Что делать если зуб сломал – Сломал зуб что делать в первую очередь
Что делать, если сломался зуб
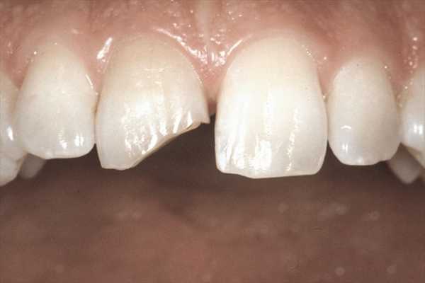
Наши зубы прочны, но не застрахованы от разрушения. Что можно предпринять, если сломалась половина зуба или сломался коренной зуб? Стоматология сегодня располагает множеством технологий решения данной проблемы. Выбор варианта зависит от того, виден при улыбке дефект или травмирован жевательный зуб, от бюджета и эстетической составляющей результата.
Диагностика
Единственный вариант при разрушении зуба – визит к стоматологу.
При диагностике важно определить степень разрушения и возможность сохранения остатков тканей. Для принятия решения пользуются результатами рентгенограммы, которая покажет:
- Повреждён ли корень;
- Имеется ли смещение и изменения окружающих тканей;
- Направление перелома.
Виды переломов зуба
Поперечный перелом:
- При сломанной коронке зуб легко наращивается;
- Поврежденную пульпу удаляют и проводят восстановление на основе корня;
- Если перелом возле корня, то устанавливают штифт.
Продольный перелом – сложная проблема, так как штифт использовать нельзя. В этом случае возникают проблемы с диагностикой. Такой зуб, как правило, удаляют.
Косые и оскольчатые переломы аналогичны продольным. При переломе корня диагностика не вызывает затруднений – пациент чувствует болезненность при смыкании челюсти, откусывании и пережевывании пищи. Количество трещин покажет рентген.
Если сломался зуб под коронкой, необходимо определить состояние корня:
- Если корневая система не повреждена, можно использовать культевую вкладку;
- Если в корне идет процесс гниения, то рекомендуется удаление зуба.
Лечение переломов зуба
- Перед выбором метода лечения проводится рентгеновское обследование.
- При небольших сколах восстановление проводится композитными материалами.
- При травмировании корня и вертикальных переломах зуб удаляют, а пациенту предлагают установку протеза.
- Если сломался зуб под корень – ставят коронку из металлокерамики, идентичную натуральному зубу.
- Если ломается под корень мертвый зуб, устанавливают коронку или имплант.
- При переломе жевательных зубов используется микропротезирование со штифтами – титановыми штырьками, на которых крепится коронковая часть и коронка.
- Протезы могут быть установлены на микрозамках.
Если сломался передний зуб, практикуется:
- Установка виниров из керамики или композитного материала.
- Установка ультраниров – тонких пластинок при минимальной обточке зубов.
- Установка люминиров. Метод не требует обточки зуба. Накладки изготавливают из очень прочного материала, срок их службы превышает 20 лет.
Использование вкладки оправдано, если откололся большой кусок зуба. При этом они незаметны, и отличаются долговечностью.
Советы стоматолога
- Если откололась часть переднего зуба – устанавливают виниры, ультраниры, люминиры или циркониевые коронки.
- Если отколот большой кусок зуба, ставят коронку или накладку (на жевательные зубы).
- Если откололся зуб мудрости – скорее всего, стоматолог посоветует удалить его.
- Если откололся молочный зуб, используют композитные материалы или виниры, чтобы предотвратить распространение кариеса.
- При небольшом сколе можно использовать пломбу.
- Если откололся мертвый или пломбированный зуб, используют вкладки или ставят на штифт под коронку.
chudostom.ru
Как спасти сломанный зуб | Стоматология Совершенство

Что делать если сломан зуб, как восстановить и спасти сломанный зуб
Сломанный зуб – относительно редкое явление на первый взгляд простого обывателя, однако, согласно статистике, к стоматологам с такой проблемой обращаются довольно часто. Самыми распространенными причинами переломов зубов являются сильные травмы во время занятий экстремальными видами спорта, вследствие попадания в ДТП, участия в драках.
Виды переломов зубов
При переломе может повреждаться коронковая часть зуба или его корень. Коронка зуба может ломаться с повреждением пульпы или с сохранением ее целостности. Перелом корня зуба может быть продольным, поперечным и косым. Больше всего переломам подвержены центральные резцы верхней челюсти, то есть передние зубы.
