Панкреонекроз диагностика: Диагностика и лечение панкреонекроза в Тюмени, АРО №5
Панкреонекроз симптомы, диагностика, лечение Бибирево
Панкреонекроз (некроз поджелудочной железы) — опасная патология, когда на фоне острого панкреатита разрушаются отделы поджелудочной железы, образуются некротические участки. Это самое тяжелое осложнение, характерное для людей в трудоспособном возрасте. От заболевания ПЖ нарушается деятельность других органов пищеварительной системы. Деструктивное заболевание приводит к развитию полиорганной недостаточности из-за нарушения ферментации.
Важно своевременно диагностировать панкреонекроз, приступить к незамедлительному лечению. По статистике смертность при некрозе поджелудочной железы достигает 80%. Прогноз во многом зависит от адекватной тактики лечения, своевременного хирургического вмешательства.
Причины заболевания
Отмирание тканей провоцирует скопившийся агрессивный секрет, который растворяет ткани ПЖ. Как правило, застойное явление сочетается с воспалительным процессом, инфицированием организма, другими патологиями.
Сложность болезни зависит от степени поражения железы. Развитие патологии происходит в три этапа:
- Сначала появляется токсемия бактериальной природы. В крови появляются токсины, ухудшающие общее состояние больного.
- Абсцесс характерен для второго этапа. Воспаление нередко помимо железы распространяется на близлежащие органы.
- Без лечения в тканях ПЖ и забрюшинной области происходят гнойные изменения.
В норме ферменты участвуют в пищеварительном процессе только при контакте с желчью. Если ферментный секрет не поступает в кишечник, он расщепляет ткани железы: сначала жировые клетки, затем белковые соединения. В итоге поджелудочная железа гибнет.
Исследования в области гастроэнтерологии показали, что панкреонекроз характерен для любителей жирной пищи. Это лица, позволяющие эпизодический прием алкоголя в больших дозах, а также склонных к постоянному пьянству. Первые признаки панкреатита наблюдаются через некоторое время после факторов, провоцирующих усиленную выработку секрета.
Некоторые больные (порядка 30%) длительное время страдали от желчнокаменной болезни. Застойные явления возникают при закупорке протоков, по которым эвакуируется вырабатываемый секрет. Причиной плохого оттока ферментной жидкости могут стать перенесенные операции или травмы брюшной полости.
Симптомы панкреонекроза
Основной признак – острая боль, носящая опоясывающий характер. Болевые ощущения возникают в области спины, левом подреберье, иррадиируют под ложечку. Болезненность постоянная, бывает:
- интенсивной, около 10% пациентов во время приступов находятся в состоянии коллапса;
- средней, состояние терпимой боли испытывают порядка 44%;
- умеренной, такая боль характерна для 6% больных.
Степень болевого синдрома зависит от особенностей протекания болезни, всегда усиливается после еды. Болезненность незначительно ослабевает, когда пациент ложится, плотно прижимает к животу ноги. Когда боль отдает в плечо, создается впечатление сердечного приступа.
Другие симптомы панкреонекроза ПЖ:
- рвота, не приносящая облегчение, вызывающая обезвоживание организма, кожа становится сухой, развивается жажда;
- из-за концентрации в крови активных компонентов возникает покраснение лица;
- при сильной боли кожные покровы становятся бледными;
- при пальпации проявляется болезненность напряженной брюшины;
- когда повышается уровень альфа-амилазы, разрушающей кровеносные сосуды, на ягодицах, брюшной стенке, вокруг пупка появляются пятна сине-фиолетового цвета, возможны желудочно-кишечные кровотечения.
Постепенно развивается тахикардия, мутнеет сознание, возможен бред. Воспалительный процесс сопровождается температурой, понижением артериального давления.
Диагностика
Лабораторная диагностика предусматривает определение концентрации эластазы. Плохой признак – прогрессирующий рост или резкий скачок показателей. В крови и моче постоянно проверяется количества ферментов, вырабатываемых поджелудочной железой.
Инструментальная диагностика включает несколько аппаратных обследований:
- Обзорная рентгенография брюшной полости необходима для выявления признаков воспалительного процесса. При введении контраста определяется состояния фистул и протоков поджелудочной железы.
