Синдрома сезари: Лимфомы кожи. Синдром Сезари > Клинические рекомендации РФ (Россия) 2013-2017 > MedElement
Городская клиническая больница №31 — Пациентам в помощь. Гематологические заболевания. Введение. Часть I. Лимфомы (страница 31)
Страница 31 из 33
Грибовидный микоз (синдром Алибера-Базэна, болезнь Аушпитц)
Грибовидный микоз – это самая частая Т-клеточная лимфома. При ней страдает главным образом кожа, внутренние органы и лимфатические узлы изменяются редко и, как правило, после нескольких месяцев, а то и лет болезни. Классическая форма грибовидного микоза, которую описали в разные годы Алибер и Базэн, проявляется красными пятнами, уплотнениями и шелушением кожи. Внешне эти изменения напоминают кожный грибок, отсюда и название «грибовидный микоз». Болезнь протекает очень медленно, годами или даже десятилетиями. Общие симптомы (похудание, потливость, высокая температура) бывают очень редко, поэтому такие больные иногда ошибочно обращаются к специалисту по кожным заболеваниям, который и направляет пациента к гематологу.
Кроме классической формы существуют и другие виды грибовидного микоза. Они внешне отличаются от классической формы. Некоторые из них очень близки друг другу по лечению, течению и прогнозу (гипо- и гиперпигментационная, крупнопузырчатая формы). Другие имеют свои особенности как по лечению, так и по прогнозу (фолликулотропная, педжетоидный ретикулез, синдром Сезари, гранулематозное сморщивание кожи).
Диагноз
Чтобы поставить диагноз, необходимо взять фрагмент измененной кожи для гистологического и иммуногистохимического исследования. Если болезнь протекает долго, то можно найти опухолевые клетки и в крови методом проточной цитометрии. Только такой сложный, комплексный анализ позволяет поставить точный диагноз и провести эффективное лечение.
Чтобы узнать, не затронуты ли болезнью внутренние органы, необходимо сделать компьютерную томографию грудной клетки, брюшной полости и таза.
Лечение
Прогноз и лечение пациента во многом зависит от того, насколько болезнь распространилась по организму к моменту обращения за помощью гематолога.
Если болезнь находится только в коже и размер опухоли мал, то используют, как правило, местное лечение. Применят разные средства, начиная от простых гормональных мазей или мазей с лечебными химиопрепаратами и заканчивая такими сложными и современными методами, как облучение крови с псораленом, фотоферез, облучение всей кожи пучками электронов и другие. Более сильную терапию применяют в случаях, когда у пациента имеются опухоли во внутренних органах или болезнь перешла в более агрессивную крупноклеточную лимфому.
Фолликулотропная формаПри этой форме грибовидного микоза опухолевые клетки больше группируются вокруг волосяных луковиц, поэтому она чаще проявляется на коже шеи и головы. Кожа краснеет, возникают гнойнички, уплотнения, больного мучает сильный кожный зуд, у него могут выпадать волосы. Лечение фолликулотропной формы микоза в целом такое же, как и классической формы. Однако, поскольку опухолевые клетки лежат глубже и лечебным препаратам достигать их труднее, врач предпринимает более активные действия, такие как местное облучение или комбинированная лекарственная терапия.
При этой форме грибовидного микоза на руках и ногах больного появляются плотные пятна, которые похожи на псориаз. Они растут чрезвычайно медленно, и пациенты живут с ними многие десятилетия. Для данной лимфомы также применяют местное лечение: удаление больных кожных пятен хирургически, местные лечебные химиотерапевтические или гормональные мази, локальное облучение.
Гранулематозное сморщивание кожиЭто чрезвычайно редкий вид грибовидного микоза, который выглядит как покраснение и сморщивание кожи обычно в паху или подмышками. Развивается болезнь крайне медленно – годами или десятилетиями.
Признаки этой болезни разнообразны. У больных полностью или частично краснеет кожа, они страдают от кожного зуда, у них увеличиваются лимфатические узлы, в крови плавает большое количество опухолевых клеток. Лечение этой формы грибовидного микоза является одной из самых трудоемких, и лечебных воздействий применяют много. С успехом используют фотоферез (облучение крови специальным прибором), длительно лечат малыми, но достаточными дозами химиопрепаратов.
что такое синдром Сезари и как его лечить
Пищевой зависимостью страдает каждый пятый человек, и с каждым годом процент людей, зависимых от еды, постоянно растет. Есть несколько «симптомов», которые помогут распознать это состояние на ранней стадии.
Очень часто людям, страдающим пищевой зависимостью, помочь непросто. Для решения этой проблемы и коррекции пищевого поведения человеку приходится работать с опытными психологами, врачами, диетологами. Специалисты помогают разобраться с этой проблемой быстрее и эффективнее.У пищевой зависимости есть свои характерные признаки. К ним относятся:
- Полное отрицание существования проблемы: будь то избыток веса или его дефицит.
- Непризнание зависимости от еды при явном ее наличии.
- Непреодолимое пристрастие к определенному перечню продуктов, зацикленность на конкретном рационе или полный отказ от еды под любым предлогом.
- Беспокойство при одной мысли о еде: возбуждение при виде еды или отвращение от нее.
- Гнев, если нет возможности поесть или съесть столько, сколько хочется, либо то же состояние при попытках окружающих предложить еду.
- Быстрое употребление еды и нетерпеливость, если еду долго не подают, например, в кафе или в гостях.
- Ощущение чувства вины после употребления еды. Это самый яркий признак того, что человек зависим от пищи.

- Депрессия и пребывание в угнетенном состоянии, резкая смена настроения, тревожность, нервозность, беспокойный сон и другие невротические состояния.
Виды пищевой зависимости:
Переедание
Это самый распространенный вид пищевой зависимости. При такой зависимости человек безудержно ест либо все подряд, либо какие-то определенные продукты или блюда. Порции у переедающих больше, чем тот объем, который в состоянии переварить желудок.У переедающих избыточный вес, и масса тела, как правило, постоянно увеличивается. Нередко человек сам не осознает свою проблему, считая, что у него просто хороший аппетит.
Очень часто переедающие сами искренне верят в то, что на самом деле они едят мало, и уверяют окружающих в этом. Причину своего лишнего веса они часто объясняют заболеваниями, гормональным сбоем и прочими медицинскими показателями.Переедание — это расстройство, при котором человек испытывает непреодолимое желание есть. Как и любая другая зависимость от еды, переедание — это способ справиться с напряжением, вызванным неприятными чувствами. Человек, страдающий пищевой зависимостью, ест не тогда, когда голоден, а когда ему грустно, одиноко, он расстроен или огорчен.
Булимия
Страдающие булимией, осознают, что едят много, но они не способны что-либо с этим сделать. Их постоянно тянет к еде, они не могут вовремя остановиться, отказаться от еды, когда наелись.Отличие их от тех людей, которые переедают, в том, что страдающие булимией хотят иметь красивую фигуру и поэтому стремятся поскорее избавиться от съеденного. Они часто принимают слабительные средства или вызывают у себя рвоту, чтобы освободить желудок от того, что недавно съели. Когда булимики регулярно вызывают рвоту, вес у них стремительно падает и ухудшается состояние здоровья и ЖКТ.
Анорексия
Это вариант пищевой зависимости, который заключается в частичном или полном отказе от еды. Анорексики едят очень мало или не едят вовсе.
Они могут отказываться либо от определенных продуктов, которые, как им кажется, им вредят, либо от еды в целом. Люди часто доводят себя до дистрофии и истощения, которые лечатся только в стационарных условиях.
Симптомы пищевой зависимости
Навязчивые мысли о еде
Если вы в течение дня постоянно думаете о еде. Если вы недавно поели, стали заниматься своими делами, но у вас возникают мысли: «А не попить ли мне чаю? «Хочу чего-нибудь сладенького», «Кажется, я не наелась (не наелся), «Когда уже будет обед!?», и так далее.Отсутствие самоконтроля во время приема пищи
Если вы употребляете пищу, не задумываясь, что вы едите, когда и сколько. Если вы не можете остановиться во время трапезы. Понимаете, что едите многовато, и надо бы с этим что-то делать, но не делаете.Прием большого количества пищи при отсутствии чувства голода
Вы едите тогда, когда вам просто пришла мысль: «А не съесть ли мне чего-нибудь?» У вас нет голода, физиологической потребности в еде.Отвращение к себе, чувство вины после еды
Если вы часто или каждый раз после еды испытываете досаду, сожаление, жалость к себе, обиду, разочарование в самой себе (самом себе) от того, что вы опять съели слишком много, или не ту здоровую еду, которую хотели бы, либо вините себя, что вообще поели.Приступы обжорства в стрессовых ситуациях, в состоянии грусти, депрессии, скуки
Если вы прямо-таки набрасываетесь на еду, и у вас нет сил остановиться, вы не можете успокоиться, не насыщаетесь, у вас нет чувства удовлетворения, хотя съели уже много.Еда используется как средство утешения
Если вы именно утешаетесь пищей, ориентируетесь на вкусовые ощущения, за счет еды ищете приятных эмоций, удовлетворения своего эмоционального состояния, а не физиологической потребности организма.Приступы переедания до дискомфортного состояния переполненности
После еды вам тяжело, сложно что-либо делать, вы не способны выполнять какую-то работу, действия.
Приемы пищи в одиночестве, желание скрыть от других количество съеденного
Этот признак относится к вам, если вы сознательно стараетесь есть там и тогда, когда вас никто не видит. Это могут быть перекусы между основными приемами пищи, избегание совместного приема пищи в семье или на работе.Причины пищевой зависимости:
Причины пищевой зависимости в том, что еда бессознательно представляется нам беспроигрышным средством утешения, релаксации, успокоения. И эта модель пищевого поведения сложилась в течение жизни, исходя из детского опыта, когда принятие пищи ассоциировалось с любовью и заботой мамы (бабушки, близкого человека). Так как с молоком матери младенец получает не только питание «физическое», но и «психологическое», в виде телесного контакта, эмоциональной близости, чувства безопасности и удовольствия, то чувство насыщения тесно связано с ощущением спокойствия и безопасности. Также питание для ребенка связано с ощущением, что его любят. Быть накормленным — значит быть любимым.
Также причиной пищевой зависимости является привычная, постепенно сформировавшаяся модель пищевого поведения, которая помогает справиться с тревогой и напряжением. Эта привычка заедать стресс достаточно распространена.

Еще одной из причин пищевой зависимости является то, что в семье человеку запрещалось выражать свои чувства, особенно негативные. Грусть, недовольство, обиды подслащивались очередным маминым пирогом, который был приготовлен «с любовью». И отказаться от него, значит — расстроить маму и почувствовать себя плохим. Это вызывает сильный внутренний конфликт и образует замкнутый круг в отношениях с едой и мамой.
Лечение пищевой зависимости
Смысл лечения, освобождения от пищевой зависимости, заключается в том, чтобы скорректировать пищевое поведение и перестать справляться с тревогой и другими негативными чувствами деструктивными способами.Лечение пищевой зависимости — процесс длительный, трудоемкий, поэтому его лучше проходить при поддержке специалистов.
Ирина Тарарина-Лепихина, кризисный психолог,
телесно ориентированный психотерапевт,
эксперт по пищевой зависимости
2.5 Иные диагностические исследования Клинические рекомендации Синдром Сезари (утв. Минздравом России)
При обследовании пациентов с синдромом Сезари проводится стадирование заболевания согласно рекомендациям ISLE-EORTC (Приложение Г1)[9].
— Рекомендуется всем пациентам для верификации диагноза синдрома Сезари, а также при необходимости контроля эффективности терапии, патолого-анатомическое исследование биопсийного (операционного) материала кожи [7, 11]
Уровень убедительности рекомендаций C (уровень достоверности доказательств — 5)
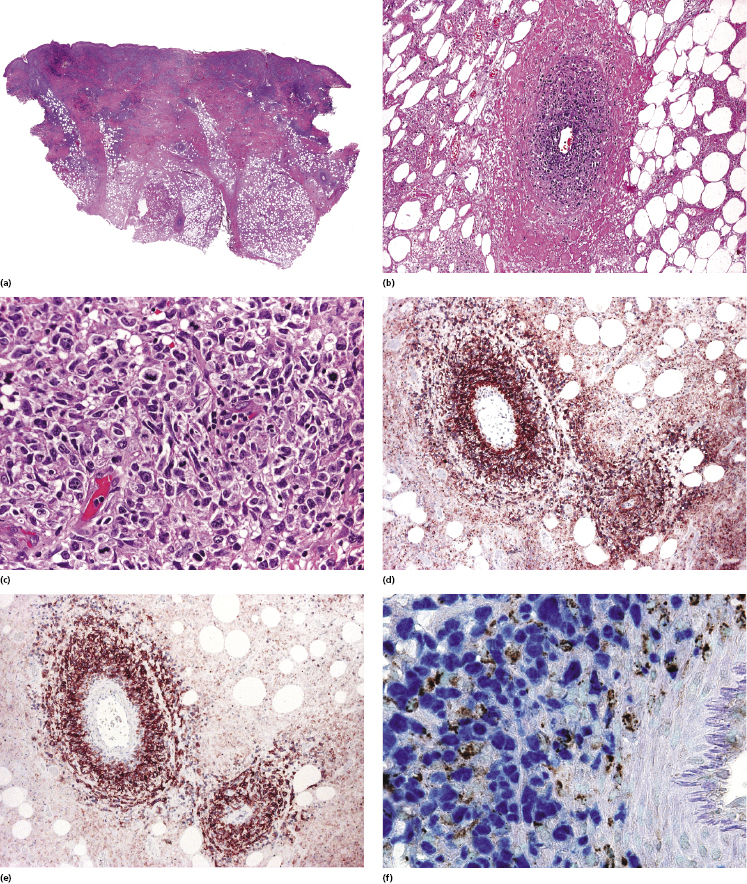
Комментарии: Наиболее часто встречающимся морфологическим признаком синдрома Сезари является поверхностный периваскулярный или полосовидный инфильтрат из крупных лимфоцитов, которые могут проявлять признаки атипии (крупные, гиперхромные или конволютивные ядра) [12, 13]. Может присутствовать эпидермотропизм [13, 14]. Тем не менее, при синдроме Сезари гистологические признаки, позволяющие установить диагноз, часто отсутствуют. Гистологические признаки синдрома Сезари отсутствовали в 39% образцов, полученных от 41 пациента [13].
В другом исследовании эпидермотропизм отсутствовал или был минимально выражен у 19 из 31 пациентов с синдромом Сезари [15].
— Рекомендуется при выявлении во время ультразвукового исследования признаков поражения лимфатических узлов патолого-анатомическое исследование биопсийного (операционного) материала лимфоузла [10]
Уровень убедительности рекомендаций C (уровень достоверности доказательств — 4)
Комментарии: Для проведения биопсии выбирают лимфатические узлы размером 1,5 см и более с плотной, неравномерной консистенцией (гистологическое исследование, проточная цитометрия, определение реарранжировки гена ТКР), биопсия выполняется врачами-специалистами с хирургической специализацией, в том числе врачом-онкологом/гематологом. Патолого-анатомическое исследование биопсийного (операционного) материала лимфоузла позволяет определить наличие специфического поражения лимфоузлов. При выявлении специфического поражения лимфатических узлов пациент направляется для дальнейшего ведения и лечения к врачу-гематологу или врачу-онкологу.
— Рекомендуется пациентам с подозрением на поражение костного мозга патолого-анатомическое исследование биопсийного (операционного) материала костного мозга [10, 19]
Уровень убедительности рекомендаций C (уровень достоверности доказательств — 4)
Комментарии: Трепанобиопсия костного мозга выполняется врачами-специалистами, владеющими методикой забора трепанобиоптата костного мозга (врачами-хирургами, врачами-гематологами или врачами-онкологами). Патолого-анатомическое исследование биопсийного (операционного) материала костного мозга позволяет определить наличие специфического поражения костного мозга. При выявлении специфического поражения костного мозга пациент направляется для дальнейшего ведения и лечения к врачу-гематологу или врачу-онкологу.
