При улыбке верхних зубов не видно – Высоко посаженная верхняя челюсть, не видно верхних зубов при улыбке и разговоре- можно ли что-то сделать? | Консультация врача
Улыбки первых леди не прошли проверку российских стоматологов
Что скрывают за собой улыбки первых леди мира? Завесу тайны приоткрыл стоматолог с тринадцатилетним профессиональным стажем, хирург-имплантолог, кандидат медицинский наук, Член Европейской Ассоциации Черепно и Челюстно-Лицевой Хирургии (EACMFS) Антон Герасимов.
В российском интернет-сообществе идут баталии стоматологов, критикующих работы друг друга, порой переходя на личности. «Если бы кто-либо обезличено выложил фотографию улыбки первой леди как свою работу, его бы просто засмеяли российские коллеги. Выходит, российские стоматологи более профессиональны, чем стоматологи первых леди государств? Или стремление к бескомпромиссному идеалу не нужно пациенту, а лишь тешит эго стоматолога?» — рассуждает Антон Герасимов.
БРИДЖИТ МАКРОН

—
Состояние зубов новоиспеченной первой леди Франции вызывает беспокойство у российских стоматологов.
«В первую очередь обращает на себя внимание наклон плоскости смыкания зубов. Боковые зубы справа (на фото — зеленым) расположены слишком низко и даже частично закрыты нижней губой. Можно с высокой долей вероятности говорить о наличии проблем с боковыми зубами на нижней челюсти: сниженная клиническая коронка, а то и их отсутствие, — считает Антон Герасимов. — Четыре передних верхних резца (на фото — синим) — это искусственные зубы. Решение не самое удачное: рядом стоящие зубы (клыки) всегда немного более желтые, но здесь слишком сильный контраст. Есть признаки глубокого, а возможно и открытого прикуса: расположение передних зубов (на фото – синим) по дуге. Они, скорее всего, не контактируют с нижними зубами. Возможны нарушения дикции. Вероятно, такое расположение передних зубов выбрано для поддержания объема верхней губы. Но дефицит мягких тканей несколько выше (на фото – желтым) может говорить о том, что передний отдел верхней челюсти имеет наклон в течение всей жизни. Такой комплекс признаков, как выраженные тени над зубами, обозначенными синим и зеленым (два задних зуба) и совпадение их по цвету между собой может быть косвенным признаком съемного протеза на верхней челюсти. Если это так, то в переднем отделе верхней челюсти дефект костной ткани значительный.
В целом ситуация очень сложная», — заключает эксперт.
КАРЛА БРУНИ

—
Зубы одной из предшественниц Бриджит Макрон – Карлы Бруни – также далеки от совершенства. Хотя результат работы стоматологов видно невооруженным взглядом и многое говорит о необходимости «обновить» улыбку.
«Все зубы на верхней челюсти искусственные, — отмечает Антон Герасимов. – Полагаю, что боковая группа зубов (на фото – синим) была изготовлена более 10 лет назад. Слишком белые и непрозрачные коронки. В тот же период, возможно, были сделаны коронки на нижней челюсти слева (на фото — серым).
«В целом ситуация хорошая, но пора уделить внимание давним реставрациям», — заключает Антон Герасимов.
Марин Ле Пен
—
По мнению экспертов, улыбка кандидата в президенты Франции Марин Ле Пен если и нуждается в улучшении, то в большей степени в эстетическом, поскольку с точки зрения функции, ситуация хорошая. Значительно улучшить эстетику улыбки можно при минимальных усилиях.
«Большинство зубов верхней челюсти покрыты коронками и пломбами, — отмечает Антон Герасимов. — Размер, положение и форма передних верхних зубов ухудшают внешний вид. Передние зубы верхней челюсти имеют обратный наклон. Шейки центральных верхних зубов значительно ниже линии клыков (на фото — синим). Налет между зубами нижней челюсти (на фото – зеленым) – следствие их скученности (плотного расположения).
Тень над зубом (на фото — желтым) — это следствие травматичного удаления. Черные треугольники (отсутствие десны между зубами) обозначены красным.
Стираемость на клыках нижней челюсти (на фото — фиолетовым) может говорить о проблемах с прикусом, скрежетании зубами, либо о том, что функция жевания боковыми зубами была снижена», — заключает эксперт.
Ангела Меркель

—
Фотографии улыбки Ангелы Меркель, по мнению эксперта, свидетельствуют об удовлетворительном состоянии зубов канцлера ФРГ. Однако, от внимательного взгляда профессионала сложно утаить даже мелкие недочеты.
«На резце — окрасившаяся пломба (на фото -зеленым), деминерализация зубов (на фото — желтым), — говорит эксперт. – Черные пространства (на фото — синим) могут указывать на узкую верхнюю челюсть, что в свою очередь может быть следствием ротового дыхания в детстве.
«Предположу, что пациент ставит во главу угла функцию, либо очень боится стоматолога, т.к. замена пигментированной пломбы (на фото – зеленым) займет не более 15 минут» — заключает Антон Герасимов.
Тереза Мэй
—
Несмотря на напряженный график, судя по фотографиям Терезы Мэй, на стоматолога она все же находит время. По мнению Антона Герасимова, состояние зубов премьер-министра Великобритании «удовлетворительное».
«Однако, интуиция подсказывает, что объем скрытых стоматологических проблем немалый, — отмечает хирург-имплантолог, — Так, западение верхней губы (на фото — зеленым) и контакт режущих краев верхних зубов с нижней губой при улыбке говорит о возможной патологии прикуса. Черные пространства (на фото — синим) могут указывать на узкую верхнюю челюсть, что в свою очередь может быть следствием ротового дыхания в детстве. Видимые зубы, скорее всего, свои. Зубные отложения между зубами связаны со скученностью (тесным расположением) зубов верхней челюсти (на фото желтым)».
Саманта Кэмерон

