Установка штифтов – Зубной штифт – Что это такое, цены и фото зуба со штифтом – стоматологический портал MyDentist.ru
что такое штифтовые зубы, как ставят при зубном протезировании, виды, сколько стоят
Для восстановления и исправления зубов сегодня разработаны десятки методов, каждый из которых призван быстро и безболезненно решать определенную клиническую задачу. При кариозных разрушениях лучше всего себя зарекомендовали вкладки, а при отсутствии у зуба опоры на помощь приходят штифты. Установка штифта при зубном протезировании осуществляется следующим образом: один конец стержня вкручивают в корневой канал, на другом крепят новый красивый зуб.

Что такое зубной штифт
Штифтом стоматологи называют особый стержень с резьбой. С ее помощью один конец штифта вкручивается в корень зуба, на второй конец конструкции устанавливается протез. Штифтовый метод наращивания зубов актуален в тех случаях, когда верхняя часть зуба сильно разрушена, а корневые каналы в нормальном состоянии.
Преимущества
- Эстетичность. Технология позволяет вернуть красивый внешний вид сильно разрушенным и поврежденным зубам, в том числе передним.
- Сохранение зубного корня, чего не происходит при имплантации.
- Функциональность. Искусственные штифтовые зубы полноценно справляются с функциями естественных, не причиняя никаких неудобств и не требуя особого ухода.
- Долгий срок службы. Наращенный на штифт зуб служит более 10 лет.
Риски штифтового протезирования
- В том случае, когда штифт устанавливают в ослабленный корень, возможно истончение зубных стенок с последующим разрушением.
- Некорректная установка может привести к распространению кариозного процесса.
- Металлические штифты хоть и в малой степени, но все же подвержены коррозии.
- При удалении штифта может возникнуть необходимость в его извлечении вместе с корнем.
- Возможна индивидуальная непереносимость материалов, из которых изготовлен штифт.
Для чего нужен штифт в зубе
Решение о целесообразности штифтового наращивания принимает врач. Показаниями к тому, чтобы использовать штифтовый метод, являются:
- Разрушение зубной коронки более чем на 50 процентов.
- Сильное ослабление зубной эмали в результате стоматологических заболеваний либо их лечения.
- Необходимость в создании прочной опоры для протезирования.
- Извлечение зуба на время лечения инфекции с последующим возвратом в лунку.

Противопоказания
В ряде случаев штифтовая конструкция противопоказана. Возможность установки штифтов при зубном протезировании определяет врач после изучения анамнеза, проведения исследования поврежденного зуба и оценки состояния ротовой полости.
В большинстве случаев препятствием поставить штифт незамедлительно становятся воспалительные процессы в ротовой полости. В таком случае штифтовые конструкции устанавливаются после проведения лечения.
Прямыми противопоказаниями к установке штифтов являются:
- отсутствие коронки зуба во фронтальной части;
- узость корневых каналов: ширина менее двух миллиметров;
- невозможность придания цилиндрической формы корневому каналу;
- недостаточная высота корня;
- наличие кист и гранулем в ротовой полости;
- нарушение свертываемости крови, в том числе во время менструации у женщин;
- беременность;
- психические нарушения;
- любые стоматологические заболевания воспалительного характера в острой стадии;
- полное разрушение коронки зуба.
Виды штифтов в стоматологии
Зубные штифты различаются по материалу изготовления, упругости, способу фиксирования и форме. Подходящую конструкцию врач выбирает после тщательного осмотра, проведения необходимых исследований и опроса пациента. Чтобы убедиться в том, что к установке стержня нет противопоказаний, ширина и глубина каналов достаточны, доктор должен провести рентгенологическое обследование.
По материалу
- Анкерный штифт является самым востребованным в стоматологии. Это обусловлено тем, что с его помощью восстанавливаются зубы с максимальной степенью разрушения коронки. Крайне важно
состояние корня зуба: штифт может устанавливаться, только если он цел и здоров. Изготавливается изделие из сплава различных металлов: нержавеющей стали, латуни, палладия, титана и даже золота. Благодаря высокой прочности, легкости и небольшой стоимости чаще других в стоматологии используются титановые штифты. Главным преимуществом анкерного штифта является надежное удержание восстановленной части зуба и возможность дальнейшей установки протезов. К недостаткам относят подверженность коррозии, сложности при удалении и заметность. Анкерные штифты могут устанавливаться как пассивным, так и активным способом. - Стекловолоконный штифт является вторым по популярности. Его отличие заключается в высокой эластичности, гипоаллергенности и легком извлечении. Изготавливается конструкция путем погружения стекловолокна в пластиковую форму таким образом, чтобы создавалась равносильная нагрузка на твердые ткани зуба. Визуально стекловолоконный штифт практически незаметен (смотрите фото), так как его цвет совпадает с пигментом эмали. Недостатком изделия является 15-процентная вероятность разрушения зубных тканей.
- Углеродоволокнистые стоматологические штифты очень эластичны, что обеспечивает снижение нагрузки на корень зуба, предотвращает перелом каналов. Структура материала близка к дентиновому слою натурального зуба, благодаря чему изделие прочно и долговечно.
- Парапульпарные стержни выполняются из металлического сплава, а снаружи покрываются полимером. Применяются преимущественно для армирования пломбировочного материала с полостью зуба. Их вставляют в твердые ткани без проникновения в пульпу. С одной стороны, это исключает возможность проникновения внутрь бактерий и развития воспалений, с другой, ограничивает спектр применения.
По упругости
- Эластичные штифты лучше защищают зуб от переломов и ударов.
- Неэластичные предпочтительнее для поддержки восстанавливающих конструкций, протезов и мостов.
Форма штифтового стержня
При выборе формы стержня врач исходит из индивидуальной формы корневого канала. Разработаны следующие формы стержней:
- коническая;
- цилиндрическая;
- цилиндро-коническая;
- винтовая.
Способы установки
- Активный. Стержень ввинчивается в корень зуба при помощи резьбы и используется как опора под полную коронку.
- Пассивный. Стержень вставляется и закрепляется в корневом канале с помощью специального цемента, его не нужно вкручивать. Прочность конструкции ниже, но такой метод является более щадящим для тканей зуба.
Установка штифтов при зубном протезировании