Синдром сезари (сс) — признаки, причины, симптомы, лечение и профилактика
Диагностика
Общий анализ крови пациента с подозрением на СС-патологию выявляет лейкоцитоз и повышенную концентрацию лимфоцитов CD 4+ с церебриформными ядрами – клеток Сезари.
Биохимическое исследование крови определяет увеличение уровня лактатдегидрогеназы.
Гистологическое тестирование отобранного биоптата с пораженных кожных участков фиксирует наличие инфильтрата с преобладанием в нем клеток Сезари, которые обнаруживают также в костном мозге и лимфоузлах. Кроме этого, наблюдаются повреждение базальной мембраны, очаги микроабсцессов и некроза, дистрофия клеток эпидермиса, иногда – гиперкератоз.
К наиболее перспективным методикам ранней СС-диагностики относится генотипирование с помощью полимеразной цепной реакции. Она эффективна для обнаружения клональных лимфоцитов-Т со специфическими изменениями в системе генов и хромосомных аберраций. Именно определение таких клонов служит важнейшим диагностическим критерием, отличающий СС-изменения от эритродермий, сопутствующих другим заболеваниям.
В целях повышения объективности при постановке СС-диагноза приветствуется проведение консультаций аллерголога, онколога, иммунолога.
Лечение
Терапевтическая тактика для каждого пациента подбирается лечащим врачом индивидуально в каждом конкретном случае. Она основывается на результатах диагностических тестов, наличии или отсутствии диссеминации во внутренние органы, состоянии и возрастных данных СС-больного.
На начальных этапах заболевания реализуется сдерживающая терапия. Она предусматривает использование общеукрепляющих, десенсибилизирующих, антигистаминных средств, иммуномодуляторов и энтеросорбентов. Наружно задействуют противовоспалительные мази и увлажняющие кремы.
При агрессивном СС-течении и генерализации отклонений показана системная терапия. В этих целях применяют кортикостероидные, химиотерапевтические, иммунные фармпрепараты и ретиноиды. Дополнительно назначаются сеансы ПУВА-терапии, лучевой терапии, трансплантации стволовых клеток.
Профилактика
В комплексе специфической СС-профилактики основное внимание следует уделять привлечению новейших диагностических тестов, позволяющих с большой долей вероятности идентифицировать болезнь на ранних ее стадиях.
Большое значение также имеет правильная адекватная тактика ведения СС-больных.
Литература и источники
Видео по теме:
Кожная лимфома (лимфосаркома) кошек и собак
Описание и причины
Кожная лимфома (злокачественная лимфома, лимфосаркома) – редкое злокачественное новообразование кожи собак и кошек. Лимфома (лимфосаркома) – группа новообразований, имеющая общее происхождение из лимфоретикулярных клеток.
Точные причины развития лимфосаркомы кожи у собак не определены. Кошки с лимфомой кожи обычно не содержат антител к вирусу лейкоза кошек (ВЛК), однако, в одном из исследований у 40% кошек с неэпителиотропной лимфомой был обнаружен антиген ВЛК (иммуногистохимический анализ или ПЦР диагностика).
Кожная лимфома (лимфосаркома) кошек и собак гистологически подразделяется на эпителиотропную и неэпителиотропные формы. Эпителиотропная (или эпидермотропная) лимфосаркома – подтип кожной Т-клеточной лимфомы, включает грибовидный (фунгоидный) микоз, синдром Сезари и «pagetoid reticulosis» (акральный грибовидный микоз). Неэпителиотропная лимфома собак и кошек – обычно крупно-клеточная лимфома кожи и подкожной клетчатки, она может быть как B-клеточного так и T-клеточного происхождения.
У собак, эпителиотропная лимфома кожи отмечается чаще чем неэпителиотропная, у кошек – наоборот.
Неэпителиотропная лимфома кошек и собак
Кклинические признаки и диагноз
Неэпителиотропная лимфосаркома кожи кошек и собак чаще развивается у животных пожилого возраста, половой предрасположенности не обнаружено. У следующих пород собак, может отмечаться повышенная заболеваемость неэпителиотропной лимфомой кожи: боксер, сенбернар, бассет хаунд, ирландский сеттер, кокер спаниель, немецкая пастушья собака, голден ретривер и скотч терьер.
Неэпителиотропная лимфома обычно представлена в виде множественных, твердых внутрикожных или подкожных узлов, с облысевшей и изъязвленной поверхностью. Поражения обычно генерализованные или многоочаговые. Эксфолиативная эритродермия представлена порядка 20% случаев неэпителиотропной лимфомы, зуд и вовлечение слизистой оболочки ротовой полости отмечаются редко. Иногда, поражения внешне неправильной формы (дугообразной или серповидной), единичные поражения редки – чаще мультицентровое вовлечение. Неэпитилеотропная лимфома характеризуется быстрым прогрессирующим течением с вовлечением лимфатических узлов и диссеминацией по организму.
При цитологическом исследовании неэпителиотропной кожной лимфомы – выявляются множественные неопластичесчкие лимфоциты, при патоморфологическом исследовании образцов выявляется диффузная инфильтрация злокачественными лимфоцитами дермы и подкожной клетчатки без вовлечения желез и волосяных фолликул. Ввиду прогрессивного течения заболевания, у животных должен быть проведен скрининг внутренних органов на предмет метастазирования. У собак, большинство случаев неэпителотропной кожной лимфомы имеют Т-клеточное происхождение, часто CD4 — CD8 фенотипа, в редких случаях лимфома может быть B-клеточной. У кошек, большинство случаев неэпителиотропной лимфомы кошек имеют Т-клеточный фенотип, в одном из исследований, 40% данных животных позитивны по антигену вируса лейкоза кошек (см. выше).
Лечение и прогнозы
Лечение неэпителиотропной кожной лимфомы достаточно бедно описано в современной ветеринарной литературе, обычно проводится химиотерапия несколькими агентами (пр. циклофосфамид, винкристин, L-аспарагиназа, доксорубицин + преднизолон). На фоне многокомпонентной химиотерапии у части животных можно достичь длительной ремиссии. В редких случаях единичных поражений – локальное иссечение опухоли может привести к длительной ремиссии, в том числе пожизненной. Облучение может применяться в целях паллиативного лечения, на фоне данного вида лечения происходит уменьшение объемных образований, ремиссия достаточно редка.
В целом, прогнозы при неэпителиотропной лимфоме собак и кошек осторожные, опухоль характеризуется прогрессирующим течением и вовлечением внутренних органов, среднее время после диагностики и лечения составляет 4-8 месяцев. У большинства пациентов, на фоне лечения удается улучшить качество жизни и увеличить ее продолжительность, у не большой части пациентов с неэпителиотропной лимфосаркомой кожи – может быть достигнута длительная ремиссия.
Эпителиотропная лимфома кожи
Эпителиотропная лимфома кожи собак и кошек – Т-клеточный подтип лимфомы кожи, включает в себя грибовидный микоз, синдром Сезари и «pagetoid reticulosis».
Грибовидный микоз
Клинические признаки и диагноз
Грибовидный (фунгоидный) микоз собак и кошек чаще поражает пожилых животных (средний возраст 9-12 лет), без видимой половой и породной предрасположенности. В большинстве случаев, признаки грибовидного микоза проходят через стадии эритродермии, пятен, бляшек, опухоли и диссеминации с вовлечением лимфатических узлов и иногда образованием циркулирующих клеток Сезари (лейкемическая стадия). Кожные бляшки могут быть единичными и множественными.
Кожные симптомы у собак при эпителиотропной лимфоме могут включать формирование единичных и множественных бляшек или узлов, размером от нескольких миллиметров до нескольких сантиметров в диаметре. Вероятно развитие депигментации и изъязвления слизисто-кожных соединений, генерализованная эритема, алопеция, чешуение и зуд. Иногда отмечается поражение подушечек пальцев в виде гиперкератоза, изъязвления и депигментации. У собак при эпителиотропной лимфоме достаточно часто поражается ротовая полость. Течение эпителиотропной лимфомы характеризуется хроничностью и медленным прогрессом с постепенным вовлечением лимфатических узлов и всего организма.
У кошек кожные симптомы включают зудящую эксфолиативную эритродермию с алопециями и корками. Вероятно развитие эритематозных бляшек и узлов, особенно на голове и шее.
Вовлечение слизисто-кожных соединения и ротовой полости у кошек отмечается гораздо реже чем у собак.
Цитология поражений выявляет большое количество круглых неопластических лимфоидных клеток, с плеоморфизмом базофильной цитоплазмы и плеоморфизмом вытянутых дольковых ядер. Дерматогистопатологическое исследование выявляет лихеноидные пучки плеоморфных неопластических лимфоцитов, инфильтрирующих поверхностные слои кожи и поверхность фолликулов и потовых желез. Неопластические клетки могут находиться в малых интраэпидеральных пузырьках (Pautrier’s microabscesses). У животных с эпителиотропной лимфомой должен проводиться скрининг лимфоузлов и внутренних органов на предмет их вовлечения.
Лечение и прогнозы
При единичных поражениях – хирургическое иссечение или облучение может привести животного в состояние длительной ремиссии. При генерализованной форме эпителиотропной лимфомы применяются комбинации различных химиотерапевтических препаратов, но эффективность данного вида лечения в целом достаточно низкая и длительная ремиссия достаточно редка. Предпринимались попытки терапии эпителиотропной лимфомы некоторыми другими препаратами (пр. изотретиноин, интерферон), но достоверной эффективности получено не было. Не смотря на подбор лечения, прогнозы у животных ближе к неблагоприятным, средний срок жизни после постановки диагноза эпителиотропной лимфомы составляет меньше 6 месяцев.
Синдром Сезари
Синдром Сезари – эпителиотропная Т-клеточная лимфома, характеризующаяся эритродермией (генерализованной эритемой), зудом, периферической лимфоаденопатией и наличием клеток Сезари в кожных инфильтратах и периферической крови. Гистопатологически, образцы кожи при грибовидном микозе и синдром Сезари не различимы, и поэтому ряд авторов полагает что синдром Сезари по сути является формой грибовидного микоза.
Синдром Сезари редко отмечается у кошек и собак, у животных обычно отмечается генерализованный зуд, эксфолиативная эритродермия, формирование множественных неопластических бляшек и узлов, и лимфоцитарная лейкемия.
Ввиду редкой встречаемости синдрома Сезари – лечение принято сходным с таковым при грибовидном микозе.
Pagetoid reticulosis
Pagetoid reticulosis – редкая форма эпителиотропной лимфомы собак и кошек, описано два клинических типа: локализованное поражение с доброкачественным течением и генерализованное с прогрессирующим злокачественным течением. Гистологически заболевание характеризуется инвазией эпидермиса и придатков неопластическими лимфоцитами.
У собак чаще описывается генерализованные поражения, клинически проявляется образованием эритематозных бляшек с эрозиями и язвами на слизисто-кожном соединении, ротовой полости, пальцах и животе. Ранние гистопатологические находки включают выраженный эпителиотропизм и скопление мономорфных неопластических лимфоцитов.
Валерий Шубин, ветеринарный врач, г. Балаково
Рак прямой кишки у больного первичной злокачественной Т-клеточной лимфомой кожи (синдром Сезари): собственное наблюдение и обз
Рак прямой кишки у больного первичной злокачественной Т-клеточной лимфомой кожи (синдром Сезари): собственное наблюдение и обзор литературы
Кузьмин И.В., Забазный Н.П., Журавлев М.Н., Ошейчик В.М., Булычева И.В.
(Московская онкологическая больница № 62)
Синдром Сезари (СС) — редкий и
своеобразный вариант Т-клеточной
лимфомы кожи, протекающей с универсальной
эритродермией, генерализованным увеличением
лимфатических узлов, появлением в крови и в коже патологических лимфоцитов -
клеток Сезари. Синонимы: болезнь Сезари,
ретикулярная эритродермия, «синдром краснокожего».
В сущности – это лейкемический вариант грибовидного
микоза. СС принципиально отличается от эритродермической
формы грибовидного микоза – практически всегда определяется лейкемоидная
реакция (до 30-40 тыс. лейкоцитов), при
грибовидном микозе – до 10 тыс.
, костный
мозг не изменен.
Для СС характерна злокачественная пролиферация лимфоцитов типа CD4, что приводит к иммунодепрессии. На этом фоне чаще возникают злокачественные эпителиальные опухоли внутренних органов и кожи.
За последние годы отмечен значительный прогресс в диагностике и лечении этого заболевания. Повысилась средняя продолжительность жизни больных СС. При длительном прослеживании больных в ремиссии стали чаще выявлять новые злокачественные опухоли. По данным зарубежной литературы относительный риск первичной множественности у больных СС составляет 1,7-2,4. Наиболее часто СС сочетается с раком легкого, толстой кишки и неходжкинскими лимфомами (Scarisbrick J. J. et al. 1999).
В отечественной литературе вопрос о множественных злокачественных новообразованиях при СС даже не поднимался. С этой точки зрения наше наблюдение может представить интерес не только для дерматологов, гематологов, онкологов, но и хирургов. Наш опыт успешного лечения местно-распространенного рака прямой кишки подтверждает возможность радикального вмешательства при первичной множественности злокачественных новообразований.
Больной Л., 54 лет, адвокат (и/б 5885/2000) госпитализирован в московскую онкологическую больницу № 62 22.12.2000 по поводу рака прямой кишки. Предъявлял жалобы на небольшой зуд кожи, жидковатый стул с примесью крови.
С 1989 г. страдает холодовой
аллергией. В 1997 г. появились очаги гиперемии на коже голеней, генерализованный зуд, сухость кожи с появлением трещин на
ладонях. Лечился у дерматолога от «псориаза» рокутаном
без эффекта. С марта 1999 г. наблюдался в гематологическом научном центре РАМН.
Усилилась гиперемия кожи на всем протяжении, десквамация эпителия, зуд стал
мучительным, увеличились шейные, подмышечные и паховые лимфатические узлы. Диагностирована Т-клеточная лимфома кожи с поражением лимфатических узлов, кожи и
костного мозга (синдром Сезари).
В крови отмечался
лейкоцитоз до 30 тыс. лимфоцитов до 85%. Присоединились симптомы опухолевой
интоксикации. При биопсии кожи и лимфатического узла выявлена массивная
лимфоидная инфильтрация преимущественно мелкими клетками, местами с примесью крупных. При иммуногистохимическом
исследовании в лимфоидных клетках отмечена экспрессия Т-клеточных маркеров (более 80%). Терапия интроном-А
эффекта не дала. Проведены повторные курсы химиотерапии (винкристин,
циклофосфан, преднизолон),
интерферона, флюдарабина с хорошим эффектом.
Уменьшились кожные проявления заболевания, размеры лимфатических узлов пришли в
норму, улучшились показатели крови. В 2000 г. получал 9 курсов фотофереза, 30 инъекций проспидина
в/м, лечился преднизолоном
(последний курс 2 месяца назад). В июле 2000 г. возникло кровотечение из прямой
кишки. Консультирован у проктолога в московской больнице № 67. Установлен рак прямой кишки.
При биопсии циркулярной опухоли (№ 3891/42888-89) подтверждена аденокарцинома.
Из анамнеза известно, что мать больного страдала раком желудка. Сам больной 4 года прослужил на подводной лодке ракетчиком.
При внешнем осмотре – грудная клетка эмфизематозна. Перкуторно – легочный звук с коробочным оттенком. Границы сердца – в пределах нормы. Паховые лимфатические узлы увеличены справа до 1,5 см, слева — до 3 см, плотно-эластической консистенции, подвижны. Несколько увеличены и подмышечные лимфатические узлы.
