Риноцитограмма хеликс: Микроскопическое исследование мазка со слизистой оболочки носа
Микроскопическое исследование мазка со слизистой оболочки носа
Общая информация об исследовании
Риноцитограмма – исследование выделений из носа под микроскопом. С ее помощью можно выявить изменения, характерные для аллергических реакций организма или для инфекции. Таким образом устанавливают причину воспаления слизистой оболочки носа (ринита).
В норме все стенки полости носа покрыты слизистой оболочкой с секретом, способствующим удалению пыли и микробов. Секрет обладает таким свойством благодаря наличию мерцательного эпителия, имеющего реснички, которые способны колебаться и перемещать слизь вместе с пылью и микробами.
Тем не менее в норме в полости носа обитает большое количество микробов (некоторые виды стафилококков, стрептококков и др), не причиняющих человеку вреда из-за иммунного ответа организма. Если по каким-либо причинам местный иммунитет снижается, микробы могут приводить к воспалению, возникает острый ринит – расстройство функции носа, сопровождающееся воспалительными изменениями слизистой оболочки и насморком.
Кроме того, ринит могут вызывать вирусы, передающиеся воздушно-капельным путем, в том числе возбудители ОРЗ.
Снижение местного иммунитета может быть вызвано переохлаждением организма, снижением общего иммунитета человека. Развитию насморка также способствует замедление движения мерцательного эпителия.
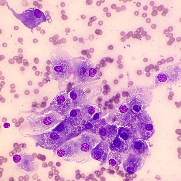
В результате ответа иммунной системы в слизистой носа повышается количество лейкоцитов – белых кровяных телец. Существует несколько их разновидностей, при бактериальных инфекциях главную роль в защите организма играют нейтрофилы, при вирусных – лимфоциты. Также могут появляться макрофаги.
При аллергии на организм воздействует определенное вещество (аллерген), например пыльца, шерсть, пыль и т. д., к которому возникает повышенная чувствительность иммунной системы. Такая реакция приводит к выделению в слизистой оболочке носа определенных веществ (гистамина, брадикинина), вызывающих симптомы аллергии. При этом большее значение в данном процессе имеют такие клетки иммунной системы, как эозинофилы (одна из разновидностей лейкоцитов).
При аллергии они могут в большом количестве появляться в крови, а также накапливаться в носовой слизи.
Кроме того, существует вазомоторный (нейровегетативный) ринит, при котором воздействие холода, прием некоторых лекарств, воздействие других физических или психоэмоциональных факторов вызывает острое набухание слизистой оболочки носа и изменение тонуса сосудов носовой полости.
При этом во всех случаях ринита происходит образование и выделение большого количества жидкости, что мы и называем насморком.
Аллергическая природа ринита часто остается невыявленной, хотя она достаточно распространена. Риноцитограмма может помочь в диагностике: особенность эозинофилов, появляющихся при аллергическом рините, состоит в том, что при специальной окраске (по Романовскому – Гимзе) они окрашиваются в красный цвет и становятся доступными для подсчета под микроскопом.
Для чего используется исследование?
При длительном насморке в некоторых случаях определение вызвавшей его причины бывает затруднено.
С этой целью и проводится риноцитограмма, которая позволяет выявить увеличенное количество эозинофилов, что служит дополнительным аргументом в пользу аллергической природы насморка. Аллергический и инфекционный ринит лечатся по-разному, именно поэтому важно определить причину насморка.
Когда назначается исследование?
При длительном насморке (несколько недель и более), сопровождающемся заложенностью носа, чиханием неустановленного происхождения.