- Ретроградная холангиопанкреатография (РХПГ) позволяет выявить локализацию застойных процессов, области скопления секрета с активными ферментами.
- УЗИ определяет камни в желчевыводящих протоках, очаги некроза, диагностируется увеличение и изменение структуры железы.
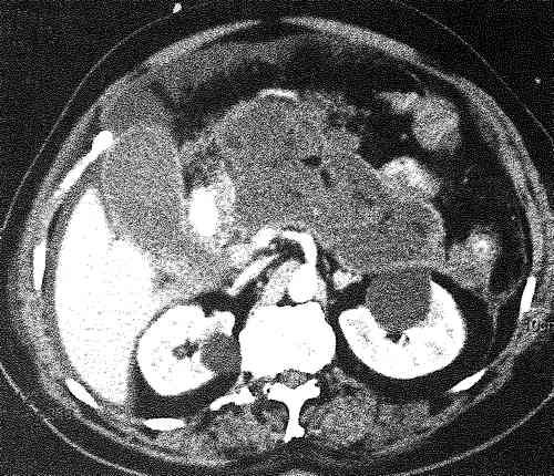
- КТ и МРТ поджелудочной железы детально визуализирует патологические изменения, помогает с высокой точностью установить локализацию некроза.
- К диагностической лапароскопии прибегают в сложных случаях. Оперативное вмешательство необходимо для постановки диагноза при поражении окружающих тканей. Малотравматичное хирургическое вмешательство осуществляется под контролем УЗИ.
Методы исследования подбираются после визуального осмотра пациента, составления анамнеза.
Лечение панкреонекроза
Лучшая лечебная тактика – срочная госпитализация пациента в хирургическое отделение для всестороннего обследования и принятия экстренных мер. Консервативная терапия эффективна, когда имеются шансы на выздоровление. Больному вводятся препараты, блокирующие выработку секрета. Необходим полный отказ от еды в течение нескольких суток. Питание клеток осуществляется внутривенно. Если желчные протоки перекрыты и в нужном количестве не вырабатывается желчь, внутривенное кормление показано продолжительное время.
Устраняется обезвоживание, снимается интоксикация, при необходимости проводится гемосорбция, когда кровь очищается от токсичных компонентов.
Лечение требует покоя воспаленного органа. Аналгезия с использованием анальгетиков обеспечивает адекватное обезболивание. Практикуются новокаиновые блокады. После приема диуретиков спадает отечность железы, ослабляется натяжение панкреатической капсулы. При гнойных осложнениях назначаются антибиотики.
В условиях стационара при необходимости проводятся противошоковые мероприятия, направленные на купирование боли, улучшение оттока вырабатываемых железой ферментов. Также в комплексную терапию входят препараты, восстанавливающие функции других органов пищеварения, сердечно-сосудистой системы.
Хирургическое вмешательство
Когда организм больного не откликается на консервативную терапию, требуются более эффективные методы лечения. Операции проводятся в тяжелых случаях, когда требуется механическое восстановление транспортировки ферментов ПЖ в кишечник. Для постоянного оттока секрета и резекции разрушенных тканей проводится хирургическая операция. Удаляются очаги некроза, расширяются протоки.
Проводить оперативное вмешательство допускается только после аппаратного исследования, установки точного диагноза. Тактика оперативного вмешательства разрабатывается с учетом оценки уровня некроза железы. Важно учитывать возможные риски:
- возникновение осложнений после операции;
- возможность вторичного инфицирования.

Проводятся пункции, лапароскопия, лапаротомные операции. Когда в брюшной полости скапливается жидкость, практикуется дренирование.