Рентгенологически: легкие — пневмосклероз и эмфизема, сердце — без особенностей.
Кожные покровы сухие с шелушением. Стул жидкий, периодически с кровью но устойчивый. Диагностирована частичная кишечная непроходимость. При пальцевом исследовании и ректоскопии определяется циркулярная опухоль прямой кишки плотной консистенции. Нижняя ее граница — на расстоянии 4 см от ануса.
Онкомаркеры: раково-эмбриональный
антиген — 6,7 нг/мл (норма — до 4 нг/мл),
СА 72-4 — 7,3 Ед/мл (норма -
до 6,7 Ед/мл).
При эхографии обнаружено увеличение селезенки до размеров 12х7,5 см, в печени — гемангиома до 1,5 см в диаметре.
Клинический диагноз: Первичная метахронная множественность злокачественной опухоли. Т-клеточная лимфома кожи (синдром Сезари), состояние после повторных курсков химиотерапии в 1999 г. Рак ампуллярного отдела прямой кишки III стадии (T3N0M0) с прорастанием в параректальную клетчатку, частичная кишечная непроходимость.
5.01.01 выполнена нижнесрединная лапаротомия. Выявлена малосмещаемая циркулярная опухоль в области ампулы прямой кишки. Выполнена брюшно-промежностная экстирпация прямой кишки (Н.П. Забазный). Установлен эпидуральный катетер для обезболивания. При плановом исследовании препарата (№ 54/628-636) подтверждена умеренная аденокарцинома прямой кишки с прорастанием всей толщи ее стенки. По краю резекции и в лимфатических узлах элементов опухоли не обнаружено.
Послеоперационный период протекал гладко, рана зажила первичным натяжением, промежностная – вторичным, без осложнений. Учитывая большую местную распространенность опухоли с 22 января по 20 февраля 2001 проведена лучевая терапия. Суммарная очаговая доза — 42 Гр. Лечение перенес хорошо.
Осенью 2001 г. чувствовал себя удовлетворительно. Ремиссия поддерживалась только преднизолоном (рис.2).
В марте 2002 г. появились боли в нижних отделах живота, стала нарастать слабость, появились диспептические явления. Обнаружено уплотнение в области послеоперационного рубца на промежности, на эхограмме — признаки поражения брюшины метастазами. Диагностирован рецидив рака прямой кишки с метастазированием в органы брюшной полости. Учитывая нарушенное общее состояние, нарастание анемии решено от химиотерапии отказаться. Проводилось симптоматическое лечение. 15 июня 2002 г. больной умер от прогрессирования рака прямой кишки.
Грибовидный микоз впервые описал J.
L.Alibert
(1806). СС как эритродермию с необычными клетками в крови подробно изучили
французы Сезари и Боврейн в
1938 г. Сезари считал СС кожным ретикулезом
с пролиферацией гистиоцитов в коже и в крови. Клетки Сезари
в крови впервые выделили в 1953 г. Вильсон и Гельдинг.
СС встречается чаще всего в возрасте старше 60 лет, страдают обычно мужчины. 70-80% больных — старше 40 лет. Как исключение описан у лиц моложе 20 лет. Довольно часто в анамнезе отмечают непереносимость медикаментов, производственные вредности, аллергию.
За два последних десятилетия (1970-1980 гг.) после существенного скачка в изучении функциональных, фенотипических и генотипических особенностей нормальных Т-лимфоцитов и их злокачественных аналогов сформировалось новое понимание биологии и классификации Т-клеточных лимфом. Открыт новый класс новообразований — острые Т-клеточные лейкоз-лимфомы, которые вызывают ретровирусы типа С и тропным для Т-клеток вирусом — типа HTLV-I (Poixsz B.J. 1980; Bunn P., 1983).
Описан новый вирус HTLV-V, который возможно вызывает Т-клеточные лимфомы кожи.
В большинстве случаев болезнь возникает первично, реже – это результат прогрессии (лейкемизации) грибовидного микоза. Обычно СС проявляется выраженным генерализованным зудом. При внешнем осмотре определяется сливная эритема с шелушением, характерен ярко-красный цвет кожи («синдром краснокожего»). Поражена вся или почти вся кожа (универсальная эритродермия). Довольно часто обнаруживается ороговение ладоней и подошв, алопеция. Как правило, отмечается увеличение нескольких групп лимфатических узлов.
Ранее описаны около 100 случаев первичной множественности злокачественных опухолей у больных СС. В Национальном Онкологическом Институте США до 1983 г. выявили 544 больных с Т-клеточными лимфомами кожи. 519 – грибовидный микоз, 26 — СС. Все больные прослежены. В 35 наблюдениях выявлена вторая злокачественная опухоль. Относительный риск — 1,7. Наиболее часто выявляли рак легкого, кишки и неходжкинские лимфомы. Рак прямой кишки отмечен у 2 больных грибовидным микозом. При СС этой патологии не отмечали.
В 1984 г. дерматологи США изучили 63 больных с лимфомами кожи. В этой группе больных в 2,4 раза повышен уровень заболеваемости злокачественными новообразованиями. Из 26 больных с синдромом Сезари у 2 возник рак легкого, у 1 — толстой кишки в сроки до 5 лет. 62% больных получали химиотерапию, 24% — лучевую терапию. Среди больных без множественности – соответственно 52% и 39%, то есть достоверного влияния химиолучевого лечения на частоту развития метахронной опухоли не выявлено. Новые опухоли возникли синхронно у 6 больных, в т.ч. у двух с СС (обе — женщины). У больной 73 лет гистологически подтверждена ретикулосаркома, у больного 82 лет – опухоль почечной лоханки и аденокарцинома предстательной железы.
Гистологическая картина: в эпидермисе и дерме пролиферация. В верхних слоях дермы — плотные инфильтраты из лимфоцитов, гистиоцитов и клеток Сезари (похожи на клетки Лутцнера и отличаются от них лишь большими размерами). В эпидермисе могут определяться микроабсцессы Потрие, содержащие клетки Сезари и лимфоциты. В лимфатических узлах отмечается неспецифическая воспалительная реакция (дерматопатический лимфоаденит) или диффузная инфильтрация клетками Сезари. В пораженных внутренних органах — инфильтраты того же клеточного состава.
Клетки Сезари несут маркер Т-лимфоцитов — CD4. Большинство исследователей подтверждают моноклональное происхождение клеток опухоли. При электронной микроскопии ядра клеток Сезари — неправильной формы, из-за глубоких инвагинаций оболочки ядера кажутся изрезанными, расщепленными (церебриформные из-за сходства с извилинами головного мозга). Лейкоцитоз (лейкемоидная реакция) возникает не всегда. В лейкоконцентрате содержится 15-30% клеток Сезари. В дифференциально-диагностическом аспекте важно помнить, что у 10-20% больных Т-клеточными лимфомами обнаруживают очаги поражения вне кожи (Vanzari V. et al.,1996).
СС принято ранжировать по стадиям. I стадия — экзематозно-эритродермическая: экзоциноз, отек, акантоз. В нижних отделах шиповидного слоя эпидермиса отмечаются отложения в сосудах пролифератов из лимфоцитов, фибробластов плазмоцитов, эозинофилов, тучных клеток и нейтрофильных гранулоцитов. II стадия — бляшечно-инфильтративная: резкий акантоз с образованием гнезд лимфоцитов и гистиоцитов — абсцессы Потрие. III стадия — опухолевая. Пролифераты занимают всю толщу дермы, подкожную клетчатку, подлежащие ткани.
Может быть плохое общее состояние, высокая температура. Сыпь сначала красная, потом синюшно-бурая, складки (кожа похожа на смятую папиросную бумагу). Утолщаются ногти, становятся ломкими, неровными, отпадают. Усиливается пароксизмальный зуд. Лимфатические узлы увеличены, сначала мягкие, потом плотные, безболезненные, подвижные. В I стадии трудно поставить диагноз СС. Больные длительно лечатся по поводу «экземы, нейродермита, псориаза».
Как правило, больные умирают от сопутствующей инфекции или от новой злокачественной опухоли (возникает в среднем у 6,5% больных при длительном прослеживании). Химиотерапия (кортикостероиды, цитостатики, лучевая терапия) эффективна не у всех. Фотохимиотерапия (обычно в сочетании с ретиноидами — изотретиноином внутрь) эффективна при эритродермии, но практически бесполезна при поражении лимфатических узлов. За последние годы популярна экстракорпоральная фотохимиотерапия. Многие считают ее перспективной при СС. Больные живут в среднем 6-10 лет.
В нашем наблюдении больной успешно лечился от СС в течение трех лет. К сожалению, новая злокачественная опухоль протекала бессимптомно и выявлена в поздней стадии. Учитывая нарастание признаков кишечной непроходимости, больной успешно оперирован. Сделана попытка радикального лечения. Выполнена брюшно-промежностная экстирпация прямой кишки. Несмотря на возможные нарушения иммунологической защиты, раны зажили без осложнений. Больной благополучно перенес и адъювантную лучевую терапию. Более года больной чувствовал себя хорошо. Локальный рецидив и метастазы проявились через 14 мес. Отмечено быстрое прогрессирование процесса. По-видимому, иммунодепрессия, вызванная СС усилилась под влиянием поддерживающего лечения кортикостероидами.
Резюме
Впервые в отечественной литературе описано наблюдение метахронной первичной множественности злокачественной опухоли у больного Т-клеточной лимфомой кожи (синдромом Сезари). Местро-распространенный рак прямой кишки выявлен через 3 года после начала лечения лимфомы. Больному успешно выполнена брюшно-промежностная экстирпация прямой кишки. Операция носила условно-радикальный характер. Проведена лучевая терапия в дозе 45 Гр. В течение года больной чувствовал себя хорошо. Затем выявлен рецидив заболевания, который быстро прогрессировал. Больной умер через 15 месяцев после операции от метастазов рака прямой кишки. Представлен краткий обзор литературы по первичной множественности опухоли при синдроме Сезари. Хотя в целом прогноз при таких поражениях представляется неблагоприятным, оправданы попытки радикального лечения. Следует подчеркнуть, что в связи с высоким риском появления второй первичной опухоли у больных синдромом Сезари, оправдан онкологический скрининг (рак легкого, толстой кишки, неходжкинские лимфомы) в группе лиц, находящихся в ремиссии. Иммунодепрессия может быть связана не только с лейкемизацией лимфомы, но и с побочным действием противоопухолевой химиотерапии.
Синдром Сезари — описание болезни
Синдром Сезари – это запущенная форма фунгоидной (грибовидной) гранулемы. При синдроме Сезари кожа по всему телу покрасневшая, зудит, шелушится, и при прикосновении возникают болезненные ощущения. На коже также могут быть пятна, бляшки или опухоли. Злокачественные Т-лимфоциты обнаруживаются в крови. Фунгоидная гранулема не всегда прогрессирует в синдром Сезари.
В 1938 г. французские авторы Sezari и Bovrain впервые опубликовали данные о двух больных с эксфолиативной эритродермией, лимфоаденопатией и наличием в крови своеобразных клеток со складчатыми ядрами. Затем этот симптомокомплекс был выделен в синдром Сезари, а указанные клетки с учетом их морфологии стали обозначать как «мозговидные», «церебриформные», или клетки Сезари по имени автора, впервые их описавшего.
Возникновение болезни Синдром Сезари
На основании большого клинического материала было показано, что синдром Сезари является лейкемическим вариантом грибовидного микоза, в частности эритродермической формы Hallopeu. В основе развития этих заболеваний лежит пролиферация в коже, а затем в регионарных лимфатических узлах атипичных лимфоцитов с мозговидными ядрами — клеток Сезари (КС).
В 70-х годах с помощью цитологической и иммунологической идентификации этих клеток была доказана их лимфоидная природа, а затем с помощью моноклональных антител было установлено, что КС имеют фенотип зрелых T-хелперов.
В последние годы на мембранах этих лимфоцитов у больных грибовидным микозом и синдромом Сезари была обнаружена экспрессия антигенов, высокоаффинных к кожной ткани (CD45RO), что позволило предположить при этих заболеваниях пролиферацию лимфоидной ткани, ассоциированной с кожей.
Параллельно различными методами была доказана неопластическая природа КС на основании наличия в очагах поражения и в крови КС с тетраплоидным и анеуплоидным содержанием ДНК, КС с незрелым или аберрантным фенотипом, КС с патологическим набором хромосом, а также повышенной экспрессии на мембранах этих лимфоцитов антигена пролиферирующих ядер (Ki-67) и C-myc белков, отражающих функционирование C-myc гена, ответственного за пролиферацию.
В последние годы с помощью новых методов молекулярной биологии и иммуногенетики (полимеразной цепной реакции, метода южного блоттинга) на мембранах КС маркеры злокачественности обнаруживают также по переустройству структур T-клеточного рецептора, что маркирует перегруппировку гена T-клеточного рецептора.
С учетом приведенных научных исследований синдром Сезари в современных классификациях системных заболеваний кроветворной и лимфоидной тканей и первичных злокачественных лимфом кожи относят к неходжкинским злокачественным T-клеточным лимфомам с быстрой опухолевой прогрессией.
Течение болезни Синдром Сезари
Раковые клетки могут распространяться в организме тремя путями.
- Через плотные ткани. Раковые клетки могут поражать близлежащие здоровые ткани.
- Через лимфатическую систему. Раковые клетки также способны проникать в лимфатическую систему и вместе с лимфой циркулировать по всему организму через лимфатические сосуды.
- Через кровь. Раковые клетки могут также попадать в кровоток в венах и капиллярах и вместе с кровью разносятся по всему организму.
Отделяясь от первичной (оригинальной) опухоли и попадая в лимфу или кровь, раковые клетки циркулируют по сосудам вместе с лимфой или кровью и распространяются по всему организму. Раковые клетки могут оседать в разных тканях и органах, образовывая другую вторичную опухоль. Процесс распространения раковых клеток называется метастазирование. Вторичная опухоль, образовавшаяся в результате метастатического процесса, является опухолью такого же типа, как и первичная опухоль. Например, если раковые клетки, отделившиеся от опухоли молочной железы, попадают в кости и образуют вторичную опухоль, фактически вторичная опухоль в костях состоит из злокачественных клеток опухоли молочной железы. По сути это не рак кости, а опухоль, образовавшаяся вследствие метастатического процесса рака молочной железы.
При синдроме Сезари выделяют следующие стадии:
Стадия I
Стадию I подразделяют на стадию IА и стадию IВ:
- Стадия IА: Менее 10% поверхности кожи покрыто пятнами иили бляшками.
- Стадия IВ: 10% поверхности кожи или более покрыто пятнами иили бляшками.
Стадия II
Стадию II подразделяют на стадию IIА и стадию IIВ:
- Стадия IIА: Достаточно много поверхности кожи покрыто пятнами иили бляшками. Лимфоузлы увеличены, но метастазы в них не обнаруживаются.
- Стадия IIВ: Наличие одной или более опухолей на коже. Лимфоузлы увеличены, но метастазы в них не обнаруживаются.
Стадия III
На III стадии примерно вся поверхность кожи покрасневшая и на коже есть пятна, бляшки или опухоли. Лимфоузлы увеличены, но метастазы в них не обнаруживаются.
Стадия IV
Стадию IV подразделяют на стадию IVА и стадию IVВ:
- Стадия IVА: Большая часть кожи покрасневшая и покрыта пятнами, бляшками или опухолями. Лимфоузлы увеличены и в них обнаруживаются метастазы.
- Стадия IVВ: Большая часть кожи покрасневшая и покрыта пятнами, бляшками или опухолями. Метастазы обнаруживаются в других органах. Лимфоузлы увеличены и поражены метастазами.