—
Обширных вмешательств со стороны профессионалов в сфере эстетической стоматологии улыбка супруги экс-премьера Великобритании Дэвида Кэмерона не требует. Почти все зубы у Саманты свои за исключением коронок снизу (на фото — желтым).
«Десневая улыбка (на фото — красным) нередко сопровождает патологию прикуса.
Налет между зубами (на фото — синим) может быть вызван их скученностью (тесным расположением). Стираемость клыков на нижней челюсти может говорить о том, что какое-то время жевательная функция в боковых отделах была снижена. Также о длительном разрушении или отсутствии зуба на нижней челюсти говорит наклон верхнего зуба (на фото – зеленым)», — поясняет Антон Герасимов.
Меланья Трамп
—
Результаты изучения снимков улыбки бывшей модели Меланьи Трамп дали возможность предположить, что у действующей первой леди США только один зуб не покрыт коронкой (на фото – зеленым).
«Небольшую дисгармонию вызывает «заостренный» контур шейки премоляра (на фото -желтым). Возможно, это следствие имплантации или убыли десны на этом зубе. Также обращают на себя внимание неидеальные линии шеек зубов (на фото — синим)».
«В целом ситуация хорошая, полное устранение мелких недочетов может потребовать гораздо больших усилий, чем может показаться непрофессионалу» — заключает Антон Герасимов.
Мишель Обама

—
В отличие от своей преемницы, Мишель Обама может гордиться красивыми и здоровыми собственными зубами. На фото жена предыдущего президента США чаще всего улыбается, демонстрируя белоснежные зубы. Однако, имеются вопросы к прикусу.
«Западение верхней губы (на фото — желтым) говорит о неидеальном положении верхней челюсти, — объясняет Антон Герасимов. — Язычный наклон боковых зубов слева (на фото — зеленым), скорее всего, является следствием малого количества контактов при жевании с верхними зубами. Передние зубы верхней челюсти (на фото — красным) наклонены вперед и скорее всего не контактируют с нижними. Возможно, поэтому мы видим мамелоны (зубчики), которые не стерлись на нижних зубах (на фото — синим). Все это – признаки открытого прикуса.
Есть определенная вероятность, что коронка все же имеется (на фото — серым). Об этом говорят: локальная убыль десны и более светлый оттенок самого зуба. Вполне предсказуемо: ведь основная нагрузка при жевании, ввиду патологии прикуса, приходится именно на эту сторону».
«В целом, ситуация удовлетворительная только лишь благодаря великолепному качеству эмали зубов. Однако, коррекция прикуса может потребовать ортогнатической хирургии», — добавляет Антон Герасимов.
Хилари Клинтон
—
Улыбка г-жи Клинтон вызвала у отечественных специалистов-имплантологов некоторое недоумение: детальное рассмотрение зубов позволяет предположить сомнительный метод лечения.
«Косвенные признаки (тень над центральным зубом, черные треугольники между зубами, цвет двух коронок (на фото – синим)) указывают на консольный протез. Он отличается от мостовидного тем, что подвесной зуб опирается на корень с одной стороны (на фото – белым). Это спорное решение, допустимое при ряде условий, которые здесь не соблюдены. Например, согласно клиническим рекомендациям «Стоматологической ассоциации России» от 30.09.2014г., такое решение стоматолога может трактоваться как врачебная ошибка. Следует заняться решением вопроса ухода от консольного протеза на переднем зубе! Может потребоваться наращивание кости и десны и имплантация», — рекомендует Антон Герасимов.
В остальном ситуация хорошая. Большинство зубов собственные, однако, коронки тоже имеются (на фото — красным и синим).
Пациент длительно не занимался восстановлением правого нижнего моляра (не видно на фото). На это указывает выдвижение зуба на верхней челюсти (на фото — зеленым).
Также, присутствует скученность зубов на нижней челюсти (на фото — желтым) и признаки глубокого прикуса.
Акиэ Абэ

—
Масштабная работа, по мнению эксперта, требуется для полной коррекции улыбки первой леди Японии.
«Глубокий прикус. Значительное смещение средней линии (на фото — зеленым). Все зубы верхней челюсти — это коронки. На мой взгляд, коронки не самых удачных пропорций (на фото — синим). Похоже, что собственные зубы, на которые установлены коронки, были маленького размера», — отмечает Антон Герасимов.
Пэн Лиюань

—
А вот в улыбке первой леди КНР профессионалы изъянов практически не нашли.
«Минимальная разница в наклоне передних зубов на верхней челюсти (на фото — синим) и, возможно, перекрестный прикус (на фото — зеленым)» — говорит эксперт.
«В целом, ситуация отличная, — считает Антон Герасимов. — Но, как шутят врачи, «здоровый пациент — это тот, кого еще не обследовали».
Пристальное внимание к фотографиям первых леди государств дало понять, что финансовый фактор далеко не главная причина того, что все вокруг еще не имеют идеальной улыбки. Почти все увиденные недочеты решаемы. Как говорил в своем интервью один из самых известных имплантологов Карл Миш: «Вы когда-нибудь видели идеальную полость рта? Нет! А это значит, что мы можем подать групповой иск на Бога за то, что он не создал идеальную улыбку! Ни разу!».
Нет предела совершенству искусства стоматологического лечения.
СПРАВКА:
Антон Герасимов — врач стоматолог-хирург, имплантолог, кандидат медицинских наук. Более 10 лет специализируется на имплантологии, синус-лифтинге и костной пластике. Работает с любыми системами имплантации. К 2014 году успешно установил более 4000 зубных имплантатов. Проходил практическую стажировку более чем в 10 европейских клиниках. На данный момент работает в нескольких стоматологических клиниках Санкт-Петербурга.
Помимо врачебной практики, Антон Герасимов преподает на кафедре хирургической стоматологии и челюстно-лицевой хирургии СПбГМУ им. акад. И. П. Павлова. Автор учебных курсов, ежегодно обучает более 100 стоматологов. Действительный член Европейской Ассоциации Черепно- и Челюстно-лицевой хирургии.
* Реклама
www.spb.kp.ru
Анатомия улыбки
Привлекательный внешний вид полости рта положительно сказывается на социальной активности, профессиональной карьере и личной жизни.
Большинство пациентов знают, что эстетическое стоматологическое лечение в состоянии изменить их жизнь в лучшую сторону. Но не все пациенты в реальности понимают, что именно надо изменить, чтобы сделать свою улыбку неотразимой.
Иногда пациенты концентрируются на определенном недостатке улыбки, устранение которого в реальности не изменит ситуации в целом. Существуют определенные параметры улыбки, о которых часто пациенты ничего не знают. И цель врача не только удовлетворить пожелания пациента, но и сделать это в соответствии с функциональными знаниями о коррекции параметров улыбки и пропорций лица в целом. И только при таком подходе результаты эстетического лечения превзойдут все наилучшие ожидания пациента.
Во время осмотра доктор анализирует лицо пациента в целом. Изучает лицо анфас и в профиль, положение глаз, контуров носа, подбородка и губ, что позволяет определить ориентиры для эстетической реабилитации.
Для правильной эстетической оценки используют линии лица, образующие стандартный геометрический узор: межзрачковая линия, линия соединяющая брови, комиссуральная- линия соединяющая уголки рта и срединная линия, отражающая симметрию правой и левой половины лица.(рис)