Информация проверена экспертом
Васильев Вячеслав Алексеевич Главный врач. Уролог-андролог, семейный доктор, хирург, специалист УЗИ. Кандидат медицинских наук
Записаться
| Ноябрь 2022 | ||||||
|---|---|---|---|---|---|---|
| Пн | Вт | Ср | Чт | Пт | Сб | Вс |
| 31 | 1 | 2 | 3 | 4 | 5 | 6 |
| 7 | 8 | 9 | 10 | 11 | 12 | 13 |
| 14 | 16 | 17 | 18 | 19 | 20 | |
| 21 | 22 | 23 | 24 | 25 | 26 | 27 |
| 28 | 29 | 30 | 1 | 2 | 3 | 4 |
Панкреонекроз
Панкреонекроз – осложнение такого тяжелого заболевания, как острый панкреатит (воспаление поджелудочной железы).
Как правило, смертность при панкреонекрозе поджелудочной железы составляет 40-70%, и это только при условии, что пациентов начинают лечить своевременно с использованием самых современных медицинских методик.
Для некротического панкреатита характерно отмирание какого-либо участка или всей поджелудочной железы. Происходит это в результате воздействия на ткани определенных ферментов, которые вырабатывает сама поджелудочная железа, в сочетании с инфекционным процессом, перитонитом и другими обострениями.
Согласно статистике, порядка 70% больных панкреонекрозом длительное время в чрезмерном количестве употребляли алкогольные напитки. Еще 30% больных панкреонекрозом поджелудочной железы ранее болели желчнокаменной болезнью. Таким образом, самыми распространенными причинами панкреонекроза являются: злоупотребление спиртными напитками; регулярное переедание, злоупотребление слишком жирной или жареной пищей; тяжелые вирусные и инфекционные заболевания; желчнокаменная болезнь; язвенная болезнь желудка и 12-перстной кишки; перенесенные ранее оперативные вмешательства или травмы брюшной полости.
На сегодняшний день панкреонекроз считается одним из наиболее опасных заболеваний брюшной полости, при котором страдает не только поджелудочная, но также нарушается работа других органов пищеварения. В процессе прогрессирования заболевания происходит сначала отек поджелудочной железы, после чего в ней появляются участки некротической ткани. Если панкреонекроз вовремя не продиагностировать и не приступить к незамедлительному лечению, к процессу некроза поджелудочной нередко добавляется также и абсцесс.
Развитие этой тяжелой болезни происходит в три этапа: На первом этапе развития панкреонекроза происходит токсемия. На данном этапе у больного в крови появляются токсины, имеющие бактериальную природу. При этом в крови вовсе не обязательно наличие микробов, которые эти самые бактерии вырабатывают. Абсцесс образуется в поджелудочной железе на втором этапе панкреонекроза. Нередко абсцесс образуется и в близлежащих органах. На третьем этапе в тканях поджелудочной железы, а также в забрюшинной клетчатке происходят гнойные изменения.
Самым главным симптомом некроза поджелудочной является острая боль в левом подреберье, которая отдает в плечо, бок и спину, а иногда и в область сердца. Боль постоянная, но иногда может немного утихать, особенно если принять горизонтальное положение и прижать колени к животу. Характер болей во многом зависит от протекания панкреонекроза, его причин и формы: 6% больных характеризуют боль как умеренную; 10% из-за сильных болей находятся в состоянии коллапса; 40% больных испытывают острые боли; 44% описали боли как очень сильные, практически нестерпимые. Еще одним неотъемлемым симптомом панкреонекроза поджелудочной железы является рвота, которая, кстати сказать, облегчения пациенту не приносит. В результате постоянной рвоты у больного происходит обезвоживание организма. Так как в плазме крови у больного некрозом поджелудочной наблюдается увеличение концентрации вазоактивных компонентов, то еще одним косвенным симптомом является продолжительное покраснение лица. А вот когда больной входит в состояние коллапса, кожные покровы его, наоборот, бледнеют.
При данном заболевании в крови повышается уровень эластазы, которая в чрезмерном количестве склонна разрушать кровеносные сосуды, что способствует возникновению кровотечений в пищеварительном тракте. Следствием разрушения кровеносных сосудов и некротических явлений в поджелудочной железе являются пятна на ягодицах сине-фиолетового цвета. Также их можно наблюдать на передней брюшной стенке, боках и вокруг пупка. Это далеко не все симптомы панкреонекроза. Например, при обследовании больного в плевральной, брюшной полости, а также в полости перикарда можно обнаружить выпот.