Стадии синдрома Сезари также классифицируют по В классификации. Согласно В классификации стадию определяют по количеству аномальных лимфоцитов в крови.
Рецидив синдрома Сезари
После прохождения курса лечения и наступления ремиссии может возникнуть рецидив синдрома Сезари. Онкологическое заболевание может давать рецидивы в кожных покровах или в других органах, тканях организма.
Диагностика болезни Синдром Сезари
Несмотря на типичные клинические проявления заболевания у больных синдромом Сезари (эритродермия с выраженной инфильтрацией, гиперкератозы ладоней и подошв, алопеция, гиперпигментация, лимфоаденопатия), диагностика этого заболевания нередко бывает затруднительной. Чаще всего синдром Сезари приходится дифференцировать с эритродермиями, которые возникают при доброкачественных воспалительных дерматозах, а также у больных лейкозами и системными лимфомами.
Диагноз синдром Сезари ставится на основании результатов обследования и соответствующих анализов крови и кожных покровов.
При постановке диагноза проводят обследование следующими методами:
- Осмотр и изучение истории болезни пациента: Осмотр пациента проводится с целью определить общее состояние здоровья, выявить признаки заболевания, такие как увеличение лимфоузлов, вид кожных повреждений и насколько повреждения кожи распространены по телу, или какие-либо другие признаки, вызывающие подозрение у врача. При постановке диагноза необходимо учитывать характер повреждений кожных покровов, образ жизни пациента, перенесшие заболевания и лечение, которое пациент получал в прошлом.
- Общий анализ крови с подсчетом лейкоцитарной формулы: Общий анализ крови показывает:
- Количество эритроцитов и тромбоцитов.
- Количество и тип лейкоцитов.
- Количество гемоглобина (белок, который транспортирует кислород) в эритроцитах.
- СОЭ.
В случае если человеку был поставлен диагноз синдром Сезари, проводится обследование, которое может показать степень распространения раковых клеток, присутствующих в коже, в другие органы и ткани организма. Данное обследование проводится с целью установить стадию заболевания. В результате обследования врач получает информацию, которая и помогает определить стадию заболевания. Для назначения правильного лечения необходимо знать стадию заболевания.
Для того чтобы определить стадию заболевания, проводят обследование следующими методами:
- Рентгенография грудной клетки. Рентген органов и костей грудной полости. Рентгеновские лучи – это вид электромагнитного ионизирующего излучения, которое способно проходить сквозь тело. При этом фотоны поглощаются разными тканями с разной интенсивностью, что и дает возможность получить контрастное изображение внутренних органов и тканей на снимке.
- КТ (компьютерная аксиальная томография): При КТ делается серия детальных снимков внутренних органов под разным углом, например, грудной клетки, лимфоузлов, брюшной полости и органов малого таза. Снимки выводятся на монитор компьютера, подсоединенного к рентгенологическому аппарату. Перед КТ пациенту может быть введено перорально (в виде таблеток, капсул) или инъекционно контрастное вещество для четкой визуализации внутренних органов и тканей. Данная процедура называется компьютерная томография или компьютерная аксиальная томография.
- Магнитно-резонансная томография (МРТ): При МР серия детальных снимков внутренних органов, например, лимфоузлов, грудной клетки, брюшной полости и органов малого таза, создается с помощью магнита, радиоволн и компьютера. Данная процедура также называется ядерная магнитно-резонансная томография (ЯМРТ).
- Биопсия лимфатического узла: Удаление части или всего лимфатического узла. Взятые образцы тканей исследуются цитологом под микроскопом с целью выявить раковые клетки.
Лечение болезни Синдром Сезари
Существует несколько различных способов лечения пациентов с диагнозом синдром Сезари. Некоторые способы лечения являются стандартными (применяются в настоящее время), а некоторые новые способы лечения проходят клинические испытание. Клиническое испытание — это исследовательское изучение, целью которого является улучшение стандартного способа лечения или получение информации о результатах новых способов лечения онкобольных. Если клинические испытания показывают, что новый способ лечения лучше, чем стандартный, такой способ лечения может впоследствии стать стандартным способом лечения. По желанию пациенты также могут принимать участие в клинических испытаниях. В некоторых клинических испытаниях принимать участие могут только пациенты, которые еще не проходили никакого лечения.
На сегодняшний день существует пять стандартных способов лечения:
Фотодинамическая терапия
Фотодинамическая терапия – способ лечения рака, целью которого является уничтожение раковых клеток. Принцип фотодинамической терапии заключается в применении лекарственного препарата, который активизируется только при воздействии световым излучением определенного спектра или специальным лазерным излучением. Лекарственный препарат вводят в вену. Лекарственное вещество не активизируется до тех пор, пока на него не воздействуют излучением. Препарат накапливается в раковых клетках в большем количестве, чем в здоровых полноценных клетках. Лазерное излучение, попадая на кожу, активирует лекарственное вещество, которое и уничтожает раковые клетки. При фотодинамической терапии возникают незначительные повреждения здоровых тканей. Пациентам, которые проходят курс лечения фотодинамической терапией, следует меньше пребывать на солнце. При одном виде фотодинамической терапии пациентам вводят лекарственное вещество псорален и потом воздействуют на кожу ультрафиолетовым излучением. Такой вид фотодинамической терапии называется ультрафиолетовая терапия с псораленом. Другой вид фотодинамической терапии называется экстракорпоральная фотохимиотерапия. Пациентам вводят лекарственное вещество и потом из крови пациента выделяют некоторые клетки крови, которые подвергают воздействию специальным ультрафиолетовым излучением А, после чего облученные клетки крови вводятся обратно в организм пациента.
Лучевая терапия:
Лучевая терапия – это способ лечения онкозаболевания, при котором используется жесткое рентгеновское излучение или другие виды радиационных излучений для предотвращения роста раковых клеток или их уничтожения. Существует два вида лучевой терапии. Внешняя лучевая терапия, при которой специальный аппарат фокусирует радиационное излучение в области опухоли. Внутренняя лучевая терапия, при которой герметично запакованное в иголки, капсулы, стержни или катетеры радиоактивное вещество размещают непосредственно в или возле опухоли.
В некоторых случаях лечение фунгоидных гранулем и синдрома Сезари осуществляется с помощью лучевой терапией пучком электронов ко всей коже. При данном виде лучевой терапии весь кожный покров подвергается воздействию лучей маленьких частиц, называемых электронами. Выбор вида лучевой терапии зависит от вида и стадии онкологического заболевания.
Химиотерапия
Химиотерапия – способ лечения онкологических заболеваний с помощью сильнодействующих химиотерапевтических препаратов. Химиотерапевтические препараты способны остановить рост раковых клеток и уничтожить их, предотвратить их отделение и проникновение в другие ткани и органы. Химиотерапевтические препараты могут приниматься перорально (в виде таблеток, капсул) или вводятся инъекционно внутривенно или внутримышечно. Лекарственное вещество попадает в кровоток, вместе с кровью распространяется по организму и поражает раковые клетки (систематическая химиотерапия). Если химиотерапевтические препараты вводятся непосредственно в позвоночный столб (интратекальная химиотерапия), орган или полость тела (грудную, брюшную), лекарственное вещество поражает главным образом раковые клетки в данных участках (региональная химиотерапия). В некоторых случаях проводится лечение топической химиотерапией (кожа обрабатывается кремом или лосьоном). Выбор вида химиотерапии зависит от вида и стадии онкологического заболевания.
Другие медикаментозные терапии
Лечение ретиноидами, которые являются лекарственными веществами производными витамина А. Ретиноиды могут замедлять рост раковых клеток определенного вида. Ретиноиды могут приниматься перорально или наружно (на кожу).
Биологическая терапия
Биологическая терапия – это способ лечения, который задействует иммунную систему пациента для борьбы с онкологическим заболеванием. Вещества, которые вырабатываются в организме или которые синтезируются в лаборатории, используются для восстановления или стимуляции природных механизмов защиты для борьбы с онкозаболеванием. Данный вид лечения онкологических заболеваний также называется биотерапией или иммунотерапией. Специфические виды биологической терапии также используются при лечении фунгоидной гранулемы и синдрома Сезари.
- Терапия моноклональными антителами: Лечение онкозаболеваний моноклональными антителами – это вид лечения, при котором используются специфичные антитела, созданные в лаборатории из одного типа клеток иммунной системы. Данные антитела способны присоединяться к специфическому субстрату на поверхности раковых клеток и распознать раковая клетка или нет. Антитела, присоединяясь к субстрату на поверхности раковых клеток, запускают механизм уничтожения раковых клеток или блокируют их рост и препятствуют их распространению в организме. Пациенту делают инфузии моноклональных антител. Моноклональные антитела могут использоваться сами по себе или же как переносчики лекарственных веществ, токсинов или радиоактивных веществ непосредственно к раковым клеткам.
- Интерферон Альфа: Вещество, которое препятствует делению раковых клеток и замедляет рост опухолей.
- Интерлейкин -2: Интерлейкин-2 усиливает природный иммунный ответ организма в борьбе с инфекционными и другими заболеваниями.
На сегодняшний день некоторые новые виды лечения проходят клинические испытания. Ниже описываются виды лечения, которые находятся на стадии клинических испытаний. Невозможно рассказать обо всех новых способах лечения, которые исследуются.
Высокодозовая химиотерапия и лучевая терапия с последующей трансплантацией стволовых клеток
Чтобы уничтожить раковые клетки проводится курс лечения высокодозовой химиотерапией и лучевой терапией. Поскольку в результате лечения повреждаются не только злокачественные, но также и здоровые, полноценные клетки, после курса лечения пациенту делается трансплантация стволовых клеток, которые и помогают возобновить клетки костного мозга, главная задача которых продуцировать клетки крови. Стволовые клетки (незрелые клетки крови) берутся из крови или костного мозга самого пациента или донора, замораживаются и сохраняются. По завершении курса химиотерапии сохраненные стволовые клетки размораживают и вводят пациенту в виде инфузий стволовых клеток. Пересаженные стволовые клетки приживаются и помогают восстановить клетки костного мозга, продуцирующие клетки крови.
По желанию пациенты могут принять участие в клинических испытаниях. Для некоторых пациентов участие в клинических испытаниях — это наилучший выбор. Клинические испытания являются частью исследовательского процесса. Цель проведения клинических испытаний установить: является ли новый способ лечения безопасным и эффективным или более лучшим, чем стандартный способ лечения. Многие из нынешних стандартных способов лечения основаны на результатах раннее проведенных клинических испытаний. Пациенты, принимающие участие в клинических испытаниях, могут получать стандартное лечение или проходить курс нового лечения. Пациенты, которые принимают участие в клинических испытаниях, вносят большой вклад в исследования и помогают улучшить способ лечения рака в будущем. Даже если результаты клинических испытаний не свидетельствуют об эффективности нового способа лечения, они часто дают ответы на очень важные вопросы и помогают продвинуть исследования на шаг вперед.
Пациенты могут участвовать в клинических испытаниях перед, во время и после того, как они начали проходить курс лечения. В некоторых клинических испытаниях могут принимать участие только пациенты, которые не проходили никакого лечения. Пациенты, у которых заболевание не поддается стандартному лечению, также могут участвовать в клинических испытаниях. Существуют также клинические испытания, которые исследуют новые способы предотвращения рецидива онкологического заболевания или устранения побочных эффектов, возникающих вследствие лечения.
Проведение повторного обследования
Некоторые анализы, которые были сделаны для диагностики рака или стадии заболевания могут быть сделаны повторно. Повторное обследование проводится для того, чтобы проследить за эффективностью лечения. Решение о продолжении, изменении или прекращении лечения зависит от результатов повторного обследования. Некоторые анализы необходимо делать время от времени и после окончания лечения. Результаты анализов могут показать изменение состояния пациента или наличие рецидива заболевания. Иногда такие анализы называют контрольными.
К каким докторам следует обращаться при болезни Синдром Сезари
Гематолог
Синдром Сезари — Консультант по терапии рака
Синдром Сезари
Что нужно знать каждому врачу:
Синдром Сезари (SS) — лейкемическая форма кожной Т-клеточной лимфомы (CTCL), при которой у пациентов имеется значительное поражение крови клетками Сезари и диффузная эритема кожи (эритродермия). Пациенты с СС часто сокращают выживаемость, но ожидаемая продолжительность жизни по-прежнему измеряется годами.
Поскольку заболевание может прогрессировать медленно, а диагноз не всегда очевиден при биопсии кожи при ранних поражениях, многие пациенты будут неоднократно жаловаться на симптомы и пробовали различные неспецифические местные методы лечения, прежде чем в конечном итоге будет установлен диагноз.
Эти пациенты часто испытывают трудноизлечимый зуд (зуд), который может быть наиболее значительным симптомом, изменяющим жизнь, и поэтому лечение, которое может успешно уменьшить зуд, даже без измеримого объективного ответа, все еще может быть ценным вариантом. В то время как этим пациентам требуется системная терапия, биологическая терапия обычно является первоначальным выбором, а схемы химиотерапии обычно предназначены для пациентов с объемными лимфатическими узлами или висцеральными заболеваниями, или в качестве более поздней линии терапии, когда другие варианты не помогли.
Вы уверены, что у вашего пациента синдром Сезари? Что вы должны ожидать найти?
Ключевым элементом диагностики является биопсия кожи, которую проводит дерматопатолог. Однако, в отличие от налета и опухолей, биопсии кожи пациентов с эритродермическим поражением кожи часто не имеют легко идентифицируемых или специфических диагностических признаков; таким образом, оценка других участков потенциального поражения, таких как кровь или лимфатические узлы, может помочь подтвердить клинический диагноз. Типичные клетки Сезари в измеримых количествах по морфологии с соответствующим иммунофенотипом CD4 + / CD7- или CD4 + / CD26- по данным проточной цитометрии, в значительной степени подтверждают этот диагноз.
Лимфаденопатия часто встречается у пациентов с СС и может варьироваться от реактивных дерматопатических изменений до явного поражения лимфомой при гистопатологическом исследовании. Дополнительные клинические проявления, обычно наблюдаемые при СС, включают кератодермию, дистрофию ногтей, алопецию, эктропион и отек кожи (особенно на ногах).
Остерегайтесь других состояний, которые могут имитировать синдром Сезари:
Лекарственные реакции могут имитировать клиническую или гистологическую картину (лимфоматоидные лекарственные высыпания) и должны быть исключены.
Лимфома, связанная с человеческим Т-лимфотропным вирусом типа 1 (HTLV-1), может проявляться сыпью и лимфоцитозом. Т-клеточный пролимфоцитарный лейкоз может иметь аналогичное проявление, но обычно проявляется более агрессивно с очень повышенным количеством лимфоцитов (часто более 100000, с быстрым ростом, который менее характерен для СС).
Какие люди наиболее подвержены риску развития синдрома Сезари:
Синдром Сезари — редкое заболевание, обычно проявляющееся у взрослых с преобладанием мужчин.В некоторых сериалах сообщается, что это чаще встречается среди афроамериканцев и реже среди азиатов. Описаны редкие случаи у детей. Хотя есть доказательства того, что СС является отдельным заболеванием от грибкового микоза (МФ), выходящим за рамки простого лейкемического проявления, есть пациенты с МФ, у которых во время прогрессирования развивается СС.
Какие лабораторные исследования следует заказать для постановки диагноза и как интерпретировать результаты?
Рекомендуются следующие исследования:
Биопсия кожи проверена опытным дерматопатологом или гематопатологом
Общий анализ крови с мазком периферической крови на клетки Сезари
Проточная цитометрия периферической крови для количественного определения CD4 + / CD7- и CD4 + / CD26- клеток (считается, что потеря CD26 более специфична для SS, чем потеря CD7, поскольку CD7 может теряться в реактивных процессах Т-клеток)
Может оказаться полезным исследование периферической крови на предмет перестройки Т-клеточных рецепторов
Серология на HTLV-1 для исключения лимфомы, ассоциированной с HTLV-1, при подозрении
Биопсия костного мозга обычно не показана
Какие исследования изображений (если таковые имеются) будут полезны при постановке или исключении диагноза синдрома Сезари?