Можно ли восстановить сломанный зуб? В большинстве случаев это возможно, однако окончательный ответ на этот вопрос сможет дать лишь стоматолог после осмотра и оценки степени повреждения тканей зуба.
Что делать, если вы сломали зуб?
Если сломан передний зуб, зуб сломан наполовину или под корень, то первое, что нужно сделать, — обратиться к стоматологу. Достижения современной стоматологии позволяют восстановить сломанный передний зуб, независимо от того, повреждена ли только его коронковая часть или сломан корень зуба. Восстановление тканей зуба выполняется одинаково успешно и у взрослых пациентов, и в тех случаях, когда зуб сломал ребенок.
Как восстановить сломанный зуб?
Восстановление сломанного зуба выполняется следующими методами:
- При частичном переломе применяют наращивание сломанного зуба. Для этого используют композитные светоотверждающие материалы. Реконструкция зуба с помощью наращивания (пломбирование) позволяет не только восстановить его первоначальный вид, но и придать коронке зуба желаемую форму. Таким способом можно восстановить сломанный передний зуб за один визит к стоматологу, если повреждена его незначительная часть.
- Реконструкция с помощью виниров, вкладок. Также применяется в тех случаях, когда зуб поврежден незначительно. Использование вкладок и виниров позволяет эффективно восстановить эстетичность сломанного зуба с максимальным воссозданием оттенка, идентичного натуральной зубной эмали.
- Реконструкция с использованием штифтов. Так восстанавливают зуб при более значительном дефекте коронки. После укрепления корня зуба штифтом с помощью композитов восстанавливают его коронковую часть.
Что делать, если сломан корень зуба?
В тех случаях, когда зуб сломан под корень, нередко единственное, что можно сделать, — это удалить его. Удаление сломанного зуба чаще всего проводится при продольных и косых переломах, так как корень зуба при этом уже не сможет выполнять функцию опоры при попытке восстановления на штифте. В таких ситуациях зуб удаляют, после чего выполняют его протезирование.
Наши услуги
Специалисты стоматологии «Совершенство», расположенной на ул.Раменская г.Санкт-Петербург, подберут для вас самый оптимальный способ восстановления сломанного зуба, а также выполнят любой вид лечения и протезирования профессионально, быстро и безболезненно.
Что делать если сломался зуб?
Сломанный зуб – довольно частая причина обращения к стоматологу. Подобная ситуация может возникнуть в любом возрасте и вызвать, как минимум, дискомфортные ощущения.
Незамедлительное обращение к врачу должно стать обязательной мерой, невыполнение которой может привести к достаточно серьезным последствиям. К примеру: инфицирование пульпы, болевой синдром, деформация корней, повышение чувствительности десен, возникновение кист и прочее.
Что является причиной поломки зубов?
Причинами поломки зубов могут быть как внешние, так и внутренние факторы:
- Механическое воздействие – любая травма, неосторожное обращение с твердой пищей (раскалывание орехов, щелканье семечек), выполнение некоторых нелепых маневров (открывание зубами пивных бутылок и прочее).
- Некачественная работа врача – неграмотно пролеченные зубы могут впоследствии крошиться и ломаться.
- Незалеченный вовремя кариес может постепенно разрушить зубную ткань и даже корень зуба, не оставив возможности для восстановления живого элемента.
- Из причин, влияющих на разрушение зубной ткани изнутри, можно назвать недостаток кальция или переизбыток фтора в организме, гормональные изменения (период беременности), хронические заболевания (сахарный диабет, артрит).
Как избежать поломки зубов?
В первую очередь надо внимательно относиться к своему организму. Зачастую внутренние изменения проходят совершенно незаметно для человека, и только со временем мы начинаем принимать какие-то меры, когда наши зубы, к сожалению, уже начинают ломаться. И, разумеется, не стоит ставить эксперименты на собственных зубах, соревнуясь в их крепости.
Сбалансированное питание позволит наполнить организм нужным количеством витаминов и минералов, необходимых для строительства новых клеток. Если этой меры недостаточно, можно использовать специализированные витаминные комплексы.
Если неприятности избежать не удалось
Для восстановления поломанных зубов применяют прямые и непрямые методы.
