Паралич ноги причины – Почему возникает паралич ног и можно ли его вылечить
Почему возникает паралич ног и можно ли его вылечитьПаралич ног у большого количества людей ассоциируется с травмами и возникновением несчастных случаев.
Читать далееПочему возникает паралич ног и можно ли его вылечитьПаралич ног у большого количества людей ассоциируется с травмами и возникновением несчастных случаев.
Читать далееКак избавиться от приливов во время климакса Известно, что в 45-55 лет женщины начинают интересоваться, чем лечить приливы при климаксе,
Читать далееАвтор курсов и уроков Елена МинаковаСегодня у нас в гостях человек, которого вы знаете не понаслышке. Её приятный голос вам
Читать далееГингивопластика десны — цены операции в Москве Изменения конфигурации десен встречаются довольно часто. Эти проблемы могут носить как врожденный, так
Читать далеекак получить, сколько стоит и где сделать справку для ГИБДД в Москве Для получения прав на вождение транспортного средства обязательно
Читать далееОтзывы пациентов о центре В.И. Дикуля «Марьино» 04.06.19 Здравствуйте! Хочу оставить свой отзыв о регулярном посещении центра в Марьино. Я
Читать далееНейтрофилы — Medside.ru Читайте нас и будьте здоровы! Пользовательское соглашение о портале обратная связь Врачи Болезни Кишечные инфекции (5)Инфекционные и
Читать далееХодаковская Галина Ивановна — терапевт, гастроэнтеролог Специализация Стоимость приема — 2000 Р (2500 Р) Ведение больных с гастритами. Язвами желудка
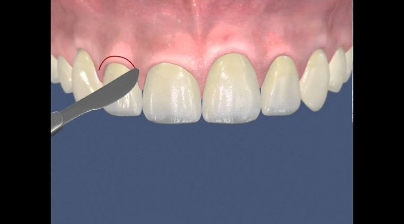
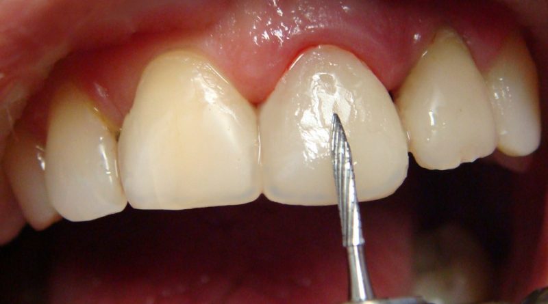
Читать далееЕсли откололся кусочек переднего зуба – что можно срочно сделать?Зачастую случается так, что внезапно появляются трещины на эмали зубов. Эта
Читать далееЛевченко Александр Александрович Работает в сети стоматологических клиник «Алёна» с 2013 года. Образование:В 2006 году окончил Волгоградский Государственный
Читать далее