Компьютерная томография (КТ) брюшной полости и таза или позитронно-эмиссионная томография — компьютерная томография (ПЭТ / КТ) может определить увеличенные лимфатические узлы для биопсии.
Если вы решите, что у пациента синдром Сезари, какие методы лечения вам следует начать немедленно?
Немедленное начало терапии обычно не требуется, хотя зуд может быть серьезным, но следует дождаться точного диагноза и тщательного обследования. Вторичные кожные инфекции распространены из-за частого расчесывания и повреждения кожи. При постановке диагноза может быть показано начало приема антибиотиков и посев для исключения метициллин-резистентного золотистого стафилококка.
Более точные методы лечения?
Терапию можно разделить на терапию, направленную на кожу, более мягкую системную или биологическую терапию и более агрессивную системную терапию, которая сопряжена с более высоким риском иммуносупрессии.Чаще всего пациенты начинают один или несколько видов биологической или неиммуносупрессивной системной терапии, которые включают ретиноиды, такие как бексаротен, интерферон альфа, экстракорпоральный фотоферез, ингибиторы гистоновой деацетилазы или низкие дозы метотрексата.
Терапия, направленная на кожу, такая как фототерапия, местные кортикостероиды и смягчающие средства, часто добавляются в качестве важной части лечения симптомов, а также лечения заболеваний. Более иммуносупрессивные методы лечения, такие как химиотерапия с одним агентом, такая как гемцитабин, липосомальный доксорубицин, пралатрексат или алемтузумаб, обычно резервируются для тех, кто не ответил должным образом или не прогрессировал после менее иммуносупрессивной терапии.
Какие другие методы лечения помогают уменьшить осложнения?
Поскольку у этих пациентов может быть тяжелый, трудноизлечимый зуд, могут оказаться полезными поддерживающие противозудные препараты, такие как антигистаминные препараты, габапентин или миртазапин. Агрессивное местное лечение стероидами (+/- окклюзионные обертывания) часто может значительно улучшить симптомы. Антибиотики против стафилококка часто помогают пациентам со значительной колонизацией и плохо сохранившейся кожей.
Что вы должны сказать пациенту и его семье о прогнозе?
Синдром Сезари имеет признаки как агрессивной, так и хронической лимфомы.Если не считать трансплантации аллогенных стволовых клеток, болезнь не излечима, и выживаемость у большинства пораженных пациентов сокращается. Однако существует несколько методов лечения с частотой ответа от 30 до 50%.
Многие из более мягких или биологических методов лечения, перечисленных выше, если они активны для индивидуума, могут использоваться на постоянной или поддерживающей основе, чтобы обеспечить контроль над болезнью от месяцев до лет. Таким образом, существует сдержанный оптимизм в отношении долгосрочного контроля над заболеванием с помощью относительно хорошо переносимых подходов.Если эти методы лечения неэффективны или перестают работать, другие методы лечения могут обеспечить хороший контроль над заболеванием, хотя стойкие ремиссии случаются редко.
В отдельных случаях трансплантация аллогенных стволовых клеток может привести к длительной или стойкой ремиссии.
Что делать, если сценарии.
Пациенты с синдромом Сезари очень восприимчивы к инфекциям из-за плохо поврежденной кожи, колонизации, постоянных катетеров и иммуносупрессии в результате терапии. Хороший уход за кожей и избегание постоянных катетеров важны для минимизации этих рисков.
Исследования с использованием низких доз алемтузумаба, по-видимому, обеспечивают более низкий риск инфицирования у пациентов с синдромом Сезари по сравнению с применением полной дозы алемтузумаба.
Патофизиология
Синдром Сезари — это злокачественное новообразование клональных зрелых Т-клеток с предрасположенностью к коже и крови. Причина этого неизвестна.
Какие другие клинические проявления могут помочь мне диагностировать синдром Сезари?
Реакции на лекарства могут вызывать эритродермию, и редкие клетки Сезари (в отличие от синдрома Сезари) могут наблюдаться у людей без этого заболевания.Точно так же некоторые другие Т-клеточные лимфомы могут проявляться лимфоцитозом и сыпью. Пациенты с синдромом Сезари обычно, но не всегда, имеют в анамнезе сыпь и зуд в течение многих месяцев, если не лет.
Какие еще дополнительные лабораторные исследования можно заказать?
Типирование лейкоцитарного антигена человека (HLA), если планируется трансплантация аллогенных стволовых клеток.
Цитометрия периферического кровотока на CD52 в алемтузумабе рассматривается в качестве терапии.
Какие доказательства?
Kim, YH, Liu, HL, Mraz-Gernhard, S.«Отдаленный исход 525 пациентов с грибовидным микозом и синдромом Сезари: клинические прогностические факторы риска прогрессирования заболевания». Arch Dermatol .. vol. 139. 2003. pp. 857-866. [Большая серия по леченному естествознанию MF и SS.]
Olsen, E, Vonderheid, E, Pimpinelli, N. «Изменения в постановке и классификации грибкового микоза и синдрома Сезари: предложение Международного общества кожных лимфом (ISCL) и целевой группы по кожным лимфомам Европейской организации Исследования и лечение рака (EORTC) ». Кровь .. об. 110. 2007. С. 1713-1722. [Предоставляет конкретные определения синдрома Сезари, включая морфологию, проточную цитометрию и молекулярную диагностику.]
Vonderheid, EC, Bigler, RD, Greenberg, AS. «Экстракорпоральный фотоферез и рекомбинантный интерферон альфа 2b при синдроме Сезари. Использование двойных маркеров для мониторинга терапевтического ответа ». Am J Clin Oncol .. vol. 17. 1994. С. 255–263. [Описание применения комбинированной биологической терапии с фотоферезом.]
Kaye, FJ, Bunn, PA, Steinberg, SM. «Рандомизированное исследование, сравнивающее комбинацию электронно-лучевой радиации и химиотерапии с местной терапией при начальном лечении грибкового микоза». N Engl J Med .. vol. 321. 1989. С. 1784-1790. [Предыдущее рандомизированное исследование, показывающее, что ранние подходы к агрессивной химиотерапии не приводят к долгосрочному положительному эффекту при МФ и СС и могут вызвать кратковременное повышение токсичности.]
Wollina, U, Dummer, R, Brockmeyer, NH. «Многоцентровое исследование пегилированного липосомального доксорубицина у пациентов с кожной Т-клеточной лимфомой». Рак .. т. 98. 2003. pp. 993–1001. [Небольшое исследование, демонстрирующее очень высокую частоту ответа на липосомальный доксорубицин, это активный агент, хотя показатели ответа, наблюдаемые в этом исследовании, выше, чем наблюдаемые в клинической практике.]
Duvic, M, Talpur, R, Wen, S. «Оценка фазы II монотерапии гемцитабином при кожной Т-клеточной лимфоме». Clin Лимфома Миелома .. vol. 7. 2006. С. 51–58. [Опыт фазы II с гемцитабином.]
Берненго, MG, Quaglino, P, Comessatti, A.«Низкие дозы интермиттирующего алемтузумаба в лечении синдрома Сезари: клинические и иммунологические результаты у 14 пациентов». Haematologica .. vol. 92. 2007. С. 784-794. [Исследование по изучению альтернативного и, вероятно, менее токсичного дозирования алемтузумаба для SS. Я обычно придерживаюсь этого подхода при использовании алемтузумаба для этих пациентов.]
Молина, А, Заин, Дж, Арбер, Д.А. «Длительные клинические, цитогенетические и молекулярные ремиссии после трансплантации аллогенных гемопоэтических клеток при рефрактерном синдроме Сезари и грибовидном микозе». J Clin Oncol .. vol. 23. 2005. С. 6163-6171. [Небольшая серия пациентов с высоким уровнем сна, у которых была очень хорошая трансплантация аллогенных стволовых клеток. Это принципиальное доказательство того, что это лечение потенциально излечивает этих пациентов.]
Copyright © 2017, 2013 ООО «Поддержка принятия решений в медицине». Все права защищены.
Ни один спонсор или рекламодатель не участвовал, не одобрял и не платил за контент, предоставляемый Decision Support in Medicine LLC.Лицензионный контент является собственностью DSM и защищен авторским правом.
синдром Сезари | DermNet NZ
Автор: Самир Селек, сотрудник PGY2, Государственная больница Окленда, Новая Зеландия; Главный редактор: д-р Аманда Окли, дерматолог, Гамильтон, Новая Зеландия, июнь 2015 г.
Что такое синдром Сезари?
Синдром Сезари — это эритродермическая форма кожной Т-клеточной лимфомы (CTCL), термин, который в совокупности включает все кожные лимфомы, возникающие из Т-лимфоцитов.Синдром назван в честь Альбера Сезари, французского дерматолога, родившегося в 1880 году. Его также называют болезнью Сезари.
Т-лимфоциты — это циркулирующие иммунные клетки, созревающие в тимусе. При синдроме Сезари злокачественные Т-лимфоциты в периферической крови клонально соответствуют злокачественным Т-клеткам, обнаруженным в коже.
Кто заболевает синдромом Сезари?
Синдром Сезари — болезнь пожилых людей. Эпидемиологические данные по Новой Зеландии недоступны. Во всем мире заболеваемость составляет 0.8–0,9 на миллион при соотношении мужчин и женщин 2: 1. Это не наследственное заболевание.
Что вызывает синдром Сезари?
Причина синдрома Сезари остается в значительной степени неясной. Злокачественные Т-клетки в коже и крови имеют следующие характеристики:
- CD4-положительные: это указывает на то, что они являются центральными Т-клетками памяти
- Значительный процент демонстрируют потерю CD26 и CD7
- Аномальные клональные клетки Th3
- Редукция Th2 (Т-хелперов) клеток
Это способствует эндогенной иммуносупрессии.
Как проявляется синдром Сезари?
Кожные признаки
Пациенты с синдромом Сезари имеют диффузно-красную, утолщенную и чешуйчатую кожу. Зуд (зуд) — обычное явление, часто тяжелое, и с ним трудно справиться. Другие функции могут включать:
- Erythroderma
- Медленно развивающееся генерализованное уплотнение (упругость кожи)
- Лихенификация (усиление отметин на коже из-за царапин и трения)
- Чешуйчатые папулы из-за выступа фолликулов
- Ногти утолщенные
- Эктропион (опущение нижнего века)
- Диффузная или пятнистая алопеция (выпадение волос)
Эти симптомы часто приводят к недосыпанию, тревоге и депрессии.
Сообщалось, что в очень редких случаях синдром Сезари проявляется зудом, клетками Сезари при биопсии нормальной кожи и отсутствием видимой сыпи.
Синдром Сезари
Системное поражение
К другим признакам синдрома Сезари относятся:
- Периферическая лимфаденопатия: часто генерализованная, затрагивающая шею, подмышечные впадины, паховые области
- Увеличенная селезенка
- Реже поражаются печень, легкие и желудочно-кишечный тракт.
Следующие злокачественные новообразования связаны с синдромом Сезари:
Как диагностируется синдром Сезари?
Синдром Сезари следует рассматривать у любого пациента с эритродермией. Диагностика требует клинико-патологической корреляции.
Биопсия кожи
Если возможно, выберите участок уплотненной кожи для биопсии. Множественные биопсии полезны, особенно если морфология различается.
Элементы световой микроскопии могут включать:
- Атипичные лимфоциты, проникающие в дерму
- Эпидермотропизм (миграция клеток в эпидермис)
- Лимфоциты с одним ядром головного мозга (не диагностические)
- Микроабсцессы Паутрие или внутриэпидермальные скопления атипичных клеток
- Иммуногистохимический анализ положительный на CD3 + и CD4 + клетки.
Анализы крови
Клетки Сезари — это большие атипичные мононуклеарные клетки с крупными мозговыми ядрами. Они обнаруживаются в большом количестве в периферической крови пациентов с синдромом Сезари. Меньшие числа могут быть обнаружены у здоровых пациентов или людей с другими заболеваниями.
Проточная цитометрия может выявить CD4 + CD7- и CD4 + CD26- Т-клетки, характерные для синдрома Сезари. Также могут отсутствовать Т-клеточные антигены (CD2, CD3, CD4 и / или CD5). Отношение CD4: CD8> 10, но не диагностическое.
Биопсия лимфатического узла
Эксцизионная биопсия необходима для различения дерматопатических изменений лимфатических узлов и реактивных изменений лимфатических узлов.
Тесты на перестройку гена Т-клеточного рецептора (TCR)
Тесты на перестройку гена Т-клеточного рецептора (TCR) можно проводить на образцах кожи, циркулирующих кровяных клетках и лимфатических узлах. Этот тест оценивает клональность клеток, которые должны быть одинаковыми в трех сайтах.
Дифференциальный диагноз синдрома Сезари
Другие диагнозы, рассматриваемые у пациента с эритродермией, могут включать:
Как лечится синдром Сезари?
Лечение синдрома Сезари зависит от стадии заболевания и сопутствующих заболеваний.
Критерии TNMB для определения стадии CTCL: кожа (T), лимфатический узел (N), поражение внутренних органов (M), кровь (B). Синдром Сезари классифицируется как минимум как T4B2 (эритродермия T4 и поражение периферической крови B2). Классификация также зависит от поражения лимфатических узлов или внутренних органов:
- Стадия IVA1: отсутствие поражения внутренних органов. Лимфатические узлы могут быть не вовлечены или увеличены, но с небольшими гистологическими аномалиями
- Стадия IVA2: гистологически аномальное поражение лимфатических узлов без поражения внутренних органов
- Стадия IVB: поражение внутренних органов с поражением лимфатических узлов или без него
Стандартной терапии синдрома Сезари не существует.Пациентам назначают препараты местного и системного действия. Они также могут пройти фототерапию UVB или PUVA и / или лучевую терапию (локализованные поверхностные лучи или полная электронно-лучевая терапия кожи).
Местная терапия синдрома Сезари
Примеры местной терапии, используемой для лечения синдрома Сезари, включают:
Экстракорпоральный фотоферез (ECP)
ECP — это иммуносохраняющая терапия, в которой сочетается фотосенсибилизирующий агент (псорален / 8-метоксален) с УФА для лечения периферической крови, которую извлекают, облучают и возвращают пациенту.Это предпочтительная терапия первой линии на ранних стадиях.
- Побочные эффекты включают головную боль, утомляемость, зуд и преходящую гипотензию (низкое кровяное давление) с возможным обмороком (коллапсом).
- Частота ответа улучшается в сочетании с модификаторами биологической реакции.
- ECP в настоящее время недоступен в Новой Зеландии, но доступен в Австралии.
Модификаторы биологической реакции
Биопрепараты предпочтительно использовать вместе с фотоферезом.Однако их можно использовать как часть одно- или многоагентных режимов, если ECP недоступен. В их число входят:
- Денилейкин дифтитокс (Ontak®), белок, сочетающий интерлейкин-2 и дифтерийный токсин, одобренный для лечения кожной Т-клеточной лимфомы, которая имеет компонент высокого сродства рецептора IL-2
- Алемтузумаб (Campath-1H) представляет собой моноклональное антитело, направленное против лимфоцитарного антигена CD52, экспрессируемого на B- и T-клетках. Он успешно использовался не по назначению при синдроме Сезари.
- Другие биопрепараты при этой болезни исследуются.
Другие лекарства, применяемые при синдроме Сезари
Лекарства часто используются в комбинации.
Химиотерапия при синдроме Сезари
Примеры химиотерапевтических агентов, используемых при синдроме Сезари:
- Пегилированный липосомальный доксорубицин
- Гемцитабин
- Флударабин
- кладрибин
- Пентостатин
Каков прогноз синдрома Сезари?