- Прямой метод восстановления целостности зуба является самым быстрым и щадящим. Если вы сломали зуб, его можно нарастить. Наращивание выполнятся современными пломбировочными материалами, которые обеспечивают высокую прочность и эстетичность всей конструкции.
- Непрямые методы восстановления поломанного зуба подразумевают использование различных вкладок, виниров, зубных коронок, а в некоторых случаях даже и имплантное протезирование. Эффект от выполнения этих процедур сохраняется на долгие годы, а эстетические требования за счет многообразия материалов могут удовлетворить любого пациента.
Целесообразность применения того или иного метода может определить лишь квалифицированный врач. Это зависит и от количества сохраненной части зуба, и от индивидуальных особенностей организма пациента. В любом случае, поход к врачу откладывать не стоит.
Поделиться в социальных сетях
medzeit.ru
Что делать, если вам сломали челюсть или выбили зуб?

Не спешите закрывать эту страничку сразу после прочтения шокирующего заголовка. Здесь находится настоящая мини-инструкция по поведению в непредвиденных ситуациях, свидетелем или невольным участником которых вы можете стать.
Речь пойдет о сломанной челюсти и выбитом зубе — травмах, о которых вам не рассказывали в автошколе или на уроках по оказанию первой медицинской помощи.
Признаки и симптомы сломанной челюсти
«Не влезать в драку», «быстрее уносить ноги» или «дать ему в нос, как тот парень из фильма о ФСБ» – на практике эти советы действуют не всегда, и челюстно-лицевой аппарат принимает весь удар на себя.
Как понять, что челюсть сломана, кроме того, что ужасно болит и симпатичная ямочка на щеке скрылась под бордово-синей гематомой? Во-первых, успокоиться и обратить внимание на следующие симптомы:
- рот не закрывается совсем или «как-то не так», как вы к тому привыкли;
- ощущается онемение, как следствие повреждения нерва бокового отдела;
- челюсть повисла и выражение лица потеряло «глубокую осмысленность» и «печать философа» – это уже признак двустороннего перелома.
Поставить самостоятельно все и на свои места не под силу даже пластическому хирургу со стажем, так что не трогайте свою челюсть и постарайтесь вспомнить, где находится ближайшая городская больница.
По пути захватите с собой большое полотенце или кусок любой чистой ткани: при переломе челюсти наблюдается повышенное слюноотделение и кровотечение. Не стоит оставлять эти следы «битвы под Бородино» в салоне согласившегося подбросить вас до травмпункта добродушного автолюбителя.

Как помочь человеку со сломанной челюстью?
Может случиться так, что ваше участие и помощь понадобятся знакомому и не совсем человеку. Который, к тому же, окажется без сознания. И вот алгоритм ваших действий на этот случай:
- Уложите пострадавшего на бок.
- Освободите его ротовую полость от слюны и крови.
- Если из носа идет кровь, не поднимайте голову. Лучше приложите к переносице платок, смоченный в холодной воде.
- При кровотечении изо рта большим пальцем зажмите сонную артерию на поврежденной стороне.
В таком положении ваш «пациент» должен оставаться до прибытия «скорой», или транспортироваться до ближайшего отделения больницы.
Варианты лечения переломов челюсти
В травмпункте вас первым делом отправят на рентген, ведь переломы челюсти имеют обширную классификацию: прямые, осколчатые, множественные, двойные и т. д. После вынесения окончательного вердикта, хирург сделает анестезирующий укол, составит фрагменты костной ткани и зафиксирует их.
И здесь начинается самое интересное: верхнюю и нижнюю челюсть соединяют при помощи специальных шин, так что в ближайшие 3-4 недели вас ожидают овсяные каши, перетертые супчики и полное молчание.
Для фиксации челюстей существуют и аппараты без связывания, но все они громоздкие, внеротовые и причиняют человеку массу неудобств. Одним словом, соглашайтесь на обычное шинирование и морально подготовьтесь к этапу под названием «разработка окаменелостей». Потому что за 21 день «полной тишины» говорить, жевать и щелкать семечки вам придется учиться заново.
Что делать, если выбили зуб?
Что делать, если один или сразу несколько зубов телепортировались изо рта в вашу руку? Ни в коем случае не бросать ими в сердцах в обидчика, а принять во внимание нижеизложенные советы.