Установленный штифт
Готовится к установке штифтовых конструкций следует не в день операции, а еще на предварительной консультации. После того как стоматолог определил целесообразность и возможность штифтового протезирования, он должен детально проанализировать состояние зуба и изучить толщину его тканей. Учитывая все факторы, врач выбирает оптимальные материалы и разновидности крепления.
В том случае, если были выявлены воспалительные процессы и любые другие патологии, которые могут осложнить операцию, проводится их лечение. После этого требуется дополнительный осмотр. Когда врач убедится, что нет противопоказаний, начнется непосредственная подготовка к протезированию.
За день до установки штифта рекомендуется пройти процедуру чистки зубов от камней и налета. Это поможет минимизировать количество бактерий, которые могут попасть на раневую поверхность после манипуляции. За шесть часов до установки штифта нельзя есть.
Процедура
Первым делом колется укол анестезии в десну, чтобы обезболить место работы. После того как подействовала анестезия, и врач проверил поверхность на восприимчивость, начинается работа по установке. Стоматолог подготавливает корневой канал, удаляет нервы, расчищает и при необходимости расширяет канал. Рабочая зона обрабатывается антисептическим раствором.
Если используется пассивный штифт, канал предварительно заполняется цементирующей смесью, а в нее погружается стержень. Активный штифт вкручивают в канал, а пустоты заполняют полимерным составом. Для лучшей фиксации раствор просушивается галогенной лампой.

Фото: как ставят штифт в зуб
Когда стержень вкручен и надежно зафиксирован, на него ставится заранее изготовленный протез искусственного зуба. Для фиксации используется временный цемент, это делается для того, чтобы проверить материал на отторжение. Если окружающие ткани полости рта нормально отреагировали на чужеродный элемент, через неделю протез ставят на постоянную основу. При необходимости врач подгоняет его при помощи шлифовки.
Реабилитация
Первое время после установки штифта необходимо строго придерживаться ряда ограничений и рекомендаций. Сколько продлится реабилитационный период, может сказать только врач, проводивший лечение. На весь срок реабилитации следует:
- Исключить из рациона твердые и вязкие продукты, которые требуют активных жевательных движений. Еда должна быть мягкой или даже перетертой.
- В первые сутки не следует чистить зубы, допустимо только полоскание. В дальнейшем нужно будет отдать предпочтение щеткам с мягкой или средней щетиной.
- Исключить продукты и предметы, которые могут нарушить целостность зубов: орехи, семечки, зубочистки.
- Не пропускать визитов к стоматологу и строго следовать индивидуальным рекомендациям.
Сколько стоит установка штифта
Цена на установку искусственного зуба на штифте зависит от региона и вида выбранного изделия. В клиниках Москвы стоматологи протезируют традиционно дороже. Дешевле всего будет стоить титановый анкер в зуб, стекловолоконный штифт обойдется в 2,5 раза дороже.
Важно исходить из целесообразности установки того или иного вида штифта. Нужно учитывать, что будет лучше для зубов, в какой части челюсти выполняются манипуляции, планируется ли последующее протезирование, каков бюджет на лечение. Опытный стоматолог поможет подобрать оптимальный вариант.
Больно ли ставить штифт в зуб
Ставить штифт в зуб не больно, так как при таком протезировании используется местная анестезия. Когда процедура будет завершена, и действие наркоза пройдет, возможен некоторый дискомфорт, но боли не будет даже после процедуры.
Прежде чем принять окончательное решение в пользу протезирования с применением штифта, нужно проконсультироваться в отделении стоматологии. Врач должен объяснить, как будет проходить процедура, зачем вставлять тот или иной материал, каковы последствия и есть ли гарантии на установленную конструкцию. Штифт ставится надолго, поэтому важно выбрать опытного специалиста, который правильно подберет материал и профессионально проведет протезирование.
stomaget.ru
что это такое и зачем он нужен
Что такое штифт в зубе? Каждый человек, впервые столкнувшийся с подобным медицинским термином, наверняка задастся этим вопросом. Главная цель любых стоматологических манипуляций — сохранение зуба. Стоматологический штифт — это наиболее эффективный способ восстановления повреждённого костного элемента.
Многие посетители стоматологических клиник очень боятся его устанавливать. Подобный страх связан с тем, что пациенты не знают как вставляют штифт в зуб. Если вы тоже готовитесь к установке конструкции или хотите поддержать кого-то из ваших близких, то эта информация будет вам полезна.
Содержание статьи:
Что такое зубной штифт для чего он нужен
Штифты для зубов — это укрепляющие конструкции в форме спицы, которые применяются для вставки в каналы зуба, который полностью либо частично разрушен. Использование подобной технологии восстановления возможно лишь тогда, когда сохранилась хотя бы ⅕ доля от его внешней части.
Таким образом, вставить зуб на штифте можно при наличии следующих обстоятельств:
- разрушенная внешняя коронка моляра;
- остановка процесса дальнейшего разрушения после лечения кариозного процесса в полости рта;
- необходимость в создании опоры для установления мостовидного протеза.