Сдать анализ на иммуноглобулин Е общий, IgE общий
Подтверждаю Подробнее
- ИНВИТРО
- Анализы org/ListItem»>Аллергологические…
- IgE -…
- IgE общий…
- COVID-19
Программа обследования для офисных сотрудников- Обследование домашнего персонала
- Оценка риска развития заболеваний сердечно-сосудистой системы
- Диагностика антифосфолипидного синдрома (АФС)
- Оценка функции печени
- Диагностика состояния почек и мочеполовой системы
- Диагностика состояния желудочно-кишечного тракта
- Диагностика заболеваний соединительной ткани
- Диагностика сахарного диабета
- Диагностика анемий
- Онкология
- Диагностика и контроль терапии остеопороза
- Биохимия крови
- Диагностика состояния щитовидной железы
- Госпитальные профили
- Здоров ты – здорова страна
- Гинекология, репродукция
- Здоровый ребёнок: для детей от 0 до 14 лет
- Инфекции, передаваемые половым путём (ИППП)
- Проблемы веса
- VIP-обследования
- Болезни органов дыхания
- Аллергия
- Определение запасов микроэлементов в организме
- Красота
- Витамины
- Диеты
- Лабораторные исследования перед диетой
- Спортивные профили
- Гормональные исследования для мужчин
- Дифференциальная диагностика депрессий
- Оценка свертывающей системы крови
- COVID-19
- Биохимические исследования
- Глюкоза и метаболиты углеводного обмена
- Белки и аминокислоты
- Желчные пигменты и кислоты
- Липиды
- Ферменты
- Маркеры функции почек
- Неорганические вещества/электролиты:
- Витамины
- Белки, участвующие в обмене железа
- Кардиоспецифичные белки
- Маркёры воспаления
- Маркёры метаболизма костной ткани и остеопороза
- Определение лекарственных препаратов и психоактивных веществ
- Биогенные амины
- Специфические белки
- Гормональные исследования
- Лабораторная оценка гипофизарно-надпочечниковой системы
- Лабораторная оценка соматотропной функции гипофиза
- Лабораторная оценка функции щитовидной железы
- Оценка функции паращитовидных желез
- Гипофизарные гонадотропные гормоны и пролактин
- Эстрогены и прогестины
- Оценка андрогенной функции
- Нестероидные регуляторные факторы половых желёз
- Мониторинг беременности, биохимические маркёры состояния плода
- Лабораторная оценка эндокринной функции поджелудочной железы и диагностика диабета
- Биогенные амины
- Лабораторная оценка состояния ренин-ангиотензин-альдостероновой системы
- Факторы, участвующие в регуляции аппетита и жирового обмена
- Лабораторная оценка состояния инкреторной функции желудочно-кишечного тракта
- Лабораторная оценка гормональной регуляции эритропоэза
- Лабораторная оценка функции эпифиза
- Анализы для ЗОЖ
- Гематологические исследования
- Клинический анализ крови
- Иммуногематологические исследования
- Коагулологические исследования (коагулограмма)
- Иммунологические исследования
- Комплексные иммунологические исследования
- Лимфоциты, субпопуляции
- Оценка фагоцитоза
- Иммуноглобулины
- Компоненты комплемента
- Регуляторы и медиаторы иммунитета
- Интерфероновый статус, оценка чувствительности к иммунотерапевтическим препаратам:
- Аллергологические исследования
- IgE — аллерген-специфические (аллерготесты), смеси, панели, общий IgE.

- IgG, аллерген-специфические
- Технология ImmunoCAP
- Технология АлкорБио
- IgE — аллерген-специфические (аллерготесты), смеси, панели, общий IgE.
- Маркеры аутоиммунных заболеваний
- Системные заболевания соединительной ткани
- Ревматоидный артрит, поражения суставов
- Антифосфолипидный синдром
- Васкулиты и поражения почек
- Аутоиммунные поражения желудочно-кишечного тракта. Целиакия
- Аутоиммунные поражения печени
- Неврологические аутоиммунные заболевания
- Аутоиммунные эндокринопатии
- Аутоиммунные заболевания кожи
- Заболевания легких и сердца
- Иммунная тромбоцитопения
- Онкомаркёры
- Микроэлементы
- Алюминий
- Барий
- Бериллий
- Бор
- Ванадий
- Висмут
- Вольфрам
- Галлий
- Германий
- Железо
- Золото
- Йод
- Кадмий
- Калий
- Кальций
- Кобальт
- Кремний
- Лантан
- Литий
- Магний
- Марганец
- Медь
- Молибден
- Мышьяк
- Натрий
- Никель
- Олово
- Платина
- Ртуть
- Рубидий
- Свинец
- Селен
- Серебро
- Стронций
- Сурьма
- Таллий
- Фосфор
- Хром
- Цинк
- Цирконий
- Исследование структуры почечного камня
- Исследования мочи
- Клинический анализ мочи
- Биохимический анализ мочи
- Исследования кала
- Клинический анализ кала
- Биохимический анализ кала
- Исследование спермы
- Светооптическое исследование сперматозоидов
- Электронно-микроскопическое исследование спермы
- Антиспермальные антитела
- Диагностика инфекционных заболеваний