Задачей № 1 сейчас является создание условий для транспортировки временно отсутствующего в вашем зубном ряду «пятого элемента». Для этой цели подойдет:
- контейнер с физраствором для контактных линз, если такой имеется в бардачке вашего автомобиля;
- купленный в ближайшем супермаркете пакет с молоком;
- контейнер, сделанный своими руками из целлофана, с биологической жидкостью (слюной) или водой внутри;
- надежное место за вашей щекой — на крайний случай.
Теперь постарайтесь вспомнить, где находится ближайшее к вам «солидное» медучреждение — не фельдшерский пост с травмпунктом, а как минимум областная больница или кафедра стоматологии медицинского университета. Только в условиях стационара вам смогут произвести реплантацию, вживление «родного» зуба в поврежденные десны.

Реплантация зубов
Дальнейшая «судьба» выбитых зубов напрямую зависит от того, как скоро они, и вы вместе с ними окажетесь в руках хирурга. Доктор осмотрит «поле боя», сделает рентгеновский снимок и приступит к процедуре реплантации, которая состоит из 3-х этапов:
- Зуб обрабатывают физраствором и удаляют нерв, – при отделении от альвеолярного отростка он и так автоматически и безвозвратно «отключился от сети».
- Родной «имплант» аккуратно вставляют в лунку и прикрепляют шинами к соседним зубам.
- Время сращения (остеоинтеграции) зуба с надкостницей составляет 2-3 недели. Кусать, жевать и пользоваться в других целях в эти 15-20 дней придется другими зубами.
Если зуб шатается, как в детстве, а на рентгеновском снимке видна трещина в области корня, применяют «план В»:
- пульпу удаляют;
- пломбируют канал верхушки корня;
- части сломанного зуба соединяются при помощи штифта (стержня, который устанавливают в корневой канал зуба для его укрепления).
И напоследок информация для супергероев, которые считают, что шрамы украшают мужчину, а шатающийся зуб — не повод бежать к стоматологу. Последствиями такого мужества могут стать пульпит, зубная боль и воспаление десен.
Оставленный без лечения зуб превратится в источник инфекции, и организм будет вынужден завершить дело ваших обидчиков — вытолкнуть инородное тело наружу.
Здесь можно перефразировать пословицу «неизвестно, кому повезло больше», ведь травма зуба — не менее серьезная проблема, чем сломанная челюсть и так же требует оперативного вмешательства.
Осуществить оперативный поиск стоматологий, где проводят лечение перелома челюсти и спасение выбитых зубов, легче с нашим порталом – Mydentist.
mydentist.ru
Что делать, если сломался зуб 🚩 сломал зуб что делать 🚩 Лечение болезней
Люди часто теряются в непривычных ситуациях. При экстренных стоматологических проблемах большое значение имеет своевременность обращения к специалистам. Если сломался зуб, удалите все осколки и прополощите рот кипяченой водой или раствором ромашки. Чтобы не царапать язык и внутренние части щек, заровняйте острую часть скола подручными средствами: маленьким напильником с мелким зерном или пилочкой для ногтей. Не ждите, пока утихнет боль. Примите обезболивающее средство и быстрее отправляйтесь к врачу. Оказать квалифицированную помощь в такой ситуации сможет стоматолог. Он осмотрит полость рта, сделает рентгеновский снимок и определит степень повреждения. В зависимости от этого будет приниматься решение о дальнейшем лечении. Если отломился небольшой кусочек зуба или часть пломбы, дефект легко исправляется. Можно сравнять скол, подобрав естественный цвет с помощью современных пломбировочных материалов.Когда причиной повреждения является кариес, сначала требуется незамедлительное лечение больной полости, а только потом все косметические процедуры по восстановлению. На леченый сломанный зуб невозможно качественно поставить пломбу — после обработки пораженных тканей пустая полость станет еще больше. Следует укрепить зуб. По рентгеновскому снимку определяется состояние корня и его возможность нести дополнительную нагрузку. Если есть воспалительный процесс — канал пролечивается. Делается слепок внутренней полости корня и изготавливается индивидуальная металлическая вкладка, которая фиксируется с помощью цемента. Она имеет такую форму, которая не только укрепляет основу зуба, но и позволит качественно восстановить его утраченную часть. Если больно принимать пищу и нет видимых повреждений – зуб раскололся вертикально. Слабые ткани не выдержали нагрузки и образовалась трещина. По рентгеновскому снимку стоматолог может определить, насколько она глубока. Если скол незначительный, еще есть возможность провести полное восстановление. После всех манипуляций стоматолог обычно советует установить коронку. Они изготавливаются из металлических сплавов и комбинируются с керамикой. Современная технология протезирования позволяет изготовить коронки, не отличающиеся от вашего естественного цвета. Они сохраняют восстановленный зуб от истирания и обеспечивают полноценную жевательную функцию.www.kakprosto.ru
Что делать, если сломался зуб
Зубы удивительно тверды и прочны, но и они иногда могут покрываться трещинами или ломаться. Любые повреждения зуба – повод срочно обратиться к стоматологу. Только это поможет вам сохранить зуб.