Сильное разрушение коронки — одна из причин для установки
Существуют и определённые противопоказания:
- отсутствие коронки в передней части поражённого зуба;
- кариозные процессы;
- толщина стенок корней поражённого моляра менее 2 мм;
- недостаточная длина корней для обеспечения необходимой высоты;
- плохая свёртываемость крови;
- психические расстройства;
- беременность;
- воспалительный процесс в пародонтальных тканях.
Установка штифта в зуб довольно часто применяется в качестве основы в момент его реставрации при помощи композитных материалов. Вживление конструкции позволяет значительно ускорить реставрационные работы. Наряду с этим, штифтование исключает наличие ограничений относительно нагрузки на восстановленный зуб.
На видео рассказано, что такое штифт для зуба:
Виды конструкций
Чтобы понять, какие штифты лучше для зубов, необходимо знать все об их разновидностях. Стоматологи выделяют следующие виды:
- стандартный, который применяется при незначительном разрушении зуба;
- металлический, применяемый при значительном разрушении моляра;
- стекловолоконный, который отличается большой эластичностью;
- углеродоволокнистые, являющиеся наиболее прочными;
- анкерные, изготовленные из титановых сплавов;
- индивидуальные, учитывающие особенности рельефа конкретного корня пациента.
- Металлический
- Стекловолоконный
- Углеродоволокнистый
- Металлическая вкладка
Анна Лосякова
Стоматолог-ортодонт
Если брать за основу классификации форму корневого канала, то выделяют конические, цилиндрические, цилиндроконические и винтовые зубные штифты. По способу фиксации различаются активные и пассивные: первые фиксируются в дентине, а вторые — в полости корневого канала.
Достоинства и недостатки
Главным плюсом технологии лечения с применением стоматологического штифта является возможность восстановления даже сильно разрушенного моляра. Данные приспособления позволяют сохранить основу зуба. При использовании подобного метода нет необходимости заменять её имплантом, конструкция даёт возможность избежать необходимости удалять разрушенный моляр.

Штифт позволяет остановить разрушение зуба на любой стадии
К тому же стоматологические штифты для зубов не разрушают корневую систему передних костных элементов. Это даёт возможность гарантировать, что посторонние предметы не станут раздражать слизистую оболочку, как это бывает при применении съёмных протезов. Данный момент очень важен для пациентов с высокой чувствительностью и аллергической реакцией на некоторые материалы, применяемые стоматологом при лечении.
Анна Лосякова
Стоматолог-ортодонт
Следующим бесспорным преимуществом штифтовых соединений является продолжительный срок их службы. Значительное число приспособлений имеет гарантию сроком на 10 лет. Нередко этот полезный срок службы доходит и до 20 лет. Однако стоит помнить, что это возможно лишь при соблюдении определённых правил.
Среди недостатков этой конструкции обычно выделяют:
- Вероятность развития кариозного процесса вокруг вживлённого в десну элемента.
- Возможное смещение зубов из-за высокой прочности конструкции, которое порой приводит к повреждению протеза и корней моляра. Для того чтобы устранить эту проблему приходится удалять вживлённый элемент вместе с зубом.
- Необходимость удаления зуба после полного износа штифта, так как к моменту окончания срока использования спица проточит стенки.
- Высокая стоимость метода.

Так как штифт становится частью зуба, после износа конструкции зуб приходится полностью удалять
Больно ли ставить штифт
Современная стоматология обладает богатым набором средств, позволяющих обеспечить качественную анестезию во время проведения процедуры. Для установки штифта применяется местное обезболивание, так как необходимости в общем наркозе нет.
Анна Лосякова
Стоматолог-ортодонт
Лечащий врач, вводя инъекцию, добивается высокой степени обезболивания. Это позволяет пациенту не чувствовать никаких болезненных ощущений. Даже если при проведении процедуры возникнет дискомфорт, он будет незначительными и терпимыми.
Порядок установки
Процедура состоит из нескольких этапов.
Подготовительный период
До начала манипуляций врач тщательно осматривает пациента. Если при осмотре обнаружены какие-либо заболевания полости рта, которые могут усложнить операцию, то сначала проводится их полное лечение.
Стоматолог обязан проверить толщину дёсен и дать оценку их общему состоянию. В зависимости от этого подбираются материалы и вид крепления. Перед тем как приступить к процедуре, врач назначает профессиональную чистку. Это необходимо для избавления от налёта, снижения количества бактерий, которые могут попасть в поражённый участок при осуществлении манипуляций.

Перед установкой штифта обязательно нужно сделать профессиональную чистку
За несколько часов до процедуры пациенту не рекомендуется употребление пищи.
Установка
- В самом начале манипуляций проводится обезболивание, все остальные манипуляции начинаются лишь после того, как анестезирующее вещество полностью подействует.
- Пациенту расширяют и очищают зубной канал, после чего рабочая поверхность обрабатывается анестетиком.
- Если осуществляется вживление пассивной стоматологической конструкции, то врач применяет цементирующую смесь.
- После в канал вживляется стержень, который либо погружают внутрь, либо закрепляют закручивающими движениями.
- Цементирующая смесь просушивается с помощью специальной лампы.
- Если протез ещё не готов, то на этом этапе осуществляется сбор необходимой информации для его изготовления.
- Готовый протез будет установлен на временной поверхности для проверки вероятности отторжения материала. Продолжительность процесса — не менее недели. Если не развился процесс отторжения, то коронка либо протез прикрепляется на постоянной основе.