- Вирусные инфекции
- Бактериальные инфекции
- Грибковые инфекции
- Паразитарные инфекции
- Стрептококковая инфекция
- Цитологические исследования
- Гистологические исследования
- Онкогенетические исследования
- Цитогенетические исследования
- Генетические предрасположенности
- Образ жизни и генетические факторы
- Репродуктивное здоровье
- Иммуногенетика
- Резус-фактор
- Система свертывания крови
- Болезни сердца и сосудов
- Болезни желудочно-кишечного тракта
- Болезни центральной нервной системы
- Онкологические заболевания
- Нарушения обмена веществ
- Описание результатов генетических исследований врачом-генетиком
- Фармакогенетика
- Система детоксикации ксенобиотиков и канцерогенов
- Определение пола плода
- Резус-фактор плода
- Наследственные заболевания
- Наследственные болезни обмена веществ
- Обследование новорождённых для выявления наследственных болезней обмена веществ
- Дополнительные исследования (после проведения скрининга и консультации специалиста)
- Определение биологического родства: отцовства и материнства
- Определение биологического родства в семье: отцовства и материнства
- Исследование качества воды и почвы
- Исследование качества воды
- Исследование качества почвы
- Диагностика патологии печени без биопсии: ФиброМакс, ФиброТест, СтеатоСкрин
- Расчётные тесты, выполняемые по результатам СтеатоСкрина без взятия крови
- Дисбиотические состояния кишечника и урогенитального тракта
- Общая оценка естественной микрофлоры организма
- Исследование микробиоценоза урогенитального тракта
- Фемофлор: профили исследований дисбиотических состояний урогенитального тракта у женщин
- Специфическая оценка естественной микрофлоры организма
- Бланк результатов исследования на английском языке
- Кровь
- Моча
- Кал
- Спермограмма
- Гастропанель
- Эндоскопия
- Функциональная диагностика
- УЗИ
- Исследования, которые мы не делаем
- Новые тесты
- Получение результатов
- Дозаказ исследований
- Услуга врача консультанта
- Профессиональная позиция
- Венозная кровь для анализов
- Онкомаркеры.
Взгляд практического онколога. Лабораторные обоснования. - Тестостерон: диагностический порог, метод-зависимые референсные значения
- Лабораторная оценка параметров липидного обмена в ИНВИТРО
- Липидный профиль: натощак или не натощак
Cтоимость анализов указана без учета взятия биоматериала
Описание
Метод определения Хемилюминесцентный иммуноанализ
Исследуемый материал Сыворотка крови
Доступен выезд на дом
Онлайн-регистрация
Иммуноглобулин Е общий отражает суммарное количество иммуноглобулинов класса IgE в сыворотке крови.
Синонимы: Анализ крови на иммуноглобулин Е.
Immunoglobulin E; Quantitative IgE.
Краткое описание исследования IgE общий
Определение этого показателя особенно важно для диагностики одного из основных видов аллергии − атопии.
Атопия − врожденная склонность к чрезмерной продукции IgE антител. Атопические нарушения включают сезонные аллергические риниты (сенная лихорадка), астму и атопическую экзему. IgE, сравнительно с другими классами иммуноглобулинов, присутствуют в сыворотке крови в минимальных количествах. Период полувыведения их из крови составляет 2-5 суток. Синтез IgE начинается уже во внутриутробном периоде, уровень общего IgE у детей приближается к значениям, обычно определяемым у взрослых, после десяти лет. Одна из функций IgE связана с участием в обеспечении противогельминтного иммунитета (высокий уровень этих антител наблюдается при паразитозах).
Что может повлиять на уровень IgE общего в крови
У людей с аллергическими проявлениями часто (но не всегда) отмечается повышение уровня общего IgE в крови.
Величина этого показателя только в целом коррелирует с клиническими проявлениями аллергии. У пациентов с высокими концентрациями общего IgE обычно выявляется чувствительность к разным специфическим аллергенам.
Часть пациентов с клиническими проявлениями аллергии и выявленным присутствием специфичных IgE могут иметь уровень общего IgE в пределах референсных значений.
Исследование суммарного содержания IgE рекомендуют проводить во всех пробах, в которых проводится определение уровня специфических IgE, для исключения вызывающих сомнение результатов вследствие неспецифического связывания, обусловленного очень высоким содержанием общего IgE. У детей до одного года уровень IgE обычно менее 15 Ед/л; выявление повышенного содержания общего IgE в этом возрасте с большой вероятностью свидетельствует о склонности к аллергии.