Прогноз данного заболевания во многом зависит от адекватного и своевременного лечения панкреонекроза, а также от степени поражения поджелудочной железы. Большое значение в успешном лечении играет ранняя диагностика заболевания. Преимущественно панкреонекроз у пациентов удается диагностировать на первой стадии. В качестве лечения панкреонекроза на первой стадии применяют медикаменты, при помощи которых блокируется работа поджелудочной железы.
Операция при панкреонекрозе на первой стадии развития не является целесообразной, так как невозможно четко выявить, какой именно участок поджелудочной подвергся некрозу. Во избежание различных гнойных процессов больному помимо лекарственных препаратов, блокирующих работу поджелудочной железы, назначают антисептические и антибактериальные лекарственные средства, а также иммуностимуляторы.
При своевременном и правильном лечении панкреонекроза его прогрессирование можно остановить на ранней стадии без развития каких-либо серьезных осложнений. Однако гораздо чаще развивается воспаление, и поджелудочная железа уничтожает сама себя. Тогда целесообразно проведение операции при панкреонекрозе, которая подразумевает удаление разрушенной ткани поджелудочной железы. Операция при панкреонекрозе очень тяжело переносится пациентом и для хирурга также связана с определенным риском, поэтому прибегают к ней только в крайних случаях. Зачастую происходит интоксикация организма, когда многие органы просто отказываются работать.
Выжить при панкреонекрозе удается меньше, чем половине больных. Если же все-таки кому-то выпал счастливый билет, то на протяжении всей оставшейся жизни этому человеку необходимо очень бережно относиться к своему здоровью. На все излишества нужно наложить пожизненное табу. В пищу необходимо употреблять только тушеные или приготовленные на пару блюда дробными порциями по 5-6 раз в день. Вся еда должна быть нейтральной температуры – слишком горячая или холодная еда раздражает желудок и способствует активизации работы поджелудочной. Жирная пища также под запретом, так как она долго переваривается и излишне напрягает поджелудочную железу. Запрещено употреблять все соленое, сладкое и копченое, так как такая еда способствует воспалительным процессам. В пищу можно употреблять подсушенный хлеб, отварные овощи, кисломолочные продукты, нежирное мясо, легкие бульоны и каши на воде. Навсегда следует забыть о свежих овощах и фруктах, майонезе, специях, шоколаде, мягком хлебе, газированных напитках, молоке, различных консервах и алкоголе.
Некротический панкреатит | Кедры-Синай
ОБ ПРИЧИНЫ ДИАГНОЗ ЛЕЧЕНИЕ СЛЕДУЮЩИЕ ШАГИ
Что такое некротизирующий панкреатит?
Некротизирующий панкреатит (НП) — это проблема со здоровьем, при которой отмирает часть поджелудочной железы. Это происходит из-за воспаления или травмы. Если мертвая ткань заразится, она может вызвать серьезные проблемы.
Поджелудочная железа — это орган, который находится за желудком. Это заставляет жидкости течь через проток в тонкую кишку. Эти жидкости помогают переваривать пищу. поджелудочная железа также высвобождает гормоны, помогающие контролировать уровень сахара в крови. Сюда входит инсулин.
Панкреатит — воспаление поджелудочной железы. Когда воспаляется поджелудочная железа,
может привести к попаданию пищеварительных ферментов в саму поджелудочную железу.
Это вредит поджелудочной железе. Этот
может привести к панкреатиту. Когда это повреждение серьезное, части вашей поджелудочной железы могут не
получать достаточно крови и кислорода, чтобы выжить. НП происходит, когда часть поджелудочной железы
или ткань вокруг него отмирает от воспаления.
Мертвая часть поджелудочной железы может быть отделена от здоровой части. Или это может оставаться с близлежащей тканью. Мертвая ткань может не содержать микробов или попасть зараженный. Эти факторы влияют на ваши симптомы и лечение.
Некоторые люди с панкреатитом заболевают НП. Панкреатит — достаточно распространенное заболевание. Его в последнее время на подъеме. Это чаще встречается у мужчин, чем у женщин. Это может повлиять на людей всех возрастов.