Порядок установки штифта
На видео смоделирован процесс того, как ставят штифт:
Реабилитация
Спустя какое-то время после процедуры, пациенту будет необходимо пройти профилактический осмотр у лечащего врача. Специалист проверит, как прижилась конструкция и не причиняет ли она неудобства её обладателю. Если возникнет необходимость, то протез будет направлен на доработку, но вставлять штифт заново не придётся.
Чтобы обеспечить успешное восстановление после установки конструкции, необходимо выполнять все предписания лечащего врача:
- принимать лекарственные препараты и соблюдать принципы диетического питания;
- употреблять мягкую, протёртую либо жидкую пищу, которая позволит избежать травмирования слизистой полости рта;
- обеспечивать тщательный гигиенический уход для предотвращения воспалительного процесса.
Таким образом, штифтование — отличный способ для восстановления разрушенного зуба. У метода есть много достоинств, некоторые недостатки. Но главное — это средство поможет вернуть человеку здоровую и красивую улыбку без особой боли.
zub.dental
что это такое, какие виды бывают и сколько стоит
Разрушение зуба давно не является проблемой для стоматологов. Не обязательно в таком случае удалять корень и ставить имплантат. Если зуб сохранился хотя бы частично, то его можно восстановить с помощью штифта. Эта конструкция позволяет нарастить новый зуб или поставить коронку, при этом вернув ему первоначальную функциональность и внешний вид. Штифтовая технология не сложная и довольно надежная, поэтому применяется часто для решения проблем с зубами.
Что собой представляет штифт
Штифт – это небольшая прочная конструкция стержнеобразной формы, которая вставляется в зубной канал. Внешне он похож на гвоздь или болт с резьбой и головкой. Изготавливается из различных материалов, но преимущественно металла. Служит фиксатором и держателем искусственного зуба. Используется для реставрации сильно разрушенного или слабого зуба.
Штифт является очень прочной и надежной опорой для съемных и несъемных протезных конструкций. Он вставляется прямо в канал зуба и хорошо фиксируется в кости. Благодаря этому искусственный зуб не разрушается, не ломается и выдерживает большие нагрузки. Обычно штифтовыми являются жевательные зубы, которые находятся возле щек. Но технология позволяет установить штифт в любом месте зубного ряда.
Выбор штифтов огромен. Он зависит от материала, размера, типа конструкции, способа фиксации. Подбирать оптимальный вариант должен стоматолог, потому что его надежность и долговечность зависит от состояния корневой системы и разрушенного зуба в целом. От вида штифта зависит также стоимость ортодонтического лечения, поэтому пожелания пациента также учитываются.
Установка штифта в зуб возможна только при частичном его сохранении. Полное разрушение зуба и корня требует другого способа лечения – имплантации. Целесообразность и возможность сохранения зуба и его последующего штифтования может определить только врач-стоматолог или ортодонт после тщательного осмотра и рентгенографии.
В каких случаях разрешена и запрещена установка штифта
Разрушенный кариесом или механическими повреждениями зуб не всегда предполагает установку штифта. В некоторых случаях достаточно реставрационных мероприятий, особенно, если речь идет о передних зубах. Для восстановления зуба с помощью штифтовой технологии должны быть определенные строгие показания, к которым относится:
- разрушение коронковой части зуба более, чем на 50%;
- необходимость опоры для съемных и несъемных протезов;
- отсутствие внешней части зуба с полным сохранением корня;
- остановка последующего разрушения зуба после лечения серьезного кариозного поражения;
- восстановление зуба после хирургического лечения патологий пародонта;
- спасение зуба после терапии инфекционных заболеваний ротовой полости.
Установка штифта происходит только при условии сохранения стенок зуба хотя бы на 15-20% и толщины корня не менее 2 мм. Если по каким-то причинам это невозможно, то подбирается альтернативный метод восстановления.

Использование штифта для стоматологического протезирования имеет и свои противопоказания. К таковым относятся:
- серьезные нелеченные кариозные повреждения стенок зуба;
- разрушенные или очень тонкие зубные корни;
- невозможность расчистки зубных каналов хотя бы на 1/3 глубины;
- недостаточная высота корневого канала;
- гранулема и киста челюсти в остром периоде;
- хронические патологии пародонта;
- проблемы со свертываемостью крови;
- период беременности;
- нервно-психические заболевания;
- аллергические реакции на импланты в анамнезе.
Только с учетом всех показаний и противопоказаний возможно подобрать правильную технологию лечения разрушившегося зуба. Установка штифта предполагает определенные ограничения, которые нельзя игнорировать ни пациенту, ни врачу.
Виды и типы зубных штифтов
Штифт не является устойчивой конструкцией, он подбирается под индивидуальные потребности каждого пациента. Для этого разработаны разные типы штифтов, которые показаны при той или иной патологии. В первую очередь, существует несколько материалов для изготовления стоматологического стержня. В зависимости от этого штифты делятся на два вида – металлические и неметаллические.
- Металлический штифт изготавливается из металлических сплавов. Используется титан, латунь, золото, сталь, палладий. В чистом виде золотой или титановый штифт найти сложно, да и стоить он будет дорого. Чаще всего встречаются соединения, в которых преобладает тот или иной металл. Выбор обычно зависит от предназначения штифта, а также индивидуальной реакции организма на материал. Все металлы по своей сути гипоаллергенны, но встречаются случаи гиперчувствительности. Для сильных аллергиков отлично подойдет штифт с примесями золота. В случае со значительными разрушениями зуба лучше брать титан – самый прочный и долговечный материал, выдерживающий большие нагрузки. Но он не пластичен, поэтому может навредить корню при сильном давлении. О всех своих особенностях нужно сообщать стоматологу, чтобы адекватно подобрать материал и потом не переделывать зуб.
- Неметаллические штифты предполагают использование углепластика, керамики, стекловолокна. Углепластик очень пластичный материал, но в стоматологической практике применяется редко из-за своей низкой прочности. А штифт как раз и должен выполнять функцию главного держателя искусственного зуба.
- Керамические спицы в зуб весьма эстетичны. Они не просвечиваются через коронку и не видны даже при близком осмотре. При этом керамика не может похвастаться прочностью и износостойкость. Керамический штифт целесообразно использовать на зубах, которые видны при улыбке и незначительно участвуют в процессе жевания.
- Лучшим вариантом по всем критериям является стекловолокно. Этот материал пластичен, гибок, легок и полностью прозрачен. Под большой нагрузкой такой штифт прогибается, а потом возвращается в первоначальное состояние, не повреждая стенок и корня зуба. Внешне конструкция абсолютно не видна, поэтому подходит для любых зубов.
Неметаллические конструкции используются стоматологами гораздо реже металлических, преимущественно из-за высокой стоимости протезирования.
Способ крепления и фиксации штифта в челюсти играет немаловажную роль. Существует два основных типа штифтов:
- активные;
- пассивные.
Активная конструкция подразумевает наличие бороздок (как резьба у болта), благодаря которым она вкручивается в костную ткань. Так обеспечивается максимальная надежность и неподвижность. Такой метод реставрации подходит для не расширенных зубных каналов. При правильной установке и закреплению активный штифт стоит десятилетиями, не сдвигаясь с места и не ломаясь.
Пассивные штифты применяются реже и показаны при лечении сильно разрушенного зуба. Большая лунка в зубе не будет держать активную конструкцию, поэтому используется пассивная. Она предполагает заполнение полости цементом, в который вставляется спица. Установка простая и быстрая, но менее надежная и долговечная.
Внешний вид и форма зубного штифта тоже различаются. Наиболее популярные и ходовые конические и цилиндрические конструкции, которые считаются стандартными. Но в разных ситуациях может понадобится подбор более эксклюзивной формы. На такой случай изобретены цилиндроконические и винтовые штифты. Выбор зависит от особенностей канала и величины лунки.
В отдельную группу выделяют индивидуальные штифты, которые изготавливаются в единственном экземпляре под конкретного человека. Такая спица в точности повторяет все изгибы и расширения зубного канала, обеспечивая надежное крепление коронки.
Какие преимущества и недостатки есть у штифтов
Для оптимального выбора ортодонтической конструкции нужно обязательно взвесить все «за» и «против» установки именно штифта в зуб. Ведь жить с этим придется долгие годы, желательно без дискомфорта и всяческих осложнений.
Разрушенный более чем на половину зуб не подлежит реставрации и пломбированию, особенно, если он жевательный. В таком случае единственный выход – это полное удаление и постановка импланта. Но стоматология придумала идеальную альтернативу обеим операциям – штифтовый зуб. Это менее болезненно, менее длительно и гораздо экономичнее. В этом и состоит главное преимущество штифта.
Но это далеко не все плюсы. Кроме спасения безнадежного зуба, штифты:
- не повреждают и не нарушают целостность соседних зубов;
- подходят для установки в любом месте зубного ряда;
- позволяют восстановить разрушенный зуб практически с нуля, вернув ему первоначальный внешний вид;
- имеют большой срок службы – от 10 до 20 лет;
- изготавливаются из разных материалов, что позволяет подобрать под каждый индивидуальный случай;
- выдерживают большие нагрузки при жевании пищи;
- полностью восстанавливают функциональность поврежденного зуба.
Как и у любых стоматологических конструкций, у штифтов есть некоторые недостатки. После постоянных значительных нагрузок они могут постепенно разрушать корень зуба и коронку, что, в конечном итоге, приведет к полному его удалению. Неэластичность некоторых материалов этому способствует. Иногда вокруг спицы развивается кариес, который невозможно увидеть при осмотре. Такая ситуация исключена, если монтаж был выполнен качественно и профессионально.
zubz.ru
Установка титановых штифтов
Если из-за кариеса или травмы зуб разрушен более чем наполовину, стоматологи прибегают к его восстановлению с помощью дополнительных приспособлений – в частности, используют титановый штифт. Его устанавливают в корневой канал зуба, чтобы обеспечить опору для коронок из искусственных материалов.
По внешнему виду штифт напоминает стержень или небольшой винт. В стоматологии он применяется:
- для восстановления одной единицы в ряду;
- при подготовке опорных зубов под мостовидный протез;
- при создании сложных конструкций для шинирования подвижных зубов.
Установка титановых штифтов: фото до и после