Следует отметить, что гармоничное лицо, как ни странно , должно быть ассиметрично. Отклонение от симметрии менее чем в 3% воспринимается окружающими как гармоничное и привлекательное. В тоже время отклонение в более чем 3% или, как ни парадоксально, абсолютно идеальная симметрия правой и левой сторон воспринимаются окружающими как редко встречающееся, неестественное и некрасивое лицо. (см рис)
При оценке образа для достижения гармоничного результата основным принципом является стремление к параллельности горизонтальных линий (межзрачковой и линии соединяющей уголки рта). Особую роль играют так же пропорции между высотами разных отделов лица. Так, например, со временем, вследствие возрастной стираемости зубов или при наличии некоторых видов патологии прикуса, довольно часто встречается снижение высоты нижней трети лица (рис).

Причем этот фактор отражается негативно не только на внешнем виде улыбки (зубы становятся внешне короче и как-бы шире), но и ведет к ухудшению со стороны эстетики мягких тканей лица – углубляются носогубные складки, появляется отвислость щек и опускаются уголки рта, придавая лицу скорбный старческий вид. Восстановление нормальной высоты в этом случае решает проблему не только улыбки, но и эстетического вида лица в целом. И позволяет снять необходимость в посещении пластического хирурга и проведении хирургической подтяжки мягких тканей лица (рис).
Завершающим этапом в оценке эстетики лица является оценка профиля. Различают три вида профиля лица – нормальный, выпуклый и вогнутый. Профиль пациента иногда коррелирует с психологическими характеристиками. Так выпуклый профиль характерен для активных, амбициозных людей, вогнутый – для более спокойных и менее амбициозных.(рис.)