Синдром Сезари обычно агрессивен, прогноз обычно плохой, средняя выживаемость составляет 2–4 года.Пациенты могут реагировать временно, но рецидив часто неизбежен. У случайного пациента после лечения наступила ремиссия.
Пациенты обычно умирают от оппортунистических инфекций из-за подавления иммунитета.
Что такое грибковый микоз и синдром Сезари? Симптомы, причины, диагностика, лечение и профилактика
Обычно диагноз грибовидного микоза или синдрома Сезари ставится дерматологом. Для постановки этого диагноза он, вероятно, будет использовать следующие тесты и процедуры:
- Физический осмотр Любые поражения кожи, опухоли, сыпь и все остальное необычное будут исследованы, и кожа будет сфотографирована.
- История болезни Будут обсуждены текущие и прошлые привычки, распорядки и методы лечения, направленные на борьбу с кожными проблемами.
- Полный анализ крови с дифференциалом Это анализ крови для оценки вашего общего состояния здоровья и выявления ряда заболеваний крови.
- Биопсия кожи Небольшая часть пораженной кожи удаляется и исследуется под микроскопом патологом. Обычно требуется более одной биопсии кожи.
- Иммунофенотипирование Этот лабораторный тест определяет антигены или маркеры на поверхности клеток крови.Он также может идентифицировать определенные типы лимфомы.
- Тест на перестройку генов Т-клеточного рецептора (TCR) Образец клеток исследуют на предмет специфических изменений в генах, которые часто приводят к избытку Т-клеток.
- Проточная цитометрия Образец клеток окрашивают специальным светочувствительным красителем, помещают в жидкость и затем пропускают через прибор, называемый проточным цитометром. Здесь лазер измеряет определенные характеристики, такие как размер и форма клеток и наличие биомаркеров.(5)
- Визуальные тесты Компьютерная томография (КТ), магнитно-резонансная томография (МРТ) и позитронно-эмиссионная томография (ПЭТ) могут использоваться для определения поражения лимфатических узлов или других органов. (2)
- Биопсия лимфатического узла Если лимфатические узлы опухли или если сканирование ПЭТ выявляет увеличенный лимфатический узел, врачи могут удалить и исследовать образцы ткани с помощью иглы или хирургического вмешательства.
- Аспирация и биопсия костного мозга Эти тесты после постановки диагноза определяют, распространилось ли заболевание на костный мозг.Для аспирации используется игла для извлечения образца костного мозга из задней части таза. Для биопсии из этой же области удаляется кусок кости и твердый мозг. Оба образца исследуются под микроскопом на наличие признаков рака. (4)
Во время постановки диагноза ваша медицинская бригада также узнает, на какой стадии находится ваше заболевание. Грибовидный микоз медленно прогрессирует в несколько стадий, но не все люди, пораженные грибовидным микозом, проходят все стадии.(6)
Стадия 1 Зудящая, чешуйчатая, красная сыпь (в виде пятен или бляшек) появляется либо менее чем на 10 процентах тела (стадия 1А), либо более чем на 10 процентах (стадия 1В), обычно на участках подвержены воздействию солнца, например, в нижней части живота, верхней части бедер, ягодицах и груди. Сыпь может появляться и исчезать в течение месяцев или даже лет. На этой стадии часто бывает сложно диагностировать, поскольку заболевание часто напоминает другие кожные заболевания, например псориаз. (5,6)
Стадия 2 На этом этапе любая поверхность кожи может быть покрыта пятнами или бляшками, а лимфатические узлы увеличились, но не являются злокачественными (стадия 2А).Также в категорию стадии 2: наличие любых опухолей (1 сантиметр и более) на коже с поражением доброкачественных лимфатических узлов (стадия 2B). (5)
Стадия 3 Покраснела почти вся поверхность кожи. Вероятно, присутствуют пятна, бляшки или опухоли. Лимфатические узлы могут быть увеличены, но все же без рака. В крови могут быть обнаружены аномальные лимфоциты, но они не являются злокачественными. На этой стадии у людей может развиться некроз, когда клетки нижних слоев кожи погибают.(5, 8)
Стадия 4 Переход к стадии 4 означает, что большая часть кожи красная. Присутствует любое количество пятен, бляшек или опухолей, а также одно из следующего:
- Рак распространился на лимфатические узлы, и злокачественные лимфоциты могут быть обнаружены в крови; или лимфатические узлы увеличены, но не раковые, хотя раковые лимфоциты присутствуют в крови. Оба считаются стадией 4А.
- Рак метастазировал в другие органы, возможно, включая лимфатические узлы.В крови могут присутствовать раковые лимфоциты (стадия 4B). (5)
На стадии 4 грибовидный микоз может распространяться по всему телу на другие органы. Печень и селезенка могут увеличиваться. Иногда может поражаться и сердечная мышца. Люди часто испытывают высокую температуру, потерю веса, анемию, а также симптомы недомогания и слабости. Могут развиться желудочно-кишечные симптомы (и возможные язвы кишечника), кашель и затруднение глотания. Если поражен мозг, могут возникнуть боли в глазах и проблемы со зрением.(8)
Поскольку синдром Сезари определяется наличием злокачественных Т-клеток в лимфатических узлах и крови, это заболевание также считается грибовидным микозом 4 стадии. (5)
Прогноз грибкового микоза и синдрома Сезари
Прогноз для людей с грибковым микозом варьируется в зависимости от ряда факторов, в том числе от того, насколько медленно или быстро прогрессирует заболевание. В любом случае, и грибовидный микоз, и синдром Сезари трудно вылечить. Из-за этого цель лечения часто состоит в том, чтобы облегчить симптомы (паллиативная помощь) и улучшить качество жизни, а не полностью искоренить болезнь.Для людей нет ничего необычного в том, чтобы жить нормальной жизнью в течение нескольких лет во время лечения. (2)
По оценкам, от 65 до 85 процентов людей с грибовидным микозом имеют раннюю стадию заболевания 1A или 1B. Согласно отчету, опубликованному в International Journal of Health Sciences, большинство людей с грибовидным микозом на ранней стадии никогда не перерастают в более позднюю стадию заболевания. (12) Кроме того, в том же исследовании было отмечено, что ожидаемая продолжительность жизни у людей со стадией 1А практически не изменилась по сравнению с теми, кто никогда не болел раком.
Но люди с запущенной стадией заболевания (стадии 2B, 3 или 4A), включающей опухоли, эритродермию (синдром Сезари) или поражение лимфатических узлов или крови, имеют выживаемость от двух до пяти лет. (12) Те, у кого грибовидный микоз на поздней стадии или синдром Сезари, могут захотеть рассмотреть терапию стволовыми клетками, такую как аллогенная трансплантация гемопоэтических стволовых клеток (SCT), которая дала положительные результаты, а некоторые из них достигли долгосрочной ремиссии, согласно опубликованному отчету. в октябре 2015 г. в журнале Dermatologic Clinics. (13)
Индийский журнал дерматологии, венерологии и лепрологии — синдром Сезари
Отделение дерматологии и венерологии Медицинский колледж, Тривандрам, Керала, Индия Адрес для корреспонденции :
К Абдул Самад
Отделение дерматологии и венерологии Медицинский колледж, Тривандрам, Керала
Индия
Abstract
Синдром Сезари (СС) описывается как классическая триада зудящей эритродермии, лимфаденопатии и наличия более 10% циркулирующих клеток Сезари в периферической крови.Мы сообщаем о необычном случае прогрессирующей кожной Т — клеточной лимфомы с классическими гематологическими и гистопатологическими признаками синдрома Сезари, но без клинических признаков эритродермии.У 66-летнего мужчины имелись бессимптомные множественные папулы, бляшки и узелки, а также генерализованная лимфаденопатия. Периферический мазок показал более 60% клеток Сезари. Биопсия кожи и лимфатических узлов показала типичные особенности Т-клеточной лимфомы и иммуногистохимии, а исследования маркеров CD показали, что клетки являются атипичными Т-лимфоцитами.Этот необычный случай выделен для обозначения того, что эритродермия не должна рассматриваться как жесткий и быстрый критерий для диагностики синдрома Сезари.
Введение
Синдром Сезари (SS), впервые описанный Безье и Халлопо (1892) [1] как тяжелый вариант кожной Т-клеточной лимфомы (CTCL), позже был определен Сезари и Бувреном (1938) [2] как классическая триада зуда. эритродермия, лимфаденопатия и аномальные гипер извитые чудовищные клетки в периферической крови.Хотя эритродермия считается неизменным компонентом синдрома, многие недавние отчеты показали, что ни один клинический признак не является патогномоничным для СС, и клинические признаки должны коррелировать с гистологическими, иммунологическими исследованиями и исследованиями генной реаранжировки.
Мы сообщаем о случае расширенного CTCL с классическими гематологическими и гистологическими особенностями СС, но клинически отсутствующим классическим компонентом эритродемы.
Отчет о болезни
У 66-летнего мужчины обнаружены множественные бессимптомные эритематозные папулы, бляшки и узелки цвета кожи на коже черепа, лице, туловище и паховой области без симптомов [Рисунок — 1].
Поражения были твердыми, кератотическими, фиксировались на более глубоких структурах. Поражения длились один месяц. Он дал историю желтухи за последние 6 месяцев. Он был хроническим курильщиком и алкоголиком. Системное обследование показало генерализованную лимфаденопатию и стойкую безболезненную гепатомегалию.
Обычный анализ крови в норме, но уровень ферментов печени в сыворотке повышен. Серологические исследования и электрофорез сыворотки в норме. Периферический мазок показал более 60% атипичных клеток с незрелым хроматином и незаметными ядрышками.FNAC из лимфатического узла и цитология аспирации костного мозга показали аналогичные клетки. При трепанобиопсии костного мозга выявлены очаговые инфильтрации атипичных лимфоцитов.
Биопсия кожи узелкового поражения показала пласты плеоморфных клеток со скудной цитоплазмой и гиперхроаматическими ядрами и незаметным эпидермотропизмом. Картина соответствовала распространенной кожной Т-клеточной лимфоме. В иммуногистохимии лимфоциты были CD-45 Ro-положительными, что указывало на то, что они были Т-хелперами.Таким образом, у пациента был показатель TNM T3 N3 Bt M1.
Обсуждение
Эритродермия при синдроме Сезари может начинать denovo или может следовать за стадией налета грибовидного микоза или осложнять ее. Гистологические особенности синдрома Сезари, в отличие от стадии бляшки / опухоли MF, включают высокий плеоморфный инфлирт, сильный сосудистый инфлиртрат, менее выраженный эпидермотропизм и переменную плотность инфильтрата. Разнообразные клинические и гистопатологические особенности расширенного CTCL затрудняют точное различие между стадией опухоли MF и SS.[3] Основываясь на этом, Троттер и др. [4] предположили, что определение СС может быть дополнительно уточнено путем включения только пациентов с циркулирующей популяцией клональных Т — клеток периферической крови.
В нашем случае многие особенности создали дилемму в точной классификации состояния. Внезапное начало кожных поражений с быстрым прогрессированием клинически свидетельствовало об опухоли de emblee ME. Огромные атипичные клетки с гиперконволютированными ядрами в периферической крови предоставляют достаточные доказательства для диагностики этого синдрома Сезари.Также относительными критериями для СС являются гистопатология кожных поражений и пораженных лимфатических узлов, показывающие высокий плеоморфный инфлиртрат с более глубоким распространением и менее выраженным эпидермотропизмом. Иммуногистохимия доказала, что эти клетки представляют собой CD 45 + Т — хелперные клетки. Патологические особенности кожи, лимфатических узлов и периферической крови с минимальной инвазией костного мозга позволяют предположить, что лимфома возникла в периферических Т-лимфоцитах.
Хотя наш пациент не отвечал всем клиническим критериям нозологической формы синдрома Сезари, особенно эритродермии, на коже, лимфатических узлах и периферической крови наблюдались классические признаки синдрома.Следовательно, по крайней мере в некоторых случаях с такими особенностями отсутствие эритродермии не может рассматриваться как жесткий и быстрый критерий для исключения диагноза синдрома Сезари.
Кожная Т-клеточная лимфома — Симптомы и причины
Обзор
Кожная Т-клеточная лимфома (CTCL) — это редкий тип рака, который начинается в белых кровяных тельцах, называемых Т-лимфоцитами (Т-лимфоцитами). Эти клетки обычно помогают иммунной системе вашего организма, борющейся с микробами. При кожной Т-клеточной лимфоме у Т-клеток развиваются аномалии, которые заставляют их атаковать кожу.
Кожная Т-клеточная лимфома может вызывать покраснение кожи, напоминающее сыпь, слегка приподнятые или чешуйчатые круглые пятна на коже, а иногда и опухоли кожи.
Существует несколько типов кожной Т-клеточной лимфомы. Самый распространенный вид — грибовидный микоз. Синдром Сезари — менее распространенный тип, вызывающий покраснение кожи по всему телу. Некоторые типы кожной Т-клеточной лимфомы, такие как грибовидный микоз, прогрессируют медленно, а другие более агрессивны.
Тип кожной Т-клеточной лимфомы помогает определить, какое лечение лучше всего подходит для вас.Лечение может включать кремы для кожи, световую терапию, лучевую терапию и системные лекарства, такие как химиотерапия.
Кожная Т-клеточная лимфома — это один из нескольких типов лимфомы, которые вместе называются неходжкинской лимфомой.
Продукты и услуги
Показать больше товаров от Mayo ClinicСимптомы
Признаки и симптомы кожной Т-клеточной лимфомы включают:
- Круглые участки кожи, которые могут быть вздыбленными или чешуйчатыми и могут вызывать зуд
- Участки кожи, которые кажутся светлее окружающей кожи
- Комки, которые образуются на коже и могут расколоться
- Увеличенные лимфатические узлы
- Выпадение волос
- Утолщение кожи на ладонях и подошвах стоп
- Покраснение кожи по всему телу, напоминающее сыпь, с сильным зудом
Причины
Точная причина кожной Т-клеточной лимфомы неизвестна.
Как правило, рак начинается, когда в клетках развиваются изменения (мутации) в ДНК. ДНК клетки содержит инструкции, которые говорят клетке, что ей делать. Мутации ДНК заставляют клетки быстро расти и размножаться, создавая множество аномальных клеток.
При кожной Т-клеточной лимфоме мутации вызывают слишком много аномальных Т-клеток, которые атакуют кожу. Т-клетки являются частью вашей иммунной системы и обычно помогают организму бороться с микробами. Врачи не знают, почему клетки атакуют кожу.
Февраль02, 2021
Лимфома Действие | Кожная (кожная) Т-клеточная лимфома
,00Существует множество различных типов Т-клеточной лимфомы кожи. Эта страница содержит информацию обо всех типах. Это может показаться устрашающим. Если вы знаете, какой у вас тип Т-клеточной лимфомы кожи, возможно, вы захотите прочитать только те разделы, которые относятся к вам.
Лимфома — это рак, который начинается в лейкоцитах, называемых лимфоцитами, которые являются частью вашей иммунной системы. Есть два типа лимфоцитов: Т-лимфоциты (Т-клетки) и В-лимфоциты (В-клетки).Лимфомы могут развиваться как из Т-клеток, так и из В-клеток.
Кожные лимфомы — это лимфомы, которые развиваются в коже и не повлияли на другие участки тела на момент постановки диагноза. Т-клеточные лимфомы кожи — это лимфомы кожи, которые развиваются из Т-клеток.
Лимфома, которая начинается где-то в другом месте тела и затем распространяется на кожу, — это , а не лимфома кожи. Если у вас лимфома, распространившаяся на кожу, наша информация о конкретном типе лимфомы будет для вас более актуальной.
У нас есть отдельная информация о B-клеточных лимфомах кожи (редкие кожные лимфомы, которые развиваются из B-клеток).