Виды титановых штифтов
Титановые штифты в стоматологии классифицируют по нескольким пунктам:
- По форме:
- конические;
- цилиндрические.
- По характеру поверхности:
- гладкие;
- зубчатые;
- ввинчивающиеся.
- По способу фиксации:
- пассивные;
- анкерные.
Также титановый штифт бывает стандартным либо индивидуальным. В первом случае речь идет о заводских конструкциях, которые теоретически могут устанавливаться в любой корень. Индивидуальные штифты изготавливаются персонально с учетом параметров конкретного зуба. Они более надежны, но из-за сложностей изготовления цены на титановые штифты этого типа, соответственно, выше.
Как происходит установка титанового штифта
Процедура установки титанового штифта не сложная и не болезненная. Предварительно корневой канал должен быть правильно подготовлен. Для этого удаляется нерв, канал расширяется и заполняется особым цементом. Если зуб ранее уже был депульпирован, корневой канал просто расширяется с помощью специальных инструментов. Затем в зависимости от строения зуба и анатомических особенностей каналов корня врач выбирает оптимальную форму титанового штифта и помещает конструкцию в зуб. В завершении процедуры на установленном штифте фиксируется искусственная коронка либо зуб наращивается композитным материалом.
Преимущества и недостатки
Титановые штифты в стоматологии широко применяются благодаря целому ряду положительных качеств:
- Прочность и долговечность реставрации.
- Отличная совместимость с тканями человеческого организма.
- Гипоаллергенность: не вызывает раздражения и реакции отторжения.
- Стойкость к коррозии.
- Химическая инертность – материал не взаимодействует с биологической средой и не вызывает гальванических токов.
- Универсальность. Корневые титановые штифты в стоматологии применяются для всех пациентов и устанавливаются в любые типы корней.
- Обеспечение равномерной нагрузки на корень.
- Широкий выбор форм и размеров. Дополнительную обработку штифта стоматолог может выполнить непосредственно в момент реставрации зуба.
При всех достоинствах установка титанового штифта имеет и недостатки:
- Повышенная нагрузка на зуб при жевании может привести к деформации или перелому корня.
- При удалении конструкции из канала возникают технические затруднения.
- При установке в каналы нескольких титановых штифтов отсутствует монолитность конструкции, в результате оставшиеся ткани дентина истончаются и при любых повышениях механической нагрузки зуб может разрушиться. Особенно велик риск осложнений при мостовидном протезировании.
doka-dent.ru
Установка Стекловолоконного Штифта
Установка стекловолоконного штифта – ключевой шаг успешного восстановительного лечения, потому как 70% протезируемых зубов являются девитальными и нуждаются в укреплении корня.
Установка стекловолоконного штифта осложняется небольшим диаметром корневых каналов, неудобным доступом к зубу (в особенности боковой группы). Также важно подобрать такой инструмент, который может изменять форму, не меняя своих механических свойств. Из-за всех этих моментов до недавнего времени количество материалов, инструментов и техник для заполнения пространства корня было значительно ограничено.
Вот некоторые ключевые вопросы этой темы:
— Какова последовательность установки стекловолоконного штифта?
— Какую адгезивную систему (светового или двойного отверждения) нужно использовать для восстановления анатомии корневого канала?
— Какой материал необходим вначале для заполнения корня, потом для восстановления коронки зуба: химического, а затем светового отверждения, или можно воспользоваться одним и тем же материалом?
— Какой штифт выбрать?
— Как внести материал в канал, чтобы избежать появления воздушных пузырьков и сохранить его однородную консистенцию?

