперестезия может быть проявлением флюороза.
- Кариес — поражение твердых тканей зуба патологически процессом – размягчение эмали и дентина, разделяют на поверхностный, средний, глубокий и кариес стадии пятна. В зависимости от степени поражения эмали симптомы то же разные. Учитывая, что болевая чувствительность у всех людей не одинаковая, а современные зубные пасты уменьшают болевые ощущения, в большинстве случаев симптомы кариеса сглажены. При кариесе боли кратковременные от нескольких секунд до 15-20 минут, боли могут быть от холодного/горячего, сладкого/кислого и при попадании пищи в кариозную полость, боль проходит после устранения раздражителя.
Кариес. Этапы лечения.
- Пульпит – воспаление сосудисто-нервного пучка зуба, является осложнением кариеса. Пульпит разделяют на острый и хронический. Острый пульпит бывает очаговый и диффузный. При остром пульпите боли длительные, острые, зуб болит ночью, болит при попадании пищи в кариозную полость и при дотрагивании инструментами (зондировании полости). Хронический пульпит – запущенный острый, когда боль «перетерпели», отличается слабыми болевыми ощущениями, при обострении может давать симптомы острого пульпита, при гнойном течении боли могут быть самопроизвольные и значительные, успокаивающиеся от холодного. Выделяют так же хронический гипертрофический пульпит – когда в кариозной полости обнаруживается сосудисто-фиброзный полип кровоточащий при дотрагивании. При отсутствии лечения пульпит переходит в переодонтит.
- Переодонтит – воспаление тканей, окружающих зуб, точнее связок удерживающих зуб в костной лунке. Так же может быть острым и хроническим. Острый переодонтит отличается постоянными болями, усиливающимися при накусывании на зуб (жевании). Хронический переодонтит протекает практически без болевых ощущений, обнаруживается на рентгеновском снимке и чаще всего приходят пациенты во время обострения, жалобы такие же как и при остром процессе. Причиной может быть не леченный вовремя пульпит, травма, либо реакция на лекарства, которыми лечили зуб при пульпите.

Хронический фиброзный и гранулематозный переодонтиты на рентгенограмме
- Радикулярная киста, апикальная киста, кистогранулема, гранулема – дальнейшее развитие периодонтита, при отсутствии своевременного лечения. Представляет собой образование округлой формы выстланное эпителием. Само по себе практически никогда не болит и медленно растет, может в итоге привести к перелому челюсти в результате истончения кости, обнаруживается при обострении или на рентгеновских снимках во время лечения зубов. При обострении могут давать постоянные ноющие боли без четкой локализации, обычно указывают только пораженную сторону челюсти, либо предъявляют жалобы на причинный зуб.

Радикулярная/апикальная кита на компьютерной томограмме.
- Переостит – острое гнойное воспаление надкостницы от больного зуба – переодонтитного или радикулярной кисты. Острые или ноющие постоянные боли, отек в соответствующей области лица, в полости рта обычно корни зубов, не подлежащие восстановлению. Возможно повышение температуры и дальнейшее распространение инфекции.
- Абсцессы и флегмоны – острые инфекционные заболевания, отличаются гнойным поражением одного или нескольких областей (клетчаточных пространств), повышением температуры, постоянными ноющими болями, усиливающимися при дотрагивании к пораженной области, плотными отеками (инфильтратами) на лице или шеи.
- Парадонтит – воспаление слизистой полости рта, точнее всего комплекса тканей окружающих зуб. Чаще всего поражается десна в области всех зубов, реже одного-двух. Основная причина – плохая гигиена, затем уже патологический прикус и неправильно леченные зубы, и на последнем месте в ряду причин – хронические декомпенсированные заболевания (напр. сахарный диабет). Проявляется кровоточивостью десен и гиперестезией зубов. В запущенных случаях гной выделяется из под десны, каких либо болевых ощущений обычно нет, может быть болезненность десен при чистке зубов.

Хронический генерализованный пародонтит тяжелой степени.
- Зубы мудрости – как и все зубы подвержены всему выше перечисленному. Так же для зубов мудрости чаще всего не хватает места и они длительно пытаются прорезаться, что сопровождается болевыми ощущениями. При частичном прорезывании пища скапливающаяся под нависающей над зубом десной может приводить к гнойным осложнениям (перекоронарит, переостит, абсцесс). В большинстве случаев зубы мудрости вырастаю в положении не характерном для всех остальных зубов, что может приводить к травмам щеки при жевании или воспалению слизистой между зубом мудрости и соседним ему коренным зубом.

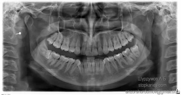
На рентгенограмме ретенированные (не прорезывавшиеся) зуб мудрости — 38, 48
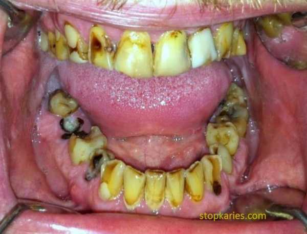
- И на последок, небольшой клинический случай. К стоматологу могут прийти с этим.

У данного пациента множественный кариес, пародонтит, переодонтит нескольких зубов, хронические пульпиты, патология прикуса, повышенная стираемость зубов, клиновидные дефекты. Не правильно расположенные нижние зубы мудрости.
Данная ситуация — довольно распространенный в практике случай.
Если данная статья Вам была интересна, советую прочитать продолжение «Почему удаляют зуб».
stopkaries.com