Что вызывает некротический панкреатит?
НП
происходит, когда ваша поджелудочная железа воспаляется или повреждается, и происходит утечка ферментов поджелудочной железы.
Это вредит тканям поджелудочной железы. Если это повреждение не может быть обращено вспять, оно вызывает
НП.
В некоторых случаях близлежащие ткани могут инфицироваться. Это от бактерий, которые распространяются
в эту мертвую ткань.
НП может начаться после эпизода внезапного (острого) панкреатита. Люди с хроническим панкреатит также может заболеть НП. Но это не так часто.
Камни в желчном пузыре и употребление большого количества алкоголя являются наиболее распространенными причинами панкреатит. Некоторые другие причины:
- Травма поджелудочной железы
- Опухоль поджелудочной железы
- Высокий уровень кальция в крови
- Очень высокий уровень жиров в крови (холестерин, триглицериды)
- Поражение поджелудочной железы лекарствами
- Аутоиммунные заболевания
- Заболевания, имеющие место в вашей семье и поражающие поджелудочную железу, такие как кистозный фиброз и другие генетические состояния, вызывающие рецидивирующий панкреатит
Кто подвержен риску некротического панкреатита?
Вы
может иметь более высокий риск НП, если у вас есть проблемы со здоровьем, которые могут вызвать панкреатит.
К ним относятся камни в желчном пузыре. Вы можете снизить риск НП, лечив
ваш
Состояние здоровья. Употребление меньшего количества алкоголя также может снизить риск.
Каковы симптомы панкреонекроза?
Симптомы НП могут включать:
- Постепенное или внезапная боль в животе, которая иногда распространяется на спину и часто бывает сильной и длится сутки
- Лихорадка
- Опухший живот
- Тошнота и рвота
NP также может вызывать обезвоживание и низкое кровяное давление. Осложнения от НП могут вызвать другие симптомы.
Как диагностируется некротический панкреатит?
Ваш
медицинский работник спросит о вашей истории болезни, симптомах и других состояниях здоровья.
условия. Они также проведут осмотр, сосредоточив внимание на животе.
Для диагностики панкреатита ваш поставщик медицинских услуг может провести анализы. Сюда могут входить:
- Анализы для определения высокого уровня ферментов поджелудочной железы в крови
- тестов для других веществ, включая натрий, калий и глюкозу
- Тесты на найти причину панкреатита, включая анализы на жиры в крови
- Визуализация тесты, которые могут включать УЗИ брюшной полости или компьютерную томографию
Ваш поставщик медицинских услуг исключит другие причины ваших симптомов. Они проверят вас за язва, воспаление желчного пузыря или рак поджелудочной железы. Ваше здравоохранение Медицинский работник часто может диагностировать НП с помощью другого метода визуализации, например МРТ.
Ваш поставщик медицинских услуг может также взять образец из той части вашей поджелудочной железы, которая
уже умер.
Используя тесты визуализации, поставщик медицинских услуг использует тонкую иглу, чтобы взять
небольшой образец. Затем этот образец отправляется в лабораторию. Техники могут сказать, если мертвая ткань
проявляет признаки инфекции.
Как лечится некротический панкреатит?
Лечение часто состоит из двух частей. Вы будете лечиться от панкреатита и лечение отмершей части поджелудочной железы. Для лечения панкреатита вам май необходимость:
- Остальные
- В/в (внутривенно) растворы
- Обезболивающие
- Лекарства для предотвращения рвоты
Вы
также может потребоваться назогастральное питание. При назогастральном питании вы получаете питание в жидком виде.
форма. Вы получите его через длинную тонкую трубку. Эта трубка вставлена через нос
а также
в ваш желудок.
Вы также можете не иметь возможности есть или пить какое-то время, поэтому
что
ваша поджелудочная может отдохнуть. Иногда зонд для кормления вводят через нос в
тонкий кишечник. Это называется назоеюнальным кормлением.
Если образец вашей поджелудочной железы не показывает признаков инфекции, вам может не понадобиться дальнейшее лечение. В этом случае ваша медицинская бригада будет следить за вашим состоянием. Вы можете необходимость взять еще один небольшой образец из вашей поджелудочной железы. Ваш лечащий врач может хочу перепроверить вас на наличие признаков инфекции.