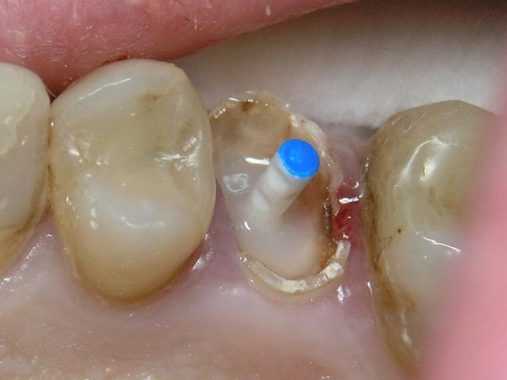
(Рис.1)
Изоляция зуба
До начала препарирования необходимо произвести тщательную изоляцию зуба с помощью коффердама. Можно воспользоваться флоссом, чтобы прижать коффердам ближе к десне, тем самым улучшая видимость краев зуба.

(Рис.2)
Обработка корневого канала
После прохождения инструментом Ларго №3, проводится обработка корневого канала ультразвуком, чтобы удалить весь цемент для улучшения адгезии.

(Рис.3)
После изоляции по краям зуба устанавливается Core-форма. Мы используем ножницы для моделирования пришеечной части, чтобы улучшить прилегание формы к тканям зуба. Этот этап важен для создания внутреннего давления в композиционном материале.
(Рис.4)
Установка стекловолоконного штифта
Корневой канал обрабатывается адгезивом химического отверждения Luxabond (DMG). Затем наконечником для смешивания Colibri plus (Sulzer MIXPAC) вносится материал Luxacore Z (DMG).
После этого осуществляется установка стекловолоконного штифта Luxapost (DMG)

(Рис.5)
Luxacore Z
Luxacore Z – это универсальный композиционный материал двойного отверждения, предназначенный для установки стекловолоконных штифтов и восстановления культи зуба при наличии глубокой полости. Важно помнить о том, что перед световым отверждением нужно подождать две минуты до завершения процесса химического отверждения.

(Рис.6)
Восстановление культи зуба
Одновременно с внесением в корневой канал материала Luxacore Z, проводится восстановление культи зуба. Для этого core-форма заполняется тем же материалом и устанавливается на зуб. Внутри формы создается давление, которое необходимо для сохранения однородности материала всей реставрации.

(Рис.7)
Препарирование коронки зуба
После отверждения материала можно приступать к препарированию получившейся коронки зуба, чтобы добиться полностью удовлетворяющего нас результата.

(Рис.8)
Двойной оттиск
Далее устанавливаем ретракционную нить и получаем двойной оттиск с помощью материалов Honigum light body (DMG) и MIXTAR Honigum putty fast (в картриджах). Для Honigum putty fast используется та же система Colibri mixer, но устанавливается картридж уже не с материалом для восстановления культи зуба, а с силиконом, которым заполняется оттискная ложка. Система обеспечивает идеальную однородность оттискного материала.

(Рис.9)
Силикон позволяет получить очень точный оттиск.
Выводы
Как и всё в мире стоматологии, применение стекловолоконных штифтов в ежедневной практике должно быть оправданным с точки зрения затраченного времени и своей эффективности. Поэтому протокол, в котором все шаги максимально стандартизированы, необходим для быстрой и качественной работы.
Также одно из главных преимуществ этой техники – создание уникальной монолитной конструкции внутри зуба, которая благодаря своим адгезивным свойствам укрепляет оставшиеся ткани зуба.
Однако если нет феррула (как минимум двух миллиметров оставшегося коронкового дентина в пришеечной части), рекомендуется использование металлического штифта.
Перевод выполнен Титенковой О.В. специально для сайта OHI-S.COM. Пожалуйста, при копировании материала не забывайте указывать ссылку на текущую страницу.
Литература
Verri FR, Okumura MHT, Lemos CAA, Almeida DAF, de Souza Batista VE, Cruz RS, Oliveira HFF, Pellizzer EP. Three-dimensional finite element analysis of glass fiber and cast metal posts with different alloys for reconstruction of teeth without ferrule. J Med Eng Technol. 2017 Nov;41(8):644-651.
Migliau G, Piccoli L, Di Carlo S, Pompa G, Besharat LK, Dolci M. Comparison between three glass fiber post cementation techniques. Ann Stomatol (Roma). 2017 Jul 3;8(1):29-33
http://styleitaliano.org/
ohi-s.com
что это такое, применение в стоматологии при протезированни
Зубной штифт представлен в виде стержня, который укрепляет зуб. На него устанавливается пломба или коронка. Существует множество видов таких фиксаторов для коронок. Каждый из них имеет свои показания к использованию, преимущества и недостатки. Выбор конкретного вида штифта зависит от дефекта, который необходимо устранить.
Показания и противопоказания к использованию
Протезирование зубов штифтами является довольно распространённой методикой, которая позволяет избежать их удаления. Изделие может целиком или частично закрепляться в канале. Существуют следующие показания к использованию такого фиксатора:
- сильное разрушение коронки;
- необходимость укрепления для установки протеза;
- прекращение дальнейшего разрушения после устранения кариеса.
При переломе зуба производится его удаление. Часто штифты используются в качестве основы для проведения композитного восстановления. Они значительно упрощают процедуру.
От установки фиксатора следует отказаться при следующих клинических ситуациях:
- тонкие стенки корня;
- наличие кисты или гранулёмы;
- сильное искривление или непроходимость корневых каналов.
Если у пациента диагностировано воспалительное поражение, то установка штифта возможна только после лечения. Беременность является относительным противопоказанием к процедуре.
Преимущества и недостатки
Штифтование имеет ряд преимуществ по сравнению с другими методиками восстановления зубов. Главное его достоинство — длительный срок эксплуатации, который иногда может доходить до 10 лет. Такой стоматологический стержень помогает не только устранить косметический дефект, но и восстановить функциональность зуба. Штифт позволяет уберечь разрушившийся зуб от удаления. Если штифтовая конструкция устанавливается под коронку, то процесс её стирания будет проходить намного медленнее. Это объясняется тем, что такая опора правильно распределяет нагрузку во время жевания.