С помощью стоматологической реабилитации можно изменить не только улыбку, но и профиль лица пациента.
Приступая к анализу улыбки нельзя не обратить внимание на форму губ. Различают средние, тонкие и толстые губы. (см. рис)
И существует четкая корреляция между формой губ и формой зубов, которая с ними идеально гармонирует. Так например для пациентов с нормальным объемом губ должны доминировать передние 4 зуба с радиальным расположением- классический вариант (см.рис).
У пациентов с тонкими губами более естественно выглядят менее доминирующие передние зубы с более ровным (горизонтальным) расположением- так называемый голливудский тип (рис).
И напротив, пухлым губам, в свою очередь, должны соответствовать ярко доминирующие выступающие 2 центральных резца – скандинавский тип улыбки (рис).
При составлении плана эстетической реабилитации необходимо так же учитывать особенности мимики лица как в расслабленном состоянии, так и при разговоре. Иногда при улыбке, могут быть более заметны зубы верхней челюсти, тогда как при разговоре в большей степени видны нижние зубы. Происходит это, как правило, из- за снижения с возрастом тонуса круговой мышцы рта и ее провисания. Верхние зубы при разговоре становятся не видны , тогда как в норме ,в молодом возрасте, они должны просматриваться из за верхней губы в расслабленном ее состоянии или при разговоре на 1- 5 мм. Именно поэтому удлинение верхних зубов, помимо их осветления ,играет значительную роль в омоложении улыбки и лица в целом.
Стираемость зубов и истончение эмали с возрастом так же ведет к снижению высоты нижней трети лица и к формированию более вогнутого (плоского профиля губ). Губы становятся более плоскими вследствие исчезновения поддержки со стороны зубов, так как с возрастом зубы становятся тоньше и стираются по высоте. Многие женщины, не понимая этого фактора, пытаются улучшить привлекательность нижней трети лица вводя гиалуроновые филеры в губы. Однако после этого зубы становятся еще меньше видны при улыбке и разговоре – что придает лицу вместо молодости и свежести некоторую комичность и «беззубость». Восстановление нормального объема зубной эмали и высоты прикуса способствует восстановлению объема губ и разглаживанию морщин в этой области гораздо эффективнее и естественнее.
Форма зубов делится на 3 основные группы (треугольное, прямоугольное и овальное). Существует коррекция между формой лица и формой центральных резцов верхней челюсти. Как правило, при эстетической реабилитации улыбки учитывают, что идеальным соотношением между формой лица и зубов (4-х центральных) является их соответствие. Так форма передних резцов отражает перевернутую форму лица.
При моделировании улыбки так же большое значение имеет правильное расположение контура режущего края зубов соотносительно контура края нижней губы. В гармоничной улыбке они должны быть полностью параллельны.
Таким образом для достижения красивой улыбки приходится учитывать множество параметров. Зачастую, особенно при стираемости зубов и необходимости увеличения высоты нижней трети лица, необходимо проводить коррекцию не только на передних, но и боковых зубах, увеличивая их высоту. При этом необходимо использование специальных компьютерных систем для точной оценки параметров увеличения высоты зубов с учетом тонуса мышц, положения нижней челюсти и сустава. Для визуализации будущего результата, при таком лечении, используются временные восковые композиции, позволяющие пациенту еще до начала лечения получить полную информацию о будущем результате и, примерив его, оценить свою улыбку с эстетической и функциональной точек зрения.
На отработку формы будущей улыбки может потребоваться даже больше времени чем на ее выполнение, но результат того стоит. Как говорится, семь раз отмерь- один отрежь, особенно когда речь идет об эстетике. С получением красивой, гармонирующей с лицом улыбки пациенты обретают уверенность в себе, чаще улыбаются и выглядят гораздо моложе и позитивнее.
www.laserstomat.ru
4 стоматологические проблемы, которые выдают ваш возраст
Anti-Age стоматология — это целый комплекс мер по лифтингу нижней части лица, коррекции изменений зубочелюстной системы, которые у всех происходят с возрастом, после 35 лет.
Что это за изменения и какие специалисты помогут, рассказывает стоматолог-ортодонт, заместитель главного врача клиники Belgravia Dental Studio на Проспекте Мира Екатерина Итина.
Эмаль стирается
Эта проблема возникает физиологически, с возрастом эмаль истончается, истирается, это происходит, когда вы сжимаете зубы, кусаете или жуете. При этом зубы уменьшаются в размере во всех трех измерениях.
Зубы — это каркас для мягких тканей губ и щек. Уменьшается их размер — как следствие, губы «западают», становятся тоньше, появляются морщины в области рта.
Екатерина Итина
Стоматолог-ортодонт
Композитные реставрации, покрыть зубы коронками или винирами. Виниры — это тонкие пластинки-накладки на зубы из керамики или композитных материалов. С их помощью можно изменить форму, цвет, структуру зубов, защитить их от стирания. При этом «свои» зубы обтачиваются минимально. Выбор между винирами и коронками остается за врачом-стоматологом, который основывается на клинической ситуации каждого пациента.
Верхние резцы не видны при улыбке
С возрастом у всех людей, когда они разговаривают или улыбаются, становится хуже видно передние зубы. Это происходит, опять же, из-за того, что зубы стираются, теряют тонус мягкие ткани лица. При этом овал лица становится менее четким, щеки и губы «сползают» вниз — верхние резцы становятся меньше видны, а нижние передние зубы обнажаются.
Доказано: если верхние резцы заметны во время разговора и даже при легкой улыбке — это признак молодого лица, а видимость нижних резцов свойственна пожилому возрасту.
В зависимости от причины, выбирается и тактика. Часто лечение состоит из двух этапов: первый — ортодонтия. Его цели — исправить прикус, выровнять зубы и переместить их таким образом, чтобы верхние резцы стали заметными. Второй этап — если стерта эмаль, восстанавливается длина и форма зубов — винирами, коронками или композитными реставрациями.
Темная тусклая эмаль
Вид эмали «возрастных» зубов тусклый, она приобретает оттенок от темно-желтого до серого, на поверхности появляются микротрещинки и сколы. Причин несколько: курение, употребление продуктов и напитков с красителями. Все это меняет цвет эмали.
Одновременно с возрастом вырабатывается вторичный дентин (подлежащего слоя эмали), цвет которого и определяет внешний вид коронки зуба. Чем ярче и светлее эмаль, тем моложе выглядят лицо и улыбка.
Осветлить эмаль и укрепить ее для профилактики разрушения. В этом поможет врач-гигиенист. Обращаться к нему нужно не реже раза в 6 месяцев, даже при самом грамотном и тщательном домашнем уходе. Специалист профессионально снимает с зубов налет и пигментацию от пищевых красителей, восстанавливает естественный цвет и блеск эмали.
Реминерализирующая терапия — укрепление и восстановление структуры эмали, насыщение ее микроэлементами — проводится как в клинике (на эмаль наносят специальные препараты), так и дома (стоматолог назначает лечебные пасты и гели, которые пациент наносит в индивидуально изготовленные капы и держит на зубах некоторое время).
Финальный этап — отбеливание. Есть разные методики — и домашнее отбеливание с использованием кап, и кабинетное, в клинике. Современные кабинетные системы дают осветление на несколько тонов за один сеанс, при этом эмаль зубов не страдает. Выбор метода проводится только вместе с врачом-стоматологом.
Во время загрузки произошла ошибка.Из-за отсутствия зубов снижается высота прикуса
При отсутствии нескольких или всего одного зуба (особенно в боковых отделах челюстей) снижается высота прикуса.
Это неизбежно превращает «молодое» лицо в «возрастное»: нижняя треть лица становится меньше, носогубные складки — глубже, провисают мягкие ткани щек.
Екатерина Итина
Стоматолог-ортодонт
Лицо становится угрюмым. Параллельно начинаются проблемы в височно-нижнечелюстном суставе: болит голова, шумит в ушах, «щелкает» и болит, когда вы открываете и закрываете рот.
Лечение должно быть комплексным, с участием нескольких специалистов. Здесь стоит подготовиться к долгой реабилитации, лечение включает несколько этапов:
- устранение болей в суставе, нормализация работы височно-нижнечелюстного сустава.
- увеличение высоты прикуса — восстановление утраченных зубов (имплантация)
- протезирование.
Если вы решили взяться за молодость зубов, первый специалист, к которому нужно записаться, это стоматолог-ортопед. Его задача — провести полную диагностику, выявить все проблемы и предложить план действий. Если есть необходимость, он направит на консультацию к другим специалистам-стоматологам: ортодонту, терапевту или хирургу.
Читайте также о том, как не бояться зубного врача.
Обнаружили ошибку? Выделите ее и нажмите Ctrl+Enter.
health.mail.ru
Эстетическая стоматология. 10 признаков идеальной улыбки.

Если Вы хотите улучшить внешний вид своей улыбки, если Вам что-то в ней не нравится, но Вы не можете точно и правильно сформулировать что именно, если Вы хотите говорить со своим стоматологом об эстетике Вашей улыбки на одном языке, то следующая заметка как раз для Вас.
Природа (или Бог… это уж в зависимости от Ваших взглядов на жизнь) сделала нас разными. И в нашей неповторимости и уникальности есть своя прелесть. Но что делать, когда эта уникальность слишком уж выбивается за рамки наших же представлений о красоте? Как сформулировать свои претензии к природе (а может быть и к предыдущему вмешательству стоматологов)? Для оценки эстетической составляющей нашего лица, губ, зубов — всего того, что рождает красивую гармоничную улыбку, оказывается, существует очень много параметров. Именно ими и пользуются (по крайней мере, должны пользоваться) стоматологи при планировании изменений в Вашем облике. Поскольку различных нюансов весьма и весьма много, а у меня нет задачи каждого из Вас сделать экспертом в области эстетической стоматологии, то остановимся на десяти наиболее простых и наиболее важных.
1. Параллельность горизонтальных ориентиров.
Один из самых важных признаков гармоничной улыбки – это параллельность воображаемых линий: межзрачковой линии (на рисунке синяя линия, соединяющая правый и левый зрачок глаза) и линии губ (на рисунке красная линия, проведенная между уголками рта).