Если у вас есть признаки инфекции или лабораторные анализы показывают инфекцию, вам потребуются антибиотики. Вам также, вероятно, потребуется удалить мертвую инфицированную ткань поджелудочной железы.
Ваш
Медицинский работник может ввести тонкую трубку (катетер) через брюшную полость, чтобы удалить
в
мертвая ткань.
Это делается с помощью медицинской визуализации. Или площадь может быть взята
вне
эндоскопически. Это означает, что он будет удален путем проникновения в аномальную ткань.
принадлежащий
поджелудочной железы через желудок. Или ваш врач может добраться до ткани через небольшой
кишечника или протоков поджелудочной железы через тонкую кишку. В других случаях
ты
может потребоваться операция по удалению области. Это часто делается после того, как другие методы
нет
работал.
Если
ваше здоровье стабильно, ваш лечащий врач может отложить эти процедуры на несколько
недели. Это потому, что риск осложнений уменьшается, когда это делается позже. Но
если
вы очень больны, вам может понадобиться неотложная помощь, чтобы удалить мертвую, инфицированную часть
из
твоя поджелудочная железа.
Какие возможны осложнения некротизирующего панкреатита?
Основное осложнение – инфекция. Это затрагивает многих людей с НП. Это более вероятно происходит через 2-3 недели после первого появления NP.
Инфекция иногда может привести к сепсису. При этом заболевании у вашего организма сильная реакция к бактериям в крови. Сепсис может привести к шоку. Это уменьшает кровоток к вашим основным органам. Это может привести к временному или постоянному повреждению ваших органов. Сепсис иногда может привести к смерти.
Ваша медицинская бригада будет лечить ранние признаки сепсиса, чтобы дать вам наилучшие шансы стать лучше. Вам могут потребоваться внутривенные жидкости, антибиотики и поддержка дыхания. Они также лечит ранние признаки инфекции. Это поможет предотвратить сепсис в первую очередь.
Ключевые моменты о некротическом панкреатите
- НП — это проблема со здоровьем, при которой отмирает часть поджелудочной железы или окружающие ее ткани.
Этот
происходит после воспаления или травмы. Иногда это может вызвать серьезные инфекции. - Наличие камни в желчном пузыре и употребление большого количества алкоголя являются наиболее частыми причинами панкреатита, в том числе НП.
- Симптомы НП могут включать боль в животе и рвоту.
- Это состояние часто диагностируется с помощью КТ или другого метода визуализации.
- Ваше лечение может зависеть от того, есть ли в мертвой части вашей поджелудочной железы признаки инфекционное заболевание. Некоторым людям с НП требуется операция по удалению мертвой ткани.
Дальнейшие действия
Советы, которые помогут вам получить максимальную отдачу от посещения вашего поставщика медицинских услуг:
- Знайте причину вашего визита и то, что вы хотите, чтобы произошло.

- Перед посещением запишите вопросы, на которые вы хотите получить ответы.
- Возьмите с собой кого-нибудь, кто поможет вам задавать вопросы и помнить, что говорит ваш врач ты.
- При посещении запишите название нового диагноза и любые новые лекарства, методы лечения, или тесты. Также запишите все новые инструкции, которые дает вам ваш врач.
- Знать почему назначают новое лекарство или лечение и как оно вам поможет. Также знать каковы побочные эффекты и когда о них следует сообщать.
- Спросите, можно ли лечить ваше заболевание другими способами.
- Знайте, почему рекомендуется тест или процедура и что могут означать результаты.
- Знайте, чего ожидать, если вы не примете лекарство или не пройдете тест или процедуру.

- Если у вас запланирована повторная встреча, запишите дату, время и цель этой встречи. посещать.
- Знайте, как вы можете связаться со своим поставщиком медицинских услуг, если у вас есть вопросы.
Медицинский эксперт: Jen Lehrer MD
Медицинский эксперт: Rita Sather RN
Медицинский эксперт: L Renee Watson MSN RN
© 2000-2022 The StayWell Company, LLC. Все права защищены. Эта информация не предназначена для замены профессиональной медицинской помощи. Всегда следуйте инструкциям своего лечащего врача.