Повреждение зуба может произойти несколькими способами:
- Укус чего-то твердого.
- Удар в лицо или в рот.
- Падение.
- Наличие пустот, которые ослабляют зуб.
Малые переломы зубов обычно не вызывают боли, но если большой кусок зуба обламывается, это обычно ощутимо. Это происходит из-за того, что нерв внутри зуба может быть поврежден. Если он будет подвергаться воздействию воздуха, горячей или холодной пищи или напитков, это может быть чрезвычайно неудобно. Боль от сломанных или треснувших зубов может быть постоянной, или же приходить и уходить. Многие люди чувствуют боль, когда они жуют жвачку, потому что при этом оказывается давление на зуб.
Треснувший зуб Треснувший зуб никак нельзя вылечить в домашних условиях. Вы должны срочно обратиться к своему стоматологу. Иногда зуб выглядит нормально, а эта боль появляется лишь только тогда, когда вы едите, или когда температура у вас во рту изменяется (потому что вы пили что-то горячее или холодное, например). Если зуб болит все время, это свидетельствует о повреждении нервов или кровеносных сосудов. Это серьезный предупреждающий знак.
Сломанный зуб
Если у Вас есть сломался зуб, обратитесь к стоматологу как можно скорее. Стоматолог выяснит, вызвано ли это наличием полости взубе, и поврежден ли нерв. Повреждение нерва обычно требует лечения корневого канала. Пока вы доберетесь до кабинета стоматолога, примите следующие меры:
- Полощите рот теплой водой.
- Надавите куском марли на кровоточивое место в течение 10 минут или до остановки кровотечения. Если это не помогает, используйте чай в пакетиках для надавливания.
- Примените холодный компресс на сломанный зуб. Это поможет уменьшить отек и облегчить боль.
- Если вы не можете добраться до своего стоматолога сразу, накройте часть зуба временным стоматологическим цементом. Вы можете найти его в аптеке.
- Примите обезболивающее.
Как стоматологи лечат повреждения зуба

Треснувший зуб Есть несколько типов переломов и повреждений зубов, каждый из которых требует различного лечения.
К ним относятся:
Малая трещина. Так называемая «линия повального увлечения». Эти поверхностные трещины, которые влияют только на внешний вид белой поверхности зуба, эмаль. Малая трещина редко нуждается в лечении. Тем не менее, врач может слегка отполировать место, чтобы сгладить любые неровности.
Треснувший зуб. Этот тип перелома включает в себя повреждение всего зуба — от жевательной поверхности и вплоть до нерва. Трещина постепенно распространяется. Трещины иногда могут быть восстановлены с помощью пломбировочного материала.
Сколотый зуб Мелкие сколы не всегда нуждаются в лечении. Стоматолог может предложить пломбирование поврежденного зуба, чтобы предотвратить дальнейшее повреждение. Стоматолог может отполировать зуб и сгладить концы скола.
Серьезные сколы. Эти повреждения достаточно глубоки, и достают до нерва. Они почти всегда вызывают зубную боль и обострение чувствительности. Как правило, разбитые части зуба кровоточат. Вы будете нуждаться в лечении корневого канала и удаления нервных окончаний и, вероятно, вам поставят коронку для восстановления нормальных функций зуба.
Разлом зуба на две части. Это означает, что зуб вертикально раскалывается на две отдельные части. Некоторые зубы, такие как задние зубы (моляры), имеют более одного корня. Поэтому стоматолог постарается сохранить один из корней, который затем будет покрыт сверху коронкой.
- Во-первых, вы будете нуждаться в лечении корневого канала.