Обе эти линии также должны быть параллельны линиям, соединяющим края центральных резцов (зеленая) и режущие бугорки клыков (голубая)

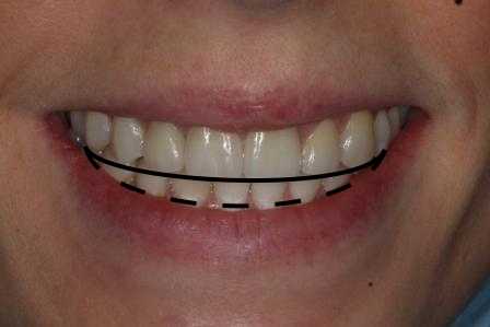
2. Линия улыбки.
Линия улыбки проходит по режущим кромкам передних верхних зубов (на фото показана сплошной чертой) и должна в идеале повторять изгиб верхнего края нижней губы (на фото показан пунктиром), т.е. быть выпуклой.

3. Уровень десны.
Привлекательно и более эстетически выглядит улыбка, в которой линия, соединяющая шейки зубов (показана пунктиром), повторяет линию верхней губы, а уровень обнажаемой при улыбке десны симметричен справа и слева. При этом при максимально открытой улыбке должны быть заметны лишь десневые «треугольники» между зубами и небольшая полоска десны над ними (шириной не более 2-3 мм).

Таким образом, десна вокруг верхних зубов, верхняя и нижняя губы образуют своеобразную рамку для Вашей улыбки. Если за рамкой не видно «картины», то такая улыбка не будет выглядеть привлекательно.

Чрезмерная визуализация десны (так называемая «десневая улыбка») устраняется чаще всего с помощью хирургического вмешательства, ортодонтического лечения, а также косметологических вмешательств (например, инъекции ботокса в верхнюю губу, увеличение верхней губы и т.п.).
4. Вертикальная симметрия и средняя линия.
Линия, проходящая через центр лица, должна проходить ровно между центральными резцами верхней челюсти. Несовпадение этих линий вызывает ощущение дисгармонии даже при беглом взгляде на Вашу улыбку со стороны. При этом совершенно не обязательно, чтобы она так же прошла и между центральными нижними резцами. Во-первых, полное совпадение редко когда встречается, а, во-вторых, это никоим образом не влияет на эстетическое восприятие Вашей улыбки при взгляде со стороны.

5. «Золотая пропорция».
Принцип золотой пропорции применительно к улыбке в эстетической стоматологии состоит в том, что при взгляде на ее спереди строго по центру соотношение видимой ширины передних зубов должно быть примерно таким – 0.6 (ширина клыка): 1 (ширина бокового резца): 1.6 (ширина центрального резца).
Как видно на фото, ширина видимой части остальных зубов (4-ки, 5-ки) должна последовательно уменьшаться, создавая ощущение перспективы.
6. Пропорции зуба.
Центральные резцы верхней челюсти всегда привлекают к себе особое внимание, т.к. лучше всего видны при разговоре и улыбке. Поэтому очень важно, чтобы их пропорции были правильными. Наиболее гармонично выглядят зубы, имеющие отношение ширины зуба к его длине примерно 0.7-0.8 : 1

При этом в разном возрасте это соотношение может меняться. Из-за физиологической стираемости зубов в более зрелом возрасте это соотношение стремится к пропорции 1 : 1. Поэтому при желании «омолодить» улыбку нужно, как правило, увеличить длину зуба.
7. Межрезцовые углы.
Межрезцовые углы – это промежутки между режущими краями передней группы зубов.
При гармоничном построении зубов эти углы должны последовательно увеличиваться от центра к периферии: от небольшого закрытого угла между центральными резцами, до более прямого и даже открытого угла между 2 и 3 зубами.
Стираемость зубов приводит к уменьшению или полному отсутствию межрезцовых углов, что старит пациента, когда он улыбается.
При этом для «женских» зубов характерны скругленные уголки резцов, для «мужских» — более прямые.
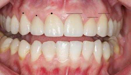
8. Зенит десневого контура.
Зенит десны – это наиболее вогнутая ее часть вокруг шейки зуба (на фото обозначен точками).

Уровень зенитов около разных зубов в зоне улыбки должен быть на разном уровне. У центральных резцов и клыков – примерно на одном уровне (или чуть выше у клыков), у боковых резцов – несколько ниже и тех, и других (как показано линиями на фото). При этом не менее важно, чтобы зениты на симметричных зубах были на одном уровне. Это особенно важно учитывать, если при улыбке эта зона становится заметной. Когда даже при самой открытой улыбке десна не обнажается, то идеально симметрично выставлять зениты нет серьезной необходимости.