К началу
Т-клеточная лимфома кожи (также называемая кожной Т-клеточной лимфомой или CTCL) встречается редко. Ежегодно в Великобритании Т-клеточная лимфома кожи диагностируется менее чем у 350 человек.
Ученые точно не знают, что вызывает лимфому кожи, но есть некоторые факторы, которые могут увеличить риск ее развития.
- Возраст : Т-клеточная лимфома кожи чаще встречается у пожилых людей.Средний возраст постановки диагноза — 55 лет.
- Пол : Вероятность развития Т-клеточной лимфомы кожи у мужчин примерно в два раза выше, чем у женщин.
- Этническая принадлежность : Исследования показали, что Т-клеточная лимфома кожи чаще встречается у афроамериканцев, чем у белых.
- Генетика : Генетические факторы могут быть вовлечены в развитие некоторых типов Т-клеточной лимфомы кожи. Грибовидный микоз, самый распространенный тип, иногда может передаваться семьями, но это очень редко.
- Инфекции : Т-клеточный лейкоз / лимфома взрослых (подтип Т-клеточной лимфомы кожи) связан с инфицированием вирусом, называемым «вирус Т-клеточного лейкоза человека 1 типа» (HTLV-1). Этот вирус поражает Т-клетки, но обычно не вызывает никаких симптомов. Инфекция HTLV-1 очень распространена в некоторых частях мира, включая Японию, Западную Африку, Южную Америку, Карибский регион, Иран и коренное население Австралии. Однако у большинства людей с HTLV-1 лимфома не развивается.
- Другие состояния : Т-клеточная лимфома кожи чаще встречается у людей, перенесших трансплантацию (посттрансплантационное лимфопролиферативное заболевание, или PTLD), и у людей с ВИЧ.
Наверх
Большинство Т-клеточных лимфом кожи начинаются с участков сухой, обесцвеченной кожи (обычно красной), обычно на ягодицах или между талией и плечами (туловище), но они могут развиваться и в других местах. Эти пятна могут вызывать зуд. Они могут выглядеть как более распространенные кожные заболевания, такие как дерматит, экзема или псориаз.Со временем могут развиться другие кожные симптомы, в том числе:
- участки светлой (гипопигментированной) или более темной (гиперпигментированной) кожи, особенно у людей с более темным оттенком кожи
- пятна пестрой кожи
- Более твердые или толстые участки кожи, называемые бляшками
- небольшие приподнятые твердые участки кожи, называемые папулами; они могут выглядеть как сыпь
- более крупные опухоли на коже, называемые узелками или опухолями, которые могут разрушаться (изъязвляться) и покрываться коркой; у вас может быть только одна или две из этих опухолей, но при некоторых лимфомах кожи у вас может быть несколько
- генерализованное покраснение кожи (эритродермия) с сильным зудом, сухостью и шелушением
- утолщенная или потрескавшаяся кожа на ладонях рук или подошвах ног.
Для получения дополнительной информации об этих симптомах, включая фотографии, см. Наш обзор лимфом кожи.
У вас также могут быть увеличенные лимфатические узлы на шее, подмышках или в паху. Они могут воспаляться в результате раздражения кожи поблизости или из-за того, что они содержат аномальные клетки лимфомы.
Если в вашем кровотоке циркулируют аномальные клетки лимфомы (иногда называемые клетками Сезари), все ваше тело может чувствовать сильный зуд. Если у вас большое количество этих клеток, это может снизить ваш иммунитет и сделать вас более склонным к инфекциям.
У небольшого числа людей с Т-клеточными лимфомами кожи наблюдаются более общие симптомы, такие как необъяснимая потеря веса, лихорадка или ночная потливость.
К началу
Т-клеточные лимфомы кожи диагностируются с помощью биопсии кожи. Биопсия кожи позволяет определить точный тип лимфомы кожи, медленнорастущую (низкую) или быстрорастущую (высокоразвитую). Однако диагностировать лимфому кожи не всегда просто даже для специалиста. Вам может потребоваться несколько биопсий кожи, прежде чем ваш врач сможет подтвердить ваш диагноз.
У вас также могут быть другие тесты, чтобы выяснить, поражены ли какие-либо другие части вашего тела лимфомой — это называется «стадией». Сюда могут входить:
- медицинский осмотр
- анализов крови для оценки вашего общего состояния здоровья и выявления бактериальных или вирусных инфекций, которые могут быть связаны с вашей лимфомой
- компьютерная томография или ПЭТ / компьютерная томография
- биопсия костного мозга
- биопсия лимфатического узла (если у вас опухшие лимфатические узлы).
Ожидание результатов анализов может быть трудным, но важно, чтобы ваш специалист точно знал, какой у вас тип лимфомы, чтобы он мог назначить вам наиболее подходящее лечение.
Стадия
Стадия лимфомы описывает, какая часть вашего тела поражена лимфомой.
Чтобы узнать стадию лимфомы, врачи проверят:
- как поражается ваша кожа — есть ли пятна, бляшки или опухоли
- какая часть вашей кожи поражена
- , есть ли лимфома в любом из ваших лимфатических узлов
- , есть ли лимфома в каком-либо из ваших внутренних органов
- для некоторых типов Т-клеточной лимфомы кожи, есть ли у вас аномальные клетки лимфомы в крови.
Большинство Т-клеточных лимфом кожи диагностируются на ранней стадии. Используемая система стадирования зависит от типа вашей Т-клеточной лимфомы кожи.
Стадия грибовидного микоза и синдрома Сезари
Грибовидный микоз и синдром Сезари ставятся на одну стадию. Как и у большинства видов рака, эти типы лимфомы делятся на четыре основных стадии.
1 этап
Лимфома поражает только кожу (пятна или бляшки).
- Стадия 1А означает, что поражено менее десятой части кожи.
- Стадия 1B означает, что поражена десятая часть кожи или более (примерно размером с обе руки).
2 этап
- Стадия 2А означает, что на коже есть пятна или бляшки, а лимфатические узлы увеличены, но не содержат аномальных клеток лимфомы.
- Стадия 2B означает, что на коже имеется один или несколько приподнятых шишек или опухолей, а лимфатические узлы могут увеличиваться или не увеличиваться, но не содержат клеток лимфомы.
3 этап
Поражены четыре пятых или более кожи с генерализованным покраснением, отеком, зудом и иногда болью (эритродермия).Лимфатические узлы могут быть увеличены, но не содержат аномальных клеток лимфомы.
- Стадия 3А означает, что в кровотоке мало или совсем нет лимфомных клеток (грибовидный эритродермический микоз).
- Стадия 3B означает умеренное количество лимфомных клеток в кровотоке (синдром Сезари).
4 этап
Грибовидный микоз 4 стадии или синдром Сезари поражает кожу, а также распространился на кровоток, лимфатические узлы или другие органы.
- Стадия 4A означает, что в кровотоке имеется множество аномальных клеток лимфомы (синдром Сезари) или лимфатические узлы содержат клетки лимфомы
- Стадия 4B означает лимфому в других органах.
«Ранняя стадия» означает что-либо до 2А. На момент постановки диагноза у большинства людей наблюдается именно эта стадия лимфомы кожи. У некоторых людей болезнь находится на более поздней стадии (стадии 2B, 3 и 4). Очень редко кровь поражается при постановке диагноза (стадии 3B или 4A, также называемые «синдромом Сезари»).
Этапы иногда обозначают римскими цифрами: I, II, III или IV. Иногда ваш врач может также использовать промежуточную систему TNM, описанную ниже.
Стадия других типов Т-клеточных лимфом кожи
Другие Т-клеточные лимфомы кожи определяют с помощью системы, называемой «TNM». TNM означает:
- T umour: сколько у вас папул, узелков или опухолей, насколько они велики и где они находятся. Это обозначается буквой «T» и числом от 1 до 3, иногда за которым следует буква между a и c.
- N од: сколько лимфатических узлов задействовано (если есть) и где они находятся. Это обозначается буквой «N» и числом от 0 до 3.
- M etastasis: распространилась ли лимфома (метастазировала) на любую часть тела, кроме кожи или лимфатических узлов. Это обозначается буквой «M», за которой следует 0 или 1.
Ваша сцена включает все три такта. Например:
- человек с одним кожным узлом размером менее 5 см, без опухших лимфатических узлов и лимфомы где-либо еще в теле будет иметь стадию T1aN0M0
- человек с несколькими кожными узелками, ограниченными площадью кожи 30 см, увеличенными лимфатическими узлами в двух областях тела, но без лимфомы где-либо еще, будет иметь стадию T2bN2M0.
Наверх
Существует множество различных типов лимфомы кожи, хотя многие из них встречаются очень редко. Их часто классифицируют как «полноценные» или «низкосортные».
- Лимфома низкой степени злокачественности означает, что клетки лимфомы делятся медленно. Он может развиваться в течение длительного периода времени. Лимфома низкой степени злокачественности иногда называется «вялотекущей» лимфомой.
- Лимфома высокой степени злокачественности означает, что клетки лимфомы быстро делятся. Лимфома, вероятно, будет относительно быстро расти.Лимфому высокой степени злокачественности иногда называют «агрессивной» лимфомой.
Иногда лимфома превращается из медленно растущей в быстрорастущую. Знание того, насколько быстро развивается лимфома, важно при выборе лучшего лечения и при принятии решения о том, как скоро следует начинать лечение.
Большинство лимфом кожи имеют низкую степень злокачественности.
Кожные лимфомы имеют сложные названия в зависимости от типа клеток, из которых они развиваются, или белков, которые они производят. Ниже мы приводим информацию о различных типах, включая наиболее распространенные варианты лечения для каждого типа.Объем информации может показаться огромным. Если вы знаете, какой у вас тип Т-клеточной лимфомы кожи, вы можете использовать ссылки, чтобы перейти прямо к нужным вам разделам. Если вы не знаете, какой у вас тип Т-клеточной лимфомы кожи, вы можете найти наш обзор лимфомы кожи или нашу страницу о различных методах лечения лимфомы кожи.
Т-клеточные лимфомы низкой степени злокачественности включают:
Т-клеточные лимфомы высокой степени злокачественности включают:
К началу
грибовидный микоз
Грибовидный микоз — наиболее распространенная лимфома кожи, на которую приходится около половины всех лимфом кожи.Это лимфома низкой степени злокачественности, которая развивается в течение многих лет или даже десятилетий. Обычно он поражает пожилых людей и немного чаще встречается у мужчин, чем у женщин. Это редко опасно для жизни.
Около 3 из каждых 4 человек на момент постановки диагноза имеют раннюю стадию заболевания. У большинства людей классический тип, но есть и другие, более редкие подтипы.
грибовидный микоз классический
Классический грибовидный микоз начинается с неправильных, овальных или кольцевидных (кольцевых), сухих или чешуйчатых пятен.Обычно они плоские, обесцвеченные или бледные. Они могут исчезать самопроизвольно, оставаться того же размера или медленно увеличиваться. Чаще всего они возникают на груди, спине или ягодицах, но могут возникать где угодно. Их часто принимают за более распространенные кожные заболевания, такие как экзема или псориаз, иногда в течение многих лет.
Иногда образуются похожие, но более толстые и слегка приподнятые участки кожи, называемые «бляшками». Они могут вызывать зуд и иногда разрушаться (изъязвляться). Чаще всего они появляются на ягодицах и складках кожи.Вы можете потерять волосы на пораженных участках.
Грибовидный микоз редко развивается после ранней стадии пятна и налета. У небольшой части людей на коже появляются бугорки. Их называют «опухолями». Они могут изъязвляться или плакать, и они могут быть болезненными.
У очень немногих людей кожа может стать красной, утолщенной и болезненной. Это называется «эритродермия». Если это произойдет, возможно, что в лимфатических узлах или в крови тоже есть клетки лимфомы. Это называется синдромом Сезари.Это редкость.
Грибовидный микоз обычно не поражает другие внутренние органы или костный мозг.
Редкие формы грибовидного микоза
Помимо классической формы грибовидного микоза, существуют еще три, более редкие формы, которые ведут себя несколько иначе и выглядят иначе под микроскопом.
- Фолликулотропный грибовидный микоз — лимфома низкой степени злокачественности, на долю которой приходится около 4 из 100 случаев лимфомы кожи. В частности, он поражает волосяные фолликулы.Обычно поражает голову и шею и может вызвать выпадение волос, особенно в области бровей. У вас может быть только один пластырь, бляшка или опухоль, но у большинства людей их несколько. У вас могут быть маленькие кисты или заблокированные поры. Иногда их называют «белые угри» («комедоны») или «молочные пятна» («милиа»), поскольку они выглядят как белые бугорки на коже. Фолликулотропный грибовидный микоз может вызывать сильный зуд.
- Пагетоидный ретикулез (также известный как болезнь Ворингера – Колоппа) — редкий подтип грибовидного микоза низкой степени злокачественности.Обычно он проявляется как единичный чешуйчатый налет, часто на руке или ноге. Никогда не выходит за пределы кожи.
- Гранулематозная дряблая кожа (GSS) — чрезвычайно редкая низкосортная форма грибовидного микоза. Это чаще встречается у людей из белых этнических групп. В подмышечных впадинах и в паху образуются рыхлые складки кожи. В кожных складках могут образовываться пятна и бляшки.
Лечение грибкового микоза
Грибовидный микоз можно очень хорошо контролировать с помощью лечения, но он имеет тенденцию возвращаться (рецидив) после прекращения лечения.Некоторым людям сначала вообще не нужно лечение. Правильный режим ухода за кожей с регулярным использованием увлажняющих средств помогает предотвратить сухость и раздражение. Если у вас болезнь 1 стадии, это может быть все, что вам нужно.
Если поражены большие участки кожи или если у вас неприятный зуд, вам могут быть назначены лечебные процедуры непосредственно на кожу. Это называется местным лечением. Они включают стероидные кремы, ретиноиды местного действия, светотерапию или химиотерапевтические препараты в составе крема, который вы наносите на кожу.Вы также можете пройти лучевую терапию для лечения бляшек или опухолей.
Если вы не отвечаете на местное лечение или у вас более поздняя стадия грибовидного микоза, вам может потребоваться (системное) лечение всего тела, а также местные методы лечения. Это может включать:
Если у вас эритродермия, вам могут пройти экстракорпоральный фотоферез (ЭКФ). Это вид световой обработки, при которой ваша кровь обрабатывается ультрафиолетовым светом А.
Если грибовидный микоз не поддается лечению (рефрактерный) или возвращается после лечения (рецидивы), возможно, вам назначили лечение антителами алемтузумабом или брентуксимаб ведотином.
Молодым здоровым пациентам с запущенным грибовидным микозом, которые не ответили на другие виды лечения, может быть проведена трансплантация стволовых клеток с использованием клеток от донора (трансплантация аллогенных стволовых клеток).
Некоторых людей с более поздними стадиями грибкового микоза могут спросить, не хотят ли они принять участие в клинических испытаниях.
Во время лимфомы вам может потребоваться несколько различных методов лечения. Когда симптомы обостряются, вам не всегда нужно «более сильное» лечение, чем раньше.Обычно вы получаете минимально возможное лечение, которое контролирует ваши симптомы. Это сводит к минимуму риск побочных эффектов.
Фонд кожной лимфомы имеет дополнительную информацию о грибовидных микозах.
К началу
Синдром Сезари
Синдром Сезари — редкая кожная лимфома высокой степени злокачественности. На его долю приходится около 3 из 100 случаев лимфомы кожи. Синдром Сезари похож на грибовидный микоз, но поражает не только кожу, но и кровь.У большинства людей с синдромом Сезари он развивается, не имея заблаговременно более легкой формы лимфомы кожи. Признаки и симптомы синдрома Сезари могут включать:
- Большие участки ярко-красной, утолщенной, опухшей и болезненной кожи (эритродермия), которая иногда отслаивается
- большое количество аномальных Т-лимфоцитов, называемых «клетками Сезари», в крови
- сильный зуд
- Увеличение лимфатических узлов
- Выпадение волос
- Утолщение кожи ладоней и подошв стоп
- опущение нижнего века (эктропион).