- Во-вторых, стоматолог удалит корни, которые не могут быть сохранены.
- В-третьих, вам нужно будет установить коронку для покрытия корня и замены разрушенного зуба.
Вертикальная трещина. Эти трещины начинаются в корне зуба и идут вверх, к жевательной поверхности. Они часто болезненны, потому что область вокруг корня может быть воспалена или инфицирована. В большинстве случаев зуб приходится удалить.
Разрушение зуба, вызванное полостью. В этом случае зуб ломается или дает трещину из-за того, что внутри образовалась полость. Стоматолог оценит размеры полости и рекомендует лучший способ восстановления зуба. В некоторых случаях, если полость обширна и идет вниз до кости, зуб приходится удалить.
udoktora.net
Что делать, если ребенок сломал зуб: советы стоматологов — Моя газета

Стоматологи столичной сети клиник «32Дент» рассказали, что делать, если ребенок сломал молочный или постоянный зуб. Сложность в обоих этих случаях заключается в том, что челюсть ребенка еще продолжает формироваться, поэтому надо выбирать методы, которые при дальнейшем развитии организма не приведут к возникновению каких-либо аномалий, например, к неправильному прикусу. Новые методы лечения помогают решать эти проблемы.
Первые зубные травмы дети получают в возрасте от года до трех, то есть когда только начинают самостоятельно исследовать мир. Хотя, судя по статистике, подобные случаи все же редки. Но к 12 годам, по исследованиям социологов, уже почти треть детей как минимум один, а то и несколько раз травмируют ротовую полость. Практически всегда это верхние центральные резцы, то есть самые заметные зубы. Случается это в основном при падениях, ушибах или во время спортивных игр.
Как показывают опросы, некоторые родители довольно спокойно относятся к тому, что их ребенок потерял молочный зуб, считая, что он и так должен был когда-нибудь вывалиться. Однако такое мнение, утверждают врачи, в корне неверно. Ранняя потеря молочных зубов обязательно скажется на состоянии зубов постоянных. Кроме того, сдвинутся соседние зубы, а это приведет к неправильному прикусу, который придется исправлять уже в зрелом возрасте. И наконец, отсутствие зуба влияет на пережевывание пищи.
Раньше, когда молочные зубы у детей ломались, их удаляли или лишь герметизировали корни цементом. Теперь же стоматологи стремятся их сохранять — либо восстанавливают при помощи композитных материалов, либо ставят коронку из гипоаллергенных материалов. Еще один из современных методов – это постановка пластиковой пластинки
Благодаря новейшим технологиям сейчас стало возможно восстановить зубы, разрушенные практически под десну. Применяются методы и съемного протезирования. Но процесс этот, конечно, отличен от взрослого протезирования. Все методы направлены на то, чтобы ротовая полость ребенка в дальнейшем формировалась без нарушений.
Настоящая паника возникает у родителей, когда их ребенок травмирует постоянный зуб. Специалисты подчеркивают, что в этом случае на эффективность восстановления влияет фактор времени. Если скололся зуб и обнажился нерв, в первые часы после травмы нерв можно спасти. При этом применяются новейшие препараты, либо стоматологический лазер – современные материалы позволяют зафиксировать часть зуба на прежнем месте.
Отломившийся кусок можно поставить на прежнее место. А если он потерялся, делается точная имитация. В том случае, когда зуб вылетает полностью, его могут вставить обратно. Процесс называется реимплантация. Зуб кладут в специальный раствор, затем устанавливают в лунке и наблюдают, приживется он или нет. Но и в данном случае на счету будет каждая минута, и в таких ситуациях к стоматологу надо отправляться как можно быстрее после травмы.
«Самый сложный случай, конечно, это когда от зуба практически ничего не осталось, – говорит главный врач сети клиник «32 Дент», детский стоматолог Екатерина Воронина. – Необходимо протезирование. Но ведь зуб, как и челюсть ребенка, ещё не сформировались. Мы применяем коронки из специальных пластмасс. Они меняются каждые полгода, а когда ребенок достигает совершеннолетия, тогда ставим постоянную коронку».
При этом специалисты отмечают, что порой травмы незаметны, однако впоследствии они могут стать причинами потери зуба, так что рекомендуется хотя бы раз в полгода водить ребенка к стоматологу на профилактический осмотр.
mygazeta.com