В данном случае обращает на себя внимание слишком низкий уровень зенита на зубе 12, он значительно ниже симметричного ему зуба 22. Также есть незначительная разница в положении зенитов на центральных резцах (зубы 11 и 21). В результате лечения, эти недостатки были устранены, что и видно на первой фотографии.
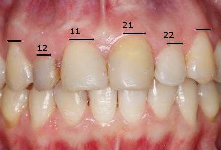
9. Положение режущих краев.
Режущие края центральной группы зубов также располагаются на разном уровне. У центральных резцов и клыков – примерно на одном уровне, у боковых резцов – чуть выше (как отмечено линиями на фото).
Опять же в силу стираемости зубов с возрастом режущие края зубов становятся на одном уровне, соединяющая их линия приобретает не выпуклый, а прямой вид, а иногда (при повышенной патологической стираемости) – даже вогнутый. Поэтому, чтобы сделать улыбку более «молодой» нужно взаимоотношение режущих краев вернуть к гармоничному.
Также можно отметить, что доминирование центральных резцов над боковыми резцами и клыками также придает улыбке более юный вид.
Доминирование клыков, их острые выдающиеся режущие бугорки делают улыбку более агрессивной. Этот эффект основан на том, что в природе длинные острые хорошо развитые клыки характерны для хищников, вся философия существования которых основана на агрессии к своей добыче.
10. Межзубные десневые сосочки.
Десневой сосочек – это та часть десны, которая заполняет межзубной промежуток (на фото отмечены линиями).
Расположение и внешний вид сосочков определяется подлежащей костью, которая имеет точно такой же контур. При наиболее оптимальном варианте вершины десневых сосочков распологаются как на фото (отмечено точками) – между центральными резцами десневой сосчек наиболее длинный, и постепенно к периферии его длина уменьшается. При этом все они должны иметь здоровый внешний вид – треугольную форму с острой вершиной, розовый цвет, отсутствие отечности.
При различных заболеваниях пародонта, а также при неправильно выполненных реставрациях десневой сосочек может воспаляться, приобретая более темный (или даже синюшный) цвет, теряя свою остроконечную форму, или даже может полностью исчезнуть. При этом между зубами образуются неэстетичные черные промежутки.

Вот так выглядит основной, но еще далеко не полный список тех параметров, которые нужно оценивать и учитывать при планировании и создании идеальной улыбки. Чем и занимается эстетическая стоматология. Теперь Вы можете сами оценить насколько Ваша улыбка близка к идеальной. И я надеюсь, что эта заметка поможет Вам лучше понять, что конкретно Вы бы хотели изменить и улучшить. Ведь это значительно облегчит взаимопонимание между Вами и Вашим стоматологом.
P.S. Представленные в данной заметке фотографии клинических случаев моих пациентов подробно смотрите в разделе фотогалереи сайта, где подробно о эстетической стоматологии и современных стоматологических техногогиях восстановления идеальной улыбки.
www.kirillkostin.ru
какая улыбка считается идеальной — Рамблер/новости
Идеальная улыбка — реальность или вымысел?
На вопрос, существуют ли в жизни идеальные от природы улыбки, соответствующие всем нормам, я могу ответить, что да, действительно, есть такие улыбки, которые от природы очень красивые. Например, знаменитая улыбка Джулии Робертс.Все дело в симметрии
В идеальной улыбке очень важна симметрия. Центральная линия зубов должна совпадать с центральной линией лица, то есть она должна проходить ровно между верхними и нижними центральными резцами.
Во время улыбки верхняя линия губы в идеале должна проходить по линии, где начинаются верхние зубы, края верхних зубов при этом повторяют контур нижней губы.
С широко раскрытыми губами
Если мы говорим о ширине улыбки, то золотой стандарт — когда во время улыбки видно десять зубов, пять справа и пять слева. Однако мода постоянно меняется, и сейчас в Америке, например, новая тенденция: врачи-ортодонты стремятся сделать улыбку в 14 зубов. Если мы посмотрим на фото голливудских звезд, мы увидим, что действительно, когда они улыбаются, у них видны практически все зубы.
Если при улыбке видно пять-шесть миллиметров линии десны, то мы имеем дело с так называемой «десневой улыбкой». При идеальной улыбке десна либо не видна, либо просматривается не более чем на полтора-два миллиметра. Кроме того, нижние зубы не должны слишком заметно обнажаться — мы улыбаемся все-таки верхними.
Размер имеет значение
Существуют идеальные пропорции высоты и ширины зуба, центральных и боковых зубов, однако это «золотое сечение» индивидуально для каждого конкретного человека. Некоторые врачи считают, что соотношение ширины и длины верхних передних зубов в норме составляет 0,8, однако мое мнение: эта формула не может подходить каждому. Существуют определенные типажи — если у человека лицо квадратное, круглое или треугольное, то у него могут быть генетически заложены зубы, соответственно, квадратной, округлой или треугольной формы, и это будет выглядеть вполне гармонично. Так что можно сказать, что идеальная улыбка для каждого конкретного типа лица своя.
Нет стандартов и относительно идеального размера зубов. Кому-то подходят маленькие аккуратные, и большие вместо них превратили бы улыбку в неестественный оскал. В целом гармонично смотрятся зубы ровные, образующие подобие красивого ожерелья.
На светлой стороне
Зубы должны быть ровно расположены по отношению к зубной дуге, иначе на улыбке появляются так называемые темные туннели из–за отбрасываемых кривыми зубами теней. И тогда улыбка уже не кажется лучезарной и белоснежной, цвет зубов визуально становится тусклее, чем на самом деле.
Что касается идеального оттенка зубов, то он не должен сильно отличаться от оттенка белка, бельма глаза. Если он намного белее, это выглядит очень неестественно.
Подписывайся на страницы WMJ.ru в Facebook, ВКонтакте, Instagram и Telegram!
Текст: Сатеник АйрапетянФото: Shutterstock/VOSTOCK
Читайте также
news.rambler.ru
№7 Есть, смеяться, любить — уверенно: Стили улыбки