Большое количество клеток Сезари, циркулирующих в кровотоке, также означает, что иммунная система не работает должным образом. Это может сделать вас более подверженным инфекциям.
Лечение синдрома Сезари
Синдром Сезари поражает все тело, а не только кожу. Это требует лечения всего тела (системного). Первым методом лечения обычно является экстракорпоральный фотоферез (ЭКФ). Это может быть объединено с другими методами лечения, такими как:
Если у вас синдром Сезари, который не ответил на начальное лечение или распространился на другие органы, у вас может быть:
Молодые, здоровые пациенты с синдромом Сезари, которые не ответили на другие виды лечения, могут пройти трансплантацию стволовых клеток с использованием клеток от донора (трансплантация аллогенных стволовых клеток).Некоторых людей могут спросить, хотят ли они принять участие в клинических испытаниях.
К началу
Первичные CD30-позитивные лимфопролиферативные заболевания кожи
Это низкосортные Т-клеточные лимфомы кожи, в которых аномальные лимфоциты вырабатывают белок CD30. Есть два основных подтипа:
Оба эти состояния хорошо поддаются лечению и имеют отличный прогноз.
Первичная кожная анапластическая крупноклеточная лимфома (ALCL)
Первичная кожная АККЛ обычно поражает взрослых, но иногда может встречаться и у детей.Это чаще встречается у мужчин, чем у женщин. Обычно это проявляется в виде единственной опухоли на коже, но у вас может быть группа опухолей в одной области. Опухоли обычно появляются на голове и шее, руках или ногах. Они могут вырасти до нескольких сантиметров и часто ломаются (изъязвляются). Они могут полностью исчезнуть без какого-либо лечения.
Если вам нужно лечение единственной опухоли, вам, скорее всего, предстоит операция или лучевая терапия. Если поражена большая часть вашей кожи, вас могут лечить химиотерапией или терапией антителами, которая называется брентуксимаб ведотин.
Лимфоматоидный папулез (LyP)
LyP относится к Т-клеточной лимфоме кожи, но это так называемое «лимфопролиферативное заболевание». Это доброкачественное заболевание, при котором лимфоциты собираются или растут ненормально, но в целом их поведение безвредно. LyP не распространяется, он не влияет на продолжительность жизни и часто проходит сам по себе или при очень небольшом лечении. Это очень редко, и это все еще изучается.
LyP очень медленно растет. Это чаще всего встречается у взрослых в возрасте от 35 до 45 лет и чаще встречается у мужчин, чем у женщин.Это имеет тенденцию приходить и уходить. Обычно он развивается в виде красных пятен (папул) или более крупных шишек (узелков), которые появляются в течение нескольких дней, обычно на груди, спине, руках или ногах. У вас может быть всего несколько штук, а может быть, и сотни. Иногда они ломаются (изъязвляются) посередине. Обычно они заживают через несколько недель или месяцев, но могут оставлять шрамы.
Люди с LyP имеют более высокий риск развития некоторых типов рака крови, особенно первичного кожного ALCL, грибовидного микоза или лимфомы Ходжкина, чем другие люди.Однако у большинства людей с LyP не развивается рак , а не .
Вспышки LyP часто проходят сами по себе, и вам может вообще не понадобиться лечение. Возможно, вам будет назначен активный мониторинг, или вам могут назначить кожное (местное) лечение мазями, кремами или гелями или фототерапию. Если у вас очень частые или тяжелые приступы, вам может быть назначено лечение с помощью химиотерапевтического препарата с низкой дозой метотрексата, местной лучевой терапии или препарата под названием интерферон-альфа.
DermNet New Zealand Trust предоставляет дополнительную информацию о LyP.
К началу
Редкие типы кожной Т-клеточной лимфомы
Существует несколько редких типов Т-клеточной лимфомы кожи. Это могут быть как медленнорастущие (низкосортные), так и быстрорастущие (высокосортные).
Редкие кожные Т-клеточные лимфомы низкой степени злокачественности
Редкие кожные Т-клеточные лимфомы низкой степени злокачественности обычно хорошо поддаются лечению и имеют отличный прогноз.
Подкожная панникулитоподобная Т-клеточная лимфома (SPTCL)SPTCL — это лимфома кожи низкой степени злокачественности, которая, как правило, поражает людей молодого возраста.Это немного чаще встречается у женщин. Примерно каждый пятый человек с SPTCL также имеет аутоиммунное заболевание (заболевание, вызванное атакой вашей иммунной системы на ваше собственное тело).
SPTCL начинается в жировом слое кожи, чуть ниже поверхности. У вас может быть одна или несколько бляшек или узелков, часто на ногах. У вас также могут быть другие более общие симптомы, такие как лихорадка, низкие показатели крови и потеря веса. Симптомы часто приходят и уходят.
Это состояние очень хорошо поддается лечению стероидными таблетками, которые могут быть единственным лечением, которое вам нужно.Если вам действительно нужно дополнительное лечение, вам может быть назначена местная лучевая терапия или химиотерапия. Если ваш SPTCL растет быстрее, вам может потребоваться пересадка стволовых клеток.
Первичная кожная акральная CD8-положительная Т-клеточная лимфома
Этот тип лимфомы обычно поражает взрослых старше 50 лет. Он чаще встречается у мужчин, чем у женщин. Обычно это одна медленно растущая папула или узелок, обычно на ухе, а иногда и на обоих ушах. Это также может повлиять на нос, руки или ноги. Обычно это лечится хирургическим удалением или местной лучевой терапией.
Первичное кожное CD4-положительное лимфопролиферативное заболевание малых / средних Т-клетокЭто состояние раньше считалось разновидностью лимфомы кожи, но теперь оно классифицируется как «лимфопролиферативное заболевание». Это доброкачественное заболевание, при котором лимфоциты собираются или растут ненормально, но в целом их поведение безвредно. Обычно он поражает взрослых в возрасте от 50 до 60 лет. Обычно он проявляется в виде отдельного налета или узелка, обычно на лице или шее. Лечение обычно представляет собой хирургическое вмешательство или местную лучевую терапию.
Редкие Т-клеточные лимфомы высокой степени злокачественности
Т-клеточные лимфомы высокой степени злокачественности — это быстрорастущие лимфомы, которые требуют более сильного (более интенсивного) лечения.
Взрослый Т-клеточный лейкоз / лимфома
Т-клеточный лейкоз / лимфома взрослых (ATLL) — это редкая лимфома, связанная с инфицированием вирусом, называемым человеческим Т-клеточным лимфотропным вирусом типа 1 (HTLV-1). У нас есть подробная страница о Т-клеточном лейкозе / лимфоме взрослых в нашем разделе, посвященном Т-клеточным лимфомам.
Экстранодальная NK / Т-клеточная лимфома, носовой типЭкстранодальная NK / T-клеточная лимфома носового типа — это редкая форма лимфомы, которая связана с инфекцией вирусом Эпштейна-Барра (EBV).Экстранодальная NK / Т-клеточная лимфома носового типа очень редко встречается в Великобритании. Чаще встречается в Азии, Центральной и Южной Америке.
У нас есть подробная страница по экстранодальной NK / Т-клеточной лимфоме носового типа в нашем разделе, посвященном Т-клеточным лимфомам.
Первичная кожная гамма / дельта Т-клеточная лимфомаПервичная кожная гамма / дельта-Т-клеточная лимфома обычно развивается у пожилых людей. Он одинаково влияет на мужчин и женщин. Он вызывает появление больших глубоких пятен и бляшек или изъязвленных узелков, как правило, на руках или ногах.У вас также могут быть симптомы группы В (ночная потливость, лихорадка и потеря веса). У некоторых людей развиваются низкие показатели крови и увеличиваются печень и селезенка. Ваш врач, скорее всего, порекомендует лечение комбинацией химиотерапевтических препаратов или, в некоторых случаях, трансплантацию стволовых клеток. Чтобы облегчить симптомы, вам может быть назначена лучевая терапия, в том числе тотальная электронно-лучевая терапия кожи.
Первичная кожная агрессивная эпидермотропная CD8-положительнаяТ-клеточная лимфома
Этот тип лимфомы чаще встречается у пожилых людей.Он проявляется в виде широко распространенных папул, бляшек и опухолей на коже. Пораженные участки могут изъязвляться. Это также может повлиять на слизистую оболочку рта. Он быстро растет и может распространяться на другие органы.
Ваш врач, скорее всего, порекомендует лечение комбинацией химиотерапевтических препаратов или, в некоторых случаях, трансплантацию стволовых клеток. Чтобы облегчить симптомы, вам может быть назначена лучевая терапия, в том числе полная электронно-лучевая терапия кожи.
К началу
В большинстве случаев лимфомы кожи представляют собой длительные (хронические) состояния, не опасные для жизни.Лечение обычно направлено на контроль симптомов, а не на лечение лимфомы.
Ваш прогноз (прогноз) зависит от множества факторов, включая ваш возраст, общее состояние здоровья и точный тип Т-клеточной лимфомы кожи. Ваш специалист лучше всего сможет проконсультировать вас по поводу вашего взгляда на ситуацию с учетом ваших индивидуальных обстоятельств.
Большинство лимфом низкой степени злокачественности никогда не развиваются после ранних стадий. Они часто диагностируются на ранней стадии, медленно растут и хорошо поддаются лечению. Любые проблемы с кожей, которые они вызывают, приходят и уходят, и лечение им требуется лишь время от времени.
Некоторые лимфомы низкой степени злокачественности не проявляются до тех пор, пока они не станут более продвинутыми и болезнь не распространилась на лимфатические узлы, кровь или внутренние органы. При лечении у многих людей с запущенным заболеванием наблюдаются длительные периоды отсутствия симптомов. Однако лимфома может вернуться после лечения быстрее, чем болезнь на более ранней стадии. Если он возвращается, его часто можно контролировать в течение многих лет с помощью лечения.
Некоторые лимфомы кожи растут быстрее и ведут себя более агрессивно.Они развиваются быстрее и срочно нуждаются в более сильном (более интенсивном) лечении.
Иногда медленнорастущие (низкосортные) Т-клеточные лимфомы кожи могут переходить (трансформироваться) в более быстрорастущий тип, хотя это бывает редко. Ваша медицинская бригада должна проверить это. Если ваша лимфома трансформируется, вам потребуется более интенсивное лечение.
К началу
Частота осмотров в основном зависит от того, какой у вас тип лимфомы кожи и как она реагирует на лечение.Вы можете посещать своего специалиста только каждые 6–12 месяцев, если:
- У вас медленнорастущая (низкосортная) лимфома кожи
- Ваше состояние стабильное (не меняется) или находится в стадии ремиссии (нет признаков заболевания) после лечения.
Если лимфома кожи быстро растет (высокой степени) или продолжает расти, вы можете посещать врача каждые 4–6 недель.
В клинике ваш врач спросит о ваших симптомах и осмотрит вас. Иногда у вас могут быть анализы крови, сканирование или биопсия.
Сообщите своему врачу, если у вас есть какие-либо симптомы, которые вас беспокоят, если вы заметили какие-либо изменения на своей коже или у вас появились новые опухоли.
К началу
Исследователи постоянно пытаются выяснить, какое лечение или сочетание методов лечения лучше всего работает при лимфомах кожи. Ваш врач может спросить, хотите ли вы принять участие в клиническом исследовании. Клинические испытания позволяют оценить новые методы лечения и сравнить их с уже известными.Изучение методов лечения — единственный способ сделать доступными новые и, надеюсь, лучшие методы лечения.
Узнайте больше о клинических испытаниях и найдите подходящее для вас клиническое испытание на Lymphoma TrialsLink.
К началу
С благодарностью Kyowa Kirin за вклад в поддержание наших веб-страниц о лимфомах кожи. В соответствии с тем, как мы работаем с медицинскими и фармацевтическими компаниями, Kyowa Kirin не принимала участия в создании контента.
Синдром Сезари Артикул
[1]
Cristofoletti C, Bresin A, Caprini E, Russo G, Narducci MG, Потеря гена β-аррестина-2 и возможные функциональные последствия для синдрома Сезари. Клеточный цикл (Джорджтаун, Техас). 2019 20 мая; [PubMed PMID: 31106661]
[2]
Maitre E, Le-Page AL, Comoz F, Truquet F, Damaj G, Cornet E, Verneuil L, Salaün V, Troussard X, Полезность проточной цитометрии для обнаружения кожной локализации при злокачественных гематологических заболеваниях.Цитометрия. Часть B, Клиническая цитометрия. 2019 3 мая; [PubMed PMID: 31050147]
[3]
Molloy K, Jonak C, Woei-A-Jin FJSH, Guenova E, Busschots AM, Bervoets A, Hauben E, Knobler R, Porkert S, Fassnacht C, Cowan R, Papadavid E, Beylot-Barry M, Berti E, Alberti Виолетти С., Эстрах Т., Матин Р., Акилов О., Вакева Л., Принц М., Бейтс А., Бейн М., Ваксмух Р., Векамп Ю., Маршалко М., Сервитье О., Тернер Д., Уэтерхед С., Вобсер М., Санчес Д. А., Маккей П. , Klemke D, Peng C, Howles A, Yoo J, Evison F, Scarisbrick J, Характеристики, связанные со значительно худшим качеством жизни при грибовидном микозе / синдроме Сезари, из исследования Проспективного международного прогностического индекса кожной лимфомы (PROCLIPI).Британский дерматологический журнал. 2019 2 мая; [PubMed PMID: 31049926]
[4]
Johnson LDS, Banerjee S, Kruglov O, Viller NN, Horwitz SM, Lesokhin A, Zain J, Querfeld C, Chen R, Okada C, Sawas A, O’Connor OA, Sievers EL, Shou Y, Uger RA, Wong M , Акилов О.Е., Нацеливание на CD47 при синдроме Сезари с помощью SIRPαFc. Кровь наступает. 2019 Apr 9; [PubMed PMID: 30962222]
[5]
Ван-де-Вельде В., Чжоу Ю., Существующие и новые методы лечения кожной Т-клеточной лимфомы.Журнал кожной медицины и хирургии. 2019 май / июнь; [PubMed PMID: 30943788]
[7]
Lim HLJ, Tan EST, Tee SI, Ho ZY, Boey JJJ, Tan WP, Tang MBY, Shen L, Chan YH, Tan SH, Эпидемиология и прогностические факторы грибкового микоза и синдрома Сезари в многоэтнической азиатской когорте: a 12-летний обзор. Журнал Европейской академии дерматологии и венерологии: JEADV.2019 февраля 23; [PubMed PMID: 30801779]
[8]
Дамаско Ф.М., Гескин Л.Дж., Акилов О.Е., Изменения ногтей при синдроме Сезари: одноцентровое исследование и обзор литературы. Журнал кожной медицины и хирургии. 2019 27 марта; [PubMed PMID: 30917680]
[9]
Альпдоган О., Картан С., Джонсон В., Сокол К., Порку П. Системная терапия кожной Т-клеточной лимфомы (CTCL).Китайская клиническая онкология. 2019 Фев; [PubMed PMID: 30818958]
[10]
Уэйн Т., Веннинг В.Л., Консуэгра Г., Фернандес-Пеньяс П., Уэллс Дж., Управление кожными Т-клеточными лимфомами: устоявшиеся и неотложные методы лечения. Австралийский дерматологический журнал. 2019 26 февраля; [PubMed PMID: 30809800]
[12]
Шалаби Д., Бистлайн А, Альпдоган О, Картан С., Мишра А., Порку П., Никбахт Н.