Некротический панкреатит: диагностика, визуализация и вмешательство
. 2014 сен-октябрь;34(5):1218-39.
doi: 10.1148/rg.345130012.
Джеффри И Шью 1 , Ниша И.
Сайнани, В. Аник Сахни, Джеффри Ф. Чик, Никундж Р. Чаухан, Дарвин Л. Конвелл, Томас Э. Клэнси, Питер А. Бэнкс, Стюарт Г. Сильверман
Принадлежности
принадлежность
- 1 Из отделения радиологии, отделения абдоминальной визуализации и интервенций (J.Y.S., N.I.S., V.A.S., J.F.C., NRC, S.G.S.), медицинского отделения, отделения гастроэнтерологии, гепатологии и эндоскопии (D.L.C., P.A.B.) и Хирургическое отделение, отделение хирургической онкологии (TEC), Brigham and Women’s Hospital, Гарвардская медицинская школа, 75 Francis St, Boston, MA 02115.
- PMID: 25208277
- DOI: 10.1148/гр.345130012
Джеффри И. Шью и др.
Рентгенография.
2014 сен-окт.
. 2014 сен-октябрь;34(5):1218-39.
doi: 10.1148/rg.345130012.
Авторы
Джеффри И Шью 1 , Ниша И. Сайнани, В. Аник Сахни, Джеффри Ф. Чик, Никундж Р. Чаухан, Дарвин Л. Конвелл, Томас Э. Клэнси, Питер А. Бэнкс, Стюарт Г. Сильверман
принадлежность
- 1 Из отделения рентгенологии, отделения абдоминальной визуализации и интервенций (J.Y.S., N.I.S., V.A.S., J.F.C., NRC, S.G.S.), медицинского отделения, отделения гастроэнтерологии, гепатологии и эндоскопии (D.L.C., P.A.B.) и Хирургическое отделение, отделение хирургической онкологии (T.E.C.), Brigham and Women’s Hospital, Гарвардская медицинская школа, 75 Francis St, Boston, MA 02115.

- PMID: 25208277
- DOI: 10.1148/гр.345130012
Абстрактный
Острый некротизирующий панкреатит — тяжелая форма острого панкреатита, характеризующаяся некрозом в поджелудочной железе и вокруг нее и связанная с высокими показателями заболеваемости и смертности. Хотя острый интерстициальный отечный панкреатит диагностируется в первую очередь на основании признаков, симптомов и результатов лабораторных исследований, диагностика и оценка тяжести острого некротического панкреатита в значительной степени основываются на данных визуализации. На основании пересмотренной системы классификации Атланты 2012 г. некротизирующий панкреатит анатомически подразделяется на паренхиматозный, перипанкреатический и комбинированный подтипы, а по времени — на раннюю клиническую (в течение 1 недели от начала) и позднюю (> 1 недели после начала) фазы.
Связанные коллекции классифицируются как «острые некротические» или «отгороженные» и могут быть стерильными или инфицированными. Визуализация, в первую очередь компьютерная томография и магнитно-резонансная томография, играет важную роль в диагностике некротизирующего панкреатита и выявлении осложнений, включая инфекцию, обструкцию кишечника и желчевыводящих путей, кровотечение, формирование псевдоаневризмы и венозный тромбоз. Визуализация также используется для помощи в сортировке пациентов, а также для временного и окончательного лечения. Было показано, что «ступенчатый» метод лечения некротизирующего панкреатита, в котором используется чрескожный катетерный дренирование скоплений жидкости под контролем визуализации перед эндоскопической или хирургической некрэктомией, улучшает клинические результаты. Авторы представляют алгоритмический подход к лечению пациентов с некротизирующим панкреатитом и рассматривают использование методов визуализации и интервенционных методов в диагностике и лечении этого патологического состояния.
© РСНА, 2014.
Похожие статьи
Пересмотренная Атлантская классификация острого панкреатита: ее значение для рентгенолога и влияние на лечение.