1. Спайковый (комиссурный) стиль, им обладает более половины населения.Характеризуется поднятием уголков рта вверх и в стороны, следующим за поднимающей мышцей верхней губы, заканчивается обнажением верхних зубов. Нижний край улыбки проходит по режущему краю верхних центральных резцов. Люди с комиссурным стилем улыбки: Фрэнк Синатра, Дженнифер Энистон, Джейми Ли Кертис, Одри Хепберн.
2. Клыковый стиль («излом губ») встречается у трети населения. Форма губ при улыбке напоминает алмаз. Характеризуется показом клыков, затем углы рта поднимаются вверх и растягиваются в стороны. Часто уголки рта остаются ниже верхнечелюстных клыков. Подобная улыбка на женском лице считается самой привлекательной. Клыковый стиль имеет и более поэтическое название – «крыло чайки». Люди таким стилем улыбки: Элвис Пресли, Том Круз Дрю Бэрримор, Шэрон Стоун, Линда Евангелиста.
3. Смешанный стиль, им обладает 2% населения. Форма губ при улыбке похожа на два параллельных шеврона. Поднимающая мышца верхней губы и уголков рта и опускающая мышца нижней губы работают одновременно и обнажают как
верхние, так и нижние зубы. Форма губ обычно иллюстрируется как две параллельные красные полосы. Люди со смешанным стилем улыбки: Джулия Робертс, Мерилин Монро, Уилл Смит, Опра Уинфри.Часто форма улыбки может быть обусловлена какой-либо привычкой или расположением твердых тканей полости рта. Восстановление улыбки может помочь пациенту справиться с давними проблемами, а также увеличить привлекательность.
Существует 4 стадии формирования цикла улыбки:
I. Губы сомкнуты.
II. Полуулыбка (губы расслаблены, но уголки рта чуть-чуть подняты вверх).
III. Естественная улыбка.
IV. Широкая (полная) улыбка.
Конечно, типы улыбок варьируются и являются уникальными для каждого человека. Если улыбка не широкая, можно ограничиться восстановлением фронта из шести верхних зубов. Если же присутствует 4-я стадия, то и восстановление должно быть соответствующим.
Разновидности
Существует 5 вариаций во внешней характеристике улыбки, которые зависят от наличия в «зоне улыбки» твердых и мягких тканей
Вид 1. Видны только верхние зубы (или их часть).
Вид 2. Видны верхние зубы и более 3 мм десны.
Вид 3. Видны только нижние зубы (или их часть).
Вид 4. Видны и верхние, и нижние зубы.
Вид 5. Не видны ни верхние, ни нижние зубы.
В большинстве случаев человек строго подпадает под одну из этих разновидностей, однако, если необходимо, можно комбинировать виды. Например, пациент может иметь смешанную улыбку, при которой видны и верхние, и нижние зубы, а также более 3 мм десневой ткани. Этот необычный стиль улыбки отвечает и 2-му, и 4-му виду.
Система классификации улыбок
Вышеупомянутые категории могут быть объединены для создания структуры, объективно описывающей различные типы улыбок. Стиль, стадия и вид вместе обеспечивают полное, легкое и краткое описание. Такая классификация полезна и для стоматолога, и для пациента. Например, наиболее часто встречающаяся улыбка имеет такой шифр: комиссурная (стиль 1), стадия III, вид 1. И хотя «терапия улыбки» находится еще в зачаточном состоянии, общество уже предъявляет к стоматологам требования, чтобы они не просто лечили зубы, а обращали внимание на внешность каждого отдельного пациента. Схема классификации улыбок представленная в статье, может помочь при обсуждении пациентом и стоматологом вариаций дальнейшего эстетического лечения
Посмотрим повнимательнее на то, что открывает взору тот или иной тип улыбки. Форма и цвет зубов – важная имиджевая составляющая красоты и притягательности лица. Замечено, что зубы у каждого человека соответствуют лицу. Если форма лица овальная, то и форма зубов чаще всего овальная. К треугольному или квадратному лицу «прилагаются» соответствующие по форме зубы. Большой вред эстетике наносят желтый цвет или пигментные пятна на зубах. Зачастую к появлению пятен приводит флюороз, вызванный повышенным содержанием фтора в воде. Процесс идет под эмалью, и убрать эти пятна довольно сложно. В таком случае проводят реминерализирующую терапию, но чаще замещают внешний слой зубов винирами или коронками.
Многие считают, что дистальные жевательные группы зубов необязательны в жизнедеятельности, потому что можно натренироваться не улыбаться открыто. В таком случае нужно постоянно контролировать, как выглядит лицо, что ограничивает открытость, возможности в общении и наносит вред всей зубочелюстной системе. Ведь когда отсутствует жевательная группа, фронтальная, видимая группа зубов несет повышенную нагрузку. Это влечет ее потерю, потому что она приспособлена для выполнения откусывающей, а не жевательной функции.
Безусловно, восстановить эстетику можно с помощью различных видов протезирования, и об этом мы рассказывали в предыдущих номерах нашей газеты https://dentblanc.ru/articles/est-smeyatsya-lyubit-uv..
Изготовление протезов – это большое искусство, связанное с огромными ограничениями, которые есть в полости рта: по наличию определенного количества зубов, высоте, ширине и толщине каждого зуба, соответствию его анатомической форме, его положению и цвету, его смыканию с зубами-антагонистами, расположению по отношению к мышцам губ. Зубочелюстная система настолько сбалансирована и точна, что завышение в дистальном отделе жевательной группы зубов буквально на 0,01 мм дает невозможность смыкания зубов на фронтальном участке до полусантиметра. Если поставить коронку на 7-й зуб, и она будет завышать его на 0,01 мм, то на фронтальном участке у пациента может не закрываться рот на толщину сигареты, которую он не сможет удержать между зубами.
При этом есть огромное количество аспектов, когда непонимание самих пациентов мешает лучшему результату.Не вполне представляя, что из этого получится, некоторые пытаются воздействовать на доктора и сделать более светлые либо более мелкие или крупные зубы. Это может привести к результату, который скажет искусственные зубы. А когда видно, что зубы искусственные, можно сделать вывод об очень низком профессиональном качестве изготовления протетики. И, к сожалению, пока эта ситуация у нас в стране преобладает.
Сделать закладку или поделиться с друзьями информацией:
dentblanc.ru
Десневая улыбка
Я стесняюсь своей улыбки, прикрываю рот рукой, когда улыбаюсь, стараюсь избегать веселых компаний,
ненавижу фотографироваться. Общение для меня просто катастрофа!
Десневая улыбка (gummy smile)
Улыбка – одна из самых привлекательных черточек человека и одновременно мощнейшее оружие социального общения, способная растопить самое ледяное сердце. Но что делать тем, чья улыбка не идеальна, кто из-за тех или иных дефектов стесняются улыбаться, обрекая себя на одиночество?