С какой целью проводят исследование на IgE общий
Основное применение данного теста в лабораторной диагностике связано с участием IgE в аллергических реакциях, а также для оценки риска развития аллергических заболеваний у детей, чьи родственники имеют аллергопатологию.
Кроме того, тест применяют в выявление первичных иммунодефицитов с преимущественным нарушением синтеза антител.
Пределы определения: 25-10000 МЕ/мл
Подготовка
Правила подготовки к исследованию на IgE общий
Предпочтительно взятие крови проводить утром натощак, после 8-14-часового периода ночного голодания (воду пить можно). Допустимо днем через 4 часа после последнего приема пищи (детям – перед очередным кормлением). Отмена антигистаминных препаратов не требуется.
Показания к назначению
В каких случаях проводят анализ крови на IgE общий:
- гельминтозы;
- аллергические заболевания: атопический дерматит, экзема, пищевая и лекарственная аллергии.
Интерпретация результатов
Интерпретация результатов исследований содержит информацию для лечащего врача и не является диагнозом. Информацию из этого раздела нельзя использовать для самодиагностики и самолечения. Точный диагноз ставит врач, используя как результаты данного обследования, так и нужную информацию из других источников: анамнеза, результатов других обследований и т.
д.
Единицы измерения: МЕ/мл
Референсные значения
|
Возраст |
IgE, МЕ/мл |
|
1-12 месяцев |
<15 |
|
1-5 лет |
<60 |
|
6-9 лет |
<90 |
|
10-15 лет |
<200 |
|
>16 лет |
<100 |
Трактовка результатов исследования на IgE общий
Повышение значений
Аллергические заболевания:
- Бронхиальная астма.
- Астматический бронхит.
- Поллиноз.
- Крапивница.
- Атопический дерматит.
- Отек Квинке.
- Анафилактический шок.
- Сывороточная болезнь.
- Синдром Лайелла.
- Синдром Стивенса-Джонсона.
- Лекарственная аллергия.
- Пищевая аллергия.
Другие причины:
- Синдром Вискотта-Олдрича.
- IgЕ-миелома.
- Глистные инвазии.
- Паразитарные инфекции.
- Синдром гипериммуноглобулинемии Е.
Вопросы
и ответы
{{{this.
PREVIEW_TEXT}}}
Вам помог ответ на вопрос?
{{/each}}В этом разделе вы можете узнать, сколько стоит выполнение данного исследования в вашем городе, ознакомиться с описанием теста и таблицей интерпретации результатов. Выбирая, где сдать анализ «IgE общий (Иммуноглобулин Е общий, IgE total)» в Москве и других городах России, не забывайте, что цена анализа, стоимость процедуры взятия биоматериала, методы и сроки выполнения исследований в региональных медицинских офисах могут отличаться.
Рисунок 3 из доклада EUFOREA «Дебаты о будущем ринологии».
- DOI:10.4193/Rhin17.221
- Идентификатор корпуса: 4741805
@article{Fokkens2017RhinologyFD,
title={Дискуссии о будущем ринологии, отчет EUFOREA.
},
author={Wytske Йоханна Фоккенс, Клаус Бахерт, Мануэль Берналь-Спрекельсен, Жан Буске, Мишель Джанджи, Алехандро Доренбаум, Дорна Хакими-Мехр, Стюарт Хендри, Клэр Хопкинс, Андреас Лениг, Леда П. Маннент, Д. Муха, Метин Онерчи и Бенуа Пугин и Санна Катриина Топпила-Салми, Пол Дж. Роу, Свен Ф. Сейс, Сьюзен Стимсон, Агнешка Стшембош и Питер В. Хеллингс},
журнал={Ринология},
год = {2017},
объем={55 4},
страницы={
298-304
}
} - W. Fokkens, C. Bachert, P. Hellings
- Опубликовано в 2017 г.