Тоэни РФ. Тёни РФ. Радиология. 2012 март; 262(3):751-64. doi: 10.1148/радиол.11110947. Радиология. 2012. PMID: 22357880 Обзор.
Лечение некротизирующего панкреатита.
ван Браншот С., Баккер О.Дж., Бесселинк М.Г., Боллен Т.Л., Фокенс П., Гузен Х.Г., ван Сантвоорт Х.К.; Голландская группа по изучению панкреатита. ван Браншот С. и соавт. Клин Гастроэнтерол Гепатол. 2012 ноябрь;10(11):1190-201. doi: 10.1016/j.cgh.2012.05.005. Epub 2012 18 мая. Клин Гастроэнтерол Гепатол. 2012. PMID: 22610008
Терапевтические вмешательства и хирургия острого панкреатита.

Амано Х., Такада Т., Исаджи С., Такеяма Й., Хирата К., Ёсида М., Маюми Т., Яманучи Э., Габата Т., Кадоя М., Хаттори Т., Хирота М., Кимура Й., Такеда К., Вада К., Секимото М., Кирияма С., Йокоэ М., Хирота М., Арата С. Амано Х. и др. J Hepatobiliary Pancreat Sci. 2010 Январь; 17 (1): 53-9. doi: 10.1007/s00534-009-0211-6. Epub 2009 12 декабря. J Hepatobiliary Pancreat Sci. 2010. PMID: 20012651
Некротический панкреатит: новые определения и новая эра в хирургическом лечении.
Розенберг А., Стенсма Э.А., Наполитано Л.М. Розенберг А. и др. Surg Infect (лиственница). 2015 Февраль;16(1):1-13. doi: 10.1089/sur.2014.123. Surg Infect (лиственница). 2015. PMID: 25761075 Обзор.
Острый панкреатит в многопрофильной больнице Забок.

Huis M, Balija M, Lojna-Funtak I, Stulhofer M. Хьюис М. и др. Acta Med Croatica. 2001;55(2):81-5. Acta Med Croatica. 2001. PMID: 11505633
Посмотреть все похожие статьи
Цитируется
Прогнозирование некротизирующего панкреатита на ранней КТ на основе пересмотренной Атлантской классификации.
Сонг Ю.С., Пак Х.С., Ю М.Х., Ким Ю.Дж., Юнг Си. Сонг Ю.С. и др. Тэхан Ёнсанг Уихакхэ Чи. 2020 ноябрь;81(6):1436-1447. doi: 10.3348/jksr.2020.0012. Epub 2020 1 сентября. Тэхан Ёнсанг Уихакхэ Чи. 2020. PMID: 36237716 Бесплатная статья ЧВК.
Новая модель логистической регрессии для раннего прогнозирования тяжести острого панкреатита с использованием магнитно-резонансной томографии и систем оценки острой физиологии и хронической оценки состояния здоровья II.

Тан М.Ю., Чжоу Т., Ма Л., Хуан С.Х., Сунь Х., Дэн И., Ван С.И., Цзи Ю.Ф., Сяо Б., Чжан Х.М. Танг М.И. и др. Quant Imaging Med Surg. 2022 сен;12(9):4424-4434. doi: 10.21037/qims-22-158. Quant Imaging Med Surg. 2022. PMID: 36060575 Бесплатная статья ЧВК.
Дренаж скоплений жидкости поджелудочной железы при остром панкреатите: всесторонний обзор.
Бансал А., Гупта П., Сингх А.К., Шах Дж., Саманта Дж., Мандавдхаре Х.С., Шарма В., Синха С.К., Датта У., Сандху М.С., Кочхар Р. Бансал А. и др. Мировые дела J Clin. 2022 16 июля; 10 (20): 6769-6783. дои: 10.12998/wjcc.v10.i20.6769. Мировые дела J Clin. 2022. PMID: 36051118 Бесплатная статья ЧВК. Обзор.
Сокращенная неусиленная магнитно-резонансная томография у больных острым некротизирующим панкреатитом.



Этот
происходит после воспаления или травмы. Иногда это может вызвать серьезные инфекции.