К одним из таких изъянов относится «десневая улыбка» — улыбка, при которой оголяется значительная часть верхней десны.
В норме, при улыбке, верхние зубы открываются практически полностью, при широкой улыбке может быть видна десна – до 2х мм. Обнажение десны больше этого параметра вызывает неблагоприятный эстетический эффект.
«Десневая улыбка» может являться следствием аномалии или дефекта прикуса, непропорционального развития лицевого скелета, а может быть связана с гиперактивностью верхней губы во время улыбки или с анатомическими особенностями — когда верхняя губа коротковата и не прикрывает верхнюю десну в достаточной степени.
Соответственно, для решения проблемы могут быть привлечены ортодонтические, косметологические и хирургические методы.
Ортодонтическая коррекция
преследует целью перемещение в более высокую позицию верхних передних зубов или коррекцию их наклона при помощи ортодонтических конструкций, либо при помощи сложных и однозначно травматичных методов челюстно-лицевой хирургии.
«Короткие зубы»
Иногда «десневая улыбка» является следствием слишком коротких центральных резцов верхней челюсти.
В норме высота их должна быть не менее 9 мм. Причинами маленьких резцов могут быть как повышенная стираемость режущего края зубов, так и избыточное покрытие десной – при гиперплазии или протрузии. В таких случаях десна наплывает на зубы, иногда закрывая их более чем наполовину, хотя пациенты могут описывать такое состояние как «слишком короткие зубы».
Пациентке проведена радиоволновая коррекция десневого края + ботокс в мышцу, поднимающую верхнюю губу
Для открытия коронковой части зубов излишки десны над зубами подрезается лазером или радиоволновым скальпелем.
Гиперактивная верхняя губа
Если мышца, поднимающая верхнюю губу, слишком сильна (гиперактивна), то, скорее всего, именно это обстоятельство и будет основной причиной возникновения эстетических диспропорций. Если все остальные базовые параметры – длина овала лица, десны, и центральных резцов – лежат в пределах нормы, то коррекция данной проблемы обещает прекрасный эстетический результат и не требует серьезных хирургических вмешательств и длительного послеоперационного периода.
Коррекция десневой улыбки
Ботокс
Несколько уколов в стратегические точки мышцы помогут предотвратить «задирание» губы вверх при улыбке. Окончательный результат будет виден через несколько дней после инъекции – губа не будет подниматься так высоко при улыбке, как до уколов, подчеркивая лишь вашу красивую улыбку и индивидуальность.
Эффект относительно длительный. Для его поддержания достаточно двух-трех процедур в год, в зависимости от индивидуальных особенностей пациента.
Подсечение мышцы, поднимающей верхнюю губу
Мышца подсекается через разрез внутри носа. Эффект операции аналогичен уколу ботокса в эту мышцу, но результат постоянный. Подсеченная мышца слегка удлиняется и становится менее активной.
Операции значительно не меняет вида губ в покое, но улыбка становится заметно гармоничной, десна не оголяется, видимых шрамов нет.
Операция направлена на уменьшение движения губы вверх. По ощущениям пациенты отмечают, что губа стала «жестче». Слегка увеличивается объем губы и — как дополнительный эффект — чуть сглаживаются носогубные складки.
Никаких изменений в речи или артикуляции нет, и пациенты, уже в день операции, могут сравнительно нормально разговаривать.
Короткая верхняя губа
Иногда красная часть губы настолько утоньшается при улыбке, что практически исчезает, и ее объема просто не хватает, чтобы эффективно прикрыть десну.
Косметологический подход:
Гель — наполнитель (рестилайн, ювидерм).
Инъекционные препараты применяемые для контурной пластики, помогут и в решения проблемы «десневой улыбки». Увеличение объема губы гелем само по себе прикрывает десну. Помимо этого гель увеличивает вес губы, что снижает ее мобильность. Даже незначительное количество геля меняет пропорции губ и может дать существенный визуальный эффект.
Хирургическая коррекция
Практикуются три принципиально разных хирургических подхода:
V-Y френулопластика + ботокс в мышцу, поднимающую верхнюю губу + рестилайн
Френулопластика (коррекция уздечки верхней губы)
Подходит для тех случаев, когда у пациентов очень тугая или короткая уздечка, которая сдерживает подвижность верхней губы и не дает ей свободно опуститься и прикрыть десну. Операция выполняется по типу Z-пластики, или простого подсечения уздечки.
V-Y пластика верхней губы
Позволяет увеличить объем верхней губы путем перераспределения слизистой оболочки и перемещения ее изнутри — наружу. Операция не оставляет видимых швов.
Хирургическая мобилизация верхней губы
Перемещение места соединения верхней губы с десной ниже, ближе к зубному ряду. Операция также выполняется на внутренней стороне губы. В месте крепления верхней губы к десне делается разрез, после чего губа мобилизуется и пришивается ближе к краю зубного ряда, что позволяет удлинить верхнюю губу за счет «выворота» участка слизистой наружу и уменьшает мобильность верхней губы, не давая ей подниматься слишком высоко во время улыбки.
Для стабилизации результатов возможно имплантирование нитей по типу нитевых подвесок, которые в данном случае прокладываются способом, который позволяет удлинить и фиксировать губу в новом положении.
Послеоперационный период
инъекции ботокса + подрезание десны по краю зубов.
После операции доктор сделает несколько уколов ботокса в мышцу, поднимающую верхнюю губу – для подстраховки – чтобы не помешать нормальному рубцеванию разрезов.
Тем не менее, в течение 10 дней после операции надо постараться не улыбаться и тем более не смеяться. Стоит избегать горячей и твердой пищи, а также продуктов, требующих длительного жевания.
Несколько раз в день и после каждого приема пищи — обязательно — необходимо ополаскивать рот санирующими растворами, назначенными доктором.
* * *
Кроме правильных пропорций для красивой улыбки важно также и состояние тканей пародонта. Если из-за заболеваний пародонта оголяются корни зубов, меняется их цвет, а нормализация невозможна или имеет противопоказания, возможно, единственным выходом будет прикрыть десневую линию, чуть опустить верхнюю губу.
* * *
Комбинация нескольких факторов
Если избыточная визуализация десны возникает как результат воздействия нескольких факторов, то лечение представляет собой комбинацию описанных выше методов.
Для достижения желаемого результата необходима консультация и эстетического хирурга и дантиста.
dr-pas.com