- Медицина
- Ринология
Первые дебаты о будущем ринологии были проведены в Брюсселе в декабре 2016 г. Обучение аллергии и заболеваниям дыхательных путей). Целью этих дебатов является доведение новых разработок в области ринологии до сведения медицинского, парамедицинского и пациентского сообщества в весьма убедительном и сбалансированном контексте. Впервые в ринологии научный обмен между коллегами с ключевыми экспертами в области ринологии и ключевых медицинских…
Просмотр в PubMed
rhinologyjournal.
comОбсуждение будущего ринологии в 2017 г. по версии EUFOREA: Новые методы лечения и хирургические решения в ринологии
- W. Fokkens, B. Pugin, P. Hellings
ЛОР-Великобритания ; официальный журнал Нидерландского общества оториноларингологии и шейно-лицевой хирургии
- 2018
Темы для обсуждения, представленные здесь, включают: i) Фактические данные по АИТ в реальном мире — что это нам дает?, ii) Носовые раковины в качестве терапевтической цели у пациентов с назальными симптомами, вызванными носовыми раковинами, и iii) уроки биологических препаратов при астме для ЛОР-врачей.
Хронический риносинусит с полипозом носа: роль персонализированной и интегрированной медицины.
Предварительные результаты обнадеживают, несмотря на то, что необходимы четко установленные показания, критерии ответа, продолжительности и безопасности, и это персонализированное лекарство может быть плодотворно интегрировано с препаратами золотого стандарта, такими как интраназальные кортикостероиды.
2. ДОКАЗАТЕЛЬСТВА ИЗ РЕАЛЬНОГО МИРА В AIT — ЧТО ЭТО ДАЕТ НАМ?
- Б. Пугин, К. Бахерт, П. Хеллингс
Медицина
- 2019
Дебаты о будущем ринологии — это уникальная инициатива, ориентированная на клиницистов, организованная Европейским форумом исследований и образования в области аллергии и заболеваний дыхательных путей (EUFOREA), направленная на снижение распространенности и бремени хронических респираторных заболеваний. болезни.
Пошаговый подход к внедрению иммунотерапии аллергенами у пациентов с аллергическим ринитом и астмой в повседневной практике в Бельгии: заявление BelSACI-Abeforcal-EUFOREA
Необходим поэтапный и целостный подход для более эффективного внедрения МСИТ в реальных условиях в Бельгии.
Инвертированная папиллома на фоне двустороннего полипоза ринозинусита с вязким муцином (клинический случай)
- R. M. Pestova, E.
E. Savel’eva, L. Aznabaeva, R. Sharipov Medicience
2020202020204111111111111111111111111111111111111111111118. 2018 MENCINITY
Creative Surger
Данные риноцитограммы позволяют предположить этиологию внутриклеточного типа инфекции в эпителиоците и патогенез инвертированной папилломы в конкретном случае, а точное выполнение диагностического алгоритма с гистологической проверкой всего удаленного материала позволяет идентифицировать новообразование полости носа даже в сложных случаях.
Оценка погрешности измерений крючковидного отростка и средней носовой раковины в данных спиральной компьютерной томографии
- Нечипоренко А., Решетник В., Алексеева В., Юревич Н., Назарян Р., Гаргин В.
Медицина
2019 Международная научно-практическая конференция IEEE «Проблемы инфокоммуникаций, науки и технологий» (PIC S&T)
- 2019
, носовые раковины) по данным компьютерной томографии.
Обеспечение лучших результатов для пациентов за счет основных исходов, измерения доказательств и участия пациентов.
- W. Fokkens
Медицина
Ринология
- 2018
Значительная часть европейского населения имеет более или менее выраженное искривление носовой перегородки и резкие признаки резкого контрастирования перегородки носа септопластика с или без операции на носовых раковинах.
МЕТОД КОМПЛЕКСНОЙ ОЦЕНКИ МОРФОЛОГИЧЕСКОЙ СТРУКТУРЫ КОМПОНЕНТОВ остиомеатального комплекса, нижней стенки верхнечелюстной и лобной пазух.
- V. Alekseeva, A. S. Nechiporenko, A. Lupyr, N. Yurevych, V. Gargin
Medicine
WiaDomosci Lekarskie
- 2020
. к гиповентиляции ПНС и, как следствие, к воспалительным процессам в них.
Существующие и разрабатываемые биологические методы лечения аллергического ринита и хронического риносинусита
Целью этого обзора является представление самых последних данных о существующих и разрабатываемых биологических препаратах лечения аллергического ринита и хронического риносинусита и обсуждение их возможного внедрения в клиническую практику.
Euforea Подход к точному медицине при респираторных заболеваниях
, показывающий 1-10 из 49 ссылок
Sort Byrelevancemost, повлиявшие на документы
European Position Daper на риносинозите и Nasal Polyps 2020.