Несмотря на ряд преимуществ, такие стоматологические конструкции имеют и недостатки. К их числу можно отнести следующие нюансы:
- неправильно установленное изделие может стать причиной кариозного поражения и полного разрушения коронки;
- некоторые типы конструкций стоят довольно дорого;
- металлические штифты не могут распределять нагрузку по всему зубу, так как материал не настолько гибкий, как это необходимо.
В некоторых случаях возникает необходимость удаления фиксатора. Штифты не подходят для повторного восстановления зуба.
Виды конструкций и их особенности
В современной стоматологии используются разные виды штифтовых конструкций. Они имеют различные формы и способы фиксации. Чаще всего устанавливаются следующие фиксирующие изделия:
- стандартные;
- титановые;
- стекловолоконные;
- углеродоволокнистые;
- индивидуальные.
Стандартные штифты могут иметь коническую или цилиндрическую форму. Такие изделия используются для укрепления практически разрушившегося моляра. Стержень подгоняется непосредственно под корень. Для этого используется специальный инструмент.

Титановые штифты в стоматологии занимают значительное место. Они являются бюджетным вариантом металлической конструкции. Такие изделия помогают укрепить восстановленную часть зуба. Материал, из которого они изготавливаются, довольно прочный и не вызывает аллергии. Однако металлические стержни имеют множество недостатков. Они не подходят для проведения реставрации фронтальных зубов, а также оказывают сильное давление на корень. Их довольно сложно удалить из канала. Титановый штифт в зубе, в отличие от серебряных или латунных конструкций, не взаимодействует с бактериальной флорой в ротовой полости.
В стоматологии стекловолоконный штифт является одним из самых эффективных, так как он эластичный и не вступает в реакцию с протезом и слюной. Для его изготовления применяются непрерывные стеклянные волокна. Стекловолокно позволяет равномерно распределить механическую нагрузку. Такие изделия полностью прозрачные, поэтому они могут использоваться для фиксирования передних зубов. К преимуществам такого стержня можно отнести его неокисляемость и легкое извлечение из канала.

Из стекловолокна
За счёт простоты в установке риск сломать корень практически отсутствует. Стоимость стекловолоконных изделий намного выше, чем металлических.
Углеродоволокнистые штифтовые конструкции являются самыми современными изделиями. Они более прочные и лучше распределяют нагрузку по корневому каналу. Такие фиксаторы позволяют предотвратить перелом коронки или корня. Их принято считать универсальными.
Индивидуальные штифтовые конструкции изготавливаются по рельефу корня. Они являются более надёжными, чем стандартные стержни.
По форме фиксаторы могут быть:
- коническими;
- винтовыми;
- цилиндрическими;
- цилиндро-коническими.
По методу фиксации стержни можно разделить на активные и пассивные. Активные стоматологические штифты представляют собой твёрдые изделия, которые фиксируются в дентине. Это надёжные изделия, используемые для восстановления полностью разрушившегося зуба. Конструкция имеет резьбу, при помощи которой штифт вкручивают в зуб. Недостаток такого стержня заключается в создании дополнительного напряжения, способного привести к расколу зуба.
Изделия пассивного типа устанавливаются в корневой канал. Чтобы их поставить, используется специальное вещество. Такой штифт чаще всего применяется для укрепления зуба после проведения лечения.
По степени упругости все изделия можно разделить на эластичные и неэластичные. Главное преимущество первых заключается в том, что они помогают предотвратить корневой перелом. Второй тип применяется для поддержания мостовидных протезов.
Правила выбора штифтов
Перед тем как приступить к установке стержня, врач должен правильно подобрать его с учетом индивидуальных особенностей организма пациента и общего состояния зубного ряда. Важными критериями при выборе штифта являются:
- Толщина корня. Если корень меньше 2 мм, то штифтование является противопоказанным. Это объясняется тем, что стержень может расколоть корень зуба при жевании.
- Состояние коронки.
- Глубина корней. Штифт вывернется, если глубина корня меньше, чем верхняя часть зуба.
- Расположение зуба. Большую роль играет то, будет ли он под общим протезом или находится отдельно.
Выбирая материал, из которого будет изготовлена конструкция, следует обращать внимание на степень его биологической совместимости с дентином. Чаще всего для лечения используется цилиндрический тип изделий. Оптимальный вариант — эластичные конструкции, так как они не разрушают зуб во время сильной нагрузки.
Штифтовые конструкции являются не дорогим и эффективным способом восстановления разрушенного зуба. Они помогут сохранить корень или весь зуб целиком, позволяют сделать реставрацию, которая будет незаметна и сможет прослужить много лет, благодаря армирующей основе в виде штифта.
Возможные осложнения и реабилитация
Боль после пломбировки каналов считается нормальным явлением. Она проходит самостоятельно через 2—3 дня после процедуры. Это объясняется тем, что во время проведения процедуры специалист мог задеть мягкие ткани. Но если боль со временем только усиливается, тогда необходимо обратиться к врачу. Чтобы установить точную причину развития осложнения, делается рентгеновский снимок. К числу возможных причин можно отнести:
- Неправильную постановку штифта. Он может быть размещён слишком глубоко. Боль способна возникать при надавливании на зуб или в процессе жевания. Интенсивность неприятных ощущений зависит от болевого порога и сложности ошибки врача. Боль может приобретать ноющий характер.
- Перфорацию стенок корня.
- Каналы неплотно заполнены пломбировочным материалом.
- Недостаточную антисептическую обработку. В полости остались патогенные микроорганизмы, которые спровоцировали развитие воспалительного процесса. Внешне это будет выглядеть как гнойник. Без лечения сформируется свищ или абсцесс десны.
В процессе установки штифта стоматологический инструмент способен отколоться, в результате чего в полость могут попасть небольшие осколки. Если пациент ощущает боль в том зубе, который лечился давно, то в этом случае причины осложнения другие. К их числу можно отнести недостаточную гигиену полости рта или образование микротрещин в зубе. Боль может возникать из-за механической травмы десны, кисты или разрушения зуба. Если виден штифт из зуба, то врач должен переделать свою работу.