- W. Fokenus и Nasal Polyps 2020.
- W. Fokenus и Nasal Polyps 2020.
- W. Fokenus и Nasal Poly. Stjarne
Медицина
Ринология
- 2020
Европейский документ с изложением позиции по риносинуситу и назальным полипам 2020 является обновлением аналогичных документов, основанных на фактических данных, опубликованных в 2005 и 20122 годах в таких обширных областях, не охватываемых EPOS7 и 2 как педиатрический CRS и хирургия носовых пазух.
Позиционирование принципов прецизионной медицины в лечении аллергического ринита и хронического риносинусита – Заявление EUFOREA-ARIA-EPOS-AIRWAYS ICP
- P.
Hellings, W. Fokkens, J. Bousquet Medicine
- 0 Allergy
- 2017
Цель настоящего документа состояла в том, чтобы предложить консенсус относительно положения и постепенного внедрения принципов ПМ в существующие алгоритмы лечения взрослых при аллергическом рините (АР) и хроническом риносинусите (ХРС).
Европейский позиционный документ по риносинуситу и назальным полипам, 2012 г.
Европейский позиционный документ по риносинуситу и назальным полипам, 2012 г. является обновленной версией аналогичных документов, основанных на фактических данных, опубликованных в 2005 и 2007 гг., и содержит главы, посвященные определениям, классификации и схемам лечения, основанным на доказательства предлагаются.
Неконтролируемый аллергический ринит и хронический риносинусит: где мы находимся сегодня?
- П. Хеллингс, В. Фоккенс, Дж.
Буске Медицина
Аллергия
- 2013
Этот обзор является инициативой ЛОР-секции EAACI совместно с экспертами ARIA и EPOS, которые сочли необходимым предоставить всесторонний обзор современного состояния дел. контроля над воспалением верхних дыхательных путей и подчеркивая неудовлетворенные потребности в этой области.
Интраназальные стероиды по сравнению с плацебо или отсутствием вмешательства при хроническом риносинусите.
Оценивались эффекты интраназальных кортикостероидов у людей с хроническим риносинуситом, качество жизни, связанное со здоровьем (HRQL), тяжесть заболевания, о которой сообщали пациенты, и самое частое нежелательное явление — носовое кровотечение.
Эндотипическое лечение хронических заболеваний верхних дыхательных путей
В этом обзоре представлен всесторонний обзор современного состояния эндотипов, биомаркеров и таргетных методов лечения хронических воспалительных заболеваний носа и околоносовых пазух.

Короткий курс пероральных стероидов в качестве дополнительной терапии хронического риносинусита.
Короткий курс пероральных кортикостероидов в качестве дополнительной («дополнительной») терапии у людей с хроническим риносинуситом, которые уже получают стандартное лечение, и через 30 дней после начала лечения у пациентов, получавших пероральные стероиды и антибиотики.
Европейский симпозиум по прецизионной медицине при аллергии и заболеваниях дыхательных путей: доклад симпозиума парламента Европейского союза (14 октября 2015 г.)
- A. Muraro, W. Fokkens, P. Hellings
Medicine
- 0 Allergy1
- 2016
Внедрение прецизионной медицины в клиническую практику может способствовать остановке эпидемии аллергии и хронических заболеваний дыхательных путей.
Пероральные стероиды и доксициклин: два разных подхода к лечению полипов носа.

- W. Fokenus и Nasal Polyps 2020.


Взгляд практического онколога. Лабораторные обоснования.
},
author={Wytske Йоханна Фоккенс, Клаус Бахерт, Мануэль Берналь-Спрекельсен, Жан Буске, Мишель Джанджи, Алехандро Доренбаум, Дорна Хакими-Мехр, Стюарт Хендри, Клэр Хопкинс, Андреас Лениг, Леда П. Маннент, Д. Муха, Метин Онерчи и Бенуа Пугин и Санна Катриина Топпила-Салми, Пол Дж. Роу, Свен Ф. Сейс, Сьюзен Стимсон, Агнешка Стшембош и Питер В. Хеллингс},
журнал={Ринология},
год = {2017},
объем={55 4},
страницы={
298-304
}
}
E. Savel’eva, L. Aznabaeva, R. Sharipov
Hellings, W. Fokkens, J. Bousquet
Буске