Гнилой зуб под коронкой на штифте
После установки врач должен предупредить пациента о том, что штифтовый зуб может болеть в первые дни. Рекомендуется полоскать рот водой с содой. В течение нескольких дней после установки стержня рекомендуется отказаться от твёрдых продуктов. Если проводилось сложное лечение, тогда врач может назначить приём обезболивающих лекарственных препаратов.
Крайне редко бывают случаи, когда пациент может проглотить коронку со штифтом. Если это произошло, следует немедленно обратиться к специалисту, чтобы он провёл санацию полости. Изделие выводится естественным путём.
Цена и аналоги
Стоимость штифтового стержня зависит от материала, из которого он изготовлен, и клиники, где будет проводиться процедура. Цена анкерного штифта составляет 400 р., стекловолоконный стоит от 700 р.
Существуют аналоги, которые могут использоваться для укрепления зуба. Отличной заменой штифтового фиксатора является литая культевая вкладка, представляющая собой моноблок. Индивидуальные культевые вкладки надёжнее стержней и могут устанавливаться даже в самые разрушенные корни.

Довольно эффективной является технология Luminex. Она объединяет преимущества литых вкладок и штифтов. Существуют также и разборные штифтовые конструкции. Чаще всего они применяются для укрепления сильно разрушенных корней.
На первой консультации врач должен рассказать, зачем ставятся штифты и сколько будет длиться процедура. Вставлять его совершенно не больно, возможны лишь неприятные ощущения в процессе проведения манипуляции.
zub.clinic
Штифт в зубе — что это такое. Установка зубного штифта. Цены на установку

Под воздействие определённых факторов, несвоевременного лечения кариеса и внутренних изменений в организме зубы могут разрушаться. Стоматологические штифты в зубы представляют собой современную методику быстрого восстановления разрушенных зубов. Узнать более детально, что это такое и об основных видах штифтов вы сможете далее. Если же вас интересует, сколько стоит штифт, тогда рекомендуем вам записаться на бесплатный приём к специалистам сети наших клиник «Центр эстетической стоматологии» по указанным номерам!
Разновидности штифтов и используемые материалы
Многие из нас так и не знают, зачем ставят штифт в зуб. В большинстве случаев штифт в зуб применяют в тех случаях, когда зуб уже полностью разрушен, но его корень сохранился. По технологии штифт является связующим звеном между коронкой и внутренней частью зуба.
На данный момент стоматологи используют различные виды штифтов в зубы, среди которых наибольшей популярностью пользуются следующие виды:
- активный;
- пассивный.
Первый вид штифтов устанавливаются с помощью специальной резьбы, которая гарантирует надёжное крепление штифта в зубе с помощью специального цементирующего средства. Их главные преимущества — надёжность, долговечность, устойчивость к механическим повреждениям. Также в некоторых случаях используют пассивный зубной штифт, который крепится только с помощью подготовленного цементного состава во внутренней части зуба. Данный вид крепления не очень надёжный, поэтому специалисты рекомендуют первый вариант штифта.
Несколько видео про зубные штифты
Универсальным вариантом, который подходит всем пациентам считаются стандартные анкерные штифты в зуб.
Для изготовления штифтов могут применять специальные металлические сплавы, а также материалы неметаллического происхождения. Такой зубной штифт устанавливают с помощью специальных инструментов с обязательной подгонкой глубоко под корень зуба. Узнать более детально о том, как ставят штифт в зуб вы можете у специалистов наших клиник, записавшись на бесплатную консультацию. Стоматолог определит серьёзность проблемы и наиболее оптимальный вид штифта.Подобранный штифт в зуб будет установлен в несколько этапов:
- Этап 1.
изоляция зуба и его тщательная очистка;
- Этап 2.
дезинфекция и обтурация канала;
- Этап 3.
расширение канала и введение гуттаперчи перед установкой штифта в зуб;
- Этап 4.
обработка антисептическими препаратами;
- Этап 5.
постепенная установка штифта с одновременным креплением его цементирующим препаратом;
- Этап 6.
реставрационные работы с применением коронок или подготовленных пломбировочных материалов.
Установка штифта в зуб, показания и противопоказания к процедуре
Перед тем как делают установку, специалист обязательно изучает возможные противопоказания к данной процедуре.
Вам не установят зубной штифт, если присутствует сильное разрушение стенок и корня или толщины стенки недостаточно для установки штифта. Кроме этого штифт в зуб не используют для пациентов с кариесом, болезнями пародонта, гранулем или наличием кист.Фото с примерами штифтов в зубах
Узнать о возможности установки штифта, цены на данную услугу и выбрать день проведения процедуры вы можете на первой консультации у специалиста ГК «Центр эстетической стоматологии» в Москве. На нашем официальном сайте вы также найдёте отзывы пациентов, фото до и после установки, а также стоимость основных видов услуг. Ждём вас!
Возможно Вам будет интересно
Вопросы и ответы про установку зубных штифтов
Заинтересовалась процедурой установки штифта в зуб! У меня отсутствуют 5 зубов, есть кариес и небольшое воспаление пародонта. Скажите, подходит ли мне данная процедура? Спасибо!
Процедура установки штифта в зуб показана в вашем случае, но перед её проведением требуется вылечить кариес и устранить воспаление в тканях пародонта. Приходите к нам на бесплатную консультацию, чтобы мы подобрали для вас эффективное лечение и правильный уход за зубами! Ждём вас!
www.impl.ru

состояние корня зуба: штифт может устанавливаться, только если он цел и здоров. Изготавливается изделие из сплава различных металлов: нержавеющей стали, латуни, палладия, титана и даже золота. Благодаря высокой прочности, легкости и небольшой стоимости чаще других в стоматологии используются титановые штифты. Главным преимуществом анкерного штифта является надежное удержание восстановленной части зуба и возможность дальнейшей установки протезов. К недостаткам относят подверженность коррозии, сложности при удалении и заметность. Анкерные штифты могут устанавливаться как пассивным, так и активным способом.